Cytotoxic Effect of Graphene Oxide Nanoribbons on Escherichia coli
Abstract
:1. Introduction
2. Materials and Methods
2.1. Strains and Reagents
2.2. Preservation and Culture of Strains
2.3. Bacteriostatic Activity
2.4. E. coli Survival
2.5. Oxidative Stress
2.6. Nutrient Depletion
2.7. Membrane Stability and Polysaccharides Uptake
2.8. Characterization
3. Results
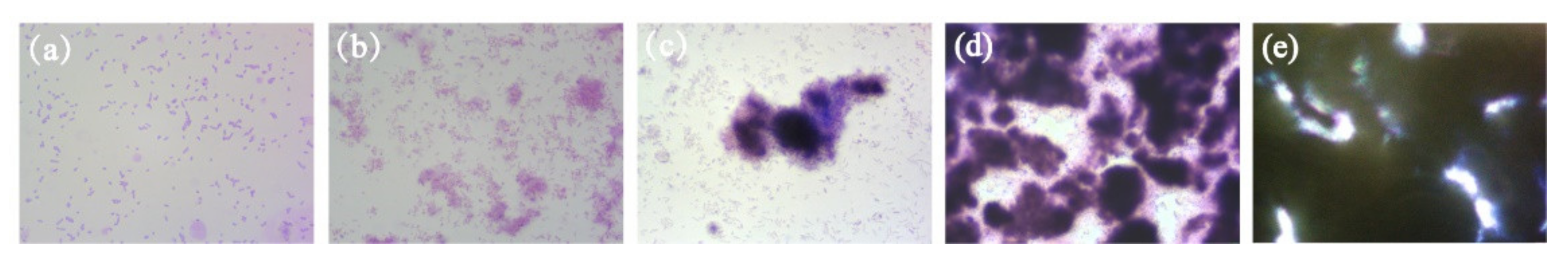
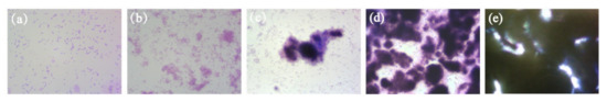
3.1. Characterization of GORs and E. coli
3.2. Toxicity Effect of GORs on E. coli
3.3. Nutrient Depletion
3.4. Oxidative Stress
3.5. Destruction of E. coli Membrane Components
4. Conclusions
Author Contributions
Funding
Data Availability Statement
Conflicts of Interest
References
- Li, Y.; Yuan, H.; von dem Bussche, A.; Creighton, M.; Hurt, R.H.; Kane, A.B.; Gao, H. Graphene microsheets enter cells through spontaneous membrane penetration at edge asperities and corner sites. Proc. Natl. Acad. Sci. USA 2013, 110, 12295–12300. [Google Scholar] [CrossRef] [PubMed] [Green Version]
- Sabyasachi, G.; Poushali, D.; Tushar, K.; Madhuparna, B.; Nikhil, K.; Amit, K.; Narayan, C. Fabrication of reduced graphene oxide/silver nanoparticles decorated conductive cotton fabric for high performing electromagnetic interference shielding and antibacterial application. Fibers Polym. 2019, 6, 1161–1171. [Google Scholar]
- Sayan, G.; Madhuparna, B.; Tushar, K.; Subhadip, M.; Amit, K.; Narayan, C. Sonochemical green reduction to prepare Ag nanoparticles decorated graphene sheets for catalytic performance and antibacterial application. Ultrason. Sonochem. 2017, 39, 577–588. [Google Scholar]
- Zhang, Y.; Ali, S.F.; Dervishi, E.; Xu, Y.; Li, Z.; Casciano, D.; Biris, A.S. Cytotoxicity effects of graphene and single-wall carbon nanotubes in neural phaeochromocytoma-derived PC12 cells. ACS Nano 2010, 4, 3181–3186. [Google Scholar] [CrossRef] [PubMed]
- Qiang, S.; Wang, M.; Liang, J.; Zhao, X.; Fan, Q.; Geng, R.; Luo, D.; Li, Z.; Zhang, L. Effects of morphology regulated by Pb2+ on graphene oxide cytotoxicity: Spectroscopic and in vitro investigations. Mater. Chem. Phys. 2020, 239, 122016. [Google Scholar] [CrossRef]
- Seabra, A.B.; Paula, A.J.; de Lima, R.; Alves, O.L.; Duran, N. Nanotoxicity of graphene and graphene oxide. Chem. Res. Toxicol. 2014, 27, 159–168. [Google Scholar] [CrossRef] [PubMed]
- Audira, G.; Lee, J.-S.; Siregar, P.; Malhotra, N.; Rolden, M.J.M.; Huang, J.-C.; Chen, K.H.C.; Hsu, H.-S.; Hsu, Y.; Ger, T.-R.; et al. Comparison of the chronic toxicities of graphene and graphene oxide toward adult zebrafish by using biochemical and phenomic approaches. Environ. Pollut. 2021, 278, 116907. [Google Scholar] [CrossRef]
- Zhao, S.; Wang, Y.; Duo, L. Biochemical toxicity, lysosomal membrane stability and DNA damage induced by graphene oxide in earthworms. Environ. Pollut. 2021, 269, 116225. [Google Scholar] [CrossRef]
