Predictors of Residual Right to Left Shunt in Patients Undergoing Percutaneous Transcatheter Patent Foramen Ovale Closure: A New Clue “Inferior Vena Cava-Patent Foramen Ovale Angle”
Abstract
1. Introduction
2. Methods
2.1. Study Design and Study Participants
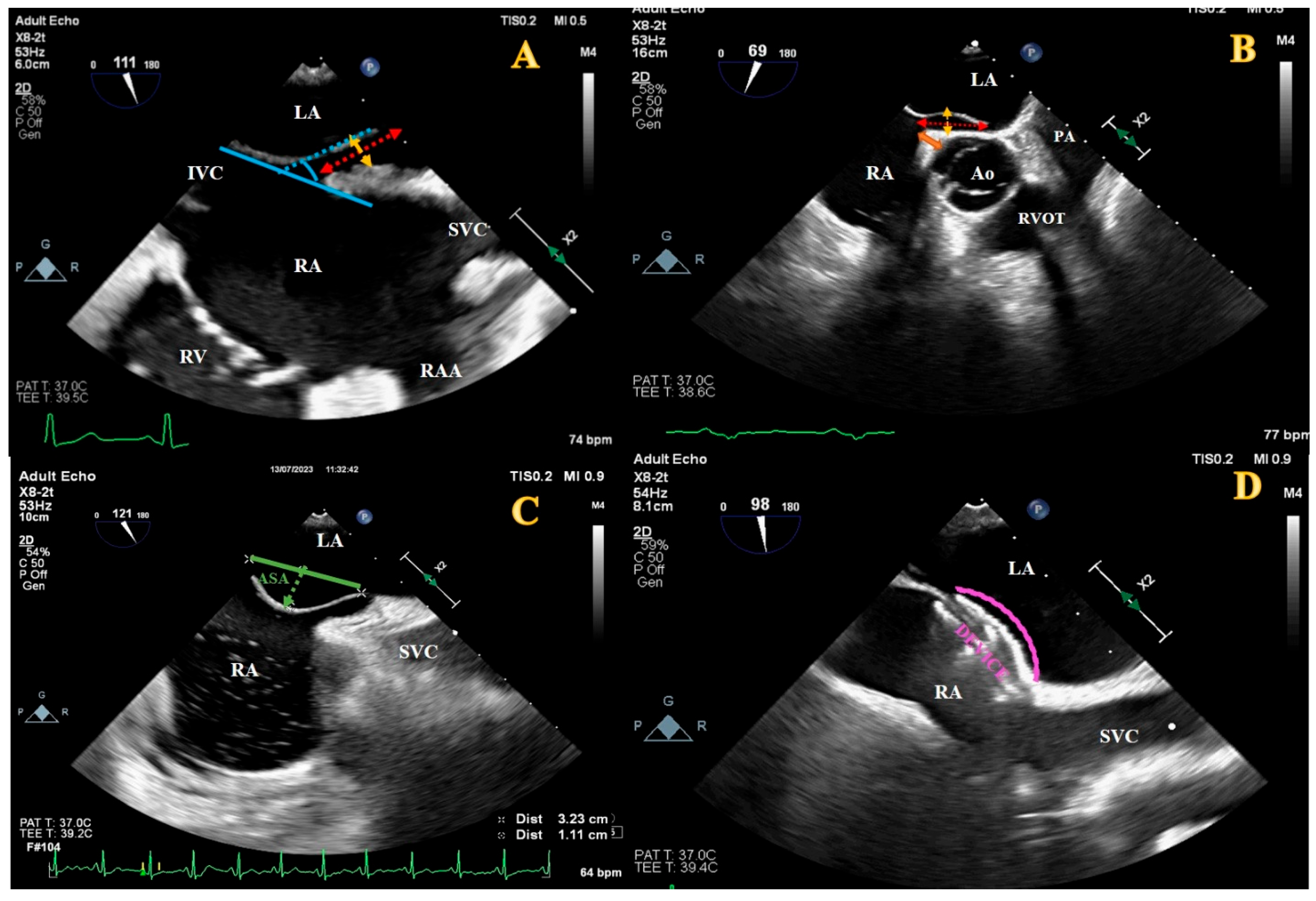
2.2. Definitions and Echocardiographic Evaluation
2.3. Percutaneous PFO Closure Procedure
2.4. Study Outcome
2.5. Statistical Analysis
3. Results
3.1. Patient Characterıstics and Clinical Follow-Up
3.2. Structural Features of Residual RLS
4. Discussion
Study Limitations
5. Conclusions
Author Contributions
Funding
Institutional Review Board Statement
Informed Consent Statement
Data Availability Statement
Acknowledgments
Conflicts of Interest
References
- Hagen, P.T.; Scholz, D.G.; Edwards, W.D. Incidence and size of patent foramen ovale during the first 10 decades of life: An autopsy study of 965 normal hearts. Mayo Clin. Proc. 1984, 59, 17–20. [Google Scholar] [CrossRef]
- Alsheikh-Ali, A.A.; Thaler, D.E.; Kent, D.M. Patent foramen ovale in cryptogenic stroke: Incidental or pathogenic? Stroke 2009, 40, 2349–2355. [Google Scholar] [CrossRef]
- Rigatelli, G.; Giordan, M.; Braggion, G.; Aggio, S.; Chinaglia, M.; Zattoni, L.; Cardaioli, P. Incidence of extracerebral paradoxical embolisms in patients with intracardiac shunts. Cardiovasc. Revasc. Med. 2007, 8, 248–250. [Google Scholar] [CrossRef]
- Wilmshurst, P.T.; Nightingale, S.; Walsh, K.P.; Morrison, W.L. Effect on migraine of closure of cardiac right-to-left shunts to prevent recurrence of decompression illness or stroke or for haemodynamic reasons. Lancet 2000, 356, 1648–1651. [Google Scholar] [CrossRef]
- Kavinsky, C.J.; Szerlip, M.; Goldsweig, A.M.; Amin, Z.; Boudoulas, K.D.; Carroll, J.D.; Morgan, R.L. SCAI Guidelines for the Management of Patent Foramen Ovale. J. Soc. Cardiovasc. Angiogr. Interv. 2022, 1, 100039. [Google Scholar] [CrossRef]
- Mas, J.L.; Arquizan, C.; Lamy, C.; Zuber, M.; Cabanes, L.; Derumeaux, G.; Coste, J. Patent Foramen Ovale and Atrial Septal Aneurysm Study Group. Recurrent cerebrovascular events associated with patent foramen ovale, atrial septal aneurysm, or both. N. Engl. J. Med. 2001, 345, 1740–1746. [Google Scholar] [CrossRef]
- Carroll, J.D.; Saver, J.L.; Thaler, D.E.; Smalling, R.W.; Berry, S.; MacDonald, L.A.; Tirschwell, D.L. Closure of patent foramen ovale versus medical therapy after cryptogenic stroke. N. Engl. J. Med. 2013, 368, 1092–1100. [Google Scholar] [CrossRef]
- Kent, D.M.; Dahabreh, I.J.; Ruthazer, R.; Furlan, A.J.; Reisman, M.; Carroll, J.D.; Thaler, D.E. Device closure of patent foramen ovale after stroke: Pooled analysis of completed randomized trials. J. Am. Coll. Cardiol. 2016, 67, 907–917. [Google Scholar] [CrossRef]
