Inflammation of Conduction Tissue in Patients with Arrhythmic Phenotype of Myocarditis
Abstract
1. Introduction
2. Patient Population
3. Material and Methods
3.1. Clinical Studies
3.2. Endomyocardial Biopsy Studies
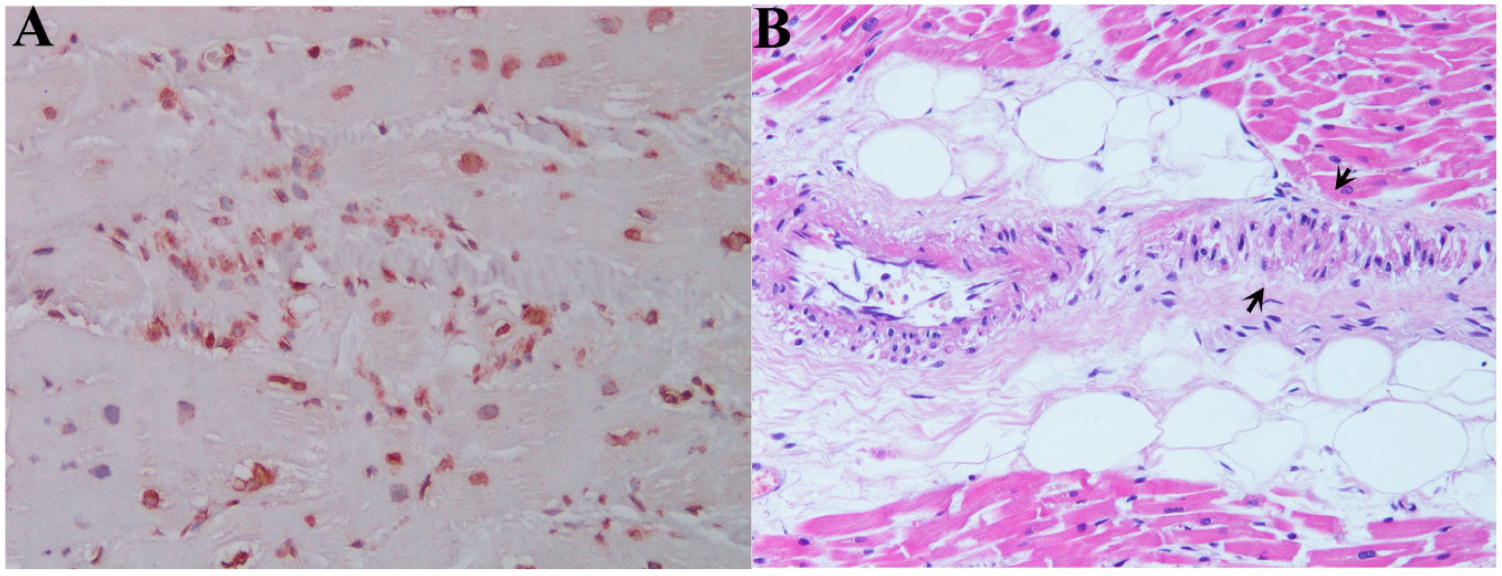
3.3. Histology, Electron Microscopy and Immunohistochemistry
3.4. Molecular Biology Studies
3.5. Statistical Analysis
4. Results
4.1. Clinical Studies
4.2. Endomyocardial Biopsy Studies
4.3. Correlation
4.4. Treatment and Follow-up
5. Discussion
Author Contributions
Funding
Conflicts of Interest
References
- Caforio, A.L.; Pankuweit, S.; Arbustini, E.; Basso, C.; Gimeno-Blanes, J.; Felix, S.B.; Fu, M.; Heliö, T.; Heymans, S.; Jahns, R.; et al. European Society of Cardiology Working Group on Myocardial and Pericardial Diseases. Current state of knowledge on aetiology, diagnosis, management, and therapy of myocarditis: A position statement of the European Society of Cardiology Working Group on Myocardial and Pericardial Diseases. Eur. Heart J. 2013, 34, 2636–2648. [Google Scholar] [PubMed]
- Friedrich, M.G.; Sechtem, U.; Schulz-Menger, J.; Holmvang, G.; Alakija, P.; Cooper, L.T.; White, J.A.; Abdel-Aty, H.; Gutberlet, M.; Prasad, S.; et al. International Consensus Group on Cardiovascular Magnetic Resonance in Myocarditis. Cardiovascular magnetic resonance in myocarditis: A JACC White Paper. J. Am. Coll. Cardiol. 2009, 53, 1475–1487. [Google Scholar] [CrossRef]
- Francone, M.; Chimenti, C.; Galea, N.; Scopelliti, F.; Verardo, R.; Galea, R.; Carbone, I.; Catalano, C.; Fedele, F.; Frustaci, A. CMR sensitivity varies with clinical presentation and extent of cell necrosis in biopsy-proven acute myocarditis. JACC Cardiovasc. Imaging 2014, 7, 254–263. [Google Scholar] [CrossRef]
- Frustaci, A.; Morgante, E.; Russo, M.A.; Scopelliti, F.; Grande, C.; Verardo, R.; Franciosa, P.; Chimenti, C. Pathology and Function of Conduction Tissue in Fabry Disease Cardiomyopathy. Circ. Arrhythm. Electrophysiol. 2015, 8, 799–805. [Google Scholar] [CrossRef] [PubMed]
- Lang, R.M.; Badano, L.P.; Mor-Avi, V.; Afilalo, J.; Armstrong, A.; Ernande, L.; Flachskampf, F.A.; Foster, E.; Goldstein, S.A.; Kuznetsova, T.; et al. Recommendations for Cardiac Chamber Quantification by Echocardiography in Adults: An Update from the American Society of Echocardiography and the European Association of Cardiovascular Imaging. Eur. Heart J. Cardiovasc. Imaging 2015, 16, 233–270. [Google Scholar] [CrossRef] [PubMed]
