Campylobacter jejuni-Related Myocarditis: A Case Report and Review of the Literature
Abstract
1. Introduction
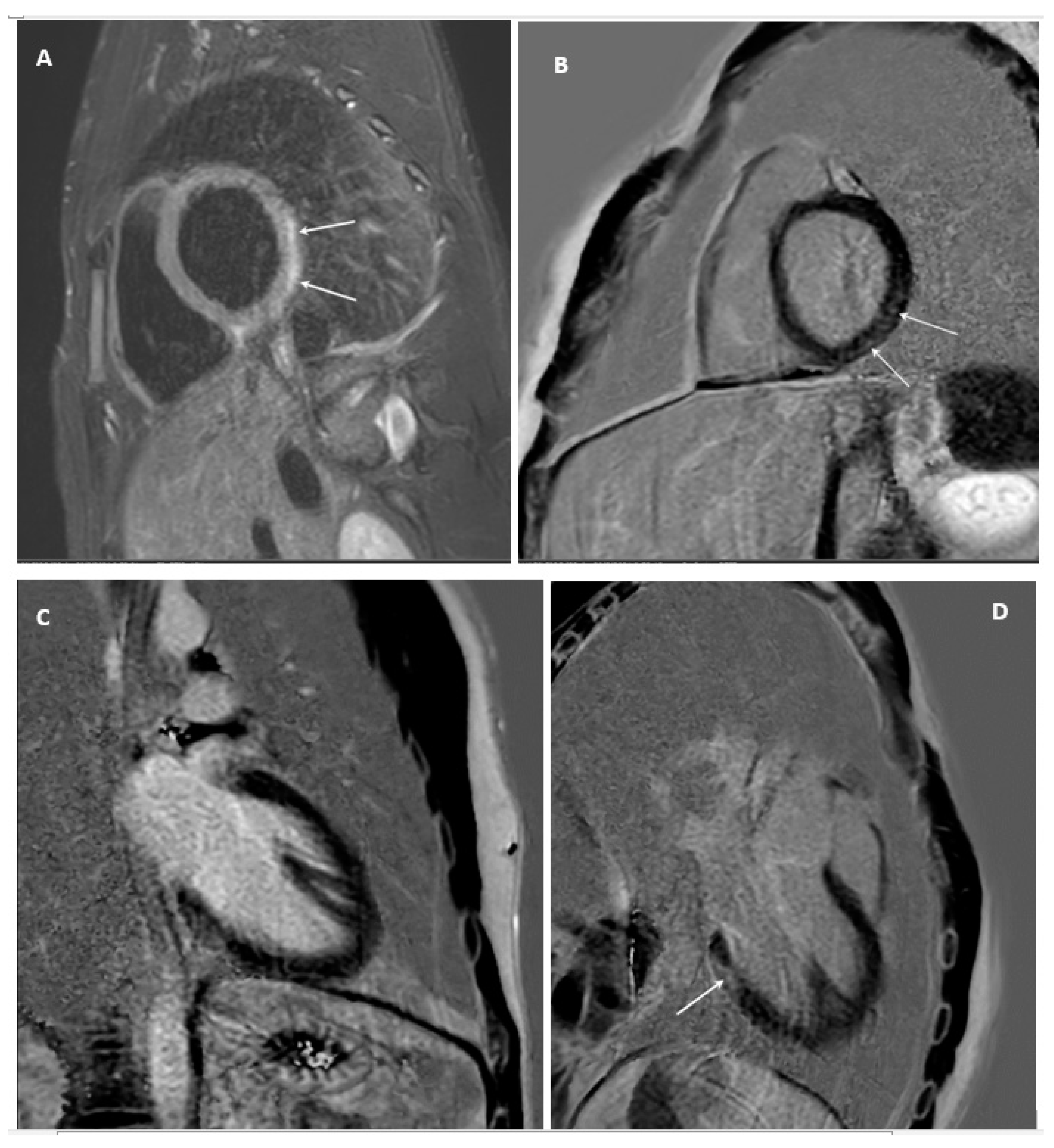
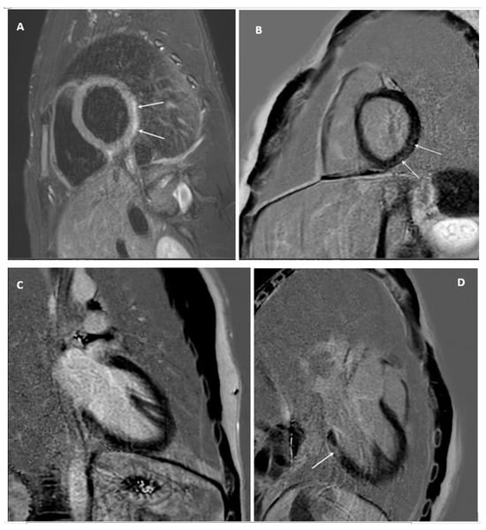
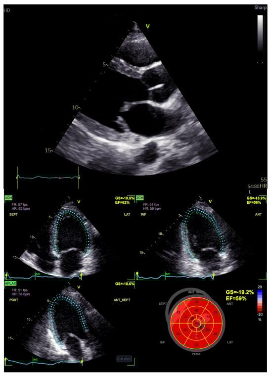
2. Case Report
3. Discussion
Limitations of the Study
4. Conclusions
Author Contributions
Funding
Institutional Review Board Statement
Informed Consent Statement
Data Availability Statement
Conflicts of Interest
References
- Kang, M.; Chippa, V.; An, J. Viral Myocarditis; StatPearls Publishing: Treasure Island, FL, USA, 2024. Available online: https://www.ncbi.nlm.nih.gov/books/NBK459259/ (accessed on 20 November 2023).
- Wasi, F.; Shuter, J. Primary bacterial infection of the myocardium. Front. Biosci. 2003, 8, s228–s231. [Google Scholar] [PubMed]
- Balaban, M.; Hendrixson, D.R. Polar flagellar biosynthesis and a regulator of flagellar number influence spatial parameters of cell division in Campylobacter jejuni. PLoS Pathog. 2011, 7, e1002420. [Google Scholar] [CrossRef] [PubMed]
- CLSI. Methods for Antimicrobial Dilution and Disk Susceptibility Testing of Infrequently Isolated or Fastidious Bacteria, 3rd ed.; CLSI Guideline M45; Clinical and Laboratory Standards Institute: Wayne, PA, USA, 2015. [Google Scholar]
- CLSI. Performance Standards for Antimicrobial Susceptibility Testing, 34th ed.; CLSI Supplement M100; Clinical and Laboratory Standards Institute: Wayne, PA, USA, 2024. [Google Scholar]
- Ruiz-Palacios, G.M. The health burden of Campylobacter infection and the impact of antimicrobial resistance: Playing chicken. Clin. Infect. Dis. 2007, 44, 701–703. [Google Scholar] [CrossRef] [PubMed]
- Suliman, B.A. Potential clinical implications of molecular mimicry-induced autoimmunity. Immun. Inflamm. Dis. 2024, 12, e1178. [Google Scholar] [CrossRef] [PubMed]
- Cooper, L.T., Jr. Myocarditis. N. Engl. J. Med. 2009, 360, 1526–1538. [Google Scholar] [CrossRef]
- Daboussi, O.; Diallo, S.; Djiba, B.; Gueye, M.N. Myocarditis associated with Campylobacter jejuni colitis: A case report. Pan Afr. Med. J. 2020, 36, 199. [Google Scholar] [CrossRef]
- Cooper, L.T.; Baughman, K.L.; Feldman, A.M.; Frustaci, A.; Jessup, M.; Kuhl, U.; Levine, G.N.; Narula, J.; Starling, R.C.; Towbin, J.; et al. The role of endomyocardial biopsy in the management of cardiovascular disease: A scientific statement from the American Heart Association, the American College of Cardiology, and the European Society of Cardiology. J. Am. Coll. Cardiol. 2007, 50, 1914–1931. [Google Scholar] [CrossRef]
- De Cock, D.; Hiltrop, N.; Timmermans, P.; Dymarkowski, S.; Van Cleemput, J. Myocarditis associated with Campylobacter enteritis: Report of three cases. Circ. Heart Fail. 2012, 5, e19–e21. [Google Scholar] [CrossRef]
