Clinical Outcomes of Combined Phacoemulsification, Extended Depth-of-Focus Intraocular Lens Implantation, and Epiretinal Membrane Peeling Surgery
Abstract
1. Introduction
2. Materials and Methods
2.1. Patients
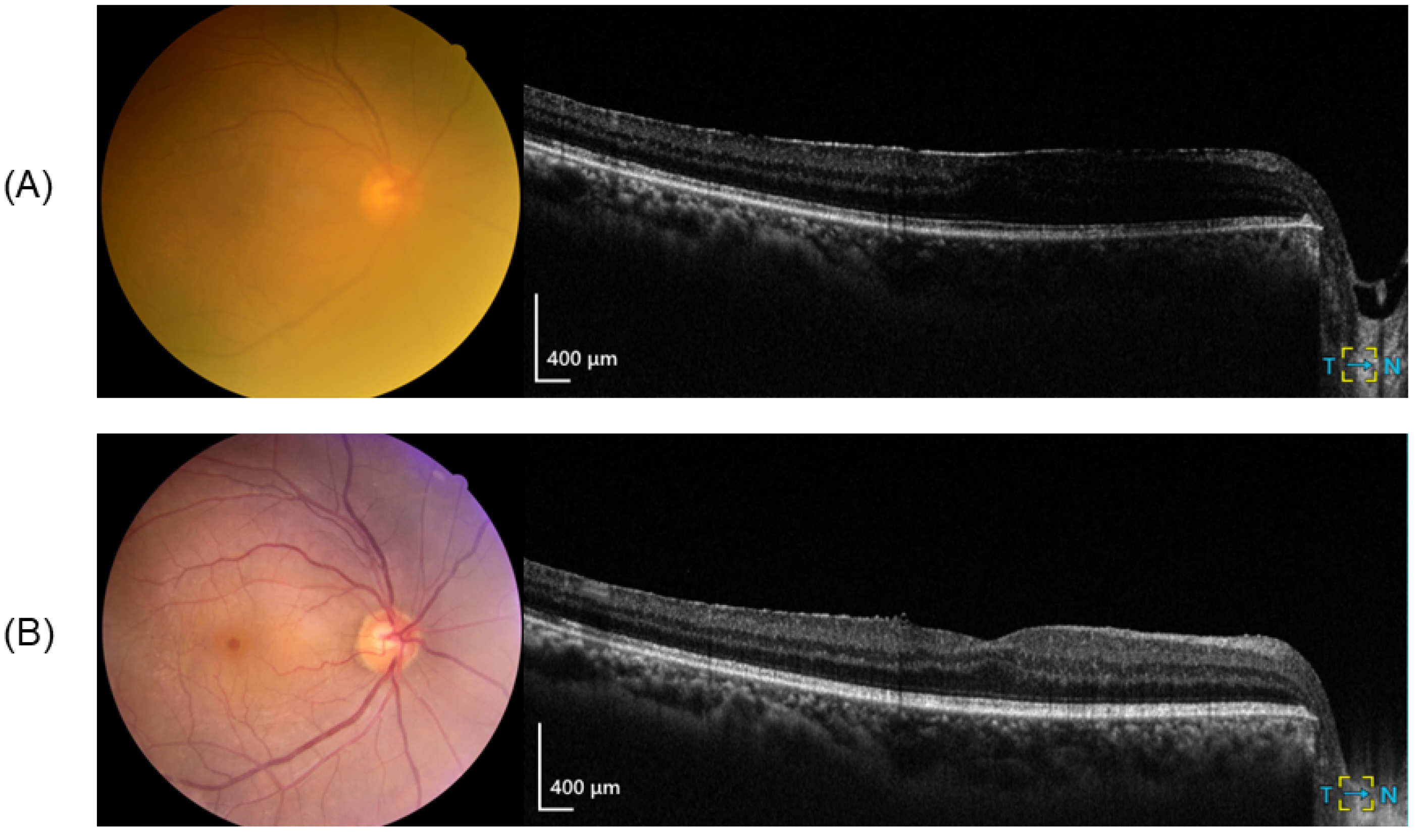
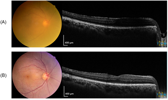
2.2. ERM Classification
2.3. Surgical Procedure
2.4. Clinical Examinations
2.5. Statistical Analyses
3. Results
4. Discussion
5. Conclusions
Author Contributions
Funding
Institutional Review Board Statement
Informed Consent Statement
Data Availability Statement
Conflicts of Interest
References
- Donaldson, K.E. The Economic Impact of Presbyopia. J. Refract. Surg. 2021, 37, S17–S19. [Google Scholar] [CrossRef] [PubMed]
- Fricke, T.R.; Tahhan, N.; Resnikoff, S.; Papas, E.; Burnett, A.; Ho, S.M.; Naduvilath, T.; Naidoo, K.S. Global Prevalence of Presbyopia and Vision Impairment from Uncorrected Presbyopia: Systematic Review, Meta-analysis, and Modelling. Ophthalmology 2018, 125, 1492–1499. [Google Scholar] [CrossRef]
- Halkiadakis, I.; Ntravalias, T.; Kollia, E.; Chatzistefanou, K.; Kandarakis, S.A.; Patsea, E. Screening for multifocal intraocular lens implantation in cataract patients in a public hospital. Int. Ophthalmol. 2024, 44, 151. [Google Scholar] [CrossRef]
- Zhu, Y.; Zhong, Y.; Fu, Y. The effects of premium intraocular lenses on presbyopia treatments. Adv. Ophthalmol. Pract. Res. 2022, 2, 100042. [Google Scholar] [CrossRef] [PubMed]
- Wolffsohn, J.S.; Davies, L.N. Presbyopia: Effectiveness of correction strategies. Prog. Retin. Eye Res. 2019, 68, 124–143. [Google Scholar] [CrossRef]
- Chow, L.W.L.; Fung, N.S.K.; Kwok, K.H.A. Premium intraocular lens implantation in eyes with vitrectomy done. Int. Ophthalmol. 2020, 40, 2949–2956. [Google Scholar] [CrossRef] [PubMed]
- Grzybowski, A.; Kanclerz, P.; Tuuminen, R. Multifocal intraocular lenses and retinal diseases. Graefes Arch. Clin. Exp. Ophthalmol. 2020, 258, 805–813. [Google Scholar] [CrossRef]
- Patel, S.B.; Snyder, M.E.; Riemann, C.D.; Osher, J.M.; Mi, C.W.; Sisk, R.A. Combined Phacoemulsification Surgery with Multifocal Intraocular Lens Implantation and Pars Plana Vitrectomy for Symptomatic Vitreous Opacities. Retin. Cases Brief. Rep. 2021, 15, 724–729. [Google Scholar] [CrossRef]