- Chimenti, C.; Frustaci, A. Contribution and risks of left ventricular endomyocardial biopsy in patients with cardiomyopathies: A retrospective study over a 28-year period. Circulation 2013, 128, 1531–1541. [Google Scholar] [CrossRef] [PubMed]
- Aretz, H.T.; Billingham, M.E.; Edwards, W.D.; Factor, S.M.; Fallon, J.T.; Fenoglio, J.J., Jr.; Olsen, E.G.; Schoen, F.J. Myocarditis: A histopathologic definition and classification. Am. J. Cardiol. Pathol. 1985, 1, 1–10. [Google Scholar]
- Chimenti, C.; Verardo, R.; Scopelliti, F.; Grande, C.; Petrosillo, N.; Piselli, P.; De Paulis, R.; Frustaci, A. Myocardial expression of Toll-like receptor 4 predicts the response to immunosuppressive therapy in patients with virus-negative chronic inflammatory cardiomyopathy. Eur. J. Heart Fail. 2017, 19, 915–925. [Google Scholar] [CrossRef] [PubMed]
- Monckeberg, J.G. Beitragezurnormalen und pathologischenAnatomie des Herzens. Verh. Dtsch. Pathol. Ges. 1910, 14, 64–71. [Google Scholar]
- Aschoff, L. Referatü ber die Herzstorungen in ihrenBeziehungenzu den SpezifischenMuskelsystem des Herzens. Verh. Dtsch. Pathol. Ges. 1910, 14, 3–35. [Google Scholar]
- Liang, X.; Evans, S.M.; Sun, Y. Insights into cardiac conduction system formation provided by HCN4 expression. Trends Cardiovasc. Med. 2015, 25, 1–9. [Google Scholar] [CrossRef] [PubMed]
- Maron, B.J.; Towbin, J.A.; Thiene, G.; Antzelevitch, C.; Corrado, D.; Arnett, D.; Moss, A.J.; Seidman, C.E.; Young, J.B. Contemporary definitions and classification of the cardiomyopathies: An American Heart Association Scientific Statement from the Council on Clinical Cardiology, Heart Failure and Transplantation Committee; Quality of Care and Outcomes Research and Functional Genomics and Translational Biology Interdisciplinary Working Groups; and Council on Epidemiology and Prevention. Circulation 2006, 113, 1807–1816. [Google Scholar] [PubMed]
- Al-Khatib, S.M.; Stevenson, W.G.; Ackerman, M.J.; Bryant, W.J.; Callans, D.J.; Curtis, A.B.; Deal, B.J.; Dickfeld, T.; Field, M.E.; Fonarow, G.C. AHA/ACC/HRS Guideline for management of patients with ventricular arrhythmias and the prevention of sudden cardiac death. Heart Rhythm 2018, 15, e73–e189. [Google Scholar] [CrossRef] [PubMed]
- Frustaci, A.; Russo, M.A.; Chimenti, C. Randomized study on the efficacy of immunosuppressive therapy in patients with virus-negative inflammatory cardiomyopathy: The TIMIC study. Eur. Heart J. 2009, 30, 1995–2002. [Google Scholar] [CrossRef]
