Seeing the Stricture Clearly: Independent Determinants of Sonourethrography Precision in Urethral Stricture Disease
Abstract
1. Introduction
2. Materials and Methods
2.1. Study Design and Population
- Clinically significant meatal stenosis that prevented placement and balloon anchorage of a 14 Ch Foley catheter in the fossa navicularis, a prerequisite for saline instillation during SUG. If such stenosis co-existed with a more proximal stricture, the patient was still excluded for this technical reason. Balanitis xerotica obliterans (BXO) in itself was not an exclusion criterion; men with BXO were included, provided the meatus could accommodate the catheter.
- Complete urethral obliteration in which the proximal edge of the stricture could not be identified on ultrasound,
- Treatment modalities other than open reconstructive urethroplasty (e.g., patients opting out of surgery or managed with dilation only).
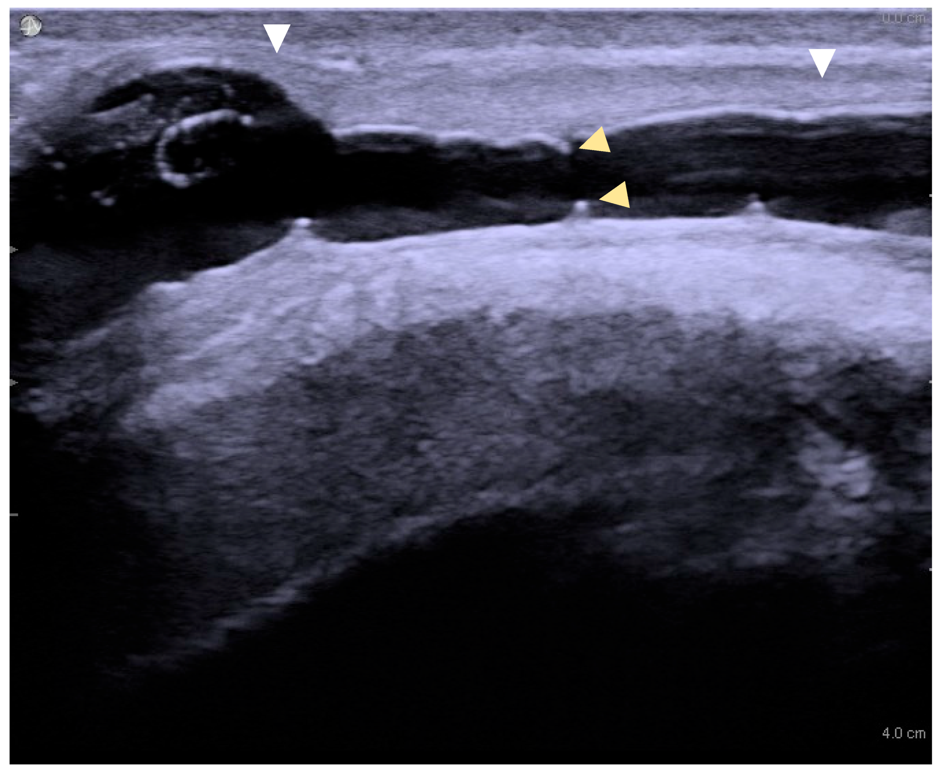
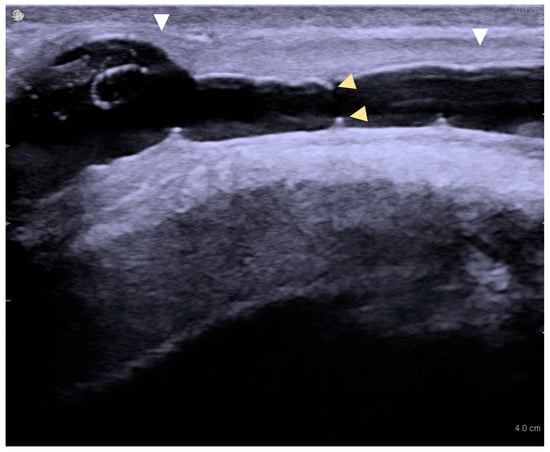
2.2. Sonourethrography Protocol
- 3.
- The external urethral meatus was disinfected.
- 4.
- Catheter placement: A 14 Ch Foley catheter was introduced gently into the urethra. The Foley balloon was filled with approximately 2 mL of normal saline and secured within the fossa navicularis to prevent fluid leakage.
- 5.
- Saline distension: Next, the urethra was infused with 0.9% normal saline solution.
