Endometrial Carcinomas with Intestinal-Type Metaplasia/Differentiation: Does Mismatch Repair System Defects Matter? Case Report and Systematic Review of the Literature
Abstract
1. Introduction
2. Materials and Methods
- -
- Population: patients with a diagnosis of endometrial carcinoma with IM/diff;
- -
- Intervention: any type of treatment, including surgery, chemotherapy, radiotherapy, or observational treatment;
- -
- Comparison: no comparisons are expected;
- -
- Outcomes: patient’s status at last follow-up: no evidence of disease (NED), AWD (alive with disease), dead of disease (DOD);
- -
- Study design: observational study (retrospective case series, case reports).
3. Results
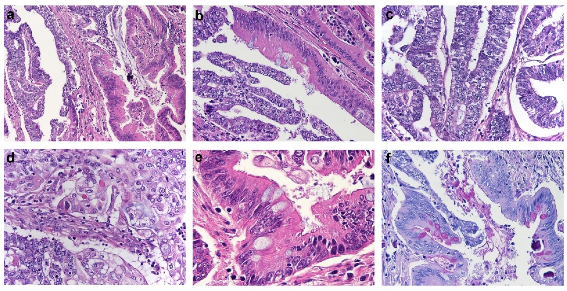
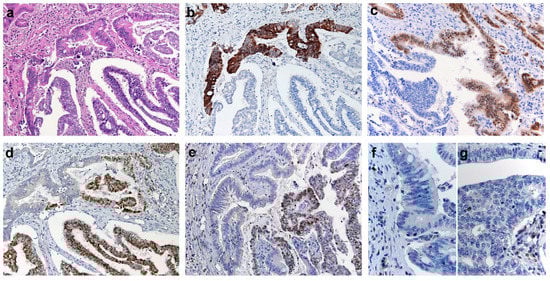
3.1. Case Report
3.2. Literature Review
4. Discussion
Author Contributions
Funding
Acknowledgments
Conflicts of Interest
References
- Kurman, R.J.; Carcangiu, M.L.; Harrington, C.S.; Young, R.H. WHO Classification of Tumours of Female Reproductive Organs; IARC Press: Lyon, France, 2014. [Google Scholar]
- Clement, P.B.; Young, R.H. Endometrioid carcinoma of the uterine corpus: A review of its pathology with emphasis on recent advances and problematic aspects. Adv. Anat. Pathol. 2002, 9, 145–184. [Google Scholar] [CrossRef] [PubMed]
- Bartosch, C.; Manuel Lopes, J.; Oliva, E. Endometrial carcinomas: A review emphasizing overlapping and distinctive morphological and immunohistochemical features. Adv. Anat. Pathol. 2011, 18, 415–437. [Google Scholar] [CrossRef] [PubMed]
- Ross, J.C.; Eifel, P.J.; Cox, R.S.; Kempson, R.L.; Hendrickson, M.R. Primary mucinous adenocarcinoma of the endometrium. A clinicopathologic and histochemical study. Am. J. Surg. Pathol. 1983. [Google Scholar] [CrossRef]
- Malpica, A. How to approach the many faces of endometrioid carcinoma. Mod. Pathol. 2016. [Google Scholar] [CrossRef]
- Soleymani Majd, H.; Ferrari, F.; Gubbala, K.; Campanile, R.G.; Tozzi, R. Latest developments and techniques in gynaecological oncology surgery. Curr. Opin. Obstet. Gynecol. 2015, 27, 291–296. [Google Scholar] [CrossRef]
- Casarin, J.; Bogani, G.; Piovano, E.; Falcone, F.; Ferrari, F.; Odicino, F.; Puppo, A.; Bonfiglio, F.; Donadello, N.; Pinelli, C.; et al. Survival implication of lymphadenectomy in patients surgically treated for apparent early-stage uterine serous carcinoma. J. Gynecol. Oncol. 2020, 31, e64. [Google Scholar] [CrossRef]
- Wong, R.W.; Ralte, A.; Grondin, K.; Talia, K.L.; Mccluggage, W.G. Endometrial Gastric (Gastrointestinal)-type Mucinous Lesions: Report of a Series Illustrating the Spectrum of Benign and Malignant Lesions. Am. J. Surg. Pathol. 2019. [Google Scholar] [CrossRef]
- Trippel, M.; Imboden, S.; Papadia, A.; Mueller, M.D.; Mertineit, N.; Härmä, K.; Nicolae, A.; Vassella, E.; Rau, T.T. Intestinal differentiated mucinous adenocarcinoma of the endometrium with sporadic MSI high status: A case report. Diagn. Pathol. 2017, 12, 1–6. [Google Scholar] [CrossRef]
- Berger, G.; Fetissof, F.; Vitrey, D.; Chayvialle, J.A.; Féroldi, J. Endometrial carcinoma of the intestinal type. A first case report. Appl. Pathol. 1984, 2, 63–69. [Google Scholar]
- Buell-Gutbrod, R.; Sung, C.J.; Lawrence, W.D.; Quddus, M.R. Endometrioid adenocarcinoma with simultaneous endocervical and intestinal-type mucinous differentiation: Report of a rare phenomenon and the immunohistochemical profile. Diagn. Pathol. 2013. [Google Scholar] [CrossRef]
