Functional Analysis of Two Divergent C4 Isotypes in the Classical and Lectin Pathways of Complement Activation in the Common Carp (Cyprinus carpio)
Abstract
1. Introduction
2. Materials and Methods
2.1. Carp Serum
2.2. Buffers
2.3. Chromatography Columns
2.4. Preparation of Anti-Carp C1q-A Chain, Anti-Carp C4-1 Netrin Domain, and Anti-Carp C4-2 Netrin Domain
2.5. Preparation of Anti-Peptide Antibody Directed to α-Chain of C4-1 and C4-2 of Carp
2.6. Preparation of Target Cells
2.7. Preparation of Carp Antisera against Bacteria
2.8. Purification of Carp MBL-MASP2 Complex
2.9. Purification of Carp C1r/s Complex
2.10. ELISA for C4-Binding Assay
2.11. Flow Cytometric Assay of C4-Binding on Bacterial Target
2.12. SDS-PAGE and Western Blotting Analyses
2.13. Dot-Blotting
2.14. C4-Cleavage Assay
3. Results
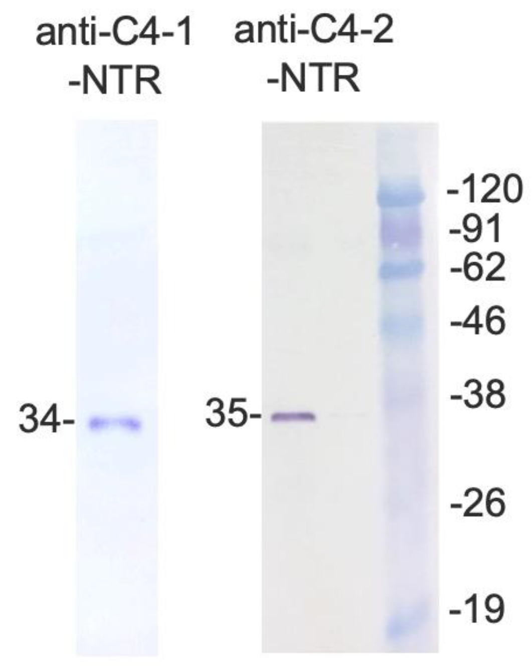
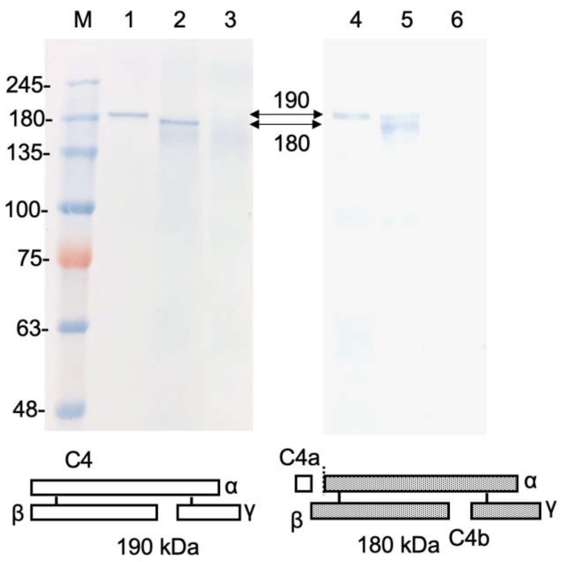
3.1. Specificity of Anti-Carp C4 Isotype Antibodies
3.2. Binding Spectra of Carp C4 Isotypes against Model Targets
3.3. Binding Spectra of Carp C4 Isotypes against Bacteria
3.4. Proteolytic Activation of C4-1 by C1r/s and MBL-MASP2 Complexes
4. Discussion
5. Conclusions
Author Contributions
Funding
Institutional Review Board Statement
Informed Consent Statement
Data Availability Statement
Acknowledgments
Conflicts of Interest
References
- Sarma, J.V.; Ward, P.A. The complement system. Cell Tissue Res. 2011, 343, 227–235. [Google Scholar] [CrossRef]
- Holland, M.C.H.; Lambris, J.D. The complement system in teleosts. Fish Shellfish Immunol. 2002, 12, 399–420. [Google Scholar] [CrossRef] [PubMed]
- Nakao, M.; Tsujikura, M.; Ichiki, S.; Vo, T.K.; Somamoto, T. The complement system in teleost fish: Progress of post-homolog-hunting researches. Dev. Comp. Immunol. 2011, 35, 1296–1308. [Google Scholar] [CrossRef] [PubMed]
- Liszewski, M.K.; Farries, T.C.; Lublin, D.M.; Rooney, I.A.; Atkinson, J.P. Control of the complement system. Adv. Immunol. 1996, 61, 201–283. [Google Scholar] [PubMed]
- Nonaka, M. Evolution of the complement system. Subcell Biochem. 2014, 80, 31–43. [Google Scholar] [PubMed]
- Venkatraman Girija, U.; Gingras, A.R.; Marshall, J.E.; Panchal, R.; Sheikh, M.A.; Harper, J.A.; Gál, P.; Schwaeble, W.J.; Mitchell, D.A.; Moody, P.C.; et al. Structural basis of the C1q/C1s interaction and its central role in assembly of the C1 complex of complement activation. Proc. Natl. Acad. Sci. USA 2013, 110, 13916–13920. [Google Scholar] [CrossRef]
- Takahashi, M.; Mori, S.; Shigeta, S.; Fujita, T. Role of MBL-associated serine protease (MASP) on activation of the lectin complement pathway. Adv. Exp. Med. Biol. 2007, 598, 93–104. [Google Scholar]
- Li, M.F.; Zhang, H.Q. An overview of complement systems in teleosts. Dev. Comp. Immunol. 2022, 137, 104520. [Google Scholar] [CrossRef]
- Sunyer, J.O.; Tort, L.; Lambris, J.D. Structural C3 diversity in fish: Characterization of five forms of C3 in the diploid fish Sparus aurata. J. Immunol. 1997, 158, 2813–2821. [Google Scholar] [CrossRef]
- Gigli, I.; von Zabern, I.; Porter, R.R. The isolation and structure of C4, the fourth component of human complement. Biochem. J. 1977, 165, 439–446. [Google Scholar] [CrossRef]
