Real-Time Neuropsychological Testing (RTNT) and Music Listening during Glioblastoma Excision in Awake Surgery: A Case Report
Abstract
Simple Summary
Abstract
1. Introduction
- (1)
- To show a complete view of the cognitive functions of the patients and to verify how the neuropsychological status evolves during resection;
- (2)
- To test the hypothesis that listening to music during AS decreases the patient’s anxiety and agitation.
2. Materials and Methods
2.1. Pre and Post-Operative Neuropsychological Evaluation
2.2. Operative Setting and Procedures
- (1)
- In the preoperative phase, intramuscular clonidine is administered in the evening before surgery and in the morning half an hour before, at a dosage of 2 µg/kg in order to obtain the right anxiolysis;
- (2)
- On the day of the surgery, in the first phase, blocks of the nerves of the scalp are performed with local anesthesia to avoid not only pain during the surgical cut but above all the distress during the placement and removal of the cranial blocker, which certainly involves strong bone tension [41];
- (3)
- The chosen strategic option for awake craniotomy has been MAC (monitored anesthesia care), which involves analgo-sedation via administering Dexmetomidine and Remifentanil in continuous intravenous infusion, allowing the patient to be sedated and in comfort, but contactable and spontaneously breathing [42].
2.3. RTNT
2.4. Music Listening
3. Case Report
3.1. Patient Information
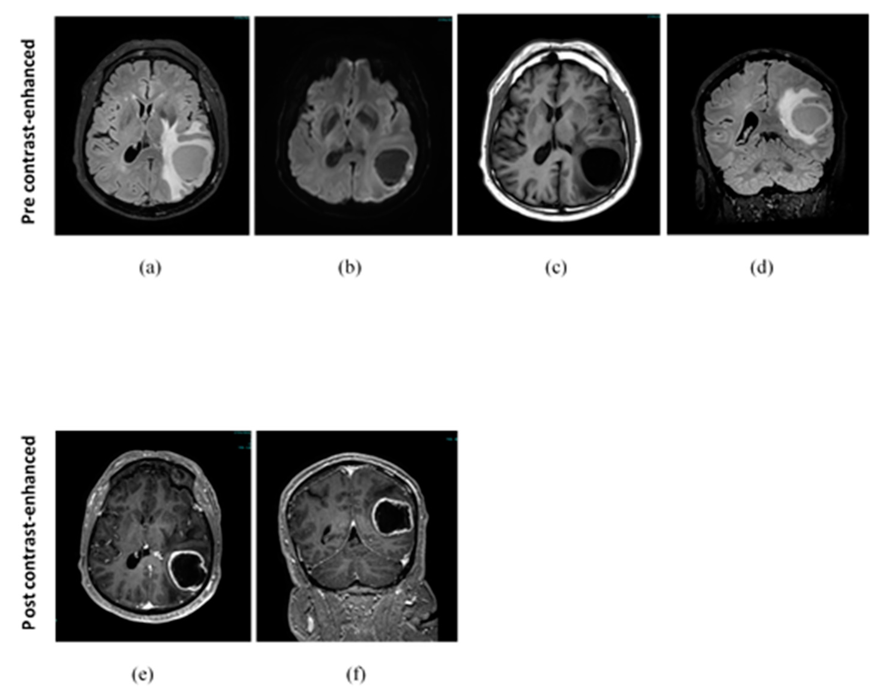
3.2. Clinical Findings
3.3. Timeline and Intra-Operative Evaluations
3.4. Follow-Up and Outcomes
4. Discussion
5. Conclusions
Author Contributions
Funding
Institutional Review Board Statement
Informed Consent Statement
Data Availability Statement
Conflicts of Interest
References
- WHO Classification of Tumours Editorial Board. World Health Organization Classification of Tumours of the Central Nervous System, 5th ed.; International Agency for Research on Cancer: Lyon, France, 2021. [Google Scholar]
- Ho, V.K.Y.; Reijneveld, J.C.; Enting, R.H.; Bienfait, H.P.; Robe, P.; Baumert, B.G.; Visser, O.; Dutch Society for Neuro-Oncology (LWNO). Changing Incidence and Improved Survival of Gliomas. Eur. J. Cancer 2014, 50, 2309–2318. [Google Scholar] [CrossRef] [PubMed]
- Fehr, C.M.; Auer, R.N. Simultaneous Presentation of Glioblastoma Multiforme in Divorced Spouses. Case Rep. Oncol. 2022, 15, 231–237. [Google Scholar] [CrossRef] [PubMed]
- Tamimi, A.F.; Juweid, M. Epidemiology and Outcome of Glioblastoma. In Glioblastoma; De Vleeschouwer, S., Ed.; Codon Publications: Brisbane, Australia, 2017. [Google Scholar]
- Lynes, J.P.; Nwankwo, A.K.; Sur, H.P.; Sanchez, V.E.; Sarpong, K.A.; Ariyo, O.I.; Dominah, G.A.; Nduom, E.K. Biomarkers for Immunotherapy for Treatment of Glioblastoma. J. Immunother. Cancer 2020, 8, e000348. [Google Scholar] [CrossRef] [PubMed]