- Kim, J.M.; Lee, H.; Shin, J.P.; Ahn, J.; Yoo, J.M.; Song, S.J.; Kim, S.J.; Kang, S.W.; Epidemiologic Survey Committee of the Korean Ophthalmologic Society. Epiretinal Membrane: Prevalence and Risk Factors from the Korea National Health and Nutrition Examination Survey, 2008 through 2012. Korean J. Ophthalmol. 2017, 31, 514–523. [Google Scholar] [CrossRef]
- Demetriades, A.M.; Gottsch, J.D.; Thomsen, R.; Azab, A.; Stark, W.J.; Campochiaro, P.A.; de Juan, E., Jr.; Haller, J.A. Combined phacoemulsification, intraocular lens implantation, and vitrectomy for eyes with coexisting cataract and vitreoretinal pathology. Am. J. Ophthalmol. 2003, 135, 291–296. [Google Scholar] [CrossRef]
- Hwang, J.U.; Yoon, Y.H.; Kim, D.S.; Kim, J.G. Combined phacoemulsification, foldable intraocular lens implantation, and 25-gauge transconjunctival sutureless vitrectomy. J. Cataract. Refract. Surg. 2006, 32, 727–731. [Google Scholar] [PubMed]
- Savastano, A.; Savastano, M.C.; Barca, F.; Petrarchini, F.; Mariotti, C.; Rizzo, S. Combining cataract surgery with 25-gauge high-speed pars plana vitrectomy: Results from a retrospective study. Ophthalmology 2014, 121, 299–304. [Google Scholar]
- Patel, S.B.; Snyder, M.E.; Riemann, C.D.; Foster, R.E.; Sisk, R.A. Short-term outcomes of combined pars plana vitrectomy for epiretinal membrane and phacoemulsification surgery with multifocal intraocular lens implantation. Clin. Ophthalmol. 2019, 13, 723–730. [Google Scholar] [PubMed]
- Akella, S.S.; Juthani, V.V. Extended depth of focus intraocular lenses for presbyopia. Curr. Opin. Ophthalmol. 2018, 29, 318–322. [Google Scholar]
- Fernandez, J.; Ribeiro, F.; Rocha-de-Lossada, C.; Rodriguez-Vallejo, M. Functional Classification of Intraocular Lenses Based on Defocus Curves: A Scoping Review and Cluster Analysis. J. Refract. Surg. 2024, 40, e108–e116. [Google Scholar]
- The TECNIS Symfony ® Extended Range of Vision Intraocular Lenses (IOLs), Lens Model ZXR00 and Toric Lens Models ZXT150, ZXT225. Available online: https://assets.contentstack.io/v3/assets/bltc6e7ece114c6734f/blt385c3dcde2cb47bc/tecnis_symfony_optiblue_iol_spec_sheet.pdf (accessed on 25 March 2025).
