Ruxolitinib as Adjunctive Therapy for Hemophagocytic LymPhohistiocytosis after Liver Transplantation: A Case Report and Literature Review
Abstract
1. Introduction
| No | Author | Age (Years) | Dx | Donor Type | Time Post LT | IS regimen | Triggers | Treatment | Outcome |
|---|---|---|---|---|---|---|---|---|---|
| 1 | Chisuwa [16] | 0.75 | Biliary atresia | LRLT | 15 d | Steroid, FK506 | Unx | Steroid, IVIg, G-CSF, stopped IS | Died |
| 2 | Chisuwa [16] | 1 | Biliary atresia | LRLT | 134 d | Steroid, FK506 | Unx | G-CSF, stopped IS | Died |
| 3 | Karasu [17] | 38 | HBV/HDV | LRLT | 131 d | Steroid, FK506 | Unx | IVIg, G-CSF, PE, stopped IS | Alive |
| 4 | Lladó [18] | 63 | AIH | DDLT | 75 d | CsA, basiliximab | Unx | Steroid, IVIg | Died |
| 5 | George [19] | 10 | Unx | Unx | 6 y | FK506 | EBV | Steroid, Stopped IS, etoposide | Alive |
| 6 | Tania [20] | 37 | Unx | LDLT | 11 d | FK506 | Unx | Steroid, IvIg, PE, CHDF | Died |
| 7 | Hardikar [21] | 2.2 | Unx | DDLT | 15 d | Steroid, FK506, Aza | CMV | Stop IS, G-CSF, IVIg | Alive |
| 8 | Akamatsu [22] | 59 | HCV | LDLT | 138 d | FK506 | Aspergillus | Supportive | Died |
| 9 | Akamatsu [22] | 49 | PBC | LDLT | 315 d | Steroid, FK506 | CMV | Steroid, IVIg, PE, FK506 to CsA, Sx | Died |
| 10 | Akamatsu [22] | 48 | HCV | LDLT | 50 d | Steroid, FK506, OKT3 | HCV | G-CSF | Died |
| 11 | Yoshizumi [23] | 63 | HBV | LDLT | 13 d | SFSS | Steroid, change IS, IVIg, G-CSF | Alive | |
| 12 | Dharancy [24] L/K | 49 | Polycystic liver kidney disease | Combined Liver-kidney (CLK) | 19 d | Steroid, CsA, MMF, basiliximab | HHV6 | Supportive | Died |
| 13 | Zhang [25] | 6 | Unx | LRLT | 8 d | Steroid, FK506 | EBV | Steroid, IVIg, G-CSF, stopped IS, etoposide | Alive |
| 14 | Satapathy [26] | 25 | AIH | DDLT | 6 m | Steroid, FK506, MMF | Still’s disease | Steroid, anakinra | Alive |
| 15 | Somyama [27] | 57 | HCV/HCC | LDLT | 32 d | Steroid, FK506 | CMV/HCC | Steroid, IVIg, G-CSF | Died |
| 16 | Somyama [27] | 63 | HBV/HCC | LRLT | 81 d | Steroid, FK506 | Unx | Steroid, IVIg, G-CSF | Died |
| 17 | Rodríguez-Medina [28] | 63 | HCV | Unx | 4 y | Steroid, CsA, Aza | TB | G-CSF | Died |
| 18 | Jha [29] 2015 | 2 | Extrahepatic biliary atresia | LRLT | 9 m | EBV | Reduced IS; rituximab | Alive | |
| 19 | Vijgen [30] | 66 | Alcohol-related liver disease, HCC | DDLT | 1 y | FK506, MMF | HHV8 | Steroid, stopped IS, rituximab | Died |
| 20 | Iseda [31] | 63 | HBV | LDLT | 12 d | Steroid, FK506, MMF | SFSS | Steroid, IVIg, G-CSF, stopped MMF, reduced FK506 | Died |
| 21 | Cohen [32] | 31 | Drug-induced liver disease | DDLT | 4 y | FK506 | HHV8 | Steroid, IVIg, rituximab, reduced FK506 | Died |
| 22 | Jarchin [33] | 18 | Neonatal hepatitis | LRLT | 17 y | FK506 | Unx | Steroid, etoposide, stopped FK506 | Died |
| 23 | Valenzuela [34] | 48 | AIH, PBC | DDLT | 13 d | Steroid, FK506 | EBV | Steroid, etoposide, IS switched to CsA | Died |
| 24 | Yamada [35] | 2 | Biliary atresia | Liver inteatinal transplantation | 254 d | Steroid, FK506, everolimus | EBV | Steroid, etoposide, reduced IS, THP-COP | Died |
