Expression of Class III Beta-Tubulin Is Associated with Invasive Potential and Poor Prognosis in Thyroid Carcinoma
Abstract
1. Introduction
2. Experimental Section
2.1. Patients and Samples
2.2. Immunohistochemistry (IHC)
2.3. Baseline Levels of TUBB3 in Thyroid Cell Lines
2.4. Transwell Invasive Assay
2.5. Blocking of TUBB3 by shRNA Transfection
2.6. Utilization of Data from the Cancer Genome Atlas (TCGA)
2.7. Statistical Analysis
3. Results
3.1. Patients
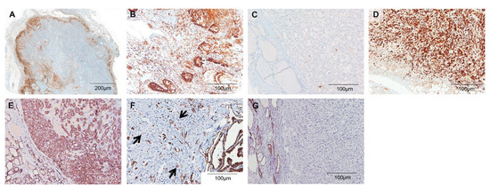
3.2. Differential Expression of TUBB3 and ECAD in Normal Thyroid Parenchyme and Thyroid Carcinomas
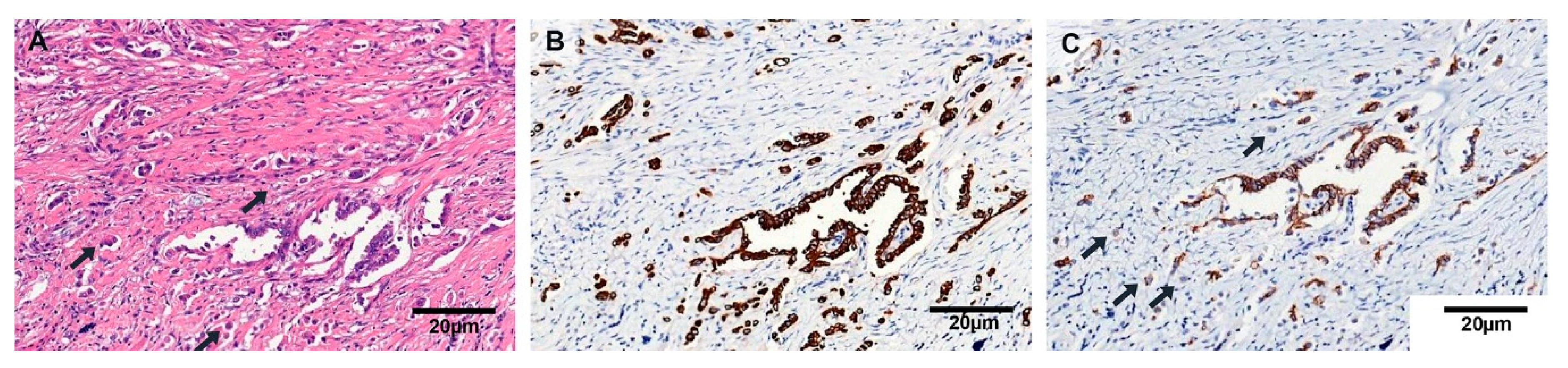
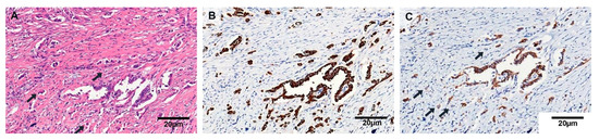
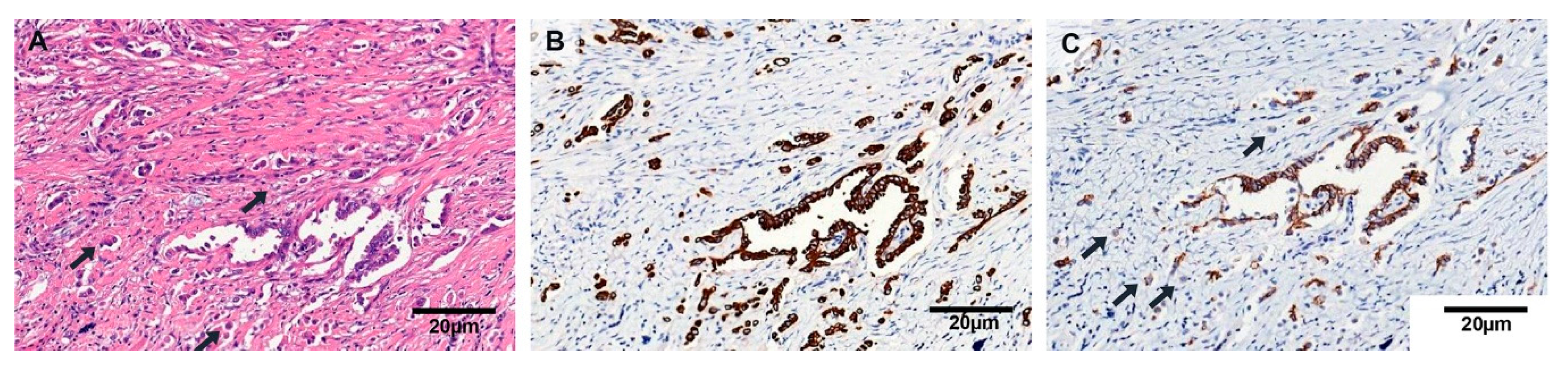
3.3. TUBB3 Was Upregulated during Stromal Invasion
3.4. Clinicopathological Correlation and Survival Analysis
3.5. TCGA Data Analysis
4. Discussion
5. Conclusions
Supplementary Materials
Author Contributions
Funding
Conflicts of Interest
References
- Ahn, H.S.; Kim, H.J.; Welch, H.G. Korea’s thyroid-cancer “epidemic”—Screening and overdiagnosis. N. Engl. J. Med. 2014, 371, 1765–1767. [Google Scholar] [CrossRef] [PubMed]
- Park, S.; Oh, C.M.; Cho, H.; Lee, J.Y.; Jung, K.W.; Jun, J.K.; Won, Y.-J.; Kong, H.-J.; Choi, K.S.; Lee, Y.J.; et al. Association between screening and the thyroid cancer “epidemic” in South Korea: Evidence from a nationwide study. BMJ 2016, 355, i5745. [Google Scholar] [CrossRef] [PubMed]
- Haymart, M.R.; Miller, D.C.; Hawley, S.T. Active Surveillance for low-risk cancers—A viable solution to overtreatment? N. Engl. J. Med. 2017, 377, 203–206. [Google Scholar] [CrossRef] [PubMed]
- Ito, Y.; Miyauchi, A. Active surveillance as first-line management of papillary microcarcinoma. Annu. Rev. Med. 2019, 70, 369–379. [Google Scholar] [CrossRef]
- Oh, H.S.; Ha, J.; Kim, H.I.; Kim, T.H.; Kim, W.G.; Lim, D.J.; Kim, T.Y.; Kim, S.W.; Kim, W.B.; Shong, Y.K.; et al. Active surveillance of low-risk papillary thyroid microcarcinoma: A multi-center cohort study in Korea. Thyroid 2018, 28, 1587–1594. [Google Scholar] [CrossRef]
- Ambrosi, F.; Righi, A.; Ricci, C.; Erickson, L.A.; Lloyd, R.V.; Asioli, S. Hobnail variant of papillary thyroid carcinoma: A literature review. Endocr. Pathol. 2017, 28, 293–301. [Google Scholar] [CrossRef]
- Kwon, H.; Oh, H.S.; Kim, M.; Park, S.; Jeon, M.J.; Kim, W.G.; Kim, W.B.; Shong, Y.K.; Song, D.E.; Baek, J.H.; et al. Active surveillance for patients with papillary thyroid microcarcinoma: A single center’s experience in Korea. J. Clin. Endocrinol. Metab. 2017, 102, 1917–1925. [Google Scholar] [CrossRef]
- Nath, M.C.; Erickson, L.A. Aggressive variants of papillary thyroid carcinoma: Hobnail, tall cell, columnar, and solid. Adv. Anat. Pathol. 2018, 25, 172–179. [Google Scholar] [CrossRef]
- Roman, S.; Sosa, J.A. Aggressive variants of papillary thyroid cancer. Curr. Opin. Oncol. 2013, 25, 33–38. [Google Scholar] [CrossRef]
