Clinical Outcome of Resected Non-Ampullary Duodenal Adenocarcinoma: A Single Center Experience
Abstract
1. Introduction
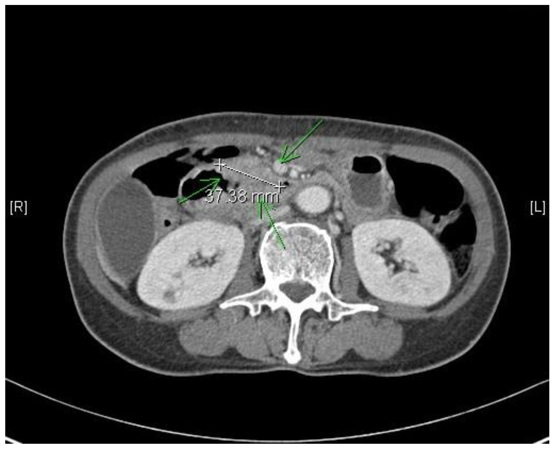
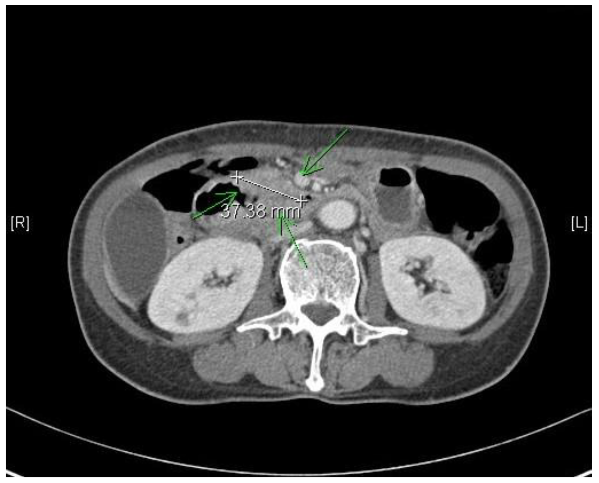
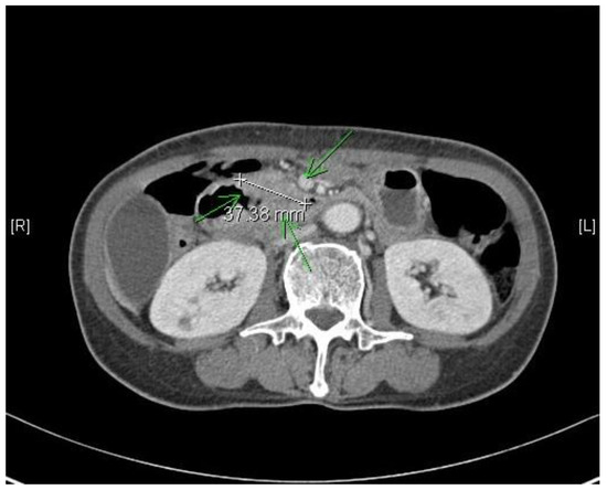
2. Materials and Methods
2.1. Study Design and Population
2.2. Statistical Analysis
3. Results
3.1. Demographic and Clinicopathologic Characteristics
3.2. Survival and Recurrence Pattern of NADA
3.3. Uni- and Multivariate Analysis Affecting Survival
3.4. Postoperative Outcomes
3.5. Relationship between Symptoms at Diagnosis and Tumor Stages
4. Discussion
4.1. Incidence and Current Treatment of NADA
4.2. CA19-9 as a Prognostic Factor
4.3. Correlation with Symptoms and Tumor Stages in NADA
4.4. Limitation
5. Conclusions
Author Contributions
Funding
Institutional Review Board Statement
Informed Consent Statement
Data Availability Statement
Conflicts of Interest
References
- Struck, A.; Howard, T.; Chiorean, E.G.; Clarke, J.M.; Riffenburgh, R.; Cardenes, H.R. Non-ampullary duodenal adenocarcinoma: Factors important for relapse and survival. J. Surg. Oncol. 2009, 100, 144–148. [Google Scholar] [CrossRef] [PubMed]
- Moati, E.; Overman, M.J.; Zaanan, A. Therapeutic Strategies for Patients with Advanced Small Bowel Adenocarcinoma: Current Knowledge and Perspectives. Cancers 2022, 14, 1137. [Google Scholar] [CrossRef] [PubMed]
- Sun, H.; Liu, Y.; Lv, L.; Li, J.; Liao, X.; Gong, W. Prognostic Factors and Clinical Characteristics of Duodenal Adenocarcinoma With Survival: A Retrospective Study. Front. Oncol. 2021, 11, 795891. [Google Scholar] [CrossRef] [PubMed]
- Yoshida, M.; Yabuuchi, Y.; Kakushima, N.; Kato, M.; Iguchi, M.; Yamamoto, Y.; Kanetaka, K.; Uraoka, T.; Fujishiro, M.; Sho, M. The incidence of non-ampullary duodenal cancer in Japan: The first analysis of a national cancer registry. J. Gastroenterol. Hepatol. 2021, 36, 1216–1221. [Google Scholar] [CrossRef] [PubMed]
- Sakae, H.; Kanzaki, H.; Nasu, J.; Akimoto, Y.; Matsueda, K.; Yoshioka, M.; Nakagawa, M.; Hori, S.; Inoue, M.; Inaba, T. The characteristics and outcomes of small bowel adenocarcinoma: A multicentre retrospective observational study. Br. J. Cancer 2017, 117, 1607–1613. [Google Scholar] [CrossRef] [PubMed]
- Hara, Y.; Goda, K.; Dobashi, A.; Ohya, T.R.; Kato, M.; Sumiyama, K.; Mitsuishi, T.; Hirooka, S.; Ikegami, M.; Tajiri, H. Short-and long-term outcomes of endoscopically treated superficial non-ampullary duodenal epithelial tumors. World J. Gastroenterol. 2019, 25, 707. [Google Scholar] [CrossRef] [PubMed]
- Yabuuchi, Y.; Yoshida, M.; Kakushima, N.; Kato, M.; Iguchi, M.; Yamamoto, Y.; Kanetaka, K.; Uraoka, T.; Fujishiro, M.; Sho, M. Risk factors for non-ampullary duodenal adenocarcinoma: A systematic review. Dig. Dis. 2022, 40, 147–155. [Google Scholar] [CrossRef] [PubMed]
