Procedural Outcomes of a Self-Expanding Transcatheter Heart Valve in Patients with Porcelain Aorta
Abstract
1. Introduction
2. Materials and Methods
2.1. Multidetector Computed Tomography
2.2. Outcome Analysis
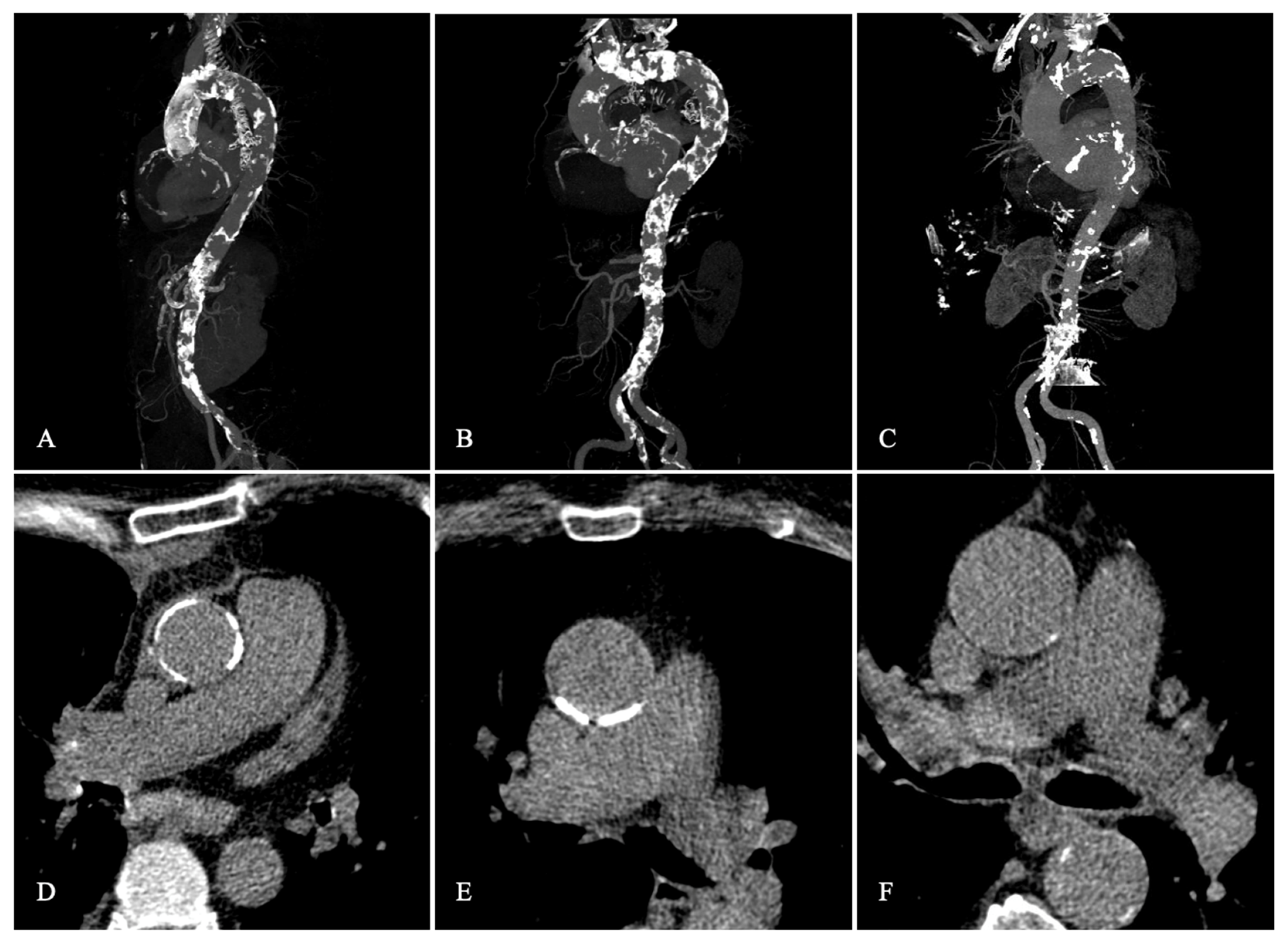
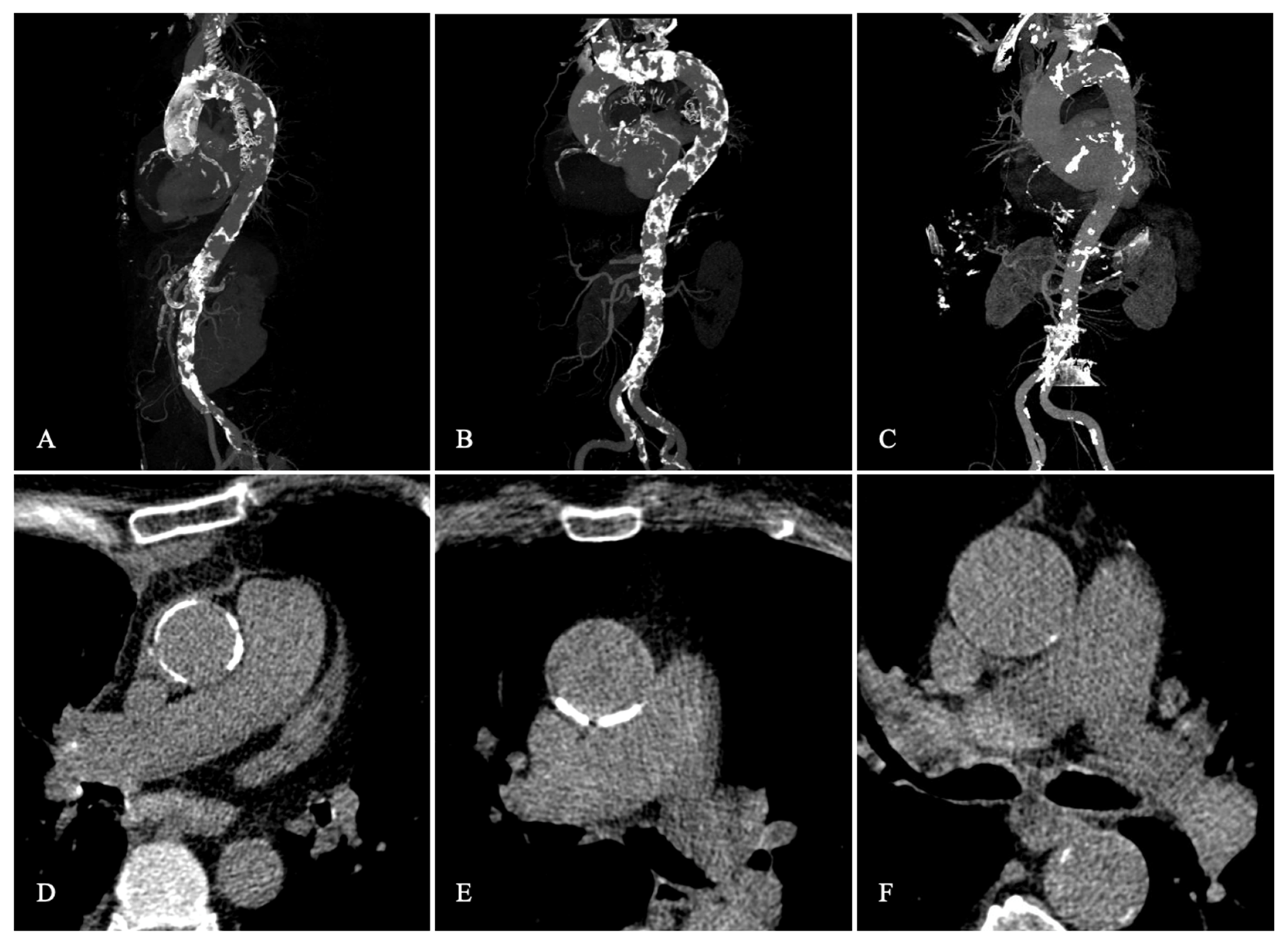
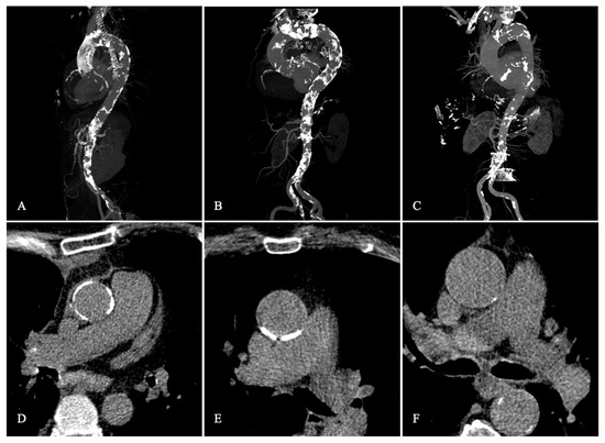
2.3. Definition of Porcelain Aorta
2.4. Statistical Analysis
3. Results
3.1. Baseline Data
3.2. Procedural Data and Outcomes
3.3. Predictors for Stroke
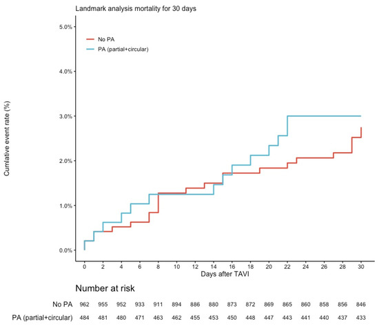
3.4. Outcome Analysis up to 30 Days
4. Discussion
4.1. Procedural and In-Hospital Outcome
4.2. Stroke
4.3. Limitations
5. Conclusions
Supplementary Materials
Author Contributions
Funding
Institutional Review Board Statement
Informed Consent Statement
Data Availability Statement
Conflicts of Interest
Abbreviations
| AVCS | Aortic valve calcium score |
| CI | Cover index |
| LVOT | Left ventricular outflow tract |
| MDCT | Multidetector computed tomography |
| PA | Porcelain aorta |
| PVL | Paravalvular leakage |
| STJ | Sinotubular junction |
| TAVI | Transcatheter aortic valve implantation |
| THV | Transcatheter heart valve |
| VARC | Valve academic research consortium |
References
- Popma, J.J.; Deeb, G.M.; Yakubov, S.J.; Mumtaz, M.; Gada, H.; O’Hair, D.; Bajwa, T.; Heiser, J.C.; Merhi, W.; Kleiman, N.S.; et al. Transcatheter Aortic-Valve Replacement with a Self-Expanding Valve in Low-Risk Patients. N. Engl. J. Med. 2019, 380, 1706–1715. [Google Scholar] [CrossRef]
- Mack, M.J.; Leon, M.B.; Thourani, V.H.; Makkar, R.; Kodali, S.K.; Russo, M.; Kapadia, S.R.; Malaisrie, S.C.; Cohen, D.J.; Pibarot, P.; et al. Transcatheter Aortic-Valve Replacement with a Balloon-Expandable Valve in Low-Risk Patients. N. Engl. J. Med. 2019, 380, 1695–1705. [Google Scholar] [CrossRef]
- Carrel, T. Should the porcelain aorta be revisited in the era of transcatheter aortic valve replacement? Eur. J. Cardiothorac. Surg. 2019, 55, 1010–1011. [Google Scholar] [CrossRef]
- Kempfert, J.; Van Linden, A.; Linke, A.; Schuler, G.; Rastan, A.; Lehmann, S.; Lehmkuhl, L.; Mohr, F.-W.; Walther, T. Transapical aortic valve implantation: Therapy of choice for patients with aortic stenosis and porcelain aorta? Ann. Thorac. Surg. 2010, 90, 1457–1461. [Google Scholar] [CrossRef]
