18F-Fluorocholine PET and Multiphase CT Integrated in Dual Modality PET/4D-CT for Preoperative Evaluation of Primary Hyperparathyroidism
Abstract
1. Introduction
2. Materials and Methods
2.1. Patient Population
2.2. Imaging Procedures
2.3. Imaging Analyses
2.4. Gold Standard
2.5. Statistical Analyses
3. Results
3.1. Patient Population
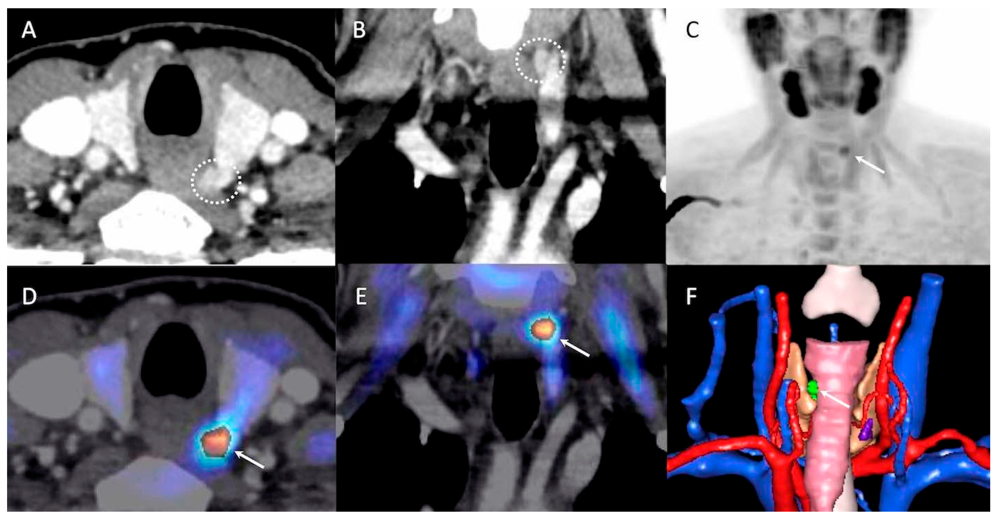
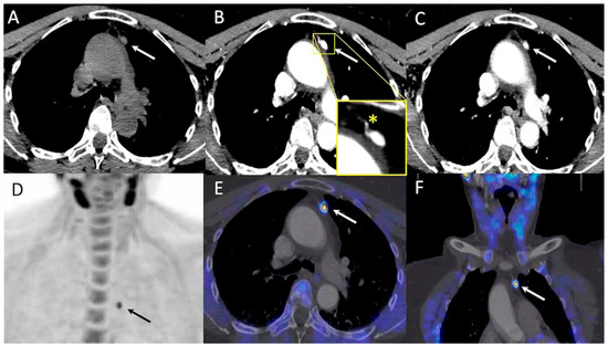
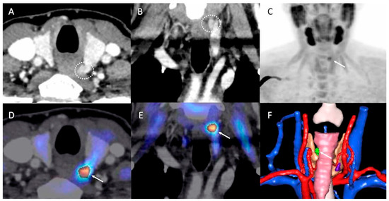
3.2. Imaging Results
4. Discussion
5. Conclusions
Author Contributions
Funding
Conflicts of Interest
References
- Ruda, J.M.; Hollenbeak, C.S.; Stack, B.C. A systematic review of the diagnosis and treatment of primary hyperparathyroidism from 1995 to 2003. Otolaryngol. Head. Neck Surg. 2005, 132, 359–732. [Google Scholar] [CrossRef]
- Clarke, B.L. Epidemiology of primary hyperparathyroidism. J. Clin. Densitom. 2013, 16, 8–13. [Google Scholar] [CrossRef]
- Bilezikian, J.P.; Bandeira, L.; Khan, A.; Cusano, N.E. Hyperparathyroidism. Lancet 2018, 391, 168–178. [Google Scholar] [CrossRef]
- Marx, S.J. Hyperparathyroid and hypoparathyroid disorders. N. Engl. J. Med. 2000, 343, 1863–1875. [Google Scholar] [CrossRef]
- Calzada-Nocaudie, M.; Chanson, P.; Conte-Devolx, B.; Delemer, B.; Estour, B.; Henry, J.-F.; Kraimps, J.-L.; Ribot, C.; Rohmer, V.; Tabarin, A.; et al. Management of asymptomatic primary hyperparathyroidism: French Society of Endocrinology expert consensus. Ann. Endocrinol. 2006, 67, 7–12. [Google Scholar] [CrossRef]
- Bilezikian, J.P.; Brandi, M.L.; Eastell, R.; Silverberg, S.J.; Udelsman, R.; Marcocci, C.; Potts, J.T., Jr. Guidelines for the management of asymptomatic primary hyperparathyroidism: Summary statement from the Fourth International Workshop. J. Clin. Endocrinol. Metab. 2014, 99, 3561–3569. [Google Scholar] [CrossRef] [PubMed]
- Udelsman, R.; Lin, Z.; Donovan, P. The superiority of minimally invasive parathyroidectomy based on 1650 consecutive patients with primary hyperparathyroidism. Ann. Surg. 2011, 253, 585–591. [Google Scholar] [CrossRef] [PubMed]
- Sejean, K.; Calmus, S.; Durand-Zaleski, I.; Bonnichon, P.; Thomopoulos, P.; Cormier, C.; Legmann, P.; Richard, B.; Bertagna, X.Y.; Vidal-Trecan, G.M. Surgery versus medical follow-up in patients with asymptomatic primary hyperparathyroidism: A decision analysis. Eur. J. Endocrinol. 2005, 153, 915–927. [Google Scholar] [CrossRef] [PubMed]
- Zafereo, M.; Yu, J.; Angelos, P.; Brumund, K.; Chuang, H.H.; Goldenberg, D.; Lango, M.; Perrier, N.; Randolph, G.; Shindo, M.L.; et al. American Head and Neck Society Endocrine Surgery Section update on parathyroid imaging for surgical candidates with primary hyperparathyroidism. Head Neck. 2019, 41, 2398–2409. [Google Scholar] [CrossRef] [PubMed]
