Usefulness of Deep Learning Techniques Using Magnetic Resonance Imaging for the Diagnosis of Meningioma and Atypical Meningioma
Abstract
1. Introduction
2. Materials and Methods
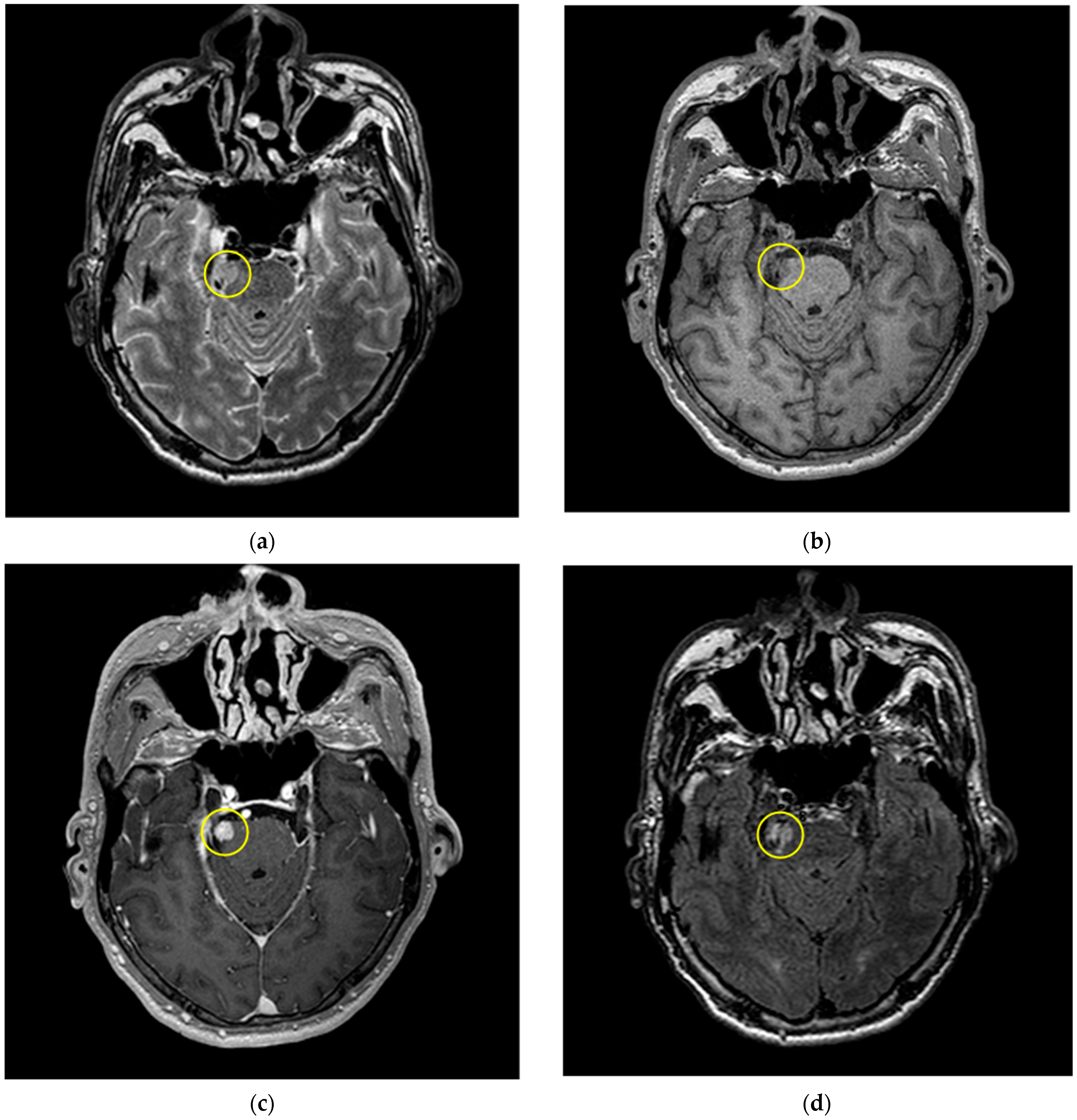
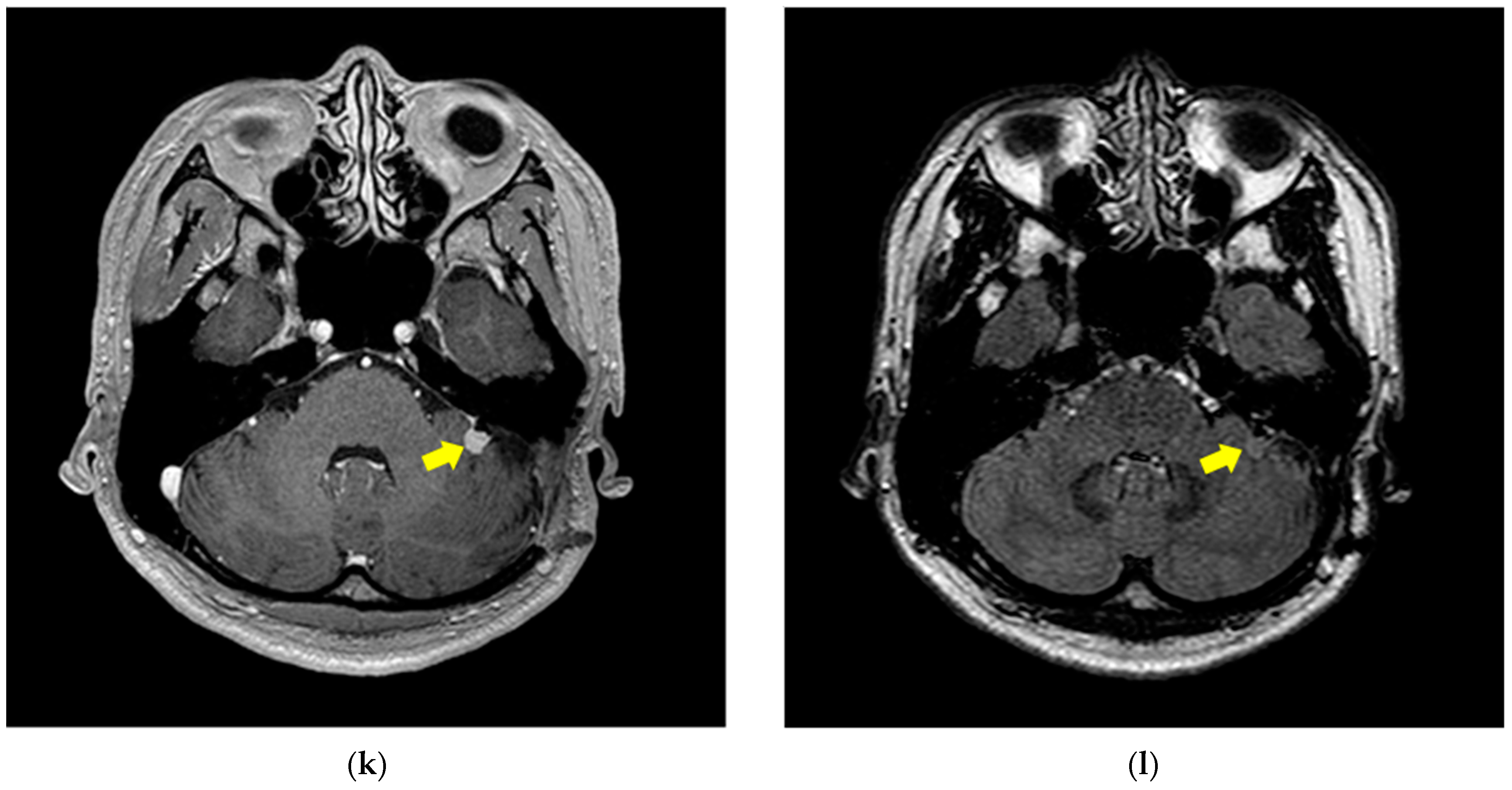
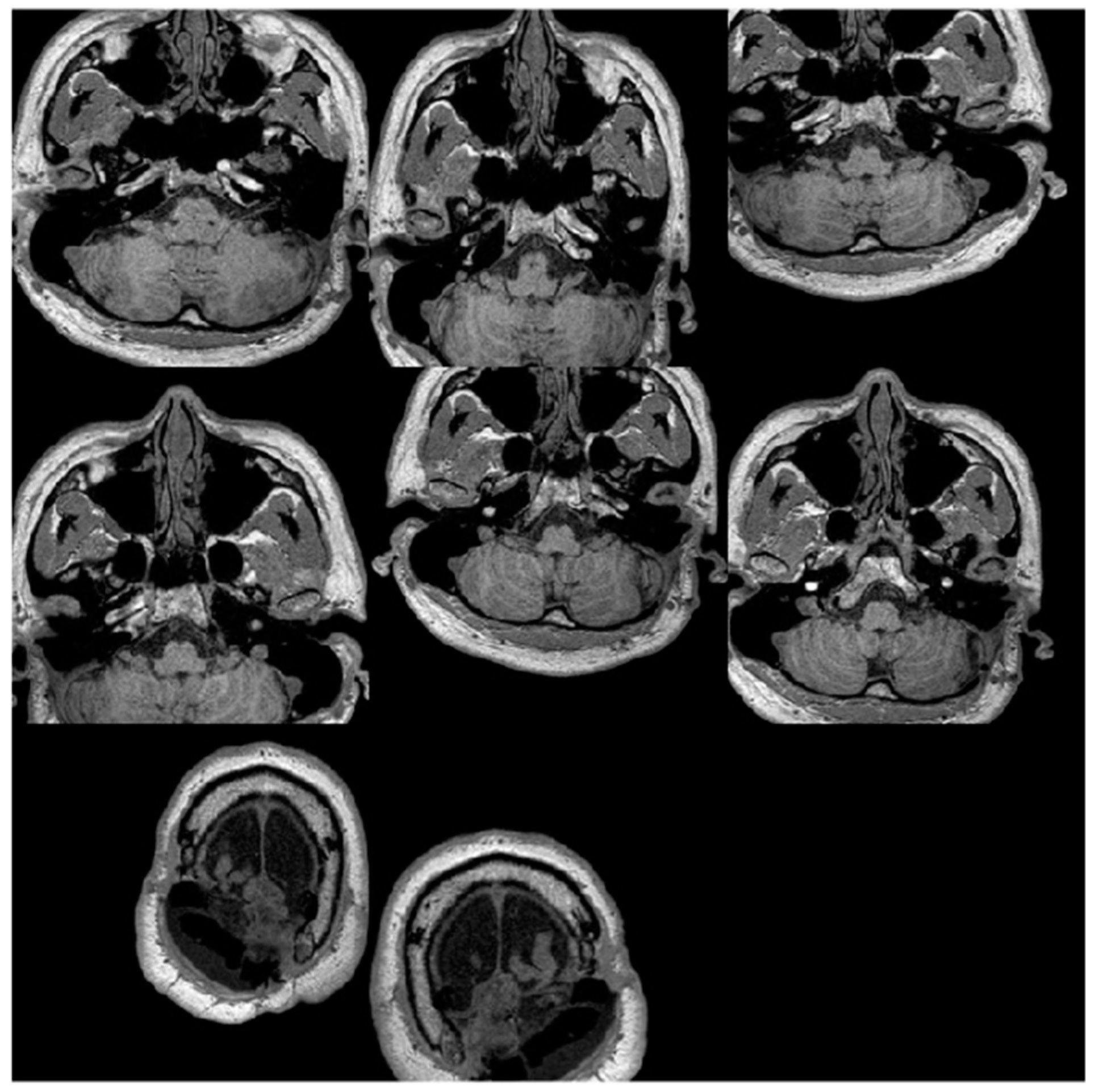
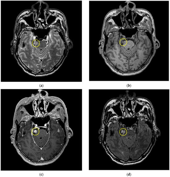
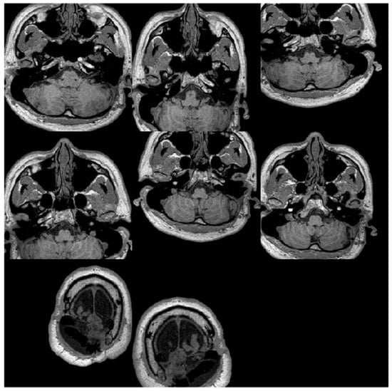
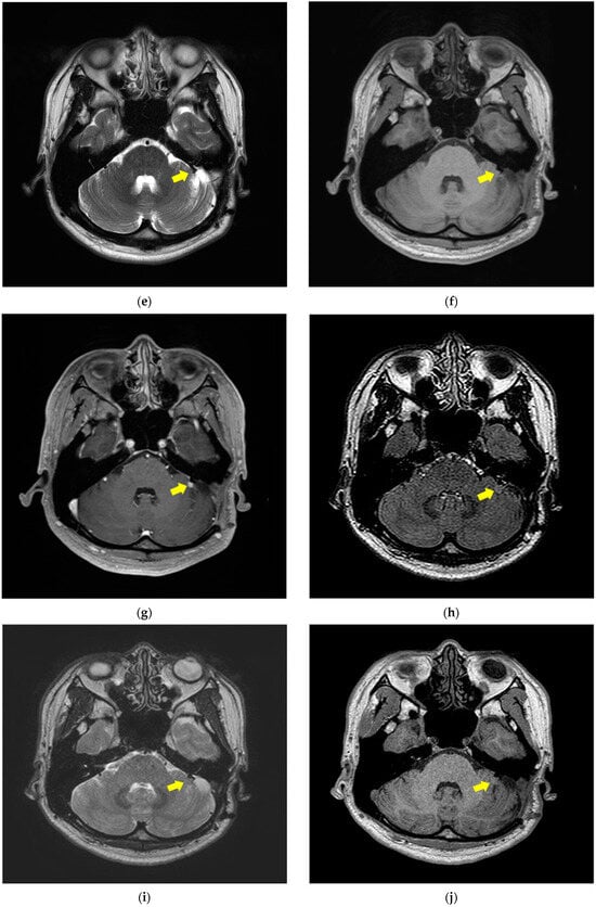
2.1. MRI Dataset
2.2. Image Pre-Processing
2.3. Convolutional Neural Network Based on Deep Learning
2.4. Dataset Augmentation
2.5. Transfer Learning
2.6. Performance Evaluation
3. Results
3.1. Image Pre-Processing
3.2. Convolutional Neural Network Based on Deep Learning
3.3. Dataset Augmentation
3.4. Transfer Learning
3.5. Performance Evaluation
4. Discussions
5. Conclusions
Author Contributions
Funding
Institutional Review Board Statement
Informed Consent Statement
Data Availability Statement
Acknowledgments
Conflicts of Interest
References
- Wang, N.; Osswald, M. Meningiomas: Overview and new directions in therapy. Semin. Neurol. 2018, 38, 112–120. [Google Scholar] [CrossRef] [PubMed]
- Li, X.; Miao, Y.; Han, L.; Dong, J.; Guo, Y.; Shang, Y.; Xie, L.; Song, Q.; Liu, A. Meningioma grading using conventional MRI histogram analysis based on 3D tumor measurement. Eur. J. Radiol. 2019, 110, 45–53. [Google Scholar] [CrossRef] [PubMed]
- Spille, D.C.; Sporns, P.B.; Hess, K.; Stummer, W.; Brokinkel, B. Prediction of high-grade histology and recurrence in meningiomas using routine preoperative magnetic resonance imaging: A systematic review. World Neurosurg. 2019, 128, 174–181. [Google Scholar] [CrossRef] [PubMed]
- Lin, B.J.; Chou, K.N.; Kao, H.W.; Lin, C.; Tsai, W.C.; Feng, S.W.; Lee, M.S.; Hueng, D.Y. Correlation between magnetic resonance imaging grading and pathological grading in meningioma. J. Neurosurg. 2014, 121, 1201–1208. [Google Scholar] [CrossRef]
- Soleman, J.; Fathi, A.R.; Marbacher, S.; Fandino, J. The role of intraoperative magnetic resonance imaging in complex meningioma surgery. Magn. Reson. Imaging 2013, 31, 923–929. [Google Scholar] [CrossRef]
