Renal Artery Stenosis and Mid-Aortic Syndrome in Children—A Review
Abstract
1. Introduction
2. Epidemiology
3. Etiology
3.1. Fibromuscular Dysplasia
3.2. Takayasu Disease
3.3. Syndromic Diseases
3.4. Mid-Aortic Syndrome
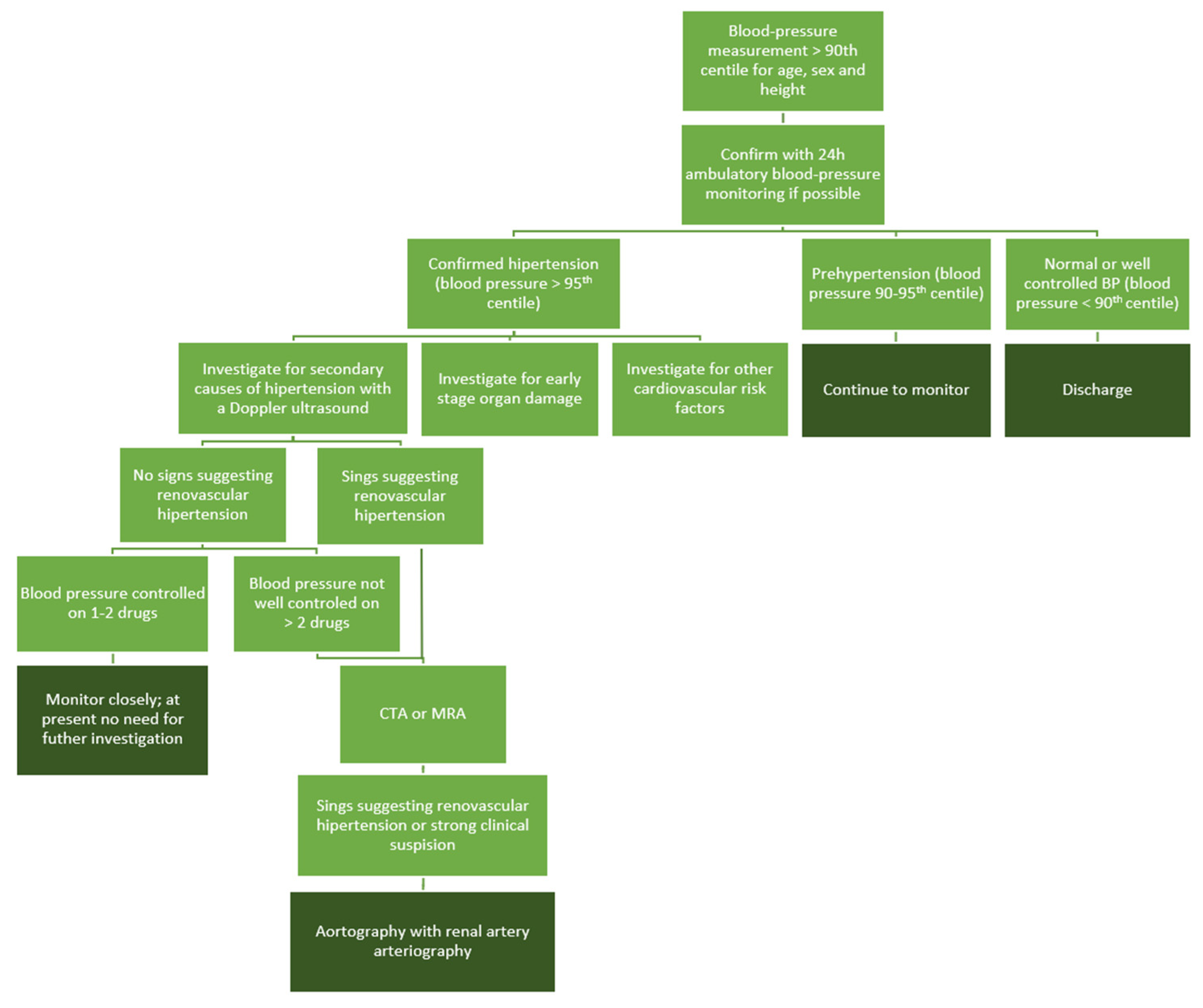
4. Clinical Manifestations
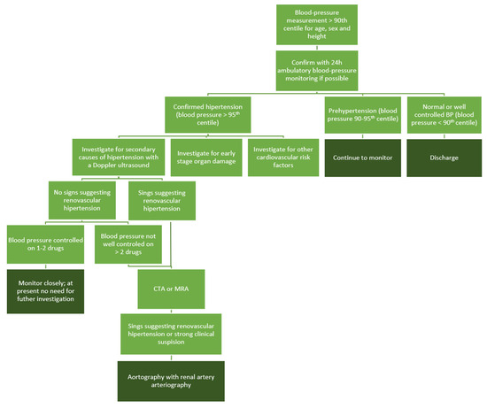
5. Laboratory Evaluations
6. Radiological Imaging
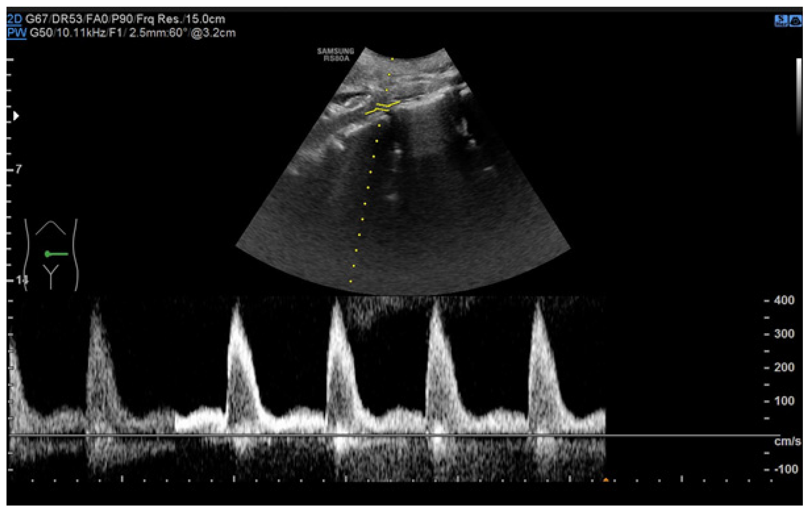
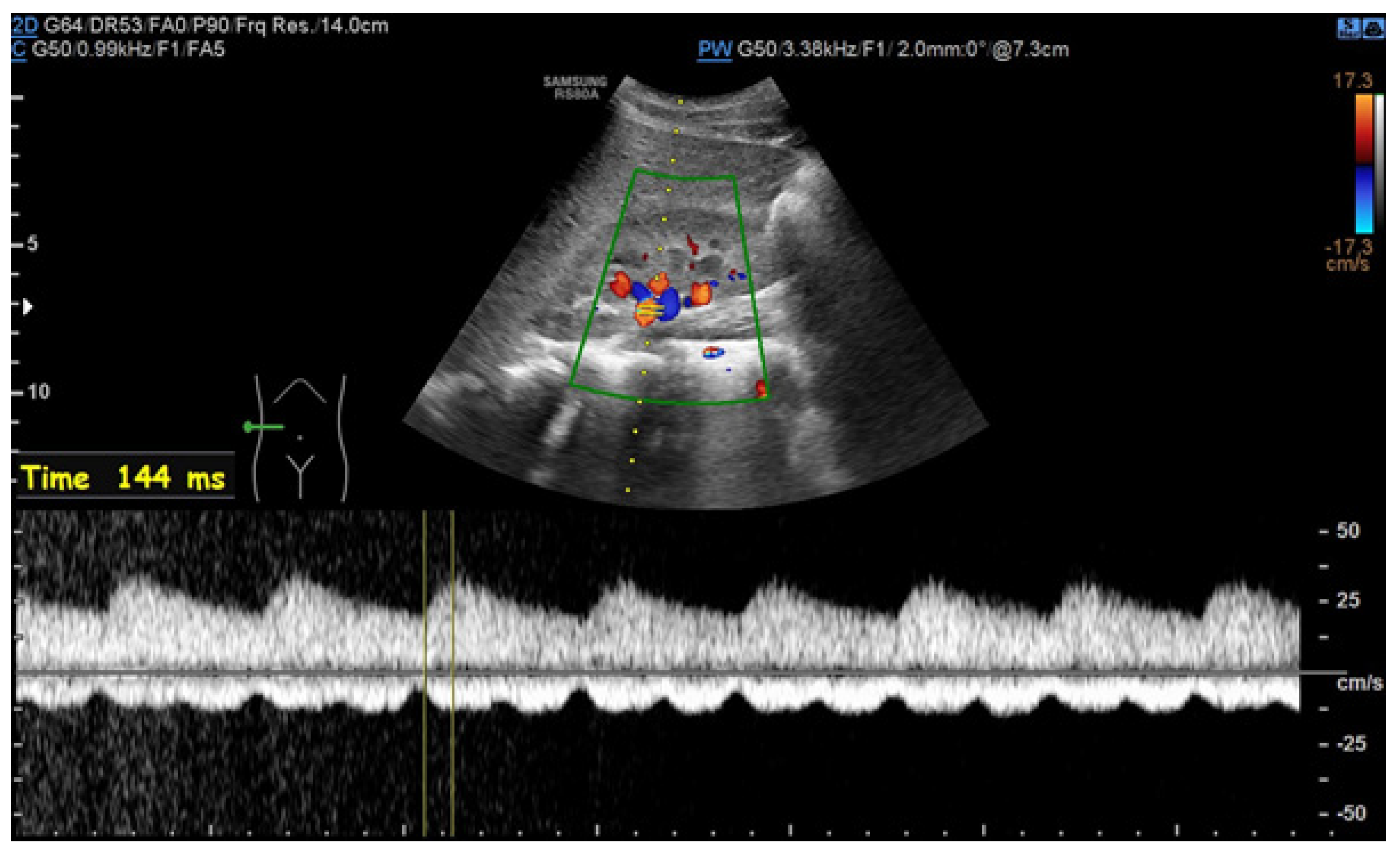
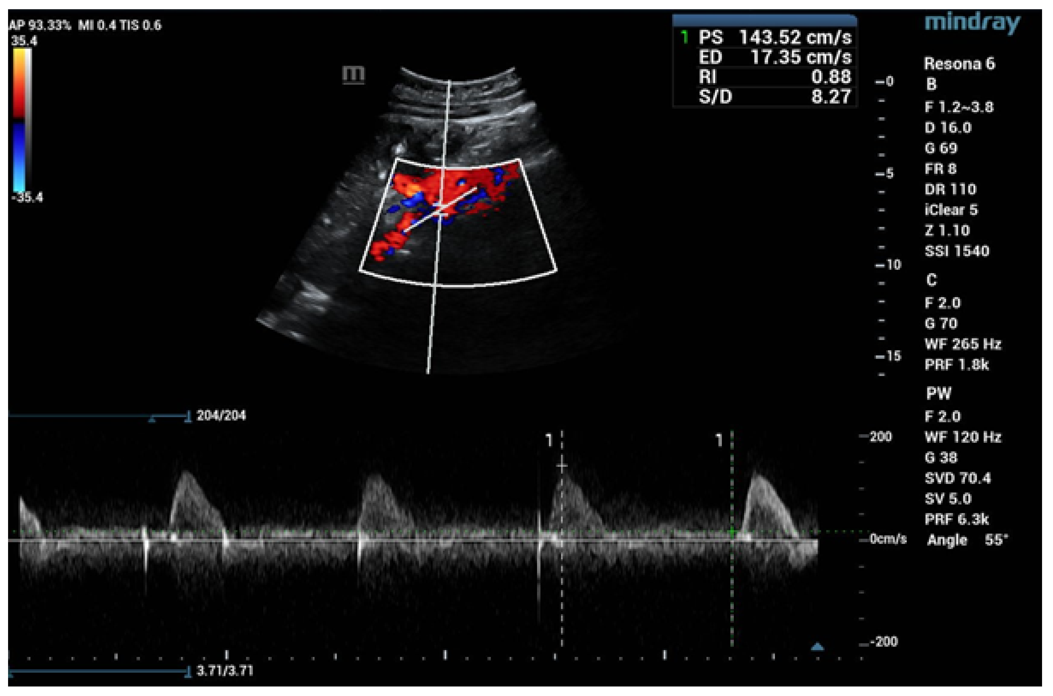
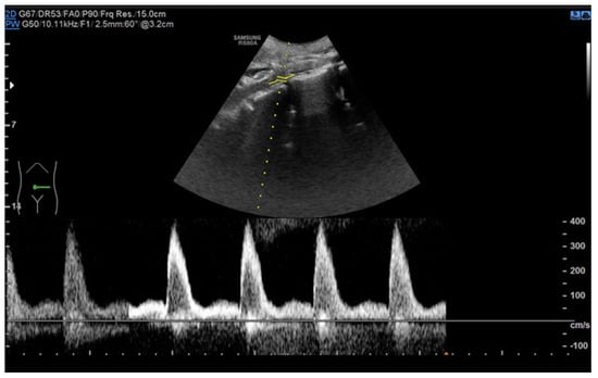
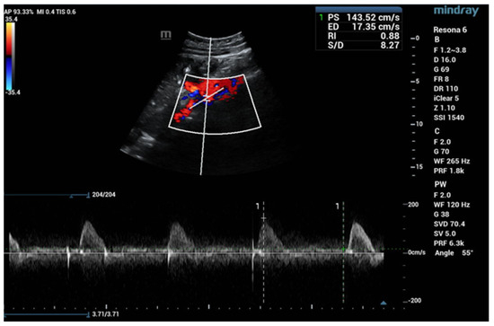
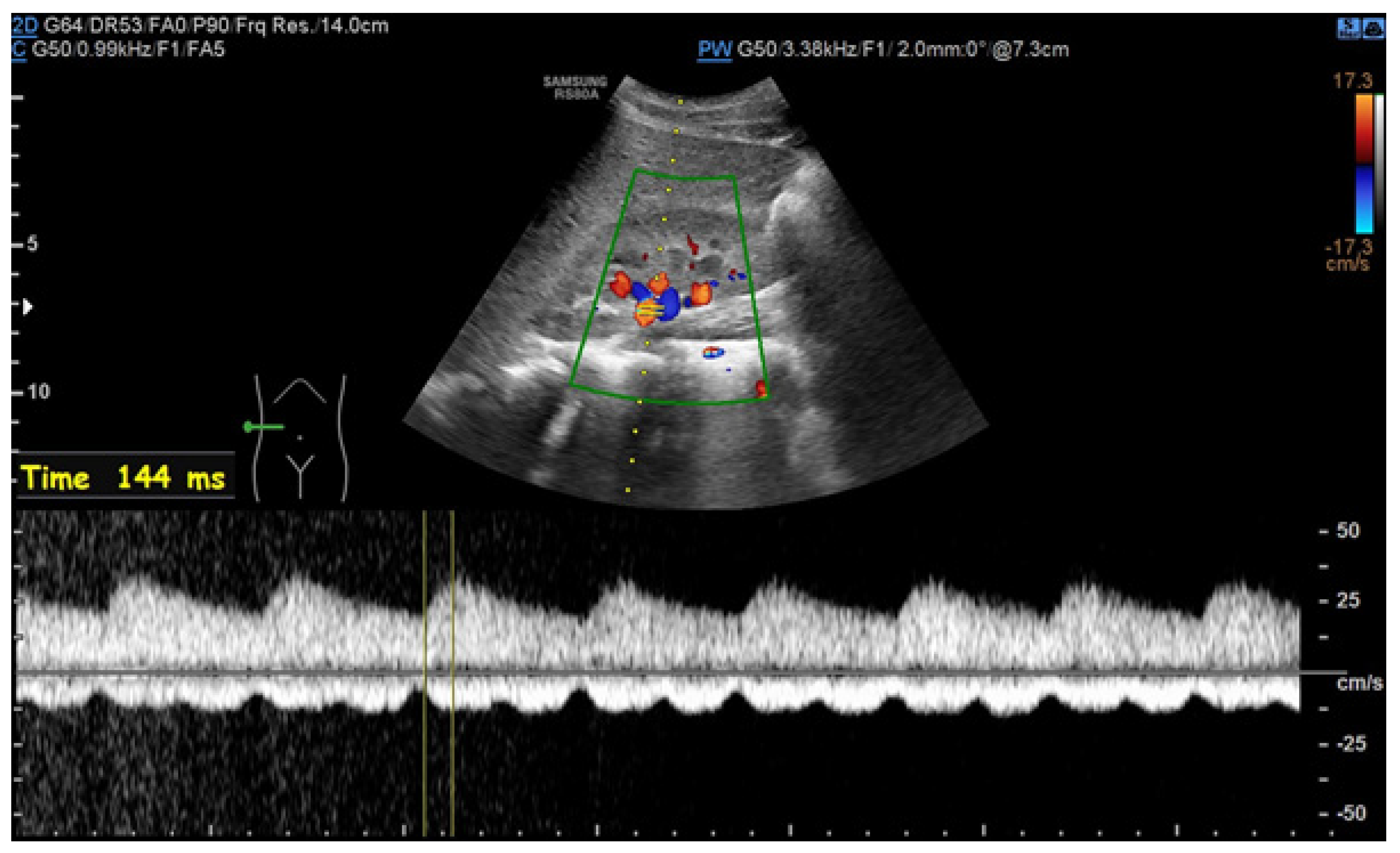
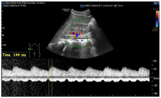
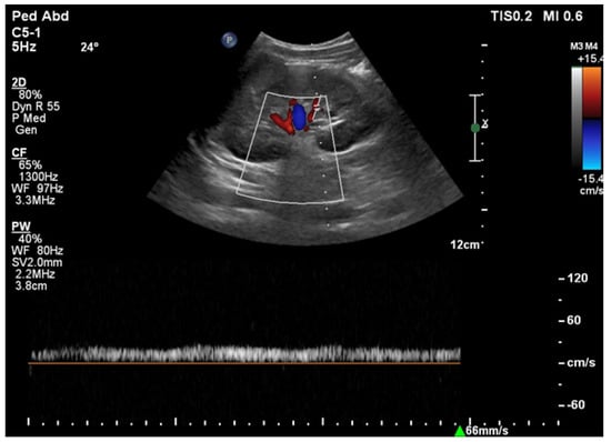
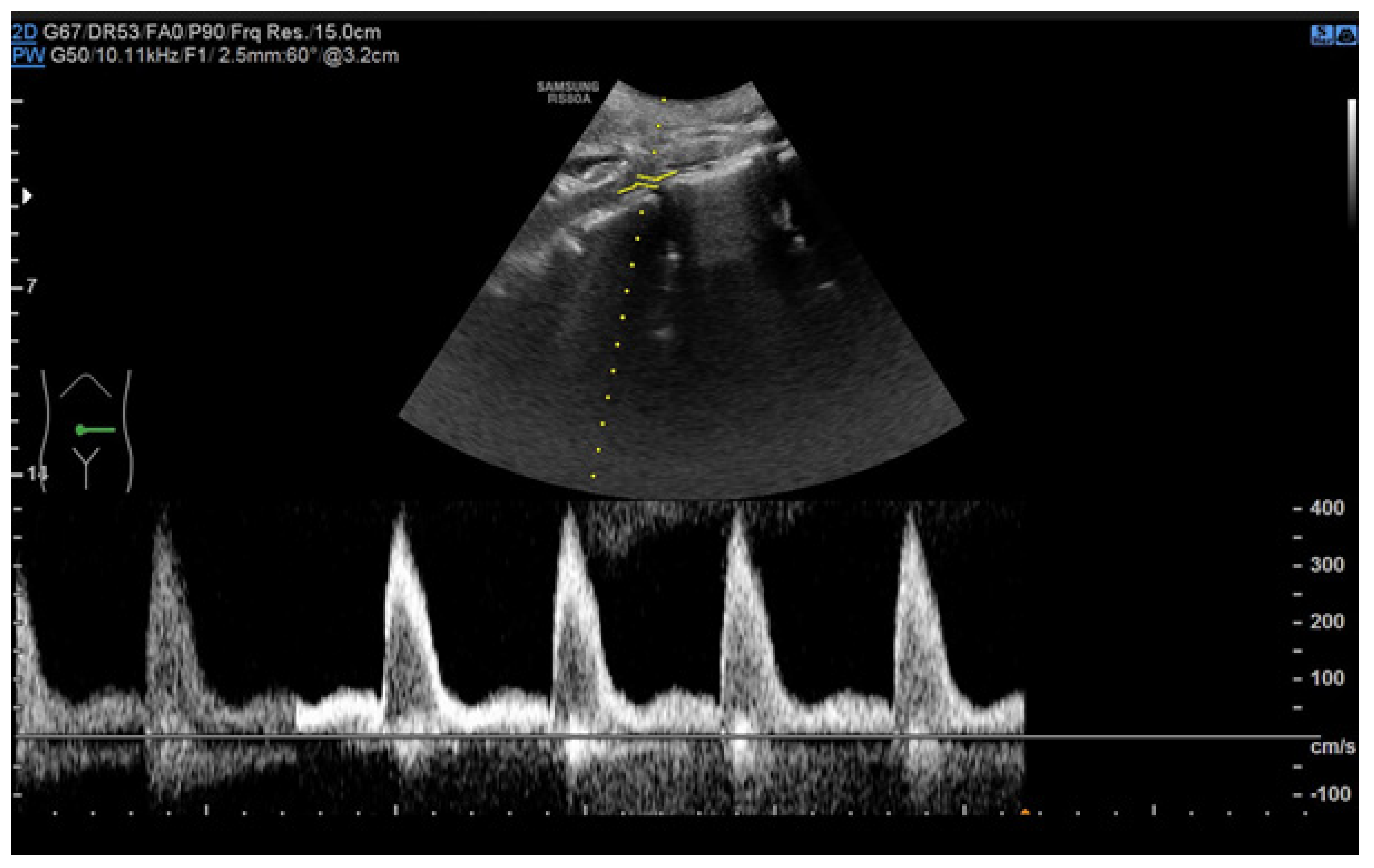
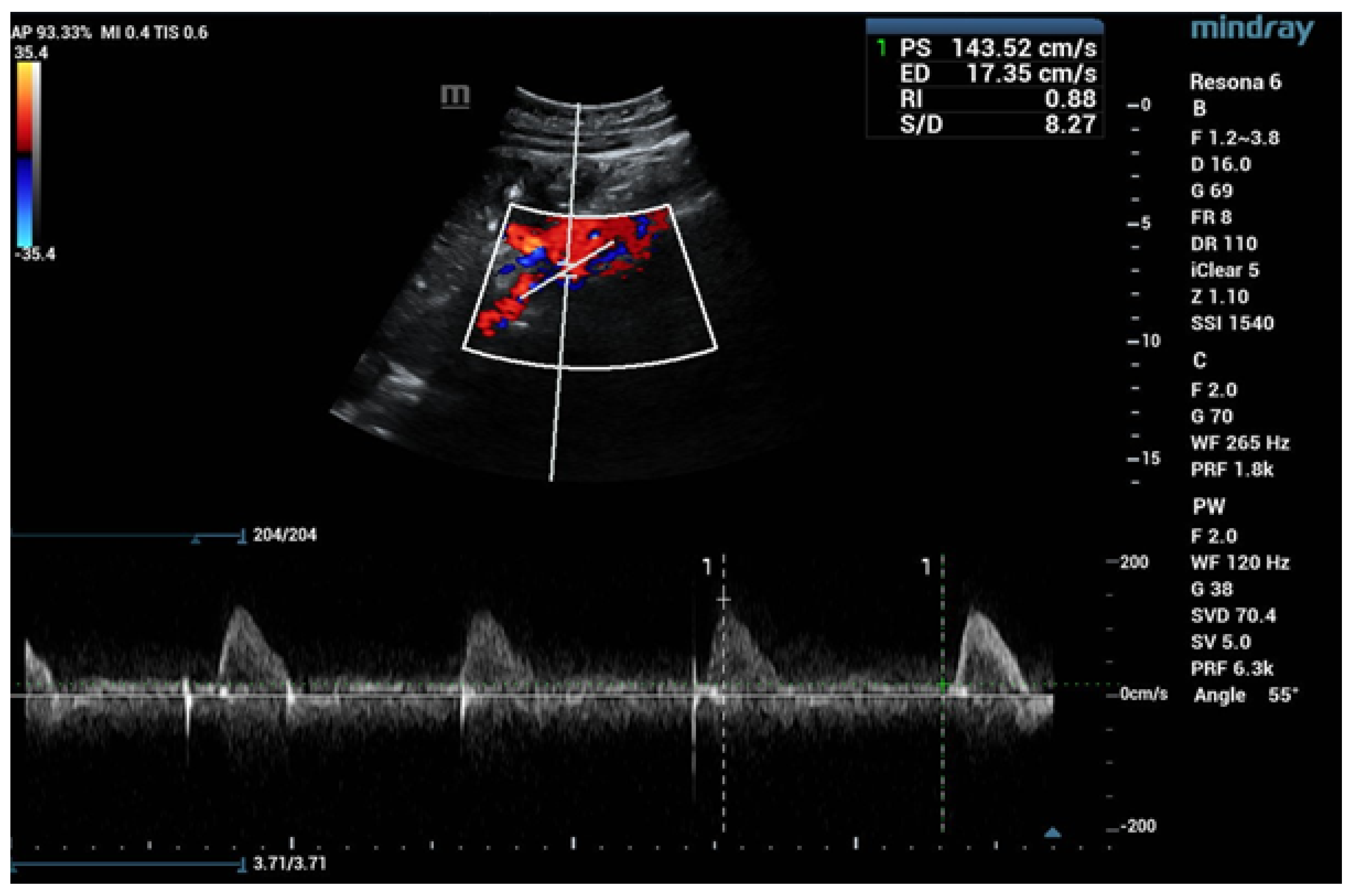
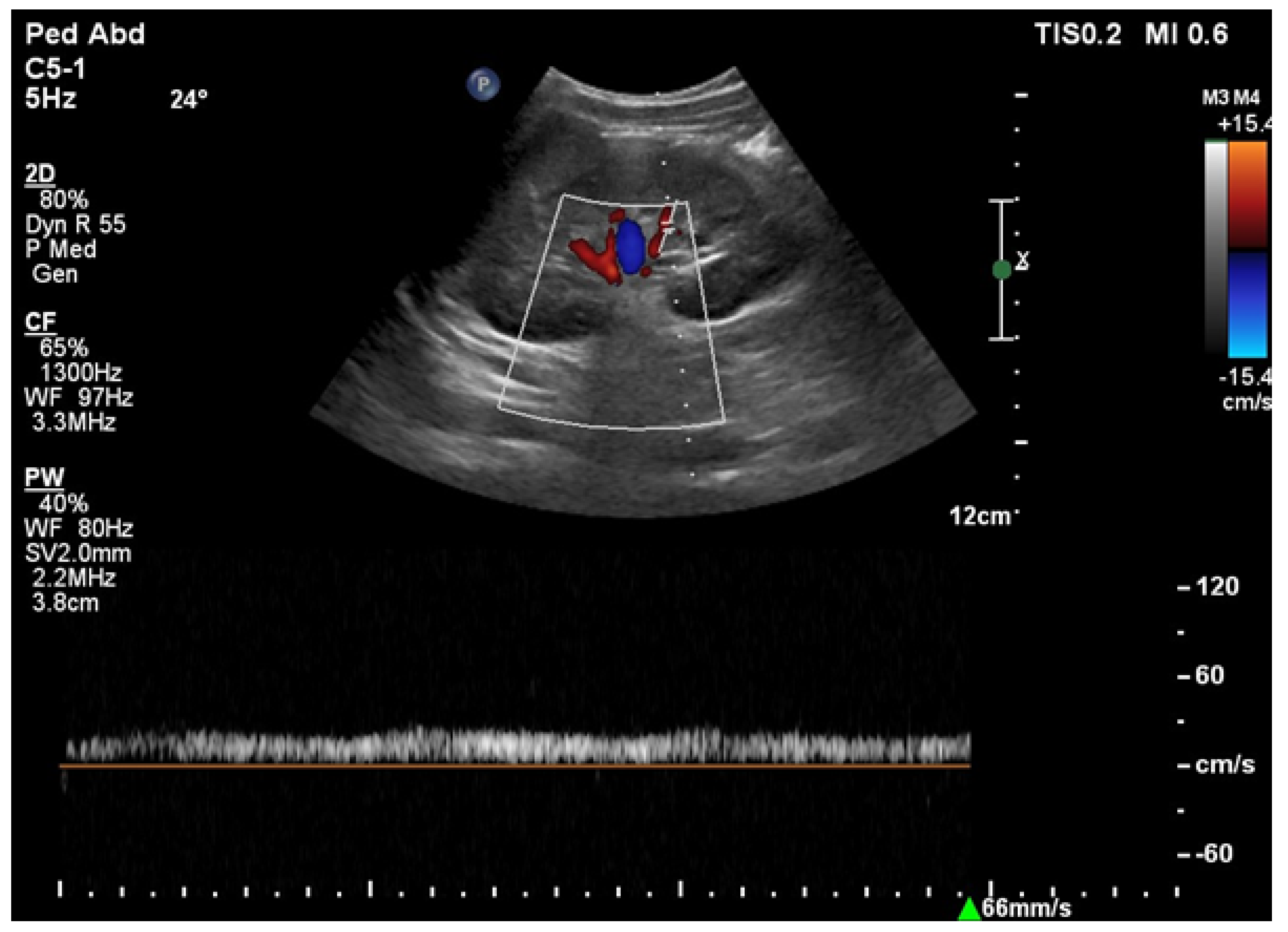
6.1. Ultrasound
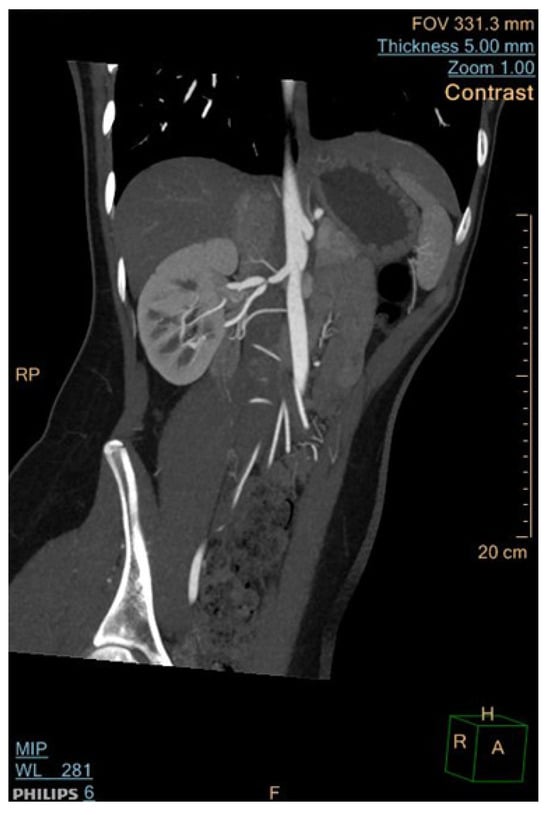
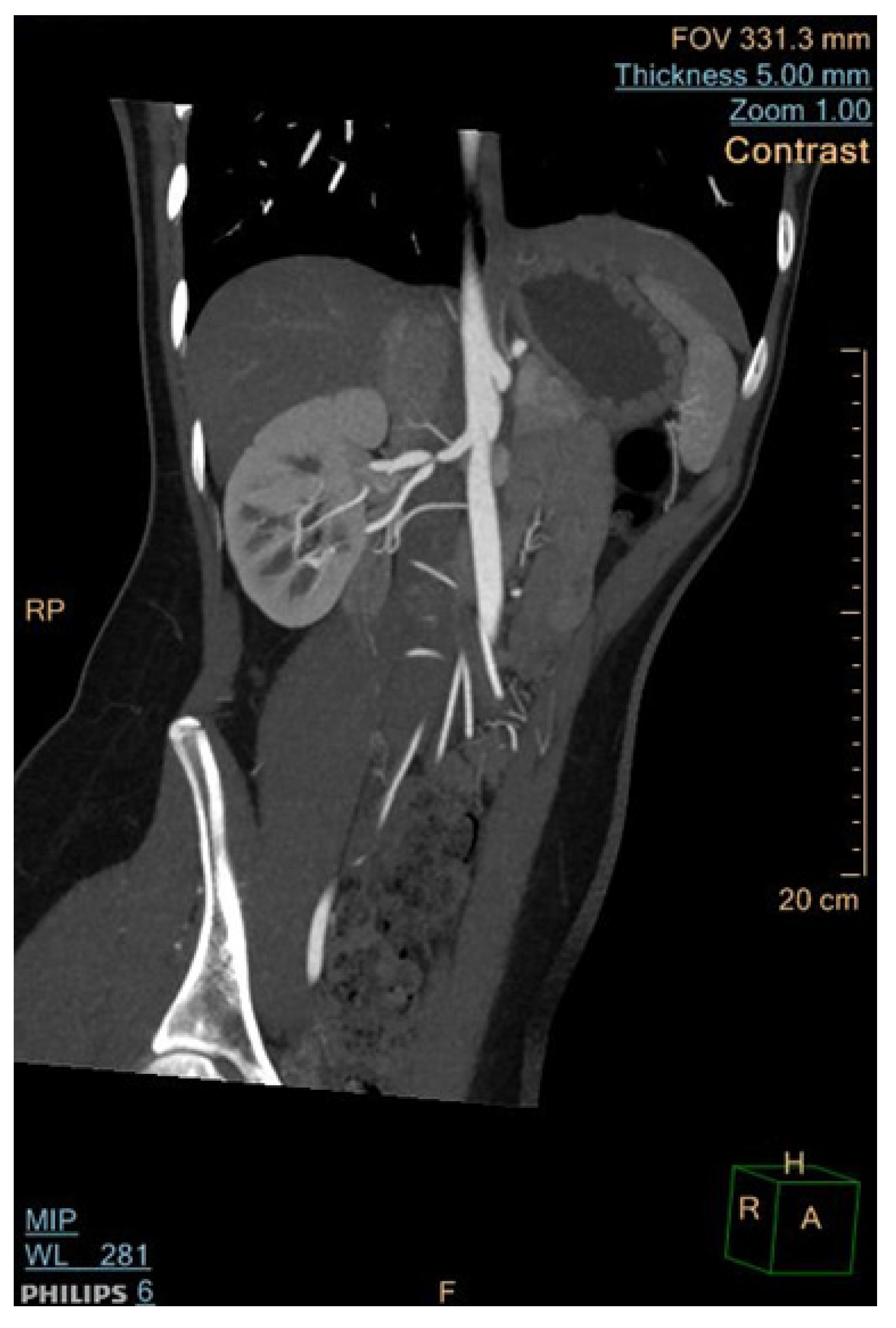
6.2. Computed Tomographic Angiography (CTA)
6.3. Magnetic Resonance Angiography (MRA)
6.4. Renal Angiography
7. Management
Medical Management—Pharmacotherapy
8. Endovascular Management
8.1. Renal Angioplasty
8.2. Renal Artery Stenting
8.3. Aortic Angioplasty
8.4. Ethanol Ablation
8.5. Surgery
8.6. Management of Mid-Aortic Syndrome
8.7. Anticoagulation in Patients with RAS and MAS
9. Conclusions
Author Contributions
Funding
Acknowledgments
Conflicts of Interest
References
- Tullus, K.; Brennan, E.; Hamilton, G.; Lord, R.; McLaren, C.A.; Marks, S.D.; Roebuck, D.J. Renovascular hypertension in children. Lancet 2008, 371, 1453–1463. [Google Scholar] [CrossRef] [PubMed]
- Sen, P.K.; Kinare, S.G.; Engineer, S.D.; Parulkar, G.B. The Middle Aortic Syndrome. Br. Heart J. 1963, 25, 610–618. [Google Scholar] [CrossRef] [PubMed]
- Villegas, L.; Cahill, A.M.; Meyers, K. Pediatric Renovascular Hypertension: Manifestations and Management. Indian Pediatr. 2020, 57, 443–451. [Google Scholar] [CrossRef] [PubMed]
- Forman, N.; Sinskey, J.; Shalabi, A. A Review of Middle Aortic Syndromes in Pediatric Patients. J. Cardiothorac. Vasc. Anesth. 2020, 34, 1042–1050. [Google Scholar] [CrossRef] [PubMed]
- Persu, A.; Canning, C.; Prejbisz, A.; Dobrowolski, P.; Amar, L.; Chrysochou, C.; Kądziela, J.; Litwin, M.; van Twist, D.; Van der Niepen, P.; et al. Beyond Atherosclerosis and Fibromuscular Dysplasia: Rare Causes of Renovascular Hypertension. Hypertension 2021, 78, 898–911. [Google Scholar] [CrossRef]
- Kurt-Sukur, E.D.; Brennan, E.; Davis, M.; Forman, C.; Hamilton, G.; Kessaris, N.; Marks, S.D.; McLaren, C.A.; Minhas, K.; Patel, P.A.; et al. Presentation, treatment, and outcome of ren-ovascular hypertension below 2 years of age. Eur. J. Pediatr. 2022, 181, 3367–3375. [Google Scholar] [CrossRef]
