Biocompatible Nanocomposite Implant with Silver Nanoparticles for Otology—In Vivo Evaluation
Abstract
1. Introduction
2. Materials and Methods
2.1. Material Manufacturing
2.2. Material Evaluation
Scanning Electron Microscopy
2.3. Implantation Procedure
2.4. In Vivo Examination
2.5. C Reactive Protein Measurement
2.6. Micro-CT Observation
2.7. ICP-MS
2.8. Mechanical Tests
2.9. Statistical Analysis
3. Results and Discussion
3.1. Microstructure Observation of Middle Ear Prosthesis
3.2. Ex Vivo Investigations of Tissue-Implants Samples
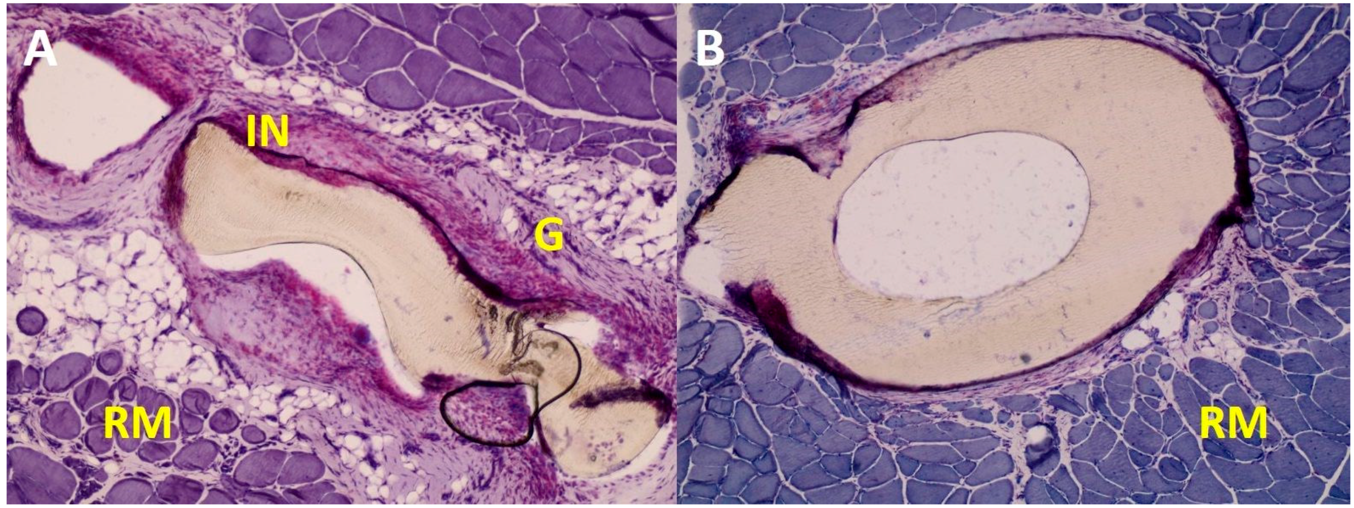
3.3. Histochemical Analysis
3.4. Micro-CT Observations
3.5. Silver Ions Release by Modified Implants
3.6. Physicochemical Properties of Prostheses
4. Conclusions
Author Contributions
Funding
Conflicts of Interest
References
- Sheehy, J.L. TORPs and PORPs: Causes of failure—A report on 446 operations. Otolaryngol. Head Neck Surg. 1984, 92, 583–587. [Google Scholar] [CrossRef] [PubMed]
- Dornhoffer, J.L.; Gardner, E. Prognostic Factors in Ossiculoplasty: A Statistical Staging System. Otol. Neurotol. 2001, 22, 299–304. [Google Scholar] [CrossRef] [PubMed]
- Krueger, W.W.; Feghali, J.G.; Shelton, C.; Green, J.D.; Beatty, C.W.; Wilson, D.F.; Thedinger, B.S.; Barrs, D.M.; McElveen, J.T. Preliminary ossiculoplasty results using the Kurz titanium prostheses. Otol. Neurotol. 2002, 23, 836–839. [Google Scholar] [CrossRef] [PubMed]
- Gardner, E.K.; Jackson, C.G.; Kaylie, D.M. Results with titanium ossicular reconstruction prostheses. Laryngoscope 2004, 114, 65–70. [Google Scholar] [CrossRef] [PubMed]
- Murphy, T.P. Hearing results in pediatric patients with chronic otitis Media after ossicular reconstruction with partial ossicular replacement prostheses and total ossicular replacement prostheses. Laryngoscope 2000, 110, 536–544. [Google Scholar] [CrossRef] [PubMed]
- Begall, K.; Zimmermann, H. Rekonstruktion der gehorknochelchenkette mit titan-Implantaten. ergebnisse einer multicenter-Studie. Laryngorhinootologie 2000, 79, 139–145. [Google Scholar] [CrossRef] [PubMed]
- Zhao, F.; Koike, T.; Wang, J.; Sienz, H.; Meredith, R. Finite element analysis of the middle ear transfer functions and related pathologies. Med. Eng. Phys. 2009, 31, 907–916. [Google Scholar] [CrossRef] [PubMed]
- Zahnert, T.; Bornitz, M.; Huttenbrink, K.B. Calculation and experiments on the influence of prosthesis couplin to the middle ear transfer function. In Proceedings of the 3rd Symposium on Middle Ear Mechanics in Research and Otology: Matsuyama, Ehime, Japan, 9–12 July 2003; World Scientific: Singapore, 2003; pp. 83–90. [Google Scholar]
