Anterolateral Ligament and Kaplan Fiber Injury Both Occur Frequently in Acute Anterior Cruciate Ligament-Injured Knees
Abstract
1. Introduction
2. Materials and Methods
2.1. Design and Patient Selection
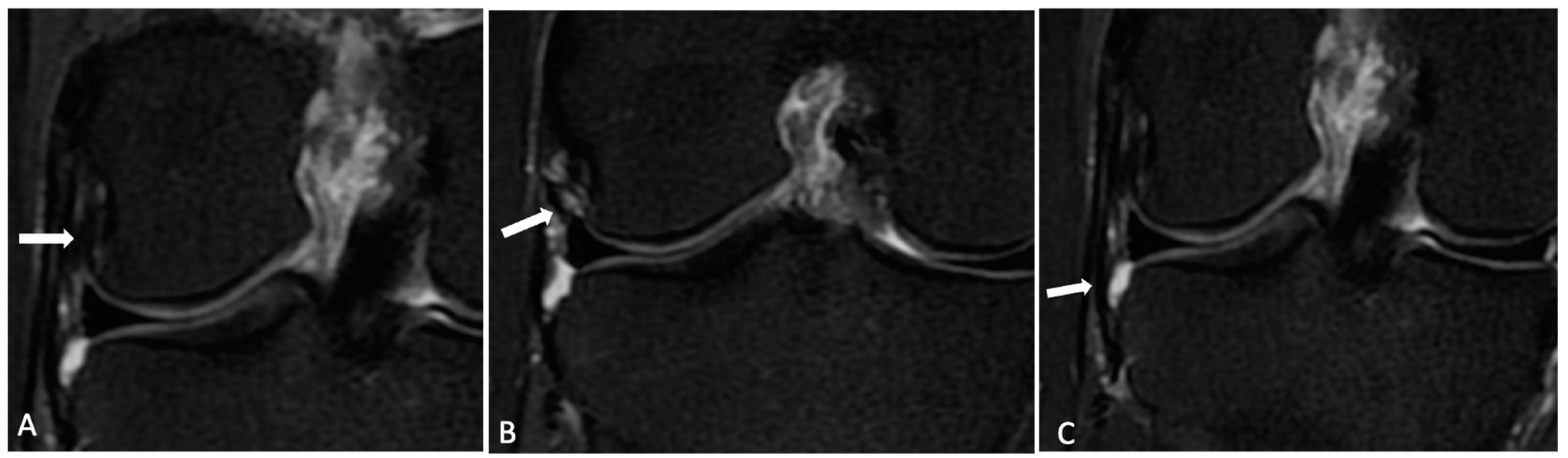
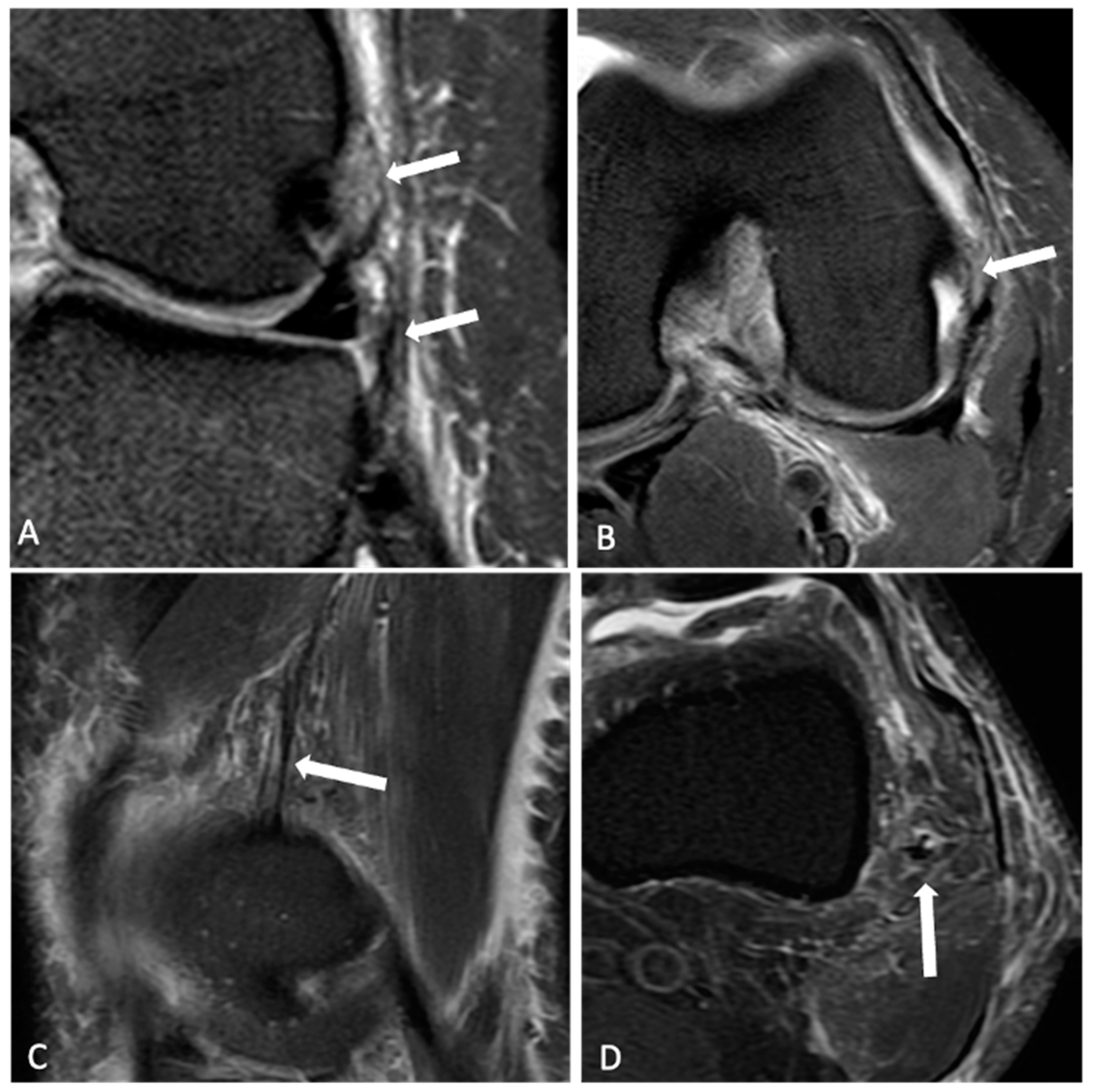
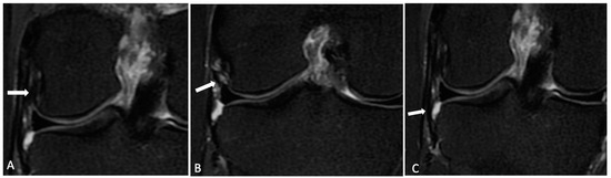
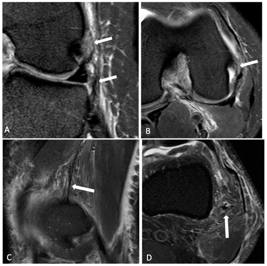
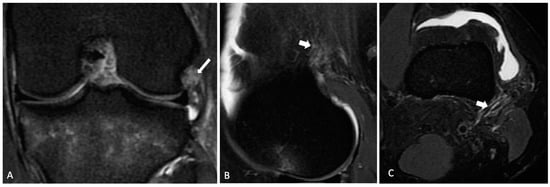
2.2. Radiological Analysis
2.3. Statistical Analysis
3. Results
4. Discussion
Author Contributions
Funding
Institutional Review Board Statement
Informed Consent Statement
Data Availability Statement
Conflicts of Interest
References
- Godin, J.A.; Chahla, J.; Moatshe, G.; Kruckeberg, B.M.; Muckenhirn, K.J.; Vap, A.R.; Geeslin, A.G.; LaPrade, R.F. A Comprehensive Reanalysis of the Distal Iliotibial Band: Quantitative Anatomy, Radiographic Markers, and Biomechanical Properties. Am. J. Sports Med. 2017, 45, 2595–2603. [Google Scholar] [CrossRef] [PubMed]
- Geeslin, A.G.; Moatshe, G.; Chahla, J.; Kruckeberg, B.M.; Muckenhirn, K.J.; Dornan, G.J.; Coggins, A.; Brady, A.W.; Getgood, A.M.; Godin, J.A.; et al. Anterolateral Knee Extra-articular Stabilizers: A Robotic Study Comparing Anterolateral Ligament Reconstruction and Modified Lemaire Lateral Extra-articular Tenodesis. Am. J. Sports Med. 2018, 46, 607–616. [Google Scholar] [CrossRef] [PubMed]
- Lutz, C.; Sonnery-Cottet, B.; Niglis, L.; Freychet, B.; Clavert, P.; Imbert, P. Behavior of the anterolateral structures of the knee during internal rotation. Orthop. Traumatol. Surg. Res. 2015, 101, 523–528. [Google Scholar] [CrossRef]
- Delaloye, J.R.; Hartog, C.; Blatter, S.; Schläppi, M.; Müller, D.; Denzler, D.; Murar, J.; Koch, P.P. Anterolateral Ligament Reconstruction and Modified Lemaire Lateral Extra-Articular Tenodesis Similarly Improve Knee Stability After Anterior Cruciate Ligament Reconstruction: A Biomechanical Study. Arthroscopy 2020, 36, 1942–1950. [Google Scholar] [CrossRef] [PubMed]
- Kittl, C.; El-Daou, H.; Athwal, K.K.; Gupte, C.M.; Weiler, A.; Williams, A.; Amis, A.A. The Role of the Anterolateral Structures and the ACL in Controlling Laxity of the Intact and ACL-Deficient Knee. Am. J. Sports Med. 2016, 44, 345–354. [Google Scholar] [CrossRef] [PubMed]