- Moher, D.; Liberati, A.; Tetzlaff, J.; Altman, D.G. Preferred reporting items for systematic reviews and meta-analyses: The PRISMA statement. BMJ 2009, 339, 332–336. [Google Scholar] [CrossRef] [PubMed]
- Mogor, O.; Hargrave, E.; Rush, D.; Hatch, K. Mucinous adenocarcinoma of the endometrium with metastasis to the clitoral glans after pelvic exenteration for radiation resistant vaginal cuff recurrence. Gynecol. Oncol. Rep. 2019. [Google Scholar] [CrossRef] [PubMed]
- Rubio, A.; Schuldt, M.; Guarch, R.; Laplaza, Y.; Giordano, G.; Nogales, F.F. Pseudomyxoma-Type invasion in gastrointestinal adenocarcinomas of endometrium and cervix: A report of 2 cases. Int. J. Gynecol. Pathol. 2016, 35, 118–122. [Google Scholar] [CrossRef] [PubMed]
- Nieuwenhuizen, L.; Khalil, M.K.; Naik, V.R.; Othman, N.H. Prevalence of goblet cell metaplasia in endocervical and endometrial adenocarcinoma: A histochemical study. Malaysian J. Med. Sci. 2007, 14, 56–61. [Google Scholar]
- Zheng, W.; Yang, G.C.H.; Godwin, T.A.; Caputo, T.A.; Zuna, R.E. Mucinous adenocarcinoma of the endometrium with intestinal differentiation: A case report. Hum. Pathol. 1995, 26, 1385–1388. [Google Scholar] [CrossRef]
- Wells, M.; Tilman, A. Intestinal metaplasia of the endometrium. Histopathology 1989. [Google Scholar] [CrossRef]
- Nicolae, A.; Goyenaga, P.; McCluggage, W.G.; Preda, O.; Nogales, F.F. Endometrial intestinal metaplasia: A report of two cases, including one associated with cervical intestinal and pyloric metaplasia. Int. J. Gynecol. Pathol. 2011. [Google Scholar] [CrossRef]
- Vyas, M.; Wong, S.; Zhang, X. Intestinal metaplasia of appendiceal endometriosis is not uncommon and may mimic appendiceal mucinous neoplasm. Pathol. Res. Pract. 2017. [Google Scholar] [CrossRef]
- Misdraji, J.; Lauwers, G.Y.; Irving, J.A.; Batts, K.P.; Young, R.H. Appendiceal or cecal endometriosis with intestinal metaplasia: A potential mimic of appendiceal mucinous neoplasms. Am. J. Surg. Pathol. 2014. [Google Scholar] [CrossRef]
- Tozzi, R.; Traill, Z.; Campanile, R.G.; Ferrari, F.; Majd, H.S.; Nieuwstad, J.; Hardern, K.; Gubbala, K. Porta hepatis peritonectomy and hepato-celiac lymphadenectomy in patients with stage IIIC-IV ovarian cancer: Diagnostic pathway, surgical technique and outcomes. Gynecol. Oncol. 2016, 143, 35–39. [Google Scholar] [CrossRef]
- Stolnicu, S.; Barsan, I.; Hoang, L.; Patel, P.; Terinte, C.; Pesci, A.; Aviel-Ronen, S.; Kiyokawa, T.; Alvarado-Cabrero, I.; Pike, M.C.; et al. International endocervical adenocarcinoma criteria and classification (IECC): A new pathogenetic classification for invasive adenocarcinomas of the endocervix. Am. J. Surg. Pathol. 2018. [Google Scholar] [CrossRef] [PubMed]
- Moore, W.F.; Bentley, R.C.; Kim, K.R.; Olatidoye, B.; Gray, S.R.; Robboy, S.J. Goblet-cell mucinous epithelium lining the endometrium and endocervix: Evidence of metastasis from an appendiceal primary tumor through the use of cytokeratin-7 and -20 immunostains. Int. J. Gynecol. Pathol. 1998. [Google Scholar] [CrossRef] [PubMed]
- Damato, S.; Haldar, K.; McCluggage, W.G. Primary endometrial yolk sac tumor with endodermal-intestinal differentiation masquerading as metastatic colorectal adenocarcinoma. Int. J. Gynecol. Pathol. 2016. [Google Scholar] [CrossRef] [PubMed]
- Tozzi, R.; Ferrari, F.; Nieuwstad, J.; Campanile, R.G.; Soleymani Majd, H. Tozzi classification of diaphragmatic surgery in patients with stage IIIC–IV ovarian cancer based on surgical findings and complexity. J. Gynecol. Oncol. 2020, 31, e14. [Google Scholar] [CrossRef] [PubMed]