- Clavien, P.A.; Barkun, J.; De Oliveira, M.L.; Vauthey, J.N.; Dindo, D.; Schulick, R.D.; De Santibañes, E.; Pekolj, J.; Slankamenac, K.; Bassi, C. The Clavien-Dindo classification of surgical complications: Five-year experience. Ann. Surg. 2009, 250, 187–196. [Google Scholar] [CrossRef] [PubMed]
- Ventrucci, M.; Pozzato, P.; Cipolla, A.; Uomo, G. Persistent elevation of serum CA 19-9 with no evidence of malignant disease. Dig. Liver Dis. 2009, 41, 357–363. [Google Scholar] [CrossRef] [PubMed]
- Hirashita, T.; Ohta, M.; Tada, K.; Saga, K.; Takayama, H.; Endo, Y.; Uchida, H.; Iwashita, Y.; Inomata, M. Prognostic factors of non-ampullary duodenal adenocarcinoma. Jpn. J. Clin. Oncol. 2018, 48, 743–747. [Google Scholar] [CrossRef] [PubMed]
- Bakaeen, F.G.; Murr, M.M.; Sarr, M.G.; Thompson, G.B.; Farnell, M.B.; Nagorney, D.M.; Farley, D.R.; Van Heerden, J.A.; Wiersema, L.M.; Schleck, C.D. What prognostic factors are important in duodenal adenocarcinoma? Arch. Surg. 2000, 135, 635–642. [Google Scholar] [CrossRef] [PubMed]
- Lee, H.G.; You, D.D.; Paik, K.Y.; Heo, J.S.; Choi, S.H.; Choi, D.W. Prognostic factors for primary duodenal adenocarcinoma. World J. Surg. 2008, 32, 2246–2252. [Google Scholar] [CrossRef] [PubMed]
- Solaini, L.; Jamieson, N.; Metcalfe, M.; Abu Hilal, M.; Soonawalla, Z.; Davidson, B.; McKay, C.; Kocher, H.; UK Duodenal Cancer Study Group. Outcome after surgical resection for duodenal adenocarcinoma in the UK. J. Br. Surg. 2015, 102, 676–681. [Google Scholar] [CrossRef] [PubMed]
- Talamonti, M.S.; Goetz, L.H.; Rao, S.; Joehl, R.J. Primary cancers of the small bowel: Analysis of prognostic factors and results of surgical management. Arch. Surg. 2002, 137, 564–571. [Google Scholar] [CrossRef] [PubMed]
- Cloyd, J.M.; George, E.; Visser, B.C. Duodenal adenocarcinoma: Advances in diagnosis and surgical management. World J. Gastrointest. Surg. 2016, 8, 212. [Google Scholar] [CrossRef] [PubMed]
- Kaklamanos, I.G.; Bathe, O.F.; Franceschi, D.; Camarda, C.; Levi, J.; Livingstone, A.S. Extent of resection in the management of duodenal adenocarcinoma. Am. J. Surg. 2000, 179, 37–41. [Google Scholar] [CrossRef] [PubMed]
- Raghav, K.; Overman, M.J. Small bowel adenocarcinomas—Evolving paradigms and therapy options. Nature reviews. Clin. Oncol. 2013, 10, 534. [Google Scholar] [CrossRef]
- Mann, D.; Edwards, R.; Ho, S.; Lau, W.; Glazer, G. Elevated tumour marker CA19-9: Clinical interpretation and influence of obstructive jaundice. Eur. J. Surg. Oncol. 2000, 26, 474–479. [Google Scholar] [CrossRef] [PubMed]
