Case Report: Spontaneous Left Inferior Epigastric Artery Injury in a COVID-19 Female Patient Undergoing Anticoagulation Therapy
Abstract
1. Introduction
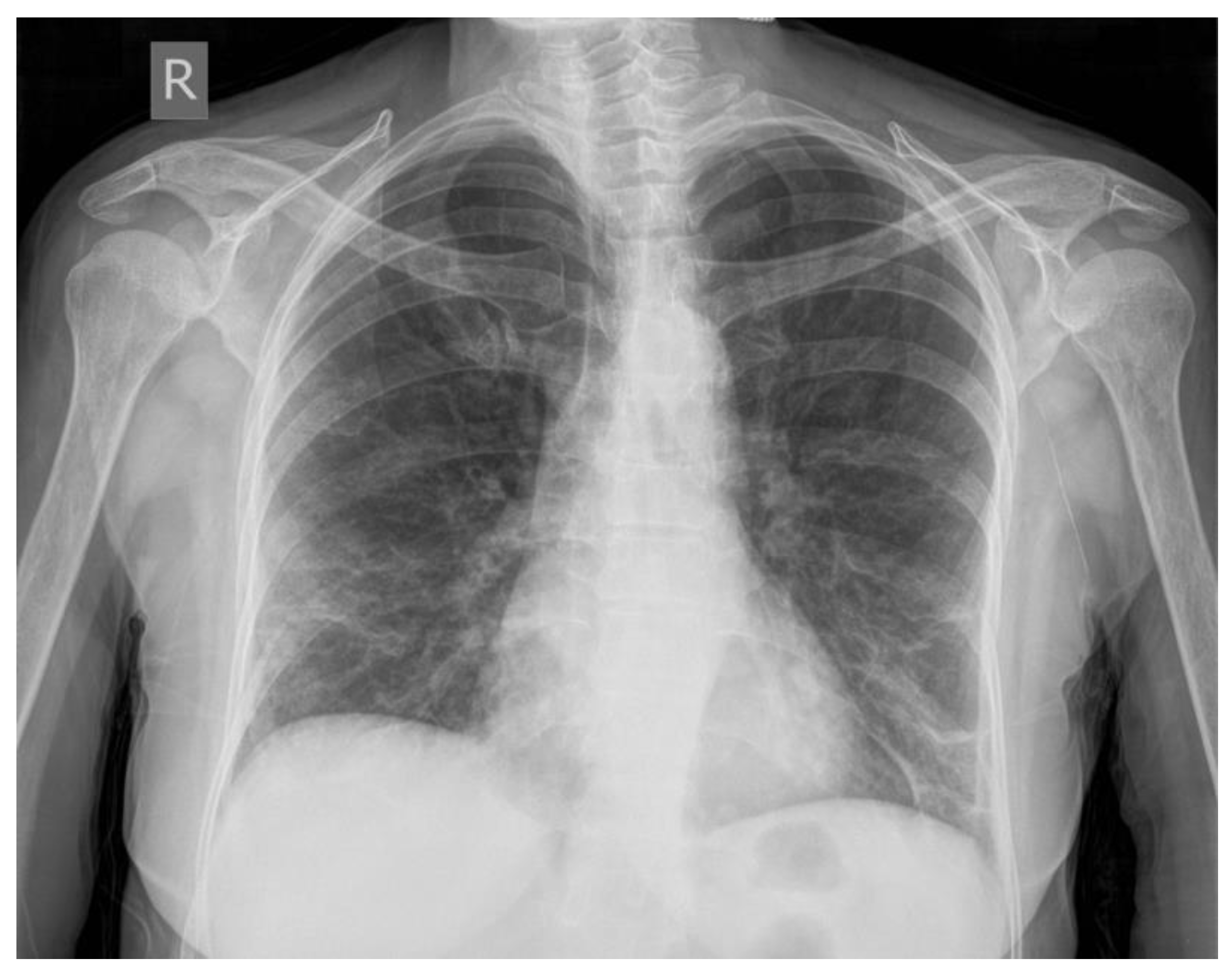
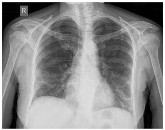
2. Case Presentation
2.1. Laboratory Test Results
2.2. Therapy Applied
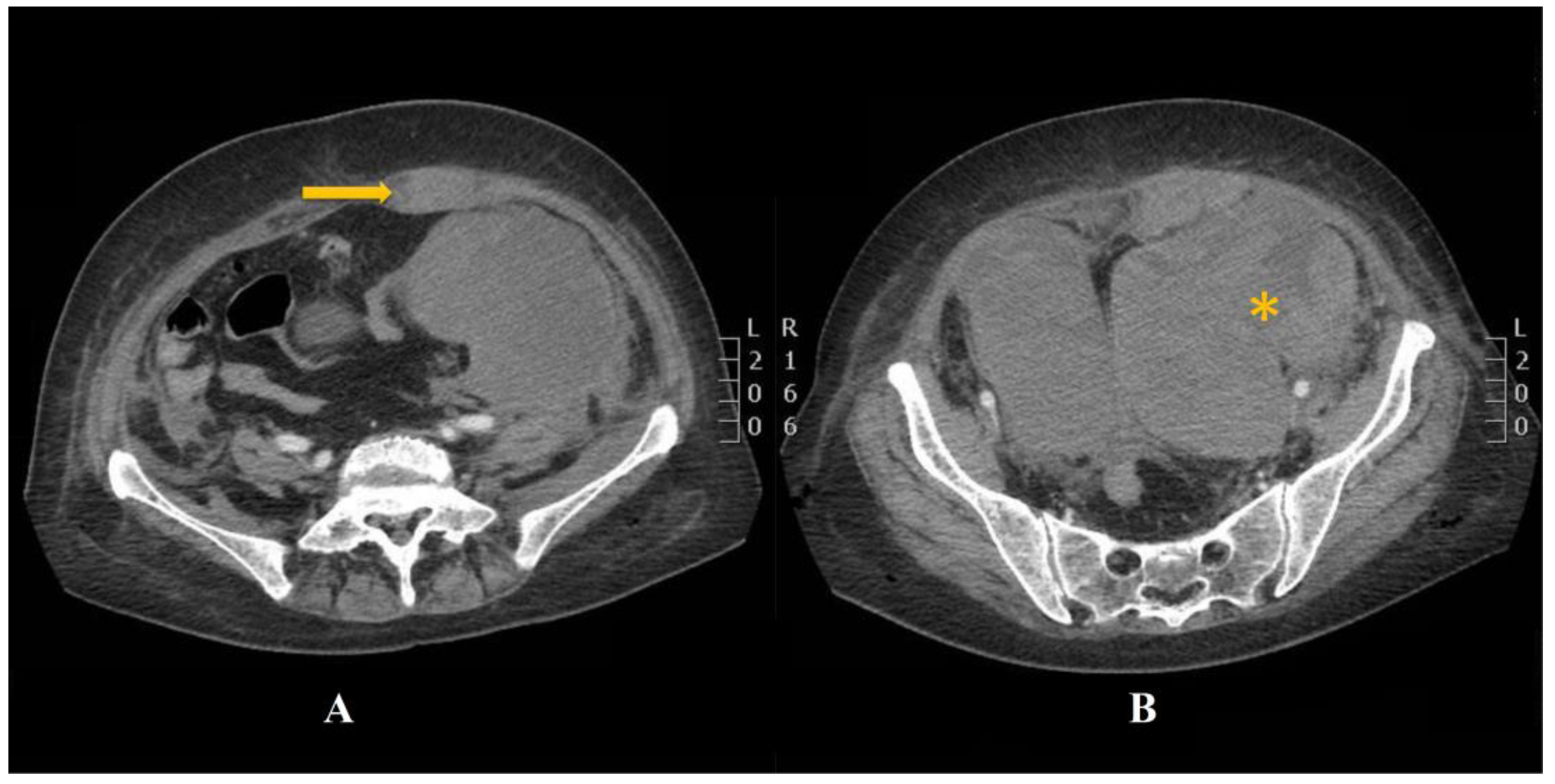
2.3. CT Scan Report
3. Discussion
4. Conclusions
Author Contributions
Funding
Institutional Review Board Statement
Informed Consent Statement
Data Availability Statement
Conflicts of Interest
References
- Dmytrenko, O.; Lavine, K.J. Cardiovascular Tropism and Sequelae of SARS-CoV-2 Infection. Viruses 2022, 14, 1137. [Google Scholar] [CrossRef] [PubMed]
- Nawrot, J.; Gornowicz-Porowska, J.; Budzianowski, J.; Nowak, G.; Schroeder, G.; Kurczewska, J. Medicinal Herbs in the Relief of Neurological, Cardiovascular, and Respiratory Symptoms after COVID-19 Infection A Literature Review. Cells 2022, 11, 1897. [Google Scholar] [CrossRef]
- Russo, V.; Bottino, R.; Carbone, A.; Rago, A.; Papa, A.A.; Golino, P.; Nigro, G. COVID-19 and heart: From clinical features to pharmacological implications. J. Clin. Med. 2020, 9, 1944. [Google Scholar] [CrossRef] [PubMed]