- Meister, H.; Mickenhagen, A.; Walger, M.; Dück, M.; Wedel, H.; Stennert, E. Standardisierte Messungen der Schallübertragung verschiedener Mittelohrprothesen. HNO 2000, 48, 204–208. [Google Scholar] [PubMed]
- Meister, H.; Walger, M.; Mickenhagen, A.; Stennert, E. Messung der Schwingungseigenschaften von Mittelohrimplantaten mit einem mechanischen Mittelohrmodell. HNO 1998, 46, 241–245. [Google Scholar] [CrossRef] [PubMed]
- Meister, H.; Walger, M.; Mickenhagen, A.; Wedel, H.; Stennert, E. Standardized measurements of the sound transmission of middle ear implants using a mechanical middle ear model. Eur. Arch. Otorhinolaryngol. 1999, 256, 122–127. [Google Scholar] [CrossRef] [PubMed]
- Suaste-Gómez, E.; Rodríguez-Roldán, G.; Reyes-Cruz, H.; Terán-Jiménez, O. Developing an ear prosthesis fabricated in polyvinylidene fluoride by a 3D printer with sensory intrinsic properties of pressure and temperature. Sensors 2016, 16, 332. [Google Scholar] [CrossRef] [PubMed]
- Kittler, S.; Greulich, C.; Diendorf, J.; Köller, M.; Epple, M. Toxicity of silver nanoparticles increases during storage because of slow dissolution under release of silver ions. Chem. Mater. 2010, 22, 4548–4554. [Google Scholar] [CrossRef]
- Shrikant, M. Nanotechnology for Surgeons. Indian J. Surg. 2013, 75, 485–492. [Google Scholar]
- Acosta-Torres, L.S.; Mendieta, I.; Nuñez-Anita, R.E.; Cajero-Juárez, M.; Castaño, V.M. Cytocompatible antifungal acrylic resin containing silver nanoparticles for dentures. Int. J. Nanomed. 2012, 7, 4777–4786. [Google Scholar]
- Roe, D.; Karandikar, B.; Bonn-Savage, N.; Gibbins, B.; Roullet, J.B. Antimicrobial surface functionalization of plastic catheters by silver nanoparticles. J. Antimicrob. Chemother. 2008, 61, 869–876. [Google Scholar] [CrossRef] [PubMed]
- Ziąbka, M. A review of materials used in middle ear prosthetics. Ceram. Mater. 2018, 70, 65–85. [Google Scholar]
- Hales, N.W.; Shakir, F.A.; Saunders, J.E. Titanium middle ear prostheses in staged ossiculoplasty: Does mass really matter? Am. J. Otolaryngol. Head Neck Med. Surg. 2007, 28, 164–167. [Google Scholar] [CrossRef] [PubMed]
- Kobayashi, T.; Gyo, K.; Shinohara, T.; Yanagihara, N. Ossicular reconstruction using hydroxyapatite prostheses with interposed cartilage. Am. J. Otolaryngol. 2002, 23, 222–227. [Google Scholar] [CrossRef] [PubMed]
