Effect of Low-Temperature Preservation in Optisol-GS on Preloaded, Endothelium-Out DMEK Grafts
Abstract
1. Introduction
2. Materials and Methods
2.1. Tissue Preparation
- -
- Group A: >8 °C storage (n = 5);
- -
- Group B: 2–8 °C storage in a “transport simulation” condition (n = 5);
- -
- Group C: <2 °C storage (n = 5).
2.2. Tissue Evaluation and Study Outcomes
2.3. Statistical Analysis
3. Results
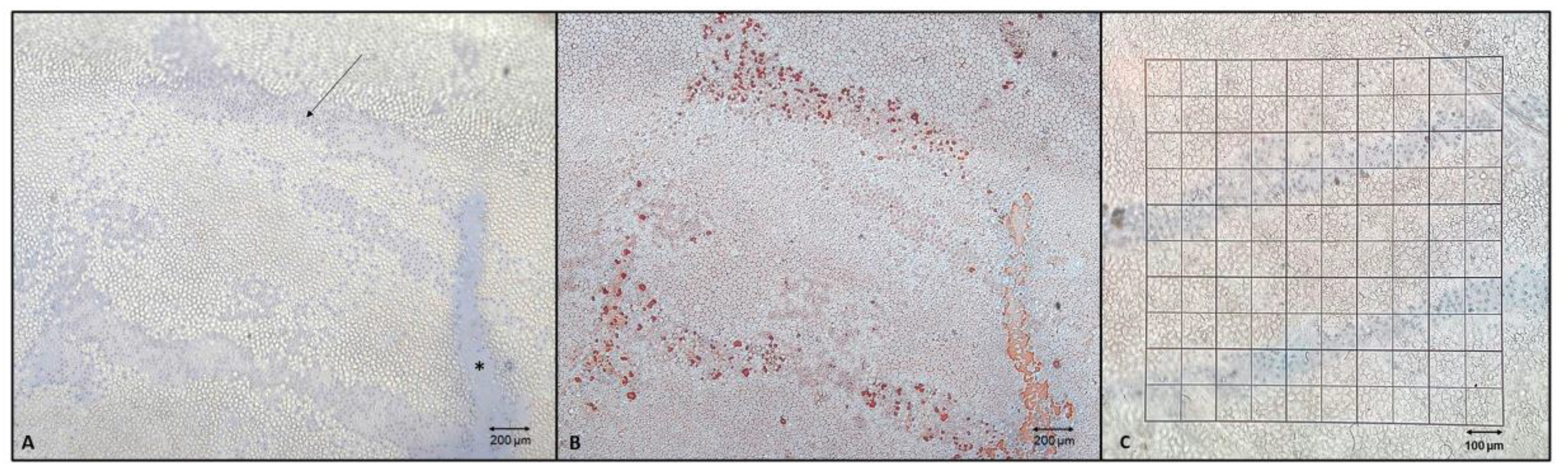
Light Microscopy Samples
4. Discussion
5. Conclusions
Author Contributions
Funding
Institutional Review Board Statement
Informed Consent Statement
Data Availability Statement
Conflicts of Interest
References
- Romano, V.; Parekh, M.; Ruzza, A.; Willoughby, C.E.; Ferrari, S.; Ponzin, D.; Kaye, S.B.; Levis, H.J. Comparison of Preservation and Transportation Protocols for Preloaded Descemet Membrane Endothelial Keratoplasty. Br. J. Ophthalmol. 2018, 102, 549–555. [Google Scholar] [CrossRef] [PubMed]
- Parekh, M.; Ruzza, A.; Romano, V.; Favaro, E.; Baruzzo, M.; Salvalaio, G.; Grassetto, A.; Ferrari, S.; Ponzin, D. Descemet Membrane Endothelial Keratoplasty Learning Curve for Graft Preparation in an Eye Bank Using 645 Donor Corneas. Cornea 2018, 37, 767–771. [Google Scholar] [CrossRef] [PubMed]
- Parekh, M.; Borroni, D.; Ruzza, A.; Levis, H.J.; Ferrari, S.; Ponzin, D.; Romano, V. A Comparative Study on Different Descemet Membrane Endothelial Keratoplasty Graft Preparation Techniques. Acta Ophthalmol. 2018, 96, e718–e726. [Google Scholar] [CrossRef] [PubMed]
- Pagano, L.; Gadhvi, K.A.; Parekh, M.; Coco, G.; Levis, H.J.; Ponzin, D.; Ferrari, S.; Virgili, G.; Kaye, S.B.; Edwards, R.T.; et al. Cost Analysis of Eye Bank versus Surgeon Prepared Endothelial Grafts. BMC Health Serv. Res. 2021, 21, 801. [Google Scholar] [CrossRef]
- Busin, M.; Scorcia, V.; Patel, A.K.; Salvalaio, G.; Ponzin, D. Pneumatic Dissection and Storage of Donor Endothelial Tissue for Descemet’s Membrane Endothelial Keratoplasty: A Novel Technique. Ophthalmology 2010, 117, 1517–1520. [Google Scholar] [CrossRef]
- Parekh, M.; Ruzza, A.; Salvalaio, G.; Ferrari, S.; Camposampiero, D.; Busin, M.; Ponzin, D. Descemet Membrane Endothelial Keratoplasty Tissue Preparation from Donor Corneas Using a Standardized Submerged Hydro-Separation Method. Am. J. Ophthalmol. 2014, 158, 277–285.e1. [Google Scholar] [CrossRef]
- Muraine, M.; Gueudry, J.; He, Z.; Piselli, S.; Lefevre, S.; Toubeau, D. Novel Technique for the Preparation of Corneal Grafts for Descemet Membrane Endothelial Keratoplasty. Am. J. Ophthalmol. 2013, 156, 851–859. [Google Scholar] [CrossRef]
- Mohammed, I.; Ross, A.R.; Britton, J.O.; Said, D.G.; Dua, H.S. Elastin Content and Distribution in Endothelial Keratoplasty Tissue Determines Direction of Scrolling. Am. J. Ophthalmol. 2018, 194, 16–25. [Google Scholar] [CrossRef]
