Transcatheter Aortic Valve Replacement Reverses Heyde Syndrome: A Case Report of Severe Aortic Stenosis and Gastrointestinal Bleeding
Abstract
1. Introduction
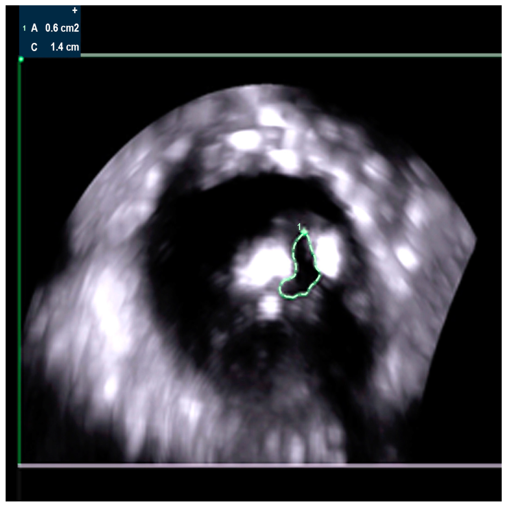
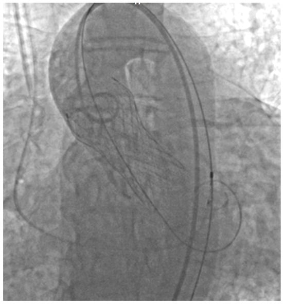
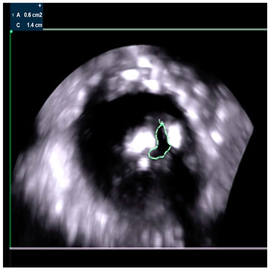
2. Case Presentation
3. Discussion
4. Conclusions
Author Contributions
Funding
Institutional Review Board Statement
Informed Consent Statement
Data Availability Statement
Conflicts of Interest
Abbreviations
| AV | Aortic valve |
| ADAMTS13 | A disintegrin and metalloproteinase with a thrombospondin type 1 motif, member 13 |
| BMI | Body mass index |
| BSA | Body surface area |
| ECG | Electrocardiogram |
| FIT | Fecal immunochemical test |
| LV | Left ventricle |
| LAO | Left anterior oblique |
| RAO | Right anterior oblique |
| RCo | Ristocetin cofactor |
| RV | Right ventricle |
| TAVR | Transcatheter aortic valve replacement |
| TEE | Transesophageal echocardiography |
| TTE | Transthoracic echocardiography |
| VCE | Video capsule endoscopy |
| vWF | Von Willebrand factor |
References
- Chen, S.; Pop, A.; Prasad Dasi, L.; George, I. Lifetime Management for Aortic Stenosis: Strategy and Decision-Making in the Current Era. Ann. Thorac. Surg. 2025, 119, 296–307. [Google Scholar] [CrossRef] [PubMed]
- Talanas, G.; Laconi, A.; Kereiakes, D.J.; Merella, P.; Reardon, M.J.; Spano, A.; Petretto, G.; Lauriola, F.; Casula, M.; Micheluzzi, V.; et al. Long-Term Outcomes of Transcatheter vs Surgical Aortic Valve Replacement: Meta-analysis of Randomized Trials. J. Soc. Cardiovasc. Angiogr. Interv. 2024, 3, 102143. [Google Scholar] [CrossRef] [PubMed]
- Patel, K.V. Epidemiology of anemia in older adults. Semin. Hematol. 2008, 45, 210–217. [Google Scholar] [CrossRef] [PubMed]
- Krishnapillai, A.; Omar, M.A.; Ariaratnam, S.; Awaluddin, S.; Sooryanarayana, R.; Kiau, H.B.; Tauhid, N.M.; Ghazali, S.S. The Prevalence of Anemia and Its Associated Factors Among Older Persons: Findings from the National Health and Morbidity Survey (NHMS) 2015. Int. J. Environ. Res. Public Health 2022, 19, 4983. [Google Scholar] [CrossRef]
- Nagao, K.; Taniguchi, T.; Morimoto, T.; Shiomi, H.; Ando, K.; Kanamori, N.; Murata, K.; Kitai, T.; Kawase, Y.; Izumi, C.; et al. Anemia in patients with severe aortic stenosis. Sci. Rep. 2019, 9, 1924. [Google Scholar] [CrossRef]
- Hyde, E. Gastrointestinal bleeding in aortic stenosis. N. Engl. J. Med. 1958, 259, 196. [Google Scholar]
- Warkentin, T.E.; Moore, J.C.; Morgan, D.G. Aortic stenosis and bleeding gastrointestinal angiodysplasia: Is acquired von Willebrand’s disease the link? Lancet 1992, 340, 35–37. [Google Scholar] [CrossRef]