- Marrelli, D.; Caruso, S.; Pedrazzani, C.; Neri, A.; Fernandes, E.; Marini, M.; Pinto, E.; Roviello, F. CA19-9 serum levels in obstructive jaundice: Clinical value in benign and malignant conditions. Am. J. Surg. 2009, 198, 333–339. [Google Scholar] [CrossRef] [PubMed]



| Characteristics | N (%) or Mean (±SD) | |
|---|---|---|
| Age | 62.4 (±10.7) | |
| Sex | Male | 77 (70.6) |
| Female | 32 (29.4) | |
| Comorbidity | ||
| Cardiovascular | No | 77 (70.6) |
| Yes | 32 (29.4) | |
| Pulmonary | No | 103 (94.5) |
| Yes | 6 (5.5) | |
| Endocrine | No | 90 (82.6) |
| Yes | 19 (17.4) | |
| Symptom † | Asymptomatic | 52 (47.7) |
| Symptomatic | 57 (52.3) | |
| Preoperative Lab | ||
| CEA | Normal | 80 (73.4) |
| Elevated | 12 (11.0) | |
| NA | 17 (15.6) | |
| CA19-9 | Normal | 67 (61.5) |
| Elevated | 32 (29.4) | |
| NA | 10 (9.2) | |
| Location | 1st portion | 12 (11.0) |
| 1st–2nd portion | 9 (8.3) | |
| 2nd portion | 64 (58.7) | |
| 2nd–3rd portion | 9 (8.3) | |
| 3rd portion | 10 (9.2) | |
| 3rd–4th portion | 3 (2.8) | |
| 4th portion | 2 (1.8) | |
| Tumor size | 3.7 (±1.8) | |
| Operation name | PD/PPPD | 96 (88.1) |
| Duodenum Segmental resection | 5 (4.6) | |
| Subtotal gastrectomy | 7 (6.4) | |
| Total pancreatectomy | 1 (0.9) | |
| Combined organ resection | No | 93 (85.3) |
| Yes | 16 (14.7) | |
| Adjuvant therapy | No | 61 (56.0) |
| Yes | 48 (44.0) |
| Characteristics | N (%) or Mean (±SD) | |
|---|---|---|
| T stage | T1a | 3 (2.8) |
| T1b | 8 (7.3) | |
| T2 | 6 (5.5) | |
| T3 | 46 (42.2) | |
| T4 | 46 (42.2) | |
| N stage | N0 | 39 (35.8) |
| N1 | 37 (33.9) | |
| N2 | 33 (30.3) | |
| TNM staging | I | 14 (12.8) |
| IIA | 16 (14.7) | |
| IIB | 9 (8.3) | |
| IIIA | 37 (33.9) | |
| IIIB | 33 (30.3) | |
| Differentiation | Well | 18 (16.5) |
| Moderate | 66 (60.6) | |
| Poor | 25 (22.9) | |
| Margin status | R0 | 103 (94.5) |
| R1 | 6 (5.5) | |
| Lymphovascular invasion | No | 17 (15.6) |
| Yes | 30 (27.5) | |
| NA | 62 (56.9) | |
| Perineural invasion | No | 18 (16.5) |
| Yes | 22 (20.2) | |
| NA | 69 (63.3) |
| Univariate Analysis | Multivariate Analysis | |||||
|---|---|---|---|---|---|---|
| Factors | Median Survival (mo) | Hazard Ratio | p | Hazard Ratio | p | |
| Age | 1.029 (1.002–1.058) | 0.035 | 1.048 (1.016–1.082) | 0.003 | ||
| Sex | Male | 107.3 | Reference | |||
| Female | 48.8 | 1.115 (0.620–2.006) | 0.716 | |||
| Symptoms † | Asymptomatic | Not reached | Reference | Reference | ||
| Symptomatic | 33.7 | 2.577 (1.443–4.603) | 0.001 | 2.354 (1.236–4.486) | 0.009 | |
| CEA | Normal | 92.9 | Reference | |||
| Elevated | Not reached | 0.979 (0.385–2.489) | 0.965 | |||
| CA19-9 | Normal | Not reached | Reference | Reference | ||
| Elevated | 19.1 | 3.298 (1.850–5.879) | <0.001 | 2.821 (1.555–5.117) | 0.001 | |
| TNM Stage | I | Not reached | Reference | Reference | ||
