Detection of the Benthic Dinoflagellates, Ostreopsis cf. ovata and Amphidinium massartii (Dinophyceae), Using Loop-Mediated Isothermal Amplification
Abstract
1. Introduction
2. Materials and Methods
2.1. Sampling Site and Establishment of Dinoflagellate Strains
2.2. DNA Extraction and Species Identification
2.3. Construction of LAMP Primers
2.4. Optimization of LAMP Reaction Conditions
2.5. Sensitivity of LAMP
2.5.1. Sensitivity Test from Extracted DNA
2.5.2. Sensitivity Test from 10 Cells Directly
2.5.3. Comparison of the Detection Sensitivity with Other Molecular Assays
2.6. Confirmation of Species-Specific LAMP Primers
2.7. Testing of Field Samples
3. Results
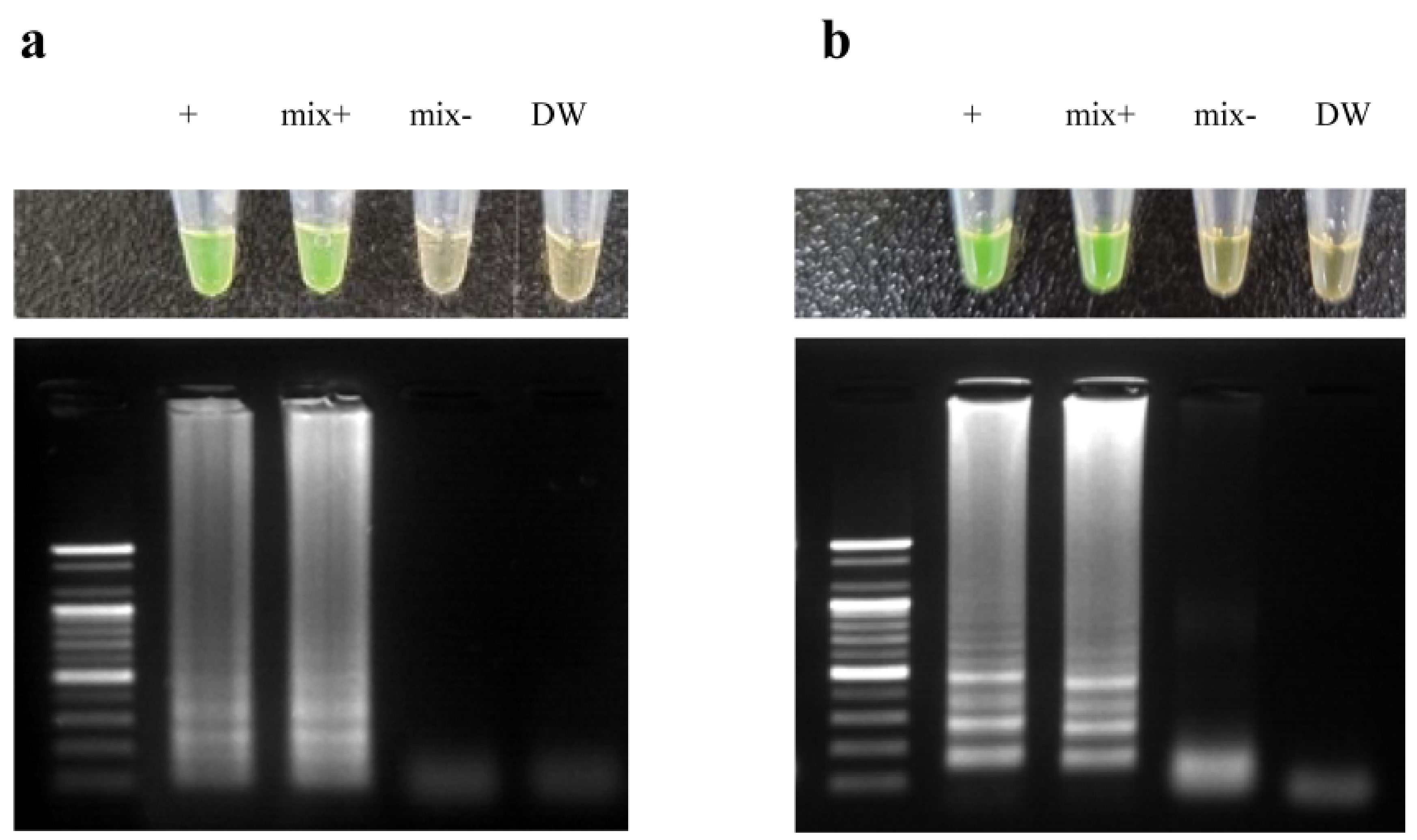
3.1. Optimization of LAMP Conditions
3.2. Comparison of the Sensitivity of LAMP and Other Molecular Assays
3.2.1. Ostreopsis. cf. ovata
3.2.2. Amphidinium Massartii
3.3. Confirmation of Species-Specific LAMP Primers
3.4. Application to Field Samples
4. Discussion
5. Conclusions
Author Contributions
Funding
Institutional Review Board Statement
Informed Consent Statement
Data Availability Statement
Acknowledgments
Conflicts of Interest
References
- Mangialajo, L.; Chiantore, M.; Cattaneo-Vietti, R. Loss of fucoid algae along a gradient of urbanisation, and structure of benthic assemblages. Mar. Ecol. Prog. Ser. 2008, 358, 63–74. [Google Scholar] [CrossRef]
- Shah, M.M.R.; An, S.-J.; Lee, J.-B. Seasonal abundance of epiphytic dinoflagellates around coastal waters of Jeju Island, Korea. J. Mar. Sci. Technol. 2013, 21, 156–165. [Google Scholar] [CrossRef]
- Accoroni, S.; Romagnoli, T.; Penna, A.; Capellacci, S.; Ciminiello, P.; Dell′Aversano, C.; Tartaglione, L.; Abboud-Abi Saab, M.; Giussani, V.; Asnaghi, V.; et al. Ostreopsis fattorussoi sp. nov. (Dinophyceae), a new benthic toxic Ostreopsis species from the eastern Mediterranean Sea. J. Phycol. 2016, 52, 1064–1084. [Google Scholar] [CrossRef] [PubMed]
- Murray, S.; Patterson, D. The benthic dinoflagellate genus Amphidinium in south-eastern Australian waters, including three new species. Eur. J. Phycol. 2002, 37, 279–298. [Google Scholar] [CrossRef]
- Rhodes, L. World-wide occurrence of the toxic dinoflagellate genus Ostreopsis Schmidt. Toxicon 2011, 57, 400–407. [Google Scholar] [CrossRef] [PubMed]
- Delgado, G.; Lechuga-Devéze, C.H.; Popowski, G.; Troccoli, L.; Salinas, C.A. Epiphytic dinoflagellates associated with ciguatera in the northwestern coast of Cuba. Rev. Biol. Trop. 2006, 54, 299–310. [Google Scholar] [CrossRef]
- Friedman, M.A.; Fleming, L.E.; Fernandez, M.; Bienfang, P.; Schrank, K.; Dickey, R.; Bottein, M.-Y.; Backer, L.; Ayyar, R.; Weisman, R.; et al. Ciguatera fish poisoning: Treatment, prevention and management. Mar. Drugs 2008, 6, 456–479. [Google Scholar] [CrossRef]
