Needle-Free Jet Injection of Poly-(Lactic Acid) for Atrophic Acne Scars: Literature Review and Report of Clinical Cases
Abstract
1. Introduction
2. Poly-(Lactic Acid) Injection for Atrophic Acne Scars
2.1. Fillers to Treat Acne Scars
2.2. Injectable Poly-(Lactic Acid) for Atrophic Acne Scars
2.3. Mechanism of Action
3. Needle-Free Delivery of Poly-(Lactic Acid) Using Jet Injectors
3.1. Intradermal Injections Using Hypodermic Needles
3.2. Laser-Assisted Needle-Free Jet Injectors
3.3. Electromechanical Needle-Free Jet Injectors
3.4. Advantages of Needle-Free Jet Injectors for Acne Scar Treatment
4. Presentation of Clinical Cases
4.1. Patients
4.2. Needle-Free Injection System
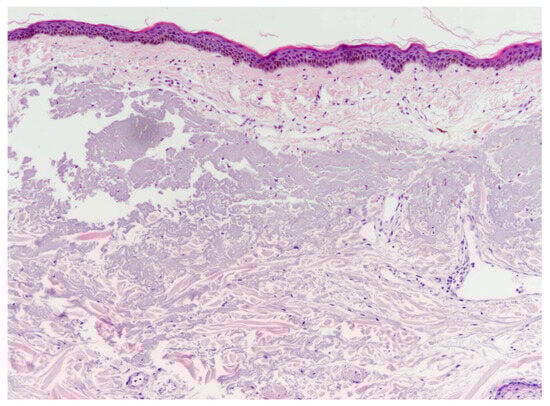
4.3. Cadaver Study
4.4. Treatment
5. Results and Discussion of Cases
6. Conclusions
Author Contributions
Funding
Institutional Review Board Statement
Informed Consent Statement
Data Availability Statement
Conflicts of Interest
References
- Hyeong, J.H.; Jung, J.W.; Seo, S.B.; Kim, H.S.; Kim, K.H. Intradermal injection of poly-D,L-lactic acid using microneedle fractional radiofrequency for acne scars: An open-label prospective trial. Dermatol. Surg. 2022, 48, 1306–1311. [Google Scholar] [CrossRef] [PubMed]
- Sadove, R. Injectable poly-L-lactic acid: A novel sculpting agent for the treatment of dermal fat atrophy after severe acne. Aesthetic Plast. Surg. 2009, 33, 113–116. [Google Scholar] [CrossRef] [PubMed]
- Jacob, C.I.; Dover, J.S.; Kaminer, M.S. Acne scarring: A classification system and review of treatment options. J. Am. Acad. Dermatol. 2001, 45, 109–117. [Google Scholar] [CrossRef]
- Kim, E.Y.; Wong, J.H.; Hussain, A.; Khachemoune, A. Evidence-based management of cutaneous scarring in dermatology part 2: Atrophic acne scarring. Arch. Dermatol. Res. 2023, 316, 19. [Google Scholar] [CrossRef] [PubMed]
- Forbat, E.; Ali, F.R.; Al-Niaimi, F. The role of fillers in the management of acne scars. Clin. Exp. Dermatol. 2017, 42, 374–380. [Google Scholar] [CrossRef] [PubMed]
- Fife, D. Practical evaluation and management of atrophic acne scars: Tips for the general dermatologist. J. Clin. Aesthet. Dermatol. 2011, 4, 50–57. [Google Scholar]
- Abdelwahab, A.A.; Omar, G.A.B.; Hamdino, M. A combined subcision approach with either fractional CO2 laser (10,600 nm) or cross-linked hyaluronic acid versus subcision alone in atrophic post-acne scar treatment. Lasers Med. Sci. 2022, 38, 20. [Google Scholar] [CrossRef] [PubMed]
- Halachmi, S.; Ben Amitai, D.; Lapidoth, M. Treatment of acne scars with hyaluronic acid: An improved approach. J. Drugs Dermatol. 2013, 12, e121–e123. [Google Scholar] [PubMed]
- Capuana, E.; Lopresti, F.; Ceraulo, M.; La Carrubba, V. Poly-L-lactic acid (PLLA)-based biomaterials for regenerative medicine: A review on processing and applications. Polymers 2022, 14, 1153. [Google Scholar] [CrossRef] [PubMed]
- Gao, Q.; Duan, L.; Feng, X.; Xu, W. Superiority of poly(L-lactic acid) microspheres as dermal fillers. Chin. Chem. Let. 2021, 32, 577–582. [Google Scholar] [CrossRef]
- Lam, S.M.; Azizzadeh, B.; Graivier, M. Injectable poly-L-lactic acid (Sculptra): Technical considerations in soft-tissue contouring. Plast. Reconstr. Surg. 2006, 118, 55S–63S. [Google Scholar] [CrossRef]
- Beer, K. A single-center, open-label study on the use of injectable poly-L-lactic acid for the treatment of moderate to severe scarring from acne or varicella. Dermatol. Surg. 2007, 33, S159–S167. [Google Scholar]
