Clinicopathological Evaluation of Cholesterolosis in Cholecystitis: Histopathological Patterns and Metabolic Correlates
Abstract
1. Introduction
2. Materials and Methods
2.1. Subjects and Inclusion/Exclusion Criteria
2.2. Histopathological Examination
2.3. Statistical Analysis
3. Results
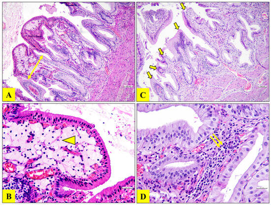
3.1. Histopathological Results
3.2. Association of Cholesterolosis with Age, Gender, Gallstones, Acute Attack, and Diabetes Mellitus
3.3. Glycemic Parameters in Chronic Cholecystitis Patients
3.4. Hematological Parameters in Chronic Cholecystitis Patients
3.5. Correlation of Hematological Parameters and Inflammatory Indices with Glycemic Parameter
4. Discussion
Author Contributions
Funding
Institutional Review Board Statement
Informed Consent Statement
Data Availability Statement
Conflicts of Interest
Abbreviations
| FBG | Fasting blood glucose |
| ACAT | Acyl-CoA cholesterol acyltransferase |
| NCEH1 | Neutral cholesteryl ester hydrolase 1 |
| ABCA1 | ATP-binding cassette transporter A1 |
| DPP-4i | dipeptidyl peptidase 4 inhibitors |
| GLP-1 RA | Glucagon-like peptide-1 receptor agonists |
| HbA1c | Glycated Hemoglobin |
| Neu | Neutrophils |
| Lym | Lymphocytes |
| PLT | Platelets |
| Mon | Monocytes |
| NLR | Neutrophil-to-Lymphocyte Ratio |
| LMR | Lymphocyte-to-Monocyte Ratio |
| PLR | Platelet-to-Lymphocyte Ratio |
| SII | Systemic Immune-Inflammation Index |
References
- Hamasha, R.; Gonzalez, R. Cholesterolosis. Available online: https://www.pathologyoutlines.com/topic/gallbladdercholesterolosis.html (accessed on 4 June 2023).
- Dairi, S.; Demeusy, A.; Sill, A.M.; Patel, S.T.; Kowdley, G.C.; Cunningham, S.C. Implications of gallbladder cholesterolosis and cholesterol polyps? J. Surg. Res. 2016, 200, 467–472. [Google Scholar] [CrossRef]
- Taskin, O.C.; Bellolio, E.; Dursun, N.; Seven, I.E.; Roa, J.C.; Araya, J.C.; Villaseca, M.; Tapia, O.; Vance, C.; Saka, B. Non-neoplastic polyps of the gallbladder: A clinicopathologic analysis of 447 cases. Am. J. Surg. Pathol. 2020, 44, 467. [Google Scholar] [CrossRef] [PubMed]
- Akbulut, S.; Uylas, U.; Tolan, K.; Samdanci, E.; Araci, A.; Isik, B.; Yologlu, S.; Yilmaz, S. Is there any relationship between clinical parameters and histopathologic features of gallbladder specimens obtained from living liver donors? Niger. J. Clin. Pr. 2019, 22, 1002–1007. [Google Scholar] [CrossRef] [PubMed]
- Wang, J.M.; Wang, D.; Tan, Y.Y.; Zhao, G.; Ji, Z.L. Pioglitazone reduces lipid droplets in cholesterolosis of the gallbladder by increasing ABCA1 and NCEH1 expression. Mol. Cell. Biochem. 2015, 399, 7–15. [Google Scholar] [CrossRef] [PubMed]
- Dharuri, H.; t Hoen, P.A.; van Klinken, J.B.; Henneman, P.; Laros, J.F.; Lips, M.A.; El Bouazzaoui, F.; van Ommen, G.J.; Janssen, I.; van Ramshorst, B.; et al. Downregulation of the acetyl-CoA metabolic network in adipose tissue of obese diabetic individuals and recovery after weight loss. Diabetologia 2014, 57, 2384–2392. [Google Scholar] [CrossRef]