- Pagliara, P.; Caroppo, C. Toxicity assessment of Amphidinium carterae, Coolia cfr. monotis and Ostreopsis cfr. ovata (Dinophyta) isolated from the northern Ionian Sea (Mediterranean Sea). Toxicon 2012, 60, 1203–1214. [Google Scholar] [CrossRef]
- Berdalet, E.; Fleming, L.E.; Gowen, R.; Davidson, K.; Hess, P.; Backer, L.C.; Moore, S.K.; Hoagland, P.; Enevoldsen, H. Marine harmful algal blooms, human health and wellbeing: Challenges and opportunities in the 21st century. J. Mar. Biol. Assoc. UK 2016, 96, 61–91. [Google Scholar] [CrossRef]
- Berdalet, E.; Tester, P.A.; Chinain, M.; Fraga, S.; Lemée, R.; Litaker, W.; Penna, A.; Usup, G.; Vila, M.; Zingone, A. Harmful algal blooms in benthic systems: Recent progress and future research. Oceanography 2017, 30, 36–45. [Google Scholar] [CrossRef]
- Lenoir, S.; Ten-Hage, L.; Turquet, J.; Quod, J.-P.; Bernard, C.; Hennion, M.-C. First evidence of palytoxin analogues from an Ostreopsis mascarenensis (Dinophyceae) benthic bloom in southwestern Indian Ocean. J. Phycol. 2004, 40, 1042–1051. [Google Scholar] [CrossRef]
- Mohammad-Noor, N.; Daugbjerg, N.; Moestrup, Ø.; Anton, A. Marine epibenthic dinoflagellates from Malaysia—A study of live cultures and preserved samples based on light and scanning electron microscopy. Nord. J. Bot. 2007, 24, 629–690. [Google Scholar] [CrossRef]
- Ciminiello, P.; Dell′Aversano, C.; Iacovo, E.; Fattorusso, E.; Forino, M.; Tartaglione, L.; Yasumoto, T.; Battocchi, C.; Giacobbe, M.; Amorim, A.; et al. Investigation of toxin profile of Mediterranean and Atlantic strains of Ostreopsis cf. siamensis Dinophyceae) by liquid chromatography–high resolution mass spectrometry. Harmful Algae 2013, 23, 19–27. [Google Scholar] [CrossRef]
- Ben-Gharbia, H.; Yahia, O.K.; Amzil, Z.; Chomérat, N.; Abadie, E.; Masseret, E.; Sibat, M.; Triki, Z.H.; Nouri, H.; Laabir, M. Toxicity and growth assessments of three thermophilic benthic Dinoflagellates (Ostreopsis cf. ovata, Prorocentrum lima and Coolia monotis) developing in the Southern Mediterranean Basin. Toxins 2016, 8, 297. [Google Scholar] [CrossRef] [PubMed]
- Lassus, P.; Chomérat, N.; Hess, P.; Nézan, E. Toxic and Harmful Microalgae of the World Ocean/Micro-Algues Toxiques et Nuisibles de l’Océan Mondial; International Society for the Study of Harmful Algae, United Nations Educational, Scientific and Cultural Organisation: Copenhagen, Denmark, 2016; pp. 111–170. ISBN 978-87-990827-6-6. [Google Scholar]
- Aligizaki, K.; Katikou, P.; Nikolaidis, G.; Panou, A. First episode of shellfish contamination by palytoxin-like compounds from Ostreopsis species (Aegean Sea, Greece). Toxicon 2008, 51, 418–427. [Google Scholar] [CrossRef] [PubMed]
- Deeds, J.R.; Schwartz, M.D. Human risk associated with palytoxin exposure. Toxicon 2010, 56, 150–162. [Google Scholar] [CrossRef]