| 25 | Chesner [36] | 58 | AIH | Unx | 16 y | Steroid, FK506, Aza | EBV | supportive | Died |
| 26 | Arikan [37] | 1 | Caroli disease | Unx | 6 m | Steroid, FK506, sirolimus, MMF | CMV | Steroid, IVIg, rituximab | Died |
| 27 | Arikan [37] | 2 | Biliary atresia | 8 m | Steroid, FK506, sirolimus | EBV | Steroid, IVIg, VP16, rituximab | Alive | |
| 28 | Arikan [37] | 1.5 | Unx cholestasis | 7 m | Steroid, FK506 | HHV8 | Steroid, IVIg, VP16 | Alive | |
| 29 | Arikan [37] | 9 | PFIC | 4 m | Steroid, FK506, sirolimus | Acinetobacter | IVIg | Died | |
| 30 | Arikan [37] | 0.5 | Biliary atresia | 10 m | FK506 | EBV | IVIg, VP16, rituximab | Alive | |
| 31 | Arikan [37] | 0.5 | Unx cholestasis | 7 m | Steroid, FK506 | Klebsiella | Steroid, IVIg, VP16 | Alive | |
| 32 | Arikan [37] | 0.67 | Biliary atresia | 9 m | Steroid, FK506 | EBV | Steroid, IVIg, VP16, rituximab | Alive | |
| 33 | Arikan [37] | 0.67 | Unx | 5 m | Steroid, FK506, MMF | CMV, EBV | Steroid, IVIg, rituximab | Died | |
| 34 | Arikan [37] | 0.75 | Unx cholestasis | 6 m | Steroid, FK506 | EBV | Steroid, IVIg, rituximab | Alive | |
| 35 | Arikan [37] | 2.1 | PFIC | 10 m | FK506 | EBV | IVIg, VP16, rituximab | Alive | |
| 36 | Arikan [37] | 0.4 | Unx cholestasis | 8 m | FK506 | EBV | Steroid, IVIg, rituximab | Alive | |
| 37 | Arikan [37] | 1 | Bile salt synthesis defect | 10 m | FK506, sirolimus | EBV | IVIg, rituximab | Alive | |
| 38 | Gandotra [38] | 47 | HBV/HCV/HCC | LDLT | 3 y | Steroid | TB | Steroid, IVIg | Alive |
| 39 | Nakajima [39] | 2 | EBV-LPD | LRLT | 10 d | EBV | Steroid, etoposide, HCT | Alive | |
| 40 | Ferreira [40] | 52 | Cryptogenic cirrhosis | DDLT | 2 m | Steroid, FK506, MMF | TB | Steroid, etoposide, stopped FK506 | Died |
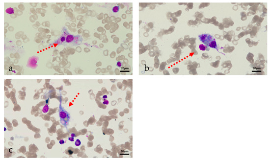
2. Case Report
3. Discussion
Funding
Institutional Review Board Statement
Informed Consent Statement
Data Availability Statement
Conflicts of Interest
References
- Ramos-Casals, M.; Brito-Zerón, P.; López-Guillermo, A.; A Khamashta, M.; Bosch, X. Adult haemophagocytic syndrome. Lancet 2014, 383, 1503–1516. [Google Scholar] [CrossRef]
- Jordan, M.B.; Filipovich, A.H. Hematopoietic cell transplantation for hemophagocytic lymphohistiocytosis: A journey of a thousand miles begins with a single (big) step. Bone Marrow Transpl. 2008, 42, 433–437. [Google Scholar] [CrossRef] [PubMed]
- Hara, H.; Ohdan, H.; Tashiro, H.; Itamoto, T.; Tanaka, Y.; Mizunuma, K.; Tokita, D.; Onoe, T.; Ito, R.; Asahara, T. Differential diagnosis between graft-versus-host disease and hemophagocytic syndrome after living-related liver transplantation by mixed lymphocyte reaction assay. J. Investig. Surg. 2004, 17, 197–202. [Google Scholar] [CrossRef] [PubMed]
- Henter, J.-I.; Horne, A.; Aricó, M.; Egeler, R.M.; Filipovich, A.H.; Imashuku, S.; Ladisch, S.; McClain, K.; Webb, D.; Winiarski, J.; et al. HLH-2004: Diagnostic and therapeutic guidelines for hemophagocytic lymphohistiocytosis. Pediatr. Blood Cancer 2007, 48, 124–131. [Google Scholar] [CrossRef]