- Malik, D.G.; Dahiya, N.; Lubner, M.G.; Pickhardt, P.; Elsayes, K.M.; Robinson, K.A.; Menias, C.O. Spectrum of imaging findings in hyperplastic cholecystosis and potential mimics. Abdom. Radiol. 2023, 48, 47–62. [Google Scholar] [CrossRef]
- Petrushenko, V.; Grebeniuk, D.; Liakhovchenko, N.; Gormash, P. Gallbladder cholesterolosis in patients with metabolic syndrome and chronic pancreatitis. Rep. Morphol. 2021, 27, 58–65. [Google Scholar] [CrossRef]
- Leng, S.; Zhao, A.; Li, Q.; Pei, L.; Zheng, W.; Liang, R.; Yan, H. Metabolic status and lifestyle factors associated with gallbladder polyps: A covariance structure analysis. BMC Gastroenterol. 2018, 18, 159. [Google Scholar] [CrossRef]
- Lu, W.-J.; Liu, C.-S.; Li, H.-Y.; Zang, L.-L.; Meng, F.-Z.; Liu, J.-H. Clinical factors associated with the number of gallbladder polyps. Chin. Med. J. 2020, 133, 2751–2752. [Google Scholar] [CrossRef]
- Uyan, M.; Sen, B.; Arpa, M.; Okcu, O. The effect of high serum lipid level on benign gallbladder diseases. Medicine 2022, 11, 789–793. [Google Scholar] [CrossRef]
- Yoon, J.H.; Kim, Y.J.; Baik, G.H.; Kim, Y.S.; Suk, K.T.; Kim, J.B.; Kim, D.L. The Impact of Body Mass Index as a Predictive Factor of Steatocholecystitis. Hepato-Gastroenterology 2014, 61, 902–907. [Google Scholar] [CrossRef] [PubMed]
- Tsai, C.-J. Steatocholecystitis and fatty gallbladder disease. Dig. Dis. Sci. 2009, 54, 1857–1863. [Google Scholar] [CrossRef]
- Serban, D.; Balasescu, S.A.; Alius, C.; Balalau, C.; Sabau, A.D.; Badiu, C.D.; Socea, B.; Trotea, A.M.; Dascalu, A.M.; Motofei, I. Clinical and therapeutic features of acute cholecystitis in diabetic patients. Exp. Ther. Med. 2021, 22, 758. [Google Scholar] [CrossRef] [PubMed]
- Dolanbay, T.; Şahin, L.; Gül, H.F.; Aras, M.; Atalay, E.; Aras, G.G.; Anuk, T.; Evran, M.; Akbaş, İ.; Canbaz, H. Relationship Between Diabetes and Acalculose Cholestitis in the Elderly. Eurasian J. Emerg. Med. 2024, 23, 143–148. [Google Scholar] [CrossRef]
- Yaylak, F.; Deger, A.; Ucar, B.I.; Sonmez, Y.; Bayhan, Z.; Yetisir, F. Cholesterolosis in routine histopathological examination after cholecystectomy: What should a surgeon behold in the reports? Int. J. Surg. 2014, 12, 1187–1191. [Google Scholar] [CrossRef]
- Zhang, Y.; Xue, Y.; Zhang, D.; Liu, Y.; Xu, Z.; Gao, J.; Li, W.; Li, X. Effect of vitamin D supplementation on glycemic control in prediabetes: A meta-analysis. Nutrients 2021, 13, 4464. [Google Scholar] [CrossRef]
- Yu, M.; Yang, Z.; Chen, C.; Lv, Y.; Xiang, L.; Zhao, S.; Li, R. Association of the gallbladder or biliary diseases with dipeptidyl peptidase 4 inhibitors in patients with type 2 diabetes: A meta-analysis of randomized controlled trials. Diabetol. Metab. Syndr. 2022, 14, 153. [Google Scholar] [CrossRef]