- Siddiqui, S.; White, M.G.; Antic, T.; Grogan, R.H.; Angelos, P.; Kaplan, E.L.; Cipriani, N.A. Clinical and pathologic predictors of lymph node metastasis and recurrence in papillary thyroid microcarcinoma. Thyroid 2016, 26, 807–815. [Google Scholar] [CrossRef]
- Tuttle, R.M.; Morris, L.F.; Haugen, B.; Shah, J.; Sosa, J.A.; Rohren, E.; Subramaniam, R.M.; Hunt, J.L.; Perrier, N.D. Thyroid-differentiated and anaplastic carcinoma. In AJCC Cancer Staging Manual, 8th ed.; Amin, M.B., Edge, S.B., Greene, F., Byrd, D., Brookland, R.K., Washington, M.K., Gershenwald, J.E., Compton, C.C., Hess, K.R., Sullivan, D.C., et al., Eds.; Springer International Publishing: New York, NY, USA, 2017. [Google Scholar]
- Byar, D.P.; Green, S.B.; Dor, P.; Williams, E.D.; Colon, J.; van Gilse, H.A.; Mayer, M.; Sylvester, R.J.; van Glabbeke, M. A prognostic index for thyroid carcinoma. A study of the E.O.R.T.C. Thyroid cancer cooperative group. Eur. J. Cancer 1979, 15, 1033–1041. [Google Scholar] [CrossRef]
- Hay, I.D.; Grant, C.S.; Taylor, W.F.; McConahey, W.M. Ipsilateral lobectomy versus bilateral lobar resection in papillary thyroid carcinoma: A retrospective analysis of surgical outcome using a novel prognostic scoring system. Surgery 1987, 102, 1088–1095. [Google Scholar] [PubMed]
- Cady, B.; Rossi, R. An expanded view of risk-group definition in differentiated thyroid carcinoma. Surgery 1988, 104, 947–953. [Google Scholar] [PubMed]
- American Thyroid Association (ATA) Guidelines Taskforce on Thyroid Nodules and Differentiated Thyroid Cancer; Cooper, D.S.; Doherty, G.M.; Haugen, B.R.; Kloos, R.T.; Lee, S.L.; Mandel, S.J.; Mazzaferri, E.L.; McIver, B.; Pacini, F.; et al. Revised American thyroid association management guidelines for patients with thyroid nodules and differentiated thyroid cancer. Thyroid 2009, 19, 1167–1214. [Google Scholar] [CrossRef]
- Haugen, B.R.; Alexander, E.K.; Bible, K.C.; Doherty, G.M.; Mandel, S.J.; Nikiforov, Y.E.; Pacini, F.; Randolph, G.W.; Sawka, A.M.; Schlumberger, M.; et al. 2015 American thyroid association management guidelines for adult patients with thyroid nodules and differentiated thyroid cancer: The American thyroid association guidelines task force on thyroid nodules and differentiated thyroid cancer. Thyroid 2016, 26, 1–133. [Google Scholar] [CrossRef] [PubMed]
- Mitchison, T.; Kirschner, M. Dynamic instability of microtubule growth. Nature 1984, 312, 237–242. [Google Scholar] [CrossRef] [PubMed]
- Ferrandina, G.; Zannoni, G.F.; Martinelli, E.; Paglia, A.; Gallotta, V.; Mozzetti, S.; Scambia, G.; Ferlini, C. Class III beta-tubulin overexpression is a marker of poor clinical outcome in advanced ovarian cancer patients. Clin. Cancer Res. 2006, 12, 2774–2779. [Google Scholar] [CrossRef] [PubMed]
- Seve, P.; Isaac, S.; Tredan, O.; Souquet, P.J.; Pacheco, Y.; Perol, M.; Lafanechere, L.; Penet, A.; Peiller, E.L.; Dumontet, C. Expression of class III {beta}-tubulin is predictive of patient outcome in patients with non-small cell lung cancer receiving vinorelbine-based chemotherapy. Clin. Cancer Res. 2005, 11, 5481–5486. [Google Scholar] [CrossRef] [PubMed]