2.3. Data Collection
2.4. Statistical Analysis
3. Results
3.1. Patient Demographics and Stricture Characteristics
3.2. Comorbidities and Impact on Imaging
3.3. Stricture-Specific Variables
3.4. Ultrasonographic Variables
3.5. Intraoperative Correlations
4. Discussion
5. Conclusions
Author Contributions
Funding
Institutional Review Board Statement
Informed Consent Statement
Data Availability Statement
Acknowledgments
Conflicts of Interest
References
- Hampson, L.A.; McAninch, J.W.; Breyer, B.N. Male urethral strictures and their management. Nat. Rev. Urol. 2014, 11, 43–50. [Google Scholar] [CrossRef] [PubMed]
- Andrich, D.E.; Mundy, A.R. Urethral strictures: Aetiology, pathophysiology and principles of treatment. BJU Int. 2011, 107 (Suppl. S2), 6–26. [Google Scholar] [CrossRef]
- Santucci, R.A.; Joyce, G.F.; Wise, M. Male urethral stricture disease. J. Urol. 2007, 177, 1667–1674. [Google Scholar] [CrossRef] [PubMed]
- Füehner, C.; Dahlem, R.; Fisch, M.; Vetterlein, M.W. Update on managing anterior urethral strictures. Indian. J. Urol. 2019, 35, 94–100. [Google Scholar] [CrossRef]
- Rourke, K.; Hickle, J. The clinical spectrum of the presenting signs and symptoms of anterior urethral stricture: Detailed analysis of a single institutional cohort. Urology 2012, 79, 1163–1167. [Google Scholar] [CrossRef]
- Alwaal, A.; Blaschko, S.; McAninch, J.; Breyer, B. Epidemiology of urethral strictures. Transl. Androl. Urol. 2014, 3, 209–213. [Google Scholar] [CrossRef]
- Barbagli, G.; Fossati, N.; Montorsi, F.; Balò, S.; Rimondi, C.; Larcher, A.; Sansalone, S.; Butnaru, D.; Lazzeri, M. Focus on Internal Urethrotomy as Primary Treatment for Untreated Bulbar Urethral Strictures: Results from a Multivariable Analysis. Eur. Urol. Focus 2020, 6, 164–169. [Google Scholar] [CrossRef]
- McGeorge, S.; Chung, A.; Desai, D.J. Trends in urethral stricture management over two decades. BJU Int. 2019, 124 (Suppl. S1), 37–41. [Google Scholar] [CrossRef]
- Fourel, M.; Madec, F.X.; Karsenty, G.; Puyuelo, O.; Marcelli, F.; Morel-Journel, N. Treatment of strictures of the male anterior urethra: Bulbar urethra. Fr. J. Urol. 2024, 34, 102714. [Google Scholar] [CrossRef]
- Santiago, J.E.; Gross, M.D.; Accioly, J.P.; Voelzke, B.B.; Breyer, B.N.; Khouri, R.K.; DeWitt-Foy, M.E.; Angermeier, K.W.; Wood, H.M. Decision regret and long-term success rates after ventral buccal mucosa graft urethroplasty. BJU Int. 2025, 135, 303–309. [Google Scholar] [CrossRef]
- Lumen, N.; Campos-Juanatey, F.; Greenwell, T.; Martins, F.E.; Osman, N.I.; Riechardt, S.; Waterloos, M.; Barratt, R.; Chan, G.; Esperto, F.; et al. European Association of Urology guidelines on urethral stricture disease (Part 1): Management of male urethral stricture disease. Eur. Urol. 2021, 80, 190–200. [Google Scholar] [CrossRef] [PubMed]
- Kawashima, A.; Sandler, C.M.; Wasserman, N.F.; LeRoy, A.J.; King, B.F., Jr.; Goldman, S.M. Imaging of urethral disease: A pictorial review. Radiographics 2004, 24 (Suppl. S1), S195–S216. [Google Scholar] [CrossRef] [PubMed]
- Krukowski, J.; Kałuzny, A.; Kłącz, J.; Matuszewski, M. Comparison between cystourethrography and sonourethrography in preoperative diagnostic management of patients with anterior urethral strictures. Med. Ultrason. 2018, 20, 436–440. [Google Scholar] [CrossRef]
- Orakzai, J.Z.; Nighat, S.; Sharif, S.; Zahra, M. A comparison of sonourethrography and retrograde urethrography in evaluation of anterior urethral strictures: Sonourethrography and retrograde urethrography in evaluation of anterior urethral strictures. Pak. BioMed J. 2022, 5, 204–207. [Google Scholar] [CrossRef]
