Complex Left Main Trifurcation: A Case Study of Successful Treatment
Abstract
1. Introduction
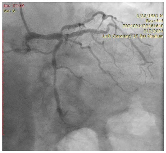
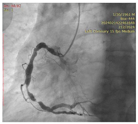
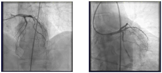
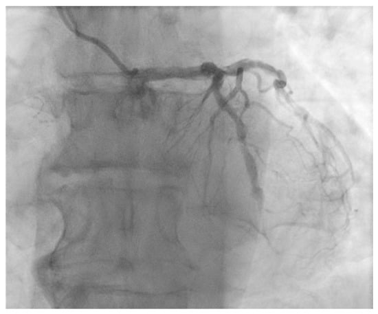
2. Case Presentation
- Engage the left coronary artery with an EBU 4.0/8F guiding catheter. Wiring the three branches of the trifurcation (Floppy guide wires in LAD and RI, Hydrophilic guide wire in LCX) (Figure 14).
- 2.
- Performing the first Trissing with 1:1 NC balloons sized to the distal branches’ diameter (3.5, 3.5, 4.0 mm) (Figure 15).
- 3.
- Stenting the two most angled branches with stents (3.5/28 mm and 3.5/19 mm Sirolimus-eluting stents—Ultimaster, Terumo) sized to their distal diameter and slight protrusion in the main branch (Figure 16).
- 4.
- The two stents implanted in the side branches should be crushed with a balloon placed in the MB and sized 1:1 to the distal diameter of the vessel (3.5/18 mm). Remove the side-branch guidewires (Figure 17).
- 5.
- First POT (proximal optimization therapy) with a 1:1 balloon sized (5.5) to the proximal part of the MB (Figure 18).
- 6.
- Recrossing with the guidewires in the side branches and a small pre dilatation of the crushed struts with a small 1.2–1.5 balloon in order to accommodate the balloons for the Trissing.
- 7.
- Second Trissing (balloon NC 3.5/18 mm) (Figure 19).
- 8.
- An additional POT is performed at this stage.
- 9.
- A 1:1 stent sized to the distal main vessel diameter is placed from the proximal to the distal main branch (5.0/12 mm Everolimus-eluting stent—Synergy, Boston Scientific) (Figure 20).
- 10.
- POT is performed in order to appose the struts of the main vessel stent to the vessel wall in the proximal segment (Figure 21).
- 11.
- The crossing of the side branches is performed with guidewires, and a small dilatation of the struts with 1.2–1.5 balloons is performed.
- 12.
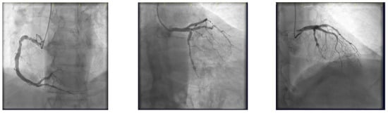
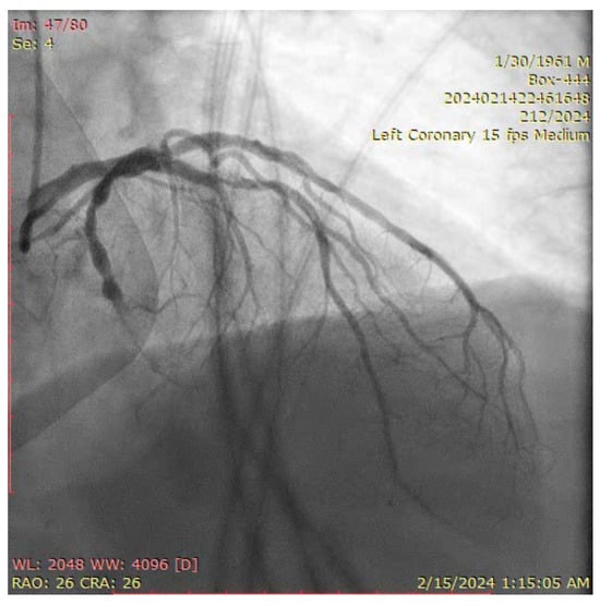
- The third and final Trissing is performed (3.5/20 mm, 3.5/20 mm, and 4.0/20 mm) (Figure 22).