- Sapra, S.; Stewart, J.A.; Mraud, K.; Schupp, R. A Canadian study of the use of poly-L-lactic acid dermal implant for the treatment of hill and valley acne scarring. Dermatol. Surg. 2015, 41, 587–594. [Google Scholar] [CrossRef]
- Sadick, N.S.; Palmisano, L. Case study involving use of injectable poly-L-lactic acid (PLLA) for acne scars. J. Dermatolog Treat. 2009, 20, 302–307. [Google Scholar] [CrossRef] [PubMed]
- An, M.K.; Hong, E.H.; Suh, S.B.; Park, E.J.; Kim, K.H. Combination therapy of microneedle fractional radiofrequency and topical poly-lactic acid for acne scars: A randomized controlled split-face study. Dermatol. Surg. 2020, 46, 796–802. [Google Scholar] [CrossRef] [PubMed]
- Fife, D.J. Commentary on a Canadian study of the use of poly-L-lactic acid dermal implant for the treatment of hill and valley acne scarring. Dermatol. Surg. 2015, 41, 595–596. [Google Scholar] [CrossRef] [PubMed]
- Gogolewski, S.; Jovanovic, M.; Perren, S.M.; Dillon, J.G.; Hughes, M.K. Tissue response and in vivo degradation of selected polyhydroxyacids: Polylactides (PLA), poly(3-hydroxybutyrate) (PHB), and poly(3-hydroxybutyrate- co-3-hydroxyvalerate) (PHB/VA). J. Biomed. Mater. Res. 1993, 27, 1135–1148. [Google Scholar] [CrossRef]
- Oh, S.; Lee, J.H.; Kim, H.M.; Batsukh, S.; Sung, M.J.; Lim, T.H.; Lee, M.H.; Son, K.H.; Byun, K. Poly-L-lactic acid fillers improved dermal collagen synthesis by modulating m2 macrophage polarization in aged animal skin. Cells 2023, 12, 1320. [Google Scholar] [CrossRef] [PubMed]
- Seo, S.B.; Park, H.; Jo, J.Y.; Ryu, H.J. Skin rejuvenation effect of the combined PDLLA and non cross-linked hyaluronic acid: A preliminary study. J. Cosmet. Dermatol. 2023. [Google Scholar] [CrossRef]
- Kim, C.M.; Kim, B.Y.; Hye Suh, D.; Lee, S.J.; Moon, H.R.; Ryu, H.J. The efficacy of powdered polydioxanone in terms of collagen production compared with poly-l-lactic acid in a murine model. J. Cosmet. Dermatol. 2019, 18, 1893–1898. [Google Scholar] [CrossRef]
- Nowag, B.; Schäfer, D.; Hengl, T.; Corduff, N.; Goldie, K. Biostimulating fillers and induction of inflammatory pathways: A preclinical investigation of macrophage response to calcium hydroxylapatite and poly-L lactic acid. J. Cosmet. Dermatol. 2024, 23, 99–106. [Google Scholar] [CrossRef]
- Oh, S.; Seo, S.B.; Kim, G.; Batsukh, S.; Park, C.H.; Son, K.H.; Byun, K. Poly-D,L-lactic acid filler increases extracellular matrix by modulating macrophages and adipose-derived stem cells in aged animal skin. Antioxidants 2023, 12, 1204. [Google Scholar] [CrossRef]
- Greco, T.; Antunes, M.; Yellin, S. Injectable fillers for volume replacement in the aging face. Facial Plast. Surg. 2012, 28, 8–20. [Google Scholar] [CrossRef]
- Oh, S.; Seo, S.B.; Kim, G.; Batsukh, S.; Son, K.H.; Byun, K. Poly-D,L-lactic acid stimulates angiogenesis and collagen synthesis in aged animal skin. Int. J. Mol. Sci. 2023, 24, 7986. [Google Scholar] [CrossRef] [PubMed]
- Lin, J.; Fu, J.; Hsu, N.; Lin, C. Early-stage volume effect difference between injectable poly-l-lactic acid and injectable poly-d,l-lactic acid. J. Cosmet. Dermatol. 2023, 22, 1702–1703. [Google Scholar] [CrossRef] [PubMed]
- Iorizzo, M.; De Padova, M.P.; Tosti, A. Biorejuvenation: Theory and practice. Clin. Dermatol. 2008, 26, 177–181. [Google Scholar] [CrossRef] [PubMed]
