Obstructed Hemivagina with Ipsilateral Renal Agenesis: A Challenging Case Report and a Management Flow Chart
Abstract
:1. Introduction
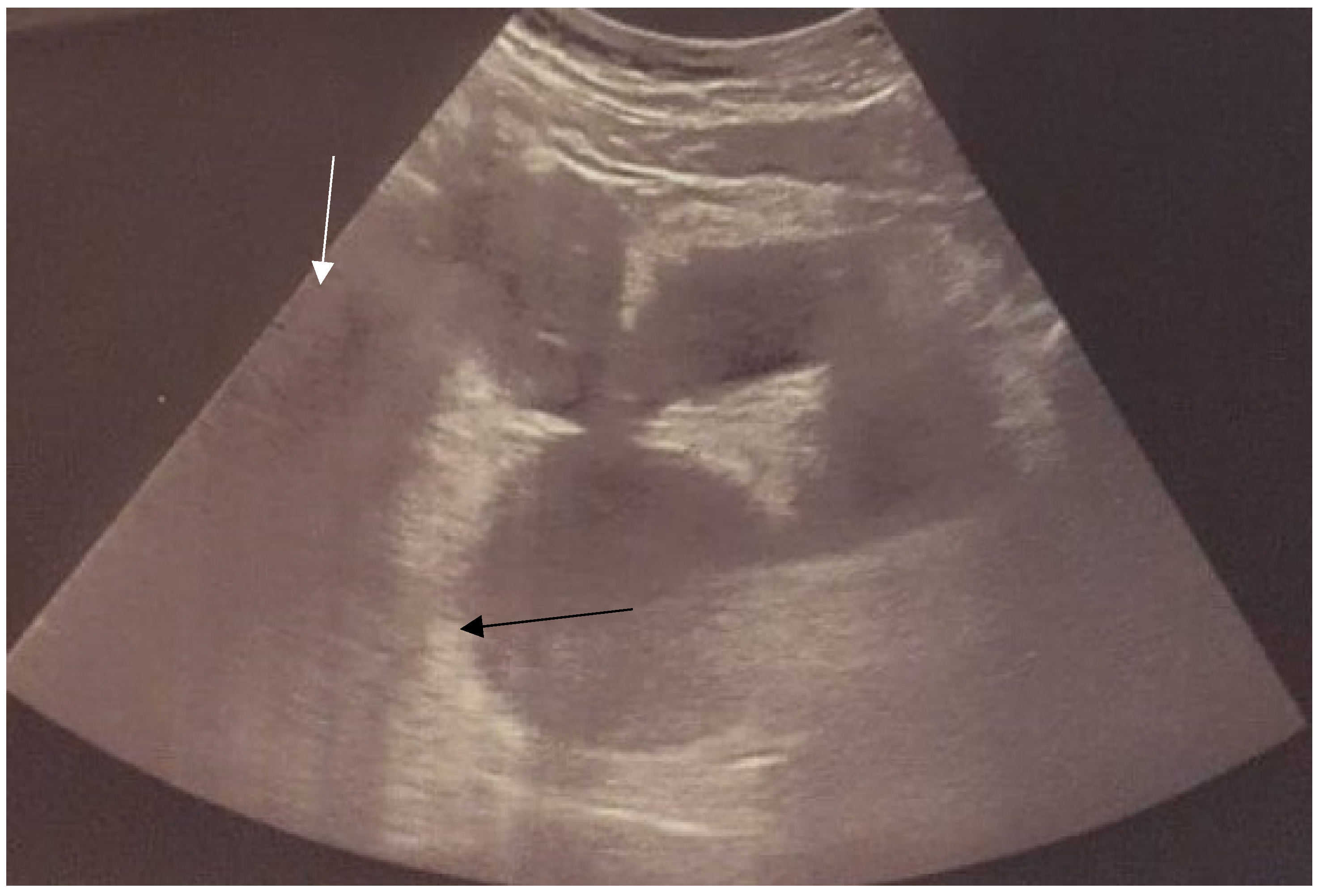
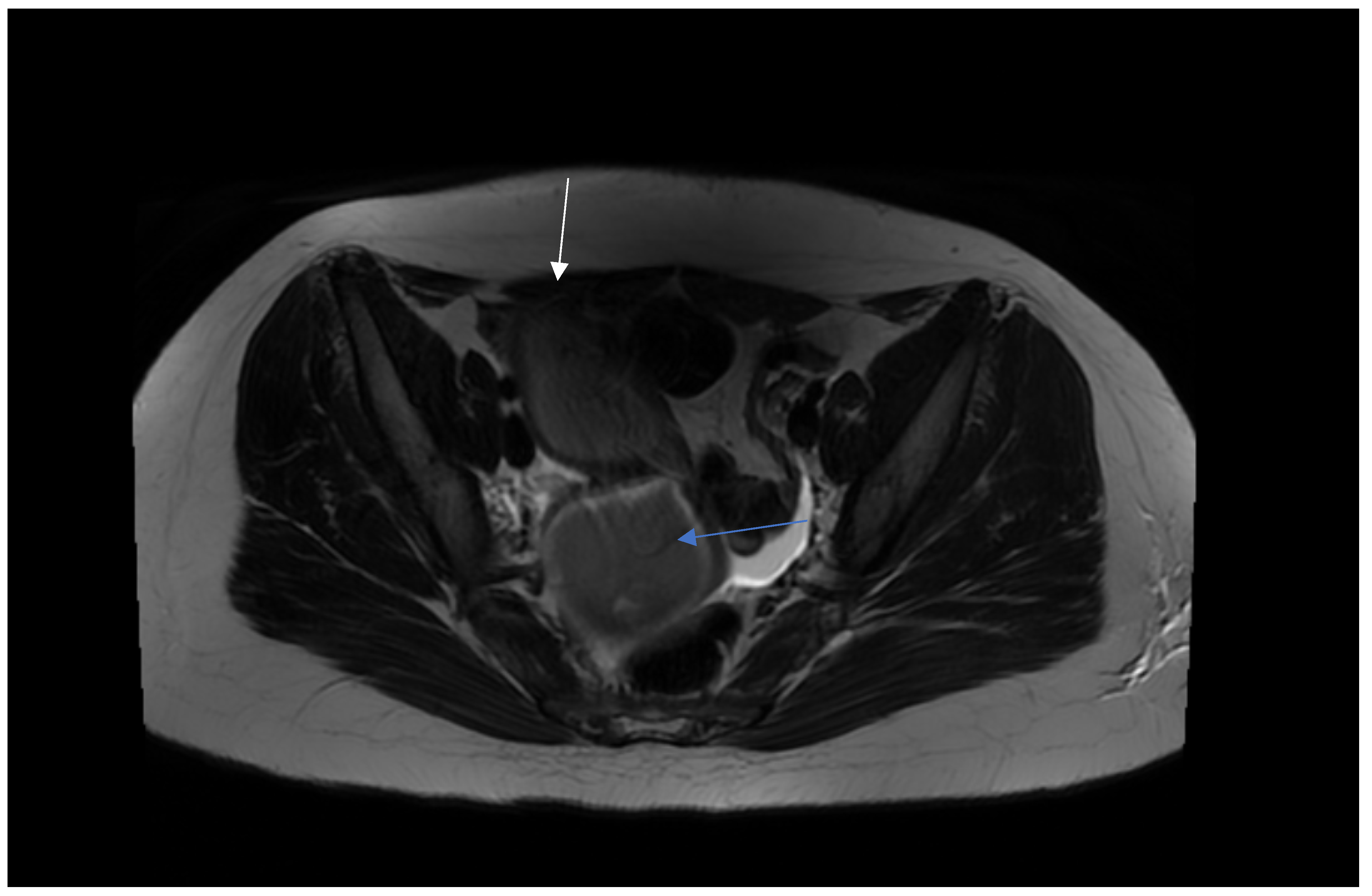
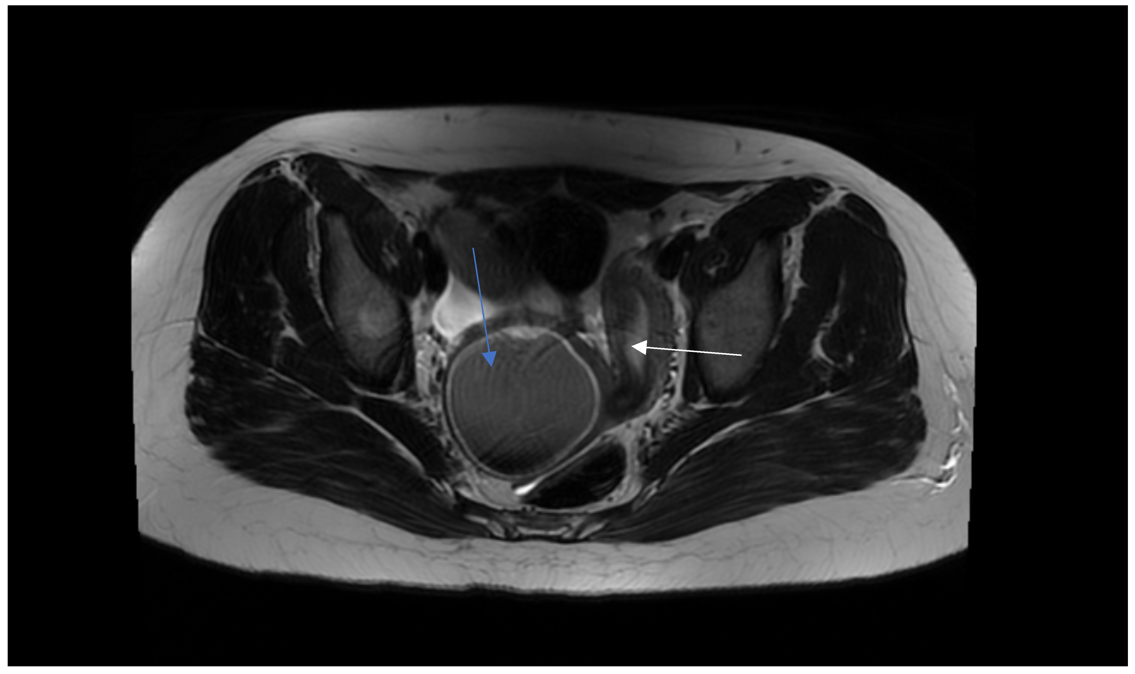
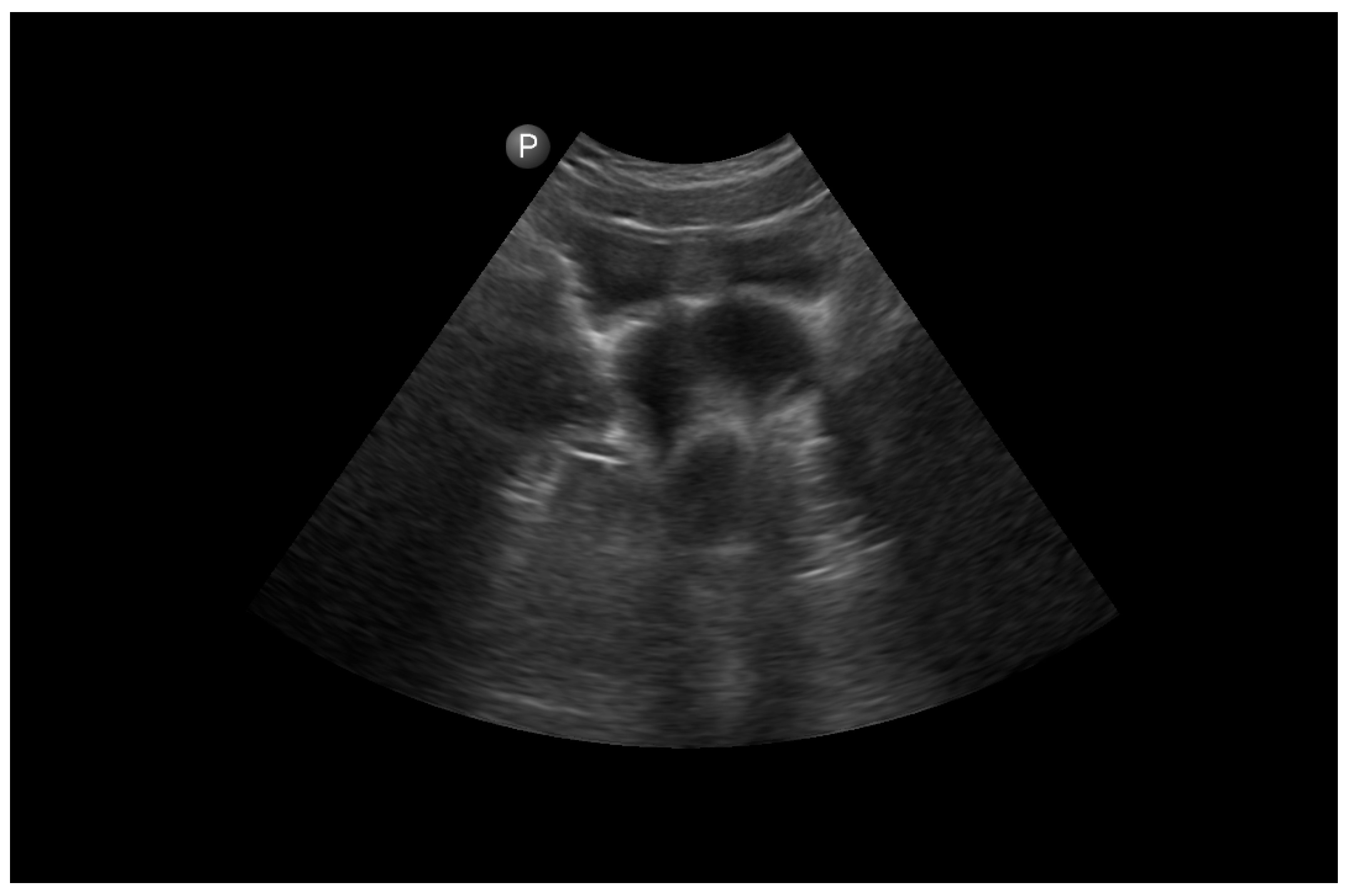
2. Case Report
2.1. Family History
2.2. Preoperative Management
2.3. Surgical Technique
2.4. Follow-Up
3. Discussion
4. Conclusions
Author Contributions
Funding
Institutional Review Board Statement
Informed Consent Statement
Data Availability Statement
Conflicts of Interest
References
- Kagan, M.; Pleniceanu, O.; Vivante, A. The genetic basis of congenital anomalies of the kidney and urinary tract. Pediatr. Nephrol. 2022, 37, 2231–2243. [Google Scholar] [CrossRef] [PubMed]
- Rodriguez, M.M. Congenital Anomalies of the Kidney and the Urinary Tract (CAKUT). Fetal Pediatr. Pathol. 2014, 33, 293–320. [Google Scholar] [CrossRef] [PubMed]
- Capone, V.P.; Morello, W.; Taroni, F.; Montini, G. Genetics of Congenital Anomalies of the Kidney and Urinary Tract: The Current State of Play. Int. J. Mol. Sci. 2017, 18, 796. [Google Scholar] [CrossRef] [PubMed]
- Salo, J.; Ikäheimo, R.; Tapiainen, T.; Uhari, M. Childhood urinary tract infections as a cause of chronic kidney disease. Pediatrics 2011, 128, 840–847. [Google Scholar] [CrossRef]
- Van Dam, M.J.C.M.; Zegers, B.S.H.J.; Schreuder, M.F. Case Report: Uterine Anomalies in Girls With a Congenital Solitary Functioning Kidney. Front. Pediatr. 2021, 9, 791499. [Google Scholar] [CrossRef]
- Gungor Ugurlucan, F.; Dural, O.; Yasa, C.; Kirpinar, G.; Akhan, S.E. Diagnosis, management, and outcome of obstructed hemivagina and ipsilateral renal agenesis (OHVIRA syndrome): Is there a correlation between MRI findings and outcome? Clin. Imaging 2020, 59, 172–178. [Google Scholar] [CrossRef]