- Paradiso, A.; Mangia, A.; Chiriatti, A.; Tommasi, S.; Zito, A.; Latorre, A.; Schittulli, F.; Lorusso, V. Biomarkers predictive for clinical efficacy of taxol-based chemotherapy in advanced breast cancer. Ann. Oncol. 2005, 16 (Suppl. 4), iv14–iv19. [Google Scholar] [CrossRef]
- Lee, K.M.; Cao, D.; Itami, A.; Pour, P.M.; Hruban, R.H.; Maitra, A.; Ouellette, M.M. Class III beta-tubulin, a marker of resistance to paclitaxel, is overexpressed in pancreatic ductal adenocarcinoma and intraepithelial neoplasia. Histopathology 2007, 51, 539–546. [Google Scholar] [CrossRef]
- Hoflmayer, D.; Ozturk, E.; Schroeder, C.; Hube-Magg, C.; Blessin, N.C.; Simon, R.; Lang, D.S.; Neubauer, E.; Gobel, C.; Heinrich, M.C.; et al. High expression of class III beta-tubulin in upper gastrointestinal cancer types. Oncol. Lett. 2018, 16, 7139–7145. [Google Scholar] [CrossRef] [PubMed]
- Kaira, K.; Serizawa, M.; Koh, Y.; Miura, S.; Kaira, R.; Abe, M.; Nakagawa, K.; Ohde, Y.; Okumura, T.; Naito, T.; et al. Expression of excision repair cross-complementation group 1, breast cancer susceptibility 1, and beta III-tubulin in thymic epithelial tumors. J. Thorac. Oncol. 2011, 6, 606–613. [Google Scholar] [CrossRef]
- Koh, Y.; Jang, B.; Han, S.W.; Kim, T.M.; Oh, D.Y.; Lee, S.H.; Kang, C.H.; Kim, D.W.; Im, S.A.; Chung, D.H.; et al. Expression of class III beta-tubulin correlates with unfavorable survival outcome in patients with resected non-small cell lung cancer. J. Thorac. Oncol. 2010, 5, 320–325. [Google Scholar] [CrossRef] [PubMed]
- Lebok, P.; Ozturk, M.; Heilenkotter, U.; Jaenicke, F.; Muller, V.; Paluchowski, P.; Geist, S.; Wilke, C.; Burandt, E.; Lebeau, A.; et al. High levels of class III beta-tubulin expression are associated with aggressive tumor features in breast cancer. Oncol. Lett. 2016, 11, 1987–1994. [Google Scholar] [CrossRef] [PubMed]
- Portyanko, A.; Kovalev, P.; Gorgun, J.; Cherstvoy, E. beta(III)-tubulin at the invasive margin of colorectal cancer: Possible link to invasion. Virchows Arch. 2009, 454, 541–548. [Google Scholar] [CrossRef] [PubMed]
- Terry, S.; Ploussard, G.; Allory, Y.; Nicolaiew, N.; Boissiere-Michot, F.; Maille, P.; Kheuang, L.; Coppolani, E.; Ali, A.; Bibeau, F.; et al. Increased expression of class III beta-tubulin in castration-resistant human prostate cancer. Br. J. Cancer 2009, 101, 951–956. [Google Scholar] [CrossRef]
- Zhao, X.; Yue, C.; Chen, J.; Tian, C.; Yang, D.; Xing, L.; Liu, H.; Jin, Y. Class III beta-tubulin in colorectal cancer: Tissue distribution and clinical analysis of chinese patients. Med. Sci. Monit. 2016, 22, 3915–3924. [Google Scholar] [CrossRef]