- Javid, A.; Kazemi, R.; Dehghani, M.; Samani, H.B. Catastrophic retroperitoneal hemorrhage in COVID-19 patients under anticoagulant prophylaxis. Urol. Case Rep. 2021, 36, 101568. [Google Scholar] [CrossRef]
- Alavi-Naini, R.; Gorgani, F.; Rahmati, Z.; Pourdehghan, S.; Keikha, M.; Farzad, Z. Spontaneous Multiple Haematomas in a Patient with Severe COVID-19 Fully Recovered with a Conservative Approach. Prague Med. Rep. 2021, 122, 300–307. [Google Scholar] [CrossRef] [PubMed]
- Mahmoudabadi, H.Z.; Hadadi, A.; Fattahi, M.R.; Kafan, S.; Ashouri, M.; Allahbeigi, R.; Hajebi, R. Rectus Sheath Hematoma in COVID-19 Patients as a Mortal Complication: A Retrospective Report. Int. J. Clin. Pract. 2022, 2022, 7436827. [Google Scholar] [CrossRef]
- Al-Samkari, H.; Karp Leaf, R.S.; Dzik, W.H.; Carlson, J.C.; Fogerty, A.E.; Waheed, A.; Goodarzi, K.; Bendapudi, P.K.; Bornikova, L.; Gupta, S.; et al. COVID-19 and coagulation: Bleeding and thrombotic manifestations of SARS-CoV-2 infection. Blood 2020, 136, 489–500. [Google Scholar] [CrossRef]
