Femoral Head Autograft to Manage Acetabular Bone Loss Defects in THA for Crowe III Hips by DAA: Retrospective Study and Surgical Technique
Abstract
1. Introduction
2. Materials and Methods
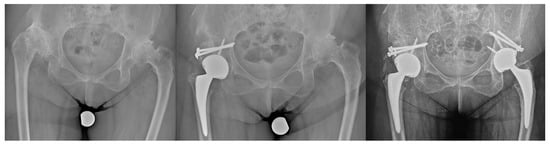
2.1. Surgical Technique
2.2. Radiological Assessment
2.3. Clinical Assessment
2.4. Statistical Analysis
3. Results
3.1. Clinical Results
3.2. Radiographic Results
4. Discussion
5. Conclusions
Author Contributions
Funding
Institutional Review Board Statement
Informed Consent Statement
Data Availability Statement
Conflicts of Interest
References
- Crowe, J.F.; Mani, V.J.; Ranawat, C.S. Total hip replacement in congenital dislocation and dysplasia of the hip. J. Bone Jt. Surg. 1979, 61, 15–23. [Google Scholar] [CrossRef]
- Zhu, J.; Fernando, N.D. Classifications in Brief: The Hartofilakidis Classification of Developmental Dysplasia of the Hip. Clin. Orthop. Relat. Res. 2020, 478, 189–194. [Google Scholar] [CrossRef] [PubMed]
- Yang, S. Total hip arthroplasty in developmental dysplasia of the hip: Review of anatomy, techniques and outcomes. World J. Orthop. 2012, 3, 42–48. [Google Scholar] [CrossRef] [PubMed]
- Demirel, M.; Kendirci, A.S.; Saglam, Y.; Ergin, O.N.; Sen, C.; Öztürk, I. Comparison of High Hip Center versus Anatomical Reconstruction Technique in Crowe Types II and III Developmental Dysplasia of the Hip: A Retrospective Clinical Study. Acta Chir. Orthop. Traumatol. Cech. 2022, 89, 272–278. [Google Scholar]
- Stirling, P.B.; Viamont-Guerra, M.-R.; Strom, L.B.; Chen, A.F.M.; Saffarini, M.M.; Nover, L.M.; Laude, F. Does Cup Position at the High Hip Center or Anatomic Hip Center in THA for Developmental Dysplasia of the Hip Result in Better Harris Hip Scores and Revision Incidence? A Systematic Review. Clin. Orthop. Relat. Res. 2021, 479, 1119–1130. [Google Scholar] [CrossRef] [PubMed]
- Di Martino, A.; Coppola, M.A.R.; Bordini, B.; Stefanini, N.; Geraci, G.; Pilla, F.; Traina, F.; Faldini, C. Clinical and radiological outcomes of total hip arthroplasty in patients affected by Paget’s disease: A combined registry and single-institution retrospective observational study. J. Orthop. Traumatol. 2021, 22, 13. [Google Scholar] [CrossRef] [PubMed]
- Ito, H.; Matsuno, T.; Minami, A.; Aoki, Y. Intermediate-term results after hybrid total hip arthroplasty for the treatment of dysplastic hips. J. Bone Jt. Surg. 2003, 85, 1725–1732. [Google Scholar] [CrossRef] [PubMed]
- Schutzer, S.F.; Harris, W.H. High placement of porous-coated acetabular components in complex total hip arthroplasty. J. Arthroplast. 1994, 9, 359–367. [Google Scholar] [CrossRef]
- Yang, T.-C.; Chen, C.-F.; Tsai, S.-W.; Chen, W.-M.; Chang, M.-C. Does restoration of hip center with subtrochanteric osteotomy provide preferable outcome for Crowe type III–IV irreducible development dysplasia of the hip? J. Chin. Med. Assoc. 2017, 80, 803–807. [Google Scholar] [CrossRef]
