Does Double Mean Trouble? Coexistence of Myeloproliferative and Lymphoproliferative Neoplasms
Abstract
1. Introduction
2. Materials and Methods
3. Results
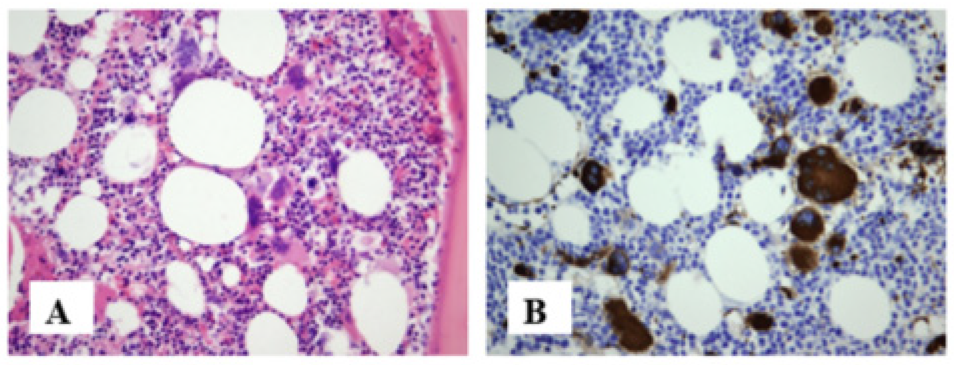
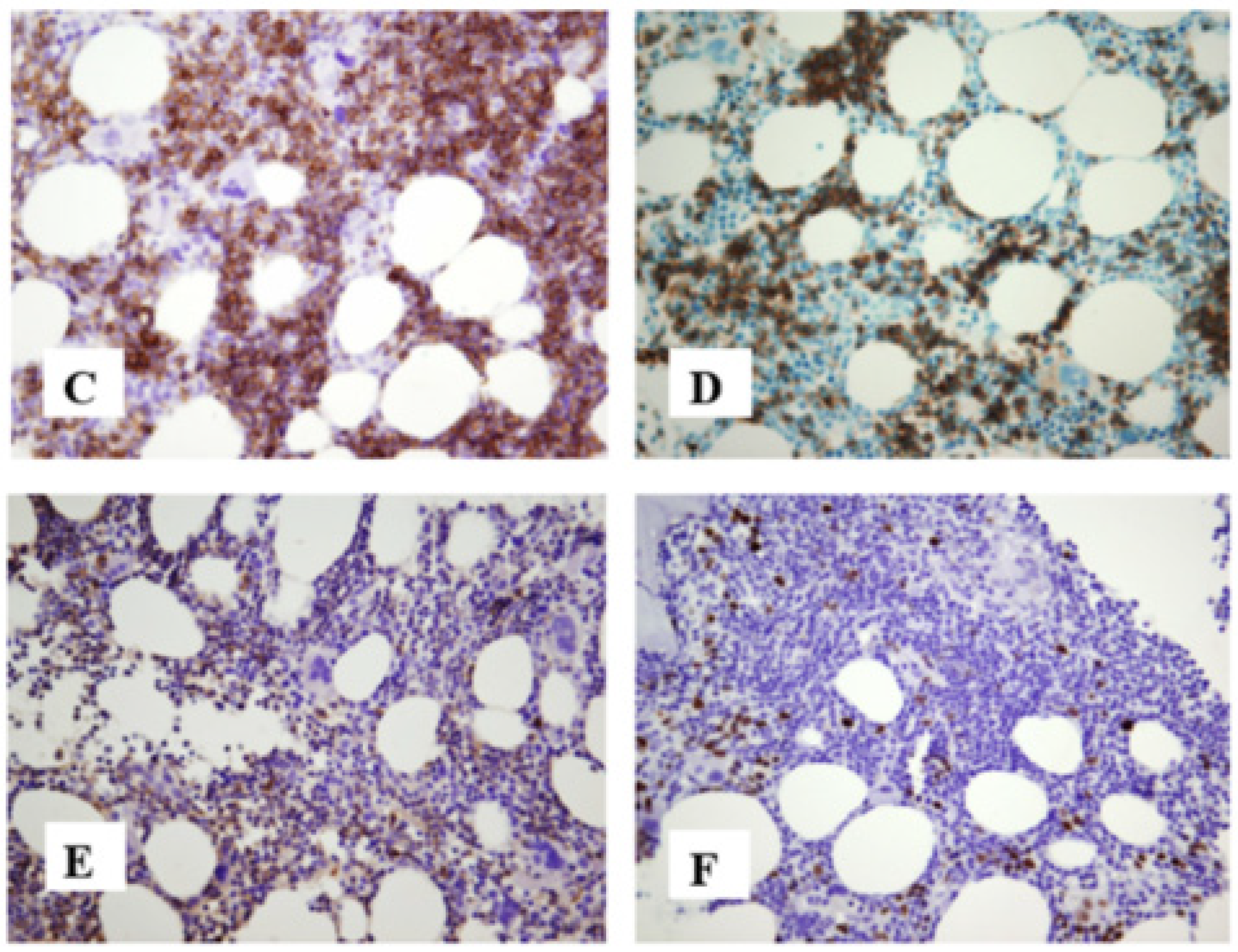
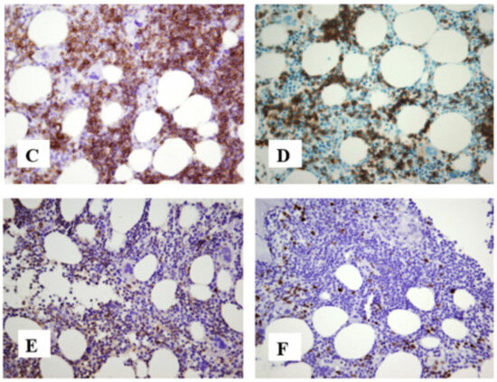
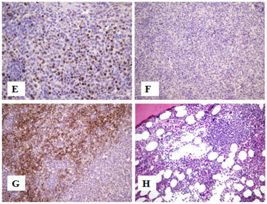
3.1. Case Report 1
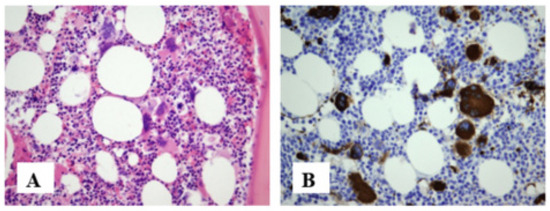
3.2. Case Report 2
4. Discussion
Author Contributions
Funding
Institutional Review Board Statement
Informed Consent Statement
Data Availability Statement
Conflicts of Interest
References
- Swerdlow, S.H.; Campo, E.; Harris, N.L.; Jaffe, E.S.; Pileri, S.A.; Stein, H.; Thiele, J. WHO Classification of Tumours of Haematopoietic and Lymphoid Tissues; IARC Press: Lyon, France, 2017. [Google Scholar]
- Khoury, J.D.; Solary, E.; Abla, O.; Akkari, Y.; Alaggio, R.; Apperley, J.F.; Bejar, R.; Berti, E.; Busque, L.; Chan, J.K.C.; et al. The 5th edition of the World Health Organization Classification of Haematolymphoid Tumours: Myeloid and Histiocytic/Dendritic Neoplasms. Leukemia 2022, 36, 1703–1719. [Google Scholar] [CrossRef] [PubMed]
- Justiz Vaillant, A.A.; Stang, C.M. Lymphoproliferative Disorders. In StatPearls [Internet]; StatPearls Publishing: Treasure Island, FL, USA, 2023. [Google Scholar]
- Frederiksen, H.; Farkas, D.K.; Christiansen, C.F.; Hasselbalch, H.C.; Sørensen, H.T. Chronic myeloproliferative neoplasms and subsequent cancer risk: A Danish population-based cohort study. Blood 2011, 118, 6515–6520. [Google Scholar] [CrossRef] [PubMed]
- Landtblom, A.R.; Bower, H.; Andersson, T.M. Second malignancies in patients with myeloproliferative neoplasms: A population- based cohort study of 9379 patients. Leukemia 2018, 32, 2203–2210. [Google Scholar] [CrossRef] [PubMed]
- Bouchla, A.; Thomopoulos, T.; Papageorgiou, S.; Tsirigotis, P.; Bazani, E.; Gkirkas, K.; Vasilatou, D.; Glezou, E.; Stavroulaki, G.; Gkontopoulos, K.; et al. Coexistence of Myeloid and Lymphoid Neoplasms: A Single-Center Experience. Adv. Hematol. 2019, 2019, 1486476. [Google Scholar] [CrossRef]
- Kodali, S.; Chen, C.; Rathnasabapathy, C.; Wang, J.C. JAK2 mutation in a patient with CLL with coexistent myeloproliferative neoplasm (MPN). Leuk. Res. 2009, 33, e236–e239. [Google Scholar] [CrossRef] [PubMed]
