Heatwaves Affect the Gonadal Maturation of the Sea Urchin Paracentrotus lividus
Abstract
1. Introduction
2. Materials and Methods
2.1. Adult Sea Urchin Collection and Maintenance
2.2. Experimental Mesocosm
2.3. Gonadal Index
2.4. Histological Analyses
2.5. Statistical Analyses
3. Results
3.1. Adult Growth and Gonadal Index
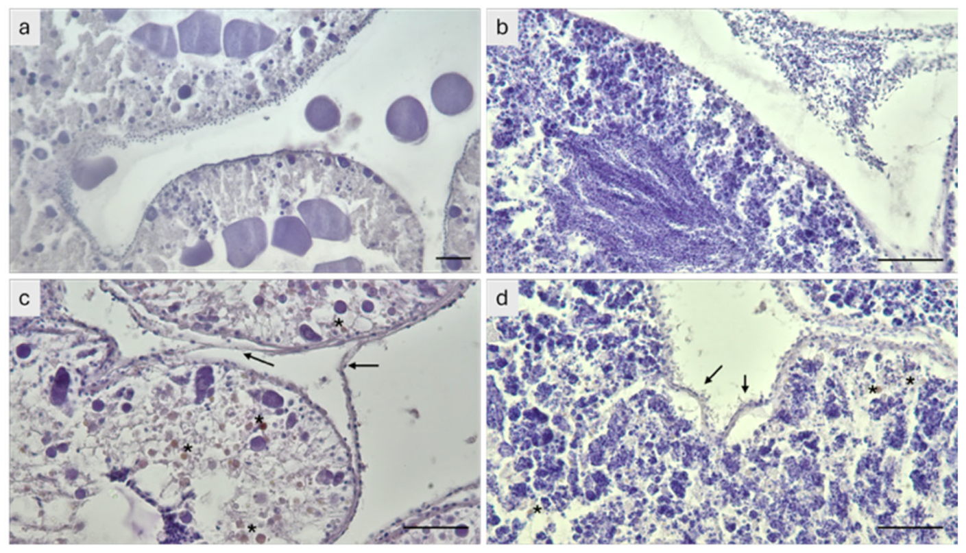
3.2. Histological Analyses of the Gonads
4. Discussion
Supplementary Materials
Author Contributions
Funding
Data Availability Statement
Acknowledgments
Conflicts of Interest
References
- Frölicher, T.L.; Fischer, E.M.; Gruber, N. Marine Heatwaves under Global Warming. Nature 2018, 560, 360–364. [Google Scholar] [CrossRef] [PubMed]
- Huang, B.; Yin, X.; Carton, J.A.; Chen, L.; Graham, G.; Hibbert, K.; Lee, S.; Smith, T.; Zhang, H.-M. Extreme Marine Heatwaves in the Global Oceans during the Past Decade. Bull. Am. Meteorol. Soc. 2025, 106, E2017–E2028. [Google Scholar] [CrossRef]
- Wernberg, T.; Smale, D.A.; Tuya, F.; Thomsen, M.S.; Langlois, T.J.; De Bettignies, T.; Bennett, S.; Rousseaux, C.S. An Extreme Climatic Event Alters Marine Ecosystem Structure in a Global Biodiversity Hotspot. Nat. Clim. Change 2013, 3, 78–82. [Google Scholar] [CrossRef]
- Mills, K.E.; Pershing, A.J.; Brown, C.J.; Chen, Y.; Chiang, F.S.; Holland, D.S.; Lehuta, S.; Nye, J.A.; Sun, J.C.; Thomas, A.C.; et al. Fisheries Management in a Changing Climate: Lessons from the 2012 Ocean Heat Wave in the Northwest Atlantic. Oceanography 2013, 26, 191–195. [Google Scholar] [CrossRef]
- Caputi, N.; Kangas, M.; Denham, A.; Feng, M.; Pearce, A.; Hetzel, Y.; Chandrapavan, A. Management Adaptation of Invertebrate Fisheries to an Extreme Marine Heat Wave Event at a Global Warming Hot Spot. Ecol. Evol. 2016, 6, 3583–3593. [Google Scholar] [CrossRef]
- Oliver, E.C.J.; Donat, M.G.; Burrows, M.T.; Moore, P.J.; Smale, D.A.; Alexander, L.V.; Benthuysen, J.A.; Feng, M.; Sen Gupta, A.; Hobday, A.J.; et al. Longer and More Frequent Marine Heatwaves over the Past Century. Nat. Commun. 2018, 9, 1324. [Google Scholar] [CrossRef]
- Carton, J.A.; Chepurin, G.A.; Hackert, E.C.; Huang, B. Remarkable 2023 North Atlantic Ocean Warming. Geophys. Res. Lett. 2025, 52, e2024GL112551. [Google Scholar] [CrossRef]
- Smith, K.E.; Burrows, M.T.; Hobday, A.J.; King, N.G.; Moore, P.J.; Gupta, A.; Thomsen, M.S.; Wernberg, T.; Smale, D.A. Biological Impacts of Marine Heatwaves. Ann. Rev. Mar. Sci. 2023, 15, 119–145. [Google Scholar] [CrossRef]
- Pontheaux, F.; Roch, F.; Morales, J.; Cormier, P. Echinoderms: Focus on the Sea Urchin Model in Cellular and Developmental Biology. In Handbook of Marine Model Organisms in Experimental Biology: Established and Emerging; CRC Press: Boca Raton, FL, USA, 2021; pp. 307–333. [Google Scholar] [CrossRef]
- Zupi, V. A Study on the Food Web of the Posidonia Oceanica Ecosystem: Analysis of the Gut Contents of Echinoderms. In International Workshop on Posidonia oceanica Beds 1; GIS Posidonie Publishing: Marseille, France, 1984. [Google Scholar]
