Clinical Studies Regarding Electromagnetic Stimulation in Proximity of Dental Implants on Patients with/without Orthodontic Treatment
Abstract
1. Introduction
2. Materials and Methods
- (1)
- Age between 30–60 years;
- (2)
- Kennedy class I, II or III edentation;
- (3)
- Healthy subjects.
- (1)
- Poor oral hygiene;
- (2)
- Smoking;
- (3)
- The presence of systemic diseases that could affect the outcome of surgical treatment;
- (4)
- Subjects suffering from diabetes.
2.1. Surgical Stage
- (1)
- Anesthesia of the concerned area by:
- Infiltration.
- Peripheral trunk anesthesia.
- (2)
- Incision: a horizontal incision on the alveolar ridge package ± 1–2 vertical incisions, starting from the horizontal one towards the bottom of the vestibular mucosa.
- (3)
- Detachment and reflection of the mucoperiosteal flap on the vestibular and/or oral face of the tooth; to maintain the viability of the flap, saline irrigations were performed.
- (4)
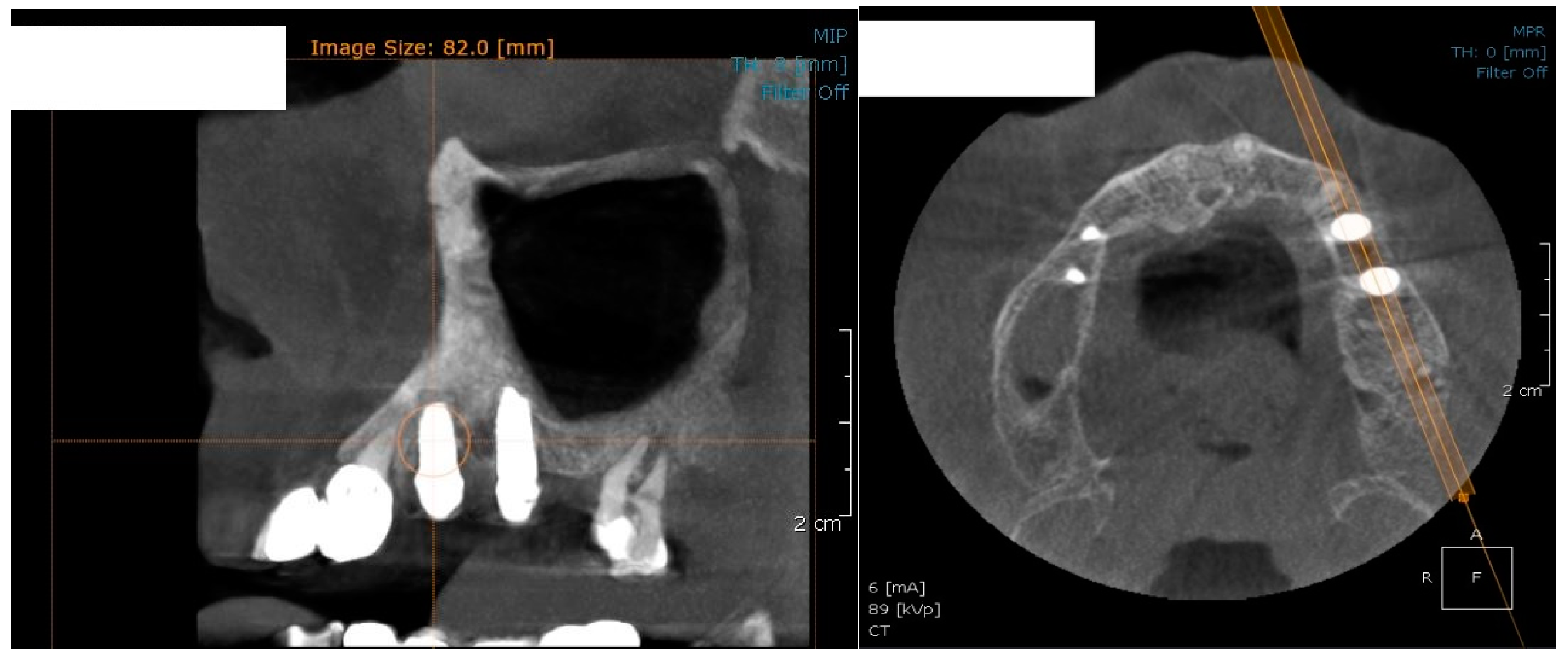
- Insertion of MIS Seven™ dental implants, MIS Dental Implants, Israel, standard platform, according to the bone characteristics for each individual site, based on the CBCT scans. After insertion, a resonance frequency analysis RAF was performed using an implant stability tester Osstell™ ISQ (Osstell™, Gothenburg, Sweden). Implants stability ranged from 58 ISQ to 74 ISQ values on the tester.