- 13.
3. Discussions
4. Conclusions
Author Contributions
Funding
Institutional Review Board Statement
Informed Consent Statement
Data Availability Statement
Conflicts of Interest
References
- Grüntzig, A.R.; Senning, A.; Siegenthaler, W.E. Nonoperative dilatation of coronary-artery stenosis: Percutaneous transluminal coronary angioplasty. N. Engl. J. Med. 1979, 301, 61–68. [Google Scholar] [CrossRef]
- Kovacevic, M.; Burzotta, F.; Elharty, S.; Besis, G.; Aurigemma, C.; Romagnoli, E.; Trani, C. Left Main Trifurcation and Its Percutaneous Treatment. Circ. Cardiovasc. Interv. 2021, 14, e009872. [Google Scholar] [CrossRef]
- Singh, S.; Ajayi, N.; Lazarus, L.; Satyapal, K.S. Anatomic study of the morphology of the right and left coronary arteries. Folia Morphol. 2017, 76, 668–674. [Google Scholar] [CrossRef] [PubMed][Green Version]
- Medina, A.; de Lezo, J.S.; Pan, M. A New Classification of Coronary Bifurcation Lesions. Rev. Espanola Cardiol. 2006, 59, 183. [Google Scholar] [CrossRef]
- Shammas, N.W.; Shammas, G.A.; Jerin, M.; Parikh, A.; Coin, K.; Dippel, E.; Sharis, P.; Robken, J. Treatment of left main coronary tri-furcation lesions with the paclitaxel drug-eluting stent: Mid-term outcomes from a tertiary medical center. J. Invasive Cardiol. 2009, 21, 321–325. [Google Scholar]
- Neumann, F.J.; Sousa-Uva, M.; Ahlsson, A.; Alfonso, F.; Banning, A.P.; Benedetto, U.; Byrne, R.A.; Collet, J.P.; Falk, V.; Head, S.J.; et al. 2018 ESC/EACTS Guidelines on myocardial revascularization. Eur. Heart J. 2019, 40, 87–165. [Google Scholar] [CrossRef]
- Virani, S.S.; Newby, L.K.; Arnold, S.V.; Bittner, V.; Brewer, L.C.; Demeter, S.H.; Dixon, D.L.; Fearon, W.F.; Hess, B.; Johnson, H.M.; et al. 2023 AHA/ACC/ACCP/ASPC/NLA/PCNA Guideline for the Management of Patients with Chronic Coronary Disease: A Report of the American Heart Association/American College of Cardiology Joint Committee on Clinical Practice Guidelines. Circulation 2023, 148, E9–E119. [Google Scholar] [CrossRef] [PubMed]
- Morice, M.-C.; Serruys, P.W.; Kappetein, A.P.; Feldman, T.E.; Ståhle, E.; Colombo, A.; Mack, M.J.; Holmes, D.R.; Choi, J.W.; Ruzyllo, W.; et al. Five-Year Outcomes in Patients with Left Main Disease Treated with Either Percutaneous Coronary Intervention or Coronary Artery Bypass Grafting in the Synergy Between Percutaneous Coronary Intervention with Taxus and Cardiac Surgery Trial. Circulation 2014, 129, 2388–2394. [Google Scholar] [CrossRef]
- Kandzari, D.E.; Gershlick, A.H.; Serruys, P.W.; Leon, M.B.; Morice, M.-C.; Simonton, C.A.; Lembo, N.J.; Mansour, S.; Sabaté, M.; Sabik, J.F.; et al. Procedural characteristics and clinical outcomes in patients undergoing percutaneous coronary intervention for left main trifurcation disease: The EXCEL trial. EuroIntervention 2020, 16, e982–e988. [Google Scholar] [CrossRef]
- Chen, X.; Li, X.; Zhang, J.J.; Han, Y.; Kan, J.; Chen, L.; Qiu, C.; Santoso, T.; Paiboon, C.; Kwan, T.W.; et al. DKCRUSH-V Investigators. 3-Year Outcomes of the DKCRUSH-V Trial Comparing DK Crush with Provisional Stenting for Left Main Bifurcation Lesions. JACC Cardiovasc. Interv. 2019, 12, 1927–1937. [Google Scholar] [CrossRef] [PubMed]