- Sobierajska, K.; Wieczorek, K.; Ciszewski, W.M.; Sacewicz-Hofman, I.; Wawro, M.E.; Wiktorska, M.; Boncela, J.; Papiewska-Pajak, I.; Kwasniak, P.; Wyroba, E.; et al. beta-III tubulin modulates the behavior of Snail overexpressed during the epithelial-to-mesenchymal transition in colon cancer cells. Biochim. Biophys. Acta 2016, 1863, 2221–2233. [Google Scholar] [CrossRef]
- Colato, C.; Gobbato, M.; Dardano, A.; Brazzarola, P.; Monzani, F.; Chilosi, M.; Ferdeghini, M. Class IIItubulin expression in papillary thyroid carcinoma: An immunohistochemical assessment. In Proceedings of the 35th Annual Meeting of the European Thyroid Association Abstracts, Krakow, Poland, 10–14 September 2011; p. 128. [Google Scholar]
- Colato, C.; Monzani, F.; Brazzarola, P.; Martignoni, G.; Chilosi, M.; Ferdeghini, M. Immunohistochemical expression of [beta] III-tubulin and cell-cell adhesion proteins in papillary thyroid carcinoma: A preliminary report. Endocr. Abstr. 2012, 29, 1788. [Google Scholar]
- Ciobanu, D.; Căruntu, I.D.; Lozneanu, L.; Andriescu, E.C.; Leuştean, L.; Giuşcă, S.E. Tubulin, a possible marker for the prognostic stratification and therapy in papillary thyroid carcinoma. Farmacia 2018, 66, 635–643. [Google Scholar] [CrossRef]
- Onoda, M.H.N.; Kakudo, K.; Sakamoto, A.; Sugino, K.; Nakashima, N.; Suganuma, N.; Suzuki, S.; Ito, K.i.; Sugitani, I. Factors influencing the chemo-sensitivity of weekly paclitaxel for anaplastic thyroid cancer: A clinico-pathologic analysis of cases enrolled in a clinical trial. J. Thyroid Disord. Ther. 2019, 8, 231. [Google Scholar] [CrossRef]
- Lloyd, R.V.; Osamura, R.Y.; Kloppel, G.; Rosai, J. WHO Classification of Tumours of Endocrine Organs, 4th ed.; Tumours of the Thyroid Gland; IARC: Lyon, France, 2017; pp. 81–91. [Google Scholar]
- Ueno, H.; Murphy, J.; Jass, J.R.; Mochizuki, H.; Talbot, I.C. Tumour ‘budding’ as an index to estimate the potential of aggressiveness in rectal cancer. Histopathology 2002, 40, 127–132. [Google Scholar] [CrossRef]
- Levallet, G.; Bergot, E.; Antoine, M.; Creveuil, C.; Santos, A.O.; Beau-Faller, M.; de Fraipont, F.; Brambilla, E.; Levallet, J.; Morin, F.; et al. High TUBB3 expression, an independent prognostic marker in patients with early non-small cell lung cancer treated by preoperative chemotherapy, is regulated by K-Ras signaling pathway. Mol. Cancer Ther. 2012, 11, 1203–1213. [Google Scholar] [CrossRef] [PubMed]
- Ghossein, R.A.; Katabi, N.; Fagin, J.A. Immunohistochemical detection of mutated BRAF V600E supports the clonal origin of BRAF-induced thyroid cancers along the spectrum of disease progression. J. Clin. Endocrinol. Metab. 2013, 98, E1414–E1421. [Google Scholar] [CrossRef] [PubMed]
- Choe, J.Y.; Park, M.; Yun, J.Y.; Na, H.Y.; Go, H.; Kim, H.J.; Oh, S.; Kim, J.E. PELI1 expression is correlated with MYC and BCL6 expression and associated with poor prognosis in diffuse large B-cell lymphoma. Mod. Pathol. 2016, 29, 1313–1323. [Google Scholar] [CrossRef] [PubMed]
- cBioPortal for Cancers Genomics. Available online: http://www.cbioportal.org/index.do (accessed on 19 October 2019).