- Rumi, E.; Baratè, C.; Benevolo, G.; Maffioli, M.; Ricco, A.; Sant’Antonio, E. Myeloproliferative and lymphoproliferative disorders: State of the art. Hematol. Oncol. 2020, 38, 121–128. [Google Scholar] [CrossRef] [PubMed]
- Landgren, O.; Goldin, L.R.; Kristinsson, S.Y.; Helgadottir, E.A.; Samuelsson, J.; Björkholm, M. Increased risks of polycythemia vera, essential thrombocythemia, and myelofibrosis among 24,577 first-degree relatives of 11,039 patients with myeloproliferative neoplasms in Sweden. Blood 2008, 112, 2199–2204. [Google Scholar] [CrossRef] [PubMed]
- Le Bousse-Kerdiles, M.C. Primary Myelofibrosis and the “Bad Seeds in Bad Soil” concept. Fibrogenes. Tissue Repair 2012, 5 (Suppl. S1), S20. [Google Scholar] [CrossRef]
- Porpaczy, E.; Tripolt, S.; Hoelbl-Kovacic, A.; Gisslinger, B.; Bago-Horvath, Z.; Casanova-Hevia, E.; Clappier, E.; Decker, T.; Fajmann, S.; Fux, D.A.; et al. Aggressive B-cell lymphomas in patients with myelofibrosis receiving JAK1/2 inhibitor therapy. Blood 2018, 132, 694–706. [Google Scholar] [CrossRef]
- Rumi, E.; Zibellini, S.; Boveri, E.; Cavalloni, C.; Riboni, R.; Casetti, I.C.; Ciboddo, M.; Trotti, C.; Favaron, C.; Pietra, D.; et al. Ruxolitinib treatment and risk of B-cell lymphomas in myeloproliferative neoplasms. Am. J. Hematol. 2019, 94, E185–E188. [Google Scholar] [CrossRef]
- Bucelli, C.; Fattizzo, B.; Cattaneo, D.; Giannotta, J.A.; Barbullushi, K.; Pasquale, R.; Barozzi, E.; Barbanti, M.C.; Pettine, L.; Rossi, F.G.; et al. Co-occurrence of myeloid and lymphoid neoplasms: Clinical characterization and impact on outcome. A single-center cohort study. Front. Oncol. 2021, 11, 701604. [Google Scholar] [CrossRef]
- Barbui, T.; Ghirardi, A.; Masciulli, A.; Carobbio, A.; Palandri, F.; Vianelli, N.; De Stefano, V.; Betti, S.; Di Veroli, A.; Iurlo, A.; et al. Second cancer in Philadelphia negative myeloproliferative neoplasms (MPN-K). A nested case-control study. Leukemia 2019, 33, 1996–2005. [Google Scholar] [CrossRef]
- Maffioli, M.; Giorgino, T.; Mora, B.; Iurlo, A.; Elli, E.; Finazzi, M.C.; Caramella, M.; Rumi, E.; Carraro, M.C.; Polverelli, N.; et al. Second primary malignancies in ruxolitinib-treated myelofibrosis: Real-world evidence from 219 consecutive patients. Blood Adv. 2019, 3, 3196–3200. [Google Scholar] [CrossRef]