- Song, P.; Zhang, Y.; Yu, J.; Zha, M.; Zhu, Y.; Rahimi, K.; Rudan, I. Global Prevalence of Hypertension in Children. JAMA Pediatr. 2019, 173, 1154–1163. [Google Scholar] [CrossRef]
- Wyszyńska, T.; Cichocka, E.; Wieteska-Klimczak, A.; Jobs, K.; Januszewicz, P. A single pediatric center experience with 1025 children with hypertension. Acta Paediatr. 1992, 81, 244–246. [Google Scholar] [CrossRef]
- Gill, D.G.; de Costa, B.M.; Cameron, J.S.; Joseph, M.C.; Ogg, C.S.; Chantler, C. Analysis of 100 children with severe and persistent hypertension. Arch. Dis. Child. 1976, 51, 951–956. [Google Scholar] [CrossRef][Green Version]
- Bayazit, A.K.; Yalcinkaya, F.; Cakar, N.; Duzova, A.; Bircan, Z.; Bakkaloglu, A.; Canpolat, N.; Kara, N.; Sirin, A.; Ekim, M.; et al. Reno-vascular hypertension in childhood: A nationwide survey. Pediatr. Nephrol. 2007, 22, 1327–1333. [Google Scholar] [CrossRef]
- Rumman, R.K.; Nickel, C.; Matsuda-Abedini, M.; Lorenzo, A.J.; Langlois, V.; Radhakrishnan, S.; Amaral, J.; Mertens, L.; Parekh, R.S. Disease Beyond the Arch: A Sys-tematic Review of Middle Aortic Syndrome in Childhood. Am. J. Hypertens. 2015, 28, 833–846. [Google Scholar] [CrossRef] [PubMed]
- Lurbe, E.; Agabiti-Rosei, E.; Cruickshank, J.K.; Dominiczak, A.; Erdine, S.; Hirth, A.; Invitti, C.; Litwin, M.; Mancia, G.; Pall, D.; et al. 2016 European Society of Hypertension guidelines for the management of high blood pressure in children and adolescents. J. Hypertens. 2016, 34, 1887–1920. [Google Scholar] [CrossRef] [PubMed]
- Viering, D.H.; Chan, M.M.; Hoogenboom, L.; Iancu, D.; de Baaij, J.H.; Tullus, K.; Kleta, R.; Bockenhauer, D. Genetics of renovascular hypertension in children. J. Hypertens. 2020, 38, 1964–1970. [Google Scholar] [CrossRef] [PubMed]
- Ozlu, S.; Ece, I.; Koca, S.; Ozbulbul, N. Nine-year-old Boy with Renovascular Hypertension: Knowing Where to Look. Saudi J. Kidney Dis. Transplant. 2023, 34, 270–274. [Google Scholar] [CrossRef] [PubMed]
- Gidi, N.W.; Tesfaye, W.; Beshir, M. Unilateral Renal Artery Stenosis Associated with Severe Hypertension: Atypical Presentation of Tuberculosis. Ethiop. J. Health Sci. 2021, 31, 911–913. [Google Scholar] [CrossRef]
- Warchol-Celinska, E.; Prejbisz, A.; Dobrowolski, P.; Klisiewicz, A.; Kadziela, J.; Florczak, E.; Michalowska, I.; Jozwik-Plebanek, K.; Kabat, M.; Kwiatek, P.; et al. Systematic and Multidisciplinary Evaluation of Fibromuscular Dysplasia Patients Reveals High Prevalence of Previously Undetected Fibromuscular Dysplasia Lesions and Affects Clinical Decisions: The ARCADIA-POL Study. Hypertension 2020, 75, 1102–1109. [Google Scholar] [CrossRef]
