Assessment of Cytokine-Induced Neutrophil Chemoattractants as Biomarkers for Prediction of Pulmonary Toxicity of Nanomaterials
Abstract
1. Introduction
2. Materials and Methods
2.1. Sample (Nano)Materials
2.2. Animals
2.3. Sample Preparation of Nanoparticle Suspensions
2.4. Intratracheal Instillation
2.5. Inhalation Exposure
2.6. Estimation of Amount in Human Exposure Corresponding to the Intratracheal Instillation Dose in Rat
× (tidal volume) × (breathing frequency)
× (exposure hours in day) × (days of exposure)
× (particle deposition fraction)
2.7. Animals Following Intratracheal Instillation and Inhalation
2.8. Analysis of Inflammatory Cells in BALF with Cytospin
2.9. Measurement of Chemokines, Lactate Dehydrogenase and Heme Oxigenase-1 in BALF
2.10. Histopathology
2.11. Statistical Analysis
3. Result
3.1. Chemical Characterization of Materials
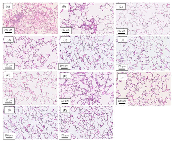
3.2. Cell Analysis in BALF and Pathologic Features in the Rat Lung
3.3. CINC-1 and CINC-2 Concentrations in BALF
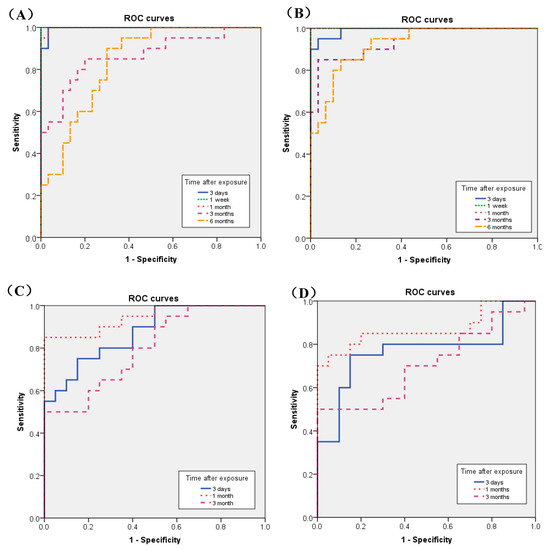
3.4. Correlation between CINCs and Lung Disorder Related Markers Such as Oxidative Stress, Lung Injury and Inflammation Score
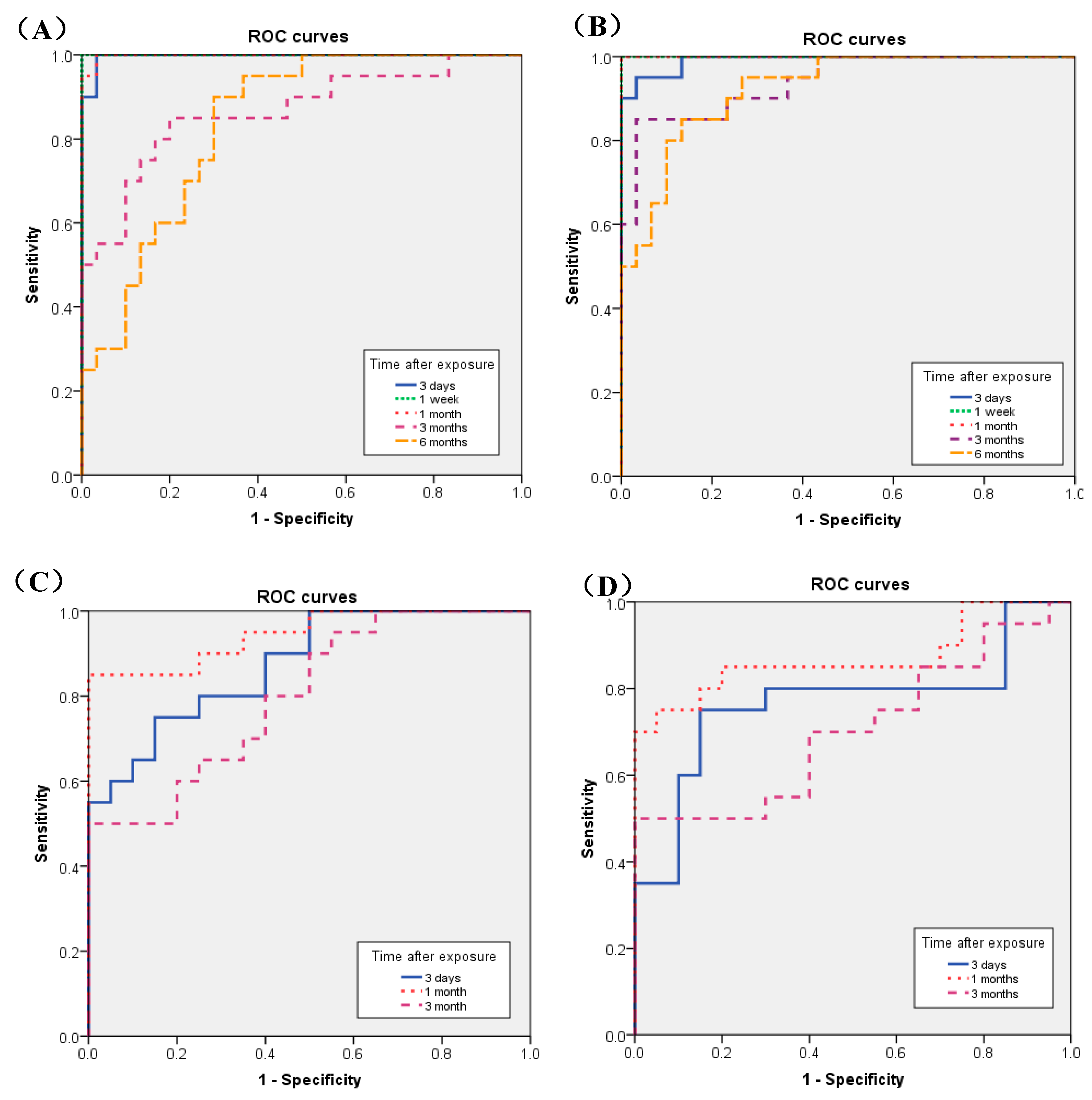
3.5. Assessment of the Accuracy of CINC-1 and CINC-2 for Measuring the Toxicity of Chemicals
3.6. The Prediction of Pulmonary Toxicity of Inhaled Chemicals Based on the Levels of CINC-1 and CINC-2
4. Discussion
5. Conclusions
Supplementary Materials
Author Contributions
Funding
Acknowledgments
Conflicts of Interest
References
- Morimoto, Y.; Izumi, H.; Kuroda, E. Significance of Persistent Inflammation in Respiratory Disorders Induced by Nanoparticles. J. Immunol. Res. 2014, 2014, 1–8. [Google Scholar] [CrossRef] [PubMed]
- Borm, P.J.A.; Driscoll, K. Particles, inflammation and respiratory tract carcinogenesis. Toxicol. Lett. 1996, 88, 109–113. [Google Scholar]
- Kim, H.; Morimoto, Y.; Ogami, A.; Nagatomo, H.; Hirohashi, M.; Oyabu, T.; Kawanami, Y.; Kuroda, E.; Higashi, T.; Tanaka, I. Differential expression of EC-SOD, Mn-SOD and CuZn-SOD in rat lung exposed to crystalline silica. J. Occup. Health 2007, 49, 242–248. [Google Scholar] [CrossRef] [PubMed]
- Fubini, B.; Hubbard, A. Reactive oxygen species (ROS) and reactive nitrogen species (RNS) generation by silica in inflammation and fibrosis. Free Radic. Biol. Med. 2003, 34, 1507–1516. [Google Scholar] [CrossRef]
- Muhle, H.; Bellmann, B.; Creutzenberg, O.; Dasenbrock, C.; Ernst, H.; Kilpper, R.; Mackenzie, J.C.; Morrow, P.; Mohr, U.; Takenaka, S.; et al. Pulmonary response to toner upon chronic inhalation exposure in rats. Toxicol. Sci. 1991, 17, 280–299. [Google Scholar] [CrossRef]
