From Diagnosis to Fertility: Optimizing Treatment of Adenomyosis for Reproductive Health
Abstract
1. Introduction
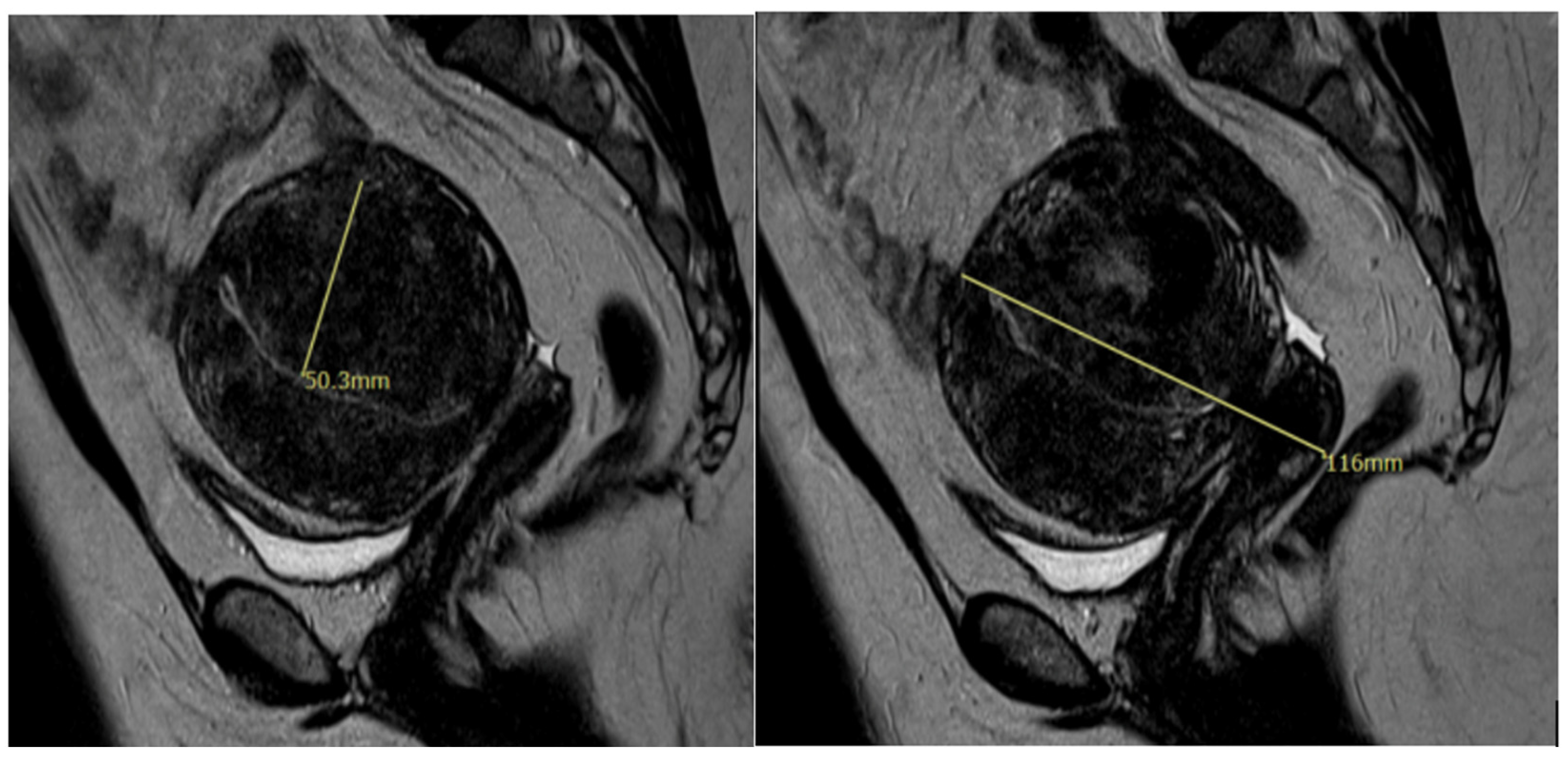
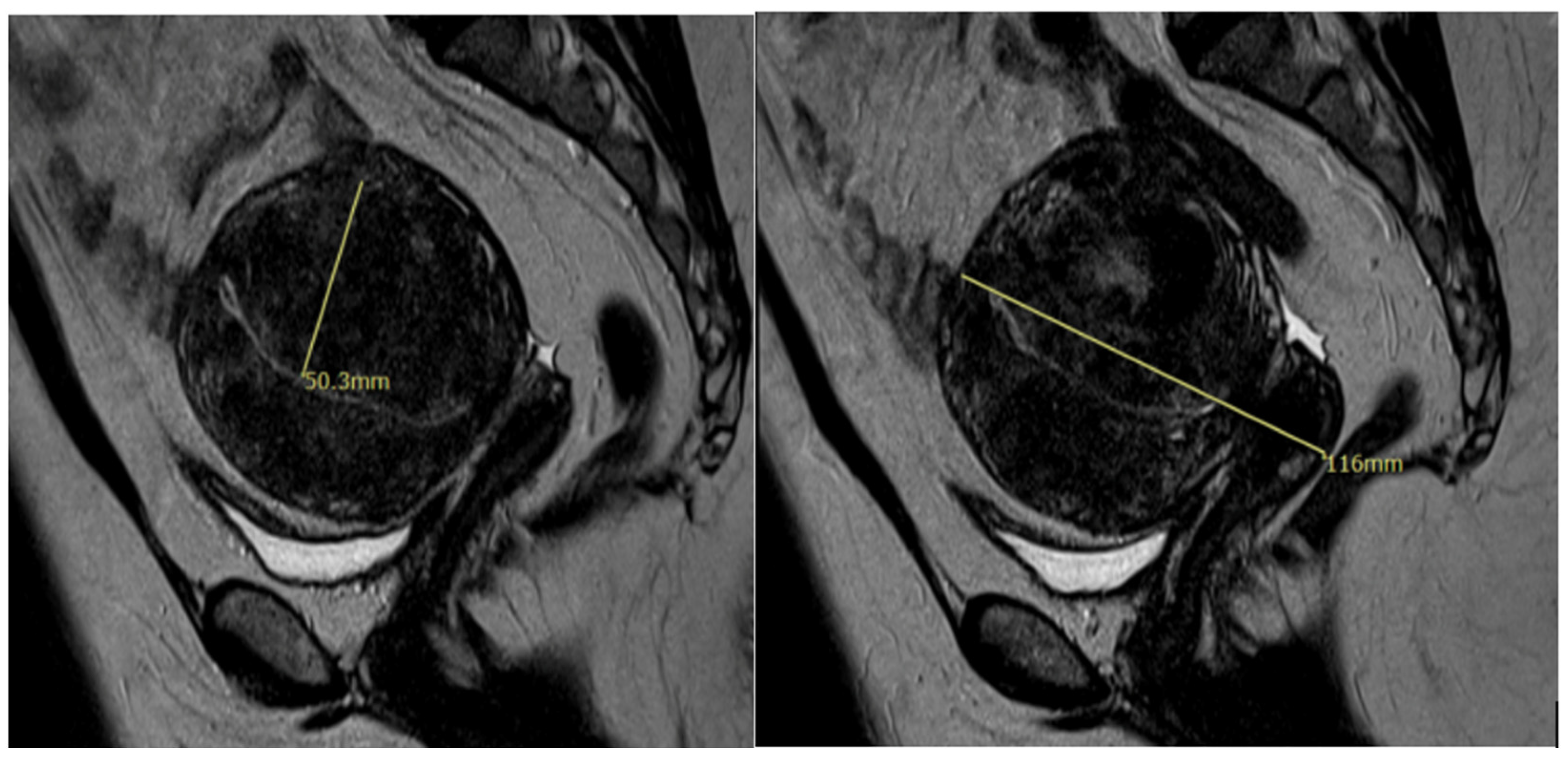
2. Diagnosis of Adenomyosis
3. Prevalence of Adenomyosis
4. Proposed Pathophysiology of Adenomyosis
5. Adenomyosis and Effect on Fertility
6. Management of Adenomyosis
6.1. Patients Seeking Fertility
6.1.1. Levonorgestrel Intrauterine Device (IUD)
6.1.2. Hyperthermic Therapy Modalities
6.1.3. Adenomyomectomy
6.1.4. Considerations for Surgical Management
6.2. Considerations for ART
6.2.1. Discussion on Ovarian Stimulation
6.2.2. Suppression with Embryo Transfer
6.3. Patients Not Seeking Fertility
6.3.1. Uterine Artery Embolism (UAE)
6.3.2. Endometrial Ablation (EA)
6.3.3. Hysterectomy
7. Discussion
Author Contributions
Funding
Conflicts of Interest
References
- Benagiano, G.; Brosens, I. History of Adenomyosis. Best Pract. Res. Clin. Obstet. Gynaecol. 2006, 20, 449–463. [Google Scholar] [CrossRef]
- Younes, G.; Tulandi, T. Conservative Surgery for Adenomyosis and Results: A Systematic Review. J. Minim. Invasive Gynecol. 2018, 25, 265–276. [Google Scholar] [CrossRef]
- Park, C.W.; Choi, M.H.; Yang, K.M.; Song, I.O. Pregnancy Rate in Women with Adenomyosis Undergoing Fresh or Frozen Embryo Transfer Cycles Following Gonadotropin-Releasing Hormone Agonist Treatment. Clin. Exp. Reprod. Med. 2016, 43, 169–173. [Google Scholar] [CrossRef]
- Vannuccini, S.; Tosti, C.; Carmona, F.; Huang, S.J.; Chapron, C.; Guo, S.-W.; Petraglia, F. Pathogenesis of Adenomyosis: An Update on Molecular Mechanisms. Reprod. Biomed. Online 2017, 35, 592–601. [Google Scholar] [CrossRef]
- Vannuccini, S.; Petraglia, F. Recent Advances in Understanding and Managing Adenomyosis. F1000Research 2019, 8, 283. [Google Scholar] [CrossRef]
- Kwack, J.-Y.; Kwon, Y.-S. Conservative Surgery of Diffuse Adenomyosis with TOUA: Single Surgeon Experience of One Hundred Sixteen Cases and Report of Fertility Outcomes. Kaohsiung J. Med. Sci. 2018, 34, 290–294. [Google Scholar] [CrossRef] [PubMed]
- Pirtea, P.; de Ziegler, D.; Ayoubi, J.M. Endometrial Receptivity in Adenomyosis and/or Endometriosis. Fertil. Steril. 2023, 119, 741–745. [Google Scholar] [CrossRef] [PubMed]