- Yilihamu, A.; Ouyang, B.; Ouyang, P.; Bai, Y.; Zhang, Q.; Shi, M.; Guan, X.; Yang, S.-T. Interaction between graphene oxide and nitrogen-fixing bacterium Azotobacter chroococcum: Transformation, toxicity and nitrogen fixation. Carbon 2020, 160, 5–13. [Google Scholar] [CrossRef]
- Zhao, J.; Cao, X.; Wang, Z.; Dai, Y.; Xing, B. Mechanistic understanding toward the toxicity of graphene-family materials to freshwater algae. Water Res. 2017, 111, 18–27. [Google Scholar] [CrossRef] [Green Version]
- Yin, J.; Fan, W.; Du, J.; Feng, W.; Dong, Z.; Liu, Y.; Zhou, T. The toxicity of graphene oxide affected by algal physiological characteristics: A comparative study in cyanobacterial, green algae, diatom. Environ. Pollut. 2020, 260, 113847. [Google Scholar] [CrossRef]
- Liu, S.; Zeng, T.H.; Hofmann, M.; Burcombe, E.; Wei, J.; Jiang, R.; Kong, J.; Chen, Y. Antibacterial activity of graphite, graphite oxide, graphene oxide, and reduced graphene oxide: Membrane and oxidative stress. ACS Nano 2011, 5, 6971–6980. [Google Scholar] [CrossRef] [PubMed]
- Ahmad, N.S.; Abdullah, N.; Yasin, F.M. Toxicity assessment of reduced graphene oxide and titanium dioxide nanomaterials on gram-positive and gram-negative bacteria under normal laboratory lighting condition. Toxicol. Rep. 2020, 7, 693–699. [Google Scholar] [CrossRef]
- Krishnamoorthy, K.; Umasuthan, N.; Mohan, R.; Lee, J.; Kim, S.-J. Antibacterial activity of graphene oxide nanosheets. Sci. Adv. Mater. 2012, 4, 1111–1117. [Google Scholar] [CrossRef]
- Baek, S.; Joo, S.H.; Su, C.; Toborek, M.J. Antibacterial effects of graphene- and carbon-nanotube-based nanohybrids on Escherichia coli: Implications for treating multidrug-resistant bacteria. Environ. Manage. 2019, 247, 214–223. [Google Scholar] [CrossRef] [PubMed]
- Xie, C.; Zhang, P.; Guo, Z.; Li, X.; Pang, Q.; Zheng, K.; He, X.; Ma, Y.; Zhang, Z.; Lynch, I. Elucidating the origin of the surface functionalization—dependent bacterial toxicity of graphene nanomaterials: Oxidative damage, physical disruption, and cell autolysis. Sci. Total Environ. 2020, 747, 141546. [Google Scholar] [CrossRef] [PubMed]
- Wang, Y.; Hu, X.; Liu, Y.; Li, Y.; Lan, T.; Wang, C.; Liu, Y.; Yuan, D.; Cao, X.; He, H.; et al. Assembly of three-dimensional ultralight poly(amidoxime)/graphene oxide nanoribbons aerogel for efficient removal of uranium(VI) from water samples. Sci. Total Environ. 2021, 765, 142686. [Google Scholar] [CrossRef]
- Yao, C.; Li, X.; Deng, Y.; Li, Y.; Yang, P.; Zhang, S.; Yuan, J.; Wang, R. An efficient prelithiation of graphene oxide nanoribbons wrapping silicon nanoparticles for stable Li+ storage. Carbon 2020, 168, 392–403. [Google Scholar] [CrossRef]
- Kosynkin, D.V.; Higginbotham, A.L.; Sinitskii, A.; Lomeda, J.R.; Dimiev, A.; Price, B.K.; Tour, J.M. Longitudinal unzipping of carbon nanotubes to form graphene nanoribbons. Nature 2009, 458, 872–876. [Google Scholar] [CrossRef] [PubMed] [Green Version]