- Sleiman, Z.; Wehbe, G.S.; Rassy, E.E.; Zreik, T.; Bitar, R.; Samaha, M.; Khazzaka, A. A novel surgical intervention for an uncommon entity: Laparoscopy-assisted resection of a vaginal septum in obstructed hemivagina and ipsilateral renal anomaly syndrome. J. Laparoendosc. Adv. Surg. Tech. A 2019, 29, 714–716. [Google Scholar] [CrossRef]
- Smith, N.A.; Laufer, M.R. Obstructed hemivagina and ipsilateral renal anomaly (OHVIRA) syndrome: Management and follow-up. Fertil. Steril. 2007, 87, 918–922. [Google Scholar] [CrossRef]
- Kim, S.J.; Shim, S.Y.; Cho, H.H.; Park, M.H.; Lee, K.A. Prenatal Diagnosis of Fetal Obstructed Hemivagina and Ipsilateral Renal Agenesis (OHVIRA) Syndrome. Medicina 2023, 59, 703. [Google Scholar] [CrossRef]
- Sijmons, A.; Broekhuizen, S.; van der Tuuk, K.; Verhagen, M.; Besouw, M. OHVIRA syndrome: Early recognition prevents genitourinary complications. Ultrasound 2023, 31, 61–64. [Google Scholar] [CrossRef]
- Zhang, H.; Ning, G.; Fu, C.; Bao, L.; Guo, Y. Herlyn-Werner-Wun-derlich syndrome: Diverse presentations and diagnosis on MRI. Clin. Radiol. 2020, 75, 480.e17–480.e25. [Google Scholar] [CrossRef] [PubMed]
- Gungor Ugurlucan, F.; Bastu, E.; Gulsen, G.; Kurek Eken, M.; Akhan, S.E. OHVIRA syndrome presenting with acute abdomen: A case report and review of the literature. Clin. Imaging 2014, 38, 357–359. [Google Scholar] [CrossRef] [PubMed]
- Cobec, I.M.; Rempen, A. OHVIRA-syndrome (Obstructed hemivagina with ipsilateral renal anomaly) as differential diagnosis of acute lower abdominal pain. Ann. Ital. Chir. 2023, 12, S2239253X23038720. [Google Scholar]
- Boyraz, G.; Karalok, A.; Turan, T.; Özgül, N. Herlyn-Werner-Wunderlich syndrome; laparoscopic treatment of obstructing longitudinal vaginal septum in patients with hematocolpos—A different technique for virgin patients. J. Turk. Ger. Gynecol. Assoc. 2020, 21, 303–304. [Google Scholar] [CrossRef] [PubMed]
