Secondary Tumors of the Pancreas: A Multicenter Analysis of Clinicopathological and Endosonographic Features
Abstract
1. Introduction
2. Materials and Methods
2.1. Patients
2.2. Endoscopic Ultrasound Procedures
2.3. Pathological Evaluation of EUS and Surgical Specimens
2.4. Statistical Analysis
3. Results
3.1. Baseline Characteristics
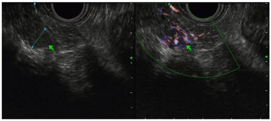
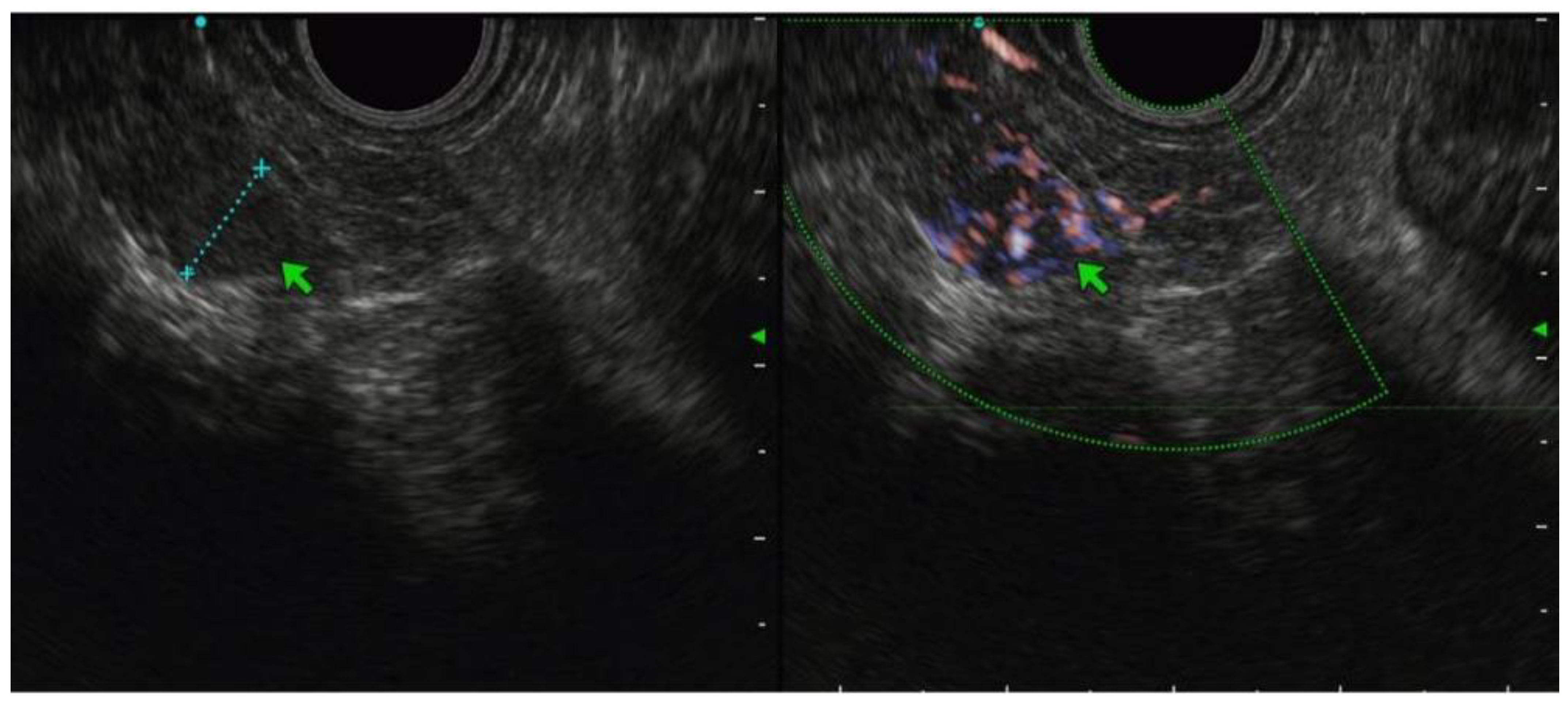
3.2. EUS Characteristics
3.3. Treatment and Outcomes
4. Discussion
5. Conclusions
Author Contributions
Funding
Institutional Review Board Statement
Informed Consent Statement
Data Availability Statement
Acknowledgments
Conflicts of Interest
Appendix A. Surgical Procedures
References
- Adsay, N.V.; Andea, A.; Basturk, O.; Kilinc, N.; Nassar, H.; Cheng, J.D. Secondary tumors of the pancreas: An analysis of a surgical and autopsy database and review of the literature. Virchows Arch. Int. J. Pathol. 2004, 444, 527–535. [Google Scholar] [CrossRef] [PubMed]
- David, O.; Green, L.; Reddy, V.; Kluskens, L.; Bitterman, P.; Attal, H.; Prinz, R.; Gattuso, P. Pancreatic masses: A multi-institutional study of 364 fine-needle aspiration biopsies with histopathologic correlation. Diagn. Cytopathol. 1998, 19, 423–427. [Google Scholar] [CrossRef]
- Zerbi, A.; Pecorelli, N. Pancreatic metastases: An increasing clinical entity. World J. Gastrointest. Surg. 2010, 2, 255–259. [Google Scholar] [CrossRef] [PubMed]
- Sperti, C.; Pozza, G.; Brazzale, A.R.; Buratin, A.; Moletta, L.; Beltrame, V.; Valmasoni, M. Metastatic tumors to the pancreas: A systematic review and meta-analysis. Minerva Chir. 2016, 71, 337. [Google Scholar] [PubMed]
- DeWitt, J.; Jowell, P.; Leblanc, J.; McHenry, L.; McGreevy, K.; Cramer, H.; Volmar, K.; Sherman, S.; Gress, F. EUS-guided FNA of pancreatic metastases: A multicenter experience. Gastrointest. Endosc. 2005, 61, 689–696. [Google Scholar] [CrossRef] [PubMed]
- Eloubeidi, M.A.; Gress, F.G.; Savides, T.J.; Wiersema, M.J.; Kochman, M.L.; Ahmad, N.A.; Ginsberg, G.G.; Erickson, R.A.; Dewitt, J.; Van Dam, J.; et al. Acute pancreatitis after EUS-guided FNA of solid pancreatic masses: A pooled analysis from EUS centers in the United States. Gastrointest. Endosc. 2004, 60, 385–389. [Google Scholar] [CrossRef] [PubMed]