- Lazzeri, L.; Morosetti, G.; Centini, G.; Monti, G.; Zupi, E.; Piccione, E.; Exacoustos, C. A Sonographic Classification of Adenomyosis: Interobserver Reproducibility in the Evaluation of Type and Degree of the Myometrial Involvement. Fertil. Steril. 2018, 110, 1154–1161.e3. [Google Scholar] [CrossRef]
- Harmsen, M.J.; Van den Bosch, T.; de Leeuw, R.A.; Dueholm, M.; Exacoustos, C.; Valentin, L.; Hehenkamp, W.J.K.; Groenman, F.; De Bruyn, C.; Rasmussen, C.; et al. Consensus on Revised Definitions of Morphological Uterus Sonographic Assessment (MUSA) Features of Adenomyosis: Results of Modified Delphi Procedure. Ultrasound Obstet. Gynecol. 2022, 60, 118–131. [Google Scholar] [CrossRef] [PubMed]
- Van den Bosch, T.; de Bruijn, A.M.; de Leeuw, R.A.; Dueholm, M.; Exacoustos, C.; Valentin, L.; Bourne, T.; Timmerman, D.; Huirne, J.A.F. Sonographic Classification and Reporting System for Diagnosing Adenomyosis. Ultrasound Obstet. Gynecol. 2019, 53, 576–582. [Google Scholar] [CrossRef] [PubMed]
- Di Donato, N.; Bertoldo, V.; Montanari, G.; Zannoni, L.; Caprara, G.; Seracchioli, R. Question Mark Form of Uterus: A Simple Sonographic Sign Associated with the Presence of Adenomyosis. Ultrasound Obstet. Gynecol. 2015, 46, 126–127. [Google Scholar] [CrossRef] [PubMed]
- Younes, G.; Tulandi, T. Effects of Adenomyosis on in Vitro Fertilization Treatment Outcomes: A Meta-Analysis. Fertil. Steril. 2017, 108, 483–490. [Google Scholar] [CrossRef] [PubMed]
- Naftalin, J.; Hoo, W.; Pateman, K.; Mavrelos, D.; Holland, T.; Jurkovic, D. How Common Is Adenomyosis? A Prospective Study of Prevalence Using Transvaginal Ultrasound in a Gynaecology Clinic. Hum. Reprod. 2012, 27, 3432–3439. [Google Scholar] [CrossRef]
- Niu, Z.; Chen, Q.; Sun, Y.; Feng, Y. Long-Term Pituitary Downregulation before Frozen Embryo Transfer Could Improve Pregnancy Outcomes in Women with Adenomyosis. Gynecol. Endocrinol. 2013, 29, 1026–1030. [Google Scholar] [CrossRef]
- Sharma, S.; Bathwal, S.; Agarwal, N.; Chattopadhyay, R.; Saha, I.; Chakravarty, B. Does Presence of Adenomyosis Affect Reproductive Outcome in IVF Cycles? A Retrospective Analysis of 973 Patients. Reprod. Biomed. Online 2019, 38, 13–21. [Google Scholar] [CrossRef]
