Acute Aortic Dissection during Pregnancy: Hideous Clinical Quandaries with Young Lives on the Line—The Role of Hereditary Genetic Syndromes
Abstract
1. Introduction
2. Patients and Methods
2.1. Patient Selection
2.2. Operative Technique
2.3. Follow-Up
2.4. Statistical Analysis
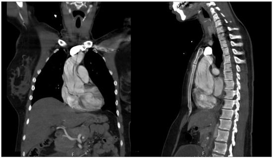
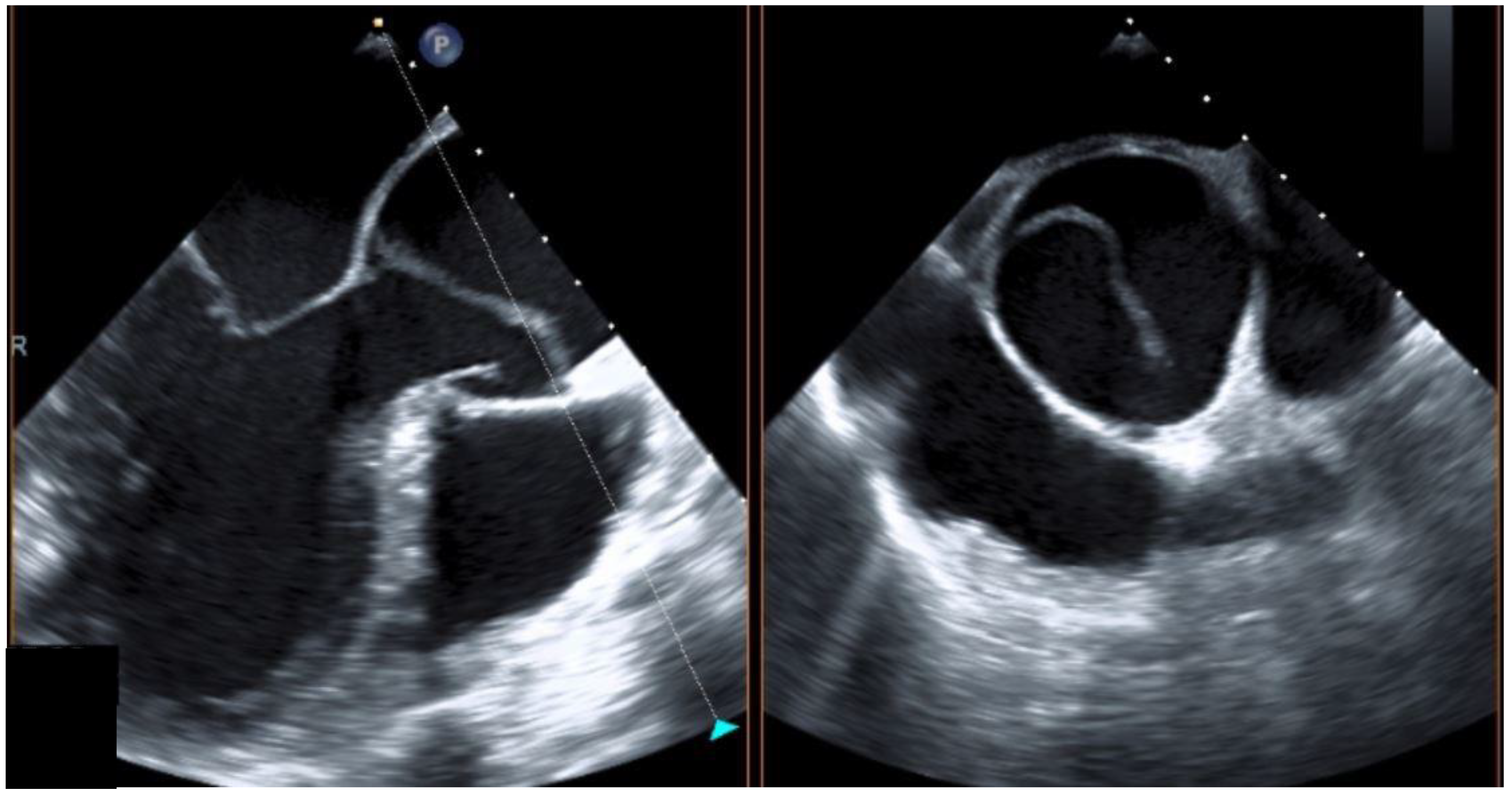
3. Results
3.1. Patient Demographics
3.2. Intraoperative Data
3.3. Peri- and Postoperative Complications
4. Discussion
Limitations
5. Conclusions
Author Contributions
Funding
Institutional Review Board Statement
Informed Consent Statement
Data Availability Statement
Conflicts of Interest
Abbreviations
| AADA | acute aortic dissection type A |
| aHT | arterial hypertension |
| BAV | bicuspid aortic valve |
| COR | class of recommendation |
| HLP | hyperlipidemia |
| LAD | left anterior descending |
| LIMA | left internal mammary artery |
| LOE | level of evidence |
| OR | Odds ratio |
| POD | postoperative day |
| TAA | thoracoabdominal aorta |
References
- Tsai, T.T.; Nienaber, C.A.; Eagle, K.A. Acute aortic syndromes. Circulation 2005, 112, 3802–3813. [Google Scholar] [CrossRef] [PubMed]
- Writing Committee Members; Isselbacher, E.M.; Preventza, O.; Hamilton Black, J., 3rd; Augoustides, J.G.; Beck, A.W.; Bolen, M.A.; Braverman, A.C.; Bray, B.E.; Brown-Zimmerman, M.M.; et al. 2022 ACC/AHA Guideline for the Diagnosis and Management of Aortic Disease: A Report of the American Heart Association/American College of Cardiology Joint Committee on Clinical Practice Guidelines. Circulation 2022, 146, e334–e482. [Google Scholar] [CrossRef]
- Fattori, R.; Tsai, T.T.; Myrmel, T.; Evangelista, A.; Cooper, J.V.; Trimarchi, S.; Li, J.; Lovato, L.; Kische, S.; Eagle, K.A. Complicated acute type B dissection: Is surgery still the best option?: A report from the International Registry of Acute Aortic Dissection. JACC Cardiovasc. Interv. 2008, 1, 395–402. [Google Scholar] [CrossRef] [PubMed]
- Manalo-Estrella, P.; Barker, A.E. Histopathologic findings in human aortic media associated with pregnancy. Arch. Pathol. 1967, 83, 336–341. [Google Scholar]
- Ouzounian, J.G.; Elkayam, U. Physiologic changes during normal pregnancy and delivery. Cardiol. Clin. 2012, 30, 317–329. [Google Scholar] [CrossRef]
- Freedman, R.L.; Lucas, D.N. MBRRACE-UK: Saving lives, improving mothers’ care—Implications for anaesthetists. Int. J. Obstet. Anesth. 2015, 24, 161–173. [Google Scholar] [CrossRef]