- Pott, F.; Ziem, U.; Reiffer, F.J.; Huth, F.; Ernst, H.; Mohr, U. Carcinogenicity studies on fibres, metal compounds, and some other dusts in rats. Exp. Pathol. 1987, 32, 129–152. [Google Scholar] [CrossRef]
- Sayes, C.M.; Marchione, A.A.; Reed, K.L.; Warheit, D.B. Comparative Pulmonary Toxicity Assessments of C60 Water Suspensions in Rats: Few Differences in Fullerene Toxicity in Vivo in Contrast to in Vitro Profiles. Nano Lett. 2007, 7, 2399–2406. [Google Scholar] [CrossRef]
- Warheit, D.B.; Hoke, R.A.; Finlay, C.; Donner, E.M.; Reed, K.L.; Sayes, C.M. Development of a base set of toxicity tests using ultrafine TiO2 particles as a component of nanoparticle risk management. Toxicol. Lett. 2007, 171, 99–110. [Google Scholar] [CrossRef]
- Handa, O.; Naito, Y.; Yoshikawa, T. Rat Cytokine-Induced Neutrophil Chemoattractant-1 (CINC-1) in Inflammation. J. Clin. Biochem. Nutr. 2006, 38, 51–58. [Google Scholar] [CrossRef]
- Mitsuhashi, H.; Hata, J.; Asano, S.; Kishimoto, T. Appearance of cytokine-induced neutrophil chemoattractant isoforms and immunolocalization of them in lipopolysaccharide-induced acute lung inflammation in rats. Inflamm. Res. 1999, 48, 588–593. [Google Scholar] [CrossRef]
- Watanabe, K.; Konishi, K.; Fujioka, M.; Kinoshita, S.; Nakagawa, H. The neutrophil chemoattractant produced by the rat kidney epithelioid cell line NRK-52E is a protein related to the KC/gro protein. J. Biol. Chem. 1989, 264, 19559–19563. [Google Scholar]
- Shanley, T.P.; Schmal, H.; Warner, R.L.; Schmid, E.; Friedl, H.P.; Ward, P.A. Requirement for C-X-C chemokines (macrophage inflammatory protein-2 and cytokine-induced neutrophil chemoattractant) in IgG immune complex-induced lung injury. J. Immunol. 1997, 158, 3439–3448. [Google Scholar] [PubMed]
- Le, Y.; Zhou, Y.; Iribarren, P.; Wang, J. Chemokines and chemokine receptors: Their manifold roles in homeostasis and disease. Cell. Mol. Immunol. 2004, 1, 95–104. [Google Scholar]
- Amano, H.; Oishi, K.; Sonoda, F.; Senba, M.; Wada, A.; Nakagawa, H.; Nagatake, T. Role of cytokine-induced neutrophil chemoattractant-2 (CINC-2) alpha in a rat model of chronic bronchopulmonary infections with Pseudomonas aeruginosa. Cytokine 2000, 12, 1662–1668. [Google Scholar] [CrossRef] [PubMed]
- Chuang, K.-H.; Peng, Y.-C.; Chien, H.-Y.; Lu, M.-L.; Du, H.-I.; Wu, Y.-L. Attenuation of LPS-Induced Lung Inflammation by Glucosamine in Rats. Am. J. Respir. Cell Mol. Biol. 2013, 49, 1110–1119. [Google Scholar] [CrossRef]
- Yokota, S.; Seki, T.; Furuya, M.; Ohara, N. Acute functional enhancement of circulatory neutrophils after intratracheal instillation with diesel exhaust particles in rats. Inhal. Toxicol. 2005, 17, 671–679. [Google Scholar] [CrossRef] [PubMed]