- Iba, T.; Connors, J.M.; Levy, J.H. The coagulopathy, endotheliopathy, and vasculitis of COVID-19. Inflamm. Res 2020, 69, 1181–1189. [Google Scholar] [CrossRef]
- Tang, N.; Li, D.; Wang, X.; Sun, Z. Abnormal coagulation parameters are associated with poor prognosis in patients with novel coronavirus pneumonia. J. Thromb. Haemost. 2020, 18, 844–847. [Google Scholar] [CrossRef]
- Gómez-Mesa, J.E.; Galindo-Coral, S.; Montes, M.C.; Muñoz Martin, A.J. Thrombosis and Coagulopathy in COVID-19. Curr. Probl. Cardiol. 2021, 46, 100742. [Google Scholar] [CrossRef]
- Kollias, A.; Kyriakoulis, K.G.; Dimakakos, E.; Poulakou, G.; Stergiou, G.S.; Syrigos, K. Thromboembolic risk and anticoagulant therapy in COVID-19 patients: Emerging evidence and call for action. Br. J. Haematol. 2020, 189, 846–847. [Google Scholar] [CrossRef] [PubMed]
- COVID-19 Treatment Guidelines Panel. Coronavirus Disease 2019 (COVID-19) Treatment Guidelines 2020. Available online: https://files.covid19treatmentguidelines.nih.gov/guidelines/covid19treatmentguidelines.pdf (accessed on 4 January 2023).
