A Salvage Approach for Iatrogenic Iliac Vein Injury During Kidney Transplantation
Abstract
1. Introduction
2. Case Presentation
2.1. Patient Perspective
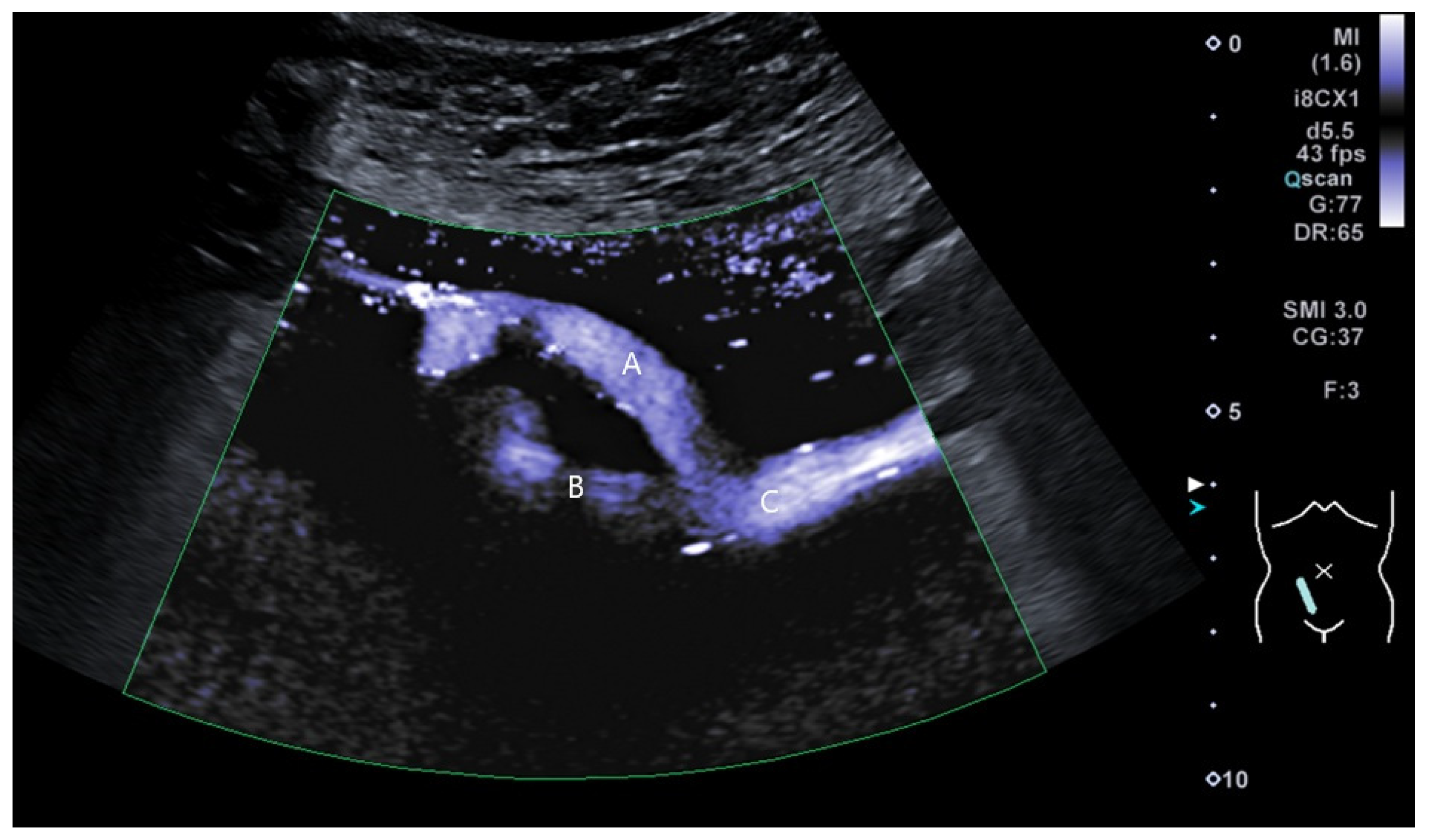
2.2. Surgical Procedure
3. Discussion
3.1. Vascular Complications in Renal Transplants
3.2. Management of Iliac Vein Injuries
3.3. Case Specific Considerations
4. Conclusions
Author Contributions
Funding
Institutional Review Board Statement
Informed Consent Statement
Data Availability Statement
Acknowledgments
Conflicts of Interest
References
- Abramyan, S.; Hanlon, M. Kidney Transplantation. In StatPearls [Internet]; StatPearls Publishing: Treasure Island, FL, USA, 2024. Available online: https://www.ncbi.nlm.nih.gov/books/NBK567755/ (accessed on 2 January 2023).