- Möllmann, H.; Walther, T.; Siqueira, D.; Diemert, P.; Treede, H.; Grube, E.; Nickenig, G.; Baldus, S.; Rudolph, T.; Kuratani, T.; et al. Transfemoral TAVI using the self-expanding ACURATE neo prosthesis: One-year outcomes of the multicentre “CE-approval cohort”. Eurointervention 2017, 13, e1040–e1046. [Google Scholar] [CrossRef]
- Möllmann, H.; Holzhey, D.M.; Hilker, M.; Toggweiler, S.; Schäfer, U.; Treede, H.; Joner, M.; Søndergaard, L.; Christen, T.; Allocco, D.J.; et al. The ACURATE neo2 valve system for transcatheter aortic valve implantation: 30-day and 1-year outcomes. Clin. Res. Cardiol. 2021, 110, 1912–1920. [Google Scholar] [CrossRef]
- Achenbach, S.; Delgado, V.; Hausleiter, J.; Schoenhagen, P.; Min, J.K.; Leipsic, J.A. SCCT expert consensus document on computed tomography imaging before transcatheter aortic valve implantation (TAVI)/transcatheter aortic valve replacement (TAVR). J. Cardiovasc. Comput. Tomogr. 2012, 6, 366–380. [Google Scholar] [CrossRef]
- Agatston, A.S.; Janowitz, W.R.; Hildner, F.J.; Zusmer, N.R.; Viamonte, M., Jr.; Detrano, R. Quantification of coronary artery calcium using ultrafast computed tomography. J. Am. Coll. Cardiol. 1990, 15, 827–832. [Google Scholar] [CrossRef]
- Kim, W.-K.; Blumenstein, J.; Liebetrau, C.; Rolf, A.; Gaede, L.; Van Linden, A.; Arsalan, M.; Doss, M.; Tijssen, J.G.P.; Hamm, C.W.; et al. Comparison of outcomes using balloon-expandable versus self-expanding transcatheter prostheses according to the extent of aortic valve calcification. Clin. Res. Cardiol. 2017, 106, 995–1004. [Google Scholar] [CrossRef]
- Kim, W.-K.; Bhumimuang, K.; Renker, M.; Fischer-Rasokat, U.; Möllmann, H.; Walther, T.; Choi, Y.-H.; Nef, H.; Hamm, C.W. Determinants of paravalvular leakage following transcatheter aortic valve replacement in patients with bicuspid and tricuspid aortic stenosis. Eur. Hearth J.-Cardiovasc. Imaging 2021, 22, 1387–1396. [Google Scholar] [CrossRef]
- Kappetein, A.P.; Head, S.J.; Généreux, P.; Piazza, N.; van Mieghem, N.M.; Blackstone, E.H.; Brott, T.G.; Cohen, D.J.; Cutlip, D.E.; van Es, G.-A.; et al. Updated standardized endpoint definitions for transcatheter aortic valve implantation: The Valve Academic Research Consortium-2 consensus document. J. Thorac. Cardiovasc. Surg. 2013, 145, 6–23. [Google Scholar] [CrossRef]