- Stortecky, S.; da Costa, B.R.; Mattle, H.P.; Carroll, J.; Hornung, M.; Sievert, H.; Jüni, P. Percutaneous closure of patent foramen ovale in patients with cryptogenic embolism: A network meta-analysis. Eur. Heart J. 2015, 36, 120–128. [Google Scholar] [CrossRef] [PubMed]
- Meier, B.; Kalesan, B.; Mattle, H.P.; Khattab, A.A.; Hildick-Smith, D.; Dudek, D.; Jüni, P. Percutaneous closure of patent foramen ovale in cryptogenic embolism. N. Engl. J. Med. 2013, 368, 1083–1091. [Google Scholar] [CrossRef] [PubMed]
- Saver, J.L.; Carroll, J.D.; Thaler, D.E.; Smalling, R.W.; MacDonald, L.A.; Marks, D.S.; Tirschwell, D.L. Long-Term Outcomes of Patent Foramen Ovale Closure or Medical Therapy after Stroke. N. Engl. J. Med. 2017, 377, 1022–1032. [Google Scholar] [CrossRef]
- Gaspardone, A.; Sgueglia, G.A.; De Santis, A.; D’Ascoli, E.; Iamele, M.; Piccioni, F.; Versaci, F. Predictors of Residual Right-to-Left Shunt After Percutaneous Suture-Mediated Patent Fossa Ovalis Closure. JACC Cardiovasc. Interv. 2020, 13, 2112–2120. [Google Scholar] [CrossRef]
- Mas, J.L.; Derumeaux, G.; Guillon, B.; Massardier, E.; Hosseini, H.; Mechtouff, L.; Arquizan, C.; Béjot, Y.; Vuillier, F.; Detante, O.; et al. Patent foramen ovale closure or anticoagulation vs. antiplatelets after stroke. N. Engl. J. Med. 2017, 377, 1011–1021. [Google Scholar]
- Søndergaard, L.; Kasner, S.E.; Rhodes, J.F.; Andersen, G.; Iversen, H.K.; Nielsen-Kudsk, J.E.; Thomassen, L. Gore REDUCE Clinical Study Investigators. Patent foramen ovale closure or antiplatelet therapy for cryptogenic stroke. N. Engl. J. Med. 2017, 377, 1033–1042. [Google Scholar] [CrossRef]
- Vizzari, G.; Pizzino, F.; Zwicke, D.; Tajik, A.J.; Carerj, S.; Di Bella, G.; Zito, C. Patent foramen ovale: Anatomical complexity and long-tunnel morphology related issues. Am. J. Cardiovasc. Dis. 2021, 11, 316–329. [Google Scholar]
- Silvestry, F.E.; Cohen, M.S.; Armsby, L.B.; Burkule, N.J.; Fleishman, C.E.; Hijazi, Z.M.; Wang, Y. American Society of Echocardiography; Society for Cardiac Angiography and Interventions. Guidelines for the Echocardiographic Assessment of Atrial Septal Defect and Patent Foramen Ovale: From the American Society of Echocardiography and Society for Cardiac Angiography and Interventions. J. Am. Soc. Echocardiogr. 2015, 28, 910–958. [Google Scholar]
- Kleindorfer, D.O.; Towfighi, A.; Chaturvedi, S.; Cockroft, K.M.; Gutierrez, J.; Lombardi-Hill, D.; Williams, L.S. 2021 Guideline for the Prevention of Stroke in Patients with Stroke and Transient Ischemic Attack: A Guideline from the American Heart Association/American Stroke Association. Stroke 2021, 52, e364–e467. [Google Scholar] [CrossRef]