- Facciorusso, A.; Crinò, S.F.; Ramai, D.; Madhu, D.; Fugazza, A.; Carrara, S.; Spadaccini, M.; Mangiavillano, B.; Gkolfakis, P.; Mohan, B.P.; et al. Comparative Diagnostic Performance of Different Techniques for Endoscopic Ultrasound-Guided Fine-Needle Biopsy of Solid Pancreatic Masses: A Network Meta-analysis. Gastrointest. Endosc. 2023, in press. [Google Scholar] [CrossRef]
- Polkowski, M.; Jenssen, C.; Kaye, P.; Carrara, S.; Deprez, P.; Gines, A.; Fernández-Esparrach, G.; Eisendrath, P.; Aithal, G.P.; Arcidiacono, P.; et al. Technical aspects of endoscopic ultrasound (EUS)-guided sampling in gastroenterology: European Society of Gastrointestinal Endoscopy (ESGE) Technical Guideline—March 2017. Endoscopy 2017, 49, 989–1006. [Google Scholar] [CrossRef]
- Sellner, F.; Thalhammer, S.; Klimpfinger, M. Tumour Evolution and Seed and Soil Mechanism in Pancreatic Metastases of Renal Cell Carcinoma. Cancers 2021, 16, 1342. [Google Scholar] [CrossRef]
- Z’Graggen, K.; Fernandez-del Castillo, C.; Rattner, D.W.; Sigala, H.; Warshaw, A.L. Metastases to the pancreas and their surgical extirpation. Arch. Surg. 1998, 133, 413–417. [Google Scholar] [CrossRef]
- Nakamura, E.; Shimizu, M.; Itoh, T.; Manabe, T. Secondary tumors of the pancreas: Clinicopathological study of 103 autopsy cases of Japanese patients. Pathol. Int. 2001, 51, 686–690. [Google Scholar] [CrossRef] [PubMed]
- Tan, C.H.; Tamm, E.P.; Marcal, L.; Balachandran, A.; Charnsangavej, C.; Vikram, R.; Bhosale, P. Imaging features of hematogenous metastases to the pancreas: Pictorial essay. Cancer Imaging Off. Publ. Int. Cancer Imaging Soc. 2011, 11, 9–15. [Google Scholar] [CrossRef] [PubMed]
- Waters, L.; Si, Q.; Caraway, N.; Mody, D.; Staerkel, G.; Sneige, N. Secondary tumors of the pancreas diagnosed by endoscopic ultrasound-guided fine-needle aspiration: A 10-year experience. Diagn. Cytopathol. 2014, 42, 738–743. [Google Scholar] [CrossRef] [PubMed]
- El Hajj, I.I.; LeBlanc, J.K.; Sherman, S.; Al-Haddad, M.A.; Cote, G.A.; McHenry, L.; DeWitt, J.M. Endoscopic ultrasound-guided biopsy of pancreatic metastases: A large single-center experience. Pancreas 2013, 42, 524–530. [Google Scholar] [CrossRef] [PubMed]
- Konstantinidis, I.T.; Dursun, A.; Zheng, H.; Wargo, J.A.; Thayer, S.P.; Fernandez-del Castillo, C.; Warshaw, A.L.; Ferrone, C.R. Metastatic tumors in the pancreas in the modern era. J. Am. Coll. Surg. 2010, 211, 749–753. [Google Scholar] [CrossRef]