- Zhang, J.; Zhang, M.; Zhang, Y.; Liu, H.; Yuan, P.; Peng, X.; Cao, Z.; Wang, L. Proposal of the 3O (Obstruction, Ureteric Orifice, and Outcome) subclassification system associated with obstructed hemivagina and ipsilateral renal anomaly (OHVIRA). J. Pediatr. Adolesc. Gynecol. 2020, 33, 307–313. [Google Scholar] [CrossRef]
- Mandava, A.; Prabhakar, R.R.; Smitha, S. OHVIRA syndrome (obstructed hemivagina and ipsilateral renal anomaly) with uterus didelphys, an unusual presentation. J. Pediatr. Adolesc. Gynecol. 2012, 25, e23–e25. [Google Scholar] [CrossRef]
- Arakaki, R.; Yoshida, K.; Imaizumi, J.; Kaji, T.; Kato, T.; Iwasa, T. Obstructed hemivagina and ipsilateral renal agenesis (OHVIRA) syndrome: A case report. Int. J. Surg. Case. Rep. 2023, 107, 108368. [Google Scholar] [CrossRef]
- Gündüz, R.; Ağaçayak, E.; Evsen, M.S. OHVIRA syndrome presenting with acute abdomen findings treated with minimally invasive method: Three case reports. Acta Chir. Belg. 2022, 122, 275–278. [Google Scholar] [CrossRef]
- Prada Arias, M.; Muguerza Vellibre, R.; Montero Sánchez, M.; Vázquez Castelo JLArias González, M.; Rodríguez Costa, A. Uterus didelphys with obstructed hemivagina and multicystic dysplastic kidney. Eur. J. Pediatr. Surg. 2005, 15, 441–445. [Google Scholar] [CrossRef]
- Gilsanz, V.; Cleveland, R.H.; Reid, B.S. Duplication of the müllerian ducts and genitourinary malformations. Part II: Analysis of malformations. Radiology 1982, 144, 797–801. [Google Scholar] [CrossRef]
- Zarfati, A.; Lucchetti, M.C. OHVIRA (Obstructed Hemivagina and Ipsilateral Renal Anomaly or Herlyn-Werner-Wunderlich syndrome): Is it time for age-specific management? J. Pediatr. Surg. 2022, 57, 696–701. [Google Scholar] [CrossRef] [PubMed]
- Karout, S.; Soubra, L.; Rahme, D.; Karout, L.; Khojah, H.M.J.; Itani, R. Prevalence, risk factors, and management practices of primary dysmenorrhea among young females. BMC Womens Health 2021, 21, 392. [Google Scholar] [CrossRef] [PubMed]