- Andrew, N.; Agatsuma, Y.; Ballesteros, E.; Bazhin, A.; Bradbury, A.; Campbell, A.; Dixon, J.; Einarsson, S.; Gerring, P.; Hebert, K.; et al. Status and Management of World Sea Urchin Fisheries. In Oceanography and Marine Biology: An Annual Review; Gibson, R., Barnes, M., Atkinson, R., Eds.; CRC Press: Boca Raton, FL, USA, 2002; Volume 40, pp. 343–425. [Google Scholar]
- Boudouresque, C.; Verlaque, M. Ecology of Paracentrotus lividus. In Developments in Aquaculture and Fisheries Science; Elsevier: Amsterdam, The Netherlands, 2007; Volume 37, pp. 243–285. [Google Scholar]
- Raposo, A.; Ferreira, S.M.F.; Ramos, R.; Anjos, C.; Gonçalves, S.C.; Santos, P.M.; Baptista, T.; Costa, J.L.; Pombo, A. Reproductive Cycle of the Sea Urchin Paracentrotus lividus (Lamarck, 1816) on the Central West Coast of Portugal: New Perspective on the Gametogenic Cycle. J. Mar. Sci. Eng. 2023, 11, 2366. [Google Scholar] [CrossRef]
- Gharbi, M.; Glaviano, F.; Federico, S.; Pinto, B.; Cosmo, A.; Costantini, M.; Zupo, V. Scale-Up of an Aquaculture Plant for Reproduction and Conservation of the Sea Urchin Paracentrotus lividus: Development of Post-Larval Feeds. J. Mar. Sci. Eng. 2023, 11, 154. [Google Scholar] [CrossRef]
- Tomas, F.; Romero, J.; Turon, X. Settlement and Recruitment of the Sea Urchin Paracentrotus lividus in Two Contrasting Habitats in the Mediterranean. Mar. Ecol. Prog. Ser. 2004, 282, 173–184. [Google Scholar] [CrossRef]
- Lawrence, J. Edible Sea Urchins: Use and Life-History Strategies. In Developments in Aquaculture and Fisheries Science; Elsevier: Amsterdam, The Netherlands, 2007; Volume 37, pp. 1–9. [Google Scholar]
- Ruberti, N.; Brundu, G.; Ceccherelli, G.; Grech, D.; Guala, I.; Loi, B.; Farina, S. Intensive Sea Urchin Harvest Rescales Paracentrotus Lividus Population Structure and Threatens Self-Sustenance. PeerJ 2023, 11, e16220. [Google Scholar] [CrossRef]
- Piacentini, L.; El Idrissi, O.; Monnier, B.; Vela, A.; Bastien, R.; Aiello, A.; Pasqualini, V.; Ternengo, S. Spatio-Temporal Monitoring and Modeling Approach for the Sustainable Management of Paracentrotus lividus Populations in the Mediterranean Sea. Glob. Ecol. Conserv. 2025, 62, e03796. [Google Scholar] [CrossRef]
- Byrne, M. Impact of Ocean Warming and Ocean on Marine Invertebrate Life History Stages: Vulnerabilities and Potential for Persistence in a Changing Ocean. In Oceanography and Marine Biology; Gibson, R., Atkinson, R., Gordon, J., Smith, I., Hughes, D., Eds.; CRC Press: Boca Raton, FL, USA, 2011; Volume 49, pp. 1–42. [Google Scholar]
- Sarly, M.S.; Pedro, C.A.; Bruno, C.S.; Raposo, A.; Quadros, H.C.; Pombo, A.; Gonçalves, S.C. Use of the Gonadal Tissue of the Sea Urchin Paracentrotus lividus as a Target for Environmental Contamination by Trace Metals. Environ. Sci. Pollut. Res. 2023, 30, 89559–89580. [Google Scholar] [CrossRef]
- Rodrigues, A.F.; Lourenço, S.; Gomes, A.S.; Tchobanov, C.F.; Pombo, A.; Baptista, T. How Increasing Temperature Affects the Innate Immune System of Sea Urchin Paracentrotus lividus (Lamarck, 1816) Reared in a RAS System. Comp. Immunol. Rep. 2024, 7, 200174. [Google Scholar] [CrossRef]