- Lee, J.J.; Yi, K.H.; Kim, H.S.; An, M.H.; Seo, K.K.; Chang-Hun, H.; Kim, H.J. A novel needle-free microjet drug injector using Er:YAG laser: A completely new concept of transdermal drug delivery system. Clin. Anat. 2022, 35, 682–685. [Google Scholar] [CrossRef]
- Choi, S.Y.; Ko, E.J.; Yoo, K.H.; Han, H.S.; Kim, B.J. Effects of hyaluronic acid injected using the mesogun injector with stamp-type microneedle on skin hydration. Dermatol. Ther. 2020, 33, e13963. [Google Scholar] [CrossRef] [PubMed]
- Rohilla, P.; Marston, J. Feasibility of laser induced jets in needle free jet injections. Int. J. Pharm. 2020, 589, 119714. [Google Scholar] [CrossRef]
- Schoppink, J.; Fernandez Rivas, D. Jet injectors: Perspectives for small volume delivery with lasers. Adv. Drug Deliv. Rev. 2022, 182, 114109. [Google Scholar] [CrossRef]
- Han, H.S.; Kim, B.R.; Kim, M.; Na, J.I.; Seo, S.B.; Huh, C.H.; Shin, J.W. Needleless laser injector versus needle injection for skin enhancement and rejuvenation effect of dermal filler. Lasers Surg. Med. 2023, 55, 809–816. [Google Scholar] [CrossRef]
- Lee, W.J.; Jung, H.J.; Lim, H.J.; Jang, Y.H.; Lee, S.J.; Kim, D.W. Serial sections of atrophic acne scars help in the interpretation of microscopic findings and the selection of good therapeutic modalities. J. Eur. Acad. Dermatol. Venereol. 2013, 27, 643–646. [Google Scholar] [CrossRef]
- Taberner, A.; Hogan, N.C.; Hunter, I.W. Needle-free jet injection using real-time controlled linear Lorentz-force actuators. Med. Eng. Phys. 2012, 34, 1228–1235. [Google Scholar] [CrossRef]
- McKeage, J.W.; Ruddy, B.P.; Nielsen, P.M.F.; Taberner, A.J. The effect of jet speed on large volume jet injection. J. Control Release 2018, 280, 51–57. [Google Scholar] [CrossRef] [PubMed]
- Wilson, G.A.; Jeter, J.W.; Dabbs, W.S.; Stevens, A.B.; Heidel, R.E.; Chamberlin, S.M. Comparison of traditional anesthesia method and jet injector anesthesia method (MadaJet XL®) for Nexplanon® insertion and removal. Contracept. Reprod. Med. 2020, 5, 1. [Google Scholar] [CrossRef] [PubMed]
- Bachmann, F.; Erdmann, R.; Hartmann, V.; Wiest, L.; Rzany, B. The spectrum of adverse reactions after treatment with injectable fillers in the glabellar region. Dermatol. Surg. 2009, 35 (Suppl. S2), 1629–1634. [Google Scholar] [CrossRef]
- Apikian, M.; Roberts, S.; Goodman, G.J. Adverse reactions to polylactic acid injections in the periorbital area. J. Cosmet. Dermatol. 2007, 6, 95–101. [Google Scholar] [CrossRef] [PubMed]
- Bauer, U.; Graivier, M.H. Optimizing injectable poly-L-lactic acid administration for soft tissue augmentation: The rationale for three treatment sessions. Can. J. Plast. Surg. 2011, 19, e22–e27. [Google Scholar] [CrossRef] [PubMed]
- Lowe, N.J.; Maxwell, A.C.; Lowe, P.; Shah, A.; Patnaik, R. Injectable poly-L-lactic acid: 3 years of aesthetic experience. Dermatol. Surg. 2009, 35 (Suppl. S1), 344–349. [Google Scholar] [CrossRef] [PubMed]
- LaTowsky, B.; Robertson, D.W.; Capelli, C.C. Long-term improvement in the appearance of hypertrophic scars following a single treatment with acoustic subcision—A single center proof-of-concept study. Lasers Surg. Med. 2022, 54, 1251–1260. [Google Scholar] [CrossRef]
- Moortgat, P.; Anthonissen, M.; Van Daele, U.; Vanhullebusch, T.; Maertens, K.; De Cuyper, L.; Lafaire, C.; Meirte, J. The effects of shock wave therapy applied on hypertrophic burn scars: A randomised controlled trial. Scars Burn. Heal. 2020, 6, 205951312097562. [Google Scholar] [CrossRef] [PubMed]