- Di Lorenzo, G.; Di Trolio, R.; Kozlakidis, Z.; Busto, G.; Ingenito, C.; Buonerba, L.; Ferrara, C.; Libroia, A.; Ragone, G.; Ioio, C.D.; et al. COVID 19 therapies and anti-cancer drugs: A systematic review of recent literature. Crit. Rev. Oncol. 2020, 152, 102991. [Google Scholar] [CrossRef]
- Ahmed, A.; A Merrill, S.; Alsawah, F.; Bockenstedt, P.; Campagnaro, E.; Devata, S.; Gitlin, S.D.; Kaminski, M.; Cusick, A.; Phillips, T.; et al. Ruxolitinib in adult patients with secondary haemophagocytic lymphohistiocytosis: An open-label, single-centre, pilot trial. Lancet Haematol. 2019, 6, e630–e637. [Google Scholar] [CrossRef]
- Wang, J.; Wang, Y.; Wu, L.; Wang, X.; Jin, Z.; Gao, Z.; Wang, Z. Ruxolitinib for refractory/relapsed hemophagocytic lymphohistiocytosis. Haematologica 2019, 105, e210–e212. [Google Scholar] [CrossRef]
- Meng, G.; Wang, J.; Wang, X.; Wang, Y.; Wang, Z. Ruxolitinib treatment for SR-aGVHD in patients with EBV-HLH undergoing allo-HSCT. Ann. Hematol. 2020, 99, 343–349. [Google Scholar] [CrossRef]
- Wei, A.; Ma, H.; Li, Z.; Zhang, L.; Zhang, Q.; Wang, D.; Lian, H.; Zhang, R.; Wang, T. Short-term effectiveness of ruxolitinib in the treatment of recurrent or refractory hemophagocytic lymphohistiocytosis in children. Int. J. Hematol. 2020, 112, 568–576, Epub 20200714. [Google Scholar] [CrossRef]
- Slostad, J.; Hoversten, P.; Haddox, C.L.; Cisak, K.; Paludo, J.; Tefferi, A. Ruxolitinib as first-line treatment in secondary hemophagocytic lymphohistiocytosis: A single patient experience. Am. J. Hematol. 2017, 93, E47–E49. [Google Scholar] [CrossRef]
- Zandvakili, I.; Conboy, C.B.; Ayed, A.O.; Cathcart-Rake, E.J.; Tefferi, A. Ruxolitinib as first-line treatment in secondary hemophagocytic lymphohistiocytosis: A second experience. Am. J. Hematol. 2018, 93, E123–E125. [Google Scholar] [CrossRef] [PubMed]
- Goldsmith, S.R.; Rehman, S.S.U.; Shirai, C.L.; Vij, K.; DiPersio, J.F. Resolution of secondary hemophagocytic lymphohistiocytosis after treatment with the JAK1/2 inhibitor ruxolitinib. Blood Adv. 2019, 3, 4131–4135. [Google Scholar] [CrossRef] [PubMed]
- Zhao, Y.; Shi, J.; Li, X.; Wang, J.; Sun, J.; Zhou, J.; Huang, H. Salvage therapy with dose-escalating ruxolitinib as a bridge to allogeneic stem cell transplantation for refractory hemophagocytic lymphohistiocytosis. Bone Marrow Transplant. 2020, 55, 824–826. [Google Scholar] [CrossRef] [PubMed]
- Broglie, L.; Pommert, L.; Rao, S.; Thakar, M.; Phelan, R.; Margolis, D.; Talano, J.-A. Ruxolitinib for treatment of refractory hemophagocytic lymphohistiocytosis. Blood Adv. 2017, 1, 1533–1536. [Google Scholar] [CrossRef]
- Ono, R.; Ashiarai, M.; Hirabayashi, S.; Mizuki, K.; Hosoya, Y.; Yoshihara, H.; Ohtake, J.; Mori, S.; Manabe, A.; Hasegawa, D. Ruxolitinib for hematopoietic cell transplantation-associated hemophagocytic lymphohistiocytosis. Int. J. Hematol. 2021, 113, 297–301. [Google Scholar] [CrossRef]
- Chisuwa, H.; Hashikura, Y.; Nakazawa, Y.; Kamijo, T.; Nakazawa, K.; Nakayama, J.; Oh-Ishi, T.; Ikegami, T.; Terada, M.; Kawasaki, S. Fatal hemophagocytic syndrome after living-related liver transplantation: A report of two cases. Transplantation 2001, 72, 1843–1846. [Google Scholar] [CrossRef]