- Ding, Z.; Liang, J.; Zhang, W.; Wang, W.; Geng, R.; Wang, Y.; Li, P.; Fan, Q. Efficiency and active sites of the synergetic sorption and photocatalysis in Cr(vi) decontamination on a 3D oxidized graphene ribbon framework. J. Mater. Chem. A 2020, 8, 11362–11369. [Google Scholar] [CrossRef]
- Nga, N.T.H.; Ngoc, T.T.B.; Trinh, N.T.M.; Thuoc, T.L.; Thao, D.T.P. Optimization and application of MTT assay in determining density of suspension cells. Anal. Biochem. 2020, 610, 113937. [Google Scholar] [CrossRef] [PubMed]
- Zhang, J.; Yang, Z.; Zhang, S.; Xie, Z.; Han, S.; Wang, L.; Zhang, B.; Sun, S. Investigation of endogenous malondialdehyde through fluorescent probe MDA-6 during oxidative stress. Anal. Chim. Acta 2020, 1116, 9–15. [Google Scholar] [CrossRef] [PubMed]
- Pirinccioglu, A.G.; Gokalp, D.; Pirinccioglu, M.; Kizil, G.; Kizil, M. Malondialdehyde (MDA) and protein carbonyl (PCO) levels as biomarkers of oxidative stress in subjects with familial hypercholesterolemia. Clin. Biochem. 2010, 43, 1220–1224. [Google Scholar] [CrossRef] [PubMed]
- Tang, B.; Wang, Y.; Liang, H.L.; Chen, Z.Z.; He, X.W.; Shen, H.X. Studies on the oxidation reaction of tyrosine (Tyr) with H2O2 catalyzed by horseradish peroxidase (HRP) in alcohol-water medium by spectrofluorimetry and differential spectrophotometry. Acta Part A 2006, 63, 609–613. [Google Scholar] [CrossRef]
- Liang, J.; Ding, Z.; Qin, H.; Li, J.; Wang, W.; Luo, D.; Geng, R.; Li, P.; Fan, Q. Ultra-fast enrichment and reduction of As(V)/Se(VI) on three dimensional graphene oxide sheets-oxidized carbon nanotubes hydrogels. Environ. Pollut. 2019, 251, 945–951. [Google Scholar] [CrossRef]
- Jia, G.; Wang, H.F.; Yan, L.; Wang, X.; Pei, R.J.; Yan, T.; Zhao, Y.L.; Guo, X.B. Cytotoxicity of carbon nanomaterials: single-wall nanotube, multi-wall nanotube, and fullerene. Environ. Sci. Technol. 2005, 39, 1378–1383. [Google Scholar] [CrossRef] [PubMed]
- Chen, S.H.; Ng, S.L.; Cheow, Y.L.; Ting, A.S.Y.J. A novel study based on adaptive metal tolerance behavior in fungi and SEM-EDX analysis. Hazard. Mater. 2017, 334, 132–141. [Google Scholar] [CrossRef]
- Scrutton, M.C.; Wu, C.W.; Goldthwait, D.A. The presence and possible role of zinc in rna polymerase obtained from Escherichia coli. Proc. Natl. Acad. Sci. USA 1971, 68, 2497–2501. [Google Scholar] [CrossRef] [Green Version]
- Kropachev, K.Y.; Zharkov, D.O.; Grollman, A.P. Catalytic mechanism of Escherichia coli endonuclease VIII: roles of the intercalation loop and the zinc finger. Biochemistry 2006, 45, 12039–12049. [Google Scholar] [CrossRef] [Green Version]
- Ammendola, S.; Pasquali, P.; Pacello, F.; Rotilio, G.; Castor, M.; Libby, S.J.; Figueroa-Bossi, N.; Bossi, L.; Fang, F.C.; Battistoni, A. Regulatory and structural differences in the cu,zn-superoxide dismutases of salmonella enterica and their significance for virulence. J. Biol. Chem. 2008, 283, 13688–13699. [Google Scholar] [CrossRef] [Green Version]