- Ruocco, N.; Bertocci, I.; Munari, M.; Musco, L.; Caramiello, D.; Danovaro, R.; Zupo, V.; Costantini, M. Morphological and Molecular Responses of the Sea Urchin Paracentrotus lividus to Highly Contaminated Marine Sediments: The Case Study of Bagnoli-Coroglio Brownfield (Mediterranean Sea). Mar. Environ. Res. 2020, 154, 104865. [Google Scholar] [CrossRef] [PubMed]
- Viel, T.; Cocca, M.; Esposito, R.; Amato, A.; Russo, T.; Di Cosmo, A.; Polese, G.; Manfra, L.; Libralato, G.; Zupo, V.; et al. Effect of Biodegradable Polymers upon Grazing Activity of the Sea Urchin Paracentrotus lividus (Lmk) Revealed by Morphological, Histological and Molecular Analyses. Sci. Total Environ. 2024, 929, 172586. [Google Scholar] [CrossRef] [PubMed]
- Ruocco, N.; Zupo, V.; Caramiello, D.; Glaviano, F.; Polese, G.; Albarano, L.; Costantini, M. Experimental Evaluation of the Feeding Rate, Growth and Fertility of the Sea Urchins Paracentrotus lividus. Invertebr. Reprod. Dev. 2018, 62, 209–220. [Google Scholar] [CrossRef]
- Sánchez-España, A.I.; Martínez-Pita, I.; García, F.J. Gonadal Growth and Reproduction in the Commercial Sea Urchin Paracentrotus lividus (Lamarck, 1816) (Echinodermata: Echinoidea) from Southern Spain. Hydrobiologia 2004, 519, 61–72. [Google Scholar] [CrossRef]
- Fabbrocini, A.; D’Adamo, R. Gametes and Embryos of Sea Urchins (Paracentrotus lividus, Lmk., 1816) Reared in Confined Conditions: Their Use in Toxicity Bioassays. Chem. Ecol. 2011, 27, 105–115. [Google Scholar] [CrossRef]
- Keshavarz, M.; Kamrani, E.; Biuki, N.A.; Zamani, H. Study on the Gonadosomatic Indices of Sea Urchin Echinometra mathaei in Persian Gulf, Iran. Pak. J. Zool. 2017, 49, 923–933. [Google Scholar] [CrossRef]
- Costa, P.; Carreira, S.; Costa, M.; Caeiro, S. Development of Histopathological Indices in a Commercial Marine Bivalve (Ruditapes decussatus) to Determine Environmental Quality. Aquat. Toxicol. 2013, 126, 442–454. [Google Scholar] [CrossRef] [PubMed]
- Russo, T.; Coppola, F.; Leite, C.; Carbone, M.; Paris, D.; Motta, A.; Di Cosmo, A.; Soares, A.M.V.M.; Mollo, E.; Freitas, R.; et al. An Alien Metabolite vs. a Synthetic Chemical Hazard: An Ecotoxicological Comparison in the Mediterranean Blue Mussel. Sci. Total Environ. 2023, 892, 164476. [Google Scholar] [CrossRef] [PubMed]
- Guettaf, M.; San Martin, G.A.; Francour, P.; Alia, E.; Ezzouar, B. Interpopulation Variability of the Reproductive Cycle of Paracentrotus lividus (Echinodermata: Echinoidea) in the South-Western Mediterranean. J. Mar. Biol. Assoc. UK 2000, 80, 899–907. [Google Scholar] [CrossRef]
- Byrne, M.; Ho, M.; Selvakumaraswamy, P.; Nguyen, H.D.; Dworjanyn, S.A.; Davis, A.R. Temperature, but Not PH, Compromises Sea Urchin Fertilization and Early Development under near-Future Climate Change Scenarios. Proc. Biol. Sci. 2009, 276, 1883–1888. [Google Scholar] [CrossRef]
- Shanks, A.L.; Rasmuson, L.K.; Valley, J.R.; Jarvis, M.A.; Salant, C.; Sutherland, D.A.; Lamont, E.I.; Hainey, M.A.H.; Emlet, R.B. Marine Heat Waves, Climate Change, and Failed Spawning by Coastal Invertebrates. Limnol. Oceanogr. 2020, 65, 627–636. [Google Scholar] [CrossRef]
- Cochran, R.C.; Engelmann, F. Environmental Regulation of the Annual Reproductive Season of Strongylocentrotus purpuratus (Stimpson). Biol. Bull. 1975, 148, 393–401. [Google Scholar] [CrossRef]