- Claes, S.; Vereecke, E.; Maes, M.; Victor, J.; Verdonk, P.; Bellemans, J. Anatomy of the anterolateral ligament of the knee. J. Anat. 2013, 223, 321–328. [Google Scholar] [CrossRef] [PubMed]
- Ibrahim, S.A.; Shohdy, E.M.; Marwan, Y.; Ramadan, S.A.; Almisfer, A.K.; Mohammad, M.W.; Abdulsattar, W.S.; Khirat, S. Anatomic Reconstruction of the Anterior Cruciate Ligament of the Knee With or Without Reconstruction of the Anterolateral Ligament: A Randomized Clinical Trial. Am. J. Sports Med. 2017, 45, 1558–1566. [Google Scholar] [CrossRef]
- Rayes, J.; Ouanezar, H.; Haidar, I.M.; Ngbilo, C.; Fradin, T.; Vieira, T.D.; Freychet, B.; Sonnery-Cottet, B. Revision Anterior Cruciate Ligament Reconstruction Using Bone-Patellar Tendon-Bone Graft Combined With Modified Lemaire Technique Versus Hamstring Graft Combined With Anterolateral Ligament Reconstruction: A Clinical Comparative Matched Study With a Mean Follow-up of 5 Years From The SANTI Study Group. Am. J. Sports Med. 2022, 50, 395–403. [Google Scholar]
- Batty, L.; Murgier, J.; O’Sullivan, R.; Webster, K.E.; Feller, J.A.; Devitt, B.M. The Kaplan Fibers of the Iliotibial Band Can Be Identified on Routine Knee Magnetic Resonance Imaging. Am. J. Sports Med. 2019, 47, 2895–2903. [Google Scholar] [CrossRef]
- Runer, A.; Dammerer, D.; Kranewitter, C.; Giesinger, J.M.; Henninger, B.; Hirschmann, M.T.; Liebensteiner, M.C. Injuries to the anterolateral ligament are observed more frequently compared to lesions to the deep iliotibial tract (Kaplan fibers) in anterior cruciate ligamant deficient knees using magnetic resonance imaging. Knee Surg. Sports Traumatol. Arthrosc. 2022, 30, 309–318. [Google Scholar] [CrossRef]
- Muramatsu, K.; Saithna, A.; Watanabe, H.; Sasaki, K.; Yokosawa, K.; Hachiya, Y.; Banno, T.; Helito, C.P.; Sonnery-Cottet, B. Three-dimensional Magnetic Resonance Imaging of the Anterolateral Ligament of the Knee: An Evaluation of Intact and Anterior Cruciate Ligament-Deficient Knees From the Scientific Anterior Cruciate Ligament Network International (SANTI) Study Group. Arthroscopy 2018, 34, 2207–2217. [Google Scholar] [CrossRef] [PubMed]
- Andrade, R.; Rebelo-Marques, A.; Bastos, R.; Zaffagnini, S.; Seil, R.; Ayeni, O.R.; Espregueira-Mendes, J. Identification of Normal and Injured Anterolateral Ligaments of the Knee: A Systematic Review of Magnetic Resonance Imaging Studies. Arthroscopy 2019, 35, 1594–1613.e1591. [Google Scholar] [CrossRef] [PubMed]