- Ielasi, A.; Takagi, K.; Latib, A.; Basavarajaiah, S.; Figini, F.; Carlino, M.; Montorfano, M.; Chieffo, A.; Nakamura, S.; Colombo, A. Long-term clinical outcomes following drug-eluting stent implantation for unprotected distal trifurcation left main disease: The Milan-New Tokyo (MITO) registry. Catheter. Cardiovasc. Interv. 2013, 83, 530–538. [Google Scholar] [CrossRef]
- Burzotta, F.; Louvard, Y.; Lassen, J.F.; Lefèvre, T.; Finet, G.; Collet, C.; Legutko, J.; Lesiak, M.; Hikichi, Y.; Albiero, R.; et al. Percutaneous coronary intervention for bifurcation coronary lesions using optimised angiographic guidance: The 18th consensus document from the European Bifurcation Club. EuroIntervention 2024, 20, e915–e926. [Google Scholar] [CrossRef] [PubMed]
- Lefèvre, T.; Girasis, C.; Lassen, J.F. Differences between the left main and other bifurcations. EuroIntervention 2015, 11, V106–V110. [Google Scholar] [CrossRef] [PubMed]
- Chen, S.-L.; Sheiban, I.; Xu, B.; Jepson, N.; Paiboon, C.; Zhang, J.-J.; Ye, F.; Sansoto, T.; Kwan, T.W.; Lee, M.; et al. Impact of the Complexity of Bifurcation Lesions Treated with Drug-Eluting Stents. JACC Cardiovasc. Interv. 2014, 7, 1266–1276. [Google Scholar] [CrossRef] [PubMed]
- Nam, C.-W.; Hur, S.-H.; Koo, B.-K.; Doh, J.H.; Cho, Y.-K.; Park, H.-S.; Yoon, H.-J.; Kim, H.; Chung, I.-S.; Kim, Y.-N.; et al. Fractional Flow Reserve Versus Angiography in Left Circumflex Ostial Intervention After Left Main Crossover Stenting. Korean Circ. J. 2011, 41, 304–307. [Google Scholar] [CrossRef]
- Chen, S.L.; Xu, B.; Han, Y.L.; Sheiban, I.; Zhang, J.-J.; Ye, F.; Kwan, T.F.; Paiboon, C.; Zhou, Y.-J.; Lv, S.Z.; et al. Comparison of double kissing crush versus Culotte stenting for unprotected distal left main bifurcation lesions: Results from a multicenter, randomized, prospective DKCRUSH-III study. J. Am. Coll. Cardiol. 2013, 61, 1482–1488. [Google Scholar] [CrossRef]
- Song, Y.B.; Hahn, J.-Y.; Yang, J.H.; Choi, S.-H.; Choi, J.-H.; Lee, S.H.; Jeong, M.-H.; Kim, H.-S.; Lee, J.-H.; Yu, C.W.; et al. Differential prognostic impact of treatment strategy among patients with left main versus non–left main bifurcation lesions undergoing percutaneous coronary intervention: Results from the COBIS (Coronary Bifurcation Stenting) Registry II. J. Am. Coll. Cardiol. Intv. 2014, 7, 255–263. [Google Scholar] [CrossRef]
- Hildick-Smith, D.; Egred, M.; Banning, A.; Brunel, P.; Ferenc, M.; Hovasse, T.; Wlodarczak, A.; Pan, M.; Schmitz, T.; Silvestri, M.; et al. The European bifurcation club Left Main Coronary Stent study: A randomized comparison of stepwise provisional vs. systematic dual stenting strategies (EBC MAIN). Eur. Hear. J. 2021, 42, 3829–3839. [Google Scholar] [CrossRef]
- Kubo, S.; Kadota, K.; Habara, S.; Tada, T.; Tanaka, H.; Fuku, Y.; Goto, T.; Mitsudo, K. TCT-389 Clinical and Angiographic Outcomes of Percutaneous Coronary Intervention with Triple Kissing Balloon Technique After Drug-Eluting Stent Implantation for Left Main Trifurcation Disease: Comparison Between Single- and Two-Stent Techniques. J. Am. Coll. Cardiol. 2013, 62, B122. [Google Scholar] [CrossRef]