- Doehring, T.; Rubash, H.; Shelley, F.; Schwendeman, L.; Donaldson, T.; Navalgund, Y. Effect of superior and superolateral relocations of the hip center on hip joint forces: An experimental and analytical analysis. J. Arthroplast. 1996, 11, 693–703. [Google Scholar] [CrossRef]
- Bicanic, G.; Delimar, D.; Delimar, M.; Pecina, M. Influence of the acetabular cup position on hip load during arthroplasty in hip dysplasia. Int. Orthop. 2009, 33, 397–402. [Google Scholar] [CrossRef] [PubMed]
- Marangoz, S.; Atilla, B.; Gök, H.; Yavuzer, G.; Ergin, S.; Tokgözoğlu, A.M.; Alpaslan, M. Gait Analysis in Adults with Severe Hip Dysplasia before and after Total Hip Arthroplasty. HIP Int. 2010, 20, 466–472. [Google Scholar] [CrossRef] [PubMed]
- Nie, Y.; Ning, N.; Pei, F.; Shen, B.; Zhou, Z.; Li, Z. Gait Kinematic Deviations in Patients with Developmental Dysplasia of the Hip Treated with Total Hip Arthroplasty. Orthopedics 2017, 40, e425–e431. [Google Scholar] [CrossRef] [PubMed]
- Wen, X.; Zuo, J.; Liu, T.; Gao, Z.; Xiao, J. Bone defect map of the true acetabulum in hip dysplasia (Crowe type II and III) based on three-dimensional image reconstruction analysis. Sci. Rep. 2021, 11, 22955. [Google Scholar] [CrossRef] [PubMed]
- Loganathan, B.; Sharma, V.; Kumar, M.R.; Soundarapandian, S.; Marothi DP, S.; Sharma, K. Acetabulum Reconstruction with TantalumCup and Augments in Dysplastic Hip Type 4 using 3D Printing Technology. J. Orthop. Case Rep. 2020, 10, 18–21. [Google Scholar] [CrossRef]
- Yin, S.; Zhong, H.; Li, R.; Mou, P.; Yang, J. Effectiveness of autologous femoral head bone graft in total hip arthroplasty for Crowe type III developmental dysplasia of hip with acetabular bone defect. Zhongguo Xiu Fu Chong Jian Wai Ke Za Zhi 2018, 32, 20–24. [Google Scholar] [CrossRef]
- Papalia, R.; Di Martino, A.; Caldaria, A.; Zampogna, B.; Denaro, V. Outcomes of neck modularity in total hip arthroplasty: An Italian perspective. Musculoskelet. Surg. 2019, 103, 215–220. [Google Scholar] [CrossRef] [PubMed]
- Di Martino, A.; Castagnini, F.; Stefanini, N.; Bordini, B.; Geraci, G.; Pilla, F.; Traina, F.; Faldini, C. Survival rates and reasons for revision of different stem designs in total hip arthroplasty for developmental dysplasia: A regional registry study. J. Orthop. Traumatol. 2021, 22, 29. [Google Scholar] [CrossRef]
- Anderl, C.; Steinmair, M.; Hochreiter, J. Bone Preservation in Total Hip Arthroplasty. J. Arthroplast. 2022, 37, 1118–1123. [Google Scholar] [CrossRef]
- Shinar, A.A.; Harris, W.H. Bulk Structural Autogenous Grafts and Allografts for Reconstruction of the Acetabulum in Total Hip Arthroplasty. Sixteen-Year-Average Follow-up*. J. Bone Jt. Surg. 1997, 79, 159–168. [Google Scholar] [CrossRef]
- Abdullah, K.M.; Hussain, N.; Parsons, S.J.; Porteous, M.J.; Atrey, A. 11-Year Mean Follow-Up of Acetabular Impaction Grafting with a Mixture of Bone Graft and Hydroxyapatite Porous Synthetic Bone Substitute. J. Arthroplast. 2018, 33, 1481–1486. [Google Scholar] [CrossRef] [PubMed]