- Yu, A.C.; Myerscough, J.; Spena, R.; Fusco, F.; Socea, S.; Furiosi, L.; De Rosa, L.; Bovone, C.; Busin, M. Three-Year Outcomes of Tri-Folded Endothelium-In Descemet Membrane Endothelial Keratoplasty With Pull-Through Technique. Am. J. Ophthalmol. 2020, 219, 121–131. [Google Scholar] [CrossRef]
- Price, M.O.; Lisek, M.; Kelley, M.; Feng, M.T.; Price, F.W. Endothelium-in Versus Endothelium-out Insertion With Descemet Membrane Endothelial Keratoplasty. Cornea 2018, 37, 1098–1101. [Google Scholar] [CrossRef]
- Parekh, M.; Ruzza, A.; Ferrari, S.; Ahmad, S.; Kaye, S.; Ponzin, D.; Romano, V. Endothelium-in versus Endothelium-out for Descemet Membrane Endothelial Keratoplasty Graft Preparation and Implantation. Acta Ophthalmol. 2017, 95, 194–198. [Google Scholar] [CrossRef]
- Borroni, D.; Gadhvi, K.; Wojcik, G.; Pennisi, F.; Vallabh, N.A.; Galeone, A.; Ruzza, A.; Arbabi, E.; Menassa, N.; Kaye, S.; et al. The Influence of Speed During Stripping in Descemet Membrane Endothelial Keratoplasty Tissue Preparation. Cornea 2020, 39, 1086–1090. [Google Scholar] [CrossRef] [PubMed]
- Jardine, G.J.; Holiman, J.D.; Stoeger, C.G.; Chamberlain, W.D. Imaging and Quantification of Endothelial Cell Loss in Eye Bank Prepared DMEK Grafts Using Trainable Segmentation Software. Curr. Eye Res. 2014, 39, 894–901. [Google Scholar] [CrossRef] [PubMed]
- Downes, K.; Tran, K.D.; Stoeger, C.G.; Chamberlain, W. Cumulative Endothelial Cell Loss in Descemet Membrane Endothelial Keratoplasty Grafts From Preparation Through Insertion With Glass Injectors. Cornea 2018, 37, 698–704. [Google Scholar] [CrossRef]
- Shen, E.; Fox, A.; Johnson, B.; Farid, M. Comparing the Effect of Three Descemet Membrane Endothelial Keratoplasty Injectors on Endothelial Damage of Grafts. Indian J. Ophthalmol. 2020, 68, 1040–1043. [Google Scholar] [CrossRef] [PubMed]
- Schallhorn, J.M.; Holiman, J.D.; Stoeger, C.G.; Chamberlain, W. Quantification and Patterns of Endothelial Cell Loss Due to Eye Bank Preparation and Injector Method in Descemet Membrane Endothelial Keratoplasty Tissues. Cornea 2016, 35, 377–382. [Google Scholar] [CrossRef] [PubMed]
- Wojcik, G.; Parekh, M.; Romano, V.; Ferrari, S.; Ruzza, A.; Ahmad, S.; Ponzin, D. Preloaded Descemet Membrane Endothelial Keratoplasty Grafts With Endothelium Outward: A Cross-Country Validation Study of the DMEK Rapid Device. Cornea 2021, 40, 484–490. [Google Scholar] [CrossRef] [PubMed]
- Català, P.; Vermeulen, W.; Rademakers, T.; van den Bogaerdt, A.; Kruijt, P.J.; Nuijts, R.M.M.A.; LaPointe, V.L.S.; Dickman, M.M. Transport and Preservation Comparison of Preloaded and Prestripped-Only DMEK Grafts. Cornea 2020, 39, 1407–1414. [Google Scholar] [CrossRef] [PubMed]
- Parekh, M.; Ruzza, A.; Ferrari, S.; Ponzin, D. Preservation of Preloaded DMEK Lenticules in Dextran and Non-Dextran-Based Organ Culture Medium. J. Ophthalmol. 2016, 2016, 5830835. [Google Scholar] [CrossRef]