- Aluru, J.S.; Barsouk, A.; Saginala, K.; Rawla, P.; Barsouk, A. Valvular Heart Disease Epidemiology. Med. Sci. 2022, 10, 32. [Google Scholar] [CrossRef]
- Nuis, R.J.; Sinning, J.M.; Rodés-Cabau, J.; Gotzmann, M.; van Garsse, L.; Kefer, J.; Bosmans, J.; Yong, G.; Dager, A.E.; Revilla-Orodea, A.; et al. Prevalence, factors associated with, and prognostic effects of preoperative anemia on short- and long-term mortality in patients undergoing transcatheter aortic valve implantation. Circ. Cardiovasc. Interv. 2013, 6, 625–634. [Google Scholar] [CrossRef]
- Takagi, H.; Hari, Y.; Kawai, N.; Ando, T. Meta-Analysis of Impact of Anemia and Hemoglobin Level on Survival After Transcatheter Aortic Valve Implantation. Am. J. Cardiol. 2019, 123, 306–314. [Google Scholar] [CrossRef]
- Federici, A.B.; Rand, J.H.; Bucciarelli, P.; Budde, U.; van Genderen, P.J.; Mohri, H.; Meyer, D.; Rodeghiero, F.; Sadler, E.J.; Federici, A.B. Acquired von Willebrand syndrome: Data from an international registry. Thromb. Haemost. 2000, 84, 345–349. [Google Scholar] [PubMed]
- Sharma, R.; Gorbien, M.J. Angiodysplasia and lower gastrointestinal tract bleeding in elderly patients. Arch. Intern. Med. 1995, 155, 807–812. [Google Scholar] [CrossRef] [PubMed]
- Foutch, P.G.; Rex, D.K.; Lieberman, D.A. Prevalence and natural history of colonic angiodysplasia among healthy asymptomatic people. Am. J. Gastroenterol. 1995, 90, 564–567. [Google Scholar]
- Rauch, A.; Paris, C.; Repesse, Y.; Branche, J.; D’Oiron, R.; Harroche, A.; Ternisien, C.; Castet, S.; Lebreton, A.; Pan-Petesch, B.; et al. Gastrointestinal bleeding from angiodysplasia in von Willebrand disease: Improved diagnosis and outcome prediction using videocapsule on top of conventional endoscopy. J. Thromb. Haemost. 2021, 19, 380–386. [Google Scholar] [CrossRef]
- Virk, Z.M.; Song, A.B.; Badran, Y.R.; Al-Samkari, H. Systemic bevacizumab as salvage therapy for persistent severe bleeding and anemia in heyde syndrome following aortic valve replacement. J. Thromb. Thrombolysis 2022, 54, 255–259. [Google Scholar] [CrossRef]
- May, A.; Friesing-Sosnik, T.; Manner, H.; Pohl, J.; Ell, C. Long-term outcome after argon plasma coagulation of small-bowel lesions using double-balloon enteroscopy in patients with mid-gastrointestinal bleeding. Endoscopy 2011, 43, 759–765. [Google Scholar] [CrossRef]
- Olmos, J.A.; Marcolongo, M.; Pogorelsky, V.; Varela, E.; Dávolos, J.R. Argon plasma coagulation for prevention of recurrent bleeding from GI angiodysplasias. Gastrointest. Endosc. 2004, 60, 881–886. [Google Scholar] [CrossRef]
