Snake-Eye Myelopathy and Surgical Prognosis: Case Series and Systematic Literature Review
Abstract
1. Introduction
2. Experimental Section
2.1. Literature Review
2.2. Case Series
3. Results
3.1. Literature Review
3.2. Case Series
4. Discussion
5. Limitations of the Study
6. Conclusions
Author Contributions
Funding
Conflicts of Interest
References
- Jinkins, J.R.; Bashir, R.; Al-Mefty, O.; Al-Kawi, M.Z.; Fox, J.L. Cystic necrosis of the spinal cord in compressive cervical myelopathy: Demonstration by lopamidol CT-myelography. Am. J. Roentgenol. 1986, 147, 767–775. [Google Scholar] [CrossRef] [PubMed]
- Zhang, Y.Z.; Shen, Y.; Wang, L.F.; Ding, W.Y.; Xu, J.X.; He, J. Magnetic resonance T2 image signal intensity ratio and clinical manifestation predict prognosis after surgical intervention for cervical spondylotic myelopathy. Spine 2010, 35. [Google Scholar] [CrossRef] [PubMed]
- Takahashi, M.; Yamashita, Y.; Sakamoto, Y.; Kojima, R. Chronic cervical cord compression: Clinical significance of increased signal intensity on MR images. Radiology 1989, 173, 219–224. [Google Scholar] [CrossRef] [PubMed]
- Choi, S.; Lee, S.H.; Lee, J.Y.; Choi, W.G.; Choi, W.C.; Choi, G.; Jung, B.; Lee, S.C. Factors affecting prognosis of patients who underwent corpectomy and fusion for treatment of cervical ossification of the posterior longitudinal ligament: Analysis of 47 patients. J. Spinal Disord. Tech. 2005, 18, 309–314. [Google Scholar] [CrossRef] [PubMed]
- Li, H.; Jiang, L.S.; Dai, L.Y. A review of prognostic factors for surgical outcome of ossification of the posterior longitudinal ligament of cervical spine. Eur. Spine J. 2008, 17, 1277–1288. [Google Scholar] [CrossRef]
- Bekci, T.; Yucel, S.; Aslan, K.; Gunbey, H.P.; Incesu, L. Snake eye appearance on a teenage girl with spontaneous spinal ischemia. Spine J. 2015, 15, e45. [Google Scholar] [CrossRef]
- Tan, G.; Iwasawa, T.; Ozawa, Y.; Yoshida, T.; Matsubara, S. Snake eye sign on MR images of the cervical spine with cervical spondylosis and the clinical significance. Yokohama Igaku 1998, 49, 561–566. [Google Scholar]
- Xu, H.; Shao, M.; Zhang, F.; Nie, C.; Wang, H.; Zhu, W.; Xia, X.; Ma, X.; Lu, F.; Jiang, J. Snake-eyes appearance on mri occurs during the late stage of hirayama disease and indicates poor prognosis. Biomed Res. Int. 2019, 2019. [Google Scholar] [CrossRef]
- Sarawagi, R. Hirayama Disease: Imaging Profile of Three Cases Emphasizing the Role of Flexion MRI. J. Clin. Diagn. Res. 2014. [Google Scholar] [CrossRef]
- Shukla, R. Owl’s eye sign: A rare neuroimaging finding in flail arm syndrome. Neurology 2015, 85, 1996. [Google Scholar]
- Hsu, C.F.; Chen, C.Y.; Yuh, Y.S.; Chen, Y.H.; Hsu, Y.T.; Zimmerman, R.A. MR findings of Werdnig-Hoffmann disease in two infants. Am. J. Neuroradiol. 1998, 19, 550–552. [Google Scholar]
- Mizuno, J.; Nakagawa, H.; Inoue, T.; Hashizume, Y. Clinicopathological study of “snake-eye appearance” in compressive myelopathy of the cervical spinal cord. J. Neurosurg. 2003, 99, 162–168. [Google Scholar] [CrossRef] [PubMed]