- Bratincsák, A.; El-Said, H.G.; Bradley, J.S.; Shayan, K.; Grossfeld, P.D.; Cannavino, C.R. Fulminant myocarditis associated with pandemic H1N1 influenza A virus in children. J. Am. Coll. Cardiol. 2010, 55, 928–929. [Google Scholar] [CrossRef]
- Cooper, L.T.; Baughman, K.L.; Feldman, A.M.; Frustaci, A.; Jessup, M.; Kuhl, U.; Levine, G.N.; Narula, J.; Starling, R.C.; Towbin, J.; et al. The role of endomyocardial biopsy in the management of cardiovascular disease: A scientific statement from the American Heart Association, the American College of Cardiology, and the European Society of Cardiology. Circulation 2007, 116, 2216–2233. [Google Scholar] [CrossRef]
- Leone, O.; Veinot, J.P.; Angelini, A.; Baandrup, U.T.; Basso, C.; Berry, G.; Bruneval, P.; Burke, M.; Butany, J.; Calabrese, F.; et al. 2011 consensus statement on endomyocardial biopsy from the Association for European Cardiovascular Pathology and the Society for Cardiovascular Pathology. Cardiovasc. Pathol. 2012, 21, 245–274. [Google Scholar] [CrossRef] [PubMed]
- Holzmann, M.; Nicko, A.; Kühl, U.; Poller, W.; Hofffmann, W.; Morguet, A. Complication Rate of Right Ventricular Endomyocardial Biopsy via the Femoral Approach. Circulation 2008, 118, 1722–1728. [Google Scholar] [CrossRef]
- Frustaci, A.; Petrosillo, N.; Ippolito, G.; Chimenti, C. Transitory Ventricular Tachycardia Associated with Influenza a Infection of Cardiac Conduction Tissue. Infection 2016, 44, 353–356. [Google Scholar] [CrossRef]
- Frustaci, A.; Verardo, R.; Grande, C.; Galea, N.; Chimenti, C. Arrhythmic Phenotype of Myocarditis Sustained by a Prominent Infiltration of Conduction Tissue. Circ. Cardiovasc. Imaging 2019, 12, e009448. [Google Scholar] [CrossRef]




| Pt 1 | Pt 2 | Pt 3 | Pt 4 | Pt 5 | Pt 6 | Pt 7 | Pt 8 | Pt 9 | Pt 10 | Pt 11 | Pt 12 | |
|---|---|---|---|---|---|---|---|---|---|---|---|---|
| Age/sex | 66 M | 21 F | 41 F | 44 F | 52 F | 24 M | 46 M | 38 M | 71 F | 42 M | 52 M | 56 M |
| Etiology | V (influenza A virus) | I | V (HHV2) | I | I | I | I | I | V (AV) | I | V (influenza A virus) | I |
| Flu-like syndrome | Yes | No | Yes | Yes | No | No | Yes | Yes | Yes | No | Yes | Yes |
| Clinical arrhythmic manifestation | sVT | VF | VF | nsVT | sVT | nsVT | sVT | nsVT | sVT | sVT | sVT | nsVT |
| LVEF, % 2D-echo | 53 | 50 | 50 | 52 | 60 | 60 | 60 | 60 | 55 | 68 | 62 | 64 |
| LVEDD, mm 2D-echo | 54 | 48 | 50 | 56 | 51 | 41 | 54 | 52 | 51 | 47 | 53 | 49 |