- Koch, M.; Jungblut, S.; Götze, S.; Bock, C.; Saborowski, R. Marine Heatwaves in the Subarctic and the Effect of Acute Temperature Change on the Key Grazer Strongylocentrotus droebachiensis (Echinoidea, Echinodermata). ICES J. Mar. Sci. 2025, 82, fsae181. [Google Scholar] [CrossRef]
- Rodrìguez-Villalobos, J.; Arellano-Martìnez, M.; Ceballos-Vàzquez, B. Histopathological Effects of Heavy Metal on Bivalves: Review and Perspectives. J. Aquat. Anim. Health 2025. [Google Scholar] [CrossRef]
- Vaschenko, M.A.; Zhadan, P.M.; Aminin, D.L.; Almyashova, T.N. Lipofuscin-like Pigment in Gonads of Sea Urchin Strongylocentrotus intermedius as a Potential Biomarker of Marine Pollution: A Field Study. Arch. Environ. Contam. Toxicol. 2012, 62, 599–613. [Google Scholar] [CrossRef]
- Leite, C.; Russo, T.; Cuccaro, A.; Pinto, J.; Polese, G.; Soares, A.M.V.M.; Pretti, C.; Pereira, E.; Freitas, R. Can Temperature Rise Change the Impacts Induced by E-Waste on Adults and Sperm of Mytilus galloprovincialis? Sci. Total. Environ. 2023, 902, 166085. [Google Scholar] [CrossRef]
- Pittura, L.; Nardi, A.; Cocca, M.; De Falco, F.; d’Errico, G.; Mazzoli, C.; Mongera, F.; Benedetti, M.; Gorbi, S.; Avella, M.; et al. Cellular Disturbance and Thermal Stress Response in Mussels Exposed to Synthetic and Natural Microfibers. Front. Mar. Sci. 2022, 9, 981365. [Google Scholar] [CrossRef]
- Schäfer, S.; Köhler, A. Gonadal Lesions of Female Sea Urchin (Psammechinus miliaris) after Exposure to the Polycyclic Aromatic Hydrocarbon Phenanthrene. Mar. Environ. Res. 2009, 68, 128–136. [Google Scholar] [CrossRef] [PubMed]
- El Ayari, T.; Ahmed, R.; Bouriga, N.; Gravato, N.; Chelbi, E.; Nechi, S.; El Menif, N. Florfenicol Induces Malformations of Embryos and Causes Altered Lipid Profile, Oxidative Damage, Neurotoxicity, and Histological Effects on Gonads of Adult Sea Urchin, Paracentrotus lividus. Environ. Toxicol. Pharmacol. 2024, 110, 104533. [Google Scholar] [CrossRef] [PubMed]
- Byrne, M. Annual Reproductive Cycles of the Commercial Sea Urchin Paracentrotus lividus from an Exposed intertidal and a Sheltered Subtidal Habitat on the West Coast of Ireland. Mar. Biol. 1990, 104, 275–289. [Google Scholar] [CrossRef]
- Johnstone, J.B.; Nash, S.; Hernandez, E.; Rahman, M. Effects of Elevated Temperature on Gonadal Functions, Cellular Apoptosis, and Oxidative Stress in Atlantic Sea Urchin (Arbacia punctulata). Mar. Environ. Res. 2019, 149, 40–49. [Google Scholar] [CrossRef]
- Spirlet, C.; Grosjean, P.; Jangoux, M. Reproductive Cycle of the Echinoid Paracentrotus lividus: Analysis by Means of the Maturity Index. Invertebr. Reprod. Dev. 1998, 34, 69–81. [Google Scholar] [CrossRef]
- Pedrotti, M.L.; Fenaux, L. Dispersal of Echinoderm Larvae in a Geographical Area Marked by Upwelling (Ligurian Sea, NW Mediterranean). Mar. Ecol. Prog. Ser. 1992, 86, 217–227. [Google Scholar] [CrossRef]
- Venegas, R.M.; Acevedo, J.; Treml, E.A. Three Decades of Ocean Warming Impacts on Marine Ecosystems: A Review and Perspective. Deep Sea Res. II Top. Stud. Oceanogr. 2023, 212, 105318. [Google Scholar] [CrossRef]