- Soleymani Majd, H.; Ferrari, F.; Manek, S.; Gubbala, K.; Campanile, R.G.; Hardern, K.; Tozzi, R. Diaphragmatic peritonectomy vs. full thickness resection with pleurectomy during Visceral-Peritoneal Debulking (VPD) in 100 consecutive patients with stage IIIC-IV ovarian cancer: A surgical-histological analysis. Gynecol. Oncol. 2016, 140, 430–435. [Google Scholar] [CrossRef] [PubMed]
- Tozzi, R.; Soleymani Majd, H.; Campanile, R.G.; Ferrari, F. Feasibility of laparoscopic diaphragmatic peritonectomy during visceral-peritoneal debulking in patients with stage IIIC-IV ovarian cancer. J. Gynecol. Oncol. 2020, 31, e71. [Google Scholar] [CrossRef]
- Getz, G.; Gabriel, S.B.; Cibulskis, K.; Lander, E.; Sivachenko, A.; Sougnez, C.; Lawrence, M.; Kandoth, C.; Dooling, D.; Fulton, R.; et al. Integrated genomic characterization of endometrial carcinoma. Nature 2013. [Google Scholar] [CrossRef]
- Talhouk, A.; McConechy, M.K.; Leung, S.; Yang, W.; Lum, A.; Senz, J.; Boyd, N.; Pike, J.; Anglesio, M.; Kwon, J.S.; et al. Confirmation of ProMisE: A simple, genomics-based clinical classifier for endometrial cancer. Cancer 2017. [Google Scholar] [CrossRef]
- Wong, S.; Hui, P.; Buza, N. Frequent loss of mutation-specific mismatch repair protein expression in nonneoplastic endometrium of Lynch syndrome patients. Mod. Pathol. 2020. [Google Scholar] [CrossRef]
- Rosa-Rosa, J.M.; Leskelä, S.; Cristóbal-Lana, E.; Santón, A.; López-García, M.Á.; Muñoz, G.; Pérez-Mies, B.; Biscuola, M.; Prat, J.; Esther, O.E.; et al. Molecular genetic heterogeneity in undifferentiated endometrial carcinomas. Mod. Pathol. 2016. [Google Scholar] [CrossRef]
- Mills, A.M.; Liou, S.; Ford, J.M.; Berek, J.S.; Pai, R.K.; Longacre, T.A. Lynch syndrome screening should be considered for all patients with newly diagnosed endometrial cancer. Am. J. Surg. Pathol. 2014. [Google Scholar] [CrossRef] [PubMed]
- Williams, A.T.; Ganesan, R. Role of the pathologist in assessing response to treatment of ovarian and endometrial cancers. Histopathology 2020. [Google Scholar] [CrossRef] [PubMed]
- Fujiwaki, R.; Takahashi, K.; Kitao, M. Decrease in tumor volume and histologic response to intraarterial neoadjuvant chemotherapy in patients with cervical and endometrial adenocarcinoma. Gynecol. Oncol. 1997. [Google Scholar] [CrossRef] [PubMed]



| E+/M+ | E+/M− | E−/M+ | E-/M- |
|---|---|---|---|
| CK7, p53 (wild-type pattern), MSH1, PMS2, synaptophysin (<5%), chromogranin (<5%), p16 (patchy) | PAX8, ER, PR | CDX2, CK20 | PAX2, PTEN, MSH2, MSH6, ARID1A, SALL4, AFP, Glypican-3 |
| Authors | Age (years) | Original Diagnosis | Precursor | E-comp | Features of IM/diff | IHC/MA | Treatment | FIGO Stage | FU |
|---|---|---|---|---|---|---|---|---|---|
| Ardighieri et al., 2020 | 49 | G2 mixed endometrioid and mucinous-intestinal type differentiated carcinoma | NI (*) | yes (G2) | TCC, GC | Intestinal component (§): Positive: CDX2, CK20, CK7, MLH1, PMS2, p16 (patchy) Negative: PAX8, ER, PR, MSH2, MSH6 MA: HG-MSI | NCHT+H+ BSO+PLND | IVB | AWD at 6 months |
| Mogor et al., 2019 [13] | 58 | G2 intestinal-like mucinous adenocarcinoma (tumor recurrence) | AEH | unclear | GC | Positive: CK7, CDX2, CK20 Negative: ER, PR, PAX-8 | H + BSO + PLND | IA | Vaginal and vulvar recurrences. NED at 87 months |