- Szubert, M.; Koziróg, E.; Olszak, O.; Krygier-Kurz, K.; Kazmierczak, J.; Wilczynski, J. Adenomyosis and Infertility-Review of Medical and Surgical Approaches. Int. J. Environ. Res. Public Health 2021, 18, 1235. [Google Scholar] [CrossRef]
- Yu, O.; Schulze-Rath, R.; Grafton, J.; Hansen, K.; Scholes, D.; Reed, S.D. Adenomyosis Incidence, Prevalence and Treatment: United States Population-Based Study 2006-2015. Am. J. Obstet. Gynecol. 2020, 223, 94.e1–94.e10. [Google Scholar] [CrossRef]
- Taran, F.A.; Stewart, E.A.; Brucker, S. Adenomyosis: Epidemiology, Risk Factors, Clinical Phenotype and Surgical and Interventional Alternatives to Hysterectomy. Geburtshilfe Frauenheilkd. 2013, 73, 924–931. [Google Scholar] [CrossRef]
- Kunz, G.; Beil, D.; Huppert, P.; Noe, M.; Kissler, S.; Leyendecker, G. Adenomyosis in Endometriosis–Prevalence and Impact on Fertility. Evidence from Magnetic Resonance Imaging. Hum. Reprod. 2005, 20, 2309–2316. [Google Scholar] [CrossRef]
- Cetera, G.E.; Tozzi, A.E.; Chiappa, V.; Castiglioni, I.; Merli, C.E.M.; Vercellini, P. Artificial Intelligence in the Management of Women with Endometriosis and Adenomyosis: Can Machines Ever Be Worse Than Humans? J. Clin. Med. 2024, 13, 2950. [Google Scholar] [CrossRef] [PubMed]
- Raimondo, D.; Raffone, A.; Aru, A.C.; Giorgi, M.; Giaquinto, I.; Spagnolo, E.; Travaglino, A.; Galatolo, F.A.; Cimino, M.G.C.A.; Lenzi, J.; et al. Application of Deep Learning Model in the Sonographic Diagnosis of Uterine Adenomyosis. Int. J. Environ. Res. Public Health 2023, 20, 1724. [Google Scholar] [CrossRef]
- Vercellini, P.; Parazzini, F.; Oldani, S.; Panazza, S.; Bramante, T.; Crosignani, P.G. Adenomyosis at Hysterectomy: A Study on Frequency Distribution and Patient Characteristics. Hum. Reprod. 1995, 10, 1160–1162. [Google Scholar] [CrossRef] [PubMed]
- Parazzini, F.; Mais, V.; Cipriani, S.; Busacca, M.; Venturini, P.; GISE. Determinants of Adenomyosis in Women Who Underwent Hysterectomy for Benign Gynecological Conditions: Results from a Prospective Multicentric Study in Italy. Eur. J. Obstet. Gynecol. Reprod. Biol. 2009, 143, 103–106. [Google Scholar] [CrossRef] [PubMed]
