Management of Complex Root Fractures in Young Patients—Case Series and a Literature Review
Abstract
1. Introduction
2. Clinical Cases Presentation
2.1. Case Report 1
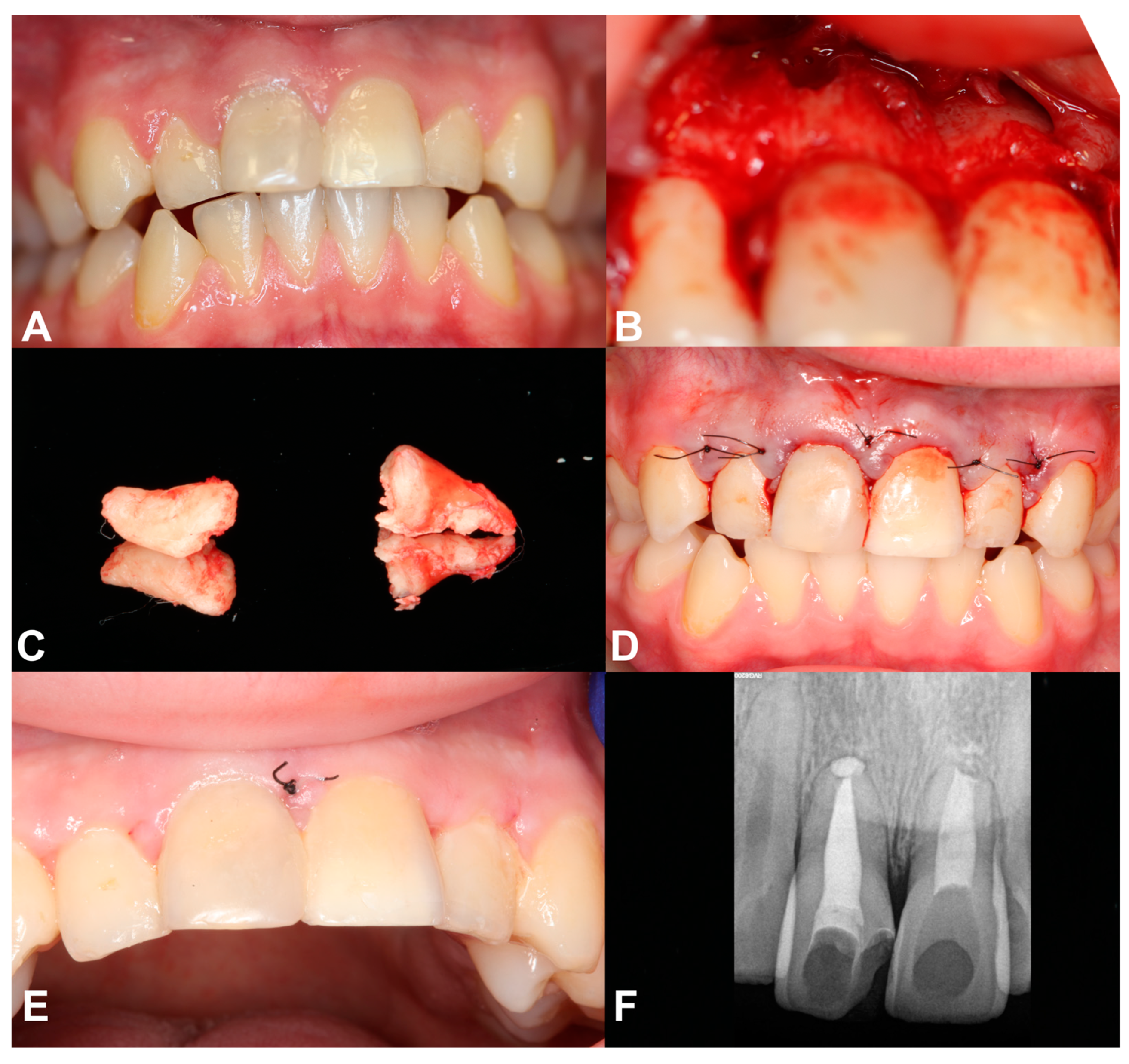
2.2. Case Report 2
2.3. Case Report 3
3. Discussion
4. Conclusions
Author Contributions
Funding
Informed Consent Statement
Data Availability Statement
Conflicts of Interest
Abbreviations
| CBCT | Cone beam computed tomography |
| ERS | External surface resorption |
| FDI | Federation Dentaire Internationale |
| IADT | International Association of Dental Traumatology |
| ISR | Internal surface resorption |
| ITR | Internal tunnelling resorption |
| MTA | Mineral trioxide aggregate |
| PDL | Periodontal ligament |
| TTS | Titanium trauma splint |
References
- Agostini, F.; Flaitz, C.; Hicks, M. Dental emergencies in a university-based pediatric dentistry postgraduate outpatient clinic: A retrospective study. ASDC J. Dent. Child. 2001, 68, 300–301, 316–321. [Google Scholar]
- Petti, S.; Glendor, U.; Andersson, L. World traumatic dental injury prevalence and incidence, a meta-analysis—One billion living people have had traumatic dental injuries. Dent. Traumatol. 2018, 34, 71–86. [Google Scholar] [CrossRef] [PubMed]
- Kırzıoglu, Z.; Oz, E. Changes in the aetiological factors of dental trauma in children over time: An 18-year retrospective study. Dent. Traumatol. 2019, 35, 259–267. [Google Scholar] [CrossRef] [PubMed]
- Lam, R. Epidemiology and outcomes of traumatic dental injuries: A review of the literature. Aust. Dent. J. 2016, 61, 4–20. [Google Scholar] [CrossRef] [PubMed]
- Bastone, E.B.; Freer, T.J.; McNamara, J.R. Epidemiology of dental trauma: A review of the literature. Aust. Dent. J. 2000, 45, 2–9. [Google Scholar] [CrossRef]
- Azami-Aghdash, S.; Ebadifard Azar, F.; Pournaghi Azar, F.; Rezapour, A.; Moradi-Joo, M.; Moosavi, A.; Ghertasi Oskouei, S. Prevalence, etiology, and types of dental trauma in children and adolescents: Systematic review and meta-analysis. Med. J. Islam. Repub. Iran. 2015, 29, 234. [Google Scholar]
- Andreasen, F.M.; Andreasen, J.O.; Andreasen, L. Root Fractures. In Textbook and Color Atlas of Traumatic Injuries to the Teeth, 5th ed.; Oxford Wiley Blackwell: Oxford, UK, 2019; p. 377. [Google Scholar]
- Abbott, P.V. Diagnosis and management of transverse root fractures. Dent. Traumatol. 2019, 35, 333–347. [Google Scholar] [CrossRef]
- Andreasen, J.O.; Andreasen, F.M.; Mejàre, I.; Cvek, M. Healing of 400 intra-alveolar root fractures. 2. Effect of treatment factors such as treatment delay, repositioning, splinting type and period and antibiotics. Dent. Traumatol. 2004, 20, 203–211. [Google Scholar] [CrossRef]