- Mutsuro, J.; Tanaka, N.; Kato, Y.; Dodds, A.W.; Yano, T.; Nakao, M. Two divergent isotypes of the fourth complement component from a bony fish, the common carp (Cyprinus carpio). J. Immunol. 2005, 175, 4508–4517. [Google Scholar] [CrossRef]
- Law, S.K.; Dodds, A.W. The internal thioester and the covalent binding properties of the complement proteins C3 and C4. Protein Sci. 1997, 6, 263–274. [Google Scholar] [CrossRef]
- Dodds, A.W.; Law, S.A. The complement component C4 of mammals. Biochem. J. 1990, 265, 495–502. [Google Scholar] [CrossRef]
- Dodds, A.W.; Ren, X.D.; Willis, A.C.; Law, S.K. The reaction mechanism of the internal thioester in the human complement component C4. Nature 1996, 379, 177–179. [Google Scholar] [CrossRef] [PubMed]
- Kuroda, N.; Naruse, K.; Shima, A.; Nonaka, M.; Sasaki, M. Molecular cloning and linkage analysis of complement C3 and C4 genes of the Japanese medaka fish. Immunogenetics 2000, 51, 117–128. [Google Scholar] [CrossRef] [PubMed]
- Terado, T.; Okamura, K.; Ohta, Y.; Shin, D.H.; Smith, S.L.; Hashimoto, K.; Takemoto, T.; Nonaka, M.I.; Kimura, H.; Flajnik, M.F.; et al. Molecular cloning of C4 gene and identification of the class III complement region in the shark MHC. J. Immunol. 2003, 171, 2461–2466. [Google Scholar] [CrossRef]
- Nonaka, M.I.; Terado, T.; Kimura, H.; Nonaka, M. Evolutionary analysis of two complement C4 genes: Ancient duplication and conservation during jawed vertebrate evolution. Dev. Comp. Immunol. 2017, 68, 1–11. [Google Scholar] [CrossRef] [PubMed]
- Boshra, H.; Gelman, A.E.; Sunyer, J.O. Structural and functional characterization of complement C4 and C1s-like molecules in teleost fish: Insights into the evolution of classical and alternative pathways. J. Immunol. 2004, 173, 349–359. [Google Scholar] [CrossRef]
- Yano, T.; Nakao, M. Isolation of a carp complement protein homologous to mammalian factor D. Mol. Immunol. 1994, 31, 337–342. [Google Scholar]
- Tsujikura, M.; Nagasawa, T.; Ichiki, S.; Nakamura, R.; Somamoto, T.; Nakao, M. A CD46-like molecule functional in teleost fish represents an ancestral form of membrane-bound regulators of complement activation. J. Immunol. 2015, 194, 262–272. [Google Scholar] [CrossRef]
- Ichiki, S.; Kato-Unoki, Y.; Somamoto, T.; Nakao, M. The binding spectra of carp C3 isotypes against natural targets independent of the binding specificity of their thioester. Dev. Comp. Immunol. 2012, 38, 10–16. [Google Scholar] [CrossRef] [PubMed]
- Nakao, M.; Kajiya, T.; Sato, Y.; Somamoto, T.; Kato-Unoki, Y.; Matsushita, M.; Nakata, M.; Fujita, T.; Yano, T. Lectin pathway of bony fish complement: Identification of two homologs of the mannose-binding lectin associated with MASP2 in the common carp (Cyprinus carpio). J. Immunol. 2006, 177, 5471–5479. [Google Scholar] [CrossRef]
- Sumi, H.; Izumiya, N.; Muramatsu, M. A simple rapid separation of C1-esterase using an immunoadsorbent column. J. Biochem. 1975, 78, 481–484. [Google Scholar] [CrossRef] [PubMed]