- Green, R.; Gu, X.; Kline-Rogers, E.; Froehlich, J.; Mace, P.; Gray, B.; Katzen, B.; Olin, J.; Gornik, H.L.; Cahill, A.M.; et al. Differences between the pediatric and adult presentation of fibromuscular dysplasia: Results from the US Registry. Pediatr. Nephrol. 2016, 31, 641–650. [Google Scholar] [CrossRef]
- Tullus, K. Renovascular hypertension—Is it fibromuscular dysplasia or Takayasu arteritis. Pediatr. Nephrol. 2013, 28, 191–196. [Google Scholar] [CrossRef]
- de Oliveira Campos, J.L.; Bitencourt, L.; Pedrosa, A.L.; Silva, D.F.; Lin, F.J.J.; de Oliveira Dias, L.T.; Simões e Silva, A.C. Renovascular hypertension in pediatric patients: Update on diagnosis and management. Pediatr. Nephrol. 2021, 36, 3853–3868. [Google Scholar] [CrossRef]
- Radford, D.J.; Pohlner, P.G. The middle aortic syndrome: An important feature of Williams’ Syndrome. Cardiol. Young 2000, 10, 597–602. [Google Scholar] [CrossRef]
- Pober, B.R. Williams–Beuren Syndrome. N. Engl. J. Med. 2010, 362, 239–252. [Google Scholar] [CrossRef] [PubMed]
- Quek, S.C.; Tan, F.L.; Quek, S.T.; Yip, W.; Aw, F.M.; Quak, S.H. Abdominal Coarctation and Alagille Syndrome. Pediatrics 2000, 106, e9. [Google Scholar] [CrossRef] [PubMed]
- Mitchell, E.; Gilbert, M.; Loomes, K.M. Alagille Syndrome. Clin. Liver Dis. 2018, 22, 625–641. [Google Scholar] [CrossRef] [PubMed]
- Alagille, D.; Odièvre, M.; Gautier, M.; Dommergues, J. Hepatic ductular hypoplasia associated with characteristic facies, vertebral malformations, retarded physical, mental, and sexual development, and cardiac murmur. J. Pediatr. 1975, 86, 63–71. [Google Scholar] [CrossRef]
- Lüscher, T.F.; Essandoh, L.K.; Lie, J.; Hollier, L.H.; Sheps, S.G. Renovascular Hypertension: A Rare Cardiovascular Manifestation of the Ehlers-Danlos Syndrome. Mayo Clin. Proc. 1987, 62, 223–229. [Google Scholar] [CrossRef]
- Sivasubramanian, R.; Meyers, K.E. Hypertension in Children and Adolescents with Turner Syndrome (TS), Neurofibromatosis 1 (NF1), and Williams Syndrome (WS). Curr. Hypertens. Rep. 2021, 23, 18. [Google Scholar] [CrossRef]
- Baum, M.A.; Harris, H.W.; Burrows, P.E.; Schofield, D.E.; Somers, M.J.G. Renovascular hypertension in Marfan syndrome. Pediatr. Nephrol. 1997, 11, 499–501. [Google Scholar] [CrossRef]
- Alamo, I.V.C.; Kwartler, C.S.; Regalado, E.R.; Afifi, R.O.; Parkash, S.; Rideout, A.; Guo, D.; Milewicz, D.M. Grange syndrome due to homozygous YY1AP1 missense rare variants. Am. J. Med. Genet. Part A 2019, 179, 2500–2505. [Google Scholar] [CrossRef]