- (5)
- (6)
- Repositioning and suturing the flap.
- (1)
- Patients were instructed to use an antiseptic mouthwash daily for 3 weeks (e.g., chlorhexidine solution 0.1–0.2%) and antibiotic therapy was instituted;
- (2)
- The sutures were removed when the postoperative wound was clinically healed and when they were no longer needed to keep the flap in place (7–10 days);
- (3)
- Patients were advised not to brush the area until 2 weeks postoperatively, professional brushing was performed if necessary; they were also recommended a diet that did not require dental units for hard chewing;
- (4)
- At 2 weeks, the patients were retrained regarding dental brushing techniques, including interproximal brushing;
2.2. Healing Stage
3. Statistical Analysis
4. Results
5. Discussion
6. Conclusions
- (1)
- No statistical differences were observed regarding bone radiodensity after treatment with conventional healing caps vs. pulse electromagnetic stimulation caps, however, there was a difference regarding MED stimulation depending on the age of the patient, with younger patients experiencing a slightly increased degree of bone radiodensity.
- (2)
- The most important result of our study was a slightly higher radiodensity nearest the interface of dental implants, with the overall level of cancellous tissue density especially including variation in the level of trabecular bone mineralization.
- (3)
- A significant limitation of this study is the lack of a large dataset, which would be needed to offer further insight regarding pulsed electromagnetic waves and their influence on the bone. Additional research, using randomized controlled trials, should be conducted to ascertain its effectiveness compared with other treatment modalities.
Author Contributions
Funding
Conflicts of Interest
References
- Reinhardt, B.; Beikler, T. Advanced Ceramics for Dentistry. Dent. Implant. 2014, 89–93, 115–125. [Google Scholar]
- Misch, C.E. Dental Implant Prosthetics, 2nd ed.; Elsevier Health Sciences: Amsterdam, The Netherlands, 2014; pp. 220–229. [Google Scholar]
- Alghamdi, H.S. Methods to improve osseointegration of dental implants in low quality (type-IV) bone: An overview. J. Funct. Biomater. 2018, 9, 7. [Google Scholar] [CrossRef] [PubMed]
- Mishra, S.K.; Chowdhary, R.; Chrcanovic, B.R.; Brånemark, P.I.J. Prosthodont, Osseoperception in Dental Implants: A Systematic Review. Clin. Oral. Implant. Res. 2016, 2, 55. [Google Scholar]
- Lindhe, J.; Berglundh, T.; Ericsson, I.; Liljenber, B.; Marinello, C. Experimental breakdown of peri-implant and periodontal tissues. A study in the beagle dog. Clin. Oral. Implant. Res. 2016, 3, 9–16. [Google Scholar] [CrossRef] [PubMed]
- Domingo-Clérigues, M.; Montiel-Company, J.M.; Almerich-Silla, J.M.; García-Sanz, V.; Paredes-Gallardo, V.; Bellot-Arcís, C. Changes in the alveolar bone thickness of maxillary incisors after orthodontic treatment involving extractions—A systematic review and meta-analysis. J. Clin. Exp. Dent. 2019, 11, 76–84. [Google Scholar] [CrossRef] [PubMed]
- Haghnegahdar, A.; Zarif, N.; Najafi, H.; Sabet, M.; Saki, M. Assessment of the changes in alveolar bone quality after fixed orthodontic therapy: A trabecular structure analysis. J. Dent. Res. Dent. Clin. Dent. Prospect. 2016, 10, 201–206. [Google Scholar] [CrossRef] [PubMed]
- Pauwels, R.; Jacobs, R.; Singer, S.R.; Mupparapu, M. CBCT-based bone quality assessment: Are Hounsfield units applicable? Dentomax. Radiol. 2015, 44, 201–204. [Google Scholar] [CrossRef] [PubMed]