- Thalmann, M.; Sodeck, G.H.; Domanovits, H.; Grassberger, M.; Loewe, C.; Grimm, M.; Czerny, M. Acute type A aortic dissection and pregnancy: A population-based study. Eur. J. Cardiothorac. Surg. 2011, 39, e159–e163. [Google Scholar] [CrossRef] [PubMed]
- Wang, Y.; Yin, K.; Datar, Y.; Mohnot, J.; Nodoushani, A.Y.; Zhan, Y.; Karlson, K.J.; Edwards, N.M.; Reardon, M.J.; Dobrilovic, N. Aortic Dissection During Pregnancy and Puerperium: Contemporary Incidence and Outcomes in the United States. J. Am. Heart Assoc. 2023, 12, e028436. [Google Scholar] [CrossRef] [PubMed]
- Rajagopalan, S.; Nwazota, N.; Chandrasekhar, S. Outcomes in pregnant women with acute aortic dissections: A review of the literature from 2003 to 2013. Int. J. Obstet. Anesth. 2014, 23, 348–356. [Google Scholar] [CrossRef]
- Bentall, H.; De Bono, A. A technique for complete replacement of the ascending aorta. Thorax 1968, 23, 338–339. [Google Scholar] [CrossRef]
- Leontyev, S.; Schamberger, L.; Davierwala, P.M.; Von Aspern, K.; Etz, C.; Lehmann, S.; Misfeld, M.; Borger, M.A. Early and Late Results After David vs Bentall Procedure: A Propensity Matched Analysis. Ann. Thorac. Surg. 2020, 110, 120–126. [Google Scholar] [CrossRef]
- Urbanski, P.P.; Luehr, M.; Di Bartolomeo, R.; Diegeler, A.; De Paulis, R.; Esposito, G.; Bonser, R.S.; Etz, C.D.; Kallenbach, K.; Rylski, B.; et al. Multicentre analysis of current strategies and outcomes in open aortic arch surgery: Heterogeneity is still an issue. Eur. J. Cardiothorac. Surg. 2016, 50, 249–255. [Google Scholar] [CrossRef]
- Ouzounian, M.; Tadros, R.O.; Svensson, L.G.; Lyden, S.P.; Oderich, G.S.; Coselli, J.S. Thoracoabdominal Aortic Disease and Repair: JACC Focus Seminar, Part 3. J. Am. Coll. Cardiol. 2022, 80, 845–856. [Google Scholar] [CrossRef]
- Etz, C.D.; von Aspern, K.; Hoyer, A.; Girrbach, F.F.; Leontyev, S.; Bakhtiary, F.; Misfeld, M.; Mohr, F.W. Acute type A aortic dissection: Characteristics and outcomes comparing patients with bicuspid versus tricuspid aortic valve. Eur. J. Cardiothorac. Surg. 2015, 48, 142–150. [Google Scholar] [CrossRef] [PubMed]
- Matsushita, T.; Arakaki, T.; Sekizawa, A.; Hasegawa, J.; Tanaka, H.; Katsuragi, S.; Nakata, M.; Murakoshi, T.; Ikeda, T.; Ishiwata, I. Pregnancy-related maternal deaths due to cardiovascular diseases in Japan from 2010 to 2019: An analysis of maternal death exploratory committee data. J. Matern. Fetal Neonatal Med. 2023, 36, 2175207. [Google Scholar] [CrossRef]