- Chetcuti Zammit, S.; Koulaouzidis, A.; Sanders, D.S.; McAlindon, M.E.; Rondonotti, E.; Yung, D.E.; Sidhu, R. Overview of small bowel angioectasias: Clinical presentation and treatment options. Expert. Rev. Gastroenterol. Hepatol. 2018, 12, 125–139. [Google Scholar] [CrossRef]
- García-Compeán, D.; Del Cueto-Aguilera, Á.N.; Jiménez-Rodríguez, A.R.; González-González, J.A.; Maldonado-Garza, H.J. Diagnostic and therapeutic challenges of gastrointestinal angiodysplasias: A critical review and view points. World J. Gastroenterol. 2019, 25, 2549–2564. [Google Scholar] [CrossRef]
- Torrente Iranzo, S.; Sarasqueta Eizaguirre, C.; Gonzalez Canalizo, V.; Segues Merino, N.M.; Ortega Rezola, P.; Wong Arteta, J.; Del Valle, A.M.; Jimenez, Á.C.; Bujanda, L. Short article: Hormone therapy for severe gastrointestinal bleeding due to multiple angiodysplastic lesions. Eur. J. Gastroenterol. Hepatol. 2019, 31, 312–315. [Google Scholar] [CrossRef]
- Junquera, F.; Feu, F.; Papo, M.; Videla, S.; Armengol, J.R.; Bordas, J.M.; Saperas, E.; Piqué, J.M.; Malagelada, J.-R. A multicenter, randomized, clinical trial of hormonal therapy in the prevention of rebleeding from gastrointestinal angiodysplasia. Gastroenterology 2001, 121, 1073–1079. [Google Scholar] [CrossRef] [PubMed]
- Shurafa, M.; Kamboj, G. Thalidomide for the treatment of bleeding angiodysplasias. Am. J. Gastroenterol. 2003, 98, 221–222. [Google Scholar] [CrossRef] [PubMed]
- Dabak, V.; Kuriakose, P.; Kamboj, G.; Shurafa, M. A pilot study of thalidomide in recurrent GI bleeding due to angiodysplasias. Dig. Dis. Sci. 2008, 53, 1632–1635. [Google Scholar] [CrossRef]
- Molina-Infante, J.; Perez-Gallardo, B. Somatostatin analogues for bleeding gastrointestinal angiodysplasias: When should thalidomide be prescribed? Dig. Dis. Sci. 2011, 56, 266–267. [Google Scholar] [CrossRef]
- Ge, Z.Z.; Chen, H.M.; Gao, Y.J.; Liu, W.Z.; Xu, C.H.; Tan, H.H.; Chen, H.; Wei, W.; Fang, J.; Xiao, S. Efficacy of thalidomide for refractory gastrointestinal bleeding from vascular malformation. Gastroenterology 2011, 141, e1–e4. [Google Scholar] [CrossRef]
- Bowers, M.; McNulty, O.; Mayne, E. Octreotide in the treatment of gastrointestinal bleeding caused by angiodysplasia in two patients with von Willebrand’s disease. Br. J. Haematol. 2000, 108, 524–527. [Google Scholar] [CrossRef]
- Jarvis, S.S.; Florian, J.P.; Curren, M.J.; Pawelczyk, J.A. A somatostatin analog improves tilt table tolerance by decreasing splanchnic vascular conductance. J. Appl. Physiol. 2012, 112, 1504–1511. [Google Scholar] [CrossRef]
- Rossini, F.P.; Arrigoni, A.; Pennazio, M. Octreotide in the treatment of bleeding due to angiodysplasia of the small intestine. Am. J. Gastroenterol. 1993, 88, 1424–1427. [Google Scholar]