- Tester, P.A.; Litaker, R.W.; Berdalet, E. Climate change and harmful benthic microalgae. Harmful Algae 2020, 91, 101655. [Google Scholar] [CrossRef]
- Shears, N.T.; Ross, P.M. Blooms of benthic dinoflagellates of the genus Ostreopsis; an increasing and ecologically important phenomenon on temperate reefs in New Zealand and worldwide. Harmful Algae 2009, 8, 916–925. [Google Scholar] [CrossRef]
- López-Flores, R.; Boix, D.; Badosa, A.; Brucet, S.; Quintana, X.D. Is Mirtox toxicity related to potentially harmful algae proliferation in Mediterranean salt marshes? Limnetica 2010, 29, 257–268. [Google Scholar] [CrossRef]
- Murray, S.A.; Kohli, G.S.; Farrell, H.; Spiers, Z.B.; Place, A.R.; Dorantes-Aranda, J.J.; Ruszczyk, J. A fish kii associated with a bloom of Amphidinium carterae in a coastal lagoon in Sydney, Australia. Harmful Algae 2015, 49, 19–28. [Google Scholar] [CrossRef]
- Yong, H.L.; Mustapa, N.I.; Lee, L.K.; Lim, Z.F.; Tan, T.H.; Usup, G.; Gu, H.; Litaker, R.W.; Tester, P.; Lim, P.T.; et al. Habitat complexity affects benthic harmful dinoflagellate assemblages in the fringing reef of Rawa Island, Malaysia. Harmful Algae 2018, 78, 56–68. [Google Scholar] [CrossRef]
- Lee, L.K.; Lim, Z.F.; Gu, H.; Chan, L.L.; Litaker, R.W.; Tester, P.A.; Leaw, C.P.; Lim, P.T. Effects of substratum and depth on benthic harmful dinoflagellate assemblages. Sci. Rep. 2020, 10, 11251. [Google Scholar] [CrossRef]
- Kobayashi, J.; Ishibashi, M.; Nakamura, H.; Ohizumi, Y. Amphidinolide-A, a novel antineoplastic macrolide from the marine dinoflagellate Amphidinium sp. Tetrahedron Lett. 1986, 27, 5755–5758. [Google Scholar] [CrossRef]
- Yasumoto, T.; Seino, N.; Murakami, Y.; Murata, M. Toxins produced by benthic dinoflagellates. Biol. Bull. 1987, 172, 129–131. [Google Scholar] [CrossRef]
- Kobayashi, J.; Ishibashi, M.; Wälchli, M.R.; Nakamura, H.; Hirata, Y.; Sasaki, T.; Ohizumi, Y. Amphidinolide C: The first 25-membered macrocyclic lactone with potent antineoplastic activity from the cultured dinoflagellte Amphidinium sp. J. Am. Chem. Soc. 1988, 110, 490–494. [Google Scholar] [CrossRef]
- Murray, S.A.; Garby, T.; Hoppenrath, M.; Neilan, B.A. Genetic diversity, morphological uniformity and polyketide production in dinoflagellates (Amphidinium, Dinoflagellata). PLoS ONE 2012, 7, e38253. [Google Scholar] [CrossRef]
- Moreira-González, A.R.; Fernandes, L.F.; Uchida, H.; Uesugi, A.; Suzuki, T.; Chomérat, N.; Bilien, G.; Pereira, T.A.; Mafra, L.L., Jr. Morphology, growth, toxin production, and toxicity of cultured marine benthic dinoflagellates from Brazil and Cuba. J. Appl. Phycol. 2019, 31, 3699–3719. [Google Scholar] [CrossRef]
- Karafas, S.; Teng, S.T.; Leaw, C.P.; Alves-de-Souza, C.A. An evaluation of the genus Amphidinium (Dinophyceae) combining evidence from morphology, phylogenetics, and toxin production, with the introduction of six novel species. Harmful Algae 2017, 68, 128–151. [Google Scholar] [CrossRef] [PubMed]