- Nakayama, R.; Takaya, Y.; Akagi, T.; Watanabe, N.; Ikeda, M.; Nakagawa, K.; Ito, H. Identification of High-Risk Patent Foramen Ovale Associated with Cryptogenic Stroke: Development of a Scoring System. J. Am. Soc. Echocardiogr. 2019, 32, 811–816. [Google Scholar] [CrossRef]
- Braun, M.U.; Fassbender, D.; Schoen, S.P.; Haass, M.; Schraeder, R.; Scholtz, W.; Strasser, R.H. Transcatheter closure of patent foramen ovale in patients with cerebral ischemia. J. Am. Coll. Cardiol. 2002, 39, 2019–2025. [Google Scholar] [CrossRef] [PubMed]
- Youden, W.J. Index for rating diagnostic tests. Cancer 1950, 3, 32–35. [Google Scholar] [CrossRef] [PubMed]
- DeLong, E.R.; DeLong, D.M.; Clarke-Pearson, D.L. Comparing the areas under two or more correlated receiver operating characteristic curves: A nonparametric approach. Biometrics 1988, 44, 837–845. [Google Scholar] [CrossRef]
- Majunke, N.; Wallenborn, J.; Baranowski, A.; Wunderlich, N.; Sievert, H. Device closure of residual shunt after percutaneous closure of patent foramen ovale. EuroIntervention 2010, 5, 833–837. [Google Scholar] [CrossRef]
- Marchese, N.; Pacilli, M.A.; Inchingolo, V.; Fanelli, R.; Loperfido, F.; Vigna, C. Residual shunt after percutaneous closure of patent foramen ovale with AMPLATZER occluder devices-Influence of anatomic features: A transcranial Doppler and intracardiac echocardiography study. EuroIntervention 2013, 9, 382–388. [Google Scholar] [CrossRef]
- Deng, W.; Yin, S.; McMullin, D.; Inglessis-Azuaje, I.; Elmariah, S.; Hung, J.; Ning, M. Residual Shunt After Patent Foramen Ovale Closure and Long-Term Stroke Recurrence: A Prospective Cohort Study. Ann. Intern. Med. 2020, 172, 717–725. [Google Scholar] [CrossRef]
- Jesurum, J.T.; Fuller, C.J.; Kim, C.J.; Krabill, K.A.; Spencer, M.P.; Olsen, J.V.; Reisman, M. Frequency of migraine headache relief following patent foramen ovale “closure” despite residual right-to-left shunt. Am. J. Cardiol. 2008, 102, 916–920. [Google Scholar] [CrossRef]
- He, L.; Cheng, G.; Du, Y.; Zhang, Y. Importance of Persistent Right-to-Left Shunt After Patent Foramen Ovale Closure in Cryptogenic Stroke Patients. Tex. Heart Inst. J. 2020, 47, 244–249. [Google Scholar] [CrossRef]
- Contreras, A.E.; Ledesma, F.; Peirone, A.R.; Juaneda, E.; Defago, V.; Cuestas, E. Sufficient versus deficient rims during percutaneous closure of ostium secundum type atrial septal defect: A systematic review and meta-analysis. Indian Heart J. 2023, 75, 145–152. [Google Scholar] [CrossRef]