- Wang, Z.; Sun, H.; Zhang, C.; Lu, L.; Zhang, L.; Wang, D. Outcomes of acute type A aortic dissection repair during pregnancy. Int. J. Gynaecol. Obstet. 2023, 161, 927–933. [Google Scholar] [CrossRef] [PubMed]
- Yates, M.T.; Soppa, G.; Smelt, J.; Fletcher, N.; van Besouw, J.P.; Thilaganathan, B.; Jahangiri, M. Perioperative management and outcomes of aortic surgery during pregnancy. J. Thorac. Cardiovasc. Surg. 2015, 149, 607–610. [Google Scholar] [CrossRef] [PubMed]
- Schoenhoff, F.S.; Kadner, A.; Czerny, M.; Jungi, S.; Meszaros, K.; Schmidli, J.; Carrel, T. Should aortic arch replacement be performed during initial surgery for aortic root aneurysm in patients with Marfan syndrome? Eur. J. Cardiothorac. Surg. 2013, 44, 346–351, Discussion 351. [Google Scholar] [CrossRef]
- Rylski, B.; Georgieva, N.; Beyersdorf, F.; Büsch, C.; Boening, A.; Haunschild, J.; Etz, C.D.; Luehr, M.; Kallenbach, K. Gender-related differences in patients with acute aortic dissection type A. J. Thorac. Cardiovasc. Surg. 2021, 162, 528–535.e1. [Google Scholar] [CrossRef]
- Easterling, T.R.; Benedetti, T.J.; Schmucker, B.C.; Carlson, K.; Millard, S.P. Maternal hemodynamics and aortic diameter in normal and hypertensive pregnancies. Obstet. Gynecol. 1991, 78, 1073–1077. [Google Scholar]
- DeVore, G.R.; Polanco, B. Assessing maternal cardiac function by obstetricians: Technique and reference ranges. Am. J. Obstet. Gynecol. 2023, 229, 155-e1. [Google Scholar] [CrossRef] [PubMed]
- Donnelly, R.T.; Pinto, N.M.; Kocolas, I.; Yetman, A.T. The immediate and long-term impact of pregnancy on aortic growth rate and mortality in women with Marfan syndrome. J. Am. Coll. Cardiol. 2012, 60, 224–229. [Google Scholar] [CrossRef] [PubMed]
- Angeli, L.; Fieni, S.; Dall’Asta, A.; Ghi, T.; De Carolis, S.; Sorrenti, S.; Rizzo, F.; Della Gatta, A.N.; Simonazzi, G.; Pilu, G.; et al. Mode of delivery and peripartum outcome in women with heart disease according to the ESC guidelines: An Italian multicenter study. J. Matern. Fetal Neonatal Med. 2023, 36, 2184221. [Google Scholar] [CrossRef] [PubMed]
- McCoy, J.A.; Kim, Y.Y.; Nyman, A.; Levine, L.D. Prolonged labor and adverse cardiac outcomes in pregnant patients with congenital heart disease. Am. J. Obstet. Gynecol. 2023, 228, 728-e1. [Google Scholar] [CrossRef]