- Bascietto, F.; Liberati, M.; Marrone, L.; Khalil, A.; Pagani, G.; Gustapane, S.; Leombroni, M.; Buca, D.; Flacco, M.E.; Rizzo, G.; et al. Outcome of fetal ovarian cysts diagnosed on prenatal ultrasound examination: Systematic review and meta-analysis. Ultrasound Obstet. Gynecol. 2017, 50, 20–31. [Google Scholar] [CrossRef] [PubMed]
- Yu, J.-H.; Lee, S.-R.; Choi, H.; Kim, K.-S.; Kang, B.-M. A New Case of Herlyn–Werner–Wunderlich Syndrome: Uterine Didelphys with Unilateral Cervical Dysgenesis, Vaginal Agenesis, Cervical Distal Ureteral Remnant Fistula, Ureterocele, and Renal Agenesis in a Patient with Contralateral Multicystic Dysplastic Kidney. Diagnostics 2022, 12, 83. [Google Scholar]
- Benagiano, G.; Bianchi, P.; Guo, S.W. Endometriosis in adolescent and young women. Minerva Obstet. Gynecol. 2021, 73, 523–535. [Google Scholar] [CrossRef]
- Güdücü, N.; Sidar, G.; İşçi, H.; Yiğiter, A.B.; Dünder, İ. The utility of transrectal ultrasound in adolescents when transabdominal or transvaginal ultrasound is not feasible. J. Pediatr. Adolesc. Gynecol. 2013, 26, 265–268. [Google Scholar] [CrossRef]
- Kamal, E.M.; Lakhdar, A.; Baidada, A. Management of a transverse vaginal septum complicated with hematocolpos in an adolescent girl: Case report. Int. J. Surg. Case Rep. 2020, 77, 748–752. [Google Scholar] [CrossRef]
- Kupesić, S.; Kurjak, A.; Skenderovic, S.; Bjelos, D. Screening for uterine abnormalities by three-dimensional ultrasound improves perinatal outcome. J. Perinat. Med. 2002, 30, 9–17. [Google Scholar] [CrossRef]
- Cheng, C.; Subedi, J.; Zhang, A.; Johnson, G.; Zhao, X.; Xu, D.; Guan, X. Vaginoscopic Incision of Oblique Vaginal Septum in Adolescents with OHVIRA Syndrome. Sci. Rep. 2019, 9, 20042. [Google Scholar] [CrossRef]
- Blanton, E.N.; Rouse, D.J. Trial of labor in women with transverse vaginal septa. Obstet. Gynecol. 2003, 101, 1110–1112. [Google Scholar]