- Vedantam, A.; Rajshekhar, V. Does the type of T2-weighted hyperintensity influence surgical outcome in patients with cervical spondylotic myelopathy? A review. Eur. Spine J. 2013, 22, 96–106. [Google Scholar] [CrossRef] [PubMed]
- Shamseer, L.; Moher, D.; Clarke, M.; Ghersi, D.; Liberati, A.; Petticrew, M.; Shekelle, P.; Stewart, L.A.; Altman, D.G.; Booth, A.; et al. Preferred reporting items for systematic review and meta-analysis protocols (prisma-p) 2015: Elaboration and explanation. BMJ 2015, 349, 1–25. [Google Scholar] [CrossRef]
- Campbell, M.; McKenzie, J.E.; Sowden, A.; Katikireddi, S.V.; Brennan, S.E.; Ellis, S.; Hartmann-Boyce, J.; Ryan, R.; Shepperd, S.; Thomas, J.; et al. Synthesis without meta-analysis (SWiM) in systematic reviews: Reporting guideline. BMJ 2020, 368, l6890. [Google Scholar] [CrossRef] [PubMed]
- Kato, S.; Oshima, Y.; Oka, H.; Chikuda, H.; Takeshita, Y.; Miyoshi, K.; Kawamura, N.; Masuda, K.; Kunogi, J.; Okazaki, R.; et al. Comparison of the Japanese Orthopaedic Association (JOA) score and modified JOA (mJOA) score for the assessment of Cervical Myelopathy: A multicenter observational study. PLoS ONE 2015, 10. [Google Scholar] [CrossRef]
- Paternostro-Sluga, T.; Grim-Stieger, M.; Posch, M.; Schuhfried, O.; Vacariu, G.; Mittermaier, C.; Bittner, C.; Fialka-Moser, V. Reliability and validity of the Medical Research Council (MRC) scale and a modified scale for testing muscle strength in patients with radial palsy. J. Rehabil. Med. 2008, 40, 665–671. [Google Scholar] [CrossRef]
- Ulrich, A.; Min, K.; Curt, A. High sensitivity of contact-heat evoked potentials in “snake-eye” appearance myelopathy. Clin. Neurophysiol. 2015, 126, 1994–2003. [Google Scholar] [CrossRef] [PubMed]
- Li, Y.; Remmel, K. A case of monomelic amyotrophy of the upper limb: MRI findings and the implication on its pathogenesis. J. Clin. Neuromuscul. Dis. 2012, 13, 234–239. [Google Scholar] [CrossRef]
- Vargas, M.I.; Gariani, J.; Sztajzel, R.; Barnaure-Nachbar, I.; Delattre, B.M.; Lovblad, K.O.; Dietemann, J.L. Spinal cord ischemia: Practical imaging tips, pearls, and pitfalls. Am. J. Neuroradiol. 2015, 36, 825–830. [Google Scholar] [CrossRef]
- Zileli, M.; Borkar, S.A.; Sinha, S.; Reinas, R.; Alves, Ó.L.; Kim, S.H.; Pawar, S.; Murali, B.; Parthiban, J. Cervical Spondylotic Myelopathy: Natural Course and the Value of Diagnostic Techniques -WFNS Spine Committee Recommendations. Neurospine 2019, 16, 386–402. [Google Scholar] [CrossRef] [PubMed]
- Tetreault, L.A.; Dettori, J.R.; Wilson, J.R.; Singh, A.; Nouri, A.; Fehlings, M.G.; Brodt, E.D.; Jacobs, W.B. Systematic review of magnetic resonance imaging characteristics that affect treatment decision making and predict clinical outcome in patients with cervical spondylotic myelopathy. Spine 2013, 38, S89–S110. [Google Scholar] [CrossRef] [PubMed]
- Rampersaud, Y.R.; Bidos, A.; Fanti, C.; Perruccio, A.V. The Need for Multidimensional Stratification of Chronic Low Back Pain LBP. Spine 2017, 42, E1318–E1325. [Google Scholar] [CrossRef] [PubMed]