| Trippel et al., 2017 [9] | 62 | Intestinal differentiated mucinous adenocarcinoma | NI | no | Solid/cribriform patterns; abundant extracellular mucin (°,$) | Positive: CDX2, CK7, CK20, p16 (scattered), MSH2, MSH6 Negative: PAX8, WT1, ER, PR, synaptophysin, chromogranin, vimentin, AFP, SALL4, Glypican3, MLH1, PMS2. MA: HG-MSI; MLH1 promoter hypermethylation | H + BSO + PLND | IA | Peritoneal recurrence. DOD at 21 months |
| Rubio et al., 2016 (case 1) [14] | 81 | Mucinous adenocarcinoma of gastrointestinal type | Previous endometrial polyp with IM/diff | no | Pseudomyxomatous mucinous lakes; atypical glands; columnar cells with mucin-laden cytoplasm ($) | Positive: CK7, CK20, CDX2, villin, MUC2, MUC5AC, MUC6, p16 (patchy). Negative: vimentin, PAX8, ER, PR | H + BSO | IIIA | NA |
| Buell-Gutbrod et al., 2013 [11] | 55 | G1 endometrioid adenocarcinoma with endocervical and intestinal-type mucinous differentiation | AEH | yes (G1) | GC | Intestinal areas: Positive: CK7, CDX2, CEA Negative: synaptophysin, chromogranin, CK20 | H + BSO | IA | NA |
| Nieuwenhuizen et al., 2007 (case 10) [15] | NA | G2 endometrial adenocarcinoma with goblet cells metaplasia | NA | NA | GC | NA | NA | NA | NA |
| Nieuwenhuizen et al., 2007 (case 11) [15] | NA | G2 endometrial adenocarcinoma with goblet cells metaplasia | NA | NA | GC | NA | NA | NA | NA |
| Zheng et al., 1995 [16] | 71 | Mucinous adenocarcinoma with intestinal differentiation | NI | no | TCC, NC, GC | Positive: CEA, synaptophysin, chromogranin, ER, PR, NSE | H + BSO + PLND + PALD + OB + AP + PRT | IIIC | Peritoneal recurrence. AWD at 14 months |
| Berger et al., 1984 [10] | 72 | G1 endometrial carcinoma of intestinal type | NI | yes (G1) | TCC, SRC, GC, PC, NC | Positive: gastrin, CKK, somatostatin, lysozyme, CEA | H + BSO | IA | NED |
© 2020 by the authors. Licensee MDPI, Basel, Switzerland. This article is an open access article distributed under the terms and conditions of the Creative Commons Attribution (CC BY) license (http://creativecommons.org/licenses/by/4.0/).
Share and Cite
Ardighieri, L.; Palicelli, A.; Ferrari, F.; Bugatti, M.; Drera, E.; Sartori, E.; Odicino, F. Endometrial Carcinomas with Intestinal-Type Metaplasia/Differentiation: Does Mismatch Repair System Defects Matter? Case Report and Systematic Review of the Literature. J. Clin. Med. 2020, 9, 2552. https://doi.org/10.3390/jcm9082552
Ardighieri L, Palicelli A, Ferrari F, Bugatti M, Drera E, Sartori E, Odicino F. Endometrial Carcinomas with Intestinal-Type Metaplasia/Differentiation: Does Mismatch Repair System Defects Matter? Case Report and Systematic Review of the Literature. Journal of Clinical Medicine. 2020; 9(8):2552. https://doi.org/10.3390/jcm9082552
Chicago/Turabian StyleArdighieri, Laura, Andrea Palicelli, Federico Ferrari, Mattia Bugatti, Emma Drera, Enrico Sartori, and Franco Odicino. 2020. "Endometrial Carcinomas with Intestinal-Type Metaplasia/Differentiation: Does Mismatch Repair System Defects Matter? Case Report and Systematic Review of the Literature" Journal of Clinical Medicine 9, no. 8: 2552. https://doi.org/10.3390/jcm9082552
APA StyleArdighieri, L., Palicelli, A., Ferrari, F., Bugatti, M., Drera, E., Sartori, E., & Odicino, F. (2020). Endometrial Carcinomas with Intestinal-Type Metaplasia/Differentiation: Does Mismatch Repair System Defects Matter? Case Report and Systematic Review of the Literature. Journal of Clinical Medicine, 9(8), 2552. https://doi.org/10.3390/jcm9082552