- VARC-3 Writing Committee; Généreux, P.; Piazza, N.; Alu, M.C.; Nazif, T.; Hahn, R.T.; Pibarot, P.; Bax, J.J.; Leipsic, J.A.; Blanke, P.; et al. Valve Academic Research Consortium 3: Updated Endpoint Definitions for Aortic Valve Clinical Research. J. Am. Coll. Cardiol. 2021, 77, 2717–2746. [Google Scholar] [CrossRef]
- Lip, G.Y.; Nieuwlaat, R.; Pisters, R.; Lane, D.A.; Crijns, H.J. Refining clinical risk stratification for predicting stroke and thromboembolism in atrial fibrillation using a novel risk factor-based approach: The euro heart survey on atrial fibrillation. Chest 2010, 137, 263–272. [Google Scholar] [CrossRef]
- Zahn, R.; Schiele, R.; Gerckens, U.; Linke, A.; Sievert, H.; Kahlert, P.; Hambrecht, R.; Sack, S.; Abdel-Wahab, M.; Hoffmann, E.; et al. Transcatheter Aortic Valve Implantation in Patients With “Porcelain” Aorta (from a Multicenter Real World Registry). Am. J. Cardiol. 2012, 111, 602–608. [Google Scholar] [CrossRef]
- Val, F.R.-D.; Hirji, S.A.; Yammine, M.; Ejiofor, J.I.; McGurk, S.; Norman, A.; Shekar, P.; Aranki, S.; Bhatt, D.L.; Shah, P.; et al. Effectiveness and Safety of Transcatheter Aortic Valve Implantation for Aortic Stenosis in Patients With “Porcelain” Aorta. Am. J. Cardiol. 2018, 121, 62–68. [Google Scholar] [CrossRef]
- Asami, M.; Bernhard, B.; Demirel, C.; Okuno, T.; Stortecky, S.; Heg, D.; Tomii, D.; Reineke, D.; Praz, F.; Lanz, J.; et al. Clinical outcomes following transcatheter aortic valve implantation in patients with porcelain aorta. J. Cardiovasc. Comput. Tomogr. 2021, 16, 215–221. [Google Scholar] [CrossRef]
- Thourani, V.H.; O’Brien, S.M.; Kelly, J.J.; Cohen, D.J.; Peterson, E.D.; Mack, M.J.; Shahian, D.M.; Grover, F.L.; Carroll, J.D.; Brennan, J.M.; et al. Development and Application of a Risk Prediction Model for In-Hospital Stroke After Transcatheter Aortic Valve Replacement: A Report from The Society of Thoracic Surgeons/American College of Cardiology Transcatheter Valve Therapy Registry. Ann. Thorac. Surg. 2018, 107, 1097–1103. [Google Scholar] [CrossRef]
- Lantelme, P.; Eltchaninoff, H.; Rabilloud, M.; Souteyrand, G.; Dupré, M.; Spaziano, M.; Bonnet, M.; Becle, C.; Riche, B.; Durand, E.; et al. Development of a Risk Score Based on Aortic Calcification to Predict 1-Year Mortality After Transcatheter Aortic Valve Replacement. JACC Cardiovasc. Imaging 2019, 12, 123–132. [Google Scholar] [CrossRef]