- Bourguignon, C.; Cohenca, N.; Lauridsen, E.; Flores, M.T.; O’Connell, A.C.; Day, P.F.; Tsilingaridis, G.; Abbott, P.V.; Fouad, A.F.; Hicks, L.; et al. International Association of Dental Traumatology guidelines for the management of traumatic dental injuries: 1. Fractures and luxations. Dent. Traumatol. 2020, 36, 314–330. [Google Scholar] [CrossRef]
- Sobczak-Zagalska, H.; Emerich, K. Assessment of a Power Chain as a New Dental Trauma Splint and Its Comparison with Two Commonly Used Splinting Materials. Appl. Sci. 2020, 10, 8398. [Google Scholar] [CrossRef]
- Andreasen, J.O.; Ahrensburg, S.S.; Tsilingaridis, G. Root fractures: The influence of type of healing and location of fracture on tooth survival rates—An analysis of 492 cases. Dent. Traumatol. 2012, 28, 404–409. [Google Scholar] [CrossRef] [PubMed]
- Andreasen, J.O.; Andreasen, F.M.; Mejàre, I.; Cvek, M. Healing of 400 intra-alveolar root fractures. 1. Effect of pre-injury and injury factors such as sex, age, stage of root development, fracture type, location of fracture and severity of dislocation. Dent. Traumatol. 2004, 20, 192–202. [Google Scholar] [CrossRef] [PubMed]
- Cvek, M.; Mejàre, I.; Andreasen, J.O. Healing and prognosis of teeth with intra-alveolar fractures involving the cervical part of the root. Dent. Traumatol. 2002, 18, 57–65. [Google Scholar] [CrossRef] [PubMed]
- Cvek, M.; Tsilingaridis, G.; Andreasen, J.O. Survival of 534 incisors after intra-alveolar root fracture in patients aged 7-17 years. Dent. Traumatol. 2008, 24, 379–387. [Google Scholar] [CrossRef]
- Andreasen, F.M.; Andreasen, J.O. Resorption and mineralization processes following root fracture of permanent incisors. Dent. Traumatol. 1988, 4, 202–214. [Google Scholar] [CrossRef]
- Bakland, L.K.; Andreasen, J.O. Will mineral trioxide aggregate replace calcium hydroxide in treating pulpal and periodontal healing complications subsequent to dental trauma? A review. Dent. Traumatol. 2012, 28, 25–32. [Google Scholar] [CrossRef]
- Adamska, P.; Pylińska-Dąbrowska, D.; Stasiak, M.; Sobczak-Zagalska, H.; Jusyk, A.; Zedler, A.; Studniarek, M. Tooth Autotransplantation, Autogenous Dentin Graft, and Growth Factors Application: A Method for Preserving the Alveolar Ridge in Cases of Severe Infraocclusion—A Case Report and Literature Review. J. Clin. Med. 2024, 13, 3902. [Google Scholar] [CrossRef]
- Adamska, P.; Sobczak-Zagalska, H.; Stasiak, M.; Adamski, Ł.J.; Pylińska-Dąbrowska, D.; Barkowska, S.; Zedler, A.; Studniarek, M. Infraocclusion in the Primary and Permanent Dentition—A Narrative Review. Medicina 2024, 60, 423. [Google Scholar] [CrossRef]
- Krastl, G.; Weiger, R.; Filippi, A.; Van Waes, H.; Ebeleseder, K.; Ree, M.; Connert, T.; Widbiller, M.; Tjäderhane, L.; Dummer, P.M.H.; et al. Endodontic management of traumatized permanent teeth: A comprehensive review. Int. Endod. J. 2021, 54, 1221–1245. [Google Scholar] [CrossRef]