- Woronow, D.; Chamberlain, C.; Niak, A.; Avigan, M.; Houstoun, M.; Kortepeter, C. Acute cholecystitis associated with the use of glucagon-like peptide-1 receptor agonists reported to the US Food and Drug Administration. JAMA Intern. Med. 2022, 182, 1104–1106. [Google Scholar] [CrossRef]
- He, L.; Wang, J.; Li, Z.; Li, Y.; Zhang, H. Dipeptidyl peptidase 4 inhibitors and gallbladder or biliary diseases: Data from the US Food and Drug Administration Adverse Event Reporting System. Diabetes Care 2023, 46, e72–e73. [Google Scholar] [CrossRef] [PubMed]
- Gameil, M.A.; Yousef, E.A.A.M.; Marzouk, R.E.; Emara, M.H.; Abdelkader, A.H.; Salama, R.I. The relative risk of clinically relevant cholelithiasis among glucagon-like peptide-1 receptor agonists in patients with type 2 diabetes mellitus, real-world study. Diabetol. Metab. Syndr. 2024, 16, 293. [Google Scholar] [CrossRef]
- He, L.; Li, J.; Cheng, X.; Luo, L.; Huang, Y. Association between GLP-1 RAs and DPP-4 inhibitors with biliary disorders: Pharmacovigilance analysis. Front. Pharmacol. 2025, 16, 1509561. [Google Scholar] [CrossRef] [PubMed]
- Terasaki, M.; Yashima, H.; Mori, Y.; Saito, T.; Matsui, T.; Hiromura, M.; Kushima, H.; Osaka, N.; Ohara, M.; Fukui, T. A dipeptidyl peptidase-4 inhibitor inhibits foam cell formation of macrophages in type 1 diabetes via suppression of CD36 and ACAT-1 expression. Int. J. Mol. Sci. 2020, 21, 4811. [Google Scholar] [CrossRef]
- Han, T.; Lv, Y.; Wang, S.; Hu, T.; Hong, H.; Fu, Z. Pioglitazone prevents cholesterol gallstone formation through the regulation of cholesterol homeostasis in guinea pigs with a lithogenic diet. Lipids Health Dis. 2019, 18, 218. [Google Scholar] [CrossRef]
- Mohan, H.; Punia, R.; Dhawan, S.; Ahal, S.; Sekhon, M. Morphological spectrum of gallstone disease in 1100 cholecystectomies in North India. Indian J. Surg. 2005, 67, 140–142. [Google Scholar]
- Sharashkina, N.; Martirosyan, I.; Limborska, S.; Ryskov, A. Gallstone disease and cholesterolosis in monozygotic twin sisters. Balk. J. Med. Genet. 2007, 10, 39. [Google Scholar][Green Version]
- Pramfalk, C.; Eriksson, M.; Parini, P. Cholesteryl esters and ACAT. Eur. J. Lipid Sci. Technol. 2012, 114, 624–633. [Google Scholar] [CrossRef]
- Yoo, K.-S.; Choi, H.S.; Jun, D.W.; Lee, H.L.; Lee, O.Y.; Yoon, B.C.; Lee, K.G.; Paik, S.S.; Kim, Y.S.; Lee, J. MUC expression in gallbladder epithelial tissues in cholesterol-associated gallbladder disease. Gut Liver 2016, 10, 851. [Google Scholar] [CrossRef]
- Beena, D.; Shetty, J.; Jose, V. Histopathological spectrum of diseases in gallbladder. Natl. J. Lab. Med. 2017, 6, 6–9. [Google Scholar]
- Dincel, O.; Goksu, M.; Hatipoglu, H.S. Therapeutics. Importance of routine histopathological examination of a gallbladder surgical specimen: Unexpected gallbladder cancer. J. Cancer Res. Ther. 2018, 14, 1325–1329. [Google Scholar] [CrossRef] [PubMed]
- O’Rourke, L.; Grønning, L.M.; Yeaman, S.J.; Shepherd, P.R. Glucose-dependent regulation of cholesterol ester metabolism in macrophages by insulin and leptin. J. Biol. Chem. 2002, 277, 42557–42562. [Google Scholar] [CrossRef]
