Current Usefulness of Transesophageal Echocardiography in Patients Undergoing Transcatheter Aortic Valve Replacement
Abstract
:1. Introduction
2. Assessment Prior to the Intervention
3. Procedure Guide
- Confirm the proper position of the guide and the balloon through the aortic valve (Videos S5 and S8);
- Confirm cessation of valve movement during high-frequency pacing;
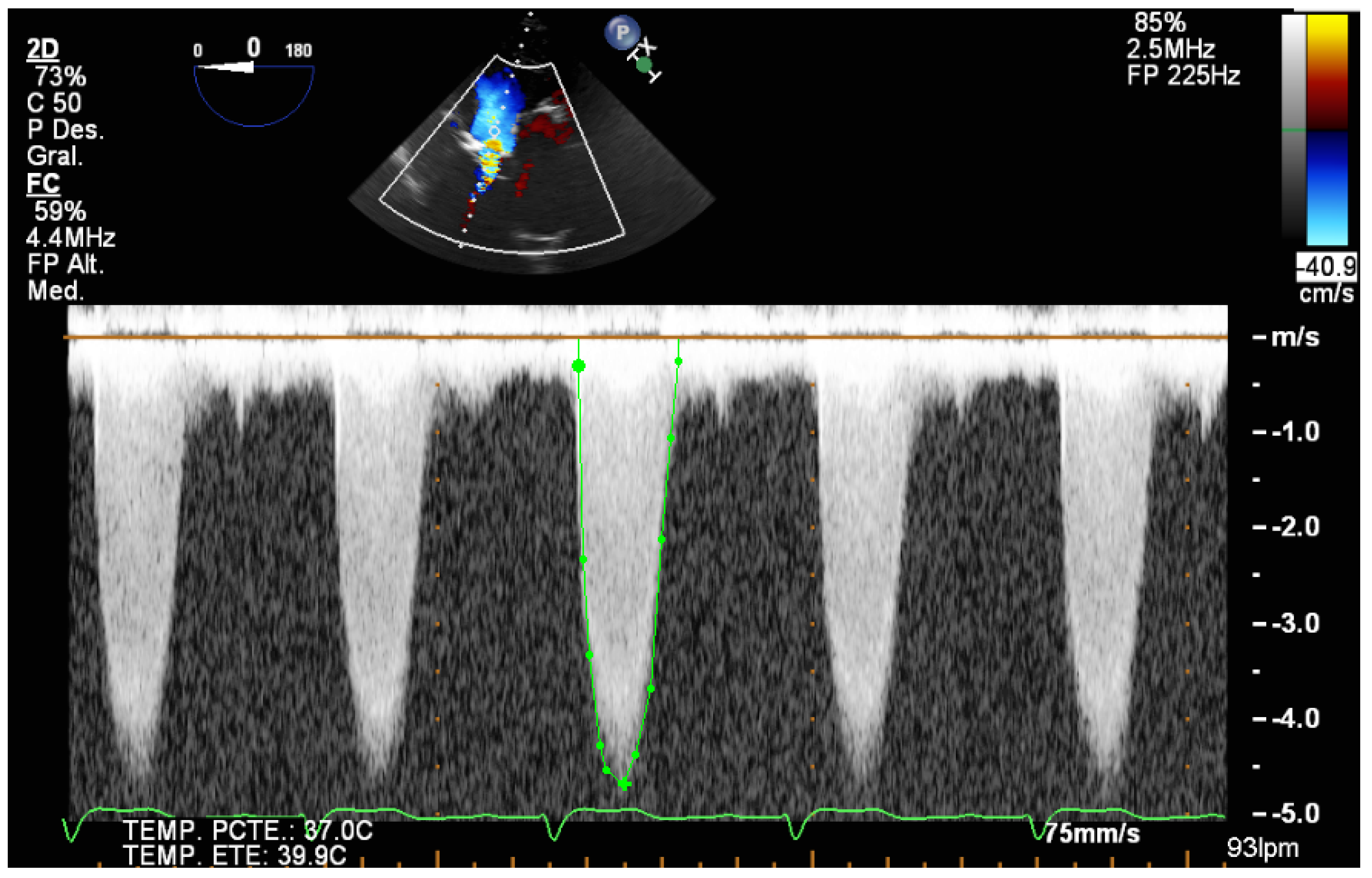
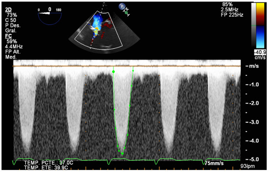
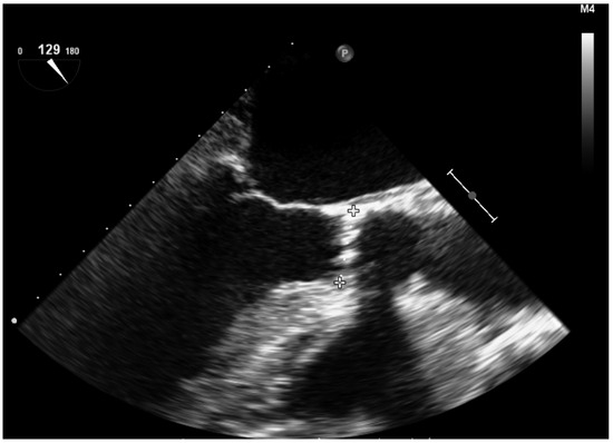
- Confirm the correct position of the prosthesis prior to inflation. However, it is not always easy to identify the ends of the prosthesis when it is still retracted on the balloon. The 3D mode will help in the correct identification of its ends (Video S10). If the prosthesis is too low, it can affect the mitral valve, and if it is too high, it can migrate distally or cause coronary obstruction. It should be taken into account that during inflation the prosthesis usually moves about 3 mm in the aortic direction.
4. Post-Procedure Evaluation
5. Follow-Up
6. Future Directions
7. Conclusions
Supplementary Materials
Author Contributions
Funding
Institutional Review Board Statement
Informed Consent Statement
Data Availability Statement
Conflicts of Interest
References
- Zamorano, J.L.; Badano, L.P.; Bruce, C.; Chan, K.L.; Gonçalves, A.; Hahn, R.T.; Keane, M.G.; La Canna, G.; Monaghan, M.J.; Nihoyannopoulos, P.; et al. EAE/ASE recommendations for the use of echocardiography in new transcatheter interventions for valvular heart disease. J. Am. Soc. Echocardiogr. 2011, 24, 937–965. [Google Scholar] [CrossRef] [PubMed]
- Holmes, D.R., Jr.; Mack, M.J.; Kaul, S.; Agnihotri, A.; Alexander, K.P.; Bailey, S.R.; Calhoon, J.H.; Carabello, B.A.; Desai, M.Y.; Edwards, F.H.; et al. 2012 ACCF/AATS/SCAI/STS expert consensus document on transcatheter aortic valve replacement. J. Am. Coll. Cardiol. 2012, 59, 1200–1254. [Google Scholar] [CrossRef] [PubMed]
- Altiok, E.; Koos, R.; Schröder, J.; Brehmer, K.; Hamada, S.; Becker, M.; Mahnken, A.H.; Almalla, M.; Dohmen, G.; Autschbach, R.; et al. Comparison of two-dimensional and three-dimensional imaging techniques for measurement of aortic annulus diameters before transcatheter aortic valve implantation. Heart 2011, 97, 1578–1584. [Google Scholar] [CrossRef] [PubMed]