- Vannuccini, S.; Meleca, C.; Toscano, F.; Mertino, P.; Pampaloni, F.; Fambrini, M.; Bruni, V.; Petraglia, F. Adenomyosis Diagnosis among Adolescents and Young Women with Dysmenorrhoea and Heavy Menstrual Bleeding. Reprod. BioMed. Online 2024, 48, 103768. [Google Scholar] [CrossRef]
- Giorgi, M.; Raimondo, D.; Pacifici, M.; Bartiromo, L.; Candiani, M.; Fedele, F.; Pizzo, A.; Valensise, H.; Seracchioli, R.; Raffone, A.; et al. Adenomyosis among Patients Undergoing Postpartum Hysterectomy for Uncontrollable Uterine Bleeding: A Multicenter, Observational, Retrospective, Cohort Study on Histologically-Based Prevalence and Clinical Characteristics. Int. J. Gynecol. Obstet. 2024, 166, 849–858. [Google Scholar] [CrossRef]
- Meyer, R.; Maxey, C.; Hamilton, K.M.; Nasseri, Y.; Barnajian, M.; Levin, G.; Truong, M.D.; Wright, K.N.; Siedhoff, M.T. Associations between Race and Ethnicity and Perioperative Outcomes among Women Undergoing Hysterectomy for Adenomyosis. Fertil. Steril. 2024, 121, 1053–1062. [Google Scholar] [CrossRef] [PubMed]
- Bourdon, M.; Santulli, P.; Bordonne, C.; Millisher, A.E.; Maitrot-Mantelet, L.; Maignien, C.; Marcellin, L.; Melka, L.; Chapron, C. Presence of Adenomyosis at MRI Reduces Live Birth Rates in ART Cycles for Endometriosis. Hum. Reprod. 2022, 37, 1470–1479. [Google Scholar] [CrossRef] [PubMed]
- Raffone, A.; Seracchioli, R.; Raimondo, D.; Maletta, M.; Travaglino, A.; Raimondo, I.; Giaquinto, I.; Orsini, B.; Insabato, L.; Pellicano, M.; et al. Prevalence of Adenomyosis in Endometrial Cancer Patients: A Systematic Review and Meta-Analysis. Arch. Gynecol. Obstet. 2021, 303, 47–53. [Google Scholar] [CrossRef] [PubMed]
- Rossi, M.; Vannuccini, S.; Capezzuoli, T.; Fambrini, M.; Vannuzzi, V.; Donati, C.; Petraglia, F. Mechanisms and Pathogenesis of Adenomyosis. Curr. Obstet. Gynecol. Rep. 2022, 11, 95–102. [Google Scholar] [CrossRef]
- Squatrito, M.; Vervier, J.; Bindels, J.; Bernet, L.; Blacher, S.; Nisolle, M.; Munaut, C. Impaired Fertility in Adenomyosis: A Murine Model Reveals Endometrial Receptivity and Progesterone Resistance Imbalances. Reproduction 2024, 167, e240019. [Google Scholar] [CrossRef]