- Karasu, Z.; Kilic, M.; Cagirgan, S.; Lebe, E.; Yilmaz, F.; Demirbas, T.; Tokat, Y. Hemophagocytic syndrome after living-related liver transplantation. Transplant. Proc. 2003, 35, 1482–1484. [Google Scholar] [CrossRef]
- Lladó, L.; Figueras, J.; Comí, S.; Torras, J.; Serrano, T.; Castellote, J.; Motomura, T.; Mano, Y.; Itoh, S.; Harada, N.; et al. Haemophagocytic syndrome after liver transplantation in adults. Transpl. Int. 2004, 17, 221–223. [Google Scholar] [CrossRef]
- George, T.I.; Jeng, M.; Berquist, W.; Cherry, A.M.; Link, M.P.; Arber, D.A. Epstein-Barr virus-associated peripheral T-cell lymphoma and hemophagocytic syndrome arising after liver transplantation: Case report and review of the literature. Pediatr. Blood Cancer 2005, 44, 270–276. [Google Scholar] [CrossRef]
- Taniai, N.; Akimaru, K.; Kawano, Y.; Mizuguchi, Y.; Shimizu, T.; Takahashi, T.; Mamada, Y.; Yoshida, H.; Tajiri, T. Hemophagocytic syndrome after living-donor liver transplantation for fulminant liver failure: A case report. Hepatogastroenterology 2005, 52, 923–926. [Google Scholar]
- Hardikar, W.; Pang, K.; Al-Hebbi, H.; Curtis, N.; Couper, R. Successful treatment of cytomegalovirus-associated haemophagocytic syndrome following paediatric orthotopic liver transplantation. J Paediatr Child Health. 2006, 42, 389–391. [Google Scholar] [CrossRef] [PubMed]
- Akamatsu, N.; Sugawara, Y.; Tamura, S.; Matsui, Y.; Hasegawa, K.; Imamura, H.; Kokudo, N.; Makuuchi, M. Hemophagocytic syndrome after adult-to-adult living donor liver transplantation. Transplant. Proc. 2006, 38, 1425–1428. [Google Scholar] [CrossRef] [PubMed]
- Yoshizumi, T.; Taketomi, A.; Kayashima, H.; Harada, N.; Uchiyama, H.; Yamashita, Y.-I.; Ikegami, T.; Soejima, Y.; Nishizaki, T.; Shimada, M.; et al. Successful treatment for a patient with hemophagocytic syndrome after a small-for-size graft liver transplantation. Hepatogastroenterology 2008, 55, 359–362. [Google Scholar] [PubMed]
- Dharancy, S.; Crombe, V.; Copin, M.; Boleslawski, E.; Bocket, L.; Declerck, N.; Canva, V.; Dewilde, A.; Mathurin, P.; Pruvot, F. Fatal hemophagocytic syndrome related to human herpesvirus-6 reinfection following liver transplantation: A case report. Transplant. Proc. 2008, 40, 3791–3793. [Google Scholar] [CrossRef] [PubMed]
- Zhang, M.; Guo, C.; Yan, L.; Pu, C.; Li, Y.; Kang, Q.; Ren, Z.; Jin, X. Successful treatment of Epstein-Barr Virus-associated haemophagocytic syndrome arising after living donor liver transplantation. Hepatol. Res. 2009, 39, 421–426. [Google Scholar] [CrossRef]
- Satapathy, S.K.; Fiel, M.I.; Martin, J.D.R.; Aloman, C.; Schiano, T.D. Hemophagocytic syndrome occurring in an adult liver transplant recipient having Still’s disease. Hepatol. Int. 2010, 5, 597–602. [Google Scholar] [CrossRef][Green Version]
- Soyama, A.; Eguchi, S.; Takatsuki, M.; Hidaka, M.; Tomonaga, T.; Yamanouchi, K.; Miyazaki, K.; Inokuma, T.; Tajima, Y.; Kanematsu, T. Hemophagocytic syndrome after liver transplantation: Report of two cases. Surg. Today 2011, 41, 1524–1530. [Google Scholar] [CrossRef]