- Curatolo, P.; Bombardieri, R.; Jozwiak, S. Tuberous sclerosis. Lancet 2008, 372, 657–668. [Google Scholar] [CrossRef]
- Flynn, P.M.; Robinson, M.B.; Stapleton, F.B.; Roy, S.; Koh, G.; Tonkin, I.L.D. Coarctation of the aorta and renal artery stenosis in tuberous sclerosis. Pediatr. Radiol. 1984, 14, 337–339. [Google Scholar] [CrossRef]
- Zaki, S.A. Middle aortic syndrome caused by Takayasu arteritis. Heart Views 2012, 13, 116–117. [Google Scholar] [CrossRef] [PubMed]
- Velchev, J.D.; Van Laer, L.; Luyckx, I.; Dietz, H.; Loeys, B. Loeys-Dietz Syndrome. Adv. Exp. Med. Biol. 2021, 1348, 251–264. [Google Scholar] [PubMed]
- Gouda, P.; Kay, R.; Habib, M.; Aziz, A.; Aziza, E.; Welsh, R. Clinical features and complications of Loeys-Dietz syndrome: A systematic review. Int. J. Cardiol. 2022, 362, 158–167. [Google Scholar] [CrossRef] [PubMed]
- Yang, D.D.; Rio, M.; Michot, C.; Boddaert, N.; Yacoub, W.; Garcelon, N.; Thierry, B.; Bonnet, D.; Rondeau, S.; Herve, D.; et al. Natural history of Myhre syndrome. Orphanet J. Rare Dis. 2022, 17, 304. [Google Scholar] [CrossRef] [PubMed]
- Malfait, F.; Francomano, C.; Byers, P.; Belmont, J.; Berglund, B.; Black, J.; Bloom, L.; Bowen, J.M.; Brady, A.F.; Burrows, N.P.; et al. The 2017 international classification of the Ehlers-Danlos syndromes. Am. J. Med. Genet. Part C Semin. Med. Genet. 2017, 175, 8–26. [Google Scholar] [CrossRef]
- Warejko, J.K.; Schueler, M.; Vivante, A.; Tan, W.; Daga, A.; Lawson, J.A.; Braun, D.A.; Shril, S.; Amann, K.; Somers, M.J.; et al. Whole Exome Sequencing Reveals a Monogenic Cause of Disease in ≈43% of 35 Families With Midaortic Syndrome. Hypertension 2018, 71, 691–699. [Google Scholar] [CrossRef]
- Harmon, C.M.; Azzuqa, A.A.; Ranganathan, S.; Mahmood, B.; Good, M. Mid-Aortic Syndrome in a Preterm Infant: A Rare Cause of Hypertension. J. Pediatr. 2015, 167, 492–492.e1. [Google Scholar] [CrossRef]
- Cohen, J.R.; Birnbaum, E. Coarctation of the abdominal aorta. J. Vasc. Surg. 1988, 8, 160–164. [Google Scholar] [CrossRef]
- Sethna, C.B.; Kaplan, B.S.; Cahill, A.M.; Velazquez, O.C.; Meyers, K.E.C. Idiopathic mid-aortic syndrome in children. Pediatr. Nephrol. 2008, 23, 1135–1142. [Google Scholar] [CrossRef]
- Shroff, R.; Roebuck, D.J.; Gordon, I.; Davies, R.; Stephens, S.; Marks, S.; Chan, M.; Barkovics, M.; McLaren, C.A.; Shah, V.; et al. Angioplasty for Renovascular Hypertension in Children: 20-Year Experience. Pediatrics 2006, 118, 268–275. [Google Scholar] [CrossRef]
- Rushton, A.R. The Genetics of Fibromuscular Dysplasia. Arch. Intern. Med. 1980, 140, 233. [Google Scholar] [CrossRef] [PubMed]