| IIA | 92.9 | 3.984 (0.825–19.247) | 0.085 | 3.003 (0.568–15.879) | 0.196 | |
| IIB | 107.3 | 4.357 (0.797–23.823) | 0.090 | 5.140 (0.902–29.284) | 0.065 | |
| IIIA | 48.8 | 5.541 (1.283–23.934) | 0.022 | 1.433 (0.259–7.918) | 0.680 | |
| IIIB | 28.7 | 7.692 (1.798–32.905) | 0.006 | 2.409 (0.467–12.440) | 0.294 | |
| Tumor size | 1.033 (0.894–1.194) | 0.661 | ||||
| Combined resection | No | 107.3 | Reference | |||
| Yes | 31.3 | 1.623 (0.835–3.158) | 0.153 | |||
| Location | 1st–2nd portion | 82.9 | Reference | |||
| 3rd–4th portion | 92.9 | 0.842 (0.422–1.679) | 0.625 | |||
| Margin status | R0 | 107.3 | Reference | Reference | ||
| R1 | 7.0 | 3.966 (1.562–10.073) | 0.004 | 2.763 (1.049–7.279) | 0.040 | |
| Differentiation | Well | Not reached | Reference | Reference | ||
| Moderate | 59.2 | 2.510 (0.978–6.440) | 0.056 | 1.483 (0.404–5.436) | 0.553 | |
| Poor | 34.9 | 2.679 (0.964–7.447) | 0.059 | 2.825 (0.714–11.174) | 0.139 | |
| Adjuvant therapy | No | 85.0 | Reference | |||
| Yes | Not reached | 0.885 (0.508–1.541) | 0.666 | |||
| Univariate Analysis | Multivariate Analysis | |||||
|---|---|---|---|---|---|---|
| Factors | Median DFS (mo) | Hazard Ratio | p | Hazard Ratio | p | |
| Age | 1.005 (0.979–1.031) | 0.719 | ||||
| Sex | Male | 19.1 | Reference | |||
| Female | 20.9 | 0.906 (0.519–1.579) | 0.727 | |||
| Symptoms † | Asymptomatic | Not reached | Reference | Reference | ||
| Symptomatic | 8.7 | 5.684 (2.972–10.870) | <0.001 | 3.720 (1.807–7.657) | <0.001 | |
| CEA | Normal | 30.8 | Reference | |||
| Elevated | 6.2 | 1.152 (0.454–2.922) | 0.965 | |||
| CA19-9 | Normal | Not reached | Reference | Reference | ||
| Elevated | 6.7 | 3.089 (1.764–5.410) | <0.001 | 3.166 (1.761–5.692) | <0.001 | |
| TNM Stage | I | Not reached | Reference | |||
| IIA | 41.4 | 8.773 (1.096–70.200) | 0.041 | |||
| IIB | Not reached | 3.955 (0.358–43.648) | 0.262 | |||
| IIIA | 10.5 | 14.469 (1.950–107.357) | 0.009 | |||
| IIIB | 8.9 | 19.378 (2.601–144.347) | 0.004 | |||
| Tumor size | 1.077 (0.941–1.233) | 0.279 | ||||
| Combined resection | No | 20.9 | Reference | |||
| Yes | 18.0 | 1.174 (0.555–2.486) | 0.674 | |||
| Location | 1st–2nd portion | 18.0 | Reference | |||
| 3rd–4th portion | 41.4 | 0.724 (0.426–1.596) | 0.566 | |||
| Margin status | R0 | 21.6 | Reference | Reference | ||
| R1 | 4.2 | 4.003 (1.439–11.132) | 0.008 | 3.447 (1.174–10.124) | 0.024 | |
| Differentiation | Well | Not reached | Reference | Reference | ||
| Moderate | 10.7 | 4.952 (1.523–16.102) | 0.008 | 1.761 (0.482–6.442) | 0.392 | |
| Poor | 14.0 | 5.376 (1.555–18.591) | 0.008 | 2.264 (0.592–8.649) | 0.232 | |
| Adjuvant therapy | No | Not reached | Reference | |||
| Yes | 11.6 | 1.539 (0.900–2.632) | 0.115 | |||
| Factors | N (%) or Mean (±SD) |
|---|---|