- Zhai, J.; Vannuccini, S.; Petraglia, F.; Giudice, L.C. Adenomyosis: Mechanisms and Pathogenesis. Semin. Reprod. Med. 2020, 38, 129–143. [Google Scholar] [CrossRef] [PubMed]
- Salmeri, N.; Stefano, G.D.; Viganò, P.; Stratton, P.; Somgliana, E.; Vercellini, P. Functional Determinants of Uterine Contractility in Endometriosis and Adenomyosis: A Systematic Review and Meta-Analysis. Fertil. Steril. 2024, in press. [CrossRef]
- Nirgianakis, K.; Kalaitzopoulos, D.R.; Schwartz, A.S.K.; Spaanderman, M.; Kramer, B.W.; Mueller, M.D.; Mueller, M. Fertility, Pregnancy and Neonatal Outcomes of Patients with Adenomyosis: A Systematic Review and Meta-Analysis. Reprod. Biomed. Online 2021, 42, 185–206. [Google Scholar] [CrossRef] [PubMed]
- Vercellini, P.; Consonni, D.; Dridi, D.; Bracco, B.; Frattaruolo, M.P.; Somigliana, E. Uterine Adenomyosis and in Vitro Fertilization Outcome: A Systematic Review and Meta-Analysis. Hum. Reprod. 2014, 29, 964–977. [Google Scholar] [CrossRef] [PubMed]
- Zhang, W.; Pan, N.; Han, B.; Li, X.; Li, R.; Ma, C.; Qiao, J. Association Between Uterine Volume and In Vitro Fertilization (IVF) Reproductive Outcomes of Infertile Patients with Adenomyosis. Reprod. Sci. 2023, 30, 3123–3131. [Google Scholar] [CrossRef] [PubMed]
- Li, L.; Leng, J.; Jia, S.; Lang, J. Treatment of Symptomatic Adenomyosis with the Levonorgestrel-Releasing Intrauterine System. Int. J. Gynaecol. Obstet. 2019, 146, 357–363. [Google Scholar] [CrossRef] [PubMed]
- Yang, H.; Wang, S.; Fu, X.; Lan, R.; Gong, H. Effect of Modified Levonorgestrel-Releasing Intrauterine System in Human Adenomyosis with Heavy Menstrual Bleeding. J. Obstet. Gynaecol. Res. 2022, 48, 161–168. [Google Scholar] [CrossRef] [PubMed]
- Borghese, G.; Doglioli, M.; Orsini, B.; Raffone, A.; Neola, D.; Travaglino, A.; Rovero, G.; del Forno, S.; de Meis, L.; Locci, M.; et al. Progression of Adenomyosis: Rate and Associated Factors. Int. J. Gynecol. Obstet. 2024. online ahead of print. [Google Scholar] [CrossRef]
- Dedes, I.; Kolovos, G.; Arrigo, F.; Toub, D.; Vaineau, C.; Lanz, S.; Imboden, S.; Feki, A.; Mueller, M.D. Radiofrequency Ablation for Adenomyosis. J. Clin. Med. 2023, 12, 3069. [Google Scholar] [CrossRef]