- Yin, Z.; Lu, X.; Cohen, S.C.; Sui, Y.; Manduca, A.; Gompel, J.V.; Ehman, R.L.; III, J.H. A new method for quantification and 3D visualization of brain tumor adhesion using slip interface imaging in patients with meningiomas. Eur. Radiol. 2021, 31, 5554–5564. [Google Scholar] [CrossRef]
- Attia, A.; Chan, M.D.; Mott, R.T.; Russell, G.B.; Seif, D.; Bourland, J.D.; Deguzman, A.F.; Ellis, T.L.; McMullen, K.P.; Munley, M.T.; et al. Patterns of failure after treatment of atypical meningioma with gamma knife radiosurgery. J. Neurooncol. 2012, 108, 179–185. [Google Scholar] [CrossRef]
- Marchetti, M.; Sahgal, A.; Salles, A.A.F.D.; Levivier, M.; Ma, L.; Paddick, L.; Pollock, B.E.; Regis, J.; Sheehan, J.; Suh, J.H.; et al. Stereotactic radiosurgery for intracranial noncavernous sinus benign meningioma: International Stereotactic Radiosurgery Society systematic review, meta-analysis and practice guideline. Neurosurgery 2020, 87, 879–890. [Google Scholar] [CrossRef]
- Yan, P.F.; Yan, L.; Hu, T.T.; Xiao, D.D.; Zhang, Z.; Zhao, H.Y.; Feng, J. The potential value of preoperative MRI texture and shape analysis in grading meningiomas: A preliminary investigation. Transl. Oncol. 2017, 10, 570–577. [Google Scholar] [CrossRef]
- Vassantachart, A.; Cao, Y.; Gribble, M.; Guzman, S.; Ye, J.C.; Hurth, K.; Mathew, A.; Zada, G.; Fan, Z.; Chang, E.L.; et al. Automatic differentiation of Grade I and II meningiomas on magnetic resonance image using an asymmetric convolutional neural network. Sci. Rep. 2022, 12, 3806. [Google Scholar] [CrossRef]
- Jo, K.; Park, H.J.; Nam, D.H.; Lee, J.I.; Kong, D.S.; Park, K.; Kim, J.H. Treatment of atypical meningioma. J. Clin. Neurosci. 2010, 17, 1362–1366. [Google Scholar] [CrossRef] [PubMed]
- Fushimi, Y.; Yoshida, K.; Okawa, M.; Maki, T.; Nakajima, S.; Sakata, A.; Okuchi, S.; Hinoda, T.; Kanagaki, M.; Nakamoto, Y. Vessel wall MR imaging in neuroradiology. Radiol. Med. 2022, 127, 1032–1045. [Google Scholar] [CrossRef] [PubMed]
- Kwee, R.M.; Kwee, T.C. Diagnostic performance of MRI in detecting locally recurrent soft tissue sarcoma: Systematic review and meta-analysis. Eur. Radiol. 2022, 32, 3915–3930. [Google Scholar] [CrossRef] [PubMed]