- Parekh, M.; Ruzza, A.; Gallon, P.; Ponzin, D.; Ahmad, S.; Ferrari, S. Synthetic Media for Preservation of Corneal Tissues Deemed for Endothelial Keratoplasty and Endothelial Cell Culture. Acta Ophthalmol. 2021, 99, 314–325. [Google Scholar] [CrossRef]
- Parekh, M.; Romano, V.; Hassanin, K.; Testa, V.; Wongvisavavit, R.; Ferrari, S.; Willoughby, C.; Ponzin, D.; Jhanji, V.; Sharma, N.; et al. Delivering Endothelial Keratoplasty Grafts: Modern Day Transplant Devices. Curr. Eye Res. 2022, 47, 493–504. [Google Scholar] [CrossRef] [PubMed]
- Romano, V.; Ruzza, A.; Kaye, S.; Parekh, M. Pull-through Technique for Delivery of a Larger Diameter DMEK Graft Using Endothelium-in Method. Can. J. Ophthalmol. J. Can. Ophtalmol. 2017, 52, e155–e156. [Google Scholar] [CrossRef] [PubMed]
- Parekh, M.; Salvalaio, G.; Ferrari, S.; Amoureux, M.-C.; Albrecht, C.; Fortier, D.; Ponzin, D. A Quantitative Method to Evaluate the Donor Corneal Tissue Quality Used in a Comparative Study between Two Hypothermic Preservation Media. Cell Tissue Bank. 2014, 15, 543–554. [Google Scholar] [CrossRef]
- Parekh, M.; Peh, G.; Mehta, J.S.; Ahmad, S.; Ponzin, D.; Ferrari, S. Effects of Corneal Preservation Conditions on Human Corneal Endothelial Cell Culture. Exp. Eye Res. 2019, 179, 93–101. [Google Scholar] [CrossRef] [PubMed]
- Zagórski, Z. Experimental Studies on the Growth of Cultured Epithelium and Endothelium of Rabbit Cornea Exposed to Low Temperature. Pol. Med. Sci. Hist. Bull. 1976, 15, 253–259. [Google Scholar]
- Redbrake, C.; Salla, S.; Frantz, A.; Reim, M. [Energy metabolism of the human cornea in various culture systems]. Klin. Monatsbl. Augenheilkd. 1997, 210, 213–218. [Google Scholar] [CrossRef] [PubMed]
- Doughman, D.J.; Van Horn, D.; Rodman, W.P.; Byrnes, P.; Lindstrom, R.L. Human Corneal Endothelial Layer Repair during Organ Culture. Arch. Ophthalmol. 1976, 94, 1791–1796. [Google Scholar] [CrossRef] [PubMed]
- McCartney, M.D.; Wood, T.O.; McLaughlin, B.J. Freeze-Fracture Label of Functional and Dysfunctional Human Corneal Endothelium. Curr. Eye Res. 1987, 6, 589–597. [Google Scholar] [CrossRef] [PubMed]
- Jackson, C.J.; Pasovic, L.; Raeder, S.; Sehic, A.; Roald, B.; de la Paz, M.F.; Tønseth, K.A.; Utheim, T.P. Optisol-GS Storage of Cultured Human Limbal Epithelial Cells at Ambient Temperature Is Superior to Hypothermic Storage. Curr. Eye Res. 2020, 45, 1497–1503. [Google Scholar] [CrossRef] [PubMed]
- Raeder, S.; Utheim, T.P.; Utheim, O.A.; Nicolaissen, B.; Roald, B.; Cai, Y.; Haug, K.; Kvalheim, A.; Messelt, E.B.; Drolsum, L.; et al. Effects of Organ Culture and Optisol-GS Storage on Structural Integrity, Phenotypes, and Apoptosis in Cultured Corneal Epithelium. Investig. Ophthalmol. Vis. Sci. 2007, 48, 5484–5493. [Google Scholar] [CrossRef]
- Nejepinska, J.; Juklova, K.; Jirsova, K. Organ Culture, but Not Hypothermic Storage, Facilitates the Repair of the Corneal Endothelium Following Mechanical Damage. Acta Ophthalmol. 2010, 88, 413–419. [Google Scholar] [CrossRef] [PubMed]