- CBTRUS Statistical Report: Primary Brain and Other Central Nervous System Tumors Diagnosed in the United States in 2013–2017—PubMed. Available online: https://pubmed.ncbi.nlm.nih.gov/33123732/ (accessed on 3 May 2023).
- Sharma, S.; Hashmi, M.F.; Kumar, A. Intracranial Hypertension; StatPearls Publishing: Treasure Island, FL, USA, 2023. [Google Scholar]
- van Loenen, I.S.; Rijnen, S.J.M.; Bruijn, J.; Rutten, G.-J.M.; Gehring, K.; Sitskoorn, M.M. Group Changes in Cognitive Performance After Surgery Mask Changes in Individual Patients with Glioblastoma. World Neurosurg. 2018, 117, e172–e179. [Google Scholar] [CrossRef]
- Tanzilli, A.; Pace, A.; Fabi, A.; Telera, S.; Vidiri, A.; Carosi, M.; Terrenato, I.; Koudriavtseva, T.; Boccaletti, R.; Villani, V. Neurocognitive Evaluation in Older Adult Patients Affected by Glioma. J. Geriatr. Oncol. 2020, 11, 701–708. [Google Scholar] [CrossRef]
- Early Measures of Cognitive Function Predict Survival in Patients with Newly Diagnosed Glioblastoma—PubMed. Available online: https://pubmed.ncbi.nlm.nih.gov/22508762/ (accessed on 3 May 2023).
- Klein, M.; Postma, T.J.; Taphoorn, M.J.B.; Aaronson, N.K.; Vandertop, W.P.; Muller, M.; van der Ploeg, H.M.; Heimans, J.J. The Prognostic Value of Cognitive Functioning in the Survival of Patients with High-Grade Glioma. Neurology 2003, 61, 1796–1798. [Google Scholar] [CrossRef]
- Noll, K.R.; Sullaway, C.M.; Wefel, J.S. Depressive Symptoms and Executive Function in Relation to Survival in Patients with Glioblastoma. J. Neurooncol. 2019, 142, 183–191. [Google Scholar] [CrossRef]
- Bonifazi, S.; Passamonti, C.; Vecchioni, S.; Trignani, R.; Martorano, P.P.; Durazzi, V.; Lattanzi, S.; Mancini, F.; Ricciuti, R.A. Cognitive and Linguistic Outcomes after Awake Craniotomy in Patients with High-Grade Gliomas. Clin. Neurol. Neurosurg. 2020, 198, 106089. [Google Scholar] [CrossRef]
- Tomasino, B.; Guarracino, I.; Ius, T.; Maieron, M.; Skrap, M. Real-Time Neuropsychological Testing Protocol for Left Temporal Brain Tumor Surgery: A Technical Note and Case Report. Front. Hum. Neurosci. 2021, 15, 760569. [Google Scholar] [CrossRef]
- Ortega, A.; Gauna, F.; Munoz, D.; Oberreuter, G.; Breinbauer, H.A.; Carrasco, L. Music therapy for pain and anxiety management in nasal bone fracture reduction: Randomized controlled clinical trial. Otolaryngol. Head Neck Surg. 2019, 161, 613–619. [Google Scholar] [CrossRef]
- Simavli, S.; Gumus, I.; Kaygusuz, I.; Yildirim, M.; Usluogullari, B.; Kafali, H. Effect of music on labor pain relief, anxiety level and postpartum analgesic requirement: A randomized controlled clinical trial. Gynecol. Obstet. Investig. 2014, 78, 244–250. [Google Scholar] [CrossRef] [PubMed]
- Tsivian, M.; Qi, P.; Kimura, M.; Chen, V.H.; Chen, S.H.; Gan, T.J.; Polascik, T.J. The effect of noise-cancelling headphones or music on pain perception and anxiety in men undergoing transrectal prostate biopsy. Urology 2012, 79, 32–36. [Google Scholar] [CrossRef]