- Roozpeykar, S.; Azizian, M.; Zamani, Z.; Farzan, M.R.; Veshnavei, H.A.; Tavoosi, N.; Toghyani, A.; Sadeghian, A.; Afzali, M. Contrast-enhanced weighted-T1 and FLAIR sequences in MRI of meningeal lesions. Am. J. Nucl. Med. Mol. Imaging 2022, 12, 63–70. [Google Scholar]
- Bruno, F.; Marrelli, A.; Tommasino, E.; Martinese, G.; Gagliardi, A.; Pertici, L.; Pagliei, V.; Palumbo, P.; Arrigoni, F.; Cesare, D.; et al. Advanced MRI imaging of nerve roots in lumbar radiculopathy due to discoradicular conflict: DWI, DTI, and T2 mapping with clinical and neurophysiological correlations. Radiol. Med. 2022, 127, 1070–1076. [Google Scholar] [CrossRef]
- Khojaste-Sarakhsi, M.; Haghighi, S.S.; Fatemi-Ghomi, S.M.T.; Marchiori, E. Deep learning for Alzheimer’s disease diagnosis: A survey. Artif. Intell. Med. 2022, 130, 102332. [Google Scholar] [CrossRef]
- Ali, S.; Li, J.; Pei, Y.; Khurram, R.; Rehman, K.U.; Mahmood, T. A comprehensive survey on brain tumor diagnosis using deep learning and emerging hybrid techniques with multi-modal MR image. Arch. Comput. Method. Eng. 2022, 29, 4871–4896. [Google Scholar] [CrossRef]
- Senan, E.M.; Jadhav, M.E.; Rassem, T.H.; Alialoud, A.S.; Mohammed, B.A.; Al-Mekhlafi, Z.G. Early diagnosis of brain tumour MRI images using hybrid techniques between deep and machine learning. Comput. Math Method Med. 2022, 2022, 8330833. [Google Scholar] [CrossRef]
- Younis, A.; Qiang, L.; Nyatega, C.O.; Adamu, M.J.; Kawuwa, H.B. Brain tumor analysis using deep learning and VGG-16 ensembling learning approaches. Appl. Sci. 2022, 12, 7282–7301. [Google Scholar] [CrossRef]
- Rasool, M.; Ismail, N.A.; Boulila, W.; Ammar, A.; Samma, H.; Yafooz, W.M.S.; Emara, A.H.M. A hybrid deep learning model for brain tumour classification. Entropy 2022, 24, 799–814. [Google Scholar] [CrossRef]
- Deepak, S.; Ameer, P.M. Brain tumor classification using deep CNN features via transfer learning. Comput. Biol. Med. 2019, 111, 103345–103351. [Google Scholar] [CrossRef] [PubMed]
- Sajjad, M.; Khan, S.; Muhammad, K.; Wu, W.; Ullah, A.; Baik, S.W. Multi-grade brain tumor classification using deep CNN with extensive data augmentation. J. Comput. Sci. 2019, 30, 174–182. [Google Scholar] [CrossRef]