- Marchetti, M.; Carobbio, A.; Capitoni, E.; Barbui, T. Lymphoproliferative disorders in patients with chronic myeloproliferative neoplasms: A systematic review. Am. J. Hematol. 2018, 93, 698–703. [Google Scholar] [CrossRef]
- Vannucchi, A.M.; Masala, G.; Antonioli, E.; Chiara Susini, M.; Guglielmelli, P.; Pieri, L.; Maggi, L.; Caini, S.; Palli, D.; Bogani, C.; et al. Increased risk of lymphoid neoplasms in patients with Philadelphia chromosome-negative myeloproliferative neoplasms. Cancer Epidemiol. Biomark. Prev. 2009, 18, 2068–2073. [Google Scholar] [CrossRef][Green Version]
- Holst, J.M.; Plesner, T.L.; Pedersen, M.B.; Frederiksen, H.; Møller, M.B.; Clausen, M.R.; Hansen, M.C.; Hamilton-Dutoit, S.J.; Nørgaard, P.; Johansen, P.; et al. Myeloproliferative and lymphoproliferative malignancies occurring in the same patient: A nationwide discovery cohort. Haematologica 2020, 105, 2432–2439. [Google Scholar] [CrossRef]
- Shimono, J.; Miyoshi, H.; Kiyasu, J.; Sato, K.; Kamimura, T.; Eto, T.; Miyagishima, T.; Nagafuji, K.; Teshima, T.; Ohshima, K. Clinicopathological analysis of primary splenic diffuse large B-cell lymphoma. Br. J. Haematol. 2017, 178, 719–727. [Google Scholar] [CrossRef] [PubMed]
- Ting, C.Y.; Chang, K.M.; Kuan, J.W.; Sathar, J.; Chew, L.P.; Wong, O.L.J.; Yusuf, Y.; Wong, L.; Samsudin, A.T.; Pana, M.N.B.M.; et al. Clinical Significance of BCL2, C-MYC and BCL6 Genetic Abnormalities, Epstein-Barr Virus Infection, CD5 Protein Expression, Germinal Center B Cell/Non-Germinal Center B-Cell Subtypes, Co-expression of MYC/BCL2 Proteins and Co-expression of MYC/BCL2/BCL6 Proteins in Diffuse Large B-Cell Lymphoma: A Clinical and Pathological Correlation Study of 120 Patients. Int. J. Med. Sci. 2019, 16, 556–566. [Google Scholar] [PubMed]
- Laurenti, L.; Tarnani, M.; Nichele, I.; Ciolli, S.; Cortelezzi, A.; Forconi, F.; Rossi, D.; Mauro, F.R.; D’Arena, G.; Del Poeta, G.; et al. The coexistence of chronic lymphocytic leukemia and myeloproliferative neoplasms: A retrospective multicentric GIMEMA experience. Am. J. Hematol. 2011, 86, 1007–1012. [Google Scholar] [CrossRef] [PubMed]
- Burgstaller, S.; Wimmer, S.; Mayrbaeurl, B.; Hoebling, W.; Thaler, J. Coexistence of primary myelofibrosis and chronic lymphocytic leukaemia: Treatment of two different diseases with one agent. Blood Cancer J. 2011, 1, e20. [Google Scholar] [CrossRef] [PubMed]