| All Patients (n = 13) | Genetic Syndrome (n = 5) | Non-Syndromic (n = 8) | p-Value | |
|---|---|---|---|---|
| Age [years] | ||||
| mean (SD) | 33.9 (4.8) | 30.2 (4.7) | 36.3 (3.4) | 0.02 |
| median | 34 | 30 | 37 | |
| Gestation week | ||||
| Mean (SD) | 28.5 (10.7) | 20.8 (9.4) | 34.8 (7.2) | 0.03 |
| median | 33.0 | 17 | 39 | |
| Aortic dissection | ||||
| Type A n (%) | 12 (92) | 4 (80) | 8 (100) | 0.4 |
| Type B n (%) | 1 (8) | 1 (20) | 0 (0) | 0.3 |
| Malperfusion n (%) | ||||
| Coronary | 1 (8) | 0 (0) | 1 (13) | |
| Cerebral | 1 (8) | 0 (0) | 1 (13) | 1.0 |
| visceral | 1 (8) | 1 (20) | 0 (0) | |
| extremities | 1 (8) | 0 (0) | 1 (13) | |
| aHT n(%) | 10 (77) | 3 (60) | 7 (88) | 0.5 |
| Smoking n (%) | 1 (8) | 0 (0) | 1 (13) | 1.0 |
| HLP n (%) | 1 (8) | 0 (0) | 1 (13) | 1.0 |
| Atrial fibrillation n (%) | 2 (15) | 1 (20) | 1 (13) | 1.0 |
| Family history n (%) | 1 (8) | 0 (0) | 1 (13) | 1.0 |
| BAV n (%) | 2 (15) | 0 | 2 (25) | 0.5 |
| Marfan syndrome n (%) | 4 (31) | 4 (80) | 0 (0) | n.a. |
| Operative Data | Patients (n = 13) | Genetic Syndrome (n = 5) | Non-Syndromic (n = 8) | p-Value |
|---|---|---|---|---|
| Root repair n (%) | 4 (31) | 1 (20) | 3 (43) | 1.0 |
| Bentall procedure n (%) | 3 (23) | 2 (40) | 2 (29) | 1.0 |
| David/Yacoub procedure n (%) | 4 (21) | 2 (40) | 2 (14) | 1.0 |
| Ascending aortic replacement n (%) | 12 (92) | 4 (80) | 8 (100) | 0.4 |
| Partial arch replacement n (%) | 8 (62) | 1 (20) | 7 (86) | 0.03 |
| Total arch replacement n (%) | 3 (23) | 2 (40) | 1 (14) | 0.5 |
| Thoracoabdominal aortic repair | 2 (15) | 2 (40) | 0 (0) | 0.2 |
| Total surgical time [min] | ||||
| mean (SD) | 299 (60) | 301 (140) | 297 (54) | 1.0 |
| median | 283 | 336 | 272 | |
| Ischemia time [min] | ||||
| mean (SD) | 95 (45) | 82 (63) | 103 (35) | 0.3 |
| median | 107 | 55 | 108 | |
| CA time [min] | ||||
| mean (SD) | 26 (12) | 33 (21) | 23 (9) | 0.4 |
| median | 22 | 28 | 21 | |
| Lowest temperature [°C] | ||||
| mean (SD) | 25 (4) | 25 (6) | 25 (3) | 1.0 |
| median | 26 | 25 | 26 |
| Intraoperative Data | Patients (n = 13) | Genetic Syndrome (n = 5) | Non-Syndromic (n = 8) | p-Value |
|---|---|---|---|---|
| 30-day mortality | 1 (8) | 1 (20) | 0 (0) | 0.4 |
| Survival of neonates | 10 (77) | 3 (60) | 7 (88) | 1.0 |
| Postoperative complications: | ||||