- Kim, H.S.; Yih, W.; Kim, J.H.; Myung, G.; Jeong, H.J. Abundance of epiphytic dinoflagellates from coastal waters off Jeju Island, Korea during autumn 2009. Ocean Sci. J. 2011, 46, 205–209. [Google Scholar] [CrossRef][Green Version]
- Hwang, B.S.; Yoon, E.Y.; Kim, H.S.; Yih, W.; Park, J.Y.; Jeong, H.J.; Rho, J.-R. Ostreol A: A new cytotoxic compound isolated from the epiphytic dinoflagellate Ostreopsis cf. ovata from the coastal waters of Jeju Island, Korea. Bioorg. Med. Chem. Lett. 2013, 23, 3023–3027. [Google Scholar] [CrossRef]
- Lee, K.-W.; Kang, J.-H.; Baek, S.-H.; Choi, Y.-U.; Lee, D.-W.; Park, H.-S. Toxicity of the dinoflagellate Gambierdiscus sp. toward the marine copepod Tigriopus japonicus. Harmful Algae 2014, 37, 62–67. [Google Scholar] [CrossRef]
- Yang, A.R.; Lee, S.; Yoo, Y.D.; Kim, H.S.; Jeong, E.J.; Rho, J.-R. Limaol: A polyketide from the benthic marine dinoflagellate Prorocentrum lima. J. Nat. Prod. 2017, 80, 1688–1692. [Google Scholar] [CrossRef]
- Lee, S.; Yang, A.R.; Yoo, Y.D.; Jeong, E.J.; Rho, J.-R. Relative configurational assignment of 4-hydroxyprorocentrolide and prorocentrolide C isolated from a benthic Dinoflagellate (Prorocentrum lima). J. Nat. Prod. 2019, 82, 1034–1039. [Google Scholar] [CrossRef]
- Lim, A.S.; Jeong, H.J. Benthic dinoflagellates in Korean waters. Algae 2021, 36, 91–109. [Google Scholar] [CrossRef]
- Park, J.; Hwang, J.; Hyung, J.; Yoon, E.Y. Temporal and spatial distribution of the toxic epiphytic dinoflagellate Ostreopsis cf. ovata in the coastal waters off Jeju Island, Korea. Sustainability 2020, 12, 5864. [Google Scholar] [CrossRef]
- Baek, S.H. First report for appearance and distribution patterns of the epiphytic dinoflagellates in the Korean Peninsula. Korean J. Environ. Biol. 2012, 30, 355–361. [Google Scholar] [CrossRef]
- Jeong, H.J.; Lim, A.S.; Jang, S.H.; Yih, W.H.; Kang, N.S.; Lee, S.Y.; Yoo, Y.D.; Kim, H.S. First report of the epiphytic dinoflagellate Gambierdiscus caribaeus in the temperate waters off Jeju Island, Korea: Morphology and molecular characterization. J. Eukaryot. Microbiol. 2012, 59, 637–650. [Google Scholar] [CrossRef]
- Shah, M.M.R.; An, S.-J.; Lee, J.B. Occurrence of sand-dwelling and epiphytic dinoflagellates including potentially toxic species along the coast of Jeju Island, Korea. J. Fish. Aquat. Sci. 2014, 9, 141–156. [Google Scholar] [CrossRef]
- Kang, S.-M.; Lee, J.-B. New records of genus Dinophysis, Gonyaulax, Amphidinium, Heterocapsa (Dinophyceae) from Korean waters. Korean J. Environ. Biol. 2018, 36, 260–270. [Google Scholar] [CrossRef]
- Ministry of Oceans and Fisheries. Improvement of Management Strategies on Marine Ecosystem Disturbing and Harmful Organisms (MoMHO); Advanced Institute of Convergence Technology: Suwon, Korea, 2021; p. 751.