- De Stefano, V.; Ghirardi, A.; Masciulli, A.; Carobbio, A.; Palandri, F.; Vianelli, N.; Rossi, E.; Betti, S.; Di Veroli, A.; Iurlo, A.; et al. Frequency of Thrombosis Is Higher in MPN Patients Who Develop Second Cancer Than in Controls. Blood 2019, 134, 4170. [Google Scholar] [CrossRef]
- Vogt, A.; Schmid, S.; Heinimann, K.; Frick, H.; Herrmann, C.; Cerny, T.; Omlin, A. Multiple primary tumours: Challenges and approaches, a review. ESMO Open 2017, 2, e000172. [Google Scholar] [CrossRef]
- Copur, M.S.; Manappuram, S. Multiple Primary Tumors Over a Lifetime. Oncology 2019, 33, 629384. [Google Scholar] [PubMed]
- Tabaczewski, P.; Nadesan, S.; Lim, S.H. Zap-70 positive chronic lymphocytic leukemia co-existing with Jak 2 V671F positive essential thrombocythemia: A common defective stem cell? Leuk. Res. 2009, 33, 854–855. [Google Scholar] [CrossRef] [PubMed][Green Version]





| MPNs 1 as First Diagnosis | MPNs + LPNs Co-Occurrence | LPNs 2 as First Diagnosis | Total | |
|---|---|---|---|---|
| Number of patients | 8 (57%) | 3 (21.5%) | 3 (21.5%) | 14 (100%) |
| Age at diagnosis (years) | 52 (22–63) | 59 (42–69) | 49 (41–60) | 53 (22–69) |
| Male | 4/8 | 3/3 | 1/3 | 8/14 (57%) |
| First and second diagnosis | 1 PV 3/NHL DLBCL 4 1 PMF 5/NHL DLBCL 4 1 PMF 5/CLL 6 1 ET/CLL 6 1 PV 3/CLL 6 1 ET 8/MM 7 1 PV 3/MM 7 1 PV 3/lymphoblastic lymphoma | 2 CLL 6 + PV 3 1 MM 7 + PMF 5 | 2 CLL 6/PV 3 1 atypical CLL 6 (score 3)/PMF 5 | 5 PV 3 + CLL 6 2 PMF 5 + CLL 6 1 ET 8 + CLL 6 1 PMF 5 + MM 7 1 ET 8 + MM 7 1 PV 3 + MM 7 1 PMF 5 + NHL DLBCL 4 1 PV 3 + NHL DLBCL 4 1 PV 3 + lymphoblastic lymphoma |
| Time before second diagnosis (months) | Until the appearance LPDs: 52 | Until the appearance MPNs: 101 | 65 (4–216) | |
| JAK2V617F + mutation (MPNs 1) CG aberration 12 (LPNs 2) | 4/7 (57%) 1/8 (12.5%) | 2/2 (100%) 1/3 (33.3%) | 2/3 (66.7%) 2/3 (66.7%) | 8/12 (66.7%) 4/14 (28.5%) |
| Chemotherapy in MPNs LPNs 2 | 1 HU 9 6/8 (75%) 5/8 (62.5%) | HU 9 1/3 (33.3%) 2/3 (66.7%) | HU 9 1/3 (33.3%) 2/3 (66.7%) | 8/14 (57%) 9/14 (64.3%) |
| Third malignancy | 1/8 (12.5%) | 2/3 (66.7%) | 0/3 (0%) | 3/14 (21.4%) |
| Thrombosis | 4/8 (50%) | 1/3 (33.3%) | 1/3 (33.3%) | 6/14 (42.8%) |