- Masetti, M.; Zanini, N.; Martuzzi, F.; Fabbri, C.; Mastrangelo, L.; Landolfo, G.; Fornelli, A.; Burzi, M.; Vezzelli, E.; Jovine, E. Analysis of prognostic factors in metastatic tumors of the pancreas: A single-center experience and review of the literature. Pancreas 2010, 39, 135–143. [Google Scholar] [CrossRef]
- Layfield, L.J.; Hirschowitz, S.L.; Adler, D.G. Metastatic disease to the pancreas documented by endoscopic ultrasound guided fine-needle aspiration: A seven-year experience. Diagn. Cytopathol. 2012, 40, 228–233. [Google Scholar] [CrossRef]
- Reddy, S.; Edil, B.H.; Cameron, J.L.; Pawlik, T.M.; Herman, J.M.; Gilson, M.M.; Campbell, K.A.; Schulick, R.D.; Ahuja, N.; Wolfgang, C.L. Pancreatic resection of isolated metastases from nonpancreatic primary cancers. Ann. Surg. Oncol. 2008, 15, 3199–3206. [Google Scholar] [CrossRef]
- Benning, T.L.; Silverman, J.F.; Berns, L.A.; Geisinger, K.R. Fine needle aspiration of metastatic and hematologic malignancies clinically mimicking pancreatic carcinoma. Acta Cytol. 1992, 36, 471–476. [Google Scholar]
- Ardengh, J.C.; Lopes, C.V.; Kemp, R.; Venco, F.; de Lima-Filho, E.R.; dos Santos, J.S. Accuracy of endoscopic ultrasound-guided fine-needle aspiration in the suspicion of pancreatic metastases. BMC Gastroenterol. 2013, 13, 63. [Google Scholar] [CrossRef]
- Porta, M.; Fabregat, X.; Malats, N.; Guarner, L.; Carrato, A.; de Miguel, A.; Ruiz, L.; Jariod, M.; Costafreda, S.; Coll, S.; et al. Exocrine pancreatic cancer: Symptoms at presentation and their relation to tumour site and stage. Clin. Transl. Oncol. 2005, 7, 189–197. [Google Scholar] [CrossRef] [PubMed]
- Palazzo, L.; Borotto, E.; Cellier, C.; Roseau, G.; Chaussade, S.; Couturier, D.; Paolaggi, J.A. Endosonographic features of pancreatic metastases. Gastrointest. Endosc. 1996, 44, 433–436. [Google Scholar] [CrossRef] [PubMed]
- Bechade, D.; Palazzo, L.; Fabre, M.; Algayres, J.P. EUS-guided FNA of pancreatic metastasis from renal cell carcinoma. Gastrointest. Endosc. 2003, 58, 784–788. [Google Scholar] [CrossRef] [PubMed]
- Xu, M.M.; Sethi, A. Imaging of the Pancreas. Gastroenterol. Clin. N. Am. 2016, 45, 101–116. [Google Scholar] [CrossRef] [PubMed]
- Shi, H.Y.; Zhao, X.S.; Miao, F. Metastases to the Pancreas: Computed Tomography Imaging Spectrum and Clinical Features: A Retrospective Study of 18 Patients With 36 Metastases. Medicine 2015, 94, e913. [Google Scholar] [CrossRef] [PubMed]