- Khanuja, H.S.; Vakil, J.J.; Goddard, M.S.; Mont, M.A. Cementless Femoral Fixation in Total Hip Arthroplasty. J. Bone Jt. Surg. 2011, 93, 500–509. [Google Scholar] [CrossRef] [PubMed]
- Kim, M.; Kadowaki, T. High Long-term Survival of Bulk Femoral Head Autograft for Acetabular Reconstruction in Cementless THA for Developmental Hip Dysplasia. Clin. Orthop. Relat. Res. 2010, 468, 1611–1620. [Google Scholar] [CrossRef] [PubMed]
- Sofu, H.; Kockara, N.; Gursu, S.; Issin, A.; Oner, A.; Sahin, V. Transverse Subtrochanteric Shortening Osteotomy During Cementless Total Hip Arthroplasty in Crowe Type-III or IV Developmental Dysplasia. J. Arthroplast. 2015, 30, 1019–1023. [Google Scholar] [CrossRef] [PubMed]
- Şen, C.; Bilsel, K.; Elmadağ, M.; Güneş, T.; Saygi, B. Acetabuloplasty at the Anatomic Centre for Treating Crowe Class III and IV Developmental HIP Dysplasia: A Case Series. HIP Int. 2016, 26, 360–366. [Google Scholar] [CrossRef]
- Benazzo, F.M.; Piovani, L.; Combi, A.; Perticarini, L. MODULUS Stem for Developmental Hip Dysplasia: Long-term Follow-up. J. Arthroplast. 2015, 30, 1747–1751. [Google Scholar] [CrossRef]
- Risitano, S.; Piccato, A.; Fusini, F.; Rissolio, L.; Marcarelli, M.; Bosa, G.; Indelli, P.F. Direct anterior approach in total hip arthroplasty: Influence of stem length on clinical and radiological outcomes at medium-term follow-up. Musculoskelet. Surg. 2022, 1–7. [Google Scholar] [CrossRef]
- Viamont-Guerra, M.-R.; Chen, A.F.; Stirling, P.; Nover, L.; Guimarães, R.P.; Laude, F. The Direct Anterior Approach for Total Hip Arthroplasty for Severe Dysplasia (Crowe III and IV) Provides Satisfactory Medium to Long-Term Outcomes. J. Arthroplast. 2020, 35, 1642–1650. [Google Scholar] [CrossRef]
- Liu, Z.; Bell, C.D.; Ong, A.C.; Wu, S.; Li, Z.; Zhang, Y. Direct anterior approach total hip arthroplasty for Crowe III and IV dysplasia. Arthroplast. Today 2020, 6, 251–256. [Google Scholar] [CrossRef]
- Vanlommel, J.; Sutter, M.; Leunig, M. Total hip arthroplasty using the direct anterior approach and intraoperative neurophysiological monitoring for Crowe III hip dysplasia: Surgical technique and case series. Acta Orthop. Belg. 2020, 8, 22–27. [Google Scholar]
- Taylor, A.J.; Runner, R.P.; Kay, R.D.; Najibi, S. Femoral Head Autograft Can Reliably Reconstruct Dysplastic Acetabula Through the Direct Anterior Approach for Total Hip Arthroplasty. Arthroplast. Today 2022, 14, 154–162. [Google Scholar] [CrossRef] [PubMed]
- Lee, J.-M.; Kim, T.-H. Acetabular Cup Revision Arthroplasty Using Morselized Impaction Allograft. Hip Pelvis 2018, 30, 65–77. [Google Scholar] [CrossRef] [PubMed]
- García-Cimbrelo, E.; García-Rey, E. Bone Defect Determines Acetabular Revision Surgery. HIP Int. 2014, 24, 33–36. [Google Scholar] [CrossRef] [PubMed]