- Tao, W.; Bai, G.; Fu, G.; Niu, X.; Wang, H.; Wang, G. MR urethrography versus X-ray urethrography compared with operative findings for the evaluation of urethral strictures. Int. Urol. Nephrol. 2019, 51, 1137–1143. [Google Scholar] [CrossRef]
- McAninch, J.W.; Laing, F.C.; Jeffrey, R.B., Jr. Sonourethrography in the evaluation of urethral strictures: A preliminary report. J. Urol. 1988, 139, 294–297. [Google Scholar] [CrossRef]
- Morey, A.F.; McAninch, J.W. Role of pre-operative sonourethrography in bulbar urethral reconstruction. J. Urol. 1997, 158, 1376–1379. [Google Scholar] [CrossRef]
- Choudhary, S.; Singh, P.; Sundar, E.; Kumar, S.; Sahai, A. A comparison of sonourethrography and retrograde urethrography in evaluation of anterior urethral strictures. Clin. Radiol. 2004, 59, 736–742. [Google Scholar] [CrossRef]
- Peskar, D.B.; Perovič, A.V. Comparison of radiographic and sonographic urethrography for assessing urethral strictures. Eur. Radiol. 2004, 14, 137–144. [Google Scholar] [CrossRef]
- Buckley, J.C.; Wu, A.K.; McAninch, J.W. Impact of urethral ultrasonography on decision-making in anterior urethroplasty. BJU Int. 2012, 109, 438–442. [Google Scholar] [CrossRef]
- Morey, A.F.; McAninch, J.W. Sonographic staging of anterior urethral strictures. J. Urol. 2000, 163, 1070–1075. [Google Scholar] [CrossRef] [PubMed]
- Chung, P.H.; Leong, J.Y.; Machado, P.; Wessner, C.E.; Trabulsi, E.J.; Halpern, E.J.; Eisenbrey, J.R.; Forsberg, F. Contrast-Enhanced Ultrasound and Shear Wave Elastography: Novel Methods for the Evaluation of Urethral Stricture Disease. J. Urol. 2022, 207, 152–160. [Google Scholar] [CrossRef] [PubMed]
- Campos-Juanatey, F.; Osman, N.I.; Greenwell, T.; Martins, F.E.; Riechardt, S.; Waterloos, M.; Barratt, R.; Chan, G.; Esperto, F.; Ploumidis, A.; et al. European Association of Urology Guidelines on Urethral Stricture Disease (Part 2): Diagnosis, Perioperative Management, and Follow-up in Males. Eur. Urol. 2021, 80, 201–212. [Google Scholar] [CrossRef] [PubMed]
- Kumsar, S.; Saglam, H.S.; Kose, O.; Budak, S.; Adsan, O. Relationship between development of urethral stricture after TUR-P and glycaemic control. Urol. Ann. 2014, 6, 321–324. [Google Scholar] [CrossRef]
- Asfuroglu, A.; Balci, M.; Koseoglu, B.; Senel, C.; Ozercan, A.Y.; Aykanat, I.C.; Yildizhan, M.; Guzel, O.; Aslan, Y.; Tuncel, A. Male urethral stricture in patients with metabolic syndrome. Urol. Res. Pract. 2023, 49, 131–137. [Google Scholar] [CrossRef]
- Tembhekar, N.G.; Sonawane, B.D.; Mashirkar, A.; Titare, P.U.; Anand, A.; Rathod, P.B. Sonourethrographic assessment of urethral obstruction and its limits in posterior strictures. J. Evol. Med. Dent. Sci. 2014, 3, 13978–13983. [Google Scholar] [CrossRef]
- Anamag, F.T.; Sedigh, O.; Tarzamni, M.K.; Mohammadi, M.; Buffi, N.M.; Palminteri, E.; Soleimanzadeh, F.; Hosseini, J. Shear wave elastography in assessing spongiofibrosis of urethral stricture. Ultrasound Med. Biol. 2024, 50, 487–495. [Google Scholar]
- Feng, C.; Lu, Q.J.; Xue, J.D.; Shu, H.Q.; Sa, Y.L.; Xu, Y.M.; Chen, L. Optimizing anterior urethral stricture assessment: Leveraging AI-assisted three-dimensional sonourethrography in clinical practice. Int. Urol. Nephrol. 2024, 56, 3783–3790. [Google Scholar] [CrossRef]
- Frankiewicz, M.; Vetterlein, M.W.; Markiet, K.; Adamowicz, J.; Campos-Juanatey, F.; Cocci, A.; Rosenbaum, C.M.; Verla, W.; Waterloos, M.; Mantica, G.; et al. Ultrasound imaging of male urethral stricture disease: A narrative review of prospective studies. World J. Urol. 2024, 42, 32. [Google Scholar] [CrossRef]