- Treglia, G.; Trimboli, P.; Huellner, M.; Giovanella, L. Imaging in primary hyperparathyroidism: Focus on the evidence-based diagnostic performance of different methods. Minerva Endocrinol. 2018, 43, 133–143. [Google Scholar]
- Kunstman, J.W.; Kirsch, J.D.; Mahajan, A.; Udelsman, R. Clinical review: Parathyroid localization and implications for clinical management. J. Clin. Endocrinol. Metab. 2013, 98, 902–912. [Google Scholar] [CrossRef] [PubMed]
- Kuzminski, S.J.; Sosa, J.A.; Hoang, J.K. Update in Parathyroid Imaging. Magn. Reson. Imaging Clin. N Am. 2018, 26, 151–166. [Google Scholar] [CrossRef] [PubMed]
- Kluijfhout, W.P.; Pasternak, J.D.; Beninato, T.; Drake, F.T.; Gosnell, J.E.; Shen, W.T.; Duh, Q.J.; Allen, I.E.; Vriens, M.R.; de Keizer, B.; et al. Diagnostic performance of computed tomography for parathyroid adenoma localization; A systematic review and meta-analysis. Eur. J. Radiol. 2017, 88, 117–128. [Google Scholar] [CrossRef] [PubMed]
- Treglia, G.; Piccardo, A.; Imperiale, A.; Strobel, K.; Kaufmann, P.A.; Prior, J.O.; Giovanella, L. Diagnostic performance of choline PET for detection of hyperfunctioning parathyroid glands in hyperparathyroidism: A systematic review and meta-analysis. Eur. J. Nucl. Med. Mol. Imaging 2019, 46, 751–765. [Google Scholar] [CrossRef]
- Kukar, M.; Platz, T.A.; Schaffner, T.J.; Elmarzouky, R.; Groman, A.; Kumar, S.; Abdelhalim, A.; Cance, W.G. The Use of Modified Four-Dimensional Computed Tomography in Patients with Primary Hyperparathyroidism: An Argument for the Abandonment of Routine Sestamibi Single-Positron Emission Computed Tomography (SPECT). Ann. Surg. Oncol. 2015, 22, 139–145. [Google Scholar] [CrossRef]
- Suh, Y.J.; Choi, J.Y.; Kim, S.J.; In Kook, C.; Yun, T.J.; Lee, K.E.; Kim, J.; Cheon, G.J.; Youn, Y.K. Comparison of 4D CT, ultrasonography, and 99mTc sestamibi SPECT/CT in localizing single-gland primary hyperparathyroidism. Otolaryngol. Head. Neck Surg. 2015, 152, 438–443. [Google Scholar] [CrossRef]
- Taywade, S.K.; Damle, N.A.; Behera, A.; Devasenathipathy, K.; Bal, C.; Tripathi, M.; Agarwal, S.; Tandon, N.; Chumber, S.; Seenu, V. Comparison of 18F-Fluorocholine Positron Emission Tomography/Computed Tomography and Four-dimensional Computed Tomography in the Preoperative Localization of Parathyroid Adenomas-initial Results. Indian J. Endocrinol. Metab. 2017, 21, 399–403. [Google Scholar]
- Amadou, C.; Bera, G.; Ezziane, M.; Chami, L.; Delbot, T.; Rouxel, A.; Leban, M.; Herve, G.; Menegaux, F.; Leenhardt, F.; et al. 18F-Fluorocholine PET/CT and Parathyroid 4D Computed Tomography for Primary Hyperparathyroidism: The Challenge of Reoperative Patients. World J. Surg. 2019, 43, 1232–1242. [Google Scholar] [CrossRef]