- Balendra, G.; Willinger, L.; Pai, V.; Mitchell, A.; Lee, J.; Jones, M.; Williams, A. Anterolateral complex injuries occur in the majority of ‘isolated’ anterior cruciate ligament ruptures. Knee Surg. Sports Traumatol. Arthrosc. 2022, 30, 176–183. [Google Scholar] [CrossRef] [PubMed]
- Barrera, C.M.; Arizpe, A.; Wodicka, R.; Lesniak, B.P.; Baraga, M.G.; Kaplan, L.; Jose, J. Anterolateral ligament injuries on magnetic resonance imaging and pivot-shift testing for rotational laxity. J. Clin. Orthop. Trauma 2018, 9, 312–316. [Google Scholar] [CrossRef]
- Ferretti, A.; Monaco, E.; Redler, A.; Argento, G.; De Carli, A.; Saithna, A.; Helito, P.V.P.; Helito, C.P. High Prevalence of Anterolateral Ligament Abnormalities on MRI in Knees With Acute Anterior Cruciate Ligament Injuries: A Case-Control Series From the SANTI Study Group. Orthop. J. Sports Med. 2019, 7, 2325967119852916. [Google Scholar] [CrossRef] [PubMed]
- Monaco, E.; Ferretti, A.; Labianca, L.; Maestri, B.; Speranza, A.; Kelly, M.J.; D’Arrigo, C. Navigated knee kinematics after cutting of the ACL and its secondary restraint. Knee Surg. Sports Traumatol. Arthrosc. 2012, 20, 870–877. [Google Scholar] [CrossRef] [PubMed]
- Parsons, E.M.; Gee, A.O.; Spiekerman, C.; Cavanagh, P.R. The biomechanical function of the anterolateral ligament of the knee. Am. J. Sports Med. 2015, 43, 669–674. [Google Scholar] [CrossRef] [PubMed]
- Rasmussen, M.T.; Nitri, M.; Williams, B.T.; Moulton, S.G.; Cruz, R.S.; Dornan, G.J.; Goldsmith, M.T.; LaPrade, R.F. An In Vitro Robotic Assessment of the Anterolateral Ligament, Part 1: Secondary Role of the Anterolateral Ligament in the Setting of an Anterior Cruciate Ligament Injury. Am. J. Sports Med. 2016, 44, 585–592. [Google Scholar] [CrossRef]
- Cavaignac, E.; Faruch, M.; Wytrykowski, K.; Constant, O.; Murgier, J.; Berard, E.; Chiron, P. Ultrasonographic Evaluation of Anterolateral Ligament Injuries: Correlation With Magnetic Resonance Imaging and Pivot-Shift Testing. Arthroscopy 2017, 33, 1384–1390. [Google Scholar] [CrossRef]
- Miyaji, N.; Hoshino, Y.; Tanaka, T.; Nishida, K.; Araki, D.; Kanzaki, N.; Matsushita, T.; Kuroda, R. MRI-determined anterolateral capsule injury did not affect the pivot-shift in anterior cruciate ligament-injured knees. Knee Surg. Sports Traumatol. Arthrosc. 2019, 27, 3426–3431. [Google Scholar] [CrossRef]