- Rodríguez-Medina, B.; Blanes, M.; Vinaixa, C.; Aguilera, V.; Rubín, A.; Prieto, M.; Berenguer, M. Haemophagocytic syndrome in a liver transplant patient during treatment with Telaprevir. Ann. Hepatol. 2013, 12, 974–978. [Google Scholar] [CrossRef]
- Jha, B.; Mohan, N.; Gajendra, S.; Sachdev, R.; Goel, S.; Sahni, T.; Raina, V.; Soin, A. Prompt diagnosis and management of Epstein-Barr virus-associated post-transplant lymphoproliferative disorder and hemophagocytosis: A dreaded complication in a post-liver transplant child. Pediatr. Transplant. 2015, 19, E177–E180. [Google Scholar] [CrossRef] [PubMed]
- Vijgen, S.; Wyss, C.; Meylan, P.R.; Bisig, B.; Letovanec, I.; Manuel, O.; Pascual, M.; de Leval, L. Fatal Outcome of Multiple Clinical Presentations of Human Herpesvirus 8-related Disease after Solid Organ Transplantation. Transplantation 2016, 100, 134–140. [Google Scholar] [CrossRef]
- Iseda, N.; Yoshizumi, T.; Toshima, T.; Morinaga, A.; Tomiyama, T.; Takahashi, J.; Motomura, T.; Mano, Y.; Itoh, S.; Harada, N.; et al. Hemophagocytic syndrome after living donor liver transplantation: A case report with a review of the literature. Surg. Case Rep. 2018, 4, 101. [Google Scholar] [CrossRef] [PubMed]
- Cohen, G.M.; Langer, A.L.; Sima, H.; Chang, C.; Troy, K.; Taimur, S. Hemophagocytic Lymphohistiocytosis Due to Primary HHV-8 Infection in a Liver Transplant Recipient. Transplant. Direct 2018, 4, e411. [Google Scholar] [CrossRef] [PubMed]
- Jarchin, L.; Chu, J.; Januska, M.; Merola, P.; Arnon, R. Autoimmune hemolytic anemia: An unusual presentation of hemophagocytic lymphohistiocytosis in a pediatric post-liver transplant patient. Pediatr. Transplant. 2018, 22, e13281. [Google Scholar] [CrossRef]
- Valenzuela, E.F.; García, A.C.; García-Pajares, F.; Tejada, J.T.; Muñoz, R.N.; Martín, C.M.; Delgado, L.S.; Martín, C.A.; Álvarez, C.A.; Fernández-Fontecha, E.; et al. Hemophagocytic Syndrome as Uncommon Cause of Severe Pancytopenia after Liver Transplantation. Transplant. Proc. 2020, 52, 1500–1502. [Google Scholar] [CrossRef]
- Yamada, M.; Sakamoto, S.; Sakamoto, K.; Uchida, H.; Shimizu, S.; Osumi, T.; Kato, M.; Shoji, K.; Arai, K.; Miyazaki, O.; et al. Fatal Epstein-Barr virus-associated hemophagocytic lymphohistiocytosis with virus-infected T cells after pediatric multivisceral transplantation: A proof-of-concept case report. Pediatr. Transplant. 2021, 25, e13961. [Google Scholar] [CrossRef] [PubMed]
- Chesner, J.; Schiano, T.D.; Fiel, M.I.; Crismale, J.F. Hemophagocytic lymphohistiocytosis occurring after liver transplantation: A case series and review of the literature. Clin. Transplant. 2021, 35, e14392. [Google Scholar] [CrossRef]
- Arikan, C.; Erbey, F.; Ozdogan, E.; Akyildiz, M. Posttransplant Hemophagocytic Lymphohistiocytosis in Pediatric Liver Transplant Recipients. Liver Transpl. 2021, 27, 1061–1065. [Google Scholar] [CrossRef] [PubMed]
- Gandotra, A.; Mehtani, R.; Premkumar, M.; Duseja, A.; De, A.; Mallik, N.; Durgadevi, S.; Das, A.; Kalra, N. Invasive Pulmonary Aspergillosis and Tuberculosis Complicated by Hemophagocytic Lymphohistiocytosis—Sequelae of COVID-19 in a Liver Transplant Recipient. J. Clin. Exp. Hepatol. 2022, 12, 1007–1011. [Google Scholar] [CrossRef] [PubMed]