- Liu, L.; Wang, T.; Lei, B. Image-Guided Thermal Ablation in the Management of Symptomatic Adenomyosis: A Systematic Review and Meta-Analysis. Int. J. Hyperth. 2021, 38, 948–962. [Google Scholar] [CrossRef]
- Osada, H. Uterine Adenomyosis and Adenomyoma: The Surgical Approach. Fertil. Steril. 2018, 109, 406–417. [Google Scholar] [CrossRef] [PubMed]
- Dason, E.S.; Maxim, M.; Sanders, A.; Papillon-Smith, J.; Ng, D.; Chan, C.; Sobel, M. Guideline No. 437: Diagnosis and Management of Adenomyosis. J. Obstet. Gynaecol. Can. 2023, 45, 417–429.e1. [Google Scholar] [CrossRef] [PubMed]
- Mikos, T.; Lioupis, M.; Anthoulakis, C.; Grimbizis, G.F. The Outcome of Fertility-Sparing and Nonfertility-Sparing Surgery for the Treatment of Adenomyosis. A Systematic Review and Meta-Analysis. J. Minim. Invasive Gynecol. 2020, 27, 309–331.e3. [Google Scholar] [CrossRef]
- Saremi, A.; Bahrami, H.; Salehian, P.; Hakak, N.; Pooladi, A. Treatment of Adenomyomectomy in Women with Severe Uterine Adenomyosis Using a Novel Technique. Reprod. BioMed. Online 2014, 28, 753–760. [Google Scholar] [CrossRef]
- Kongnyuy, E.J.; Wiysonge, C.S. Interventions to Reduce Haemorrhage during Myomectomy for Fibroids. Cochrane Database Syst. Rev. 2014, 2014, CD005355. [Google Scholar] [CrossRef]
- Jiang, L.; Han, Y.; Song, Z.; Li, Y. Pregnancy Outcomes after Uterus-Sparing Operative Treatment for Adenomyosis: A Systematic Review and Meta-Analysis. J. Minim. Invasive Gynecol. 2023, 30, 543–554. [Google Scholar] [CrossRef]
- Kishi, Y.; Yabuta, M.; Taniguchi, F. Who Will Benefit from Uterus-Sparing Surgery in Adenomyosis-Associated Subfertility? Fertil. Steril. 2014, 102, 802–807.e1. [Google Scholar] [CrossRef]
- Tjahyadi, D.; Nulianti, R.; Nisa, A.S.; Djuwantono, T. The Administration of Long In-Vitro Fertilization Protocol in Adenomyosis: Case Series. Ann. Med. Surg. 2024, 86, 1455. [Google Scholar] [CrossRef]
- Sharma, S.; RoyChoudhury, S.; Bhattacharya, M.P.; Hazra, S.; Majhi, A.K.; Oswal, K.C.; Chattopadhyay, R. Low-Dose Letrozole—An Effective Option for Women with Symptomatic Adenomyosis Awaiting IVF: A Pilot Randomized Controlled Trial. Reprod. BioMed. Online 2023, 47, 84–93. [Google Scholar] [CrossRef] [PubMed]