- Jilaihawi, H.; Doctor, N.; Kashif, M.; Chakravarty, T.; Rafique, A.; Makar, M.; Furugen, A.; Nakamura, M.; Mirocha, J.; Gheorghiu, M.; et al. Aortic annular sizing for transcatheter aortic valve replacement using cross-sectional 3-dimensional transesophageal echocardiography. J. Am. Coll. Cardiol. 2013, 61, 908–916. [Google Scholar] [CrossRef] [PubMed]
- Kasel, A.M.; Cassese, S.; Bleiziffer, S.; Amaki, M.; Hahn, R.T.; Kastrati, A.; Sengupta, P.P. Standardized imaging for aortic annular sizing: Implications for transcatheter valve selection. JACC Cardiovasc. Imaging 2013, 6, 249–262. [Google Scholar] [CrossRef] [PubMed]
- Vahanian, A.; Alfieri, O.; Andreotti, F.; Antunes, M.J.; Barón-Esquivias, G.; Baumgartner, H.; Borger, M.A.; Carrel, T.P.; De Bonis, M.; Evangelista, A.; et al. Guidelines on the management of valvular heart disease (version 2012). Eur. Heart J. 2012, 33, 2451–2496. [Google Scholar]
- Lehmkuhl, L.; Foldyna, B.; Von Aspern, K.; Lücke, C.; Grothoff, M.; Nitzsche, S.; Kempfert, J.; Haensig, M.; Rastan, A.; Walther, T.; et al. Interindividual variance and cardiac cycle dependency of aortic root dimensions and shape as assessed by ECG-gated multi-slice computed tomography in patients with severe aortic stenosis prior to transcatheter aortic valve implantation: Is it crucial for correct sizing? Int. J. Cardiovasc. Imaging 2013, 29, 693–703. [Google Scholar]
- Schmidkonz, C.; Marwan, M.; Klinghammer, L.; Mitschke, M.; Schuhbaeck, A.; Arnold, M.; Lell, M.; Achenbach, S.; Pflederer, T. Interobserver variability of CT angiography for evaluation of aortic annulus dimensions prior to transcatheter aortic valve implantation (TAVR). Eur. J. Radiol. 2014, 83, 1672–1678. [Google Scholar] [CrossRef]
- Mylotte, D.; Martucci, G.; Piazza, N. Patient selection for transcatheter aortic valve implantation: An interventional cardiology perspective. Ann. Cardiothorac. Surg. 2012, 1, 206–215. [Google Scholar]
- Otto, C.M.; Kumbhani, D.J.; Alexander, K.P.; Calhoon, J.H.; Desai, M.Y.; Kaul, S.; Lee, J.C.; Ruiz, C.E.; Vassileva, C.M. 2017 ACC Expert Consensus Decision Pathway for Transcatheter Aortic Valve Replacement in the Management of Adults With Aortic Stenosis: A Report of the American College of Cardiology Task Force on Clinical Expert Consensus Documents. J. Am. Coll. Cardiol. 2017, 69, 1313–1346. [Google Scholar] [CrossRef]
- Marcos-Alberca, P.; Zamorano, J.L.; Sánchez, T.; Maroto, L.; Pérez de Isla, L.; Almería, C.; Macaya, C.; Rodríguez, E. Intraoperative monitoring with transesophageal real-time three-dimensional echocardiography during transapical prosthetic aortic valve implantation. Rev. Esp. Cardiol. 2010, 63, 352–356. [Google Scholar] [CrossRef] [PubMed]