- Gegenava, T.; Vollema, E.M.; Abou, R.; Goedemans, L.; van Rosendael, A.; van der Kley, F.; de Weger, A.; Marsan, N.A.; Bax, J.J.; Delgado, V. Prognostic Value of Thoracic Aorta Calcification Burden in Patients Treated With TAVR. JACC Cardiovasc. Imaging 2019, 12, 216–217. [Google Scholar] [CrossRef]
- Harbaoui, B.; Courand, P.-Y.; Charles, P.; Dauphin, R.; Boussel, L.; Jegaden, O.; Dubreuil, O.; de Gevigney, G.; Lantelme, P. Aortic Calcifications Present the Next Challenge After TAVR. J. Am. Coll. Cardiol. 2015, 65, 1058–1060. [Google Scholar] [CrossRef]
- Thiele, H.; Kurz, T.; Feistritzer, H.-J.; Stachel, G.; Hartung, P.; Eitel, I.; Marquetand, C.; Nef, H.; Doerr, O.; Lauten, A.; et al. Comparison of newer generation self-expandable vs. balloon-expandable valves in transcatheter aortic valve implantation: The randomized SOLVE-TAVI trial. Eur. Hearth J. 2020, 41, 1890–1899. [Google Scholar] [CrossRef]
- Jochheim, D.; Zadrozny, M.; Ricard, I.; Sadry, T.M.; Theiss, H.; Baquet, M.; Schwarz, F.; Bauer, A.; Khandoga, A.; Sadoni, S.; et al. Predictors of cerebrovascular events at mid-term after transcatheter aortic valve implantation—Results from EVERY-TAVI registry. Int. J. Cardiol. 2017, 244, 106–111. [Google Scholar] [CrossRef]
- Useini, D.; Haldenwang, P.; Schlömicher, M.; Christ, H.; Naraghi, H.; Moustafine, V.; Strauch, J. Mid-Term Outcomes after Transapical and Transfemoral Transcatheter Aortic Valve Implantation for Aortic Stenosis and Porcelain Aorta with a Systematic Review of Transfemoral versus Transapical Approach. Thorac. Cardiovasc. Surg. 2019, 68, 623–632. [Google Scholar] [CrossRef]
- Leon, M.B.; Smith, C.R.; Mack, M.J.; Makkar, R.R.; Svensson, L.G.; Kodali, S.K.; Thourani, V.H.; Tuzcu, E.M.; Miller, D.C.; Herrmann, H.C.; et al. Transcatheter or Surgical Aortic-Valve Replacement in Intermediate-Risk Patients. N. Engl. J. Med. 2016, 374, 1609–1620. [Google Scholar] [CrossRef]
- Pascual, I.; Avanzas, P.; Muñoz-García, A.J.; López-Otero, D.; Jimenez-Navarro, M.F.; Cid-Alvarez, B.; del Valle, R.; Alonso-Briales, J.H.; Ocaranza-Sanchez, R.; Alfonso, F.; et al. Percutaneous implantation of the CoreValve® self-expanding valve prosthesis in patients with severe aortic stenosis and porcelain aorta: Medium-term follow-up. Rev. Esp. Cardiol. (Engl. Ed.) 2013, 66, 775–781. [Google Scholar] [CrossRef]
- Kapadia, S.R.; Makkar, R.; Leon, M.; Abdel-Wahab, M.; Waggoner, T.; Massberg, S.; Rottbauer, W.; Horr, S.; Sondergaard, L.; Karha, J.; et al. Cerebral Embolic Protection during Transcatheter Aortic-Valve Replacement. N. Engl. J. Med. 2022, 387, 1253–1263. [Google Scholar] [CrossRef]