- Chiarlone, F.; Zanirato, A.; Cavagnaro, L.; Alessio-Mazzola, M.; Felli, L.; Burastero, G. Acetabular custom-made implants for severe acetabular bone defect in revision total hip arthroplasty: A systematic review of the literature. Arch. Orthop. Trauma Surg. 2020, 140, 415–424. [Google Scholar] [CrossRef]
- Yildirim, T.; Guclu, B.; Karaguven, D.; Kaya, A.; Akan, B.; Cetin, I. Cementless Total Hip Arthroplasty in Developmental Dysplasia of the Hip with End Stage Osteoarthritis: 2–7 Years’ Clinical Results. HIP Int. 2015, 25, 442–446. [Google Scholar] [CrossRef]
- Oinuma, K.; Tamaki, T.; Miura, Y.; Kaneyama, R.; Shiratsuchi, H. Total Hip Arthroplasty with Subtrochanteric Shortening Osteotomy for Crowe Grade 4 Dysplasia Using the Direct Anterior Approach. J. Arthroplast. 2014, 29, 626–629. [Google Scholar] [CrossRef] [PubMed]
- Lewinnek, G.E.; Lewis, J.L.; Tarr, R.I.C.H.A.R.D.; Compere, C.L.; Zimmerman, J.R. Dislocations after total hip-replacement arthroplasties. J. Bone Joint Surg. Am. 1978, 60, 217–220. [Google Scholar] [CrossRef]
- Hamrayev, A.J.; Buyukkuscu, M.O.; Misir, A.; Gursu, S.S. The fate of femoral head autograft in acetabular reconstruction in dysplastic hips at midterm. J. Orthop. Surg. 2020, 28. [Google Scholar] [CrossRef]
- Goto, E.; Umeda, H.; Otsubo, M.; Teranishi, T. Cemented acetabular component with femoral neck autograft for acetabular reconstruction in Crowe type III dislocated hips. Bone Jt. J. 2021, 103, 299–304. [Google Scholar] [CrossRef]
- Seagrave, K.G.; Troelsen, A.; Malchau, H.; Husted, H.; Gromov, K. Acetabular cup position and risk of dislocation in primary total hip arthroplasty. Acta Orthop. 2017, 88, 10–17. [Google Scholar] [CrossRef]
- Portinaro, N.; Case, R.; Gargan, M. Pathological Anatomy of Developmental Dysplasia of the Hip Joint. HIP Int. 1999, 9, 158–162. [Google Scholar] [CrossRef]
- Abolghasemian, M.; Samiezadeh, S.; Jafari, D.; Bougherara, H.; Gross, A.E.; Ghazavi, M.T. Displacement of the Hip Center of Rotation After Arthroplasty of Crowe III and IV Dysplasia: A Radiological and Biomechanical Study. J. Arthroplast. 2013, 28, 1031–1035. [Google Scholar] [CrossRef] [PubMed]
- Shen, J.; Sun, J.; Du, Y.; Zhang, B.; Li, T.; Zhou, Y. Functional and radiographical results of asymmetrically reconstructed total hip arthroplasty in patients with bilateral dysplastic arthritic hips with one hip Crowe II–III and the other Crowe IV: A retrospective cohort study. J. Orthop. Traumatol. 2021, 22, 11. [Google Scholar] [CrossRef] [PubMed]
- Shen, J.; Sun, J.; Ma, H.; Du, Y.; Li, T.; Zhou, Y. High Hip Center Technique in Total Hip Arthroplasty for Crowe TypeII–III Developmental Dysplasia: Results of Midterm Follow-up. Orthop. Surg. 2020, 12, 1245–1252. [Google Scholar] [CrossRef]