- Vincenzi, M.; Pasquotti, G.; Polverosi, R.; Pasquali, C.; Pomerri, F. Imaging of pancreatic metastases from renal cell carcinoma. Cancer Imaging 2014, 14, 5. [Google Scholar] [CrossRef]
- Boudghene, F.P.; Deslandes, P.M.; LeBlanche, A.F.; Bigot, J.M. US and CT imaging features of intrapancreatic metastases. J. Comput. Assist. Tomogr. 1994, 18, 905–910. [Google Scholar] [CrossRef]
- Atiq, M.; Bhutani, M.S.; Ross, W.A.; Raju, G.S.; Gong, Y.; Tamm, E.P.; Javle, M.; Wang, X.; Lee, J.H. Role of endoscopic ultrasonography in evaluation of metastatic lesions to the pancreas: A tertiary cancer center experience. Pancreas 2013, 42, 516–523. [Google Scholar] [CrossRef]
- Storm, A.C.; Lee, L.S. Endoscopic ultrasound-guided techniques for diagnosing pancreatic mass lesions: Can we do better? World J. Gastroenterol. 2016, 22, 8658–8669. [Google Scholar] [CrossRef]



| Patients (n) | 116 |
| Male (n) | 69 |
| Mean age (years) | 66.7 ± 10.1 |
| Primary tumor (n) | |
| Kidney | 75 |
| Colon | 9 |
| Breast | 7 |
| Lung | 7 |
| Melanoma | 7 |
| Fibro-leiomyosarcoma | 3 |
| Ovarian cancer | 3 |
| Liver cancer | 2 |
| Merkel cell tumor | 1 |
| Thyroid cancer | 1 |
| Non-Hodgkin lymphoma | 1 |
| Diagnostic timing (n) | |
| Synchronous | 7 |
| Metachronous | 109 |
| Symptoms (n) | |
| Asymptomatic | 94 |
| Jaundice | 9 |
| Pancreatic-like pain | 7 |
| Weight loss | 3 |
| Anemia | 2 |
| Asthenia | 1 |
| Lesions (n) | 236 |
| Mean size (mm) * | 25.4 ± 15.2 |
| Location | |
| Head | 57 |
| Uncinated process | 43 |
| Neck | 37 |
| Body | 50 |
| Tail | 49 |
| Histology (n) | Echogenicity | Echogenicity | Vascularization | Vascularization | Borders |
|---|---|---|---|---|---|
| (Pattern) | (Pattern) | ||||
| Kidney (63) | Hypo = 59 | Homo = 32 | Hypo = 3 | Homo = 46 | Regular = 50 |
| Iso = 2 | Etero = 31 | Hyper = 60 | Etero = 17 | Irregular = 13 | |
| Hyper = 2 | |||||
| Colon (8) | Hypo = 8 | Homo = 1 | Hypo = 6 | Homo = 6 | Regular = 6 |
| Iso = 8 | Etero = 7 | Hyper = 2 | Etero = 2 | Irregular = 2 | |
| Hyper = 8 | |||||
| Lung (7) | Hypo = 6 | Homo = 1 | Hypo = 6 | Homo= 3 | Regular = 1 |
| Iso = 0 | Etero = 6 | Hyper = 6 | Etero = 4 | Irregular = 2 | |
| Hyper = 1 | |||||
| Breast (6) | Hypo = 6 | Homo = 1 | Hypo = 6 | Homo = 3 | Regular = 3 |
| Iso = 0 | Etero = 5 | Hyper = 0 | Etero = 3 | Irregular = 3 | |
| Hyper = 0 | |||||