- Riu, P.; Albarello, F.; Di Stefano, F.; Vergori, A.; D’abramo, A.; Cerini, C.; Nocioni, M.; Morucci, M.; Tetaj, N.; Cristofaro, M.; et al. Management of spontaneous bleeding in covid-19 inpatients: Is embolization always needed? J. Clin. Med. 2021, 10, 4119. [Google Scholar] [CrossRef] [PubMed]
- Halaby, R.; Cuker, A.; Yui, J.; Matthews, A.; Ishaaya, E.; Traxler, E.; Domenico, C.; Cooper, T.; Tierney, A.; Niami, P.; et al. Bleeding risk by intensity of anticoagulation in critically ill patients with COVID-19: A retrospective cohort study. J. Thromb. Haemost. 2021, 19, 1533–1545. [Google Scholar] [CrossRef] [PubMed]
- Al Sulaiman, K.; Aljuhani, O.; Korayem, G.B.; Hafiz, A.; Alalawi, M.; Badreldin, H.A.; Alalawi, M.; Badreldin, H.A.; Altebainawi, A.F.; Vishwakarma, R.; et al. Standard dosing of enoxaparin versus unfractionated heparin in critically ill patient with COVID-19: A multicenter propensity-score matched study. Thromb. J. 2020, 20, 74. [Google Scholar] [CrossRef] [PubMed]
- Pereyra, D.; Heber, S.; Schrottmaier, W.C.; Santol, J.; Pirabe, A.; Schmuckenschlager, A.; Kammerer, K.; Ammon, D.; Sorz, T.; Fritsch, F.; et al. Low-molecular-weight heparin use in coronavirus disease 2019 is associated with curtailed viral persistence: A retrospective multicentre observational study. Cardiovasc. Res. 2021, 117, 2807–2820. [Google Scholar] [CrossRef]
- Hippensteel, J.A.; LaRiviere, W.B.; Colbert, J.F.; Langouët-Astrié, C.J.; Schmidt, E.P. Heparin as a therapy for COVID-19: Current evidence and future possibilities. Am. J. Physiol. Lung Cell Mol. Physiol. 2020, 319, L211–L217. [Google Scholar] [CrossRef] [PubMed]
- Hajian, A. A Case Series of Life-Threatening Hemorrhagic Events in Patients with COVID-19. Indian J. Surg. 2022, 84, 418–424. [Google Scholar] [CrossRef] [PubMed]
- Farkouh, M.E.; Stone, G.W.; Lala, A.; Bagiella, E.; Moreno, P.R.; Nadkarni, G.N.; Ben-Yehuda, O.; Granada, J.F.; Dressler, O.; Tinuoye, E.O.; et al. Anticoagulation in Patients With COVID-19: JACC Review Topic of the Week. J. Am. Coll. Cardiol. 2022, 79, 917–928. [Google Scholar] [CrossRef]
- Drinnon, K.; Simpson, S.S.; Puckett, Y.; Ronaghan, C.A.; Richmond, R.E. Rectus Sheath Hematoma: A Rare Surgical Emergency. Cureus 2020, 12, e12156. [Google Scholar] [CrossRef]
- Piran, S.; Schulman, S. Treatment of bleeding complications in patients on anticoagulant therapy. Blood 2019, 133, 425–435. [Google Scholar] [CrossRef]
- Zandbaf, T.; Kalantari, M.E.; Azadmanesh, Y.; Sherafati, H.; Bagherzadeh, A.A. Heparin-induced rectus sheath hematoma in a COVID-19 patient with pulmonary emboli: A case report and literature review. Iran. Red Crescent Med. J. 2022, 24, e1727. [Google Scholar] [CrossRef]