- Van Bijsterveldt, C.; Willemsen, W. Treatment of patients with a congenital transversal vaginal septum or a partial aplasia of the vagina. The vaginal pull-through versus the push-through technique. J. Pediatr. Adolesc. Gynecol. 2009, 22, 157–161. [Google Scholar] [CrossRef] [PubMed]
- Kudela, G.; Wiernik, A.; Drosdzol-Cop, A.; Machnikowska-Sokołowska, M.; Gawlik, A.; Hyla-Klekot, L.; Gruszczyńska, K.; Koszutski, T. Multiple variants of obstructed hemivagina and ipsilateral renal anomaly (OHVIRA) syndrome—One clinical center case series and the systematic review of 734 cases. J. Pediatr. Urol. 2021, 17, 653.e1–653.e9. [Google Scholar] [CrossRef]
- Kriplani, A.; Dalal, V.; Kachhawa, G.; Mahey, R.; Yadav, V.; Kriplani, I. Minimally Invasive Endoscopic Approach for Management of OHVIRA Syndrome. J. Obstet. Gynaecol. India 2019, 69, 350–355. [Google Scholar] [CrossRef] [PubMed]
- Bajaj, S.K.; Misra, R.; Thukral, B.B.; Gupta, R. OHVIRA: Uterus didelphys, blind hemivagina and ipsilateral renal agenesis: Advantage MRI. J. Hum. Reprod. Sci. 2012, 5, 67–70. [Google Scholar] [CrossRef] [PubMed]
- Saleem, S.N. MR imaging diagnosis of uterovaginal anomalies: Current state of the art. Radiographics 2003, 23, e13. [Google Scholar] [CrossRef]










| Diagnostic and Treatment Flow-Chart of OHVIRA Syndrome |
|---|
| Step 1. Preoperative management Patients age (mostly occurs in young females), accurate history: time of first period, gradually increased symptoms, the appearance of symptoms during menarche, symptoms increase with each subsequent period, recurrent UTI, urinary disorders [8,9]. Perform physical examination. Next to the transabdominal US, transperineal and transrectal US can be useful in emergency situations to accurately access the place of abnormality [10]. MRI imaging should be considered as the “gold standard in the diagnostic process” [11]. Planning of the surgery and step by step proceedings is important while operating on patients with urogenital abnormalities. An interdisciplinary collaboration of a urologist and gynecologist is often necessary to treat these patients correctly. |