| MWT, mm 2D-echo | 11 | 8 | 8 | 8 | 9 | 17 | 11 | 12 | 10 | 9 | 10 | 9 |
| LVEDV, mm/m2 2D-echo | 65 | 68 | 62 | 99 | 68 | 56 | 82 | 68 | 67 | 61 | 64 | 69 |
| LVESV, mm/m2 2D-echo | 36 | 34 | 31 | 47 | 27 | 20 | 33 | 16 | 30 | 19 | 25 | 25 |
| Edema cMRI | (−) | (−) | N/P | (−) | (−) | (−) | (−) | (−) | (−) | (−) | (−) | (-) |
| EGE, cMRI | (−) | (−) | N/P | (−) | (−) | (−) | (−) | (−) | (−) | (−) | (−) | (-) |
| LGE, cMRI | (+) | (+) | N/P | (−) | (+) | (+) | (−) | (−) | (−) | (−) | (+) | (+) |
| Therapy | Oseltamivir | P + A | - | P + A | P + A | P + A | P + A | P + A | - | P + A | Oseltamivir | P + A |
| LVT Group | Control Group | p Value | |
|---|---|---|---|
| Age | 46.1 ± 14.8 | 44.3 ± 12.7 | 0.7507 |
| Sex | 7 M, 5 F | 9 M, 3 F | 0.7104 |
| LVEF *, % 2D-echo | 57.8 ± 5.8 | 35.4 ± 10.8 | p < 0.0001 |
| LVEDD †, mm 2D-echo | 50.7 ± 4.1 | 58.3 ± 3.8 | p < 0.0001 |
| MWT ‡, mm 2D-echo | 10.1 ± 2.4 | 10.1 ± 1.8 | 0.7686 |
| LVEDV §, mm/m2 2D-echo | 69.7 ± 10.5 | 112.5 ± 13.2 | p < 0.0001 |
| LVESV #, mm/m2 2D-echo | 29.7 ± 10.8 | 72.9 ± 16.2 | p < 0.0001 |
| CD3+ lymphocytes, mm2 | 17.0 ± 3.6 | 4.0 ± 1.2 | p < 0.0001 |
Publisher’s Note: MDPI stays neutral with regard to jurisdictional claims in published maps and institutional affiliations. |
© 2020 by the authors. Licensee MDPI, Basel, Switzerland. This article is an open access article distributed under the terms and conditions of the Creative Commons Attribution (CC BY) license (http://creativecommons.org/licenses/by/4.0/).
Share and Cite
Frustaci, A.; Verardo, R.; Alfarano, M.; Chimenti, C. Inflammation of Conduction Tissue in Patients with Arrhythmic Phenotype of Myocarditis. J. Clin. Med. 2020, 9, 3470. https://doi.org/10.3390/jcm9113470
Frustaci A, Verardo R, Alfarano M, Chimenti C. Inflammation of Conduction Tissue in Patients with Arrhythmic Phenotype of Myocarditis. Journal of Clinical Medicine. 2020; 9(11):3470. https://doi.org/10.3390/jcm9113470
Chicago/Turabian StyleFrustaci, Andrea, Romina Verardo, Maria Alfarano, and Cristina Chimenti. 2020. "Inflammation of Conduction Tissue in Patients with Arrhythmic Phenotype of Myocarditis" Journal of Clinical Medicine 9, no. 11: 3470. https://doi.org/10.3390/jcm9113470
APA StyleFrustaci, A., Verardo, R., Alfarano, M., & Chimenti, C. (2020). Inflammation of Conduction Tissue in Patients with Arrhythmic Phenotype of Myocarditis. Journal of Clinical Medicine, 9(11), 3470. https://doi.org/10.3390/jcm9113470