- Anaraki, A.K.; Ayati, M.; Kazemi, F. Magnetic resonance imaging-based brain tumor grades classification and grading via convolutional neural networks and genetic algorithms. Biocybern. Biomed. Eng. 2020, 39, 63–74. [Google Scholar] [CrossRef]
- Shin, I.; Kim, H.; Ahn, S.S.; Sohn, B.; Bae, S.; Park, J.E.; Kim, H.S.; Lee, S.K. Development and validation of a deep learning–based model to distinguish glioblastoma from solitary brain metastasis using conventional MR images. Am. J. Neuroradiol. 2021, 42, 838–844. [Google Scholar] [CrossRef]
- Glide-Hurst, C.K.; Paulson, E.S.; McGee, K.; Tyagi, N.; Hu, Y.; Balter, J.; Bayouth, J. Task group 284 report: Magnetic resonance imaging simulation in radiotherapy: Considerations for clinical implementation, optimization, and quality assurance. Med. Phys. 2021, 48, e646–e670. [Google Scholar] [CrossRef]
- Prisciandaro, J.; Zoberi, J.E.; Cohen, G.; Kim, Y.; Johnson, P.; Paulson, E.; Song, W.; Hwang, K.P.; Erickson, B.; Beriwal, S.; et al. AAPM task group report 303 endorsed by the ABS: MRI implementation in HDR brachytherapy—Considerations from simulation to treatment. Med. Phys. 2022, 49, e983–e1023. [Google Scholar] [CrossRef]
- Lee, K.B.; Park, Y.S.; Choi, Y.B. Dual-source parallel radiofrequency excitation ACR phantom magnetic resonance imaging at 3 T: Assessment of the effect of image quality on high-contrast spatial resolution, percent signal ghosting, and low-contrast object detectability in comparison with conventional single-source transmission. J. Korean Phys. Soc. 2013, 63, 1630–1636. [Google Scholar] [CrossRef]
- Kumar, Y.; Koul, A.; Singla, R.; Liaz, M.F. Artificial intelligence in disease diagnosis: A systematic literature review, synthesizing framework and future research agenda. J. Ambient Intell. Humaniz. Comput. 2023, 14, 8459–8486. [Google Scholar] [CrossRef]
- Saravanan, S.; Ramkumar, K.; Adalarasu, K.; Sivanandam, V.; Kumar, S.R.; Stalin, S.; Amirtharajan, R. A systematic review of artificial intelligence (AI)-based approaches for the diagnosis of Parkinson’s disease. Arch Comput. Method Eng. 2022, 29, 3639–3653. [Google Scholar] [CrossRef]