- Soo, M.S.; Jarosz, J.A.; Wren, A.A.; Soo, A.E.; Mowery, Y.M.; Johnson, K.S.; Yoon, S.C.; Kim, C.; Hwang, E.S.; Keefe, F.J.; et al. Imaging-guided core-needle breast biopsy: Impact of meditation and music interventions on patient anxiety, pain, and fatigue. J. Am. Coll. Radiol. 2016, 13, 526–534. [Google Scholar] [CrossRef]
- Karalar, M.; Keles, I.; Doğantekin, E.; Kahveci, O.K.; Sarici, H. Reduced pain and anxiety with music and noise-canceling headphones during shockwave lithotripsy. J. Endourol. 2016, 30, 674–677. [Google Scholar] [CrossRef]
- Ko, C.H.; Chen, Y.Y.; Wu, K.T.; Wang, S.C.; Yang, J.F.; Lin, Y.Y.; Lin, C.I.; Kuo, H.J.; Dai, C.Y.; Hsieh, M.H. Effect of music on level of anxiety in patients undergoing colonoscopy without sedaion. J. Chin. Med. Assoc. 2017, 80, 154–160. [Google Scholar] [CrossRef]
- Yamashita, K.; Kibe, T.; Ohno, S.; Kohjitani, A.; Sugimura, M. The effects of music listening during extraction of the impacted mandibular third molar on the autonomic nervous system and psychological state. J. Oral Maxillofac. Surg. 2019, 77, 1153.e1–1153.e8. [Google Scholar] [CrossRef]
- Kavakli, A.S.; Kavrut Ozturk, N.; Yavuzel Adas, H.; Kudsioglu, S.T.; Ayoglu, R.U.; Özmen, S.; Sagdic, K.; Yapici, N. The effects of music on anxiety and pain in patients during carotid endarterectomy under regional anesthesia: A randomized controlled trial. Complement. Ther. Med. 2019, 44, 94–101. [Google Scholar] [CrossRef]
- Jacquier, S.; Nay, M.A.; Muller, G.; Muller, L.; Mathonnet, A.; Lefèvre-Benzekri, D.; Bretagnol, A.; Barbier, F.; Kamel, T.; Runge, I.; et al. Effect of a Musical Intervention During the Implantation of a Central Venous Catheter or a Dialysis Catheter in the Intensive Care Unit: A Prospective Randomized Pilot Study. Anesth. Analg. 2022, 134, 781–790. [Google Scholar] [CrossRef]
- Hole, J.; Hirsch, M.; Ball, E.; Meads, C. Music as an aid for postoperative recovery in adults: A systematic review and meta-analysis. Lancet 2015, 386, 1659–1671. [Google Scholar] [CrossRef] [PubMed]
- Wu, P.Y.; Huang, M.L.; Lee, W.P.; Wang, C.; Shih, W.M. Effects of music listening on anxiety and physiological responses in patients undergoing awake craniotomy. Complement. Ther. Med. 2017, 32, 56–60. [Google Scholar] [CrossRef] [PubMed]
- Jadavji-Mithani, R.; Venkatraghavan, L.; Bernstein, M. Music is Beneficial for Awake Craniotomy Patients: A Qualitative Study. Can. J. Neurol. Sci. 2015, 42, 7–16. [Google Scholar] [CrossRef][Green Version]
- von Elm, E.; Altman, D.G.; Egger, M.; Pocock, S.J.; Gøtzsche, P.C.; Vandenbroucke, J.P. STROBE Initiative Strengthening the Reporting of Observational Studies in Epidemiology (STROBE) Statement: Guidelines for Reporting Observational Studies. BMJ 2007, 335, 806–808. [Google Scholar] [CrossRef]
- Folstein, M.; Folstein, S.; McHugh, P.R. Mini-mental state: A practical method for grading the cognitive state of patients for the clinician. J. Psychiatr. Res. 1975, 12, 189–198. [Google Scholar] [CrossRef] [PubMed]