- Bolch, C.J.; de Salas, M.F. A review of the molecular evidence for ballast water introduction of the toxic dinoflagellates Gymnodinium catenatum and the Alexandrium “tamarensis complex” to Australasia. Harmful Algae 2007, 6, 465–485. [Google Scholar] [CrossRef]
- Battocchi, C.; Totti, C.; Vila, M.; Masó, M.; Capellacci, S.; Accoroni, S.; Reñé, A.; Scardi, M.; Penna, A. Monitoring toxic microalgae Ostreopsis (dinoflagellate) species in coastal waters of the Mediterranean Sea using molecular PCR-based assay combined with light microscopy. Mar. Pollut. Bull. 2010, 60, 1074–1084. [Google Scholar] [CrossRef]
- Notomi, T.; Okayama, H.; Masubuchi, H.; Yonekawa, T.; Watanabe, K.; Amino, N.; Hase, T. Loop-mediated isothermal amplification of DNA. Nucleic Acids Res. 2000, 28, e63. [Google Scholar] [CrossRef]
- Karanis, P.; Ongerth, J. LAMP—A powerful and flexible tool for monitoring microbial pathogens. Trends Parasitol. 2009, 25, 498–499. [Google Scholar] [CrossRef]
- Deb, R.; Chakraborty, S. Trends in veterinary diagnostics. J. Vet. Sci. Technol. 2012, 3, 1. [Google Scholar] [CrossRef]
- Li, Y.; Fan, P.; Zhou, S.; Zhang, L. Loop-mediated isothermal amplification (LAMP): A novel rapid detection platform for pathogens. Microb. Pathog. 2017, 107, 54–61. [Google Scholar] [CrossRef]
- Wang, L.; Li, L.; Alam, M.; Geng, Y.; Li, Z.; Yamasaki, S.; Shi, L. Loop-mediated isothermal amplification method for rapid detection of the toxic dinoflagellate Alexandrium, which causes algal blooms and poisoning of shellfish. FEMS Microbiol. Lett. 2008, 282, 15–21. [Google Scholar] [CrossRef]
- Picón-Camacho, S.M.; Thompson, W.P.; Blaylock, R.B.; Lotz, J.M. Development of a rapid assay to detect the dinoflagellate Amyloodinium ocellatum using loop-mediated isothermal amplification (LAMP). Vet. Parasitol. 2013, 196, 265–271. [Google Scholar] [CrossRef]
- Medlin, L.; Elwood, H.J.; Stickel, S.; Sogin, M.L. The characterization of enzymatically amplified eukaryotic 16S-like rRNA-coding regions. Gene 1988, 71, 491–499. [Google Scholar] [CrossRef]
- Litaker, R.W.; Vandersea, M.W.; Kibler, S.R.; Reece, K.S.; Stokes, N.A.; Steidinger, K.A.; Millie, D.F.; Bendis, B.J.; Pigg, R.J.; Tester, P.A. Identification of Pfiesteria piscicida (Dinophyceae) and Pfiesteria-like organisms using internal transcribed spacer-specific PCR assays. J. Phycol. 2003, 39, 754–761. [Google Scholar] [CrossRef]
- Kang, N.S.; Jeong, H.J.; Lee, S.Y.; Lim, A.S.; Lee, M.J.; Kim, H.S.; Yih, W. Morphology and molecular characterization of the epiphytic benthic dinoflagellate Ostreopsis cf. ovata in the temperate waters off Jeju Island, Korea. Harmful Algae 2013, 27, 98–112. [Google Scholar] [CrossRef]