- Suehiro, W.; Nishio, R.; Noiri, J.I.; Takeshige, R.; Konishi, H.; Matsuzoe, H.; Matsumoto, A.; Ozawa, M.; Matsumoto, D.; Inaba, M.; et al. Acute myocarditis secondary to Campylobacter jejuni enteritis: A case report. J. Cardiol. Cases 2023, 28, 185–188. [Google Scholar] [CrossRef]
- Mohamed Jiffry, M.Z.; Okam, N.A.; Vargas, J.; Adekunle, F.A.; Pagan, S.C.; Khowaja, F.; Ahmed-Khan, M.A. Myocarditis as a complication of Campylobacter jejuni-associated enterocolitis: A report of two cases. Cureus 2023, 15, e36171. [Google Scholar] [CrossRef]
- Kojima, N.; Tada, H.; Okada, H.; Yoshida, S.; Sakata, K.; Usui, S.; Ikeda, H.; Okajima, M.; Kawashiri, M.A.; Takamura, M. Case report: Myocarditis associated with COVID-19 mRNA vaccination following myocarditis associated with Campylobacter jejuni. Front. Cardiovasc. Med. 2022, 9, 837759. [Google Scholar] [CrossRef] [PubMed]
- Belfeki, N.; Zayet, S.; Yassin, M.; Alloujami, M.; Lefoulon, A.; Pezel, T.; Garot, J.; Moini, C. Cardiovascular magnetic resonance imaging pattern in Campylobacter jejuni-related myocarditis. Microorganisms 2022, 10, 208. [Google Scholar] [CrossRef] [PubMed]
- Chantzaras, A.P.; Karageorgos, S.; Panagiotou, P.; Georgiadou, E.; Chousou, T.; Spyridopoulou, K.; Paradeisis, G.; Kanaka-Gantenbein, C.; Botsa, E. Myocarditis in a pediatric patient with Campylobacter enteritis: A case report and literature review. Trop. Med. Infect. Dis. 2021, 6, 212. [Google Scholar] [CrossRef] [PubMed]
- Yaita, S.; Tago, M.; Hisata, Y.; Fujiwara, M.; Yamashita, S.I. Relapse of acute myocarditis associated with Campylobacter jejuni enterocolitis. Clin. Case Rep. 2020, 8, 2605–2609. [Google Scholar] [CrossRef]
- Greenfield, G.M.; Mailey, J.; Lyons, K.; Trouton, T.G. Acute myocarditis secondary to acute Campylobacter jejuni infection. Clin. Med. 2018, 18, 98–99. [Google Scholar] [CrossRef]
- Obafemi, M.T.; Douglas, H. Campylobacter jejuni myocarditis: A journey from the gut to the heart. SAGE Open Med. Case Rep. 2017, 5, 2050313X17713148. [Google Scholar] [CrossRef]
- Gutiérrez de la Varga, L.; Rodríguez Suárez, M.L.; Corros Vicente, C. Myocarditis associated with Campylobacter jejuni infection. Med. Clin. 2017, 148, 333–334. [Google Scholar] [CrossRef]
- Panikkath, R.; Costilla, V.; Hoang, P.; Wood, J.; Gruden, J.F.; Dietrich, B.; Gotway, M.B.; Appleton, C. Chest pain and diarrhea: A case of Campylobacter jejuni-associated myocarditis. J. Emerg. Med. 2014, 46, 180–183. [Google Scholar] [CrossRef]
- Kratzer, C.; Wolf, F.; Graninger, W.; Weissel, M. Acute cardiac disease in a young patient with Campylobacter jejuni infection: A case report. Wien. Klin. Wochenschr. 2010, 122, 315–319. [Google Scholar] [CrossRef]