- Kibriya, H.; Amin, R.; Alshehri, A.H.; Masood, M.; Alshamrani, S.S.; Alshehri, A. A novel and effective brain tumor classification model using deep feature fusion and famous machine learning classifiers. Comput. Intell. Neurosci. 2022, 2022, 7897669. [Google Scholar] [CrossRef]
- Vankdothu, R.; Hameed, M.A.; Fatima, H. A brain tumor identification and classification using deep learning based on CNN-LSTM method. Comput. Electr. Eng. 2022, 101, 107960–107975. [Google Scholar] [CrossRef]
- Aamir, M.; Rahman, Z.; Dayo, Z.A.; Abro, W.A.; Uddin, M.I.; Khan, L.; Imran, A.S.; Ali, Z.; Ishfaq, M.; Guan, Y.; et al. A deep learning approach for brain tumor classification using MRI images. Comput. Electr. Eng. 2022, 101, 108105–108112. [Google Scholar] [CrossRef]
- Yoo, S.B.; Han, M.K. SCENet: Secondary domain intercorrelation enhanced network for alleviating compressed Poisson noises. Sensors 2019, 19, 1939. [Google Scholar] [CrossRef] [PubMed]
- Alturki, A.; Bchir, O.; Ismail, M.M.B. Depth-adaptive deep neural network based on learning layer relevance weights. Appl. Sci. 2023, 13, 398. [Google Scholar] [CrossRef]
- Hwang, J.H.; Park, C.K.; Lee, K.B.; Lee, T.S. Evaluation of the usefulness of deep neural networks in classifying X-ray images according to radiation exposure level for automatic exposure control of digital radiography. J. Korean Phys. Soc. 2021, 79, 208–215. [Google Scholar] [CrossRef]
- Lin, S.L. Application combining VMD and ResNet101 in intelligent diagnosis of motor faults. Sensors 2021, 21, 606. [Google Scholar] [CrossRef]
- Li, X.; Wang, Z.; Fang, H.; Fan, Z.; Li, S.; Huang, Z. Adaptive image noise level estimation with Chi-square distribution on the flat patches selected by improved PCANet and ResNet101. Optik 2023, 287, 171107. [Google Scholar] [CrossRef]
- Wang, Z.; Yang, J. Diabetic retinopathy detection via deep convolutional networks for discriminative localization and visual explanation. arXiv 2017, 1703, 1–9. [Google Scholar] [CrossRef]
- LeCun, Y.; Bengio, Y.; Hinton, G. Deep learning. Nature 2015, 521, 436–444. [Google Scholar] [CrossRef]