- Gibbons, D.L.; Creighton, C.J. Pan-cancer survey of epithelial-mesenchymal transition markers across the Cancer Genome Atlas. Dev. Dyn. 2018, 247, 555–564. [Google Scholar] [CrossRef]
- Lee, J.M.; Dedhar, S.; Kalluri, R.; Thompson, E.W. The epithelial-mesenchymal transition: New insights in signaling, development, and disease. J. Cell Biol. 2006, 172, 973–981. [Google Scholar] [CrossRef] [PubMed]
- Galmarini, C.M.; Treilleux, I.; Cardoso, F.; Bernard-Marty, C.; Durbecq, V.; Gancberg, D.; Bissery, M.C.; Paesmans, M.; Larsimont, D.; Piccart, M.J.; et al. Class III beta-tubulin isotype predicts response in advanced breast cancer patients randomly treated either with single-agent doxorubicin or docetaxel. Clin. Cancer Res. 2008, 14, 4511–4516. [Google Scholar] [CrossRef]
- Wang, Y.; Sparano, J.A.; Fineberg, S.; Stead, L.; Sunkara, J.; Horwitz, S.B.; McDaid, H.M. High expression of class III beta-tubulin predicts good response to neoadjuvant taxane and doxorubicin/cyclophosphamide-based chemotherapy in estrogen receptor-negative breast cancer. Clin. Breast Cancer 2013, 13, 103–108. [Google Scholar] [CrossRef]
- Akasaka, K.; Maesawa, C.; Shibazaki, M.; Maeda, F.; Takahashi, K.; Akasaka, T.; Masuda, T. Loss of class III beta-tubulin induced by histone deacetylation is associated with chemosensitivity to paclitaxel in malignant melanoma cells. J. Invest. Dermatol. 2009, 129, 1516–1526. [Google Scholar] [CrossRef]
- Aoki, D.; Oda, Y.; Hattori, S.; Taguchi, K.; Ohishi, Y.; Basaki, Y.; Oie, S.; Suzuki, N.; Kono, S.; Tsuneyoshi, M.; et al. Overexpression of class III beta-tubulin predicts good response to taxane-based chemotherapy in ovarian clear cell adenocarcinoma. Clin. Cancer Res. 2009, 15, 1473–1480. [Google Scholar] [CrossRef] [PubMed]
- Mittal, V. Epithelial mesenchymal transition in tumor metastasis. Annu. Rev. Pathol. 2018, 13, 395–412. [Google Scholar] [CrossRef] [PubMed]
- Thiery, J.P.; Acloque, H.; Huang, R.Y.; Nieto, M.A. Epithelial-mesenchymal transitions in development and disease. Cell 2009, 139, 871–890. [Google Scholar] [CrossRef] [PubMed]
- Howard, J.; Hyman, A.A. Dynamics and mechanics of the microtubule plus end. Nature 2003, 422, 753–758. [Google Scholar] [CrossRef] [PubMed]
- Etienne-Manneville, S.; Hall, A. Integrin-mediated activation of Cdc42 controls cell polarity in migrating astrocytes through PKCzeta. Cell 2001, 106, 489–498. [Google Scholar] [CrossRef]
- Liang, Z.X.; Liu, H.S.; Wang, F.W.; Xiong, L.; Zhou, C.; Hu, T.; He, X.W.; Wu, X.J.; Xie, D.; Wu, X.R.; et al. LncRNA RPPH1 promotes colorectal cancer metastasis by interacting with TUBB3 and by promoting exosomes-mediated macrophage M2 polarization. Cell Death Dis. 2019, 10, 829. [Google Scholar] [CrossRef] [PubMed]
- Dawson, H.; Lugli, A. Molecular and pathogenetic aspects of tumor budding in colorectal cancer. Front. Med. 2015, 2, 11. [Google Scholar] [CrossRef]
- De Smedt, L.; Palmans, S.; Andel, D.; Govaere, O.; Boeckx, B.; Smeets, D.; Galle, E.; Wouters, J.; Barras, D.; Suffiotti, M.; et al. Expression profiling of budding cells in colorectal cancer reveals an EMT-like phenotype and molecular subtype switching. Br. J. Cancer 2017, 116, 58–65. [Google Scholar] [CrossRef]