| Variable | Non PA | Partial PA | Circular PA | p-Value |
|---|---|---|---|---|
| n = 2518 | n = 403 | n = 89 | ||
| Demographic and clinical data | ||||
| Age, years | 82.0 [79.0;85.0] | 81.0 [77.0;84.5] | 82.0 [79.0;85.8] | 0.003 |
| Female gender, % | 1558 (61.9%) | 248 (61.5%) | 53 (59.6%) | 0.902 |
| BMI, kg/m2 | 26.7 [23.9;30.4] | 26.6 [24.1;30.3] | 25.8 [23.7;30.1] | 0.839 |
| EuroSCORE II, % | 3.3 [2.2;5.2] | 3.6 [2.4;5.8] | 3.7 [2.3;5.2] | 0.051 |
| eGFR, mL/min/1.73 m2 | 60.0 [44.0;79.0] | 57.0 [40.5;76.0] | 55.0 [43.0;73.0] | 0.017 |
| Peripheral artery disease | 307 (12.2%) | 58 (14.4%) | 12 (13.5%) | 0.447 |
| Prior stroke | 313 (12.4%) | 50 (12.4%) | 12 (13.5%) | 0.957 |
| Atrial fibrillation | 976 (38.8%) | 154 (38.2%) | 35 (39.3%) | 0.971 |
| Coronary artery disease | 1568 (62.3%) | 273 (67.7%) | 58 (65.2%) | 0.099 |
| Prior coronary intervention | 912 (36.2%) | 155 (38.5%) | 34 (38.2%) | 0.651 |
| Echocardiographic data | ||||
| LV ejection fraction, % | 63.0 [55.0;65.0] | 60.0 [53.5;65.0] | 60.0 [52.0;65.0] | 0.057 |
| Mean gradient, mmHg | 41.0 [32.0;50.0] | 41.0 [32.0;51.0] | 41.5 [34.8;50.0] | 0.954 |
| AVA, cm2 | 0.7 [0.6;0.8] | 0.8 [0.6;0.9] | 0.7 [0.6;0.8] | 0.010 |
| Electrocardiographic data | ||||
| Right bundle branch block | 234 (9.3%) | 40 (10.0%) | 13 (14.6%) | 0.241 |
| Left bundle branch block | 225 (9.0%) | 33 (8.2%) | 8 (9.0%) | 0.892 |
| Atrioventricular block | 441 (17.6%) | 71 (17.8%) | 13 (14.6%) | 0.761 |
| MDCT data | ||||
| Annular area, cm2 | 3.6 [3.5;4.2] | 4.0 [3.5;4.7] | 3.7 [3.5;4.5] | <0.001 |
| Annulus diameter, mm | 24.0 [22.8;25.2] | 24.0 [22.7;25.3] | 23.9 [22.5;25.2] | 0.764 |
| LVOT, mm | 23.2 [21.5;24.9] | 23.5 [21.7;25.0] | 23.5 [21.6;24.8] | 0.115 |
| STJ, mm | 27.8 [26.0;29.8] | 28.1 [26.3;30.1] | 28.0 [26.5;29.9] | 0.232 |
| Aortic valve calcification, AU | 2173 [1415;3062] | 2247 [1474;3305] | 2488 [1585;3460] | 0.077 |
| Calcium density, AU/cm2 | 576 [378;807] | 563 [398;791] | 644 [395;918] | 0.569 |
| Calcification in LVOT | 188 (7.5%) | 43 (10.7%) | 9 (10.1%) | 0.066 |
| Eccentric calcification | 326 (13.0%) | 34 (8.5%) | 10 (11.2%) | 0.037 |
| Variable | Non PA (2:1) | PA | p-Value |
|---|---|---|---|
| n = 984 | n = 492 | ||