- Gallego, A.A.; Bara, S.; Jaroszewicz, Z.; Kolodziejczyk, A. Visual Strehl performance of IOL designs with extended depth of focus. Optom. Vis. Sci. 2012, 89, 1702–1707. [Google Scholar] [PubMed]
- Cochener, B.; Boutillier, G.; Lamard, M.; Auberger-Zagnoli, C. A Comparative Evaluation of a New Generation of Diffractive Trifocal and Extended Depth of Focus Intraocular Lenses. J. Refract. Surg. 2018, 34, 507–514. [Google Scholar]
- Escandon-Garcia, S.; Ribeiro, F.J.; McAlinden, C.; Queiros, A.; Gonzalez-Meijome, J.M. Through-Focus Vision Performance and Light Disturbances of 3 New Intraocular Lenses for Presbyopia Correction. J. Ophthalmol. 2018, 2018, 6165493. [Google Scholar]
- Mencucci, R.; Favuzza, E.; Caporossi, O.; Savastano, A.; Rizzo, S. Comparative analysis of visual outcomes, reading skills, contrast sensitivity, and patient satisfaction with two models of trifocal diffractive intraocular lenses and an extended range of vision intraocular lens. Graefes Arch. Clin. Exp. Ophthalmol. 2018, 256, 1913–1922. [Google Scholar]
- Govetto, A.; Lalane, R.A., 3rd; Sarraf, D.; Figueroa, M.S.; Hubschman, J.P. Insights Into Epiretinal Membranes: Presence of Ectopic Inner Foveal Layers and a New Optical Coherence Tomography Staging Scheme. Am. J. Ophthalmol. 2017, 175, 99–113. [Google Scholar]
- Braga-Mele, R.; Chang, D.; Dewey, S.; Foster, G.; Henderson, B.A.; Hill, W.; Hoffman, R.; Little, B.; Mamalis, N.; Oetting, T.; et al. Multifocal intraocular lenses: Relative indications and contraindications for implantation. J. Cataract. Refract. Surg. 2014, 40, 313–322. [Google Scholar]
- Attia, M.S.A.; Auffarth, G.U.; Kretz, F.T.A.; Tandogan, T.; Rabsilber, T.M.; Holzer, M.P.; Khoramnia, R. Clinical Evaluation of an Extended Depth of Focus Intraocular Lens With the Salzburg Reading Desk. J. Refract. Surg. 2017, 33, 664–669. [Google Scholar]
- Arrevola-Velasco, L.; Beltran, J.; Gimeno, M.J.; Ortega-Usobiaga, J.; Druchkiv, V.; Llovet-Osuna, F.; Baviera-Sabater, J. Visual outcomes after vitrectomy for epiretinal membrane in pseudophakic eyes with a diffractive trifocal intraocular lens: A retrospective cohort study. BMC Ophthalmol. 2022, 22, 39. [Google Scholar]
- de Medeiros, A.L.; de Araujo Rolim, A.G.; Motta, A.F.P.; Ventura, B.V.; Vilar, C.; Chaves, M.; Carricondo, P.C.; Hida, W.T. Comparison of visual outcomes after bilateral implantation of a diffractive trifocal intraocular lens and blended implantation of an extended depth of focus intraocular lens with a diffractive bifocal intraocular lens. Clin. Ophthalmol. 2017, 11, 1911–1916. [Google Scholar] [PubMed]
- Monaco, G.; Gari, M.; Di Censo, F.; Poscia, A.; Ruggi, G.; Scialdone, A. Visual performance after bilateral implantation of 2 new presbyopia-correcting intraocular lenses: Trifocal versus extended range of vision. J. Cataract. Refract. Surg. 2017, 43, 737–747. [Google Scholar] [PubMed]