- Turley, A.J.; Crilley, J.G.; Hall, J.A. Acute myocarditis secondary to Campylobacter jejuni enterocolitis. Resuscitation 2008, 79, 165–167. [Google Scholar] [CrossRef]
- Mera, V.; López, T.; Serralta, J. Take traveller’s diarrhoea to heart. Travel Med. Infect. Dis. 2007, 5, 202–203. [Google Scholar] [CrossRef] [PubMed]
- Pena, L.A.; Fishbein, M.C. Fatal myocarditis related to Campylobacter jejuni infection: A case report. Cardiovasc. Pathol. 2007, 16, 119–121. [Google Scholar] [CrossRef] [PubMed]
- Hannu, T.; Mattila, L.; Rautelin, H.; Siitonen, A.; Leirisalo-Repo, M. Three cases of cardiac complications associated with Campylobacter jejuni infection and review of the literature. Eur. J. Clin. Microbiol. Infect. Dis. 2005, 24, 619–622. [Google Scholar] [CrossRef] [PubMed]
- Hamdulay, S.S.; Brull, D.J.; Spyrou, N.; Holdright, D.R. A diarrhoeal illness complicated by heart failure. Hosp. Med. 2004, 65, 756–757. [Google Scholar] [CrossRef]
- Cunningham, C.; Lee, C.H. Myocarditis related to Campylobacter jejuni infection: A case report. BMC Infect. Dis. 2003, 3, 16. [Google Scholar] [CrossRef]
- Wanby, P.; Olsen, B. Myocarditis in a patient with Salmonella and Campylobacter enteritis. Scand. J. Infect. Dis. 2001, 33, 860–862. [Google Scholar]
- Cox, I.D.; Fluck, D.S.; Joy, M.D. Campylobacter myocarditis; loose bowels and a baggy heart. Eur. J. Heart Fail. 2001, 3, 105–107. [Google Scholar] [CrossRef] [PubMed]
- Florkowski, C.M.; Ikram, R.B.; Crozier, I.M.; Ikram, H.; Berry, M.E. Campylobacter jejuni myocarditis. Clin. Cardiol. 1984, 7, 558–559. [Google Scholar] [CrossRef]
- Inoue, S.; Shinohara, F.; Sakai, T.; Niitani, H.; Saito, T.; Hiromoto, J.; Otsuka, T. Myocarditis and arrhythmia: A clinico-pathological study of the conduction system based on serial section in 65 cases. Jpn. Circ. J. 1989, 53, 49–57. [Google Scholar] [CrossRef]
- Bazoukis, G.; Stavrakis, S.; Armoundas, A.A. Vagus nerve stimulation and inflammation in cardiovascular disease: A state-of-the-art review. J. Am. Heart Assoc. 2023, 12, e030539. [Google Scholar] [CrossRef]
- D’Souza, A.; Sharma, S.; Boyett, M.R. CrossTalk opposing view: Bradycardia in the trained athlete is attributable to a downregulation of a pacemaker channel in the sinus node. J. Physiol. 2015, 593, 1749–1751. [Google Scholar] [CrossRef] [PubMed]
- Pacher, P.; Kecskemeti, V. Cardiovascular side effects of new antidepressants and antipsychotics: New drugs, old concerns? Curr. Pharm. Des. 2004, 10, 2463–2475. [Google Scholar] [CrossRef] [PubMed]
- Ababneh, D.; Ritchie, H.; Webster, W.S. Antidepressants cause bradycardia and heart block in GD 13 rat embryos in vitro. Birth Defects Res. B Dev. Reprod. Toxicol. 2012, 95, 184–193. [Google Scholar] [CrossRef] [PubMed]