- Urowska, A.; Zwolińska, D.; Roszkowska-Blaim, M.; Drożdż, D.; Antoniewicz, J.; Czarniak, P. Polish Society of Pediatric Nephrology (PTNFD) Recommendations for the Management of Children with Elevated Blood Pressure. 2015. Available online: www.fmr.viamedica.pl (accessed on 14 July 2024).
- Mukherjee, D.; Sinha, R.; Akhtar, S.; Saha, A.S. Hyponatremic hypertensive syndrome—A retrospective cohort study. World J. Nephrol. 2017, 6, 41–44. [Google Scholar] [CrossRef]
- Wilcox, C.S. Use of angiotensin-converting-enzyme inhibitors for diagnosing renovascular hypertension. Kidney Int. 1993, 44, 1379–1390. [Google Scholar] [CrossRef] [PubMed]
- Louis, R.; Levy-Erez, D.; Cahill, A.M.; Meyers, K.E. Imaging studies in pediatric fibromuscular dysplasia (FMD): A single-center ex-perience. Pediatr. Nephrol. 2018, 33, 1593–1599. [Google Scholar] [CrossRef] [PubMed]
- Patel, P.A.; Cahill, A.M. Renovascular hypertension in children. CVIR Endovasc. 2021, 4, 10. [Google Scholar] [CrossRef] [PubMed]
- Trautmann, A.; Roebuck, D.J.; McLaren, C.A.; Brennan, E.; Marks, S.D.; Tullus, K. Non-invasive imaging cannot replace formal angi-ography in the diagnosis of renovascular hypertension. Pediatr. Nephrol. 2017, 32, 495–502. [Google Scholar] [CrossRef] [PubMed]
- Drelich-Zbroja, A. Polish Society of Ultrasonography Standards—Update: Ultrasound Examination of Renal Arteries. J. Ultrason. 2014, 14, 297–305. [Google Scholar] [CrossRef]
- Stryczyński, Ł. Doppler ultrasound of renal arteries. Arter. Hypertens. Pract. 2022, 8, 186–199. [Google Scholar]
- Saida, K.; Kamei, K.; Hamada, R.; Yoshikawa, T.; Kano, Y.; Nagata, H.; Sato, M.; Ogura, M.; Harada, R.; Hataya, H.; et al. A simple, refined approach to diagnosing renovascular hypertension in children: A 10-year study. Pediatr. Int. 2020, 62, 937–943. [Google Scholar] [CrossRef]
- Cai, Z.; Bai, E.-W.; Wang, G. A Reduced Radiation Dose CTA. IFAC Proc. Vol. 2012, 45, 184–189. [Google Scholar] [CrossRef]
- Roebuck, D.J. Childhood hypertension: What does the radiologist contribute? Pediatr. Radiol. 2008, 38, 501–507. [Google Scholar] [CrossRef] [PubMed]
- Tykarski, A.; Filipiak, K.J.; Januszewicz, A.; Litwin, M.; Narkiewicz, K.; Prejbisz, A.; Ostalska-Nowicka, D.; Widecka, K.; Kostka-Jeziorny, K. 2019 guidelines for the management of hy-pertension. Arter. Hypertens. 2019, 23, 41–87. [Google Scholar] [CrossRef]
- Lobeck, I.N.; Alhajjat, A.M.; Dupree, P.; Racadio, J.M.; Mitsnefes, M.M.; Karns, R.; Tiao, G.M.; Nathan, J.D. The management of pediatric renovascular hy-pertension: A single center experience and review of the literature. J. Pediatr. Surg. 2018, 53, 1825–1831. [Google Scholar] [CrossRef] [PubMed]