| respiratory failure | 3 (23) | 2 (40) | 1 (13) | 0.5 |
| renal failure | 4 (31) | 1 (20) | 3 (38) | 1.0 |
| stroke | 2 (15) | 1 (20) | 1 (13) | 1.0 |
| paraplegia | 2 (15) | 1 (20) | 1 (13) | 0.5 |
| Re-exploration for bleeding | 4 (31) | 2 (40) | 2 (25) | 1.0 |
| Long-term Re-operation | 3 (23) | 2 (40) | 1 (13) | 0.5 |
| Follow-Up [days] | ||||
| Mean (SD) | 2995 (2766) | 4857 (3725) | 2064 (1761) | n.a. |
| median | 3015 | 5147 | 1960 |
Disclaimer/Publisher’s Note: The statements, opinions and data contained in all publications are solely those of the individual author(s) and contributor(s) and not of MDPI and/or the editor(s). MDPI and/or the editor(s) disclaim responsibility for any injury to people or property resulting from any ideas, methods, instructions or products referred to in the content. |
© 2024 by the authors. Licensee MDPI, Basel, Switzerland. This article is an open access article distributed under the terms and conditions of the Creative Commons Attribution (CC BY) license (https://creativecommons.org/licenses/by/4.0/).
Share and Cite
Haunschild, J.; Wiktorowska, P.; Eifert, S.; Stepan, H.; Dähnert, I.; Borger, M.A.; Etz, C.D. Acute Aortic Dissection during Pregnancy: Hideous Clinical Quandaries with Young Lives on the Line—The Role of Hereditary Genetic Syndromes. J. Clin. Med. 2024, 13, 4901. https://doi.org/10.3390/jcm13164901
Haunschild J, Wiktorowska P, Eifert S, Stepan H, Dähnert I, Borger MA, Etz CD. Acute Aortic Dissection during Pregnancy: Hideous Clinical Quandaries with Young Lives on the Line—The Role of Hereditary Genetic Syndromes. Journal of Clinical Medicine. 2024; 13(16):4901. https://doi.org/10.3390/jcm13164901
Chicago/Turabian StyleHaunschild, Josephina, Paulina Wiktorowska, Sandra Eifert, Holger Stepan, Ingo Dähnert, Michael A. Borger, and Christian D. Etz. 2024. "Acute Aortic Dissection during Pregnancy: Hideous Clinical Quandaries with Young Lives on the Line—The Role of Hereditary Genetic Syndromes" Journal of Clinical Medicine 13, no. 16: 4901. https://doi.org/10.3390/jcm13164901
APA StyleHaunschild, J., Wiktorowska, P., Eifert, S., Stepan, H., Dähnert, I., Borger, M. A., & Etz, C. D. (2024). Acute Aortic Dissection during Pregnancy: Hideous Clinical Quandaries with Young Lives on the Line—The Role of Hereditary Genetic Syndromes. Journal of Clinical Medicine, 13(16), 4901. https://doi.org/10.3390/jcm13164901