- Kanter, J.E.; Hsu, C.-C.; Bornfeldt, K.E. Monocytes and macrophages as protagonists in vascular complications of diabetes. Front. Cardiovasc. Med. 2020, 7, 10. [Google Scholar] [CrossRef] [PubMed]


| Cholesterolosis | Non-Cholesterolosis | p Value | |
|---|---|---|---|
| Age (years) | 53.09 ± 11.2 | 53.16 ± 13.96 | 0.970 a |
| Gender | |||
| Male (n) | 11 (15.9%) | 46 (25%) | 0.125 b |
| Female (n) | 58 (84.1%) | 138 (75%) | |
| Total% | 69 (100%) | 184 (100%) | |
| Gallstone | |||
| Positive (n) | 41 (59.4%) | 138 (75%) | * 0.015 b |
| Negative (n) | 28 (40.6%) | 46 (25%) | |
| Total% | 69 (100%) | 184 (100%) | |
| Acute attack | |||
| Positive (n) | 2 (2.9%) | 5 (2.7%) | 1.000 b |
| Negative (n) | 67 (97.1%) | 179 (97.3%) | |
| Total% | 69 (100%) | 184 (100%) | |
| Diabetes | |||
| Diabetic (n) | 30 (43.5%) | 93 (50.5%) | 0.604 b |
| Prediabetic (n) | 26 (37.7%) | 60 (32.6%) | |
| Normal (n) | 13 (18.8%) | 31 (16.8%) | |
| Total% | 69 (100%) | 184 (100%) | |
| HbA1c (%) | 6.35 ± 1.33 | 6.10 ± 0.94 | 0.229 c |
| FBG (mg/dL) | 129.58 ± 46.75 | 120.85 ± 31.38 | 0.236 c |
| Neu (103/μL) | 4.71 ± 2.04 | 4.98 ± 2.48 | 0.858 c |
| Lym (103/μL) | 2.34 ± 0.84 | 2.44 ± 0.75 | 0.098 c |
| PLT (103/μL) | 268.26 ± 71.83 | 266.47 ± 67.87 | 0.230 c |
| Mon (103/μL) | 0.48 ± 0.19 | 0.56 ± 0.31 | 0.213 c |
| NLR | 2.37 ± 0.16 | 2.34 ± 0.24 | 0.279 c |
| LMR | 5.68 ± 0.38 | 5.18 ± 0.29 | 0.990 c |
| PLR | 129.29 ± 5.05 | 119.74 ± 5.78 | 0.522 c |
| SII | 642.76 ± 48.09 | 627.64 ± 69.21 | 0.569 c |
| Diabetic | |||
| Cholesterolosis | Non-Cholesterolosis | p Value | |
| HbA1c (%) | 6.67 ± 1.03 | 7.12 ± 1.47 | 0.263 c |
| FBG (mg/dL) | 129.04 ± 28.02 | 158.41 ± 54.23 | * 0.009 c |
| Neu (103/μL) | 4.99 ± 3.06 | 5.08 ± 2.43 | 0.483 c |
| Lym (103/μL) | 2.50 ± 0.95 | 2.34 ± 0.96 | 0.483 c |
| PLT (103/μL) | 280.77 ± 64.56 | 266.47 ± 83.54 | 0.214 c |
| Mon (103/μL) | 0.60 ± 0.45 | 0.50 ± 0.19 | 0.578 c |
| NLR | 2.33 ± 0.44 | 2.79 ± 0.30 | 0.281 c |
| LMR | 5.71 ± 0.68 | 5.13 ± 0.26 | 0.506 c |
| PLR | 125.08 ± 7.97 | 133.82 ± 8.59 | 0.617 c |
| SII | 655.31 ± 119.69 | 733.50 ± 86.82 | 0.621 c |
| Pre-diabetic | |||
| Cholesterolosis | Non-cholesterolosis | p value | |
| HbA1c (%) | 5.60 ± 0.28 | 5.71 ± 0.35 | 0.197 c |
| FBG (mg/dL) | 111.07 ± 6.03 | 108.54 ± 6.73 | 0.056 c |
| Neu (103/μL) | 4.98 ± 1.65 | 4.73 ± 1.87 | 0.342 c |
| Lym (103/μL) | 2.58 ± 0.78 | 2.30 ± 0.68 | * 0.049 c |
| PLT (103/μL) | 282.92 ± 77.62 | 260.55 ± 55.72 | 0.308 c |
| Mon (103/μL) | 0.52 ± 0.13 | 0.48 ± 0.19 | 0.147 c |
| NLR | 2.31 ± 0.41 | 2.14 ± 0.13 | 0.579 c |
| LMR | 5.15 ± 0.35 | 6.36 ± 1.05 | 0.767 c |
| PLR | 125.17 ± 13.50 | 123.16 ± 5.90 | 0.397 c |
| SII | 686.16 ± 136.74 | 580.62 ± 41.58 | 0.728 c |
| Normal | |||
| Cholesterolosis | Non-cholesterolosis | p value | |
| HbA1c (%) | 5.51 ± 0.27 | 5.35 ± 0.32 | 0.175 c |