- Xie, Z.; He, F.; Fu, S.; Sato, I.; Tao, D.; Sugiyama, M. Artificial neural variability for deep learning: On overfitting, noise memorization, and catastrophic forgetting. Neural Comput. 2021, 33, 2163–2192. [Google Scholar] [CrossRef]
- Mutasa, S.; Sun, S.; Ha, R. Understanding artificial intelligence-based radiology studies: What is overfitting? Clin. Imaging 2020, 65, 96–99. [Google Scholar] [CrossRef]








| Reference | Data Source | Algorithm | MRI Protocol | Classification Class |
|---|---|---|---|---|
| Deepak, S. et al. [21] | Figshare brain tumor dataset | GoogLeNet | CE-T1WI | Meningioma Glioma Pituitary adenoma |
| Sajjad, M. et al. [22] | Radiopaedia, Figshare brain tumor dataset | VGG-19 | CE-T1WI | Meningioma Glioma Pituitary adenoma |
| Anaraki, A.K. et al. [23] | IXI Dataset, The Cancer Imaging Archive (TCIA), REMBRANDT dataset | CNN | CE-T1WI | Meningioma Glioma Pituitary adenoma |
| Glioma grade I Glioma grade II Glioma grade III Glioma grade IV | ||||
| Shin, l. et al. [24] | Internal dataset | ResNet50 | T2WI CE-T1WI | Glioblastoma Metastatic brain tumor |
| External dataset | ||||
| Our study | Internal dataset applied in clinical settings | ResNet101 | T2WI T1WI CE-T1WI CE-FLAIR | Meningioma Atypical meningioma |
| MRI Methods | Sequence | Recovery Time (msec) | Echo Time (msec) | Inverse Time (msec) | Number of Excitations | Flip Angle (o) | Pixel Size |
|---|---|---|---|---|---|---|---|
| T2WI | Spin echo | 2500 | 100 | - | 1 | - | 0.6875 × 0.6875 |
| T1WI | Gradient | 4.8 | 2.3 | 1 | 8 | 0.7639 × 0.7639 | |
| CE-T1WI | 2 | ||||||
| CE-FLAIR | Inverse recovery | 10,000 | 120 | 2800 | 1 | 90 | 0.3929 × 0.3929 |
| Disease | Methods | Number of Images (n) | Resolution | Bit Processing (bits) |
|---|---|---|---|---|
| Meningioma | T2WI | 288 | 256 × 256 | 16 |
| T1WI | 278 | |||
| CE-T1WI | 277 | |||
| CE-FLAIR | 241 | |||
| Atypical meningioma | T2WI | 187 | ||
| T1WI | 138 | |||
| CE-T1WI | 173 | |||
| CE-FLAIR | 95 |
| System | Computer Environment |
|---|---|
| Operation system | Windows 11 Education |
| Programming language | MATLAB R2023a |
| Deep learning implementation | Deep learning tool box and parallel computing tool box |
| Central processing unit | Intel core i9-12900KF |