- Rouleau, I.; Salmon, D.P.; Butters, N.; Kennedy, C.; McGuire, K. Quantitative and qualitative analyses of clock drawings in Alzheimer’s and Huntington’s disease. Brain Cogn. 1992, 18, 70–87. [Google Scholar] [CrossRef]
- Dubois, B.; Litvan, I. The FAB: A frontal assessment battery at bedside. Neurology 2000, 55, 1621–1626. [Google Scholar] [CrossRef]
- Babcock, H.; Levy, L. The Measurement of Efficiency of Mental Functioning (Revised Examination): Test and Manual of Directions; C.H. Stoelting: Chicago, IL, USA, 1940. [Google Scholar]
- Wechsler, D. Wechsler Intelligence Scale for Children—III; The Psychological Corporation: San Antonio, TX, USA, 1991. [Google Scholar]
- Spinnler, H.; Tognoni, G. Standardizzazione e taratura italiana di test neuropsicologici. Ital. J. Neurol. Sci. 1987, 8, 21–120. [Google Scholar]
- Lezak, M.; Howieson, D.; Bigler, E.; Tranel, D. Neuropsychological Assessment; Oxford University Press: New York, NY, USA, 2012. [Google Scholar]
- Kaplan, E.; Goodglass, H.; Weintraub, S. The Boston Naming Test; Lea & Febiger: Philadelphia, PA, USA, 1983. [Google Scholar]
- Reitan, R.M. Validity of the Trail Making test as an indicator of organic brain damage. Percept. Mot. Ski. 1958, 8, 271–276. [Google Scholar] [CrossRef]
- Tessari, A.; Toraldo, A.; Lunardelli, A.; Zadini, A.; Rumiati, R.I. STIMA: A short screening test for ideo-motor apraxia, selective for action meaning and bodily district. Neurol. Sci. 2015, 36, 977–984. [Google Scholar] [CrossRef]
- De Renzi, E.; Pieczuro, A.; Vignolo, L.A. Oral Apraxia and Aphasia. Cortex 1966, 2, 50–73. [Google Scholar] [CrossRef]
- Arrigoni, G.; De Renzi, E. Constructional apraxia and hemispheric locus of lesion. Cortex 1964, 1, 170–197. [Google Scholar] [CrossRef]
- Cummings, J.L.; Mega, M.; Gray, K.; Rosenberg-Thompson, S.; Carusi, D.A.; Gornbein, J. The Neuropsychiatric Inventory: Comprehensive assessment of psychopathology in dementia. Neurology 1994, 44, 2308–2314. [Google Scholar] [CrossRef]
- Potters, J.W.; Klimek, M. Local anesthetics for brain tumor resection: Current perspectives. Local Reg. Anesth. 2018, 11, 35–44. [Google Scholar] [CrossRef]
- Eseonu, C.I.; ReFaey, K.; Garcia, O.; John, A.; Quinones-Hinojosa, A.; Tripathi, P. Awake craniotomy anesthesia: A comparison between the monitored anesthesia care versus the asleep-awake-asleep technique. World Neurosurg. 2017, 104, 679–686. [Google Scholar] [CrossRef] [PubMed]
- Ojemann, G.A.; Ojemann, J.; Lettich, E.; Berger, M. Cortical language localization in left, dominant hemisphere. An electrical stimulation mapping investigation in 117 patients. J. Neurosurg. 1989, 71, 316–326. [Google Scholar] [CrossRef]
- Sanai, N.; Mirzadeh, Z.; Berger, M.S. Functional outcome after language mapping for glioma resection. N. Engl. J. Med. 2008, 358, 18–27. [Google Scholar] [CrossRef]
- Bello, L.; Acerbi, F.; Giussani, C.; Baratta, P.; Taccone, P.; Songa, V.; Fava, M.; Stocchetti, N.; Papagno, C.; Gaini, S.M. Intraoperative language localization in multilingual patients with gliomas. Neurosurgery 2006, 59, 115–125. [Google Scholar] [CrossRef]