- Arbelo, E.; Protonotarios, A.; Gimeno, J.R.; Arbustini, E.; Barriales-Villa, R.; Basso, C.; Bezzina, C.R.; Biagini, E.; Blom, N.A.; de Boer, R.A.; et al. 2023 ESC Guidelines for the management of cardiomyopathies. Eur. Heart J. 2023, 44, 3503–3626. [Google Scholar]
- Sanchez Tijmes, F.; Thavendiranathan, P.; Udell, J.A.; Seidman, M.A.; Hanneman, K. Cardiac MRI assessment of nonischemic myocardial inflammation: State-of-the-art review and update on myocarditis associated with COVID-19 vaccination. Radiol. Cardiothorac. Imaging 2021, 3, e210252. [Google Scholar] [CrossRef]
- Joudar, I.; Aichouni, N.; Nasri, S.; Kamaoui, I.; Skiker, I. Diagnostic criteria for myocarditis on cardiac magnetic resonance imaging: An educational review. Ann. Med. Surg. 2023, 85, 3960–3964. [Google Scholar] [CrossRef]
- Ammirati, E.; Buono, A.; Moroni, F.; Gigli, L.; Power, J.R.; Ciabatti, M.; Garascia, A.; Adler, E.D.; Pieroni, M. State-of-the-art of endomyocardial biopsy on acute myocarditis and chronic inflammatory cardiomyopathy. Curr. Cardiol. Rep. 2022, 24, 597–609. [Google Scholar] [CrossRef]
- Ammirati, E.; Frigerio, M.; Adler, E.D.; Basso, C.; Birnie, D.H.; Brambatti, M.; Friedrich, M.G.; Klingel, K.; Lehtonen, J.; Moslehi, J.J.; et al. Management of acute myocarditis and chronic inflammatory cardiomyopathy: An expert consensus document. Circ. Heart Fail. 2020, 13, e007405. [Google Scholar] [CrossRef]
- Martens, P.; Cooper, L.T.; Tang, W.H.W. Diagnostic Approach for Suspected Acute Myocarditis: Considerations for Standardization and Broadening Clinical Spectrum. J. Am. Heart Assoc. 2023, 12, e031454. [Google Scholar] [CrossRef]
- Gilbert, D.N.; Moellering, R.C. (Eds.) The Sanford Guide to Antimicrobial Therapy 2007, 37th ed.; Antimicrobial Therapy, Inc.: Sperryville, VA, USA, 2007; p. 15. [Google Scholar]
- Kuschner, R.A.; Trofa, A.F.; Thomas, R.J.; Hoge, C.W.; Pitarangsi, C.; Amato, S.; Olafson, R.P.; Echeverria, P.; Sadoff, J.C.; Taylor, D.N. Use of azithromycin for the treatment of Campylobacter enteritis in travelers to Thailand, an area where ciprofloxacin resistance is prevalent. Clin. Infect. Dis. 1995, 21, 536–541. [Google Scholar] [CrossRef]





| Case Report | Number of Patients | Age (Years) | Sex (M/F) | Peak Cardiac Troponin | ECG | Echocardiography | CMR | Antibiotics | Outcomes |
|---|---|---|---|---|---|---|---|---|---|
| Suehiro W et al., 2023 [12] | 1 | 20 | Male | 12,794.7 pg/mL (n.r. 1–25 pg/mL) | Slightly elevated ST segments in leads I, II, aVF, V5, and V6 | Decreased systolic left-ventricular function with diffuse hypokinesis and an LVEF of 40%, no pericardial effusion | LGE in the inferior wall and high-intensity area on T2-weighted image in part of the inferior wall | No |
|