- Sobrado, M.F.; Giglio, P.N.; Bonadio, M.B.; Helito, P.V.P.; Guimarães, T.M.; Pécora, J.R.; Gobbi, R.G.; Helito, C.P. Outcomes After Isolated Acute Anterior Cruciate Ligament Reconstruction Are Inferior in Patients With an Associated Anterolateral Ligament Injury. Am. J. Sports Med. 2020, 48, 3177–3182. [Google Scholar] [CrossRef] [PubMed]
- Lee, D.W.; Lee, J.K.; Kwon, S.H.; Moon, S.G.; Cho, S.I.; Chung, S.H.; Kim, J.G. Adolescents show a lower healing rate of anterolateral ligament injury and a higher rotational laxity than adults after anterior cruciate ligament reconstruction. Knee 2021, 30, 113–124. [Google Scholar] [CrossRef] [PubMed]
- Devitt, B.M.; Al’khafaji, I.; Blucher, N.; Batty, L.M.; Murgier, J.; Webster, K.E.; Feller, J.A. Association Between Radiological Evidence of Kaplan Fiber Injury, Intraoperative Findings, and Pivot-Shift Grade in the Setting of Acute Anterior Cruciate Ligament Injury. Am. J. Sports Med. 2021, 49, 1262–1269. [Google Scholar] [CrossRef] [PubMed]
- Khanna, M.; Gupte, C.; Dodds, A.; Williams, A.; Walker, M. Magnetic resonance imaging appearances of the capsulo-osseous layer of the iliotibial band and femoral attachments of the iliotibial band in the normal and pivot-shift ACL injured knee. Skeletal. Radiol. 2019, 48, 729–740. [Google Scholar] [CrossRef]
- Marom, N.; Greditzer, H.G.; Roux, M.; Ling, D.; Boyle, C.; Pearle, A.D.; Marx, R.G. The Incidence of Kaplan Fiber Injury Associated With Acute Anterior Cruciate Ligament Tear Based on Magnetic Resonance Imaging. Am. J. Sports Med. 2020, 48, 3194–3199. [Google Scholar] [CrossRef] [PubMed]
- Shi, B.Y.; Levine, B.; Ghazikhanian, V.; Bugarin, A.; Schroeder, G.; Wu, S.; Kremen, T.; Jones, K. Reliability of MRI Detection of Kaplan Fiber Injury in Pediatric and Adolescent Patients with ACL Tears. Orthop. J. Sports Med. 2022, 10, 23259671221128601. [Google Scholar] [CrossRef] [PubMed]
- Watanabe, S.; Nagai, K.; Hoshino, Y.; Kataoka, K.; Nakanishi, Y.; Araki, D.; Kanzaki, N.; Matsushita, T.; Kuroda, R. Influence of Injury to the Kaplan Fibers of the Iliotibial Band on Anterolateral Rotatory Knee Laxity in Anterior Cruciate Ligament Injury: A Retrospective Cohort Study. Am. J. Sports Med. 2022, 50, 3265–3272. [Google Scholar] [CrossRef]