- Lee, K.H.; Jeong, H.J.; Park, K.; Kang, N.S.; Yoo, Y.D.; Lee, M.J.; Lee, J.; Lee, S.; Kim, T.; Kim, H.S.; et al. Morphology and molecular characterization of the epiphytic dinoflagellate Amphidinium massartii, isolated from the temperate waters off Jeju Island, Korea. Algae 2013, 28, 213–231. [Google Scholar] [CrossRef]
- Fernandez-Soto, P.; Mvoulouga, P.O.; Akue, J.P.; Abán, J.L.; Santiago, B.V.; Sánchez, M.C.; Muro, A. Development of a highly sensitive loop-mediated isothermal amplification (LAMP) method for the detection of Loa loa. PLoS ONE 2014, 9, e94664. [Google Scholar] [CrossRef]
- Hendel, R.C.; Patel, M.R.; Kramer, C.M.; Poon, M.; Carr, J.C.; Gerstad, N.A.; Gillam, L.D.; Hodgson, J.M.; Kim, R.J.; Lesser, J.R. ACCF/ACR/SCCT/SCMR/ASNC/NASCI/SCAI/SIR 2006 appropriateness criteria for cardiac computed tomography and cardiac magnetic resonance imaging/A report of the american college of cardiology foundation quality strategic directions committee appropriateness criteria working group, american college of radiology, society of cardiovascular computed tomography, society for cardiovascular magnetic resonance, american society of nuclear cardiology, north american society for cardiac imaging, society for cardiovascular aangiography and interventions, and society of interventional radiology. J. Am. Coll. Cardiol. 2006, 48, 1475–1497. [Google Scholar] [CrossRef]
- Zhang, F.; Ma, L.; Xu, Z.; Zheng, J.; Shi, Y.; Lu, Y.; Miao, Y. Sensitive and rapid detection of Karenia mikimotoi (Dinophyceae) by loop-mediated isothermal amplification. Harmful Algae 2009, 8, 839–842. [Google Scholar] [CrossRef]
- Nagai, S.; Itakura, S. Specific detection of the toxic dinoflagellates Alexandrium tamarense and Alexandrium catenella from single vegetative cells by a loop-mediated isothermal amplification method. Mar. Genom. 2012, 7, 43–49. [Google Scholar] [CrossRef]
- Zhang, F.; Shi, Y.; Jiang, K.; Song, W.; Ma, C.; Xu, Z.; Ma, L. Rapid detection and quantification of Prorocentrum minimum by loop-mediated isothermal amplification and real-time fluorescence quantitative PCR. J. Appl. Phycol. 2014, 26, 1379–1388. [Google Scholar] [CrossRef]






| Species Name | Primers | Sequence (5′-3′) | |
|---|---|---|---|
| Ostreopsis cf. ovata | LAMP | F3 | AAGAGTGCAGCCAAATGC |
| B3 | GTTGACATGTTTACACACTGTA | ||
| FIP (F1c-F2) | TGGCCCAAGAACATGCCTACATTGCAAATCGCAGAATTACG | ||
| BIP (B1c-B2) | GACATCATTCATTCAGTGCACCAGTATATACTACATCACACACTCAC | ||
| PCR | Forward | TGATGTGTACAACTCCCTT | |
| Reverse | GAATGATGTCCTTAGGAATGG | ||
| qPCR | Forward | GGCCATTCCTAAGGACATCA | |
| Reverse | TGGCCATATACAGCATGTTGAC | ||
| Probe | 6-FAM-ATCATGCATTGTGTGAGTGTGTGATGT-BHQ-1 | ||
| Amphidinium massartii | LAMP | F3 | TGACAGCTCTAAGTGGGCC |
| B3 | CCATCCATTTTCGGGGCTAG | ||
| FIP (F1c-F2) | TGAGCGAGCAGTCAAGCACTTTGGTAAGCAGAACTGGCGATG | ||