- Fontanella, M.M.; Fazio, M.; Francione, A.; Bacigaluppi, S.; Griva, F.; Visocchi, M.; Panciani, P.P.; Bergomi, R.; Spena, G. Pre-symptomatic cervical myelopathy: Should we operate or should we observe? What is the chance of spinal cord injury from an accident? J. Neurosurg. Sci. 2014, 58, 15–22. [Google Scholar]
- Tetreault, L.; Ibrahim, A.; Cote, P.; Singh, A.; Fehlings, M.G. A systematic review of clinical and surgical predictors of complications following surgery for degenerative cervical myelopathy. J. Neurosurg. Spine 2016, 24, 77–99. [Google Scholar] [CrossRef]
- Jefferson, R.W.; Lindsay, A.T.; Jun, K.; Mohammed, F.S.; James, S.H.; Thomas, M.; Samuel, C.; Michael, G.F. State of the Art in Degenerative Cervical Myelopathy: An Update on Current Clinical Evidence. Neurosurgery 2017, 80, S33–S45. [Google Scholar] [CrossRef]
- Jutzeler, C.R.; Ulrich, A.; Huber, B.; Rosner, J.; Kramer, J.L.K.; Curt, A. Improved Diagnosis of Cervical Spondylotic Myelopathy with Contact Heat Evoked Potentials. J. Neurotrauma 2017, 34, 2045–2053. [Google Scholar] [CrossRef]







| Methods | Item Description |
|---|---|
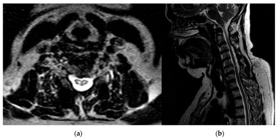
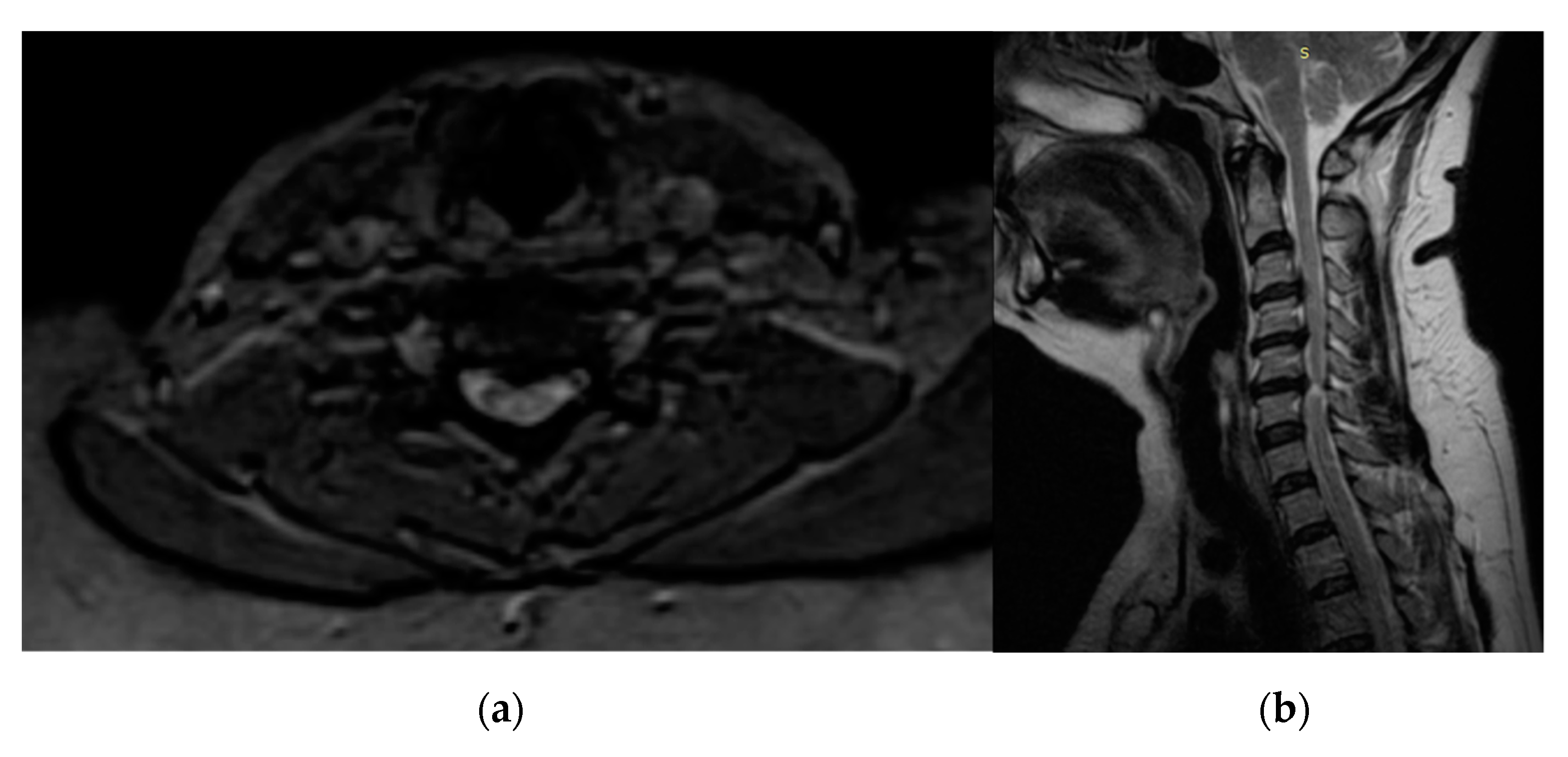
| Grouping studies for synthesis | (1a) There is a need to better understand the influence on surgical outcome of “snake-eyes” appearance (SEA) [13]. We grouped patients undergoing surgery of the cervical spine with description of magnetic resonance imaging (MRI)-evident SEA myelopathy. (1b) We extracted data about neurological outcome following surgical procedure and pathophysiological details that could aid in understanding the natural course of SEA. |
| Describe the standardized metric and transformation method used | Three studies reported data suitable for descriptive statistics. Only one study reported a precise p-value. Studies were classified based on whether they showed a reduction in the outcome measure, no effect or an increase in the outcome measure following antibiotic treatment. |
| Describe the synthesis method | No formal statistics were adopted by the lack of sufficient data about surgical outcome. Only descriptive statistics regarding the post-operative neurological status in SEA patients were reported. |
| Criteria used to prioritize results for summary and synthesis | Our inclusion criteria were: (1) studies with description of MRI-evident SEA myelopathy and surgery; (2) studies concerning a specific pathology related to SEA myelopathy, with patients undergoing surgical treatment; (3) studies with a clinical follow-up of surgically treated SEA patients. |
| Investigation of heterogeneity in reported effects | We explored heterogeneity visually using tables, by comparing the effect sizes of studies grouped according to potential effect modifiers. These included: baseline neurological status (i.e., Modified Japanese Orthopedic Association Score (mJOA score)); pathological condition linked to SEA (e.g., cervical spondylotic myelopathy, degenerative cervical myelopathy (DCM), etc.); study design (retrospective studies). |