- Nakajima, K.; Hiejima, E.; Nihira, H.; Kato, K.; Honda, Y.; Izawa, K.; Kawabata, N.; Kato, I.; Ogawa, E.; Sonoda, M.; et al. Case Report: A Case of Epstein-Barr Virus-Associated Acute Liver Failure Requiring Hematopoietic Cell Transplantation after Emergent Liver Transplantation. Front. Immunol. 2022, 13, 825806. [Google Scholar] [CrossRef]
- Ferreira, G.D.S.A.; Moreira, M.L.; Watanabe, A.L.C.; Trevizoli, N.C.; Murta, M.C.B.; Figueira, A.V.F.; Caja, G.O.N.; Ferreira, C.A.; Jorge, F.M.F.; Couto, C.D.F. Hemophagocytic Lymphohistiocytosis Secondary to Tuberculosis after Liver Transplantation: A Case Report. Transplant. Proc. 2022, 54, 1384–1387. [Google Scholar] [CrossRef]
- Zhang, L.; Zhou, J.; Sokol, L. Hereditary and acquired hemophagocytic lymphohistiocytosis. Cancer Control 2014, 21, 301–312. [Google Scholar] [CrossRef] [PubMed]
- Scott, L.J.; McKeage, K.; Keam, S.J.; Plosker, G.L. Tacrolimus: A further update of its use in the management of organ transplantation. Drugs 2003, 63, 1247–1297. [Google Scholar] [CrossRef] [PubMed]
- Fukaya, S.; Yasuda, S.; Hashimoto, T.; Oku, K.; Kataoka, H.; Horita, T.; Atsumi, T.; Koike, T. Clinical features of haemophagocytic syndrome in patients with systemic autoimmune diseases: Analysis of 30 cases. Rheumatology 2008, 47, 1686–1691. [Google Scholar] [CrossRef] [PubMed]
- Karras, A.; Thervet, E.; Legendre, C. Groupe Cooperatif de transplantation d’Ile de F. Hemophagocytic syndrome in renal transplant recipients: Report of 17 cases and review of literature. Transplantation 2004, 77, 238–243. [Google Scholar] [CrossRef]
- Jakafi. Highlights of Prescribing Information. US Food and Drug Administration. 2020. Available online: https://www.jakafi.com/pdf/prescribing-information.pdf (accessed on 23 October 2022).
- Jordan, M.B.; Hildeman, D.; Kappler, J.; Marrack, P. An animal model of hemophagocytic lymphohistiocytosis (HLH): CD8+ T cells and interferon gamma are essential for the disorder. Blood 2004, 104, 735–743. [Google Scholar] [CrossRef]
- Schmid, J.P.; Ho, C.-H.; Chrétien, F.; Lefebvre, J.M.; Pivert, G.; Kosco-Vilbois, M.; Ferlin, W.; Geissmann, F.; Fischer, A.; Basile, G.D.S. Neutralization of IFNgamma defeats haemophagocytosis in LCMV-infected perforin- and Rab27a-deficient mice. EMBO Mol. Med. 2009, 1, 112–124. [Google Scholar] [CrossRef]
- Das, R.; Guan, P.; Sprague, L.; Verbist, K.; Tedrick, P.; An, Q.A.; Cheng, C.; Kurachi, M.; Levine, R.; Wherry, E.J.; et al. Janus kinase inhibition lessens inflammation and ameliorates disease in murine models of hemophagocytic lymphohistiocytosis. Blood 2016, 127, 1666–1675. [Google Scholar] [CrossRef]
- Verstovsek, S.; Mesa, R.A.; Gotlib, J.; Levy, R.S.; Gupta, V.; DiPersio, J.F.; Catalano, J.V.; Deininger, M.; Miller, C.; Silver, R.T.; et al. A double-blind, placebo-controlled trial of ruxolitinib for myelofibrosis. N. Engl. J. Med. 2012, 366, 799–807. [Google Scholar] [CrossRef]
- Zeiser, R.; von Bubnoff, N.; Butler, J.; Mohty, M.; Niederwieser, D.; Or, R.; Szer, J.; Wagner, E.M.; Zuckerman, T.; Mahuzier, B.; et al. Ruxolitinib for Glucocorticoid-Refractory Acute Graft-versus-Host Disease. N. Engl. J. Med. 2020, 382, 1800–1810. [Google Scholar] [CrossRef]