- Reithmeier, T.; Krammer, M.; Gumprecht, H.H.; Gerstner, W.; Lumenta, C.B. Neuronavigation combined with electrophysiological monitoring for surgery of lesions in eloquent brain areas in 42cases: A retrospective comparison of the neurological outcome and the quality of resection with a control group withsimilar lesions. Min-Minim. Invasive Neurosurg. 2003, 46, 65–71. [Google Scholar] [CrossRef]
- Benzagmout, M.; Gatignol, P.; Duffau, H. Resection of World Health Organization grade II gliomas involving Broca’s area: Methodological and functional considerations. Neurosurgery 2007, 61, 741–752. [Google Scholar] [CrossRef] [PubMed]
- Picht, T.; Kombos, T.; Gramm, H.; Brock, M.; Suess, O. Multimodal protocol for awake craniotomy in language cortex tumour surgery. Acta Neurochir. 2006, 148, 127–137. [Google Scholar] [CrossRef]
- Skrap, M.; Marin, D.; Ius, T.; Fabbro, F.; Tomasino, B. Brain mapping: A novel intraoperative neuropsychological approach. J. Neurosurg. 2016, 125, 877–887. [Google Scholar] [CrossRef] [PubMed]
- Becker, J.; Jehna, M.; Steinmann, E.; Mehdorn, H.M.; Synowitz, M.; Hartwigsen, G. The sensory-motor profile awake-A new tool for pre-, intra-, and post operative assessment of sensory-motor function. Clin. Neurol. Neurosurg. 2016, 147, 39–45. [Google Scholar] [CrossRef]
- Duffau, H. Lessons from brain mapping in surgery for low-grade glioma: Insights into associations between tumour and brain plasticity. Lancet Neurol. 2005, 4, 476–486. [Google Scholar] [CrossRef] [PubMed]
- Abhinav, K.; Yeh, F.C.; Mansouri, A.; Zadeh, G.; Fernandez-Miranda, J.C. High-definition fiber tractography for the evaluation of perilesional white matter tracts in high-grade glioma surgery. Neuro-Oncology 2015, 17, 1199–1209. [Google Scholar] [CrossRef] [PubMed]
- Yogarajah, M.; Focke, N.K.; Bonelli, S.B.; Thompson, P.; Vollmar, C.; McEvoy, A.W.; Alexander, D.C.; Symms, M.R.; Koepp, M.J.; Duncan, J.S. The structural plasticity of white matter networks following anterior temporal lobe resection. Brain J. Neurol. 2010, 133, 2348–2364. [Google Scholar] [CrossRef]
- Behrens, M.; Thakur, N.; Lortz, I.; Seifert, V.; Kell, C.A.; Forster, M.T. Neurocognitive deficits in patients suffering from glioma in speech-relevant areas of the left hemisphere. Clin. Neurol. Neurosurg. 2021, 207, 106816. [Google Scholar] [CrossRef] [PubMed]
- van Kessel, E.; Huenges Wajer, I.M.C.; Ruis, C.; Seute, T.; Fonville, S.; De Vos, F.Y.F.L.; Verhoeff, J.J.C.; Robe, P.A.; van Zandvoort, M.J.E.; Snijders, T.J. Cognitive impairments are independently associated with shorter survival in diffuse glioma patients. J. Neurol. 2021, 268, 1434–1442. [Google Scholar] [CrossRef]