- Alexander, A.; Richmond, L.; Geary, D.; Salle, J.L.P.; Amaral, J.; Connolly, B. Outcomes of percutaneous transluminal angioplasty for pediatric renovascular hypertension. J. Pediatr. Surg. 2017, 52, 395–399. [Google Scholar] [CrossRef]
- Trinquart, L.; Mounier-Vehier, C.; Sapoval, M.; Gagnon, N.; Plouin, P.F. Efficacy of Revascularization For Renal Artery Stenosis Caused by Fibromuscular Dysplasia. Hypertension 2010, 56, 525–532. [Google Scholar] [CrossRef]
- Ino, T.; Shimazaki, S.; Kaneko, K.; Yabuta, K.; Yamaguchi, H.; Kaneko, K. Multiple spasms of renal arteries following percutaneous transluminal renal angioplasty in children. Pediatr. Nephrol. 1994, 8, 129–131. [Google Scholar] [CrossRef]
- McLaren, C.A.; Roebuck, D.J. Interventional radiology for renovascular hypertension in children. Tech. Vasc. Interv. Radiol. 2003, 6, 150–157. [Google Scholar] [CrossRef]
- Meyers, K.E.; Cahill, A.M.; Sethna, C. Interventions for Pediatric Renovascular Hypertension. Curr. Hypertens. Rep. 2014, 16, 422. [Google Scholar] [CrossRef]
- Kari, J.A.; Roebuck, D.J.; McLaren, C.A.; Davis, M.; Dillon, M.J.; Hamilton, G.; Shroff, R.; Marks, S.D.; Tullus, K. Angioplasty for renovascular hypertension in 78 children. Arch. Dis. Child. 2014, 100, 474–478. [Google Scholar] [CrossRef]
- Utamayasa, I.K.; Puspitasari, M.; Hidayat, T.; Rahman, M. Role of Drug-Eluting Stent on Takayasu Arteritis with Renal Artery Ste-nosis. Paediatr. Indones. 2022, 62, 422–429. [Google Scholar] [CrossRef]
- Ginat, D.T.; Saad, W.E.; Turba, U.C. Transcatheter Renal Artery Embolization: Clinical Applications and Techniques. Tech. Vasc. Interv. Radiol. 2009, 12, 224–239. [Google Scholar] [CrossRef] [PubMed]
- Stadermann, M.B.; Montini, G.; Hamilton, G.; Roebuck, D.J.; McLaren, C.A.; Dillon, M.J.; Marks, S.D.; Tullus, K. Results of surgical treatment for reno-vascular hypertension in children: 30 year single centre experience. Nephrol. Dial. Transplant. 2010, 25, 807–813. [Google Scholar] [CrossRef]
- Lacombe, M. Surgical Treatment of Renovascular Hypertension in Children. Eur. J. Vasc. Endovasc. Surg. 2011, 41, 770–777. [Google Scholar] [CrossRef] [PubMed]
- Musajee, M.; Gasparini, M.; Stewart, D.J.; Karunanithy, N.; Sinha, M.D.; Sallam, M. Middle aortic syndrome in children and adolescents. Glob. Cardiol. Sci. Pract. 2022, 2022, e202220. [Google Scholar] [CrossRef] [PubMed]
- Gornik, H.L.; Persu, A.; Adlam, D.; Aparicio, L.S.; Azizi, M.; Boulanger, M.; Bruno, R.M.; De Leeuw, P.; Fendrikova-Mahlay, N.; Froehlich, J.; et al. First International Consensus on the diagnosis and management of fibromuscular dysplasia. Vasc. Med. 2019, 24, 164–189. [Google Scholar] [CrossRef]