| Mainboard | MSI MEG Z690 unify |
| Graphics card | GeForce RTX 3080 12 GB |
| Options | Hyperparameter | Setting Value |
|---|---|---|
| Parameter | Solver | Stochastic gradient descent with momentum |
| Momentum | 0.9 | |
| L2 regularization | 0.002 | |
| Initial learn rate | 0.001 | |
| Learn rate drop factor | 0.5 drop per 10 epochs | |
| Mini batch | Max epoch | 50 |
| Mini batch size | 32 | |
| Shuffle | Every epoch |
| Data Separation | Disease | Number of Images According to MRI Methods (n) | |||
|---|---|---|---|---|---|
| T2WI | T1WI | CE-T1WI | CE-FLAIR | ||
| Training data | Meningioma | 201 | 195 | 194 | 169 |
| Atypical meningioma | 131 | 97 | 121 | 66 | |
| Total | 332 | 292 | 315 | 235 | |
| Validation data | Meningioma | 87 | 83 | 83 | 72 |
| Atypical meningioma | 56 | 41 | 52 | 29 | |
| Total | 143 | 124 | 135 | 101 | |
| MRI Methods | Transfer Learning | |||
|---|---|---|---|---|
| Training Data | Validation Data | |||
| Accuracy (%) | Cross Entropy Loss (%) | Accuracy (%) | Cross Entropy Loss (%) | |
| T2WI | 100 | 3.7 | 92.96 | 17.6 |
| T1WI | 100 | 4.1 | 90.52 | 39 |
| CE-T1WI | 100 | 1.2 | 96.3 | 11.02 |
| CE-FLAIR | 100 | 2.1 | 80 | 60 |
| MRI Methods | Accuracy (%) | Sensitivity (%) | Specificity (%) |
|---|---|---|---|
| T2WI | |||
| T1WI | |||
| CE-T1WI | |||
| CE-FLAIR |
| MRI Methods | Mean Accuracy (%) | Mean Sensitivity (%) | Mean Specificity (%) | ||||||
|---|---|---|---|---|---|---|---|---|---|
| Mean | SD | CI | Mean | SD | CI | Mean | SD | CI | |
| T2WI | (86.3 + 85.9 + 86.5 + 87.2 + 85.5)/5 = 86.28 | 0.57 | 86.28 ± (1.96 × ) = 85.77~86.78 | (79.7 + 80.7 + 81.5 + 79.5 + 80.5)/5 = 80.38 | 0.72 | 80.38 ± (1.96 × ) = 79.74~81.01 | (88.7 + 89.1 + 89.3 + 87.4 + 87.6)/5 = 88.42 | 0.77 | 88.42 ± (1.96 × ) = 87.73~89.1 |
| T1WI | (89.7 + 89.5 + 90.3 + 89.3 + 88.8)/5 = 89.52 | 0.49 | 89.52 ± (1.96 × ) = 89.08~89.95 | (88.2 + 85.8 + 86.2 + 84.1 + 85.4)/5 = 85.94 | 1.33 | 85.94 ± (1.96 × ) = 84.77~87.1 | (91.7 + 88 + 91.5 + 90 + 91.1)/5 = 90.46 | 1.36 | 90.46 ± (1.96 × ) = 89.26~91.65 |