- Deyà-Martínez, A.; Rivière, J.G.; Roxo-Junior, P.; Ramakers, J.; Bloomfield, M.; Hernandez, P.G.; Lobo, P.B.; Abu Jamra, S.R.; Esteve-Sole, A.; Kanderova, V.; et al. Impact of JAK Inhibitors in Pediatric Patients with STAT1 Gain of Function (GOF) Mutations-10 Children and Review of the Literature. J. Clin. Immunol. 2022, 42, 1071–1082. [Google Scholar] [CrossRef]
- Redondo, S.; Esquirol, A.; Novelli, S.; Caballero, A.C.; Garrido, A.; Oñate, G.; López, J.; Moreno, C.; Saavedra, S.-D.; Granell, M.; et al. Efficacy and Safety of Ruxolitinib in Steroid-Refractory/Dependent Chronic Graft-versus-Host Disease: Real-World Data and Challenges. Transplant. Cell. Ther. 2021, 28, 43.e1–43.e5. [Google Scholar] [CrossRef] [PubMed]
- Shi, J.G.; Chen, X.; Emm, T.; Scherle, P.A.; McGee, R.F.; Lo, Y.; Landman, R.R.; McKeever, E.G.; Punwani, N.G.; Williams, W.V.; et al. The effect of CYP3A4 inhibition or induction on the pharmacokinetics and pharmacodynamics of orally administered ruxolitinib (INCB018424 phosphate) in healthy volunteers. J. Clin. Pharmacol. 2012, 52, 809–818. [Google Scholar] [CrossRef] [PubMed]
- van Gelder, T. Drug interactions with tacrolimus. Drug Saf. 2002, 25, 707–712. [Google Scholar] [CrossRef] [PubMed]
- Wang, H.; Gu, J.; Liang, X.; Mao, X.; Wang, Z.; Huang, W. Low dose ruxolitinib plus HLH-94 protocol: A potential choice for secondary HLH. Semin. Hematol. 2020, 57, 26–30. [Google Scholar] [CrossRef]


Publisher’s Note: MDPI stays neutral with regard to jurisdictional claims in published maps and institutional affiliations. |
© 2022 by the authors. Licensee MDPI, Basel, Switzerland. This article is an open access article distributed under the terms and conditions of the Creative Commons Attribution (CC BY) license (https://creativecommons.org/licenses/by/4.0/).
Share and Cite
He, K.; Xu, S.; Shen, L.; Chen, X.; Xia, Q.; Qian, Y. Ruxolitinib as Adjunctive Therapy for Hemophagocytic LymPhohistiocytosis after Liver Transplantation: A Case Report and Literature Review. J. Clin. Med. 2022, 11, 6308. https://doi.org/10.3390/jcm11216308
He K, Xu S, Shen L, Chen X, Xia Q, Qian Y. Ruxolitinib as Adjunctive Therapy for Hemophagocytic LymPhohistiocytosis after Liver Transplantation: A Case Report and Literature Review. Journal of Clinical Medicine. 2022; 11(21):6308. https://doi.org/10.3390/jcm11216308
Chicago/Turabian StyleHe, Kang, Shanshan Xu, Lijing Shen, Xiaosong Chen, Qiang Xia, and Yongbing Qian. 2022. "Ruxolitinib as Adjunctive Therapy for Hemophagocytic LymPhohistiocytosis after Liver Transplantation: A Case Report and Literature Review" Journal of Clinical Medicine 11, no. 21: 6308. https://doi.org/10.3390/jcm11216308
APA StyleHe, K., Xu, S., Shen, L., Chen, X., Xia, Q., & Qian, Y. (2022). Ruxolitinib as Adjunctive Therapy for Hemophagocytic LymPhohistiocytosis after Liver Transplantation: A Case Report and Literature Review. Journal of Clinical Medicine, 11(21), 6308. https://doi.org/10.3390/jcm11216308