| FBG (mg/dL) | 94.45 ± 4.31 | 93.87 ± 4.87 | 0.907 c |
| Neu (103/μL) | 4.17 ± 0.90 | 3.97 ± 1.38 | 0.505 c |
| Lym (103/μL) | 2.37 ± 0.55 | 2.33 ± 0.53 | 0.886 c |
| PLT (103/μL) | 253.15 ± 56.03 | 262.83 ± 56.47 | 0.522 c |
| Mon (103/μL) | 0.50 ± 0.18 | 0.46 ± 0.17 | 0.705 c |
| NLR | 1.83 ± 0.15 | 1.79 ± 0.11 | 0.824 c |
| LMR | 5.20 ± 0.60 | 5.41 ± 0.34 | 0.610 c |
| PLR | 113.64 ± 13.26 | 117.66 ± 6.02 | 0.243 c |
| SII | 474.60 ± 58.23 | 474.42 ± 42.05 | 1.000 c |
| All Cases FBG | Diabetic Cases FBG | Pre-Diabetic Cases FBG | Normal Cases FBG | ||
|---|---|---|---|---|---|
| Neu | r | 0.167 | 0.136 | 0.176 | −0.061 |
| p | * 0.008 | 0.133 | 0.105 | 0.698 | |
| Lym | r | 0.015 | 0.036 | 0.040 | −0.040 |
| p | 0.816 | 0.691 | 0.716 | 0.798 | |
| PLT | r | 0.016 | −0.018 | 0.011 | −0.165 |
| p | 0.805 | 0.840 | 0.917 | 0.290 | |
| Mon | r | 0.085 | 0.078 | 0.124 | −0.370 |
| p | 0.177 | 0.389 | 0.254 | 0.015 | |
| NLR | r | 0.120 | 0.067 | 0.072 | −0.051 |
| p | 0.057 | 0.464 | 0.507 | 0.747 | |
| LMR | r | −0.040 | 0.008 | −0.058 | 0.225 |
| p | 0.523 | 0.930 | 0.599 | 0.147 | |
| PLR | r | −0.013 | −0.098 | −0.048 | −0.055 |
| p | 0.833 | 0.283 | 0.662 | 0.726 | |
| SII | r | 0.096 | 0.000 | 0.090 | −0.087 |
| p | 0.126 | 0.998 | 0.409 | 0.580 | |
Disclaimer/Publisher’s Note: The statements, opinions and data contained in all publications are solely those of the individual author(s) and contributor(s) and not of MDPI and/or the editor(s). MDPI and/or the editor(s) disclaim responsibility for any injury to people or property resulting from any ideas, methods, instructions or products referred to in the content. |
© 2025 by the authors. Licensee MDPI, Basel, Switzerland. This article is an open access article distributed under the terms and conditions of the Creative Commons Attribution (CC BY) license (https://creativecommons.org/licenses/by/4.0/).
Share and Cite
Fındık, D.G.; Şahin, E.; Türelik, Ö. Clinicopathological Evaluation of Cholesterolosis in Cholecystitis: Histopathological Patterns and Metabolic Correlates. J. Clin. Med. 2025, 14, 6500. https://doi.org/10.3390/jcm14186500
Fındık DG, Şahin E, Türelik Ö. Clinicopathological Evaluation of Cholesterolosis in Cholecystitis: Histopathological Patterns and Metabolic Correlates. Journal of Clinical Medicine. 2025; 14(18):6500. https://doi.org/10.3390/jcm14186500
Chicago/Turabian StyleFındık, Damla Gül, Erhan Şahin, and Özlem Türelik. 2025. "Clinicopathological Evaluation of Cholesterolosis in Cholecystitis: Histopathological Patterns and Metabolic Correlates" Journal of Clinical Medicine 14, no. 18: 6500. https://doi.org/10.3390/jcm14186500
APA StyleFındık, D. G., Şahin, E., & Türelik, Ö. (2025). Clinicopathological Evaluation of Cholesterolosis in Cholecystitis: Histopathological Patterns and Metabolic Correlates. Journal of Clinical Medicine, 14(18), 6500. https://doi.org/10.3390/jcm14186500

