Carotid Doppler Imaging as a Marker for Fluid Responsiveness
Abstract
1. Introduction
2. Materials and Methods
2.1. Study Design, Population, and Setting
2.2. Inclusion and Exclusion Criteria
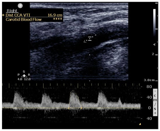
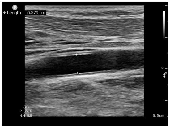
2.3. Measurements
- CCA PWD VTI—Common Carotid Artery Pulsed Wave Doppler Time Velocity Integral.
- CCA Area—Common Carotid Artery Area = D2 × 0.785.
- Increase in carotid blood flow by 10% after a fluid challenge. (Passive leg raise).
- 7 msec increase in corrected flow time (FTc) after fluid challenge.
- 10% change in peak carotid systolic velocity (ΔCDPV).
2.4. Statistical Analysis
3. Results
3.1. Description of Study Sample
3.2. Correlation Analysis
3.3. Linear Regression Modeling
3.4. Sensitivity Analysis
4. Discussion
5. Conclusions
Author Contributions
Funding
Institutional Review Board Statement
Informed Consent Statement
Data Availability Statement
Conflicts of Interest
Abbreviations
| CVP | Central venous pressure |
| PAC | Pulmonary artery catheter |
| CO | Cardiac output |
| CI | Cardiac index |
| FTc | Corrected flow time |
| POCUS | Point-of-care-ultrasound |
| ΔCDPV | Change in respiratory peak systolic velocity |
| PWD | Pulsed wave Doppler |
| LVOT | Left ventricular outflow tract |
| TVI | Time velocity integral |
| CBF | Carotid blood flow |
References
- Marik, P.E.; Monnet, X.; Teboul, J.-L. Hemodynamic parameters to guide fluid therapy. Ann. Crit. Care 2011, 1, 1. [Google Scholar] [CrossRef]
- Marik, P.E.; Lemson, J. Fluid responsiveness: An evolution of our understanding. Br. J. Anaesth. 2014, 112, 617–620. [Google Scholar] [CrossRef] [PubMed]
- Lu, N.; Xi, X.; Jiang, L.; Yang, D.; Yin, K. Exploring the best predictors of fluid responsiveness in patients with septic shock. Am. J. Emerg. Med. 2017, 35, 1258–1261. [Google Scholar] [CrossRef] [PubMed]
- Long, E.; Oakley, E.; Duke, T.; Babl, F.E. Does respiratory variation in inferior vena cava diameter predict fluid responsiveness: A systematic review and meta-analysis. Shock 2017, 47, 550–559. [Google Scholar] [CrossRef] [PubMed]
- Silversides, J.A.; Perner, A.; Malbrain, M.L.N.G. Liberal versus restrictive fluid therapy in critically ill patients. Intensive Care Med. 2019, 45, 1440–1442. [Google Scholar] [CrossRef]
- Funk, D.J.; Moretti, E.W.; Gan, T.J. Minimally invasive cardiac output monitoring in the perioperative setting. Anesth. Analg. 2009, 108, 887–897. [Google Scholar] [CrossRef]
- De Backer, D.; Bakkar, J.; Cecconi, M. Alternatives to Swan-Ganz catheter. Intensive Care Med. 2018, 44, 730–741. [Google Scholar] [CrossRef]
- Dericbourg, C.; Tribouilloy, C.; Kugener, H.; Avinee, P.; Rey, J.L.; Lesbre, J.P. Noninvasive measurement of cardiac output by pulsed Doppler echocardiography. Correlation with thermodiluation. Arch. Mal. Coeur Vaiss. 1990, 83, 237–244. [Google Scholar]
- Sidor, M.; Premachandra, L.; Hanna, B.; Nair, N.; Misra, A. Carotid flow as a surrogate for cardiac output measurement in hemodynamically stable participants. J. Intensive Care Med. 2020, 35, 650–655. [Google Scholar] [CrossRef]
- La Via, L.; Vasile, F.; Perna, F.; Zawadka, M. Prediction of fluid responsiveness in critical care: Current evidence and future perspective. Trends Anaesth. Crit. Care 2024, 54, 101316. [Google Scholar] [CrossRef]