- Nakayama, R.; Takaya, Y.; Akagi, T.; Miki, T.; Nakagawa, K.; Toh, N.; Ito, H. Low-Angle Patent Foramen Ovale (PFO): High-Risk PFO Morphology Associated with Paradoxical Embolism. CASE 2021, 5, 183–185. [Google Scholar] [CrossRef]
- Alibegovic, J.; Bonvini, R.; Sigwart, U.; Dorsaz, P.A.; Camenzind, E.; Verin, V. The role of the sizing balloon in selection of the patent foramen ovale closure device size. Exp. Clin. Cardiol. 2008, 13, 42–46. [Google Scholar]
- Sperlongano, S.; Giordano, M.; Ciccarelli, G.; Bassi, G.; Malvezzi Caracciolo D’Aquino, M.; Del Giudice, C.; Lancellotti, P. Advances in Percutaneous Patent Foramen Ovale Closure: From the Procedure to the Echocardiographic Guidance. J. Clin. Med. 2022, 11, 4001. [Google Scholar] [CrossRef]
- Verolino, G.; Calderone, D.; Gavazzoni, M.; Sala, D.; Sganzerla, P. Clinical Performance of the Gore Septal Occluder in Patent Foramen Ovale Closure in Different Septal Anatomies: 1-Year Results from a Single-Center Experience. J. Clin. Med. 2023, 12, 5936. [Google Scholar] [CrossRef]
- Vitarelli, A.; Mangieri, E.; Capotosto, L.; Tanzilli, G.; D’Angeli, I.; Toni, D.; Ashurov, R. Echocardiographic findings in simple and complex patent foramen ovale before and after transcatheter closure. Eur. Heart J. Cardiovasc. Imaging 2014, 15, 1377–1385. [Google Scholar] [CrossRef]
- Mathew, A.; Taylor, D. Fluoroscopy-Only Guided Patent Foramen Ovale Device Closure: Will. It Cut. Ice With the Interventionalist Community? Can. J. Cardiol. 2020, 36, 1569–1571. [Google Scholar] [CrossRef]
- Achim, A.; Hochegger, P.; Schnur, S.S.; Moser, L.; Stark, C.; Pranevičius, R.; Toth, G.G. Transesophageal echocardiography-guided versus fluoroscopy-guided patent foramen ovale closure: A single center registry. Echocardiography 2023, 40, 657–663. [Google Scholar] [CrossRef]
- Wang, S.; Zhu, G.; Liu, Z.; Zhou, J.; Zang, W. Only transesophageal echocardiography guided patent foramen ovale closure: A single-center experience. Front. Surg. 2022, 9, 977959. [Google Scholar] [CrossRef]
- Moon, J.; Park, Y.; Park, S.J.; Oh, P.C.; Jang, A.Y.; Chung, W.J.; Kang, W.C. Comparison of Intracardiac Echocardiography and Transesophageal Echocardiography for Image Guidance in Percutaneous Patent Foramen Ovale Closure. Medicina 2020, 56, 401. [Google Scholar] [CrossRef]




| Variables | No Residual RLS (n = 81) | Residual RL (n = 22) | p-Value |
|---|---|---|---|
| Age, years | 42.0 ± 9.5 | 40.0 ± 9.6 | 0.378 |
| Male, n (%) | 41 (51%) | 11 (50%) | 0.958 |
| DM, n (%) | 22 (27%) | 3 (14%) | 0.197 |
| HT, n (%) | 29 (36%) | 6 (27%) | 0.451 |
| CAD, n (%) | 12 (15%) | 2 (9%) | 0.452 |