- Driscoll, K.E.; Howard, B.W.; Carter, J.M.; Asquith, T.; Johnston, C.; Detilleux, P.; Kunkel, S.L.; Isfort, R.J. Alpha-quartz-induced chemokine expression by rat lung epithelial cells: Effects of in vivo and in vitro particle exposure. Am. J. Pathol. 1996, 149, 1627–1637. [Google Scholar]
- Nishi, K.; Morimoto, Y.; Ogami, A.; Murakami, M.; Myojo, T.; Oyabu, T.; Kadoya, C.; Yamamoto, M.; Todoroki, M.; Hirohashi, M.; et al. Expression of cytokine-induced neutrophil chemoattractant in rat lungs by intratracheal instillation of nickel oxide nanoparticles. Inhal. Toxicol. 2009, 21, 1030–1039. [Google Scholar] [CrossRef]
- Morimoto, Y.; Izumi, H.; Yoshiura, Y.; Tomonaga, T.; Lee, B.-W.; Okada, T.; Oyabu, T.; Myojo, T.; Kawai, K.; Yatera, K.; et al. Comparison of pulmonary inflammatory responses following intratracheal instillation and inhalation of nanoparticles. Nanotoxicology 2016, 10, 607–618. [Google Scholar] [CrossRef]
- Yoshiura, Y.; Izumi, H.; Oyabu, T.; Hashiba, M.; Kambara, T.; Mizuguchi, Y.; Lee, B.W.; Okada, T.; Tomonaga, T.; Myojo, T.; et al. Pulmonary toxicity of well-dispersed titanium dioxide nanoparticles following intratracheal instillation. J. Nanopart. Res. 2015, 17, 241. [Google Scholar] [CrossRef]
- Morimoto, Y.; Izumi, H.; Yoshiura, Y.; Tomonaga, T.; Oyabu, T.; Myojo, T.; Kawai, K.; Yatera, K.; Shimada, M.; Kubo, M.; et al. Pulmonary toxicity of well-dispersed cerium oxide nanoparticles following intratracheal instillation and inhalation. J. Nanopart. Res. 2015, 17, 442. [Google Scholar] [CrossRef] [PubMed]
- Morimoto, Y.; Izumi, H.; Yoshiura, Y.; Tomonaga, T.; Oyabu, T.; Myojo, T.; Kawai, K.; Yatera, K.; Shimada, M.; Kubo, M.; et al. Evaluation of pulmonary toxicity of zinc oxide nanoparticles following inhalation and intratracheal instillation. Int. J. Mol. Sci. 2016, 17, 1241. [Google Scholar] [CrossRef] [PubMed]
- Morimoto, Y.; Izumi, H.; Yoshiura, Y.; Fujishima, K.; Yatera, K.; Yamamoto, K. Usefulness of Intratracheal Instillation Studies for Estimating Nanoparticle-Induced Pulmonary Toxicity. Int. J. Mol. Sci. 2016, 17, 165. [Google Scholar] [CrossRef]
- Oyabu, T.; Morimoto, Y.; Hirohashi, M.; Horie, M.; Kambara, T.; Lee, B.W.; Hashiba, M.; Mizuguchi, Y.; Myojo, T.; Kuroda, E. Dose-dependent pulmonary response of well-dispersed titanium dioxide nanoparticles following intratracheal instillation. J. Nanopart. Res. 2013, 15, 1600. [Google Scholar] [CrossRef]