- Gassner, M.; Killu, K.; Bauman, Z.; Coba, V.; Rosso, K.; Blyden, D. Feasibility of common carotid artery point of care ultrasound in cardiac output measurements compared to invasive methods. J. Ultrasound 2015, 18, 127–133. [Google Scholar] [CrossRef]
- Ibarra-Estrada, M.Á.; López-Pulgarín, J.A.; Mijangos-Méndez, J.C.; Díaz-Gómez, J.L.; Aguirre-Avalos, G. Respiratory variation in carotid peak systolic velocity predicts volume responsiveness in mechanically ventilated patients with septic shock: A prospective cohort study. Crit. Ultrasound J. 2015, 7, 29. [Google Scholar] [CrossRef]
- Ma, I.W.Y.; Caplin, J.D.; Azad, A.; Wilson, C.; Fifer, M.A.; Bagchi, A.; Liteplo, A.S.; Noble, V.E. Correlation of carotid blood flow and corrected carotid flow time with invasive cardiac output measurements. Crit. Ultrasound J. 2017, 9, 10. [Google Scholar] [CrossRef] [PubMed]
- Roehrig, C.; Govier, M.; Robinson, J.; Aneman, A. Carotid Doppler flowmetry correlates poorly with thermodilution cardiac output following cardiac surgery. Acta Anaesthesiol. Scand. 2017, 61, 31–38. [Google Scholar] [CrossRef] [PubMed]
- Barjaktarevic, I.; Toppen, W.E.; Hu, S.; Montoya, E.A.; Ong, S.; Buhr, R.; David, I.J.; Wang, T.; Rezayat, T.; Chang, S.Y.; et al. Ultrasound assessment of the change in carotid corrected flow time in fluid responsiveness in undifferentiated shock. Crit. Care Med. 2018, 46, e1040–e1046. [Google Scholar] [CrossRef] [PubMed]
- Antiperovitch, P.; Iliescu, E.; Chan, B. Carotid systolic flow time with passive leg raise correlates with fluid status changes in patients undergoing dialysis. J. Crit. Care 2017, 39, 83–86. [Google Scholar] [CrossRef]
- Stolz, L.A.; Mosier, J.M.; Gross, A.M.; Douglas, M.J.; Blaivas, M.; Adhikari, S. Can emergency physicians perform common carotid Doppler flow measurements to assess volume responsiveness? West. J. Emerg. Med. 2015, 16, 255–259. [Google Scholar] [CrossRef]
- Bazett, H. An analysis of the time-relations of the electrocardiograms. Heart 1920, 7, 353–370. [Google Scholar] [CrossRef]
- Girotto, V.; Teboul, J.-L.; Beurton, A.; Galarza, L.; Guedj, T.; Richard, C.; Monnet, X. Carotid and femoral Doppler do not allow the assessment of passive leg raising effects. Ann. Intensive Care 2018, 8, 67. [Google Scholar] [CrossRef]
- van Houte, J.; Mooi, F.J.; Montenij, L.J.; Meijs, L.P.; Suriani, I.; Conjaerts, B.C.; Houterman, S.; Bouwman, A.R. Correlation of Carotid Doppler Blood Flow With Invasive Cardiac Output Measurements in Cardiac Surgery Patients. J. Cardiothorac. Vasc. Anesth. 2022, 36, 1081–1091. [Google Scholar] [CrossRef]
- Arango-Granados, M.C.; Quintero-Ramírez, J.A.; Mejía-Herrera, F.; Henao-Cardona, L.M.; Muñoz-Patiño, V.; Bustamante-Cristancho, L.A. Correlation and concordance of caotid Doppler ultrasound and echocardiography with invasive cardiac output measurement in critically ill patients. Intensive Care Med. Exp. 2024, 12, 69. [Google Scholar] [CrossRef]
- van Houte, J.; Raaijmaakers, A.E.; Mooi, F.J.; Meijs, L.P.B.; de Boer, E.C.; Suriani, I.; Houterman, S.; Montenij, L.J.; Bouwman, A.R. Evaluating corrected carotid flow time as a non-invasive parameter for trending cardiac output and stroke volume in cardiac surgery patients. J. Ultrasound 2023, 26, 89–97. [Google Scholar] [CrossRef]