| CE-T1WI | (89.5 + 92.6 + 90.2 + 88.9 + 91.3)/5 = 90.5 | 1.31 | 90.5 ± (1.96 × ) = 89.34~91.65 | (87.9 + 87 + 89.4 + 87.8 + 89.6)/5 = 88.34 | 0.99 | 88.34 ± (1.96 × = 87.46~89.21 | (91.2 + 90.6 + 90.5 + 90.1 + 88.9)/5 = 90.26 | 0.76 | 90.26 ± (1.96 × ) = 89.58~90.93 |
| CE-FLAIR | (84.2 + 84.5 + 86.3 + 85.1 + 83)/5 = 84.62 | 1.08 | 84.62 ± (1.96 × ) = 83.67~85.56 | (73.7 + 72.7 + 72.4 + 73.3 + 74.6)/5 = 73.34 | 0.77 | 73.34 ± (1.96 × ) = 72.65~74.02 | (89.1 + 85.4 + 86.5 + 87.2 + 89.1)/5 = 87.46 | 1.45 | 87.46 ± (1.96 × ) = 86.18~88.73 |
| Index | F-Value | p-Value |
|---|---|---|
| Accuracy | 34.6 | * 0.00 |
| Specificity | 6.53 | 0.005 |
| Sensitivity | 182.4 | * 0.00 |
Disclaimer/Publisher’s Note: The statements, opinions and data contained in all publications are solely those of the individual author(s) and contributor(s) and not of MDPI and/or the editor(s). MDPI and/or the editor(s) disclaim responsibility for any injury to people or property resulting from any ideas, methods, instructions or products referred to in the content. |
© 2025 by the authors. Licensee MDPI, Basel, Switzerland. This article is an open access article distributed under the terms and conditions of the Creative Commons Attribution (CC BY) license (https://creativecommons.org/licenses/by/4.0/).
Share and Cite
Hwang, J.-H.; Lim, S.H.; Park, C.K. Usefulness of Deep Learning Techniques Using Magnetic Resonance Imaging for the Diagnosis of Meningioma and Atypical Meningioma. Information 2025, 16, 188. https://doi.org/10.3390/info16030188
Hwang J-H, Lim SH, Park CK. Usefulness of Deep Learning Techniques Using Magnetic Resonance Imaging for the Diagnosis of Meningioma and Atypical Meningioma. Information. 2025; 16(3):188. https://doi.org/10.3390/info16030188
Chicago/Turabian StyleHwang, Jun-Ho, Seung Hoon Lim, and Chang Kyu Park. 2025. "Usefulness of Deep Learning Techniques Using Magnetic Resonance Imaging for the Diagnosis of Meningioma and Atypical Meningioma" Information 16, no. 3: 188. https://doi.org/10.3390/info16030188
APA StyleHwang, J.-H., Lim, S. H., & Park, C. K. (2025). Usefulness of Deep Learning Techniques Using Magnetic Resonance Imaging for the Diagnosis of Meningioma and Atypical Meningioma. Information, 16(3), 188. https://doi.org/10.3390/info16030188