| Step 2. Preoperative management Preoperative counselling with patients, often with psychological assist is essential to support families. The information about future family planning and chanced of spontaneous pregnancy should be given precisely before the surgery [12]. However, hormonal therapy with continuous oral contraceptives should be considered in pre-operative management to give a time for preoperative preparation [13]. |
| Step 3. Surgical management Surgery is necessary when acute abdominal symptoms are present. “Wait and see” approach is only possible when the clinical situation allows it. Perform laparoscopy and vaginoscopy in order to achieve the correct diagnosis and treat concomitant hematosalpinx and endometriosis [14]. Intraoperative US is helpful to evaluate the place of resection. Unnecessary lengthening the time to diagnosis, contributes to unindentent consequence. |
| Step 4. Postoperative management The insertion of uterine catheter filled with saline into a place of stenosis allow to avoid the risk of possible restenosis [15]. Continuous oral contraceptives are recommended to avoid possible consequences like the risk of restenosis. |
| Step 5. Postoperative management Pharmacological treatment with non-steroidal anti-inflammatory drugs (NSAIDS) should be avoided as they can cause the damage of renal structure [12]. |
| Step 6. Follow-up At 6–12 month after the surgery, urologist re-counselling should be made to decide if the patient requires other imaging tests like uro-scintigraphy to evaluate the function of heathy kidney [2]. |