- Smith, L.A.; Dworakowski, R.; Bhan, A.; Delithanasis, I.; Hancock, J.; Maccarthy, P.A.; Wendler, O.; Thomas, M.R.; Monaghan, M.J. Real-time three-dimensional transesophageal echocardiography adds value to transcatheter aortic valve implantation. J. Am. Soc. Echocardiogr. 2013, 26, 359–369. [Google Scholar] [CrossRef] [PubMed]
- Pagnesi, M.; Jabbour, R.J.; Latib, A.; Kawamoto, H.; Tanaka, A.; Regazzoli, D.; Mangieri, A.; Montalto, C.; Ancona, M.B.; Giannini, F.; et al. Usefulness of Predilation Before Transcatheter Aortic Valve Implantation. Am. J. Cardiol. 2016, 118, 107–112. [Google Scholar] [CrossRef] [PubMed]
- Hachinohe, D.; Latib, A.; Laricchia, A.; Demir, O.M.; Agricola, E.; Romano, V.; Del Sole, P.A.; Leone, P.P.; Ancona, M.B.; Mangieri, A.; et al. Anatomic and procedural associations of transcatheter heart valve displacement following Evolut R implantation. Catheter. Cardiovasc. Interv. 2019, 93, 522–529. [Google Scholar] [CrossRef] [PubMed]
- Ruparelia, N.; Latib, A.; Kawamoto, H.; Buzzatti, N.; Giannini, F.; Figini, F.; Mangieri, A.; Regazzoli, D.; Stella, S.; Sticchi, A.; et al. A Comparison Between First-Generation and Second-Generation Transcatheter Aortic Valve Implantation (TAVI) Devices: A Propensity-Matched Single-Center Experience. J. Invasive Cardiol. 2016, 28, 210–216. [Google Scholar] [PubMed]
- Zoghbi, W.A.; Asch, F.M.; Bruce, C.; Gillam, L.D.; Grayburn, P.A.; Hahn, R.T.; Inglessis, I.; Islam, A.M.; Lerakis, S.; Little, S.H.; et al. Guidelines for the Evaluation of Valvular Regurgitation After Percutaneous Valve Repair or Replacement: A Report from the American Society of Echocardiography Developed in Collaboration with the Society for Cardiovascular Angiography and Interventions, Japanese Society of Echocardiography, and Society for Cardiovascular Magnetic Resonance. J. Am. Soc. Echocardiogr. 2019, 32, 431–475. [Google Scholar]
- Pibarot, P.; Hahn, R.T.; Weissman, N.J.; Monaghan, M.J. Assessment of perivalvular regurgitation following TAVR: A proposal of unifying grading scheme. JACC Cardiovasc. Imaging 2015, 8, 340–360. [Google Scholar] [CrossRef] [PubMed]
- Bloomfield, G.S.; Gillam, L.D.; Hahn, R.T.; Kapadia, S.; Leipsic, J.; Lerakis, S.; Tuzcu, M.; Douglas, P.S. A practical guide to multimodality imaging of transcatheter aortic valve replacement. JACC Cardiovasc. Imaging 2012, 5, 441–455. [Google Scholar] [CrossRef]