- Kim, K.J.; Kim, D.H.; Lee, J.I.; Choi, B.K.; Han, I.H.; Nam, K.H. Hounsfield Units on Lumbar Computed Tomography for Predicting Regional Bone Mineral Density. Open Med. (Wars) 2019, 19, 545–551. [Google Scholar] [CrossRef] [PubMed]
- DenOtter, T.D.; Schubert, J. Hounsfield Unit. In StatPearls [Internet]; StatPearls Publishing: Treasure Island, FL, USA, 2020. [Google Scholar] [PubMed]
- Lang, N.P.; Bragger, U.; Walther, D.; Beamer, B.; Kornman, K.S. Ligature-induced peri-implant infection in cynomolgus monkeys. I. Clinical and radiographic findings. Clin. Oral. Implant. Res. 2016, 4, 2–11. [Google Scholar] [CrossRef] [PubMed]
- Mombelli, A.; Mulle, N.; Cionca, N. The epidemiology of peri-implantitis. Clin. Oral. Implant. Res. 2012, 23, 67–76. [Google Scholar] [CrossRef] [PubMed]
- Yin-Chih, F.; Chih-Chun, L.; Je-Ken, C.; Chung-Hwan, C.; I-Chun, T.; Gwo-Jaw, W.; Mei-Ling, H. A Novel Single Pulsed Electromagnetic Field Stimulates Osteogenesis of Bone Marrow Mesenchymal Stem Cells and Bone Repair. PLoS ONE 2014, 9, e91581. [Google Scholar]
- Fu, Y.-C.; Koldsland, O.C.; Scheie, A.A.; Aass, A.M. The association between selected risk indicators and severity of peri-implantitis using mixed model analyses. J. Clin. Periodontol. 2017, 38, 285–292. [Google Scholar]
- Chalidis, N.; Sachinis, A.; Assiotis, A.; Maccauro, G. Stimulation of bone formation and fracture healing with pulsed electromagnetic fields: Biologic responses and clinical implications. Int. J. Immunopathol. Pharmacol. 2011, 24, 17–20. [Google Scholar] [CrossRef]
- Synder, H.B.; Caughman, G.; Lewis, J.; Billman, M.A.; Schuster, G. Nicotine modulation of in vitro human gingival fibroblast g1 integrin expression. J. Periodontol. 2016, 73, 505–510. [Google Scholar] [CrossRef]
- Poggi, P.; Rota, M.T.; Boratto, R. The volatile fraction of cigarette smoke induces alterations in the human gingival fibroblast cytoskeleton. J. Periodontal. Res. 2018, 37, 230–235. [Google Scholar] [CrossRef]





















Publisher’s Note: MDPI stays neutral with regard to jurisdictional claims in published maps and institutional affiliations. |
© 2020 by the authors. Licensee MDPI, Basel, Switzerland. This article is an open access article distributed under the terms and conditions of the Creative Commons Attribution (CC BY) license (http://creativecommons.org/licenses/by/4.0/).
Share and Cite
Bud, E.-S.; Bud, A.; Păcurar, M.; Vlasa, A.; Lazăr, A.P.; Lazăr, L. Clinical Studies Regarding Electromagnetic Stimulation in Proximity of Dental Implants on Patients with/without Orthodontic Treatment. J. Clin. Med. 2020, 9, 3983. https://doi.org/10.3390/jcm9123983
Bud E-S, Bud A, Păcurar M, Vlasa A, Lazăr AP, Lazăr L. Clinical Studies Regarding Electromagnetic Stimulation in Proximity of Dental Implants on Patients with/without Orthodontic Treatment. Journal of Clinical Medicine. 2020; 9(12):3983. https://doi.org/10.3390/jcm9123983
Chicago/Turabian StyleBud, Eugen-Silviu, Anamaria Bud, Mariana Păcurar, Alexandru Vlasa, Ana Petra Lazăr, and Luminita Lazăr. 2020. "Clinical Studies Regarding Electromagnetic Stimulation in Proximity of Dental Implants on Patients with/without Orthodontic Treatment" Journal of Clinical Medicine 9, no. 12: 3983. https://doi.org/10.3390/jcm9123983
APA StyleBud, E.-S., Bud, A., Păcurar, M., Vlasa, A., Lazăr, A. P., & Lazăr, L. (2020). Clinical Studies Regarding Electromagnetic Stimulation in Proximity of Dental Implants on Patients with/without Orthodontic Treatment. Journal of Clinical Medicine, 9(12), 3983. https://doi.org/10.3390/jcm9123983