- Wahlig, S.; Peh, G.S.L.; Adnan, K.; Ang, H.-P.; Lwin, C.N.; Morales-Wong, F.; Ong, H.S.; Lovatt, M.; Mehta, J.S. Optimisation of Storage and Transportation Conditions of Cultured Corneal Endothelial Cells for Cell Replacement Therapy. Sci. Rep. 2020, 10, 1681. [Google Scholar] [CrossRef] [PubMed]
- Vallabh, N.A.; Romano, V.; Willoughby, C.E. Mitochondrial Dysfunction and Oxidative Stress in Corneal Disease. Mitochondrion 2017, 36, 103–113. [Google Scholar] [CrossRef] [PubMed]
- Naguib, Y.W.; Saha, S.; Skeie, J.M.; Acri, T.; Ebeid, K.; Abdel-rahman, S.; Kesh, S.; Schmidt, G.A.; Nishimura, D.Y.; Banas, J.A.; et al. Solubilized Ubiquinol for Preserving Corneal Function. Biomaterials 2021, 275, 120842. [Google Scholar] [CrossRef] [PubMed]
- Vasiliauskaitė, I.; Quilendrino, R.; Baydoun, L.; van Dijk, K.; Melles, G.R.J.; Oellerich, S. Effect of Six-Month Postoperative Endothelial Cell Density on Graft Survival after Descemet Membrane Endothelial Keratoplasty. Ophthalmology 2021, 128, 1689–1698. [Google Scholar] [CrossRef]
- Marty, A.-S.; Burillon, C.; Desanlis, A.; Damour, O.; Kocaba, V.; Auxenfans, C. Validation of an Endothelial Roll Preparation for Descemet Membrane Endothelial Keratoplasty by a Cornea Bank Using “No Touch” Dissection Technique. Cell Tissue Bank. 2016, 17, 225–232. [Google Scholar] [CrossRef]
- Fogla, R.; Thazethaeveetil, I.R. A Novel Technique for Donor Insertion and Unfolding in Descemet Membrane Endothelial Keratoplasty. Cornea 2021, 40, 1073–1078. [Google Scholar] [CrossRef]
- Ho, J.; Jung, H.; Banitt, M. Quantitative and Qualitative Differences in Endothelial Cell Loss Between Endothelium-In Versus Endothelium-Out Loading in Descemet Membrane Endothelial Keratoplasty. Cornea 2020, 39, 358–361. [Google Scholar] [CrossRef]
- Brothers, K.M.; Shanks, R.M.Q.; Hurlbert, S.; Kowalski, R.P.; Tu, E.Y. Association Between Fungal Contamination and Eye Bank-Prepared Endothelial Keratoplasty Tissue: Temperature-Dependent Risk Factors and Antifungal Supplementation of Optisol-Gentamicin and Streptomycin. JAMA Ophthalmol. 2017, 135, 1184–1190. [Google Scholar] [CrossRef]



| Post Stripping (T0) | Post Preservation (T72) | ||||||
|---|---|---|---|---|---|---|---|
| N | Preservation | ECD (cells/mm2) | Mortality (%) | Uncovered Areas (%) | ECD (cells/mm2) | Mortality (%) | Uncovered Areas (%) |
| 1 | >8 °C | 2100 | 0 | 0 | 2000 | 0.37 | 0 |
| 2 | >8 °C | 2100 | 0 | 0 | 2000 | 0.60 | 0 |
| 3 | >8 °C | 2300 | 0.14 | 0.64 | 2100 | 8.89 | 0 |
| 4 | >8 °C | 2000 | 0.47 | 0 | 1900 | 7.48 | 0.60 |
| 5 | >8 °C | 2300 | 0.71 | 0.16 | 2200 | 4.31 | 1.11 |
| 6 | 2–8 °C | 1800 | 1.19 | 0 | 1800 | 7.10 | 3.74 |
| 7 | 2–8 °C | 2300 | 1.27 | 0 | 2300 | 6.50 | 0 |
| 8 | 2–8 °C | 2000 | 0.96 | 0 | 1900 | 2.38 | 0.76 |
| 9 | 2–8 °C | 2000 | 0.78 | 0 | 1900 | 3.09 | 0.97 |
| 10 | 2–8 °C | 2450 | 0.90 | 0.35 | 2320 | 5.87 | 1.66 |
| 11 | <2 °C | 2200 | 0.79 | 0 | 2100 | 10.67 | 0.50 |