- Sokolova, I.M.; Frederich, M.; Bagwe, R.; Lannig, G.; Sukhotin, A.A. Energy Homeostasis as an Integrative Tool for Assessing Limits of Environmental Stress Tolerance in Aquatic Invertebrates. Mar. Environ. Res. 2012, 79, 1–15. [Google Scholar] [CrossRef]
- Alagar Boopathy, L.R.; Jacob-Tomas, S.; Alecki, C.; Vera, M. Mechanisms Tailoring the Expression of Heat Shock Proteins to Proteostasis Challenges. J. Biol. Chem. 2022, 298, 101796. [Google Scholar] [CrossRef]
- Zeng, T.; Li, J.; Wang, D.; Li, G.; Wang, G.; Lu, L. Effects of Heat Stress on Antioxidant Defense System, Inflammatory Injury, and Heat Shock Proteins of Muscovy and Pekin Ducks: Evidence for Differential Thermal Sensitivities. Cell Stress Chaperones 2014, 19, 895–901. [Google Scholar] [CrossRef]
- Murano, C.; Gallo, A.; Nocerino, A.; Macina, A.; Cecchini Gualandi, S.; Boni, R. Short-Term Thermal Stress Affects Immune Cell Features in the Sea Urchin Paracentrotus lividus. Animals 2023, 13, 1954. [Google Scholar] [CrossRef]




| Tissue | Histopathological Alteration | Weight (w) |
|---|---|---|
| Gonads | Lipofuscin aggregates | 1 |
| Follicular wall detachment | 2 | |
| Absence/degeneration of residual gametes | 3 |
| t0 | t0 (18 °C) | 18 °C_6 Weeks | 24 °C_6 Weeks | |
|---|---|---|---|---|
| Body weight | 64.67 ± 5.14 | 64.46 ± 3.32 | 64.94 ± 4.61 | 65.11 ± 5.07 |
| GI | 5.06 ± 0.78 | 5.18 ± 0.69 | 5.14 ± 0.45 | 1.19 ± 0.36 |
Disclaimer/Publisher’s Note: The statements, opinions and data contained in all publications are solely those of the individual author(s) and contributor(s) and not of MDPI and/or the editor(s). MDPI and/or the editor(s) disclaim responsibility for any injury to people or property resulting from any ideas, methods, instructions or products referred to in the content. |
© 2025 by the authors. Licensee MDPI, Basel, Switzerland. This article is an open access article distributed under the terms and conditions of the Creative Commons Attribution (CC BY) license (https://creativecommons.org/licenses/by/4.0/).
Share and Cite
Amato, A.; Russo, T.; Caramiello, D.; Macina, A.; Di Cosmo, A.; Polese, G.; Zupo, V.; Costantini, M. Heatwaves Affect the Gonadal Maturation of the Sea Urchin Paracentrotus lividus. J. Mar. Sci. Eng. 2025, 13, 2293. https://doi.org/10.3390/jmse13122293
Amato A, Russo T, Caramiello D, Macina A, Di Cosmo A, Polese G, Zupo V, Costantini M. Heatwaves Affect the Gonadal Maturation of the Sea Urchin Paracentrotus lividus. Journal of Marine Science and Engineering. 2025; 13(12):2293. https://doi.org/10.3390/jmse13122293
Chicago/Turabian StyleAmato, Amalia, Tania Russo, Davide Caramiello, Alberto Macina, Anna Di Cosmo, Gianluca Polese, Valerio Zupo, and Maria Costantini. 2025. "Heatwaves Affect the Gonadal Maturation of the Sea Urchin Paracentrotus lividus" Journal of Marine Science and Engineering 13, no. 12: 2293. https://doi.org/10.3390/jmse13122293
APA StyleAmato, A., Russo, T., Caramiello, D., Macina, A., Di Cosmo, A., Polese, G., Zupo, V., & Costantini, M. (2025). Heatwaves Affect the Gonadal Maturation of the Sea Urchin Paracentrotus lividus. Journal of Marine Science and Engineering, 13(12), 2293. https://doi.org/10.3390/jmse13122293