- Mackiewicz-Milewska, M.; Sakwińska, K.; Cisowska-Adamiak, M.; Szymkuć-Bukowska, I.; Ratuszek-Sadowska, D.; Mackiewicz-Nartowicz, H. Bleeding into the Abdominal and Ilio-Lumbar Muscles—A Rare Complication in the Course of COVID-19: Analysis of Four Cases and a Literature Review. J. Clin. Med. 2022, 11, 4712. [Google Scholar] [CrossRef] [PubMed]
- Abate, V.; Casoria, A.; Rendina, D.; Muscariello, R.; Nuzzo, V.; Vargas, M.; Servillo, G.; Venetucci, P.; Conca, P.; Tufano, A.; et al. Spontaneous muscle hematoma in patients with COVID-19: A systematic literature review with description of an additional case series. Semin. Thromb. Hemost. 2022, 48, 100–108. [Google Scholar] [CrossRef] [PubMed]
- Jiménez, D.; García-Sanchez, A.; Rali, P.; Muriel, A.; Bikdeli, B.; Ruiz-Artacho, P.; Le Mao, R.; Rodríguez, C.; Hunt, B.J.; Monreal, M. Incidence of VTE and bleeding among hospitalized patients with coronavirus disease 2019: A systematic review and meta-analysis. Chest 2021, 159, 1182–1196. [Google Scholar] [CrossRef]
- Lalatović, J.; Golubović, J.; Miljević, M.; Lukić, F.; Jeličić, S.; Kraišnik, N.; Aleksić, A.; Kalaba, Z.; Vidović, B.; Tošković, B.; et al. Transcatheter Arterial Embolization as a Treatment for Life-Threatening Retroperitoneal Hemorrhage in COVID-19 Patients on Anticoagulant Therapy. Open J. Emerg. Med. 2021, 9, 209–215. [Google Scholar] [CrossRef]
- Tiralongo, F.; Seminatore, S.; Di Pietro, S.; Distefano, G.; Galioto, F.; Vacirca, F.; Giurazza, F.; Palmucci, S.; Venturini, M.; Scaglione, M.; et al. Spontaneous Retroperitoneal Hematoma Treated with Percutaneous Transarterial Embolization in COVID-19 Era: Diagnostic Findings and Procedural Outcome. Tomograph 2022, 8, 1228–1240. [Google Scholar] [CrossRef] [PubMed]
- Di Pietro, S.; Tiralongo, F.; Desiderio, C.M.; Vacirca, F.; Palmucci, S.; Giurazza, F.; Venturini, M.; Basile, A. Efficacy of Percutaneous Transarterial Embolization in Patients with Spontaneous Abdominal Wall Hematoma and Comparison between Blind and Targeted Embolization Approaches. J. Clin. Med. 2022, 11, 1270. [Google Scholar] [CrossRef]
- Wilsey, H.A.; Bailey, A.M.; Schadler, A.; Davis, G.A.; Nestor, M.; Pandya, K. Comparison of low-versus high-dose four-factor prothrombin complex concentrate (4F-PCC) for factor Xa inhibitor–associated bleeding: A retrospective study. J. Intensive Care Med. 2021, 36, 597–603. [Google Scholar] [CrossRef] [PubMed]




| Test | 1st Day | 7th Day | 10th Day | Unit | Reference Range |
|---|---|---|---|---|---|
| WBC | 11.6 | 17.9 | 44.5 | g/L | 3.5–10.5 |
| LYM | 16 | 24 | 38.4 | % | 20–48 |
| Neu | 87.9 | 91.6 | 94.3 | % | 40–70 |
| Mo | 9.9 | 12.8 | 9.2 | % | 1–11 |
| RBC | 5.17 | 3.01 | 1.62 | ×1012/L | 3.7–5.3 |
| HGB | 100 | 91 | 62 | g/L | 120–160 |