- Kanclerz, P.; Toto, F.; Grzybowski, A.; Alio, J.L. Extended Depth-of-Field Intraocular Lenses: An Update. Asia-Pac. J. Ophthalmol. 2020, 9, 194–202. [Google Scholar]
- Titiyal, J.S.; Kaur, M.; Bharti, N.; Singhal, D.; Saxena, R.; Sharma, N. Optimal near and distance stereoacuity after binocular implantation of extended range of vision intraocular lenses. J. Cataract. Refract. Surg. 2019, 45, 798–802. [Google Scholar]
- Kim, B.; Kwon, S.; Choi, A.; Jeon, S. Influence of mild non-foveal involving epiretinal membrane on visual quality in eyes with multifocal intraocular lens implantation. Graefes Arch. Clin. Exp. Ophthalmol. 2021, 259, 2723–2730. [Google Scholar]
- Farvardin, M.; Johari, M.; Attarzade, A.; Rahat, F.; Farvardin, R.; Farvardin, Z. Comparison between bilateral implantation of a trifocal intraocular lens (Alcon Acrysof IQ(R) PanOptix) and extended depth of focus lens (Tecnis(R) Symfony(R) ZXR00 lens). Int. Ophthalmol. 2021, 41, 567–573. [Google Scholar]
- Moshirfar, M.; Ellis, J.; Beesley, D.; McCabe, S.E.; Lewis, A.; West, W.B.; Ronquillo, Y.; Hoopes, P. Comparison of the Visual Outcomes of an Extended Depth-of-Focus Lens and a Trifocal Lens. Clin. Ophthalmol. 2021, 15, 3051–3063. [Google Scholar]
- Shi, L.; Chang, J.S.; Suh, L.H.; Chang, S. Differences in Refractive Outcomes between Phacoemulsification for Cataract Alone and Combined Phacoemulsification and Vitrectomy for Epiretinal Membrane. Retina 2019, 39, 1410–1415. [Google Scholar] [PubMed]
- Tranos, P.G.; Allan, B.; Balidis, M.; Vakalis, A.; Asteriades, S.; Anogeianakis, G.; Triantafilla, M.; Kozeis, N.; Stavrakas, P. Comparison of postoperative refractive outcome in eyes undergoing combined phacovitrectomy vs cataract surgery following vitrectomy. Graefes Arch. Clin. Exp. Ophthalmol. 2020, 258, 987–993. [Google Scholar]
- Kim, M.; Kim, H.E.; Lee, D.H.; Koh, H.J.; Lee, S.C.; Kim, S.S. Intraocular lens power estimation in combined phacoemulsification and pars plana vitrectomy in eyes with epiretinal membranes: A case-control study. Yonsei Med. J. 2015, 56, 805–811. [Google Scholar]
- Manvikar, S.R.; Allen, D.; Steel, D.H. Optical biometry in combined phacovitrectomy. J. Cataract. Refract. Surg. 2009, 35, 64–69. [Google Scholar]
- Son, H.S.; Kim, S.H.; Auffarth, G.U.; Choi, C.Y. Prospective comparative study of tolerance to refractive errors after implantation of extended depth of focus and monofocal intraocular lenses with identical aspheric platform in Korean population. BMC Ophthalmol. 2019, 19, 187. [Google Scholar]
- Carones, F. Residual astigmatism threshold and patient satisfaction with bifocal, trifocal and extended range of vision intraocular lenses (IOLs). Open J. Ophthalmol. 2017, 7, 1. [Google Scholar]
- Cochener, B. Tecnis symfony intraocular lens with a “sweet spot” for tolerance to postoperative residual refractive errors. Open J. Ophthalmol. 2017, 7, 14. [Google Scholar]