- Meini, M.-R.; Gonzalez, L.J.; Vila, A.J. Antibiotic resistance in Zn(II)-deficient environments: Metallo-β-lactamase activation in the periplasm. Future Microbiol. 2013, 8, 947–949. [Google Scholar] [CrossRef] [Green Version]
- Vignesh, K.S.; Figueroa, J.A.L.; Porollo, A.; Caruso, J.A.; Deepe, G.S., Jr. Granulocyte macrophage-colony stimulating factor induced zn sequestration enhances macrophage superoxide and limits intracellular pathogen survival. Immunity 2013, 39, 697–710. [Google Scholar]
- Wooldridge, K.G.; Williams, P.H. Iron uptake mechanisms of pathogenic bacteria. FEMS Microbiol. Rev. 1993, 12, 325–348. [Google Scholar] [CrossRef] [PubMed]
- Song, W.; Wang, X.; Sun, Y.; Hayat, T.; Wang, X. Bioaccumulation and transformation of U(VI) by sporangiospores of Mucor circinelloides. Chem. Eng. J. 2020, 362, 81–88. [Google Scholar] [CrossRef]
- Wang, Y.; Wu, S.; Zhao, X.; Su, Z.; Du, L.; Sui, A. In vitro toxicity evaluation of graphene oxide on human RPMI 8226 cells. Bio Med. Mater. Eng. 2014, 24, 2007–2013. [Google Scholar] [CrossRef] [PubMed] [Green Version]
- Tu, Y.; Lv, M.; Xiu, P.; Tien, H.; Zhang, M.; Castelli, M.; Liu, Z.; Huang, Q.; Fan, C.; Fang, H.; et al. Destructive extraction of phospholipids from Escherichia coli membranes by graphene nanosheets. Nat. Nanotechnol. 2013, 8, 594–601. [Google Scholar] [CrossRef]










Publisher’s Note: MDPI stays neutral with regard to jurisdictional claims in published maps and institutional affiliations. |
© 2021 by the authors. Licensee MDPI, Basel, Switzerland. This article is an open access article distributed under the terms and conditions of the Creative Commons Attribution (CC BY) license (https://creativecommons.org/licenses/by/4.0/).
Share and Cite
Qiang, S.; Li, Z.; Zhang, L.; Luo, D.; Geng, R.; Zeng, X.; Liang, J.; Li, P.; Fan, Q. Cytotoxic Effect of Graphene Oxide Nanoribbons on Escherichia coli. Nanomaterials 2021, 11, 1339. https://doi.org/10.3390/nano11051339
Qiang S, Li Z, Zhang L, Luo D, Geng R, Zeng X, Liang J, Li P, Fan Q. Cytotoxic Effect of Graphene Oxide Nanoribbons on Escherichia coli. Nanomaterials. 2021; 11(5):1339. https://doi.org/10.3390/nano11051339
Chicago/Turabian StyleQiang, Shirong, Zhengbin Li, Li Zhang, Dongxia Luo, Rongyue Geng, Xueli Zeng, Jianjun Liang, Ping Li, and Qiaohui Fan. 2021. "Cytotoxic Effect of Graphene Oxide Nanoribbons on Escherichia coli" Nanomaterials 11, no. 5: 1339. https://doi.org/10.3390/nano11051339
APA StyleQiang, S., Li, Z., Zhang, L., Luo, D., Geng, R., Zeng, X., Liang, J., Li, P., & Fan, Q. (2021). Cytotoxic Effect of Graphene Oxide Nanoribbons on Escherichia coli. Nanomaterials, 11(5), 1339. https://doi.org/10.3390/nano11051339