- Bosch, S.L.; Teerenstra, S.; de Wilt, J.H.; Cunningham, C.; Nagtegaal, I.D. Predicting lymph node metastasis in pT1 colorectal cancer: A systematic review of risk factors providing rationale for therapy decisions. Endoscopy 2013, 45, 827–834. [Google Scholar] [CrossRef]
- Petrelli, F.; Pezzica, E.; Cabiddu, M.; Coinu, A.; Borgonovo, K.; Ghilardi, M.; Lonati, V.; Corti, D.; Barni, S. Tumour budding and survival in stage II colorectal cancer: A systematic review and pooled analysis. J. Gastrointest. Cancer 2015, 46, 212–218. [Google Scholar] [CrossRef]
- Katsetos, C.D.; Del Valle, L.; Geddes, J.F.; Assimakopoulou, M.; Legido, A.; Boyd, J.C.; Balin, B.; Parikh, N.A.; Maraziotis, T.; de Chadarevian, J.P.; et al. Aberrant localization of the neuronal class III beta-tubulin in astrocytomas. Arch. Pathol. Lab. Med. 2001, 125, 613–624. [Google Scholar] [CrossRef] [PubMed]
- Raspaglio, G.; De Maria, I.; Filippetti, F.; Martinelli, E.; Zannoni, G.F.; Prislei, S.; Ferrandina, G.; Shahabi, S.; Scambia, G.; Ferlini, C. HuR regulates beta-tubulin isotype expression in ovarian cancer. Cancer Res. 2010, 70, 5891–5900. [Google Scholar] [CrossRef] [PubMed]
- Lau, E.Y.; Ho, N.P.; Lee, T.K. Cancer stem cells and their microenvironment: Biology and therapeutic implications. Stem. Cells Int. 2017, 2017, 3714190. [Google Scholar] [CrossRef] [PubMed]
- Cho, K.H.; Choi, M.J.; Jeong, K.J.; Kim, J.J.; Hwang, M.H.; Shin, S.C.; Park, C.G.; Lee, H.Y. A ROS/STAT3/HIF-1alpha signaling cascade mediates EGF-induced TWIST1 expression and prostate cancer cell invasion. Prostate 2014, 74, 528–536. [Google Scholar] [CrossRef] [PubMed]
- Ide, T.; Kitajima, Y.; Miyoshi, A.; Ohtsuka, T.; Mitsuno, M.; Ohtaka, K.; Koga, Y.; Miyazaki, K. Tumor-stromal cell interaction under hypoxia increases the invasiveness of pancreatic cancer cells through the hepatocyte growth factor/c-Met pathway. Int. J. Cancer 2006, 119, 2750–2759. [Google Scholar] [CrossRef] [PubMed]
- Ren, T.; Zhang, W.; Liu, X.; Zhao, H.; Zhang, J.; Zhang, J.; Li, X.; Zhang, Y.; Bu, X.; Shi, M.; et al. Discoidin domain receptor 2 (DDR2) promotes breast cancer cell metastasis and the mechanism implicates epithelial-mesenchymal transition programme under hypoxia. J. Pathol. 2014, 234, 526–537. [Google Scholar] [CrossRef]
- Mani, S.A.; Guo, W.; Liao, M.J.; Eaton, E.N.; Ayyanan, A.; Zhou, A.Y.; Brooks, M.; Reinhard, F.; Zhang, C.C.; Shipitsin, M.; et al. The epithelial-mesenchymal transition generates cells with properties of stem cells. Cell 2008, 133, 704–715. [Google Scholar] [CrossRef]
- Morel, A.P.; Lievre, M.; Thomas, C.; Hinkal, G.; Ansieau, S.; Puisieux, A. Generation of breast cancer stem cells through epithelial-mesenchymal transition. PLoS ONE 2008, 3, e2888. [Google Scholar] [CrossRef]
- Li, W.; Zhai, B.; Zhi, H.; Li, Y.; Jia, L.; Ding, C.; Zhang, B.; You, W. Association of ABCB1, beta tubulin I, and III with multidrug resistance of MCF7/DOC subline from breast cancer cell line MCF7. Tumour Biol. 2014, 35, 8883–8891. [Google Scholar] [CrossRef]
- Moitra, K.; Lou, H.; Dean, M. Multidrug efflux pumps and cancer stem cells: Insights into multidrug resistance and therapeutic development. Clin. Pharmacol. Ther. 2011, 89, 491–502. [Google Scholar] [CrossRef]