- Jacobsen, I.; Kerekes, K. Diagnosis and treatment of pulp necrosis in permanent anterior teeth with root fracture. Eur. J. Oral. Sci. 1980, 88, 370–376. [Google Scholar] [CrossRef]
- Malmgren, B.; Hübel, S. Transient discoloration of the coronal fragment in intra-alveolar root fractures. Dent. Traumatol. 2012, 28, 200–204. [Google Scholar] [CrossRef] [PubMed]
- Cvek, M.; Mejàre, I.; Andreasen, J.O. Conservative endodontic treatment of teeth fractured in the middle or apical part of the root. Dent. Traumatol. 2004, 20, 261–269. [Google Scholar] [CrossRef] [PubMed]
- Andreasen, J.; Hjørting-Hansen, E. Intraalveolar root fractures: Radiographic and histologic study of 50 cases. J. Oral Surg. (Chic) 1967, 25, 414–426. [Google Scholar]
- Agrafioti, A.; Giannakoulas, D.G.; Filippatos, C.G.; Kontakiotis, E.G. Analysis of clinical studies related to apexification techniques. Eur. J. Paediatr. Dent. 2017, 18, 273–284. [Google Scholar] [CrossRef]
- Rodd, H.D.; Davidson, L.E.; Livesey, S.; Cooke, M.E. Survival of intentionally retained permanent incisor roots following crown root fractures in children. Dent. Traumatol. 2002, 18, 92–97. [Google Scholar] [CrossRef]




Disclaimer/Publisher’s Note: The statements, opinions and data contained in all publications are solely those of the individual author(s) and contributor(s) and not of MDPI and/or the editor(s). MDPI and/or the editor(s) disclaim responsibility for any injury to people or property resulting from any ideas, methods, instructions or products referred to in the content. |
© 2024 by the authors. Licensee MDPI, Basel, Switzerland. This article is an open access article distributed under the terms and conditions of the Creative Commons Attribution (CC BY) license (https://creativecommons.org/licenses/by/4.0/).
Share and Cite
Sobczak-Zagalska, H.; Ogonowska-Paul, D.; Bartmański, M.; Adamska, P. Management of Complex Root Fractures in Young Patients—Case Series and a Literature Review. J. Clin. Med. 2024, 13, 6753. https://doi.org/10.3390/jcm13226753
Sobczak-Zagalska H, Ogonowska-Paul D, Bartmański M, Adamska P. Management of Complex Root Fractures in Young Patients—Case Series and a Literature Review. Journal of Clinical Medicine. 2024; 13(22):6753. https://doi.org/10.3390/jcm13226753
Chicago/Turabian StyleSobczak-Zagalska, Hanna, Dorota Ogonowska-Paul, Michał Bartmański, and Paulina Adamska. 2024. "Management of Complex Root Fractures in Young Patients—Case Series and a Literature Review" Journal of Clinical Medicine 13, no. 22: 6753. https://doi.org/10.3390/jcm13226753
APA StyleSobczak-Zagalska, H., Ogonowska-Paul, D., Bartmański, M., & Adamska, P. (2024). Management of Complex Root Fractures in Young Patients—Case Series and a Literature Review. Journal of Clinical Medicine, 13(22), 6753. https://doi.org/10.3390/jcm13226753