- Alameddine, M.; Zheng, I.; Jue, J.S.; Yusufali, A.; Moghadamyeghaneh, Z.; González, J.; Morsi, M.; Guerra, G.; Vianna, R.; Ciancio, G. A successful case of salvage kidney transplantation using the recipient gonadal vein to bypass a major outflow obstruction. Urol. Case Rep. 2017, 16, 29–31. [Google Scholar] [CrossRef] [PubMed] [PubMed Central]
- Zhang, J.; Xue, W.; Tian, P.; Zheng, J.; Ding, C.; Li, Y.; Wang, Y.; Ding, X. Diagnostic and therapeutic strategies for vascular complications after renal transplantation: A single-center experience in 2304 renal transplantations. Front. Transplant. 2023, 2, 1150331. [Google Scholar] [CrossRef] [PubMed] [PubMed Central]
- Reyna-Sepúlveda, F.; Ponce-Escobedo, A.; Guevara-Charles, A.; Escobedo-Villarreal, M.; Pérez-Rodríguez, E.; Muñoz-Maldonado, G.; Hernández-Guedea, M. Outcomes and Surgical Complications in Kidney Transplantation. Int. J. Organ. Transplant. Med. 2017, 8, 78–84. [Google Scholar] [PubMed] [PubMed Central]
- Sharma, A.; Patel, R. Renal Transplantation in Bilateral Iliac Vein Thrombosis: A Novel Approach. Int. J. Transplant. 2019, 14, 45–52. [Google Scholar]
- de Cerqueira, J.B.G.; de Oliveira, C.M.C.; Silva, B.G.B.; Santos, L.C.O.; Fernandes, A.G.; Fernandes, P.F.C.B.C.; Maia, E.L. Kidney Transplantation Using Gonadal Vein for Venous Anastomosis in Patients with Iliac Vein Thrombosis or Stenosis: A Series of Cases. Transplant. Proc. 2017, 49, 1280–1284. [Google Scholar] [CrossRef] [PubMed]
- Spaggiari, M.; Di Bella, C.; Di Cocco, P.; Furno, S.; Benedetti, E.; Tzvetanov, I. Emergency Kidney Transplantation in Recipients with Iliocaval Thrombosis Using Splenic Vessel Anastomosis After Splenectomy: A Case Series. Transplant. Proc. 2018, 50, 99–103. [Google Scholar] [CrossRef] [PubMed]
- Hori, S.; Yoneda, T.; Tomizawa, M.; Ichikawa, K.; Morizawa, Y.; Nakai, Y.; Miyake, M.; Fujimoto, K. Unexpected presentation and surgical salvage of transplant renal artery dissection caused by vascular clamping: A case report. BMC Nephrol. 2020, 21, 29. [Google Scholar] [CrossRef] [PubMed]
- Lushina, N.; Lee, A.; Cuadra, S.; Whang, M.; Sun, H. External Iliac Artery Dissection During Renal Transplantation: A Case Report and Literature Review. Transplant. Proc. 2019, 51, 538–540. [Google Scholar] [CrossRef] [PubMed]
- Manley, N.R.; Magnotti, L.J.; Fabian, T.C.; Croce, M.A.; Sharpe, J.P. Impact of venorrhaphy and vein ligation in isolated lower-extremity venous injuries on venous thromboembolism and edema. J. Trauma Acute Care Surg. 2018, 84, 325–329. [Google Scholar] [CrossRef] [PubMed]