- Calon, A.; Tauriello, D.V.; Batlle, E. TGF-beta in CAF-mediated tumor growth and metastasis. Semin Cancer Biol. 2014, 25, 15–22. [Google Scholar] [CrossRef] [PubMed]
- Erdogan, B.; Webb, D.J. Cancer-associated fibroblasts modulate growth factor signaling and extracellular matrix remodeling to regulate tumor metastasis. Biochem. Soc. Trans. 2017, 45, 229–236. [Google Scholar] [CrossRef] [PubMed]
- Lee, S.E.; Hwang, T.S.; Choi, Y.L.; Kim, W.Y.; Han, H.S.; Lim, S.D.; Kim, W.S.; Yoo, Y.B.; Kim, S.K. Molecular profiling of papillary thyroid carcinoma in korea with a high prevalence of BRAF(V600E) mutation. Thyroid 2017, 27, 802–810. [Google Scholar] [CrossRef] [PubMed]
- Kim, M.; Jeon, M.J.; Oh, H.S.; Park, S.; Kim, T.Y.; Shong, Y.K.; Kim, W.B.; Kim, K.; Kim, W.G.; Song, D.E. BRAF and RAS mutational status in noninvasive follicular thyroid neoplasm with papillary-like nuclear features and invasive subtype of encapsulated follicular variant of papillary thyroid carcinoma in Korea. Thyroid 2018, 28, 504–510. [Google Scholar] [CrossRef]







| Parameters | cPTC (n = 123) | Infiltrative FVPTC (n = 11) | invEFVPTC (n = 84) | NIFTP (n = 25) | ATC (n = 11) | Total (n = 254) |
|---|---|---|---|---|---|---|
| Sex | ||||||
| Male, n (%) | 21 (17.1) | 0 (00.0) | 20 (23.8) | 9 (36.0) | 3 (27.3) | 53 (20.9) |
| Female, n (%) | 102 (82.9) | 11 (100.0) | 64 (76.2) | 16 (64.0) | 8 (72.7) | 201 (79.1) |
| Age (median, range) (years) | 43 (16–102) | 44 (24–63) | 53 (26–73) | 45 (26–71) | 64 (54–77) | 49 (16–102) |
| Tumor size (median, range) | 2.1 (0.4–7.0) | 2.0 (0.4–6.0) | 1.7 (1.0–6.5) | 1.9 (1.1–4.5) | 4.0 (2.5–6.0) | 2.0 (0.4–7.0) |
| Tumoral TUBB3 * (median, range) | 90.0 (0.0–190.0) | 5.0 (0.0–190.0) | 1.0 (0.0–180.0) | 1.0 (0.0–30.0) | 120.0 (5.0–190.0) | 21.0 (0.0–190.0) |
| Stromal TUBB3 | ||||||
| Low, n (%) | 20 (16.3) | 3 (27.3) | 43 (51.2) | 22 (88.0) | 0 (0.0) | 88 (34.6) |
| High, n (%) | 103 (83.7) | 8 (72.7) | 41 (48.8) | 3 (12.0) | 11 (100.0) | 166 (65.4) |
| E-cadherin loss (%, median, range) | 6.0 (0.0–100.0) | 5.0 (0.0–20.0) | 0.0 (0.0–10.0) | 0 (0.0–5.0) | 90.0 (10.0–100.0) | 0.8 (0.0–100.0) |
| Gross invasion, n (%) | 25 (20.3) | 0 (0.0) | 0 (0.0) | 0 (0.0) | 3 (27.3) | 28 (11.0) |
| Lymph node metastasis, n (%) | 63 (51.2) | 4 (36.4) | 16 (19.0) | 0 (0.0) | 3 (27.3) | 86 (33.9) |
| Distant metastasis, n (%) | 4 (3.3) | 1 (9.1) | 0 (0.0) | 0 (0.0) | 5 (45.5) | 10 (3.9) |
| Stage | ||||||
| I, n (%) | 88 (71.5) | 9 (81.8) | 73 (86.9) | 23 (92.0) | 0 (0.0) | 193 (76.0) |
| II–IV, n (%) | 35 (28.5) | 2 (12.2) | 11 (13.1) | 2 (8,0) | 11 (100.0) | 61 (24.0) |
| Death, n (%) | 10 (8.1) | 0 (0.0) | 0 (0.0) | 0 (0.0) | 4 (36.4) | 14 (5.5) |
| Disease progression, n (%) | 26 (21.1) | 1 (9.1) | 0 (0.0) | 0 (0.0) | 5 (45.5) | 32 (12.6) |
| OS (months, median, range) | 229 (4–300) | 199 (3–273) | 49 (0–261) | 46 (1–170) | 7 (2–18) | 170 (0–300) |
| PFS (months, median, range) | 219 (4–300) | 199 (3–273) | 49 (0–261) | 46 (1–170) | 5 (1–18) | 88 (0–300) |
| Parameters | ATC vs. cPTC | ATC vs. Infiltrative FVPTC | ATC vs. invEFVPTC | ATC vs. NIFTP | cPTC vs. Infiltrative FVPTC | cPTC vs. invEFVPTC | cPTC vs. NIFTP |
|---|---|---|---|---|---|---|---|