- Kubo, M.; Nakaoka, A.; Morimoto, K.; Shimada, M.; Horie, M.; Morimoto, Y.; Sasaki, T. Aerosol generation by a spray-drying technique under coulomb explosion and rapid evaporation for the preparation of aerosol particles for inhalation tests. Aerosol Sci. Technol. 2014, 48, 698–705. [Google Scholar] [CrossRef]
- Shimada, M.; Wang, W.N.; Okuyama, K.; Myojo, T.; Oyabu, T.; Morimoto, Y.; Tanaka, I.; Endoh, S.; Uchida, K.; Ehara, K.; et al. Development and evaluation of an aerosol generation and supplying system for inhalation experiments of manufactured nanoparticles. Environ. Sci. Technol. 2009, 43, 5529–5534. [Google Scholar] [CrossRef]
- Kuempel, E.D.; Tran, C.L.; Castranova, V.; Bailer, A.J. Lung dosimetry and risk assessment of nanoparticles: Evaluating and extending current models in rats and humans. Inhal. Toxicol. 2006, 18, 717–724. [Google Scholar] [CrossRef]
- Tomonaga, T.; Izumi, H.; Yoshiura, Y.; Myojo, T.; Oyabu, T.; Lee, B.-W.; Okada, T.; Marui, T.; Wang, K.-Y.; Kubo, M.; et al. Usefulness of myeloperoxidase as a biomarker for the ranking of pulmonary toxicity of nanomaterials. Part. Fibre Toxicol. 2018, 15, 41. [Google Scholar] [CrossRef]
- Dunnick, J.K.; Elwell, M.R.; Radovsky, A.E.; Benson, J.M.; Hahn, F.F.; Nikula, K.J.; Barr, E.B.; Hobbs, C.H. Comparative Carcinogenic Effects of Nickel Subsulfide, Nickel Oxide, or Nickel Sulfate Hexahydrate Chronic Exposures in the Lung. Cancer Res. 1995, 55, 5251–5256. [Google Scholar]
- Ma, J.Y.C.; Young, S.H.; Mercer, R.R.; Barger, M.; Schwegler-Berry, D.; Ma, J.K.; Castranova, V. Interactive effects of cerium oxide and diesel exhaust nanoparticles on inducing pulmonary fibrosis. Toxicol. Appl. Pharmacol. 2014, 278, 135–147. [Google Scholar] [CrossRef]
- Kobayashi, N.; Naya, M.; Endoh, S.; Maru, J.; Yamamoto, K.; Nakanishi, J. Comparative pulmonary toxicity study of nano-TiO2 particles of different sizes and agglomerations in rats: Different short- and long-term post-instillation results. Toxicology 2009, 264, 110–118. [Google Scholar] [CrossRef] [PubMed]
- Adamcakova-Dodd, A.; Stebounova, L.V.; Kim, J.; Vorrink, S.U.; Ault, A.P.; O’Shaughnessy, P.T.; Grassian, V.H.; Thorne, P.S. Toxicity assessment of zinc oxide nanoparticles using sub-acute and sub-chronic murine inhalation models. Part. Fibre Toxicol. 2014, 11, 15. [Google Scholar] [CrossRef] [PubMed]
- Morimoto, Y.; Hirohashi, M.; Ogami, A.; Oyabu, T.; Myojo, T.; Nishi, K.; Kadoya, C.; Todoroki, M.; Yamamoto, M.; Murakami, M.; et al. Inflammogenic effect of well-characterized fullerenes in inhalation and intratracheal instillation studies. Part. Fibre Toxicol. 2010, 7, 4. [Google Scholar] [CrossRef] [PubMed]