| Mohamed Jiffry MZ et al., 2023 [13] | 2 | 35 | Male | 160 ng/L (n.r. <22 ng/L) | Nonspecific ST segment elevation in leads V2-V5 | LVEF 60–65% with no regional wall motion abnormalities and no pericardial effusion | No | Azithromycin 500 mg q.d. Metronidazole 500 mg b.i.d. |
|
| 21 | Male | 818 ng/L (n.r. <22 ng/L) | ST segment elevation in leads II, III, and aVF with reciprocal ST depressions in leads I and aVL | Borderline-normal systolic function, LVEF 50–55%, focal areas of severe hypercontractility in the inferior, inferolateral, and lateral walls, severely hypocontractile apex and apical segments, no pericardial effusion | No | No |
| ||
| Kojima N et al., 2022 [14] | 1 | 13 | Male | NA | Normal | LVEF = 75% without other dilatations in any chambers | Diffuse LGE at the epicardium | No |
|
| Belfeki N et al., 2022 [15] | 1 | 23 | Male | 678 ng/L (n.r. <14 ng/L) | Left-axis deviation with regular sinusal tachycardia | LVEF 55% with normal wall motions, no valvular dysfunction, normal pulmonary pressure and no pericardial effusion | Focal areas of hypersignal in the subepicardium of the posterolateral LV wall indicating myocardial edema, early hypersignal in the subepicardium of the posterolateral LV wall indicating focal hyperemia, subepicardial nodular lesions of myocardial damage | Azithromycin 1 g |
|
| Chantzaras AP et al., 2021 [16] | 1 | 13 | Female | 456.4 pg/mL (n.r. <14 pg/mL) | Normal | LVEF >65% and no pericardial effusion | No markers of myocardial inflammation or necrosis | Azithromycin (initial dose of 10 mg/kg followed by 5 mg/kg once) |
|
| Yaita S et al., 2020 [17] | 1 | 16 | Male | 1.71 ng/mL | ST elevation in leads II, aVF, V3, V4, V5, and V6 | Normal | No | No |
|
| Daboussi O et al., 2020 [9] | 1 | 25 | Male | 136 ng/mL (n.r. 0–14 ng/mL) | Normal | Normal, LVEF 57% | Reduced LV systolic function (45%), areas of increased signal intensity on T2-weighted images suggesting myocardial edema, delayed enhancement of the lateral wall | Erythromicin 2 g daily |
|
| Greenfield GM et al., 2018 [18] | 1 | 31 | Male | 402 ng/L | Normal | Normal | Normal LV volumes and function with localized myocardial edema and contrast enhancement within the basal inferolateral wall | No |
|
| Obafemi MT et al., 2017 [19] | 1 | 25 | Male | 1963 ng/L (n.r. <14 ng/L) | ST depression in anteroseptal lead | Mildly impaired LV systolic function, hypokinetic basal to mid-inferior septum and posterolateral wall, no pericardial effusion | No |
|
|
| Gutiérrez de la Varga L et al., 2017 [20] | 1 | 55 | Male | 676 (maximum 35) | NA | Normal | Presence of edema and enhancement without delay | Clarithromycin |
|