| Tumoral TUBB3 † | 0.293 | 0.04 * | <0.001 * | <0.001 * | 0.065 | <0.001 * | <0.001 * |
| Stromal TUBB3 | 0.369 | 0.214 | 0.001 * | <0.001 * | 0.401 | <0.001 * | <0.001 * |
| E-cadherin loss | <0.001 * | <0.001 * | <0.001 * | <0.001 * | 0.702 | <0.001 * | <0.001 * |
| Tumor budding | NA | NA | NA | NA | 0.869 | <0.001 * | <0.001 * |
| Parameters | Univariate Analysis (OS) | Multivariate Analysis (OS) | Univariate Analysis (PFS) | Multivariate Analysis (PFS) | ||||
|---|---|---|---|---|---|---|---|---|
| OR (95% CI) | p-Value | OR (95% CI) | p-Value | OR (95% CI) | p-Value | OR (95% CI) | p-Value | |
| Age >55 years | 3.182 (1.066–9.501) | 0.038 * | - | NS | 1.190 (0.587–2.409) | 0.630 | ||
| Sex | 0.650 (0.207–2.042) | 0.461 | 0.450 (0.218–0.928) | 0.031 * | - | NS | ||
| BRAF | 0.790 (0.281–2.223) | 0.655 | 0.668 (0.325–1.371) | 0.271 | ||||
| LN metastasis | 0.616 (0.174–2.183) | 0.453 | 1.686 (0.840–3.384) | 0.142 | ||||
| Distant metastasis | 10.026 (2.121–47.386) | 0.004 * | - | NS | 4.536 (1.749–11.767) | 0.002 * | 4.939 (1.824–13.371) | 0.002 * |
| Gross ETE | 3.112 (1.107–8.744) | 0.031 * | - | NS | 1.046 (0.430–2.541) | 0.921 | ||
| Stage (1 vs. 2–4) | 7.925 (2.522–24.908) | <0.001 * | 7.115 (2.230–22.702) | 0.001 | 2.627 (1.311–5.262) | 0.006 * | - | NS |
| Tumoral TUBB3 † | 2.233 (0.746–6.682) | 0.151 | 3.545 (1.743–7.210) | <0.001 * | 2.690 (1.211–5.972) | 0.015 * | ||
| Stromal TUBB3 | 1.490 (0.413–5.376) | 0.543 | 2.276 (0.870–5.952) | 0.094 | ||||
| E-cadherin loss | 0.588 (0.156–2.217) | 0.433 | 1.696 (0.808–3.5559) | 0.162 | ||||
| Tumor budding | 3.012 (0.779–11.650) | 0.093 | 5.659 (2.528–12.672) | <0.001 * | 3.903 (1.549–9.838) | 0.004 * | ||
Publisher’s Note: MDPI stays neutral with regard to jurisdictional claims in published maps and institutional affiliations. |
© 2020 by the authors. Licensee MDPI, Basel, Switzerland. This article is an open access article distributed under the terms and conditions of the Creative Commons Attribution (CC BY) license (http://creativecommons.org/licenses/by/4.0/).
Share and Cite
Na, H.Y.; Park, M.; Kim, Y.A.; Won, J.K.; Park, Y.J.; Shin, S.A.; Lee, S.; Oh, S.; Kim, J.E. Expression of Class III Beta-Tubulin Is Associated with Invasive Potential and Poor Prognosis in Thyroid Carcinoma. J. Clin. Med. 2020, 9, 3830. https://doi.org/10.3390/jcm9123830
Na HY, Park M, Kim YA, Won JK, Park YJ, Shin SA, Lee S, Oh S, Kim JE. Expression of Class III Beta-Tubulin Is Associated with Invasive Potential and Poor Prognosis in Thyroid Carcinoma. Journal of Clinical Medicine. 2020; 9(12):3830. https://doi.org/10.3390/jcm9123830
Chicago/Turabian StyleNa, Hee Young, Mira Park, Young A Kim, Jae Kyung Won, Young Joo Park, Sun Ah Shin, Sejoon Lee, Sohee Oh, and Ji Eun Kim. 2020. "Expression of Class III Beta-Tubulin Is Associated with Invasive Potential and Poor Prognosis in Thyroid Carcinoma" Journal of Clinical Medicine 9, no. 12: 3830. https://doi.org/10.3390/jcm9123830
APA StyleNa, H. Y., Park, M., Kim, Y. A., Won, J. K., Park, Y. J., Shin, S. A., Lee, S., Oh, S., & Kim, J. E. (2020). Expression of Class III Beta-Tubulin Is Associated with Invasive Potential and Poor Prognosis in Thyroid Carcinoma. Journal of Clinical Medicine, 9(12), 3830. https://doi.org/10.3390/jcm9123830