| Certainty of evidence | Two review authors (L.Z. and G.S.) independently assessed the certainty of evidence (high, moderate, low, and very low) using the five GRADE considerations (risk of bias, consistency of effect, imprecision, indirectness, and publication bias) for each of the following outcomes to draw conclusions about certainty of the evidence. We resolved disagreements on certainty ratings by discussion and provided justification for decisions to downgrade or upgrade ratings using table footnotes. |
| Data presentation method | We reported the synthesis of results of the included studies classified by number of patients, type of the study, condition (DCM, cervical spondylotic myelopathy) and pre- and post-operative mJOA score evaluating interventions against ‘no-intervention’ control groups. |
| Results | |
| Reporting results | Regarding DCM, the “snake-eye” appearance was regarded as a negative prognostic factor in 144 cases. In particular, in Mizuno’s study, the improvement ratio determined by JOA score was 32.2% in SEA (mean post-operative mJOA score of 12.9), 47.1% in non snake-eye appearance (NSEA), and 50% (p < 0.01) in control cases in which high signal intensity was absent. |
| Limitation of the synthesis | The main limitations were the lack of randomized controlled trials (RCTs). Moreover, a thorough literature review shows an inconsistency of results about the prognostic significance of SEA in surgical and non-surgical patients and the pathogenetic mechanism is not completely understood and research is still ongoing. |
© 2020 by the authors. Licensee MDPI, Basel, Switzerland. This article is an open access article distributed under the terms and conditions of the Creative Commons Attribution (CC BY) license (http://creativecommons.org/licenses/by/4.0/).
Share and Cite
Fontanella, M.M.; Zanin, L.; Bergomi, R.; Fazio, M.; Zattra, C.M.; Agosti, E.; Saraceno, G.; Schembari, S.; De Maria, L.; Quartini, L.; et al. Snake-Eye Myelopathy and Surgical Prognosis: Case Series and Systematic Literature Review. J. Clin. Med. 2020, 9, 2197. https://doi.org/10.3390/jcm9072197
Fontanella MM, Zanin L, Bergomi R, Fazio M, Zattra CM, Agosti E, Saraceno G, Schembari S, De Maria L, Quartini L, et al. Snake-Eye Myelopathy and Surgical Prognosis: Case Series and Systematic Literature Review. Journal of Clinical Medicine. 2020; 9(7):2197. https://doi.org/10.3390/jcm9072197
Chicago/Turabian StyleFontanella, Marco Maria, Luca Zanin, Riccardo Bergomi, Marco Fazio, Costanza Maria Zattra, Edoardo Agosti, Giorgio Saraceno, Silvia Schembari, Lucio De Maria, Luisa Quartini, and et al. 2020. "Snake-Eye Myelopathy and Surgical Prognosis: Case Series and Systematic Literature Review" Journal of Clinical Medicine 9, no. 7: 2197. https://doi.org/10.3390/jcm9072197
APA StyleFontanella, M. M., Zanin, L., Bergomi, R., Fazio, M., Zattra, C. M., Agosti, E., Saraceno, G., Schembari, S., De Maria, L., Quartini, L., Leggio, U., Filosto, M., Gasparotti, R., & Locatelli, D. (2020). Snake-Eye Myelopathy and Surgical Prognosis: Case Series and Systematic Literature Review. Journal of Clinical Medicine, 9(7), 2197. https://doi.org/10.3390/jcm9072197