| Hyperlipidemia, n (%) | 29 (36%) | 7 (32%) | 0.723 |
| Prior ischemic stroke, n (%) | 74 (91.1%) | 20 (90.9%) | 0.973 |
| TIA, n (%) | 7 (8.9%) | 2 (9.1%) | 0.973 |
| Migraine, n (%) | 6 (7.6%) | 2 (9.1%) | 0.818 |
| DVT, n (%) | 1 (1.3%) | 1 (4.5%) | 0.329 |
| New onset AF, n (%) | 3 (3.8%) | 0 (0%) | 0.353 |
| Recurrent stroke, n (%) | 3 (3.8%) | 2 (9.1%) | 0.311 |
| RoPe score | 6.9 ± 1.6 | 7.6 ± 1.4 | 0.076 |
| Smoking, n (%) | 28 (35%) | 9 (41%) | 0.615 |
| Hemoglobin, g/dL | 15.1 ± 1.6 | 13.1 ± 1.8 | 0.570 |
| WBC, 109/L | 8.2 ± 2.4 | 8.5 ± 2.6 | 0.597 |
| PLT, 109/L | 260 ± 88 | 268 ± 59 | 0.637 |
| GFR, mL/min/1.73 m2 | 101 ± 19 | 108 ± 10 | 0.105 |
| Fasting glucose, mg/dL | 109 ± 32 | 94 ± 16 | 0.044 |
| Total protein, g/L | 68 ± 6.4 | 70 ± 4.4 | 0.267 |
| Homocysteine, μmol/L | 14.2 ± 8.8 | 11.6 ± 3.3 | 0.172 |
| Total cholesterol, mg/dL | 177 ± 42 | 173 ± 37 | 0.713 |
| HDL, mg/dL | 44 ± 11 | 43 ± 9 | 0.793 |
| LDL, mg/dL | 105 ± 35 | 107 ± 33 | 0.822 |
| Triglyceride, mg/dL | 151 ± 95 | 121 ± 41 | 0.144 |
| PFO occluder device | 0.932 | ||
| Group I, n (%) | 38 (46.9%) | 11 (50%) | |
| Group II, n (%) | 33 (40.7%) | 8 (36.4%) | |
| Group III, n (%) | 10 (12.3%) | 3 (13.6%) |
| Variables | No Residual RLS (n = 81) | Residual RLS (n = 22) | p-Value |
|---|---|---|---|
| Tunnel length, mm | 10.9 (9.0–13.0) | 14.0 (9.6–16.2) | 0.009 |
| Tunnel width, mm | 4.5 ± 1.6 | 5.7 ± 1.2 | <0.001 |
| Septum primum, mm | 32.2 ± 6.4 | 30.0 ± 4.7 | 0.136 |
| Septum secundum, mm | 20.6 ± 5.1 | 19.9 ± 3.9 | 0.558 |
| Aortic rim, mm | 6.4 ± 2.1 | 4.3 ± 0.9 | <0.001 |
| Sinus valsalva diameter, mm | 32.4 ± 4.7 | 31.1 ± 3.7 | 0.243 |
| Ascendant aorta diameter, mm | 30.7 ± 4.5 | 30.6 ± 4.4 | 0.956 |
| VCI-PFO tunnel angle, degree | 21.0 ± 10.6 | 12.5 ± 4.9 | <0.001 |
| Lipomatous hypertrophy, n (%) | 7 (9%) | 4 (18%) | 0.215 |
| Atrial septal aneurysm, n (%) | 26 (32%) | 17 (77%) | <0.001 |
| Chiari network, n (%) | 15 (19%) | 2 (9%) | 0.273 |
| Eustachian valve, n (%) | 19 (19%) | 2 (9%) | 0.774 |
| Crista terminalis, n (%) | 10 (12%) | 2 (9%) | 0.746 |
| Spontaneous color Doppler shunt, n (%) | 43 (53%) | 9 (41%) | 0.309 |
| Bubble shunt at rest, n (%) | 42 (52%) | 11 (50%) | 0.875 |
| Bubble shunt with valsalva, n (%) | 70 (87%) | 21 (95%) | 0.342 |
| Tunnel length/device left disc ratio | 0.53 (0.43–0.63) | 0.43 (0.34–0.56) | 0.022 |
| Large PFO device (Group III) n (%) | 10 (12.3%) | 3 (13.6%) | 0.872 |
| Univariate Regression | Multivariate Regression | |||
|---|---|---|---|---|
| OR (95% CI) | p | OR (95% CI) | p | |
| Tunnel width, mm | 1.62 (1.19–2.20) | 0.002 | 2.17 (1.30–3.63) | 0.003 |