- Tan, D.J.A.; Polascik, B.A.; Kee, H.M.; Hui Lee, A.C.; Sultana, R.; Kwan, M.; Raghunathan, K.; Belden, C.M.; Sng, B.L. The Effect of Perioperative Music Listening on Patient Satisfaction, Anxiety, and Depression: A Quasiexperimental Study. Anesthesiol. Res. Pract. 2020, 2020, 3761398. [Google Scholar] [CrossRef]
- Pérez-Ros, P.; Cubero-Plazas, L.; Mejías-Serrano, T.; Cunha, C.; Martínez-Arnau, F.M. Preferred Music Listening Intervention in Nursing Home Residents with Cognitive Impairment: A Randomized Intervention Study. J. Alzheimer’s Dis. 2019, 70, 433–442. [Google Scholar] [CrossRef]
- Graff, V.; Cai, L.; Badiola, I.; Elkassabany, N.M. Music versus midazolam during preoperative nerve block placements: A prospective randomized controlled study. Reg. Anesth. Pain Med. 2019, 44, 796–799. [Google Scholar] [CrossRef]
- Plaza, M.; Gatignol, P.; Leroy, M.; Duffau, H. Speaking without Broca’s area after tumor resection. Neurocase 2009, 15, 294–310. [Google Scholar] [CrossRef]
- Duffau, H. Does post-lesional subcortical plasticity exist in the human brain? Neurosci. Res. 2009, 65, 131–135. [Google Scholar] [CrossRef] [PubMed]
- Prat-Acín, R.; Galeano-Senabre, I.; López-Ruiz, P.; García-Sánchez, D.; Ayuso-Sacido, A.; Espert-Tortajada, R. Intraoperative Brain Mapping during Awake Surgery in Symptomatic Supratentorial Cavernomas. Neurocirugía Engl. Ed. 2021, 32, 217–223. [Google Scholar] [CrossRef] [PubMed]



| Score | Remark | |
|---|---|---|
| Mini Mental State Examination (MMSE) | 19.53 | Mild cognitive impairment |
| Neuropsychiatric Inventory (NPI) | 17 | Depression, Anxiety, Insomnia |
| Clock Drawing Test (CDT) | 3 | Mild to moderate visuo-spatial disorganization |
| FrontalAssessmentBattery (FAB) | 10 | Impaired executive functions |
| Trail Making Test (TMT)-A | 47 | Mild impairment |
| Trail Making Test (TMT)-B | 283 | Severe impairment |
| Matrici Attentive (MA) | 44.25 | Mildimpairment |
| DigitSpan–Forward (DS-F) | 6.25 | No compromised |
| DigitSpan–Backward (DS-B) | 0.25 | Severe impairment |
| Babcock Story Recall Test (BSRT) | 3.3 | Severe impairment |
| Verbal Fluency for letter (VF-L) | 5 | Severe impairment |
| Verbal Fluency for category (VF-C) | 15 | Severe impairment |
| Boston Naming Test (BNT) | 41 | Mild to moderate impairment |
| Copying of Geometric Figures (CGF) | 9.75 | Moderate impairment |
| Screening Test for Ideo-Motor Apraxia (STIMA) | 8/10 | Mild impairment |
| OralApraxia (OA) | 8/10 | Mild impairment |
| Test | T0 | T1 | T2 |
|---|---|---|---|
| Time | 08:45 | 11:00 | 12:23 |
| Neuropsychiatric Inventory (NPI) | 10 | 10 | 7 |
| DigitSpan–Forward (DS-F) | 5.25 | 6.25 | 6.25 |
| DigitSpan–Backward (DS-B) | 0.25 | 1.25 | 3.25 |
| Verbal Fluency for letter (VF-L) | 5 | 10 | 14 |
| Verbal Fluency for category (VF-C) | 15 | 24 | 32 |
| Boston Naming Test (BNT) | 44 | 50 | 55 |
| Sensory-motorprofileawake (SMP-A) | 100 | 100 | 100 |
| Test | 3 Day Post-Surgery Score | 1 Month-Follow Up Score | 3 Month-Follow Up Score |
|---|---|---|---|
| Mini Mental State Examination (MMSE) | 25.53 | 28.53 | 28.53 |