- Yoshino, M.; Inoue, M.; Kitamura, N.; Bissen-Miyajima, H. Diffractive multifocal intraocular lens interferes with intraoperative view. Clin. Ophthalmol. 2010, 4, 467–469. [Google Scholar] [PubMed]
- Al-Shymali, O.; McAlinden, C.; Alio Del Barrio, J.L.; Canto-Cerdan, M.; Alio, J.L. Patients’ dissatisfaction with multifocal intraocular lenses managed by exchange with other multifocal lenses of different optical profiles. Eye Vis. 2022, 9, 8. [Google Scholar]
- Takabatake, R.; Takahashi, M.; Yoshimoto, T.; Higashijima, F.; Kobayashi, Y.; Yamashiro, C.; Kimura, K. Cases of replacing diffractive bifocal intraocular lens with extended depth of focus intraocular lens due to waxy vision. PLoS ONE 2021, 16, e0259470. [Google Scholar]
- Ungewiss, J.; Schiefer, U.; Eichinger, P.; Wörner, M.; Crabb, D.P.; Jones, P.R. Does intraocular straylight predict night driving visual performance? Correlations between straylight levels and contrast sensitivity, halo size, and hazard recognition distance with and without glare. Front. Hum. Neurosci. 2022, 16, 910620. [Google Scholar]
- Qin, M.; Ji, M.; Zhou, T.; Yuan, Y.; Luo, J.; Li, P.; Wang, Y.; Chen, X.; Chen, W.; Guan, H. Influence of angle alpha on visual quality after implantation of extended depth of focus intraocular lenses. BMC Ophthalmol. 2022, 22, 82. [Google Scholar]


| N = 16 | Median (IQR) |
|---|---|
| Age (years) | 59.5 (9.5) |
| Sex (M:F) | 4:12 |
| Spherical equivalent (diopters) | −0.18 (1.94) |
| Intraocular pressure (mmHg) | 17.5 (3.75) |
| CDVA (logMAR) | 0.22 (0.07) |
| UDVA (logMAR) | 0.40 (0.22) |
| UIVA (logMAR) | 0.40 (0.22) |
| UNVA (logMAR) | 0.60 (0.21) |
| CFT (μm) | 362.5 (58.5) |
| No | Age/Sex | Preop CDVA | Preop IOP (mmHg) | Preop CFT (μm) | Postop SE (D) | Postop UDVA | Postop UIVA | Postop UNVA | Postop IOP (mmHg) | Postop CFT (μm) |
|---|---|---|---|---|---|---|---|---|---|---|
| 1 | 59/F | 0.22 | 18 | 364 | –0.25 | 0.05 | 0 | 0.30 | 16 | 321 |
| 2 | 58/F | 0.15 | 17 | 326 | 0 | 0 | 0.22 | 0.40 | 15 | 309 |
| 3 | 58/M | 0.15 | 15 | 332 | +0.38 | 0 | 0.19 | 0.40 | 15 | 312 |
| 4 | 52/F | 0.22 | 18 | 405 | 0 | 0 | 0.10 | 0.19 | 15 | 393 |
| 5 | 60/M | 0.22 | 20 | 381 | +0.25 | 0.05 | 0.22 | 0.30 | 19 | 344 |
| 6 | 59/F | 0.22 | 16 | 426 | 0 | 0 | 0.10 | 0.19 | 13 | 388 |
| 7 | 67/F | 0.22 | 18 | 389 | –0.38 | 0 | 0.10 | 0.19 | 17 | 344 |
| 8 | 66/M | 0.10 | 13 | 361 | 0 | 0 | 0.10 | 0.30 | 11 | 334 |
| 9 | 55/F | 0.15 | 18 | 332 | 0 | 0 | 0.10 | 0.30 | 15 | 315 |
| 10 | 68/F | 0.10 | 14 | 338 | 0 | 0 | 0.00 | 0.19 | 16 | 313 |
| 11 | 63/M | 0.15 | 14 | 345 | 0 | 0 | 0.10 | 0.10 | 14 | 307 |
| 12 | 53/F | 0.15 | 17 | 350 | –0.25 | 0 | 0.10 | 0.19 | 15 | 325 |
| 13 | 54/F | 0.40 | 15 | 364 | 0 | 0 | 0.10 | 0.30 | 12 | 340 |
| 14 | 68/F | 0.30 | 19 | 393 | 0 | 0.10 | 0.22 | 0.30 | 18 | 375 |
| 15 | 61/F | 0.22 | 19 | 323 | 0 | 0 | 0.10 | 0.19 | 18 | 312 |