| Panikkath R et al., 2014 [21] | 1 | 43 | Male | 1.75 ng/mL (n.r. up to 0.03 ng/mL) | Mild ST segment elevations in the lateral leads without T wave inversions | LVEF 68%, with wall motion abnormalities in the inferior septum | Subepicardial and midmyocardial enhancement in the anterolateral wall and interventricular septum | Azithromycin 500 mg p.o. daily |
|
| De Cock D et al., 2012 [11] | 3 | 42 | Male | 15.6 μg/L (n.r. <0.13 μg/L) | Repolarization disturbances in the inferolateral leads | Moderately decreased systolic LV function with diffuse hypokinesia | Reduced LV systolic function (LVEF 40%), myocardial edema, diffuse and persisting enhancement of the subepicardium and the midwall | Azithromycin |
|
| 34 | Male | 8.9 μg/L (n.r. <0.13 μg/L) | Elevated ST segments in leads V4-V6 | Diffuse hypokinesia and moderately decreased LV function (EF 40%) | LGE confined to the subepicardium of the inferolateral wall, small pericardial effusion, global systolic LV function mildly decreased (EF 50%) with hypokinesia in the affected segments | No |
| ||
| 21 | Male | 11.6 μg/L (n.r. <0.13 μg/L) | Elevated ST segments in leads V4-V6 | Moderately decreased systolic LV function (LVEF 40%) | Mild enlargement of both ventricles, small pericardial effusion, myocardial edema in the lateral wall of the LV, LGE of the subepicardium | Ciprofloxacin |
| ||
| Kratzer C et al., 2010 [22] | 1 | 19 | Male | 0.52 ng/mL | Sinus tachycardia, strain on the right side of the heart with right-axis deviation, S wave in lead I and Q wave in lead III, and signs of myocardial injury with ST segment elevations in posterior and lateral leads | Severe hypokinetic area at the apex region | Spotted hyperenhancement on the late enhancement sequences in the area of the left ventricle from the heart base to the medial third; inferoseptal unctum maximum in lateral, inferolateral, and circumscribed directions | Ciprofloxacin IV |
|
| Turley AJ et al., 2008 [23] | 1 | 24 | Male | 1.4 ng/mL (n.r. <0.01 ng/mL) | ST elevation in leads V1-V4, II | Small pericardial effusion (<1 cm) with an akinetic LV apical segment and an abnormal appearance of the LV apex | Patchy gadolinium enhancement | Erythromycin |
|
| Mera V et al., 2007 [24] | 1 | 43 | Male | Positive (levels NA) | ST segment elevation, along with isodifasic T wave, in leads I, aVL, and V4-V6 | Uncertain apical akinesis | No | Clarithromycin 500 mg b.i.d. |
|
| Pena LE et al., 2007 [25] | 1 | 16 | Male | NA | NA | NA | No | No |
|
| Hannu T et al., 2005 [26] | 1 | 43 | Male | NA | Depression of inferolateral ST segments | Normal | No | Erythromycin |
|
| Hamdulay SS et al., 2004 [27] | 1 | 34 | Male | 0.59 ng/L | Sinus tachycardia with ST segment elevation in leads V2–V4 | Significant LV impairment (LVEF 30%) with antero-apical hypokinesia | No | Erythromycin |
|