| Aortic rim, mm | 0.52 (0.37–0.73) | <0.001 | 0.47 (0.28–0.79) | 0.004 |
| Atrial septal aneurysm (Presence/Absence) | 0.73 (2.44–22.2) | <0.001 | 8.45 (1.88–38.05) | 0.005 |
| VCI-PFO tunnel angle, degree | 0.83 (0.75–0.93) | <0.001 | 0.8 (0.69–0.93) | 0.003 |
| Tunnel length/device left disc | 0.15 (0.1–2.69) | 0.195 | - | - |
Disclaimer/Publisher’s Note: The statements, opinions and data contained in all publications are solely those of the individual author(s) and contributor(s) and not of MDPI and/or the editor(s). MDPI and/or the editor(s) disclaim responsibility for any injury to people or property resulting from any ideas, methods, instructions or products referred to in the content. |
© 2024 by the authors. Licensee MDPI, Basel, Switzerland. This article is an open access article distributed under the terms and conditions of the Creative Commons Attribution (CC BY) license (https://creativecommons.org/licenses/by/4.0/).
Share and Cite
Inan, D.; Ozbay, B.; Demırtola Mammadli, A.I.; Pamuk, F.O.; Tugrul Yavuz, S.; Derviş, E.; Guler, Y.; Albayrak, D.G.; Sahin, K.K.; Kılıcgedik, A. Predictors of Residual Right to Left Shunt in Patients Undergoing Percutaneous Transcatheter Patent Foramen Ovale Closure: A New Clue “Inferior Vena Cava-Patent Foramen Ovale Angle”. J. Clin. Med. 2024, 13, 6703. https://doi.org/10.3390/jcm13226703
Inan D, Ozbay B, Demırtola Mammadli AI, Pamuk FO, Tugrul Yavuz S, Derviş E, Guler Y, Albayrak DG, Sahin KK, Kılıcgedik A. Predictors of Residual Right to Left Shunt in Patients Undergoing Percutaneous Transcatheter Patent Foramen Ovale Closure: A New Clue “Inferior Vena Cava-Patent Foramen Ovale Angle”. Journal of Clinical Medicine. 2024; 13(22):6703. https://doi.org/10.3390/jcm13226703
Chicago/Turabian StyleInan, Duygu, Benay Ozbay, Ayse Irem Demırtola Mammadli, Funda Ozlem Pamuk, Sevil Tugrul Yavuz, Emir Derviş, Yeliz Guler, Duygu Genç Albayrak, Kadir Kasım Sahin, and Alev Kılıcgedik. 2024. "Predictors of Residual Right to Left Shunt in Patients Undergoing Percutaneous Transcatheter Patent Foramen Ovale Closure: A New Clue “Inferior Vena Cava-Patent Foramen Ovale Angle”" Journal of Clinical Medicine 13, no. 22: 6703. https://doi.org/10.3390/jcm13226703
APA StyleInan, D., Ozbay, B., Demırtola Mammadli, A. I., Pamuk, F. O., Tugrul Yavuz, S., Derviş, E., Guler, Y., Albayrak, D. G., Sahin, K. K., & Kılıcgedik, A. (2024). Predictors of Residual Right to Left Shunt in Patients Undergoing Percutaneous Transcatheter Patent Foramen Ovale Closure: A New Clue “Inferior Vena Cava-Patent Foramen Ovale Angle”. Journal of Clinical Medicine, 13(22), 6703. https://doi.org/10.3390/jcm13226703