- Cui, H.S.; Hong, A.R.; Kim, J.B.; Yu, J.H.; Cho, Y.S.; Joo, S.Y.; Seo, C.H. Extracorporeal shock wave therapy alters the expression of fibrosis-related molecules in fibroblast derived from human hypertrophic scar. Int. J. Mol. Sci. 2018, 19, 124. [Google Scholar] [CrossRef] [PubMed]
- Fabi, S.G.; Goldman, M.P. The safety and efficacy of combining poly-L-lactic acid with intense pulsed light in facial rejuvenation: A retrospective study of 90 patients. Dermatol. Surg. 2012, 38, 1208–1216. [Google Scholar] [CrossRef] [PubMed]
- Wu, X.; Cen, Q.; Wang, X.; Xiong, P.; Wu, X.; Lin, X. Microneedling radiofrequency enhances poly-L-lactic acid penetration that effectively improves facial skin laxity without lipolysis. Plast. Reconstr. Surg. 2023. [Google Scholar] [CrossRef] [PubMed]
- Wang, I.; Lin, H.J.; Tsai, Y.Y.; Chen, W.L.; Lin, C.J.; Chen, S.N.; Hsieh, M.C.; Wan, L.; Tien, P.T. Multiple branch retinal artery occlusions following the new facial cosmetic filler (poly-D,L-lactic acid) injection: A case report. BMC Ophthalmol. 2023, 23, 86. [Google Scholar] [CrossRef]
- Bik, L.; van Doorn, M.B.; Boeijink, N.; Wennekers, M.; Meesters, A.A.; Bloemen, P.; Haedersdal, M.; Wolkerstorfer, A. Clinical endpoints of needle-free jet injector treatment: An in depth understanding of immediate skin responses. Lasers Surg. Med. 2022, 54, 693–701. [Google Scholar] [CrossRef]
- Vinshtok, Y.; Cassuto, D. Biochemical and physical actions of hyaluronic acid delivered by intradermal jet injection route. J. Cosmet. Dermatol. 2020, 19, 2505–2512. [Google Scholar] [CrossRef] [PubMed]
- Simmons, J.A.; Davis, J.; Thomas, J.; Lopez, J.; Le Blanc, A.; Allison, H.; Slook, H.; Lewis, P.; Holtz, J.; Fisher, P.; et al. Characterization of skin blebs from intradermal jet injection: Ex-vivo studies. J. Control Release 2019, 307, 200–210. [Google Scholar] [CrossRef]








| Disclaimer/Publisher’s Note: The statements, opinions and data contained in all publications are solely those of the individual author(s) and contributor(s) and not of MDPI and/or the editor(s). MDPI and/or the editor(s) disclaim responsibility for any injury to people or property resulting from any ideas, methods, instructions or products referred to in the content. | 
© 2024 by the authors. Licensee MDPI, Basel, Switzerland. This article is an open access article distributed under the terms and conditions of the Creative Commons Attribution (CC BY) license (https://creativecommons.org/licenses/by/4.0/).
Share and Cite
Rho, N.-K.; Kim, H.-J.; Kim, H.-S.; Lee, W. Needle-Free Jet Injection of Poly-(Lactic Acid) for Atrophic Acne Scars: Literature Review and Report of Clinical Cases. J. Clin. Med. 2024, 13, 440. https://doi.org/10.3390/jcm13020440
Rho N-K, Kim H-J, Kim H-S, Lee W. Needle-Free Jet Injection of Poly-(Lactic Acid) for Atrophic Acne Scars: Literature Review and Report of Clinical Cases. Journal of Clinical Medicine. 2024; 13(2):440. https://doi.org/10.3390/jcm13020440
Chicago/Turabian StyleRho, Nark-Kyoung, Hyun-Jo Kim, Hyun-Seok Kim, and Won Lee. 2024. "Needle-Free Jet Injection of Poly-(Lactic Acid) for Atrophic Acne Scars: Literature Review and Report of Clinical Cases" Journal of Clinical Medicine 13, no. 2: 440. https://doi.org/10.3390/jcm13020440
APA StyleRho, N.-K., Kim, H.-J., Kim, H.-S., & Lee, W. (2024). Needle-Free Jet Injection of Poly-(Lactic Acid) for Atrophic Acne Scars: Literature Review and Report of Clinical Cases. Journal of Clinical Medicine, 13(2), 440. https://doi.org/10.3390/jcm13020440
 
        