- Ocak, E.; Beton, S.; Meço, C.; Dursun, G. Titanium versus Hydroxyapatite prostheses: Comparison of hearing and anatomical outcomes after ossicular chain reconstruction. Turk. Arch. Otorhinolaryngol. 2015, 53, 15–18. [Google Scholar] [CrossRef] [PubMed]
- Mangham, C.A., Jr. Titanium CliP piston versus platinum-ribbon Teflon piston: Piston and fenestra size affect air–bone gap. Otol. Neurotol. 2008, 29, 8–12. [Google Scholar] [CrossRef] [PubMed]
- Meijer, A.G.; Segenhout, H.M.; Albers, F.W.; van de Want, H.J. Histopathology of biocompatible hydroxylapatite-polyethylene composite in ossiculoplasty. ORL 2002, 64, 173–179. [Google Scholar] [CrossRef] [PubMed]
- Pathan, F.; Satpathy, S.; Bhalekar, S.; Sudarshan, K. Tragal cartilage versus polytetrafluoroethylene (TEFLON) partial ossicular replacement prosthesis (PORP): A comparative study of outcomes of ossiculoplasty. Int. J. Innov. Res. Med. Sci. 2016, 1, 2455–8737. [Google Scholar]
- Ovsianikov, A.; Chichkov, B.; Adunka, O.; Pillsbury, H.; Doraiswamy, A.; Narayan, R.J. Rapid prototyping of ossicular replacement prostheses. Appl. Surf. Sci. 2007, 253, 6603–6607. [Google Scholar] [CrossRef]
- Maassen, M.M.; Lowenheim, H.; Pfister, M.; Herberhold, S.; Jorge, J.R.; Baumann, I.; Nusser, A.; Zimmermann, R.; Brosch, S.; Zenner, H.P. Surgical-handling properties of the titanium prosthesis in ossiculoplasty. ENT Ear Nose Throat J. 2005, 142–149. [Google Scholar]
- Beutner, D.; Hüttenbrink, K.B. Passive and active middle ear implants. GMS Curr. Top. Otorhinolaryngol. Head Neck Surg. 2009, 8, 1–19. [Google Scholar]
- Banasiuk, R.; Frackowiak, J.E.; Krychowiak, M.; Matuszewska, M.; Kawiak, A.; Ziąbka, M.; Lendzion-Bielun, Z.; Narajczyk, M.; Królicka, A. Synthesis of antimicrobial silver nanoparticles through a photomediated reaction in an aqueous environment. Int. J. Nanomed. 2016, 11, 315–324. [Google Scholar]
- Ziąbka, M.; Dziadek, M.; Menaszek, E.; Banasiuk, R.; Królicka, A. Middle ear prosthesis with bactericidal efficacy—In vitro investigation. Molecules 2017, 22, 1681. [Google Scholar] [CrossRef] [PubMed]
- PN-EN ISO 10993–10996: 2016, Biological Evaluation of Medical Devices. Tests for Local Effects after Implantation; International Organization for Standardization: Geneva, Switzerland, 2016.
- Polish Norm PN-EN ISO 527–1. Plastics. Determination of Mechanical Properties at Static Stretching. General Rules; International Organization for Standardization: Geneva, Switzerland, 2012.