| 12 | <2 °C | 2200 | 1.23 | 0 | 2100 | 5.37 | 0.24 |
| 13 | <2 °C | 2000 | 0.35 | 0 | 1900 | 15.74 | 0 |
| 14 | <2 °C | 2000 | 0.21 | 0.06 | 2000 | 4.31 | 0 |
| 15 | <2 °C | 1900 | 0.10 | 0.64 | 1900 | 4.87 | 0.83 |
| Groups | ||||
|---|---|---|---|---|
| A, n = 5 Mean (SD) | B, n = 5 Mean (SD) | C, n = 5 Mean (SD) | p * | |
| Post-stripping (T0) | ||||
| ECD (cells/mm2) | 2160 (134) | 2110 (261) | 2060 (134) | 0.7 |
| Mortality (%) | 0.26 (0.31) | 1.02 (0.21) | 0.54 (0.47) | 0.01 |
| Pairwise comparison #: | ||||
| Group A vs. Group B | 0.01 | |||
| Group A vs. Group C | 0.23 | |||
| Group B vs. Group C | 0.09 | |||
| Uncovered areas (%) | 0.16 (0.27) | 0.07 (0.16) | 0.14 (0.28) | 0.84 |
| Post-extraction (T72) | ||||
| ECD (cells/mm2) | 2040 (114) | 2044 (246) | 2000 (100) | 0.9 |
| Mortality (%) | 4.33 (3.88) | 4.99 (2.12) | 8.19 (4.93) | 0.27 |
| Uncovered areas (%) | 0.34 (0.50) | 1.43 (1.42) | 0.32 (0.36) | 0.12 |
| T0–T72 difference | ||||
| ECD Variation (%) | 5.51 (1.79) | 3.06 (2.80) | 2.82 (2.58) | 0.19 |
| Overall Mortality (%) | 4.07 (3.76) | 3.97 (1.97) | 7.66 (4.95) | 0.25 |
| Overall Uncovered areas (%) | 0.31 (0.44) | 1.36 (1.42) | 0.20 (0.20) | 0.1 |
| Total Endothelial Cell Loss (%) | 4.37 (3.86) | 5.32 (2.90) | 7.84 (4.94) | 0.39 |
Disclaimer/Publisher’s Note: The statements, opinions and data contained in all publications are solely those of the individual author(s) and contributor(s) and not of MDPI and/or the editor(s). MDPI and/or the editor(s) disclaim responsibility for any injury to people or property resulting from any ideas, methods, instructions or products referred to in the content. |
© 2023 by the authors. Licensee MDPI, Basel, Switzerland. This article is an open access article distributed under the terms and conditions of the Creative Commons Attribution (CC BY) license (https://creativecommons.org/licenses/by/4.0/).
Share and Cite
Ruzza, A.; Ferrari, S.; Airaldi, M.; Romano, V.; Ponzin, D. Effect of Low-Temperature Preservation in Optisol-GS on Preloaded, Endothelium-Out DMEK Grafts. J. Clin. Med. 2023, 12, 1026. https://doi.org/10.3390/jcm12031026
Ruzza A, Ferrari S, Airaldi M, Romano V, Ponzin D. Effect of Low-Temperature Preservation in Optisol-GS on Preloaded, Endothelium-Out DMEK Grafts. Journal of Clinical Medicine. 2023; 12(3):1026. https://doi.org/10.3390/jcm12031026
Chicago/Turabian StyleRuzza, Alessandro, Stefano Ferrari, Matteo Airaldi, Vito Romano, and Diego Ponzin. 2023. "Effect of Low-Temperature Preservation in Optisol-GS on Preloaded, Endothelium-Out DMEK Grafts" Journal of Clinical Medicine 12, no. 3: 1026. https://doi.org/10.3390/jcm12031026
APA StyleRuzza, A., Ferrari, S., Airaldi, M., Romano, V., & Ponzin, D. (2023). Effect of Low-Temperature Preservation in Optisol-GS on Preloaded, Endothelium-Out DMEK Grafts. Journal of Clinical Medicine, 12(3), 1026. https://doi.org/10.3390/jcm12031026