- Bouhanick, B.; Amar, J.; Amar, L.; Courand, P.Y.; Delsart, P.; Denolle, T.; Doublet, J.; Fauvel, J.P.; Fesler, P.; Girerd, X.; et al. Antiplatelet and Anticoagulant Therapy During Angi-oplasty Procedures for Atheromatous or Fibromuscular Dysplasia Renal Artery Stenosis: A Survey of Practices in European Society of Hypertension Excellence Centres (ESH-EC) in France. J. Hypertens. 2022, 40, e243–e244. [Google Scholar] [CrossRef]
- Hellmich, B.; Agueda, A.; Monti, S.; Buttgereit, F.; De Boysson, H.; Brouwer, E.; Cassie, R.; Cid, M.C.; Dasgupta, B.; Dejaco, C.; et al. 2018 Update of the EULAR recommen-dations for the management of large vessel vasculitis. Ann. Rheum. Dis. 2020, 79, 19–30. [Google Scholar] [CrossRef]







Non-inflammatory causes include:
I. Post-thrombolytic:
|
| Clinical Manifestations | Mutation | Syndrome |
|---|---|---|
| RAS, MAS, facial abnormalities, growth failure, mental retardation, cardiac defects, hypercalcemia, and aortic stenosis | del(7q11.3) | Williams syndrome |
| RAS, MAS, intrarenal stenosis, triangular facies, cholestasis, cardiac defects, vertebral abnormalities, embryotoxon posterior, mental retardation, and hypogonadism | JAG1, NOTCH2 | Alagille syndrome |
| RAS, MAS, cafe-au-lait spots, neurofibromas, optic pathway glioma, bilateral high frequency hearing loss, and bone changes | NF1 | Neurofibromatosis Type 1 |
| RAS, MAS, skin, bone, renal, cardiac, liver, and ocular lesions, and epilepsy | TSC 1, TSC 2 | Tuberous Sclerosis Complex |
| RAS, MAS, growth failure, primary ovarian failure, and cardiac defects | 45XO | Turner syndrome |
| RAS, skin hyperelasticity, joint laxity, bruising, delayed wound healing, ocular, and cardiovascular defects | COL5A1, COL5A2, TNXB, ADAMTS2, COL3A1, COL1A1, COL1A2, PLOD1, FKBP14 and others | Ehlers–Danlos syndrome |
| RAS, tall stature, scoliosis, arachnodactyly, enlarged aorta, and dislocation of the lens | FBN1 | Marfan syndrome |
| RAS, stenoses or occlusions of various arteries, bone fragility, brachydactyly, syndactyly, and cardiac defects | YYA1P1 | Grange syndrome |
| RAS, aortic aneurysms,, aneurysms of other vessels, hypertelorism, abnormal uvula, cleft palate, and cardiac defects | TGFBR1, TGFBR2, SMAD2, SMAD3, TGFB2, TGFB3 | Loeys–Dietz syndrome |
| RAS, short stature, facial abnormalities, deafness, mental retardation, muscular hypertrophy, joint limitations, and skeletal abnormalities, | SMAD4 | Myhre syndrome |
| Specificity | Sensitivity | Radiological Imaging |