| Hospital stay | 15.9 (±12.4) |
| Complication † | |
| Major complication ‡ | 12 (11.0) |
| Surgical site infection | 2 (1.8) |
| Intraabdominal abscess | 2 (1.8) |
| Pneumonia | 2 (1.8) |
| Acute kidney injury | 1 (0.9) |
| Biliary fistula | 1 (0.9) |
| Chylous ascites | 9 (8.3) |
| POPF | 47 (43.1) |
| Delayed gastric emptying | 17 (15.6) |
| Postoperative hemorrhage | 6 (5.5) |
| Factors | Asymptomatic (%) | Symptomatic (%) | p |
|---|---|---|---|
| T stage | <0.001 | ||
| T1a | 3 (5.8) | 0 (0.0) | |
| T1b | 8 (15.4) | 0 (0.0) | |
| T2 | 6 (11.5) | 0 (0.0) | |
| T3 | 19 (36.5) | 27 (47.4) | |
| T4 | 16 (30.8) | 30 (52.6) | |
| N stage | <0.001 | ||
| N0 | 34 (65.4) | 5 (8.8) | |
| N1 | 8 (15.4) | 29 (50.9) | |
| N2 | 10 (19.2) | 23 (40.4) | |
| TNM stage | <0.001 | ||
| I | 14 (26.9) | 0 (0.0) | |
| IIA | 11 (21.2) | 5 (8.8) | |
| IIB | 9 (17.3) | 0 (0.0) | |
| IIIA | 8 (15.4) | 29 (50.9) | |
| IIIB | 10 (19.2) | 23 (40.4) |
Disclaimer/Publisher’s Note: The statements, opinions and data contained in all publications are solely those of the individual author(s) and contributor(s) and not of MDPI and/or the editor(s). MDPI and/or the editor(s) disclaim responsibility for any injury to people or property resulting from any ideas, methods, instructions or products referred to in the content. |
© 2022 by the authors. Licensee MDPI, Basel, Switzerland. This article is an open access article distributed under the terms and conditions of the Creative Commons Attribution (CC BY) license (https://creativecommons.org/licenses/by/4.0/).
Share and Cite
Lim, S.Y.; Chung, D.I.; Jeong, H.J.; Jeon, H.J.; Yoon, S.J.; Kim, H.; Han, I.W.; Heo, J.S.; Shin, S.H. Clinical Outcome of Resected Non-Ampullary Duodenal Adenocarcinoma: A Single Center Experience. J. Clin. Med. 2023, 12, 210. https://doi.org/10.3390/jcm12010210
Lim SY, Chung DI, Jeong HJ, Jeon HJ, Yoon SJ, Kim H, Han IW, Heo JS, Shin SH. Clinical Outcome of Resected Non-Ampullary Duodenal Adenocarcinoma: A Single Center Experience. Journal of Clinical Medicine. 2023; 12(1):210. https://doi.org/10.3390/jcm12010210
Chicago/Turabian StyleLim, Soo Yeun, Dong Il Chung, Hye Jeong Jeong, Hyun Jeong Jeon, So Jeong Yoon, Hongbeom Kim, In Woong Han, Jin Seok Heo, and Sang Hyun Shin. 2023. "Clinical Outcome of Resected Non-Ampullary Duodenal Adenocarcinoma: A Single Center Experience" Journal of Clinical Medicine 12, no. 1: 210. https://doi.org/10.3390/jcm12010210
APA StyleLim, S. Y., Chung, D. I., Jeong, H. J., Jeon, H. J., Yoon, S. J., Kim, H., Han, I. W., Heo, J. S., & Shin, S. H. (2023). Clinical Outcome of Resected Non-Ampullary Duodenal Adenocarcinoma: A Single Center Experience. Journal of Clinical Medicine, 12(1), 210. https://doi.org/10.3390/jcm12010210