- Driscoll, K.E.; Hassenbein, D.G.; Carter, J.; Poynter, J.; Asquith, T.N.; Grant, R.A.; Whitten, J.; Purdon, M.P.; Takigiku, R. Macrophage inflammatory proteins 1 and 2: Expression by rat alveolar macrophages, fibroblasts, and epithelial cells and in rat lung after mineral dust exposure. Am. J. Respir. Cell Mol. Biol. 1993, 8, 311–318. [Google Scholar] [CrossRef] [PubMed]
- Krug, H.F. Nanosafety research-are we on the right track? Angew. Chemie. Int. Ed. 2014, 53, 12304–12319. [Google Scholar] [CrossRef]
- Ahamed, M.; Akhtar, M.J.; Alhadlaq, H.A.; Alrokayan, S.A. Assessment of the lung toxicity of copper oxide nanoparticles: Current status. Nanomedicine (Lond.) 2015, 10, 2365–2377. [Google Scholar] [CrossRef]
- Cho, W.-S.; Duffin, R.; Poland, C.A.; Duschl, A.; Oostingh, G.J.; MacNee, W.; Bradley, M.; Megson, I.L.; Donaldson, K. Differential pro-inflammatory effects of metal oxide nanoparticles and their soluble ions in vitro and in vivo; zinc and copper nanoparticles, but not their ions, recruit eosinophils to the lungs. Nanotoxicology 2012, 6, 22–35. [Google Scholar] [CrossRef]
- Swets, J.A. Signal detection theory and ROC analysis in psychology and diagnostics: Collected papers. In Scientific Psychology Series; Psychology Press: Brandon, VT, USA, 1996; ISBN 0805818340. [Google Scholar]
- Sayes, C.M.; Reed, K.L.; Warheit, D.B. Assessing toxicity of fine and nanoparticles: Comparing in vitro measurements to in vivo pulmonary toxicity profiles. Toxicol. Sci. 2007, 97, 163–180. [Google Scholar] [CrossRef]
- Warheit, D.B.; Webb, T.R.; Colvin, V.L.; Reed, K.L.; Sayes, C.M. Pulmonary bioassay studies with nanoscale and fine-quartz particles in rats: Toxicity is not dependent upon particle size but on surface characteristics. Toxicol. Sci. 2007, 95, 270–280. [Google Scholar] [CrossRef]
- Silva, R.M.; Anderson, D.S.; Peake, J.; Edwards, P.C.; Patchin, E.S.; Guo, T.; Gordon, T.; Chen, L.C.; Sun, X.; Van Winkle, L.S.; et al. Aerosolized Silver Nanoparticles in the Rat Lung and Pulmonary Responses over Time. Toxicol. Pathol. 2016, 44, 673–686. [Google Scholar] [CrossRef]
- Jeong, J.; Kim, J.; Seok, S.H.; Cho, W.S. Indium oxide (In2O3) nanoparticles induce progressive lung injury distinct from lung injuries by copper oxide (CuO) and nickel oxide (NiO) nanoparticles. Arch. Toxicol. 2016, 90, 817–828. [Google Scholar] [CrossRef] [PubMed]
- Stringer, K.A.; Freed, B.M.; Dunn, J.S.; Sayers, S.; Gustafson, D.L.; Flores, S.C. Particulate phase cigarette smoke increases MnSOD, NQO1, and CINC-1 in rat lungs. Free Radic. Biol. Med. 2004, 37, 1527–1533. [Google Scholar] [CrossRef] [PubMed]