- Andersen, M.R.; Aaseby, J. Somatostatin in the treatment of gastrointestinal bleeding caused by angiodysplasia. Scand. J. Gastroenterol. 1996, 31, 1037–1039. [Google Scholar] [CrossRef]
- Junquera, F.; Saperas, E.; Videla, S.; Feu, F.; Vilaseca, J.; Armengol, J.R.; Bordas, J.M.; Piqué, J.M.; Malagelada, J.-R. Long-term efficacy of octreotide in the prevention of recurrent bleeding from gastrointestinal angiodysplasia. Am. J. Gastroenterol. 2007, 102, 254–260. [Google Scholar] [CrossRef]
- Jackson, C.S.; Gerson, L.B. Management of Gastrointestinal Angiodysplastic Lesions (GIADs): A Systematic Review and Meta-Analysis. Off. J. Am. Coll. Gastroenterol. ACG 2014, 109, 474–483. [Google Scholar] [CrossRef] [PubMed]
- Goltstein, L.; Rooijakkers, M.J.P.; Hoeks, M.; Li, W.W.L.; van Wely, M.H.; Rodwell, L.; van Royen, N.; Drenth, J.P.H.; van Geenen, E.-J.M. Effectiveness of aortic valve replacement in Heyde syndrome: A meta-analysis. Eur. Heart J. 2023, 44, 3168–3177. [Google Scholar] [CrossRef] [PubMed]
- Matsui, S.; Kamisako, T.; Kudo, M.; Inoue, R. Endoscopic band ligation for control of nonvariceal upper GI hemorrhage: Comparison with bipolar electrocoagulation. Gastrointest. Endosc. 2002, 55, 214–218. [Google Scholar] [CrossRef] [PubMed]
- Kaufmann, J.E.; Vischer, U.M. Cellular mechanisms of the hemostatic effects of desmopressin (DDAVP). J. Thromb. Haemost. JTH 2003, 1, 682–689. [Google Scholar] [CrossRef]
- Mondal, S.; Hollander, K.N.; Ibekwe, S.O.; Williams, B.; Tanaka, K. Heyde Syndrome–Pathophysiology and Perioperative Implications. J. Cardiothorac. Vasc. Anesth. 2021, 35, 3331–3339. [Google Scholar] [CrossRef]








| Laboratory Investigation | Admission (Day 0) | Day 3 | Day 7 | Reference Values |
|---|---|---|---|---|
| Red blood cells | 2.45 × 106/μL | 2.98 × 106/μL | 3.42 × 106/μL | 3.5–5.5 × 106/μL |
| Hemoglobin | 6.8 g/dL | 7.9 g/dL | 9.6 g/dL | 11–16 g/dL |
| Hematocrit (Ht) | 27.2% | 31.6% | 38.4% | 37–47% |
| Mean corpuscular volume (MCV) | 74 fL | 78 fL | 86 fL | 80–100 fL |
| Mean corpuscular hemoglobin (MCH) | 25 pg | 26.5 pg | 28 pg | 27–31 pg |
| Mean corpuscular hemoglobin concentration (MCHC) | 25 g/dL | 24.9 g/dL | 25 g/dL | 32–36 g/dL |
| Platelet count | 178 × 103/L | 188 × 103/L | 211 × 103/L | 100–300 × 103/μL |
| aPTT | 28 s | 31 s | 35 s | 20–50 s |
| INR | 0.98 | 0.97 | 1 | 0.8–1.2 |
| Serum iron | 25 μg/dL | 73 μg/dL | 94 μg/dL | 50–170 μg/dL |
| Ferritin | 10 ng/dL | 17 ng/dL | 28 ng/dL | 15–205 ng/dL |
| NT-proBNP | 3176 pg/mL | 2655 pg/mL | 1035 pg/mL | <50 pg/mL |
| vWF antigen | - | - | 43 IU/L | 50–200 IU/L |
| vWF: Rco | - | - | 26.3 IU/L | 50–150 IU/L |