- Piccardo, A.; Trimboli, P.; Rutigliani, M.; Puntoni, M.; Foppiani, L.; Bacigalupo, L.; Crescenzi, A.; Bottoni, G.; Treglia, G.; Paparo, F.; et al. Additional value of integrated 18F-choline PET/4D contrast-enhanced CT in the localization of hyperfunctioning parathyroid glands and correlation with molecular profile. Eur. J. Nucl. Med. Mol. Imaging 2019, 46, 766–775. [Google Scholar] [CrossRef]
- D’Agostino, J.; Wall, J.; Soler, L.; Vix, M.; Duh, Q.Y.; Marescaux, J. Virtual neck exploration for parathyroid adenomas: A first step toward minimally invasive image-guided surgery. JAMA Surg. 2013, 148, 232–238. [Google Scholar] [CrossRef]
- D’Agostino, J.; Diana, M.; Vix, M.; Nicolau, S.; Soler, L.; Bourhala, K.; Hassler, S.; Wu, H.S.; Marescaux, J. Three-dimensional metabolic and radiologic gathered evaluation using VR-RENDER fusion: A novel tool to enhance accuracy in the localization of parathyroid adenomas. World J. Surg. 2013, 37, 1618–1625. [Google Scholar] [CrossRef] [PubMed]
- Hassler, S.; Ben-Sellem, D.; Hubele, F.; Constantinesco, A.; Goetz, C. Dual-isotope 99mTc-MIBI/123I parathyroid scintigraphy in primary hyperparathyroidism: Comparison of subtraction SPECT/CT and pinhole planar scan. Clin. Nucl. Med. 2014, 39, 32–36. [Google Scholar] [CrossRef] [PubMed]
- Lloyd, R.V.; Osamura, R.Y.; Kloppel, G.; Rosai, J. WHO Classification of Tumours of Endocrine Organs: WHO Classification of Tumours, 4th ed.; International Agency for Research on Cancer: Lyon, French, 2017; Volume 10. [Google Scholar]
- Wojtczak, B.; Syrycka, J.; Kaliszewski, K.; Rudnicki, J.; Bolanowski, M.; Barczyński, M. Surgical implications of recent modalities for parathyroid imaging. Gland. Surg. 2020, 9 (Suppl. 2), S86–S94. [Google Scholar] [CrossRef]
- Cuderman, A.; Senica, K.; Rep, S.; Hocevar, M.; Kocjan, T.; Sever, M.J.; Zaletel, K.; Lezaic, L. (18)F-Fluorocholine PET/CT in Primary Hyperparathyroidism: Superior Diagnostic Performance to Conventional Scintigraphic Imaging for Localization of Hyperfunctioning Parathyroid Glands. J. Nucl. Med. 2020, 61, 577–583. [Google Scholar] [CrossRef] [PubMed]
- Yeh, R.; Tay, Y.D.; Tabacco, G.; Dercle, L.; Kuo, J.H.; Bandeira, L.; McManus, C.; Leung, D.K.; Lee, J.A.; Bilezikian, J.P. Diagnostic Performance of 4D CT and Sestamibi SPECT/CT in Localizing Parathyroid Adenomas in Primary Hyperparathyroidism. Radiology 2019, 29, 469–476. [Google Scholar] [CrossRef] [PubMed]
- Broos, W.A.M.; Wondergem, M.; van der Zant, F.M.; Knol, R.J.J. Dual-Time-Point 18F-Fluorocholine PET/CT in Parathyroid Imaging. J. Nucl. Med. 2019, 60, 1605–1610. [Google Scholar] [CrossRef]