- Wang, J.; Guo, Y.; Zhang, N.; Li, T. Research Progress of Time-Lapse Imaging Technology and Embryonic Development Potential: A Review. Medicine 2023, 102, e35203. [Google Scholar] [CrossRef]
- Kröncke, T. An Update on Uterine Artery Embolization for Uterine Leiomyomata and Adenomyosis of the Uterus. Br. J. Radiol. 2023, 96, 20220121. [Google Scholar] [CrossRef] [PubMed]
- De Bruijn, A.M.; Smink, M.; Hehenkamp, W.J.K.; Nijenhuis, R.J.; Smeets, A.J.; Boekkooi, F.; Reuwer, P.J.H.M.; Van Rooij, W.J.; Lohle, P.N.M. Uterine Artery Embolization for Symptomatic Adenomyosis: 7-Year Clinical Follow-up Using UFS-Qol Questionnaire. Cardiovasc. Interv. Radiol. 2017, 40, 1344–1350. [Google Scholar] [CrossRef]
- Ma, J.; Brown, B.; Liang, E. Long-Term Durability of Uterine Artery Embolisation for Treatment of Symptomatic Adenomyosis. Aust. N. Z. J. Obstet. Gynaecol. 2021, 61, 290–296. [Google Scholar] [CrossRef] [PubMed]
- Igbokwe, N.; Glackin, K.; Kaur, H. Placenta Accreta after Postpartum Tubal Sterilisation and Novasure® Endometrial Ablation. Clin. Case Rep. 2021, 9, 2125–2128. [Google Scholar] [CrossRef] [PubMed]
- Nakamura, K.; Nakayama, K.; Ishikawa, M.; Katagiri, H.; Katagiri, A.; Ishibashi, T.; Sato, E.; Asakawa, Y.; Kyo, S. Efficacy of Multiple Microwave Endometrial Ablation Technique for Menorrhagia Resulting from Adenomyosis. J. Obstet. Gynaecol. Res. 2015, 41, 1769–1772. [Google Scholar] [CrossRef] [PubMed]
- Philip, C.-A.; Le Mitouard, M.; Maillet, L.; de Saint-Hilaire, P.; Huissoud, C.; Cortet, M.; Dubernard, G. Evaluation of NovaSure® Global Endometrial Ablation in Symptomatic Adenomyosis: A Longitudinal Study with a 36 Month Follow-Up. Eur. J. Obstet. Gynecol. Reprod. Biol. 2018, 227, 46–51. [Google Scholar] [CrossRef]
- Struble, J.; Reid, S.; Bedaiwy, M.A. Adenomyosis: A Clinical Review of a Challenging Gynecologic Condition. J. Minim. Invasive Gynecol. 2016, 23, 164–185. [Google Scholar] [CrossRef]
- Gorina, Y.; Elgaddal, N.; Weeks, J.D. Hysterectomy Among Women Age 18 and Older: United States, 2021. NCHS Data Brief 2024. pp. 1–8. Available online: https://www.cdc.gov/nchs/products/databriefs/db494.htm#:~:text=Key%20findings-,Data%20from%20the%20National%20Health%20Interview%20Survey,those%20age%2075%20and%20older (accessed on 8 August 2024).