- Magee, G.A.; Cho, J.; Matsushima, K.; Strumwasser, A.; Inaba, K.; Jazaeri, O.; Fox, C.J.; Demetriades, D. Isolated iliac vascular injuries and outcome of repair versus ligation of isolated iliac vein injury. J. Vasc. Surg. 2018, 67, 254–261. [Google Scholar] [CrossRef] [PubMed]
- Demirtaş, H.; Özer, A.; Gülcan, M.B.; Shide, I.; Delibaş, H.; Oktar, G.L. Reconstruction of External Iliac Vein for an Iatrogenic Venous Hypertension due to Iatrogenic Vein Injury, A Case Report. J. Updates Cardiovasc. Med. 2023, 11, 152–156. [Google Scholar] [CrossRef]
- Del Campo, C.; Fonseca, A. Replacement of the left common iliac vein with a custom-made bovine pericardium tubular graft. Tex. Heart Inst. J. 2001, 28, 39–41. [Google Scholar] [PubMed] [PubMed Central]
- Krause, K.J.; Zil-E-Ali, A.; So, K.L.; Aziz, F.; Safaya, A. Considerations for Iliac Vein Repair in the Setting of Urologic Procedures. Int. Surg. 2024, 107–108, 16–19. [Google Scholar] [CrossRef]




Disclaimer/Publisher’s Note: The statements, opinions and data contained in all publications are solely those of the individual author(s) and contributor(s) and not of MDPI and/or the editor(s). MDPI and/or the editor(s) disclaim responsibility for any injury to people or property resulting from any ideas, methods, instructions or products referred to in the content. |
© 2025 by the authors. Licensee MDPI, Basel, Switzerland. This article is an open access article distributed under the terms and conditions of the Creative Commons Attribution (CC BY) license (https://creativecommons.org/licenses/by/4.0/).
Share and Cite
Plūme, P.; Losevs, I.; Ševeļovs, V.; Jegorova, O.; Maļcevs, A.; Suhorukovs, V.; Radziņa, M.; Jušinskis, J. A Salvage Approach for Iatrogenic Iliac Vein Injury During Kidney Transplantation. J. Clin. Med. 2025, 14, 2917. https://doi.org/10.3390/jcm14092917
Plūme P, Losevs I, Ševeļovs V, Jegorova O, Maļcevs A, Suhorukovs V, Radziņa M, Jušinskis J. A Salvage Approach for Iatrogenic Iliac Vein Injury During Kidney Transplantation. Journal of Clinical Medicine. 2025; 14(9):2917. https://doi.org/10.3390/jcm14092917
Chicago/Turabian StylePlūme, Pāvils, Igors Losevs, Viktors Ševeļovs, Olga Jegorova, Aleksandrs Maļcevs, Vadims Suhorukovs, Maija Radziņa, and Jānis Jušinskis. 2025. "A Salvage Approach for Iatrogenic Iliac Vein Injury During Kidney Transplantation" Journal of Clinical Medicine 14, no. 9: 2917. https://doi.org/10.3390/jcm14092917
APA StylePlūme, P., Losevs, I., Ševeļovs, V., Jegorova, O., Maļcevs, A., Suhorukovs, V., Radziņa, M., & Jušinskis, J. (2025). A Salvage Approach for Iatrogenic Iliac Vein Injury During Kidney Transplantation. Journal of Clinical Medicine, 14(9), 2917. https://doi.org/10.3390/jcm14092917