| Follow-up median (months) Median OS 13 (months) | 99 (36–252) 196 (127–251) | 60 (26–84) Not reached | 101 (74–174) Not reached | 90 (26–252) 200 (149–251) |
| Cause of death | 4/8 (50%) 2 LPNs 2, 1 ARF 10, 1 HF 11 | 1/3 (33.3%) COVID | Alive | 5/14 (35.7%) |
Disclaimer/Publisher’s Note: The statements, opinions and data contained in all publications are solely those of the individual author(s) and contributor(s) and not of MDPI and/or the editor(s). MDPI and/or the editor(s) disclaim responsibility for any injury to people or property resulting from any ideas, methods, instructions or products referred to in the content. |
© 2024 by the authors. Licensee MDPI, Basel, Switzerland. This article is an open access article distributed under the terms and conditions of the Creative Commons Attribution (CC BY) license (https://creativecommons.org/licenses/by/4.0/).
Share and Cite
Lekovic, D.; Ivanovic, J.; Terzic, T.; Perunicic Jovanovic, M.; Dencic Fekete, M.; Jovanovic, J.; Arsenovic, I.; Vukovic, V.; Bila, J.; Bogdanovic, A.; et al. Does Double Mean Trouble? Coexistence of Myeloproliferative and Lymphoproliferative Neoplasms. J. Clin. Med. 2024, 13, 1816. https://doi.org/10.3390/jcm13061816
Lekovic D, Ivanovic J, Terzic T, Perunicic Jovanovic M, Dencic Fekete M, Jovanovic J, Arsenovic I, Vukovic V, Bila J, Bogdanovic A, et al. Does Double Mean Trouble? Coexistence of Myeloproliferative and Lymphoproliferative Neoplasms. Journal of Clinical Medicine. 2024; 13(6):1816. https://doi.org/10.3390/jcm13061816
Chicago/Turabian StyleLekovic, Danijela, Jelena Ivanovic, Tatjana Terzic, Maja Perunicic Jovanovic, Marija Dencic Fekete, Jelica Jovanovic, Isidora Arsenovic, Vojin Vukovic, Jelena Bila, Andrija Bogdanovic, and et al. 2024. "Does Double Mean Trouble? Coexistence of Myeloproliferative and Lymphoproliferative Neoplasms" Journal of Clinical Medicine 13, no. 6: 1816. https://doi.org/10.3390/jcm13061816
APA StyleLekovic, D., Ivanovic, J., Terzic, T., Perunicic Jovanovic, M., Dencic Fekete, M., Jovanovic, J., Arsenovic, I., Vukovic, V., Bila, J., Bogdanovic, A., & Antic, D. (2024). Does Double Mean Trouble? Coexistence of Myeloproliferative and Lymphoproliferative Neoplasms. Journal of Clinical Medicine, 13(6), 1816. https://doi.org/10.3390/jcm13061816