- Krentel, H.; De Wilde, R.L. Prevalence of Adenomyosis in Women Undergoing Hysterectomy for Abnormal Uterine Bleeding, Pelvic Pain or Uterine Prolapse—A Retrospective Cohort Study. Ann. Med. Surg. 2022, 78, 103809. [Google Scholar] [CrossRef]
- Neis, K.J.; Zubke, W.; Römer, T.; Schwerdtfeger, K.; Schollmeyer, T.; Rimbach, S.; Holthaus, B.; Solomayer, E.; Bojahr, B.; Neis, F.; et al. Indications and Route of Hysterectomy for Benign Diseases. Guideline of the DGGG, OEGGG and SGGG (S3 Level, AWMF Registry No. 015/070, April 2015). Geburtshilfe Frauenheilkd 2016, 76, 350–364. [Google Scholar] [CrossRef]
- Adelman, M.R.; Bardsley, T.R.; Sharp, H.T. Urinary Tract Injuries in Laparoscopic Hysterectomy: A Systematic Review. J. Minim. Invasive Gynecol. 2014, 21, 558–566. [Google Scholar] [CrossRef]

| Adenomyosis Classification | Definition of Lesion | Location of Lesion |
|---|---|---|
| Diffuse Adenomyosis | Ill-defined | Global myometrial and uterine wall thickening with junctional zone thickening |
| Focal Adenomyosis | Usually ill-defined but can be defined | Localized lesion in the outer myometrium with possible lesions in the junctional zone |
| Adenomyoma | Well-defined | Found throughout and is usually categorized by size |
Disclaimer/Publisher’s Note: The statements, opinions and data contained in all publications are solely those of the individual author(s) and contributor(s) and not of MDPI and/or the editor(s). MDPI and/or the editor(s) disclaim responsibility for any injury to people or property resulting from any ideas, methods, instructions or products referred to in the content. |
© 2024 by the authors. Licensee MDPI, Basel, Switzerland. This article is an open access article distributed under the terms and conditions of the Creative Commons Attribution (CC BY) license (https://creativecommons.org/licenses/by/4.0/).
Share and Cite
Kim, H.; Frisch, E.H.; Falcone, T. From Diagnosis to Fertility: Optimizing Treatment of Adenomyosis for Reproductive Health. J. Clin. Med. 2024, 13, 4926. https://doi.org/10.3390/jcm13164926
Kim H, Frisch EH, Falcone T. From Diagnosis to Fertility: Optimizing Treatment of Adenomyosis for Reproductive Health. Journal of Clinical Medicine. 2024; 13(16):4926. https://doi.org/10.3390/jcm13164926
Chicago/Turabian StyleKim, Hanna, Emily H. Frisch, and Tommaso Falcone. 2024. "From Diagnosis to Fertility: Optimizing Treatment of Adenomyosis for Reproductive Health" Journal of Clinical Medicine 13, no. 16: 4926. https://doi.org/10.3390/jcm13164926
APA StyleKim, H., Frisch, E. H., & Falcone, T. (2024). From Diagnosis to Fertility: Optimizing Treatment of Adenomyosis for Reproductive Health. Journal of Clinical Medicine, 13(16), 4926. https://doi.org/10.3390/jcm13164926