- Haberl, N.; Hirn, S.; Wenk, A.; Diendorf, J.; Epple, M.; Johnston, B.D.; Krombach, F.; Kreyling, W.G.; Schleh, C. Cytotoxic and proinflammatory effects of PVP-coated silver nanoparticles after intratracheal instillation in rats. Beilstein J. Nanotechnol. 2013, 4, 933–940. [Google Scholar] [CrossRef]
- Dostert, C.; Pétrilli, V.; Van Bruggen, R.; Steele, C.; Mossman, B.T.; Tschopp, J. Innate immune activation through Nalp3 inflammasome sensing of asbestos and silica. Science 2008, 320, 674–677. [Google Scholar] [CrossRef] [PubMed]
- Chen, G.Y.; Nuñez, G. Sterile inflammation: Sensing and reacting to damage. Nat. Rev. Immunol. 2010, 10, 826–837. [Google Scholar] [CrossRef]
- Roh, J.S.; Sohn, D.H. Damage-Associated Molecular Patterns in Inflammatory Diseases. Immune Netw. 2018, 18. [Google Scholar] [CrossRef] [PubMed]
- Shen, H.; Kreisel, D.; Goldstein, D.R. Processes of Sterile Inflammation. J. Immunol. 2013, 191, 2857–2863. [Google Scholar] [CrossRef] [PubMed]
- Jeong, J.; Han, Y.; Poland, C.A.; Cho, W.-S. Response-metrics for acute lung inflammation pattern by cobalt-based nanoparticles. Part. Fibre Toxicol. 2015, 12, 13. [Google Scholar] [CrossRef]
- Morimoto, Y.; Hirohashi, M.; Ogami, A.; Oyabu, T.; Myojo, T.; Hashiba, M.; Mizuguchi, Y.; Kambara, T.; Lee, B.W.; Kuroda, E.; et al. Expression of cytokine-induced neutrophil chemoattractant in rat lungs following an intratracheal instillation of micron-sized nickel oxide nanoparticle agglomerates. Toxicol. Ind. Health 2014, 30, 851–860. [Google Scholar] [CrossRef]







| NiO | CeO2 | TiO2 (Rutile) | ZnO | |
|---|---|---|---|---|
| Exposure concentration of nanoparticles (mg/m3) | 1.65 | 10.2 | 1.8 | 10.4 |
| Tidal volume in rat/human (mL/time) | 2.1/625 | – | – | – |
| Breathing frequency in rat/human (times/min) | 102/12 | – | – | – |
| Exposure hours per day (rat/human) | 6/8 | – | – | – |
| days of exposure (rat) | 20 | – | – | – |
| (A) Intratracheal Instillation | |||||||||
| Time | AUC 1 | (95% CI) | p-Values | Cutoff (pg/mL) | Sensitivity | Specificity | PPV 2 | NPV 3 | |
| CINC-1 | 3 days | 0.997 | 0.988–1.000 | 0.000 | 188 | 1.00 | 0.97 | 0.95 | 1.00 |
| 1 week | 1.000 | 1.000–1.000 | 0.000 | 100 | 1.00 | 1.00 | 1.00 | 1.00 | |
| 1 month | 0.998 | 0.993–1.000 | 0.000 | 44 | 1.00 | 0.97 | 0.95 | 1.00 | |
| 3 months | 0.865 | 0.755–0.975 | 0.000 | 44 | 0.85 | 0.80 | 0.74 | 0.89 | |
| 6 months | 0.837 | 0.729–0.945 | 0.000 | 21 | 0.90 | 0.70 | 0.67 | 0.91 | |
| CINC-2 | 3 days | 0.992 | 0.975–1.000 | 0.000 | 1450 | 0.95 | 0.97 | 0.95 | 0.97 |
| 1 week | 1.000 | 1.000–1.000 | 0.000 | 851 | 1.00 | 1.00 | 1.00 | 1.00 | |
| 1 month | 1.000 | 1.000–1.000 | 0.000 | 569 | 1.00 | 1.00 | 1.00 | 1.00 | |
| 3 months | 0.940 | 0.875–1.000 | 0.000 | 726 | 0.85 | 0.97 | 0.94 | 0.91 | |