|---|---|---|
| 100% | 100% | Renal angiography |
| 83–100% | 28–88% | Doppler ultrasound |
| 70–81% | 84–88% | Computed tomographic angiography (CTA) |
| 63–100% | 63–80% | Magnetic resonance angiography (MRA) |
| Normal Value | Parameter |
|---|---|
| 100 cm/s * | PSV (peak systolic velocity) in artery trunk |
| 0.8–1.0 | RAR (renal aortic ratio) in artery trunk |
| ≤70 ms | AT (acceleration time) in intrarenal branches |
| 0.5–0.8 | RI (resistance index) in intrarenal branches |
| 0.78–1.33 | PI (pulsatility index) in intrarenal branches |
| >3 m/s2 | AI (acceleration index) in intrarenal branches |
| Bilateral Renal Artery Stenosis * | Unilateral Renal Artery Stenosis |
|---|---|
| Diuretics Dihydropyridine calcium channel blockers Beta-blockers Alpha-blockers Centrally acting imidazoline receptor agonists | Angiotensin-converting enzyme (ACE) inhibitors Angiotensin II receptor blockers (ARB) Dihydropyridine calcium channel blockers Beta-blockers Alpha-blockers Centrally acting imidazoline receptor agonists |
Disclaimer/Publisher’s Note: The statements, opinions and data contained in all publications are solely those of the individual author(s) and contributor(s) and not of MDPI and/or the editor(s). MDPI and/or the editor(s) disclaim responsibility for any injury to people or property resulting from any ideas, methods, instructions or products referred to in the content. |
© 2024 by the authors. Licensee MDPI, Basel, Switzerland. This article is an open access article distributed under the terms and conditions of the Creative Commons Attribution (CC BY) license (https://creativecommons.org/licenses/by/4.0/).
Share and Cite
Pytlos, J.; Michalczewska, A.; Majcher, P.; Furmanek, M.; Skrzypczyk, P. Renal Artery Stenosis and Mid-Aortic Syndrome in Children—A Review. J. Clin. Med. 2024, 13, 6778. https://doi.org/10.3390/jcm13226778
Pytlos J, Michalczewska A, Majcher P, Furmanek M, Skrzypczyk P. Renal Artery Stenosis and Mid-Aortic Syndrome in Children—A Review. Journal of Clinical Medicine. 2024; 13(22):6778. https://doi.org/10.3390/jcm13226778
Chicago/Turabian StylePytlos, Jakub, Aneta Michalczewska, Piotr Majcher, Mariusz Furmanek, and Piotr Skrzypczyk. 2024. "Renal Artery Stenosis and Mid-Aortic Syndrome in Children—A Review" Journal of Clinical Medicine 13, no. 22: 6778. https://doi.org/10.3390/jcm13226778
APA StylePytlos, J., Michalczewska, A., Majcher, P., Furmanek, M., & Skrzypczyk, P. (2024). Renal Artery Stenosis and Mid-Aortic Syndrome in Children—A Review. Journal of Clinical Medicine, 13(22), 6778. https://doi.org/10.3390/jcm13226778