- Beier, L.; Davis, J.; Esener, D.; Grant, C.; Fields, J.M. Carotid Ultrasound to Predict Fluid Responsiveness, A systematic review. J. Ultrasound Med. 2020, 39, 1965–1976. [Google Scholar] [CrossRef]







| (n) | (%) | |
|---|---|---|
| Males | 38 | 76 |
| Hypertension | 29 | 58 |
| Abnormal HDL | 25 | 50 |
| Coronary Artery Disease | 18 | 36 |
| Diabetes Mellitus | 29 | 16 |
| Total | 50 |
| Variable | Initial Assessment β (95% Confidence Interval) | One-hour Assessment β (95% Confidence Interval) | ||
|---|---|---|---|---|
| Cardiac Output | Cardiac Index | Cardiac Output | Cardiac Index | |
| Model 1 (Unadjusted) | ||||
| Carotid Blood Flow | 0.08 (−0.22, 0.38) | −0.08 (−0.39, 0.22) | 0.02 (−0.29, 0.32) | 0.04 (−0.27, 0.35) |
| Corrected Flow Time | 0.09 (−0.22, 0.39) | 0.10 (0.20, 0.40) | 0.02 (−0.28, 0.33) | 0.01 (0.29, 0.32) |
| Respiratory Peak Variation | −0.18 (−0.48, 0.11) | −0.18 (−0.48, 0.12) | 0.24 (−0.06, 0.54) | 0.18 (−0.12, 0.48) |
| Model 2 (Adjusted) | ||||
| Carotid Blood Flow | 0.12 (−0.22, 0.46) | −0.05 (−0.38, 0.29) | −0.15 (−0.44, 0.14) | −0.10 (−0.41, 0.21) |
| Corrected Flow Time | 0.13 (−0.19, 0.46) | 0.14 (−0.17, 0.46) | 0.06 (−0.23, 0.35) | 0.06 (−0.24, 0.37) |
| Respiratory Peak Variation | −0.18 (−0.51, 0.15) | −0.15 (−0.47, 0.17) | 0.14 (−0.16, 0.46) | 0.06 (−0.26, 0.38) |
Disclaimer/Publisher’s Note: The statements, opinions and data contained in all publications are solely those of the individual author(s) and contributor(s) and not of MDPI and/or the editor(s). MDPI and/or the editor(s) disclaim responsibility for any injury to people or property resulting from any ideas, methods, instructions or products referred to in the content. |
© 2025 by the authors. Licensee MDPI, Basel, Switzerland. This article is an open access article distributed under the terms and conditions of the Creative Commons Attribution (CC BY) license (https://creativecommons.org/licenses/by/4.0/).
Share and Cite
Srivastava, A.; Tam, C.; Sethi, S.; Gaudino, M.; Rippon, B.; Baidya, J.; Rastogi, S.; Lopes, A.; Kasubhai, A.; Pryor, K.; et al. Carotid Doppler Imaging as a Marker for Fluid Responsiveness. J. Clin. Med. 2025, 14, 6657. https://doi.org/10.3390/jcm14186657
Srivastava A, Tam C, Sethi S, Gaudino M, Rippon B, Baidya J, Rastogi S, Lopes A, Kasubhai A, Pryor K, et al. Carotid Doppler Imaging as a Marker for Fluid Responsiveness. Journal of Clinical Medicine. 2025; 14(18):6657. https://doi.org/10.3390/jcm14186657
Chicago/Turabian StyleSrivastava, Ankur, Christopher Tam, Samir Sethi, Mario Gaudino, Brady Rippon, Joydeep Baidya, Sanya Rastogi, Alexandra Lopes, Avika Kasubhai, Kane Pryor, and et al. 2025. "Carotid Doppler Imaging as a Marker for Fluid Responsiveness" Journal of Clinical Medicine 14, no. 18: 6657. https://doi.org/10.3390/jcm14186657
APA StyleSrivastava, A., Tam, C., Sethi, S., Gaudino, M., Rippon, B., Baidya, J., Rastogi, S., Lopes, A., Kasubhai, A., Pryor, K., & Osorio, J. (2025). Carotid Doppler Imaging as a Marker for Fluid Responsiveness. Journal of Clinical Medicine, 14(18), 6657. https://doi.org/10.3390/jcm14186657