| 6 months | 0.923 | 0.853–0.994 | 0.000 | 323 | 0.85 | 0.87 | 0.81 | 0.90 | |
| (B) Inhalation Exposure | |||||||||
| Time | AUC 1 | (95% CI) | p-Values | Cutoff (pg/mL) | Sensitivity | Specificity | PPV 2 | NPV 3 | |
| CINC-1 | 3 days | 0.875 | 0.771–0.979 | 0.000 | 130 | 0.70 | 0.85 | 0.82 | 0.74 |
| 1 month | 0.945 | 0.877–1.000 | 0.000 | 26 | 0.85 | 1.00 | 1.00 | 0.87 | |
| 3 months | 0.800 | 0.666–0.934 | 0.001 | 18 | 0.80 | 0.60 | 0.67 | 0.75 | |
| CINC-2 | 3 days | 0.768 | 0.609–0.926 | 0.004 | 312 | 0.80 | 0.70 | 0.73 | 0.78 |
| 1 month | 0.870 | 0.749–0.991 | 0.000 | 295 | 0.85 | 0.80 | 0.81 | 0.84 | |
| 3 months | 0.705 | 0.539–0.871 | 0.027 | 277 | 0.70 | 0.60 | 0.64 | 0.67 | |
| 3 Days | 1 Week | 1 Month | 3 Months | 6 Months | ||
|---|---|---|---|---|---|---|
| CINC-1 | Cutoff value (pg/mL) | 188 | 100 | 44 | 44 | 21 |
| No. of above cutoff | 0/5 | 0/5 | 5/5 | 5/5 | 5/5 | |
| CINC-2 | Cutoff value (pg/mL) | 1450 | 851 | 569 | 726 | 323 |
| No. of above cutoff | 1/5 | 0/5 | 5/5 | 5/5 | 5/5 |
© 2020 by the authors. Licensee MDPI, Basel, Switzerland. This article is an open access article distributed under the terms and conditions of the Creative Commons Attribution (CC BY) license (http://creativecommons.org/licenses/by/4.0/).
Share and Cite
Tomonaga, T.; Izumi, H.; Oyabu, T.; Lee, B.-W.; Kubo, M.; Shimada, M.; Noguchi, S.; Nishida, C.; Yatera, K.; Morimoto, Y. Assessment of Cytokine-Induced Neutrophil Chemoattractants as Biomarkers for Prediction of Pulmonary Toxicity of Nanomaterials. Nanomaterials 2020, 10, 1563. https://doi.org/10.3390/nano10081563
Tomonaga T, Izumi H, Oyabu T, Lee B-W, Kubo M, Shimada M, Noguchi S, Nishida C, Yatera K, Morimoto Y. Assessment of Cytokine-Induced Neutrophil Chemoattractants as Biomarkers for Prediction of Pulmonary Toxicity of Nanomaterials. Nanomaterials. 2020; 10(8):1563. https://doi.org/10.3390/nano10081563
Chicago/Turabian StyleTomonaga, Taisuke, Hiroto Izumi, Takako Oyabu, Byeong-Woo Lee, Masaru Kubo, Manabu Shimada, Shingo Noguchi, Chinatsu Nishida, Kazuhiro Yatera, and Yasuo Morimoto. 2020. "Assessment of Cytokine-Induced Neutrophil Chemoattractants as Biomarkers for Prediction of Pulmonary Toxicity of Nanomaterials" Nanomaterials 10, no. 8: 1563. https://doi.org/10.3390/nano10081563
APA StyleTomonaga, T., Izumi, H., Oyabu, T., Lee, B.-W., Kubo, M., Shimada, M., Noguchi, S., Nishida, C., Yatera, K., & Morimoto, Y. (2020). Assessment of Cytokine-Induced Neutrophil Chemoattractants as Biomarkers for Prediction of Pulmonary Toxicity of Nanomaterials. Nanomaterials, 10(8), 1563. https://doi.org/10.3390/nano10081563