| 16 | 61/F | 0.30 | 20 | 419 | 0 | 0.10 | 0.19 | 0.40 | 17 | 394 |
| Baseline | 3 Months | 6 Months | |
|---|---|---|---|
| Spherical equivalent (diopters) | −0.18 (1.94) (range −9.5–1.0) | 0.0 (0.0) (range −0.5–0.5) | 0.0 (0.0) (range −0.38–0.38) |
| CDVA (logMAR) | 0.22 (0.07) | 0.05 (0.10) | 0.0 (0.03) |
| UDVA (logMAR) | 0.40 (0.22) | 0.05 (0.08) | 0.0 (0.03) |
| UIVA (logMAR) | 0.40 (0.22) | 0.19 (0.09) | 0.10 (0.09) |
| UNVA (logMAR) | 0.60 (0.21) | 0.30 (0.19) | 0.30 (0.11) |
| CFT (μm) | 362.5 (58.5) | 351.0 (61.8) | 329.5 (55.0) |
| Parameter (logMAR) | 0.0 or Better | 0.10 or Better | 0.20 or Better | 0.30 or Better | 0.40 or Better | 0.50 or Better | |
|---|---|---|---|---|---|---|---|
| 3 months | CDVA | 43.8% | 100% | 100% | 100% | 100% | 100% |
| UDVA | 37.5% | 100% | 100% | 100% | 100% | 100% | |
| UIVA | 0% | 43.8% | 81.3% | 93.8% | 100% | 100% | |
| UNVA | 0% | 0% | 37.5% | 37.5% | 93.8% | 100% | |
| 6 months | CDVA | 75.0% | 100% | 100% | 100% | 100% | 100% |
| UDVA | 75.0% | 100% | 100% | 100% | 100% | 100% | |
| UIVA | 12.5% | 68.8% | 81.3% | 100% | 100% | 100% | |
| UNVA | 0% | 6.3% | 43.8% | 43.8% | 100% | 100% |
Disclaimer/Publisher’s Note: The statements, opinions and data contained in all publications are solely those of the individual author(s) and contributor(s) and not of MDPI and/or the editor(s). MDPI and/or the editor(s) disclaim responsibility for any injury to people or property resulting from any ideas, methods, instructions or products referred to in the content. |
© 2025 by the authors. Licensee MDPI, Basel, Switzerland. This article is an open access article distributed under the terms and conditions of the Creative Commons Attribution (CC BY) license (https://creativecommons.org/licenses/by/4.0/).
Share and Cite
Chung, H.-S.; Lee, D.; Park, J.-H. Clinical Outcomes of Combined Phacoemulsification, Extended Depth-of-Focus Intraocular Lens Implantation, and Epiretinal Membrane Peeling Surgery. J. Clin. Med. 2025, 14, 2423. https://doi.org/10.3390/jcm14072423
Chung H-S, Lee D, Park J-H. Clinical Outcomes of Combined Phacoemulsification, Extended Depth-of-Focus Intraocular Lens Implantation, and Epiretinal Membrane Peeling Surgery. Journal of Clinical Medicine. 2025; 14(7):2423. https://doi.org/10.3390/jcm14072423
Chicago/Turabian StyleChung, Ho-Seok, Dabin Lee, and Jin-Hyoung Park. 2025. "Clinical Outcomes of Combined Phacoemulsification, Extended Depth-of-Focus Intraocular Lens Implantation, and Epiretinal Membrane Peeling Surgery" Journal of Clinical Medicine 14, no. 7: 2423. https://doi.org/10.3390/jcm14072423
APA StyleChung, H.-S., Lee, D., & Park, J.-H. (2025). Clinical Outcomes of Combined Phacoemulsification, Extended Depth-of-Focus Intraocular Lens Implantation, and Epiretinal Membrane Peeling Surgery. Journal of Clinical Medicine, 14(7), 2423. https://doi.org/10.3390/jcm14072423