- Oladiran, A.; Belosevic, M. Trypanosoma carassii calreticulin binds host complement component C1q and inhibits classical complement pathway-mediated lysis. Dev. Comp. Immunol. 2010, 34, 396–405. [Google Scholar] [CrossRef]
- Laemmli, U.K. Cleavage of structural proteins during the assembly of the head of bacteriophage T4. Nature 1970, 227, 680–685. [Google Scholar] [CrossRef]
- Mortensen, S.; Kidmose, R.T.; Petersen, S.V.; Szilágyi, Á.; Prohászka, Z.; Andersen, G.R. Structural basis for the function of complement component C4 within the classical and lectin pathways of complement. J. Immunol. 2015, 194, 5488–5496. [Google Scholar] [CrossRef]
- Dang, Y.F.; Shen, Y.B.; Xu, X.Y.; Wang, S.T.; Meng, X.Z.; Li, L.S.; Zhang, M.; Hu, M.Y.; Lv, L.Q.; Wang, R.Q.; et al. Mannan-binding lectin-associated serine protease-1 (MASP-1) mediates immune responses against Aeromonas hydrophila in vitro and in vivo in grass carp. Fish Shellfish Immunol. 2017, 66, 93–102. [Google Scholar] [CrossRef] [PubMed]
- Li, L.; Shen, Y.; Xu, X.; Yang, W.; Li, J. Fish complement C4 gene evolution and gene/protein regulatory network analyses and simulated stereo conformation of C4–MASP–2 protein complex. Fish Shellfish Immunol. 2020, 107, 54–63. [Google Scholar] [CrossRef] [PubMed]






Disclaimer/Publisher’s Note: The statements, opinions and data contained in all publications are solely those of the individual author(s) and contributor(s) and not of MDPI and/or the editor(s). MDPI and/or the editor(s) disclaim responsibility for any injury to people or property resulting from any ideas, methods, instructions or products referred to in the content. |
© 2023 by the authors. Licensee MDPI, Basel, Switzerland. This article is an open access article distributed under the terms and conditions of the Creative Commons Attribution (CC BY) license (https://creativecommons.org/licenses/by/4.0/).
Share and Cite
Nehlah, R.; Yamamoto, A.; Nagasawa, T.; Somamoto, T.; Nakao, M. Functional Analysis of Two Divergent C4 Isotypes in the Classical and Lectin Pathways of Complement Activation in the Common Carp (Cyprinus carpio). J. Mar. Sci. Eng. 2023, 11, 707. https://doi.org/10.3390/jmse11040707
Nehlah R, Yamamoto A, Nagasawa T, Somamoto T, Nakao M. Functional Analysis of Two Divergent C4 Isotypes in the Classical and Lectin Pathways of Complement Activation in the Common Carp (Cyprinus carpio). Journal of Marine Science and Engineering. 2023; 11(4):707. https://doi.org/10.3390/jmse11040707
Chicago/Turabian StyleNehlah, Rosli, Akira Yamamoto, Takahiro Nagasawa, Tomonori Somamoto, and Miki Nakao. 2023. "Functional Analysis of Two Divergent C4 Isotypes in the Classical and Lectin Pathways of Complement Activation in the Common Carp (Cyprinus carpio)" Journal of Marine Science and Engineering 11, no. 4: 707. https://doi.org/10.3390/jmse11040707
APA StyleNehlah, R., Yamamoto, A., Nagasawa, T., Somamoto, T., & Nakao, M. (2023). Functional Analysis of Two Divergent C4 Isotypes in the Classical and Lectin Pathways of Complement Activation in the Common Carp (Cyprinus carpio). Journal of Marine Science and Engineering, 11(4), 707. https://doi.org/10.3390/jmse11040707