- Alharbi, A.A.; Alshehri, F.M.; Albatly, A.A.; Sah, B.R.; Schmid, C.; Huber, G.F.; Huellner, M.W. [18F]Fluorocholine Uptake of Parathyroid Adenoma Is Correlated with Parathyroid Hormone Level. Mol. Imaging. Biol. 2018, 20, 857–867. [Google Scholar] [CrossRef]
- Araz, M.; Soydal, Ç.; Özkan, E.; Kir, M.K.; İbiş, E.; Güllü, S.; Erdoğan, M.F.; Emral, R.; Küçük, O.N. The efficacy of fluorine-18-choline PET/CT in comparison with 99mTc-MIBI SPECT/CT in the localization of a hyperfunctioning parathyroid gland in primary hyperparathyroidism. Nucl. Med. Commun. 2018, 39, 989–994. [Google Scholar] [CrossRef]
- Battini, S.; Imperiale, A.; Taïeb, D.; Elbayed, K.; Cicek, A.E.; Sebag, F.; Brunaud, L.; Namer, I.J. High-resolution magic angle spinning (1)H nuclear magnetic resonance spectroscopy metabolomics of hyperfunctioning parathyroid glands. Surgery, 2016; 160, 384–394. [Google Scholar]
- Madorin, C.A.; Owen, R.; Coakley, B.; Lowe, H.; Nam, K.H.; Weber, K.; Kushnir, L.; Rios, J.; Genden, E.; Pawha, P.S.; et al. Comparison of radiation exposure and cost between dynamic computed tomography and sestamibi scintigraphy for preoperative localization of parathyroid lesions. JAMA Surg. 2013, 148, 500–503. [Google Scholar] [CrossRef]
- Noureldine, S.I.; Aygun, N.; Walden, M.J.; Hassoon, A.; Gujar, S.K.; Tufano, R.P. Multiphase computed tomography for localization of parathyroid disease in patients with primary hyperparathyroidism: How many phases do we really need? Surgery 2014, 156, 1300–1306. [Google Scholar] [CrossRef]
- Ozturk, M.; Polat, A.V.; Celenk, C.; Elmali, M.; Kir, S.; Polat, C. The diagnostic value of 4D MRI at 3T for the localization of parathyroid adenomas. Eur. J. Radiol. 2019, 112, 207–213. [Google Scholar] [CrossRef] [PubMed]
- Becker, J.L.; Patel, V.; Johnson, K.J.; Guerrero, M.; Klein, R.R.; Ranvier, G.F.; Owen, R.P.; Pawha, P.; Nael, K. 4D-Dynamic Contrast-Enhanced MRI for Preoperative Localization in Patients with Primary Hyperparathyroidism. AJNR Am. J. Neuroradiol. 2020, 41, 522–528. [Google Scholar] [CrossRef] [PubMed]



| Numbers and Values | Normal Reference | |
|---|---|---|
| Age (Years), Mean (min–max) | 62 (28–79) | |
| Sex, n (%) | ||
| Male | 11 (22) | |
| Female | 39 (78) | |
| PTH (pg/mL), Mean (Range) | 136 (44–575) | 18.5–88 pg/mL | 
| Calcemia (mmol/L), Mean (Range) | 2.69 (2.59–3.26) | 2.20–2.60 mmol/L | 
| Phosphoremia (mmol/L), Mean (Range) | 0.92 (0.49–1.23) | 0.87–1.50 mmol/L | 
| D-Vitamin (ng/mL) | 34 (18–69) | >30 ng/mL | 
| Recurrent pHPT, n (%) | 10 (20) | |
| Symptoms, n (%) | ||
| Asymptomatic | 32 (64) | |
| Osteo-Articular Symptoms | 13 (26) | |
| Nephritic Colic | 7 (14) | |