Disclaimer/Publisher’s Note: The statements, opinions and data contained in all publications are solely those of the individual author(s) and contributor(s) and not of MDPI and/or the editor(s). MDPI and/or the editor(s) disclaim responsibility for any injury to people or property resulting from any ideas, methods, instructions or products referred to in the content. |
© 2023 by the authors. Licensee MDPI, Basel, Switzerland. This article is an open access article distributed under the terms and conditions of the Creative Commons Attribution (CC BY) license (https://creativecommons.org/licenses/by/4.0/).
Share and Cite
Malanowska-Jarema, E.; Starczewski, A.; Osnytska, Y.; Krzyścin, M.; Sowińska-Przepiera, E.; Balzarro, M.; Rubilotta, E. Obstructed Hemivagina with Ipsilateral Renal Agenesis: A Challenging Case Report and a Management Flow Chart. J. Clin. Med. 2023, 12, 7227. https://doi.org/10.3390/jcm12237227
Malanowska-Jarema E, Starczewski A, Osnytska Y, Krzyścin M, Sowińska-Przepiera E, Balzarro M, Rubilotta E. Obstructed Hemivagina with Ipsilateral Renal Agenesis: A Challenging Case Report and a Management Flow Chart. Journal of Clinical Medicine. 2023; 12(23):7227. https://doi.org/10.3390/jcm12237227
Chicago/Turabian StyleMalanowska-Jarema, Ewelina, Andrzej Starczewski, Yana Osnytska, Mariola Krzyścin, Elżbieta Sowińska-Przepiera, Matteo Balzarro, and Emanuele Rubilotta. 2023. "Obstructed Hemivagina with Ipsilateral Renal Agenesis: A Challenging Case Report and a Management Flow Chart" Journal of Clinical Medicine 12, no. 23: 7227. https://doi.org/10.3390/jcm12237227
APA StyleMalanowska-Jarema, E., Starczewski, A., Osnytska, Y., Krzyścin, M., Sowińska-Przepiera, E., Balzarro, M., & Rubilotta, E. (2023). Obstructed Hemivagina with Ipsilateral Renal Agenesis: A Challenging Case Report and a Management Flow Chart. Journal of Clinical Medicine, 12(23), 7227. https://doi.org/10.3390/jcm12237227