- Kumar, S.; Raj, S.; Kolanthai, E.; Sood, A.K.; Sampath, S.; Chatterjee, K. Chemical functionalization of graphene to augment stem cell osteogenesis and inhibit biofilm formation on polymer composites for orthopedic applications. ACS Appl. Mater. Interfaces 2015, 7, 3237–3252. [Google Scholar] [CrossRef] [PubMed]
- Pearlea, A.D.; Scanzello, C.R.; George, S.; Mandl, L.A.; DiCarlo, E.F.; Peterson, M.; Sculco, T.P.; Crow, M.K. Elevated high-sensitivity C-reactive protein levels are associated with local inflammatory findings in patients with osteoarthritis. Osteoarthr. Cartil. 2007, 15, 516–523. [Google Scholar] [CrossRef] [PubMed]
- Ziąbka, M.; Mertas, A.; Król, W.; Chłopek, J. Preliminary biological evaluation of polyoxymethylene/nanosilver composites. Eng. Biomater. 2009, 12, 196–199. [Google Scholar]
- Hardes, J.; Streitburger, A.; Ahrens, H. The influence of elementary silver versus titanium on osteoblasts behaviour in vitro using human osteosarcoma cell lines. Sarcoma 2007. [Google Scholar] [CrossRef] [PubMed]
- Kramer, S.J.; Spadaro, J.A.; Webster, D.A. Antibacterial and osteoinductive properties of demineralized bone matrix treated with silver. Clin. Orthop. Relat. Res. 1981, 161, 154–162. [Google Scholar] [CrossRef]
- Stieve, M.; Hedrich, H.J.; Battmer, R.D.; Behrens, P.; Muller, P.; Lenarz, T. Experimental middle ear surgery in rabbits: A new approach for reconstructing the ossicular chain. Lab. Anim. 2009, 43, 198–204. [Google Scholar] [CrossRef] [PubMed]
- Turck, C.; Brandes, G.; Krueger, I.; Behrens, P.; Mojallal, H.; Lenarz, T.; Stieve, M. Histological evaluation of novel ossicular chain replacement prostheses: An animal study in rabbits. Acta Oto-Laryngol. 2007, 127, 801–808. [Google Scholar] [CrossRef] [PubMed]
- Ooms, E.M.; Egglezos, E.A.; Wolke, J.G.; Jansen, J.A. Soft-tissue response to injectable calcium phosphate cements. Biomaterials 2003, 24, 749–757. [Google Scholar] [CrossRef]
- Elian, N.; Bloom, M.; Dard, M.; Cho, S.C.; Trushkowsky, R.D.; Tarnow, D. Radiological and micro-computed tomography analysis of the bone at dental implants inserted 2, 3 and 4 mm apart in a minipig model with platform switching incorporated. Clin. Oral Implants Res. 2012, 25, e22–e29. [Google Scholar] [CrossRef] [PubMed]
- Schaad, L.; Hlushchuk, R.; Barré, S.; Gianni-Barrera, R.; Haberthür, D.; Banfi, A.; Djonov, V. Correlative imaging of the murine hind limb vasculature and muscle tissue by microct and light microscopy. Sci. Rep. 2017, 7, 41842. [Google Scholar] [CrossRef] [PubMed]
- Jeong, S.H.; Yeo, S.Y.; Yi, S.C. The effect of filler particle size on the antibacterial properties of compounded polymer/silver fibers. J. Mater. Sci. 2005, 40, 5407–5411. [Google Scholar] [CrossRef]
- Zilberman, M.; Elsner, J.J. Antibiotic-eluting medical devices for various applications. J. Control. Release 2008, 130, 202–215. [Google Scholar] [CrossRef] [PubMed]
- Makvandi, P.; Nikfarjam, N.; Sanjani, N.S.; Qazvini, N.T. Effect of silver nanoparticle on the properties of poly(methyl methacrylate) nanocomposite network made by in situ photoiniferter-mediated photopolymerization. Bull. Mater. Sci. 2015, 38, 1625–1631. [Google Scholar] [CrossRef]
- Kumar, R.; Munstedt, H. Silver ion release from antimicrobial polyamide/silver composites. Biomaterials 2005, 26, 2081–2088. [Google Scholar] [CrossRef] [PubMed]