| Demographic and clinical data | |||
| Age, years | 81.9 [78.3;85.0] | 81.5 [77.4;85.0] | 0.264 |
| Female gender, % | 596 (60.6%) | 301 (61.2%) | 0.865 |
| BMI, kg/m2 | 26.8 [23.9;30.8] | 26.4 [24.1;30.2] | 0.366 |
| EuroSCORE II, % | 3.6 [2.3;5.7] | 3.6 [2.3;5.6] | 0.728 |
| eGFR, mL/min/1.73 m2 | 57.0 [42.0;74.0] | 57.0 [41.0;75.2] | 0.907 |
| Peripheral artery disease | 137 (13.9%) | 70 (14.2%) | 0.937 |
| Prior stroke | 126 (12.8%) | 62 (12.6%) | 0.978 |
| Atrial fibrillation | 382 (38.8%) | 189 (38.4%) | 0.925 |
| Coronary artery disease | 665 (67.6%) | 331 (67.3%) | 0.953 |
| Prior coronary intervention | 392 (39.8%) | 189 (38.4%) | 0.638 |
| Echocardiographic data | |||
| LV ejection fraction, % | 61.0 [51.8;65.0] | 60.0 [53.0;65.0] | 0.674 |
| Mean gradient, mmHg | 42.0 [32.0;50.0] | 41.0 [32.0;50.0] | 0.708 |
| AVA, cm2 | 0.7 [0.6;0.9] | 0.7 [0.6;0.9] | 0.189 |
| Electrocardiographic data | |||
| Right bundle branch block | 100 (10.2%) | 53 (10.8%) | 0.786 |
| Left bundle branch block | 75 (7.6%) | 41 (8.3%) | 0.707 |
| Atrioventricular block | 165 (16.9%) | 84 (17.2%) | 0.941 |
| MDCT data | |||
| Annular area, cm2 | 3.8 [3.5;4.6] | 3.9 [3.5;4.6] | 0.660 |
| Annulus diameter, mm | 24.2 [22.9;25.4] | 23.9 [22.6;25.3] | 0.100 |
| LVOT, mm | 23.6 [21.9;25.4] | 23.5 [21.7;25.0] | 0.273 |
| STJ, mm | 28.0 [26.2;29.9] | 28.1 [26.3;30.1] | 0.925 |
| Aortic valve calcification, AU | 2306 [1492;3250] | 2286 [1504;3361] | 0.712 |
| Calcium density, AU/cm2 | 585 [377;807] | 571 [396;810] | 0.909 |
| Calcification in LVOT | 100 (10.2%) | 52 (10.6%) | 0.880 |
| Eccentric calcification | 90 (9.1%) | 45 (9.1%) | 1.000 |
| Variable | Non PA (2:1) | PA | p-Value |
|---|---|---|---|
| n = 984 | n = 492 | ||
| Procedural parameter | |||
| Procedural duration, min | 48.00 [38.00;60.00] | 50.00 [40.00;66.00] | 0.078 |
| Contrast agent, mL | 97.00 [65.00;120.00] | 95.00 [70.00;120.00] | 0.866 |
| Pre-dilatation, % | 828 (84.15%) | 416 (84.55%) | 0.899 |
| Post-dilatation, % | 293 (30.14%) | 158 (32.24%) | 0.447 |
| Protection device, % | 15 (1.52%) | 10 (2.03%) | 0.618 |
| Depth NCC, mm | 6.00 [4.00;6.60] | 6.00 [4.00;7.00] | 0.303 |
| Depth LCC, mm | 6.00 [4.50;7.00] | 6.00 [5.00;7.00] | 0.142 |
| Cover index (annulus) | 4.46 [2.57;6.67] | 4.58 [2.60;6.56] | 0.649 |
| Echocardiographic outcome | |||
| LV ejection fraction, % | 64.00 [55.00;65.00] | 63.00 [55.00;65.00] | 0.816 |