| BIP (B1c-B2) | CATACTGACAGCAGGACGGTGGATTCGGCAGGTGAGTTGTT | ||
| PCR | Forward | AGTGGGTGGAATGACAGCT | |
| Reverse | CATCCATTTTCGGGGCTAGT | ||
| Conditions | Tested Ranges | ||||||||
|---|---|---|---|---|---|---|---|---|---|
| Temperature (℃) | 54 | 56 | 58 | 60 | 62 | 64 | |||
| Reaction Time (min.) | 15 | 30 | 45 | 60 | 75 | 90 | |||
| dNTP (mM) | 0 | 0.5 | 1.0 | 1.8 | 2.5 | 4.5 | |||
| Bst DNA polymerase (units) | 0 | 2 | 4 | 8 | |||||
| MgSO4 (mM) | 0 | 2 | 4 | 6 | 8 | 10 | 12 | 14 | 16 |
| Species Name | Strain | Remarks |
|---|---|---|
| Alexandrium tamarense | S041118-JSP | Busan, Korea |
| Amphidinium carterae | CCMP1314 | USA |
| Coolia malayensis | JSGP-CM | Seoguipo, Korea |
| Gambierdiscus jejuensis | JSGP201117-GJ | Seoguipo, Korea |
| Gymnodinium aureolum | GASH1103 | Kunsan, Korea |
| Heterocapsasteinii | SMS-MSJ | Masan bay, Korea |
| Ostreopsis lenticularis | JSGP201117-OL | Seoguipo, Korea |
| Prorocentrum minimum | WKS-BJH | Kunsan, Korea |
| Prorocentrum koreanum | JSS-KEJ | Jeju, Korea |
| Scrippsiellaacuminata | US1-G6 | Ulsan, Korea |
| Symbiodinium voratum | JSGP201117-SV | Seoguipo, Korea |
| Ostreopsis cf. ovata | JSS200917-OO | Seongsan, Korea |
| Amphidinium massartii | J-MSJ-AM | Jeju, Korea |
Publisher’s Note: MDPI stays neutral with regard to jurisdictional claims in published maps and institutional affiliations. |
© 2021 by the authors. Licensee MDPI, Basel, Switzerland. This article is an open access article distributed under the terms and conditions of the Creative Commons Attribution (CC BY) license (https://creativecommons.org/licenses/by/4.0/).
Share and Cite
Lee, E.S.; Hwang, J.; Hyung, J.-H.; Park, J. Detection of the Benthic Dinoflagellates, Ostreopsis cf. ovata and Amphidinium massartii (Dinophyceae), Using Loop-Mediated Isothermal Amplification. J. Mar. Sci. Eng. 2021, 9, 885. https://doi.org/10.3390/jmse9080885
Lee ES, Hwang J, Hyung J-H, Park J. Detection of the Benthic Dinoflagellates, Ostreopsis cf. ovata and Amphidinium massartii (Dinophyceae), Using Loop-Mediated Isothermal Amplification. Journal of Marine Science and Engineering. 2021; 9(8):885. https://doi.org/10.3390/jmse9080885
Chicago/Turabian StyleLee, Eun Sun, Jinik Hwang, Jun-Ho Hyung, and Jaeyeon Park. 2021. "Detection of the Benthic Dinoflagellates, Ostreopsis cf. ovata and Amphidinium massartii (Dinophyceae), Using Loop-Mediated Isothermal Amplification" Journal of Marine Science and Engineering 9, no. 8: 885. https://doi.org/10.3390/jmse9080885
APA StyleLee, E. S., Hwang, J., Hyung, J.-H., & Park, J. (2021). Detection of the Benthic Dinoflagellates, Ostreopsis cf. ovata and Amphidinium massartii (Dinophyceae), Using Loop-Mediated Isothermal Amplification. Journal of Marine Science and Engineering, 9(8), 885. https://doi.org/10.3390/jmse9080885