| Cunningham C et al., 2003 [28] | 1 | 30 | Male | 30.2 µg/L (n.r. 0–0.5 µg/L) | T wave inversion in the lateral and inferior leads | Normal | No | Ciprofloxacin 500 mg bid |
|
| Wanby P et al., 2001 [29] | 1 | 26 | Male | 58 μg/L (n.r. up to 1.0 μg/L) | Inferolateral ST wave elevations | Normal | No | No |
|
| Coc ID et al., 2001 [30] | 1 | 32 | Male | NA [elevated CPK and CK-MB] | Low atrial rhythm with a mean frontal QRS axis of 30 degrees and symmetrically inverted T waves in leads V4-6, SI, and aVL | Dilated LV [LVIDd 6.8 cm, LVIDs 6.0 cm] with globally impaired systolic function and mild mitral regurgitation | Diffuse enhancement in myocardial signal intensity following the IV administration of gadolinium–DTPA; active inflammation in the septum and lateral wall | Gentamycin |
|
| Florkowski CM et al., 1984 [31] | 1 | 23 | Male | NA [elevated CPK and CK-MB] | ST changes and T wave inversion in the chest leads | Normal | No | No |
|
Disclaimer/Publisher’s Note: The statements, opinions and data contained in all publications are solely those of the individual author(s) and contributor(s) and not of MDPI and/or the editor(s). MDPI and/or the editor(s) disclaim responsibility for any injury to people or property resulting from any ideas, methods, instructions or products referred to in the content. |
© 2024 by the authors. Licensee MDPI, Basel, Switzerland. This article is an open access article distributed under the terms and conditions of the Creative Commons Attribution (CC BY) license (https://creativecommons.org/licenses/by/4.0/).
Share and Cite
Zouganeli, V.; Kourek, C.; Bistola, V.; Mademli, M.; Grigoropoulos, I.; Thomas, K.; Tsiodras, S.; Filippatos, G.; Farmakis, D. Campylobacter jejuni-Related Myocarditis: A Case Report and Review of the Literature. J. Clin. Med. 2024, 13, 7551. https://doi.org/10.3390/jcm13247551
Zouganeli V, Kourek C, Bistola V, Mademli M, Grigoropoulos I, Thomas K, Tsiodras S, Filippatos G, Farmakis D. Campylobacter jejuni-Related Myocarditis: A Case Report and Review of the Literature. Journal of Clinical Medicine. 2024; 13(24):7551. https://doi.org/10.3390/jcm13247551
Chicago/Turabian StyleZouganeli, Virginia, Christos Kourek, Vasiliki Bistola, Maria Mademli, Ioannis Grigoropoulos, Konstantinos Thomas, Sotirios Tsiodras, Gerasimos Filippatos, and Dimitrios Farmakis. 2024. "Campylobacter jejuni-Related Myocarditis: A Case Report and Review of the Literature" Journal of Clinical Medicine 13, no. 24: 7551. https://doi.org/10.3390/jcm13247551
APA StyleZouganeli, V., Kourek, C., Bistola, V., Mademli, M., Grigoropoulos, I., Thomas, K., Tsiodras, S., Filippatos, G., & Farmakis, D. (2024). Campylobacter jejuni-Related Myocarditis: A Case Report and Review of the Literature. Journal of Clinical Medicine, 13(24), 7551. https://doi.org/10.3390/jcm13247551