- Song, J.H.; Ahn, T.S.; Yoon, P.W.; Chang, J.S. Reliability of the acetabular reconstruction technique using autogenous bone graft from resected femoral head in hip dysplasia: Influence of the change of hip joint center on clinical outcome. J. Orthop. 2017, 14, 438–444. [Google Scholar] [CrossRef]




| Age | BMI | ASA | VAS PRE | VAS POST | Surgical Time | Blood Transfusions | |
|---|---|---|---|---|---|---|---|
| Pt 1 | 49 | 22.4 | 1 | 9 | 0 | 131 | 1 |
| Pt 2 | 60 | 31.2 | 3 | 7 | 1 | 98 | 0 |
| Pt 3 | 54 | 23.7 | 2 | 5 | 2 | 101 | 2 |
| Pt 4 | 63 | 27.6 | 2 | 6 | 1 | 111 | 1 |
| Pt 5 | 65 | 28.1 | 2 | 7 | 3 | 121 | 1 |
| Pt 6 | 72 | 24.8 | 1 | 8 | 1 | 126 | 0 |
| Pt 7 | 51 | 27.9 | 1 | 6 | 1 | 99 | 1 |
| Pt 8—1° | 52 | 23.1 | 2 | 6 | 2 | 124 | 1 |
| Pt 8—2° | 54 | 22.9 | 3 | 7 | 0 | 130 | 2 |
| Total | 57.7 y | 25.7 | 1.9 | 6.7 | 1.2 | 115.6 | 1 |
| Cup Size | Femoral Head Diameter | Femural Stem Size |
|---|---|---|
| 46 mm (n = 3) | 28 mm | 1 (n = 2) |
| 48 mm (n = 4) | 32 mm | 2 (n = 4) |
| 50 mm (n = 1) | 32 mm | 3 (n = 3) |
| 52 mm (n = 1) | 36 mm |
Disclaimer/Publisher’s Note: The statements, opinions and data contained in all publications are solely those of the individual author(s) and contributor(s) and not of MDPI and/or the editor(s). MDPI and/or the editor(s) disclaim responsibility for any injury to people or property resulting from any ideas, methods, instructions or products referred to in the content. |
© 2023 by the authors. Licensee MDPI, Basel, Switzerland. This article is an open access article distributed under the terms and conditions of the Creative Commons Attribution (CC BY) license (https://creativecommons.org/licenses/by/4.0/).
Share and Cite
Faldini, C.; Brunello, M.; Pilla, F.; Geraci, G.; Stefanini, N.; Tassinari, L.; Di Martino, A. Femoral Head Autograft to Manage Acetabular Bone Loss Defects in THA for Crowe III Hips by DAA: Retrospective Study and Surgical Technique. J. Clin. Med. 2023, 12, 751. https://doi.org/10.3390/jcm12030751
Faldini C, Brunello M, Pilla F, Geraci G, Stefanini N, Tassinari L, Di Martino A. Femoral Head Autograft to Manage Acetabular Bone Loss Defects in THA for Crowe III Hips by DAA: Retrospective Study and Surgical Technique. Journal of Clinical Medicine. 2023; 12(3):751. https://doi.org/10.3390/jcm12030751
Chicago/Turabian StyleFaldini, Cesare, Matteo Brunello, Federico Pilla, Giuseppe Geraci, Niccolò Stefanini, Leonardo Tassinari, and Alberto Di Martino. 2023. "Femoral Head Autograft to Manage Acetabular Bone Loss Defects in THA for Crowe III Hips by DAA: Retrospective Study and Surgical Technique" Journal of Clinical Medicine 12, no. 3: 751. https://doi.org/10.3390/jcm12030751
APA StyleFaldini, C., Brunello, M., Pilla, F., Geraci, G., Stefanini, N., Tassinari, L., & Di Martino, A. (2023). Femoral Head Autograft to Manage Acetabular Bone Loss Defects in THA for Crowe III Hips by DAA: Retrospective Study and Surgical Technique. Journal of Clinical Medicine, 12(3), 751. https://doi.org/10.3390/jcm12030751