- Franco, A.; Gerli, C.; Ruggeri, L.; Monaco, F. Anaesthetic management of transcatheter aortic valve implantation. Ann. Card. Anaesth. 2012, 15, 54–63. [Google Scholar]
- Kronzon, I.; Jelnin, V.; Ruiz, C.E.; Saric, M.; Williams, M.R.; Kasel, A.M.; Shivaraju, A.; Colombo, A.; Kastrati, A. Optimal imaging for guiding TAVR: Transesophageal or transthoracic echocardiography, or Just fluoroscopy? JACC Cardiovasc. Imaging 2015, 8, 361–370. [Google Scholar] [CrossRef]
- Córdoba-Soriano, J.G.; Puri, R.; Amat-Santos, I.; Ribeiro, H.B.; Abdul-Jawad Altisent, O.; del Trigo, M.; Paradis, J.M.; Dumont, E.; Urena, M.; Rodés-Cabau, J. Valve thrombosis following transcatheter aortic valve implantation: A systematic review. Rev. Esp. Cardiol. 2015, 68, 198–204. [Google Scholar] [CrossRef] [PubMed]
- Zangrillo, A.; Mazzone, P.; Votta, C.D.; Villari, N.; Della Bella, P.; Monaco, F. Prolonged transesophageal echocardiography during percutaneous closure of the left atrial appendage without general anesthesia: The utility of the Janus mask. Can. J. Anaesth. 2016, 63, 962–965. [Google Scholar] [CrossRef] [PubMed]







| 1 | Three-dimensional TEE allows us to accurately evaluate the aortic valve morphology and measure the valve annulus prior to TAVR implantation, helping us to choose the appropriate size of the prosthesis, especially useful in cases where the cardio-CT is not of adequate quality. |
| 2 | TEE monitoring during TAVR implantation allows us to properly position the valve in the aortic annulus, avoiding positioning errors and possible migrations of the prosthesis. |
| 3 | Three-dimensional TEE is the best technique to detect and quantify perivalvular regurgitation after TAVR implantation, a fundamental aspect in deciding whether immediate valve postdilation is needed or not. |
| 4 | TEE allows us to early detect complications during the procedure such as cardiac tamponade, hematoma or aortic dissection, migration of the prosthesis, or malfunction of any of the prosthetic leaflets. |
| 5 | Three-dimensional TEE allows us to accurately evaluate cardiac function after TAVR, with important aspects such as systolic function or mitral valve function, which can be affected by TAVR when the implant is low, or due to damage caused to the subvalvular apparatus by the catheters and guides. |