| Acute Pancreatitis | 1 (2) | |
| History of Thyroidectomy, n (%) | 7 (14) | |
| Full | 2 (4) | |
| Partial | 5 (10) | |
| Thyroid Disease | ||
| Multinodular Goiter | 5 (10) | |
| Active Graves’ Disease | 1 (2) | |
| Calcimimetics, n (%) | 5 (10) | |
| MEN1, n (%) | 1 (2) | |
| First-Line Imaging, n (%) | ||
| Negative | 21 (42) | |
| Discordant | 29 (58) | 
| Numbers and Values | |
|---|---|
| Location, n (%) Right Upper Right Lower Left Upper Left Lower Ectopic * | 50 6 (12) 19 (38) 7 (14) 10 (20) 8 (16) | 
| Histology, n (%) Adenoma Hyperplasia | 50 37 (74) 13 (26) | 
| Weight (g), Mean (min–max) | 0.41 (0.10–1.70) | 
| Size (mm), Mean (min–max) | 14.6 (5–55) | 
| PET/CT | 4D-CT | PET/4D-CT | PET/CT vs. 4D-CT | PET/CT vs. PET/4D-CT | 4D-CT vs. PET/4D-CT | |
|---|---|---|---|---|---|---|
| Sensitivity | ||||||
| Per Patient | 39/42 (93%) | 33/40 (80%) | 40/42 (95%) | p = 0.046 | p = 1 | p = 0.013 | 
| Per Gland | 44/50 (88%) | 33/50 (66%) | 46/50 (92%) | p = 0.01 | p = 0.48 | p < 0.001 | 
| Detection Rate | ||||||
| Per Patient | 34/50 (68%) | 34/50 (68%) | 42/50 (84%) | p = 0.23 | p = 1 | p = 0.11 | 
| Per Gland | 46/58 (79%) | 34/60 (57%) | 48/58 (83%) | p = 0.066 | p = 0.48 | p = 0.019 | 
© 2020 by the authors. Licensee MDPI, Basel, Switzerland. This article is an open access article distributed under the terms and conditions of the Creative Commons Attribution (CC BY) license (http://creativecommons.org/licenses/by/4.0/).
Share and Cite
Pretet, V.; Rotania, M.; Helali, M.; Ignat, M.; Vix, M.; Imperiale, A. 18F-Fluorocholine PET and Multiphase CT Integrated in Dual Modality PET/4D-CT for Preoperative Evaluation of Primary Hyperparathyroidism. J. Clin. Med. 2020, 9, 2005. https://doi.org/10.3390/jcm9062005
Pretet V, Rotania M, Helali M, Ignat M, Vix M, Imperiale A. 18F-Fluorocholine PET and Multiphase CT Integrated in Dual Modality PET/4D-CT for Preoperative Evaluation of Primary Hyperparathyroidism. Journal of Clinical Medicine. 2020; 9(6):2005. https://doi.org/10.3390/jcm9062005
Chicago/Turabian StylePretet, Valentin, Marianela Rotania, Mehdi Helali, Mihaela Ignat, Michel Vix, and Alessio Imperiale. 2020. "18F-Fluorocholine PET and Multiphase CT Integrated in Dual Modality PET/4D-CT for Preoperative Evaluation of Primary Hyperparathyroidism" Journal of Clinical Medicine 9, no. 6: 2005. https://doi.org/10.3390/jcm9062005
APA StylePretet, V., Rotania, M., Helali, M., Ignat, M., Vix, M., & Imperiale, A. (2020). 18F-Fluorocholine PET and Multiphase CT Integrated in Dual Modality PET/4D-CT for Preoperative Evaluation of Primary Hyperparathyroidism. Journal of Clinical Medicine, 9(6), 2005. https://doi.org/10.3390/jcm9062005
 
        

 
       