| Neuropsychiatric Inventory (NPI) | 0 | 4 | 4 |
| Clock Drawing Test (CDT) | 2 | 1 | 1 |
| FrontalAssessmentBattery (FAB) | 11 | 15 | 16 |
| Trail Making Test (TMT)-A | 46 | 32 | 30 |
| Trail Making Test (TMT)-B | 107 | 31 | 105 |
| Matrici Attentive (MA) | 44.25 | 52.25 | 49.25 |
| DigitSpan–Forward (DS-F) | 5.25 | 6.25 | 5.25 |
| DigitSpan–Backward (DS-B) | 3.25 | 4.25 | 3.25 |
| Babcock Story Recall Test (BSRT) | 4.3 | 15.7 | 12.6 |
| Verbal Fluency for letter (VF-L) | 14 | 17 | 18 |
| Verbal Fluency for category (VF-C) | 40 | 42 | 39 |
| Boston Naming Test (BNT) | 56 | 59 | 53 |
| Copying of Geometric Figures (CGF) | 10.75 | 10.75 | 11.75 |
| Screening Test for Ideo-Motor Apraxia (STIMA) | 10/10 | 10/10 | 10/10 |
| OralApraxia (OA) | 10/10 | 10/10 | 10/10 |
Disclaimer/Publisher’s Note: The statements, opinions and data contained in all publications are solely those of the individual author(s) and contributor(s) and not of MDPI and/or the editor(s). MDPI and/or the editor(s) disclaim responsibility for any injury to people or property resulting from any ideas, methods, instructions or products referred to in the content. |
© 2023 by the authors. Licensee MDPI, Basel, Switzerland. This article is an open access article distributed under the terms and conditions of the Creative Commons Attribution (CC BY) license (https://creativecommons.org/licenses/by/4.0/).
Share and Cite
D’Onofrio, G.; Icolaro, N.; Fazzari, E.; Catapano, D.; Curcio, A.; Izzi, A.; Manuali, A.; Bisceglia, G.; Tancredi, A.; Marchello, V.; et al. Real-Time Neuropsychological Testing (RTNT) and Music Listening during Glioblastoma Excision in Awake Surgery: A Case Report. J. Clin. Med. 2023, 12, 6086. https://doi.org/10.3390/jcm12186086
D’Onofrio G, Icolaro N, Fazzari E, Catapano D, Curcio A, Izzi A, Manuali A, Bisceglia G, Tancredi A, Marchello V, et al. Real-Time Neuropsychological Testing (RTNT) and Music Listening during Glioblastoma Excision in Awake Surgery: A Case Report. Journal of Clinical Medicine. 2023; 12(18):6086. https://doi.org/10.3390/jcm12186086
Chicago/Turabian StyleD’Onofrio, Grazia, Nadia Icolaro, Elena Fazzari, Domenico Catapano, Antonello Curcio, Antonio Izzi, Aldo Manuali, Giuliano Bisceglia, Angelo Tancredi, Vincenzo Marchello, and et al. 2023. "Real-Time Neuropsychological Testing (RTNT) and Music Listening during Glioblastoma Excision in Awake Surgery: A Case Report" Journal of Clinical Medicine 12, no. 18: 6086. https://doi.org/10.3390/jcm12186086
APA StyleD’Onofrio, G., Icolaro, N., Fazzari, E., Catapano, D., Curcio, A., Izzi, A., Manuali, A., Bisceglia, G., Tancredi, A., Marchello, V., Recchia, A., Tonti, M. P., Pazienza, L., Carotenuto, V., Bonis, C. D., Savarese, L., Gaudio, A. D., & Gorgoglione, L. P. (2023). Real-Time Neuropsychological Testing (RTNT) and Music Listening during Glioblastoma Excision in Awake Surgery: A Case Report. Journal of Clinical Medicine, 12(18), 6086. https://doi.org/10.3390/jcm12186086