- Laboudie, P.; Douiri, A.; Bouguennec, N.; Biset, A.; Graveleau, N. Combined ACL and ALL reconstruction reduces the rate of reoperation for graft failure or secondary meniscal lesions in young athletes. Knee Surg. Sports Traumatol. Arthrosc. 2022, 30, 3488–3498. [Google Scholar] [CrossRef]
- Ariel de Lima, D.; de Lima, L.L.; de Souza, N.G.R.; de Moraes Perez, R.A.; Sobrado, M.F.; Guimarães, T.M.; Helito, C.P. Clinical outcomes of combined anterior cruciate ligament and anterolateral ligament reconstruction: A systematic review and meta-analysis. Knee Surg. Relat. Res. 2021, 33, 33. [Google Scholar] [CrossRef]
- Van Dyck, P.; De Smet, E.; Roelant, E.; Parizel, P.M.; Heusdens, C.H.W. Assessment of Anterolateral Complex Injuries by Magnetic Resonance Imaging in Patients With Acute Rupture of the Anterior Cruciate Ligament. Arthroscopy 2019, 35, 521–527. [Google Scholar] [CrossRef]
- Helito, C.P.; Helito, P.V.P.; Leão, R.V.; Demange, M.K.; Bordalo-Rodrigues, M. Anterolateral ligament abnormalities are associated with peripheral ligament and osseous injuries in acute ruptures of the anterior cruciate ligament. Knee Surg. Sports Traumatol. Arthrosc. 2017, 25, 1140–1148. [Google Scholar] [CrossRef] [PubMed]
- Van Dyck, P.; Clockaerts, S.; Vanhoenacker, F.M.; Lambrecht, V.; Wouters, K.; De Smet, E.; Gielen, J.L.; Parizel, P.M. Anterolateral ligament abnormalities in patients with acute anterior cruciate ligament rupture are associated with lateral meniscal and osseous injuries. Eur. Radiol. 2016, 26, 3383–3391. [Google Scholar] [CrossRef] [PubMed]
- Kızılgöz, V.; Sivrioğlu, A.K.; Aydın, H.; Çetin, T.; Ulusoy, G.R. Assessment of the anterolateral ligament of the knee by 1.5 T magnetic resonance imaging. J. Int. Med. Res. 2018, 46, 1486–1495. [Google Scholar] [CrossRef] [PubMed]




| Data | ||
|---|---|---|
| Mean age (range), years | 33 (19–66) | |
| Gender, n (%) | ||
| Male | 44 (69) | |
| Female | 20 (31) | |
| Injuries, n (%) | Yes | No |
| ALL | 46 (72) | 18 |
| Partial | 33 (72) | - |
| Complete | 13 (28) | - |
| KF | 32 (50) | 32 (50) |
| Partial | 24 (75) | - |
| Complete | 8 (25) | - |
| ITB | 2 (3.1) | 62 (96.9) |
| PCL | 9 (14) | 55 (86) |
| MCL | 28 (43.7) | 36 (56.3) |
| LCL | 24 (37.5) | 40 (62.5) |
| ALL Injury | Total | p-Value | ||
|---|---|---|---|---|
| No | Yes | |||
| KF injury n (%) | 0.266 | |||
| No | 11 (14.2) | 21 (27.2) | 32 (50) | |