- Sehgal, N.; Priyadarshi, V. Impact of adding urethral sonography to retrograde urethrography in pre-operative assessment of anterior urethral stricture. J. Med. Ultrasound 2024, 32, 209–214. [Google Scholar] [CrossRef]
- Oyelowo, N.; Ahmed, M.; Bello, A.; Lawal, A.T.; Awaisu, M.; Sudi, A.; Muhammad, M.S.; Tolani, M.A.; Lawal, B.B.; Lovely, F.; et al. Extent of spongiofibrosis and length of strictures: Findings at sonourethrography and urethroplasty. Urol. Ann. 2021, 13, 41–46. [Google Scholar] [CrossRef]




| Characteristic | Value |
|---|---|
| Age (years), median (IQR) (range) | 59 (41–67) (18–82) |
| Height (cm), median (IQR) (range) | 176 (170–180) (156–196) |
| Weight (kg), mean ± SD | 84.3 ± 13.7 |
| BMI (kg/m²), mean ± SD | 27.4 ± 4.1 |
| Diabetes mellitus (Type II), n (%) | 13 (8.4) |
| Hypertension, n (%) | 58 (36.9) |
| Current smokers, n (%) | 32 (20.7) |
| Bacteriuria, n (%) | 70 (44.9) |
| Stricture location, n(%) | Penile: 65 (38.3) Bulbar: 74 (43.5) Bulbo-membranous: 31 (18.2) |
| Previous urethral surgery, n (%): | Optical internal urethrotomy UIO:122 (71.8) Urethroplasty: 32 (18.8) Any previous urethral surgery: 135 (79.4) |
| Surgical technique, n (%): | Mucosal graft (BMG): 72 (43.6) End-to-end repair: 61 (37.0) Two-stage repair: 20 (12.1) Orandi: 12 (7.3) |
| Modality | Median (IQR) (Range), mm | Mean ± SD, mm |
|---|---|---|
| Retrograde + voiding cystourethrography | 12 (5–20) (0–90) | 15.8 ± 14.7 |
| Sonourethrography | 26 (20–34) (3–80) | 28.4 ± 13.5 |
| Intra-operative measurement | 30 (20–40) (2–120) | 30.5 ± 17.8 |
Disclaimer/Publisher’s Note: The statements, opinions and data contained in all publications are solely those of the individual author(s) and contributor(s) and not of MDPI and/or the editor(s). MDPI and/or the editor(s) disclaim responsibility for any injury to people or property resulting from any ideas, methods, instructions or products referred to in the content. |
© 2025 by the authors. Licensee MDPI, Basel, Switzerland. This article is an open access article distributed under the terms and conditions of the Creative Commons Attribution (CC BY) license (https://creativecommons.org/licenses/by/4.0/).
Share and Cite
Miszewski, K.; Krukowski, J.; Miszewska, L.; Kulski, J.; Stec, R.; Skrobisz, K.; Matuszewski, M. Seeing the Stricture Clearly: Independent Determinants of Sonourethrography Precision in Urethral Stricture Disease. J. Clin. Med. 2025, 14, 4453. https://doi.org/10.3390/jcm14134453
Miszewski K, Krukowski J, Miszewska L, Kulski J, Stec R, Skrobisz K, Matuszewski M. Seeing the Stricture Clearly: Independent Determinants of Sonourethrography Precision in Urethral Stricture Disease. Journal of Clinical Medicine. 2025; 14(13):4453. https://doi.org/10.3390/jcm14134453
Chicago/Turabian StyleMiszewski, Kevin, Jakub Krukowski, Laura Miszewska, Jakub Kulski, Roland Stec, Katarzyna Skrobisz, and Marcin Matuszewski. 2025. "Seeing the Stricture Clearly: Independent Determinants of Sonourethrography Precision in Urethral Stricture Disease" Journal of Clinical Medicine 14, no. 13: 4453. https://doi.org/10.3390/jcm14134453
APA StyleMiszewski, K., Krukowski, J., Miszewska, L., Kulski, J., Stec, R., Skrobisz, K., & Matuszewski, M. (2025). Seeing the Stricture Clearly: Independent Determinants of Sonourethrography Precision in Urethral Stricture Disease. Journal of Clinical Medicine, 14(13), 4453. https://doi.org/10.3390/jcm14134453