| vWF: Rco/VWF antigen ratio | - | - | 0.61 | >0.7 |
| Laboratory Investigation | 2-Month Follow-Up | Reference Values |
|---|---|---|
| Red blood cells | 3.53 × 106/μL | 3.5–5.5 × 106/μL |
| Hemoglobin | 9.8 g/dL | 11–16 g/dL |
| Hematocrit (Ht) | 39.2% | 37–47% |
| Mean corpuscular volume (MCV) | 91 fL | 80–100 fL |
| Mean corpuscular hemoglobin (MCH) | 29 pg | 27–31 pg |
| Mean corpuscular hemoglobin concentration (MCHC) | 33 g/dL | 32–36 g/dL |
| Platelet count | 206 × 103/L | 100–300 × 103/μL |
| aPTT | 38 s | 20–50 s |
| INR | 0.98 | 0.8–1.2 |
| NT-proBNP | 152 pg/mL | <50 pg/mL |
| vWF antigen | 88 | 50–200 IU/L |
| vWF: Rco | 73.9 | 50–150 IU/L |
| vWF: Rco/VWF antigen ratio | 0.84 | >0.7 |
Disclaimer/Publisher’s Note: The statements, opinions and data contained in all publications are solely those of the individual author(s) and contributor(s) and not of MDPI and/or the editor(s). MDPI and/or the editor(s) disclaim responsibility for any injury to people or property resulting from any ideas, methods, instructions or products referred to in the content. |
© 2025 by the authors. Licensee MDPI, Basel, Switzerland. This article is an open access article distributed under the terms and conditions of the Creative Commons Attribution (CC BY) license (https://creativecommons.org/licenses/by/4.0/).
Share and Cite
Rășinar, C.F.; Tîrziu, A.; Rășinar, R.I.; Gîru, F.; Mornoș, C.; Gaiță, D.; Luca, C.T.; Brie, D.M. Transcatheter Aortic Valve Replacement Reverses Heyde Syndrome: A Case Report of Severe Aortic Stenosis and Gastrointestinal Bleeding. J. Clin. Med. 2025, 14, 2819. https://doi.org/10.3390/jcm14082819
Rășinar CF, Tîrziu A, Rășinar RI, Gîru F, Mornoș C, Gaiță D, Luca CT, Brie DM. Transcatheter Aortic Valve Replacement Reverses Heyde Syndrome: A Case Report of Severe Aortic Stenosis and Gastrointestinal Bleeding. Journal of Clinical Medicine. 2025; 14(8):2819. https://doi.org/10.3390/jcm14082819
Chicago/Turabian StyleRășinar, Claudiu Florin, Alexandru Tîrziu, Rebeca Ionela Rășinar, Florin Gîru, Cristian Mornoș, Dan Gaiță, Constantin Tudor Luca, and Daniel Miron Brie. 2025. "Transcatheter Aortic Valve Replacement Reverses Heyde Syndrome: A Case Report of Severe Aortic Stenosis and Gastrointestinal Bleeding" Journal of Clinical Medicine 14, no. 8: 2819. https://doi.org/10.3390/jcm14082819
APA StyleRășinar, C. F., Tîrziu, A., Rășinar, R. I., Gîru, F., Mornoș, C., Gaiță, D., Luca, C. T., & Brie, D. M. (2025). Transcatheter Aortic Valve Replacement Reverses Heyde Syndrome: A Case Report of Severe Aortic Stenosis and Gastrointestinal Bleeding. Journal of Clinical Medicine, 14(8), 2819. https://doi.org/10.3390/jcm14082819