| Yes | 7 (9) | 25 (32.4) | 32 (50) | |
| Variable | Reader 1 | Reader 2 | Total | Kappa IC (95%) | |
|---|---|---|---|---|---|
| No Injury | Injury | ||||
| ALL injury, n (%) | No injury | 16 (25) | 2 (3,1) | 18 (28) | 0.564 |
| Injury | 11 (17.2) | 35 (55) | 46 (72) | (0.364; 0.764) | |
| Total | 27 (42.2) | 37 (57.8) | 64 (100) | ||
| KF injury, n (%) | No injury | 30 (47) | 2 (3.1) | 32 (50) | 0.750 |
| Injury | 6 (9) | 26 (41) | 32 (50) | (0.589; 0.911) | |
| Total | 36 (56) | 28 (44) | 64 (100) | ||
Disclaimer/Publisher’s Note: The statements, opinions and data contained in all publications are solely those of the individual author(s) and contributor(s) and not of MDPI and/or the editor(s). MDPI and/or the editor(s) disclaim responsibility for any injury to people or property resulting from any ideas, methods, instructions or products referred to in the content. |
© 2024 by the authors. Licensee MDPI, Basel, Switzerland. This article is an open access article distributed under the terms and conditions of the Creative Commons Attribution (CC BY) license (https://creativecommons.org/licenses/by/4.0/).
Share and Cite
Leao, R.V.; Helito, P.V.P.; Saithna, A.; de Paula Correa, M.F.; Helito, C.P. Anterolateral Ligament and Kaplan Fiber Injury Both Occur Frequently in Acute Anterior Cruciate Ligament-Injured Knees. J. Clin. Med. 2024, 13, 946. https://doi.org/10.3390/jcm13040946
Leao RV, Helito PVP, Saithna A, de Paula Correa MF, Helito CP. Anterolateral Ligament and Kaplan Fiber Injury Both Occur Frequently in Acute Anterior Cruciate Ligament-Injured Knees. Journal of Clinical Medicine. 2024; 13(4):946. https://doi.org/10.3390/jcm13040946
Chicago/Turabian StyleLeao, Renata Vidal, Paulo Victor Partezani Helito, Adnan Saithna, Marcos Felippe de Paula Correa, and Camilo Partezani Helito. 2024. "Anterolateral Ligament and Kaplan Fiber Injury Both Occur Frequently in Acute Anterior Cruciate Ligament-Injured Knees" Journal of Clinical Medicine 13, no. 4: 946. https://doi.org/10.3390/jcm13040946
APA StyleLeao, R. V., Helito, P. V. P., Saithna, A., de Paula Correa, M. F., & Helito, C. P. (2024). Anterolateral Ligament and Kaplan Fiber Injury Both Occur Frequently in Acute Anterior Cruciate Ligament-Injured Knees. Journal of Clinical Medicine, 13(4), 946. https://doi.org/10.3390/jcm13040946