| Melanoma (6) | Hypo = 6 | Homo = 5 | Hypo = 4 | Homo = 3 | Regular = 2 |
| Iso = 0 | Etero = 1 | Hyper = 2 | Etero = 3 | Irregular = 4 | |
| Hyper = 0 |
Disclaimer/Publisher’s Note: The statements, opinions and data contained in all publications are solely those of the individual author(s) and contributor(s) and not of MDPI and/or the editor(s). MDPI and/or the editor(s) disclaim responsibility for any injury to people or property resulting from any ideas, methods, instructions or products referred to in the content. |
© 2023 by the authors. Licensee MDPI, Basel, Switzerland. This article is an open access article distributed under the terms and conditions of the Creative Commons Attribution (CC BY) license (https://creativecommons.org/licenses/by/4.0/).
Share and Cite
Spadaccini, M.; Conti Bellocchi, M.C.; Mangiavillano, B.; Fantin, A.; Rahal, D.; Manfrin, E.; Gavazzi, F.; Bozzarelli, S.; Crinò, S.F.; Terrin, M.; et al. Secondary Tumors of the Pancreas: A Multicenter Analysis of Clinicopathological and Endosonographic Features. J. Clin. Med. 2023, 12, 2829. https://doi.org/10.3390/jcm12082829
Spadaccini M, Conti Bellocchi MC, Mangiavillano B, Fantin A, Rahal D, Manfrin E, Gavazzi F, Bozzarelli S, Crinò SF, Terrin M, et al. Secondary Tumors of the Pancreas: A Multicenter Analysis of Clinicopathological and Endosonographic Features. Journal of Clinical Medicine. 2023; 12(8):2829. https://doi.org/10.3390/jcm12082829
Chicago/Turabian StyleSpadaccini, Marco, Maria Cristina Conti Bellocchi, Benedetto Mangiavillano, Alberto Fantin, Daoud Rahal, Erminia Manfrin, Francesca Gavazzi, Silvia Bozzarelli, Stefano Francesco Crinò, Maria Terrin, and et al. 2023. "Secondary Tumors of the Pancreas: A Multicenter Analysis of Clinicopathological and Endosonographic Features" Journal of Clinical Medicine 12, no. 8: 2829. https://doi.org/10.3390/jcm12082829
APA StyleSpadaccini, M., Conti Bellocchi, M. C., Mangiavillano, B., Fantin, A., Rahal, D., Manfrin, E., Gavazzi, F., Bozzarelli, S., Crinò, S. F., Terrin, M., Di Leo, M., Bonifacio, C., Facciorusso, A., Realdon, S., Cristofori, C., Auriemma, F., Fugazza, A., Frulloni, L., Hassan, C., ... Carrara, S. (2023). Secondary Tumors of the Pancreas: A Multicenter Analysis of Clinicopathological and Endosonographic Features. Journal of Clinical Medicine, 12(8), 2829. https://doi.org/10.3390/jcm12082829