| HCT | 0.359 | 0.258 | 0.121 | L/L | 0.360–0.480 |
| MCV | 59.9 | 44.3 | 31.3 | fL | 80.0–96.0 |
| MCH | 26.5 | 28.3 | 28.3 | pg | 27.0–33.0 |
| PLT | 256 | 181 | 105 | ×109/L | 130–140 |
| ESR | 84 | 89 | 117 | mm/h | 0–20 |
| Creatinine | 290 | 390 | 849 | µmol/l | 65–127 |
| Glucose | 19.6 | 20.6 | 17.6 | mmol/L | 3.6–6.1 |
| Urea | 11.3 | 13.9 | 51.3 | mmol/L | 3.00–11.90 |
| Uric acid | 287 | 355 | 380 | μmol/L | 142–340 |
| Total Bil | 7.6 | 8.3 | 18.9 | µmol/L | <21 |
| TP | 61.3 | 55.63 | 40.6 | g/L | 64.00–83.00 |
| ASAT | 21 | 31 | 177 | U/L | <40.00 |
| ALAT | 23 | 139 | 323 | U/L | <33.00 |
| LDH | 654 | 874 | 1152 | U/L | <250 |
| CK | 65 | 83 | 766 | U/L | <170.0 |
| CRP | 58.5 | 79.8 | 89.2 | mg/L | <5 |
| Na+ | 139 | 144 | 147 | mmol/L | 136.00–151.00 |
| K+ | 3.8 | 4.9 | 6.1 | mmol/L | 3.50–5.60 |
| D-dimer | 1.54 | 2.08 | 2.47 | mg/L | <0.5 |
| Fib | 3.6 | 2.4 | 2.52 | g/L | 2–4 |
| INR | 1.03 | 1,03 | 1.03 | UI | 0.8–1.2 |
| PT | 96 | 96 | 96 | % | 70–130 |
| APTT | 29.5 | 29.5 | 29.5 | sec | 27.6–37.2 |
Disclaimer/Publisher’s Note: The statements, opinions and data contained in all publications are solely those of the individual author(s) and contributor(s) and not of MDPI and/or the editor(s). MDPI and/or the editor(s) disclaim responsibility for any injury to people or property resulting from any ideas, methods, instructions or products referred to in the content. |
© 2023 by the authors. Licensee MDPI, Basel, Switzerland. This article is an open access article distributed under the terms and conditions of the Creative Commons Attribution (CC BY) license (https://creativecommons.org/licenses/by/4.0/).
Share and Cite
Abrashev, H.; Ananiev, J.; Georgieva, E. Case Report: Spontaneous Left Inferior Epigastric Artery Injury in a COVID-19 Female Patient Undergoing Anticoagulation Therapy. J. Clin. Med. 2023, 12, 1842. https://doi.org/10.3390/jcm12051842
Abrashev H, Ananiev J, Georgieva E. Case Report: Spontaneous Left Inferior Epigastric Artery Injury in a COVID-19 Female Patient Undergoing Anticoagulation Therapy. Journal of Clinical Medicine. 2023; 12(5):1842. https://doi.org/10.3390/jcm12051842
Chicago/Turabian StyleAbrashev, Hristo, Julian Ananiev, and Ekaterina Georgieva. 2023. "Case Report: Spontaneous Left Inferior Epigastric Artery Injury in a COVID-19 Female Patient Undergoing Anticoagulation Therapy" Journal of Clinical Medicine 12, no. 5: 1842. https://doi.org/10.3390/jcm12051842
APA StyleAbrashev, H., Ananiev, J., & Georgieva, E. (2023). Case Report: Spontaneous Left Inferior Epigastric Artery Injury in a COVID-19 Female Patient Undergoing Anticoagulation Therapy. Journal of Clinical Medicine, 12(5), 1842. https://doi.org/10.3390/jcm12051842