| Mean gradient, mmHg | 8.00 [6.00;11.00] | 8.00 [6.00;11.00] | 0.303 |
| AVA, cm2 | 1.80 [1.50;2.10] | 1.80 [1.50;2.02] | 0.591 |
| iAVA, cm2/m2 | 0.96 [0.82;1.12] | 0.94 [0.84;1.12] | 0.877 |
| Procedural and clinical outcome | |||
| Technical success | 871 (88.52%) | 430 (87.40%) | 0.589 |
| Device success at 30 days | 810 (82.32%) | 401 (81.50%) | 0.755 |
| Early safety at 30 days | 462 (46.95%) | 242 (49.19%) | 0.450 |
| In-hospital death | 23 (2.34%) | 11 (2.24%) | 1.000 |
| Periprocedural death (in-hospital and up to 30 days) | 30 (3.05%) | 16 (3.25%) | 0.958 |
| Relevant PVL (>mild/trace) | 35 (3.56%) | 20 (4.07%) | 0.739 |
| More than mild PPM | 25 (3.46%) | 17 (4.91%) | 0.328 |
| Conversion to sternotomy | 7 (0.71%) | 2 (0.41%) | 0.726 |
| Multiple valves (ViV) | 12 (1.22%) | 5 (1.02%) | 0.931 |
| Device migration/embolization | 19 (1.93%) | 8 (1.63%) | 0.837 |
| Major vascular complication | 70 (7.11%) | 45 (9.15%) | 0.204 |
| Bleeding (type 2–4) | 202 (20.53%) | 117 (23.78%) | 0.173 |
| Major cardiac structural complication | 14 (1.42%) | 4 (0.81%) | 0.450 |
| All stroke | 31 (3.15%) | 13 (2.64%) | 0.705 |
| Neurologic dysfunction without CNS injury (TIA) | 11 (1.12%) | 6 (1.22%) | 1.000 |
| AKI (type 2–4) | 41 (4.17%) | 15 (3.05%) | 0.360 |
| New permanent pacemaker 1 | 89 (10.14%) | 52 (12.01%) | 0.306 |
| Univariate | p-Value | Multivariate | p-Value | |
|---|---|---|---|---|
| Predictors | ||||
| Age | 1.02 (0.98,1.06) | 0.412 | ||
| Gender (male) | 0.7 (0.45,1.1) | 0.111 | ||
| CAD | 0.83 (0.54,1.26) | 0.381 | ||
| LV ejection fraction | 0.99 (0.98,1.01) | 0.641 | ||
| Annulus area | 0.34 (0.1,1.1) | 0.071 | 0.41 (0.13,1.33) | 0.138 |
| Cover index, annulus | 0.99 (0.92,1.07) | 0.830 | ||
| BMI | 1.00(0.98,1.02) | 0.996 | ||
| EuroSCORE II | 1.00 (0.99,1.02) | 0.559 | ||
| Depth LCC | 0.93 (0.85,1.02) | 0.152 | ||
| Depth NCC | 0.93 (0.86,1.02) | 0.129 | ||
| LVOT calcification | 1.27 (0.63,2.55) | 0.521 | ||
| Aortic valve calcification | 1.00 (0.99,1.00) | 0.709 | ||
| Circular PA | 1.51 (0.54,4.22) | 0.454 | ||
| Circular or partial PA | 0.84 (0.46,1.52) | 0.550 | ||
| Pre dilatation | 0.95 (0.57,1.57) | 0.831 | ||
| Post dilatation | 1.33 (0.87,2.04) | 0.193 | ||
| Protection device | 0.43 (0.06;3.15) | 0.343 | ||
| Migration/embolization | 6.41 (2.78,14.79) | <0.001 | 5.00 (2.10,11.87) | <0.001 |