- Kong, H.; Jang, J. Antibacterial properties of novel poly(methyl methacrylate) nanofiber containing silver nanoparticles. Langmuir 2008, 24, 2051–2056. [Google Scholar] [CrossRef] [PubMed]
- Helttunen, K.; Moridi, N.; Shahgaldian, P.; Nissinen, M. Resorcinarene bis-crown silver complexes and their application as antibacterial langmuir−blodgett films. Org. Biomol. Chem. 2012, 10, 2019–2025. [Google Scholar] [CrossRef] [PubMed]
- McShan, D.; Ray, P.C.; Yu, H. Molecular toxicity mechanism of nanosilver. J. Food Drug Anal. 2014, 22, 116–127. [Google Scholar] [CrossRef] [PubMed]
- Marassi, V.; Di Cristo, L.; Smith, S.G.J.; Ortelli, S.; Blosi, M.; Costa, A.L.; Reschiglian, P.; Volkov, Y.; Prina-Mello, A. Silver nanoparticles as a medical device in healthcare settings: A five-step approach for candidate screening of coating agents. R. Soc. Open Sci. 2018, 5, 171113. [Google Scholar] [CrossRef] [PubMed]
- Yamashita, D.; Machigashira, M.; Miyamoto, M.; Takeuchi, H.; Noguchi, K.; Izumi, Y.; Ban, S. Effect of surface roughness on initial responses of osteoblast-like cells on two types of zirconia. Dent. Mater. J. 2009, 28, 461–470. [Google Scholar] [CrossRef] [PubMed]
- Solá-Ruiz, M.F.; Pérez-Martínez, C.; Martín-del-Llano, J.J.; Carda-Batalla, C.; Labaig-Rueda, C. In vitro preliminary study of osteoblast response to surface roughness of titanium discs and topical application of melatonin. Med. Oral Patol. Oral Cir. Bucal 2015, 20, e88–e93. [Google Scholar] [CrossRef] [PubMed]
- Zhu, X.; Radovic-Moreno, A.F.; Wu, J.; Langer, R.; Shi, J. Nanomedicine in the management of microbial infection—Overview and perspectives. Nano Today 2014, 9, 478–498. [Google Scholar] [CrossRef] [PubMed]
- Köroğlu, A.; Şahin, O.; Kürkçüoğlu, I.; Dede, D.Ö.; Özdemir, T.; Hazer, B. Silver nanoparticle incorporation effect on mechanical and thermal properties of denture base acrylic resins. J. Appl. Oral Sci. 2016, 24, 590–596. [Google Scholar] [CrossRef] [PubMed]
- Oyar, P.; Sana, F.A.; Durkan, R. Comparison of mechanical properties of heat-polymerized acrylic resin with silver nanoparticles added at different concentrations and sizes. J. Appl. Polym. Sci. 2018, 135, 45807. [Google Scholar] [CrossRef]












© 2018 by the authors. Licensee MDPI, Basel, Switzerland. This article is an open access article distributed under the terms and conditions of the Creative Commons Attribution (CC BY) license (http://creativecommons.org/licenses/by/4.0/).
Share and Cite
Ziąbka, M.; Menaszek, E.; Tarasiuk, J.; Wroński, S. Biocompatible Nanocomposite Implant with Silver Nanoparticles for Otology—In Vivo Evaluation. Nanomaterials 2018, 8, 764. https://doi.org/10.3390/nano8100764
Ziąbka M, Menaszek E, Tarasiuk J, Wroński S. Biocompatible Nanocomposite Implant with Silver Nanoparticles for Otology—In Vivo Evaluation. Nanomaterials. 2018; 8(10):764. https://doi.org/10.3390/nano8100764
Chicago/Turabian StyleZiąbka, Magdalena, Elżbieta Menaszek, Jacek Tarasiuk, and Sebastian Wroński. 2018. "Biocompatible Nanocomposite Implant with Silver Nanoparticles for Otology—In Vivo Evaluation" Nanomaterials 8, no. 10: 764. https://doi.org/10.3390/nano8100764
APA StyleZiąbka, M., Menaszek, E., Tarasiuk, J., & Wroński, S. (2018). Biocompatible Nanocomposite Implant with Silver Nanoparticles for Otology—In Vivo Evaluation. Nanomaterials, 8(10), 764. https://doi.org/10.3390/nano8100764