- Hernández-Flores, K.; Aceves-Chong, P.; Aquino-Bruno, H.; Ibarra-Sánchez, R.; Alcántara-Meléndez, M. King Ghidorah Technique for a Trifurcation Lesion in a Very High-Risk NSTEMI. J. Am. Coll. Cardiol. 2024, 36, 6. [Google Scholar] [CrossRef] [PubMed]
- Bangalore, S.; Alkhalil, A.; Feit, F.; Keller, N.; Thompson, C. Dual-Guide Triple-Kiss Technique for Left Main Trifurcation. JACC: Cardiovasc. Interv. 2021, 14, e139–e141. [Google Scholar] [CrossRef] [PubMed]
- Munakata, M.; Numasawa, Y.; Ishikawa, S.; Koyama, T. A Novel Double Side Branch Protection Technique for a Left Main Trifurcation Lesion: Simultaneous Jailed Balloon and Jailed Corsair Technique. Case Rep. Cardiol. 2018, 2018, 6852946. [Google Scholar] [CrossRef] [PubMed]
- Dai, Y.X.; Li, C.G.; Huang, J.; Xu, R.D.; Chang, S.F.; Lu, H.; Ren, D.Y.; Ge, L.; Qian, J.Y.; Zhang, F.; et al. A new sequential two-stent strategy for treating true distal left main trifurcation lesion. J. Geriatr. Cardiol. JGC 2021, 18, 487–491. [Google Scholar] [CrossRef] [PubMed] [PubMed Central]
- Sung, J.G.; Kochar, A.; Croce, K.J.; Bergmark, B.A. Novel Three-Stent Strategy in Left Main Coronary Artery Trifurcation Disease—Combination of DK Crush and Culotte Techniques. Cardiovasc. Revasc. Med. 2022, 40, 258–266. [Google Scholar] [CrossRef]






























Disclaimer/Publisher’s Note: The statements, opinions and data contained in all publications are solely those of the individual author(s) and contributor(s) and not of MDPI and/or the editor(s). MDPI and/or the editor(s) disclaim responsibility for any injury to people or property resulting from any ideas, methods, instructions or products referred to in the content. |
© 2025 by the authors. Licensee MDPI, Basel, Switzerland. This article is an open access article distributed under the terms and conditions of the Creative Commons Attribution (CC BY) license (https://creativecommons.org/licenses/by/4.0/).
Share and Cite
Rus, M.; Nichita-Brendea, M.-T.; Popescu, M.-I.; Pașca, G.; Staniș, C.E.; Crișan, S. Complex Left Main Trifurcation: A Case Study of Successful Treatment. J. Clin. Med. 2025, 14, 328. https://doi.org/10.3390/jcm14020328
Rus M, Nichita-Brendea M-T, Popescu M-I, Pașca G, Staniș CE, Crișan S. Complex Left Main Trifurcation: A Case Study of Successful Treatment. Journal of Clinical Medicine. 2025; 14(2):328. https://doi.org/10.3390/jcm14020328
Chicago/Turabian StyleRus, Marius, Mihnea-Traian Nichita-Brendea, Mircea-Ioachim Popescu, Georgeta Pașca, Claudia Elena Staniș, and Simina Crișan. 2025. "Complex Left Main Trifurcation: A Case Study of Successful Treatment" Journal of Clinical Medicine 14, no. 2: 328. https://doi.org/10.3390/jcm14020328
APA StyleRus, M., Nichita-Brendea, M.-T., Popescu, M.-I., Pașca, G., Staniș, C. E., & Crișan, S. (2025). Complex Left Main Trifurcation: A Case Study of Successful Treatment. Journal of Clinical Medicine, 14(2), 328. https://doi.org/10.3390/jcm14020328