| Major cardiac structural complication | 4.89 (2.02,11.83) | 0.003 | 3.37 (1.32,8.57) | 0.011 |
| Prior pacemaker | 0.35 (0.13,0.95) | 0.016 | 0.40 (0.14,1.10) | 0.075 |
| Severe bleeding | 2.29 (1.47,3.57) | <0.001 | 1.79 (1.11,2.89) | 0.017 |
| Prior atrial fibrillation | 0.68 (0.44,1.07) | 0.092 | 0.76 (0.48,1.20) | 0.235 |
Disclaimer/Publisher’s Note: The statements, opinions and data contained in all publications are solely those of the individual author(s) and contributor(s) and not of MDPI and/or the editor(s). MDPI and/or the editor(s) disclaim responsibility for any injury to people or property resulting from any ideas, methods, instructions or products referred to in the content. |
© 2023 by the authors. Licensee MDPI, Basel, Switzerland. This article is an open access article distributed under the terms and conditions of the Creative Commons Attribution (CC BY) license (https://creativecommons.org/licenses/by/4.0/).
Share and Cite
Eckel, C.; Blumenstein, J.; Grothusen, C.; Tiyerili, V.; Elsässer, A.; Dohmen, G.; Zeckzer, A.; Gaede, L.; Choi, Y.-H.; Charitos, E.I.; et al. Procedural Outcomes of a Self-Expanding Transcatheter Heart Valve in Patients with Porcelain Aorta. J. Clin. Med. 2023, 12, 945. https://doi.org/10.3390/jcm12030945
Eckel C, Blumenstein J, Grothusen C, Tiyerili V, Elsässer A, Dohmen G, Zeckzer A, Gaede L, Choi Y-H, Charitos EI, et al. Procedural Outcomes of a Self-Expanding Transcatheter Heart Valve in Patients with Porcelain Aorta. Journal of Clinical Medicine. 2023; 12(3):945. https://doi.org/10.3390/jcm12030945
Chicago/Turabian StyleEckel, Clemens, Johannes Blumenstein, Christina Grothusen, Vedat Tiyerili, Albrecht Elsässer, Guido Dohmen, Anna Zeckzer, Luise Gaede, Yeong-Hoon Choi, Efstratios I. Charitos, and et al. 2023. "Procedural Outcomes of a Self-Expanding Transcatheter Heart Valve in Patients with Porcelain Aorta" Journal of Clinical Medicine 12, no. 3: 945. https://doi.org/10.3390/jcm12030945
APA StyleEckel, C., Blumenstein, J., Grothusen, C., Tiyerili, V., Elsässer, A., Dohmen, G., Zeckzer, A., Gaede, L., Choi, Y.-H., Charitos, E. I., Hamm, C. W., Kim, W.-K., Möllmann, H., & Renker, M. (2023). Procedural Outcomes of a Self-Expanding Transcatheter Heart Valve in Patients with Porcelain Aorta. Journal of Clinical Medicine, 12(3), 945. https://doi.org/10.3390/jcm12030945