| 6 | The combination of the new microprobes and the new fusion techniques, which allow the fluoroscopy and the echocardiogram image to be seen simultaneously, will provide the opportunity to do the procedures much faster and more safely for the patient. |
Disclaimer/Publisher’s Note: The statements, opinions and data contained in all publications are solely those of the individual author(s) and contributor(s) and not of MDPI and/or the editor(s). MDPI and/or the editor(s) disclaim responsibility for any injury to people or property resulting from any ideas, methods, instructions or products referred to in the content. |
© 2023 by the authors. Licensee MDPI, Basel, Switzerland. This article is an open access article distributed under the terms and conditions of the Creative Commons Attribution (CC BY) license (https://creativecommons.org/licenses/by/4.0/).
Share and Cite
de Agustin, J.A.; Pozo Osinalde, E.; Olmos, C.; Mahia Casado, P.; Marcos-Alberca, P.; Luaces, M.; Gomez de Diego, J.J.; Nombela-Franco, L.; Jimenez-Quevedo, P.; Tirado-Conte, G.; et al. Current Usefulness of Transesophageal Echocardiography in Patients Undergoing Transcatheter Aortic Valve Replacement. J. Clin. Med. 2023, 12, 7748. https://doi.org/10.3390/jcm12247748
de Agustin JA, Pozo Osinalde E, Olmos C, Mahia Casado P, Marcos-Alberca P, Luaces M, Gomez de Diego JJ, Nombela-Franco L, Jimenez-Quevedo P, Tirado-Conte G, et al. Current Usefulness of Transesophageal Echocardiography in Patients Undergoing Transcatheter Aortic Valve Replacement. Journal of Clinical Medicine. 2023; 12(24):7748. https://doi.org/10.3390/jcm12247748
Chicago/Turabian Stylede Agustin, Jose Alberto, Eduardo Pozo Osinalde, Carmen Olmos, Patricia Mahia Casado, Pedro Marcos-Alberca, María Luaces, Jose Juan Gomez de Diego, Luis Nombela-Franco, Pilar Jimenez-Quevedo, Gabriela Tirado-Conte, and et al. 2023. "Current Usefulness of Transesophageal Echocardiography in Patients Undergoing Transcatheter Aortic Valve Replacement" Journal of Clinical Medicine 12, no. 24: 7748. https://doi.org/10.3390/jcm12247748
APA Stylede Agustin, J. A., Pozo Osinalde, E., Olmos, C., Mahia Casado, P., Marcos-Alberca, P., Luaces, M., Gomez de Diego, J. J., Nombela-Franco, L., Jimenez-Quevedo, P., Tirado-Conte, G., Collado Yurrita, L., Fernandez-Ortiz, A., & Perez-Villacastin, J. (2023). Current Usefulness of Transesophageal Echocardiography in Patients Undergoing Transcatheter Aortic Valve Replacement. Journal of Clinical Medicine, 12(24), 7748. https://doi.org/10.3390/jcm12247748

