Application of Translaryngeal Ultrasound (TLUS) in Patients with Neck Surgery—A Single-Centre, Prospective Cohort Study on Technique Evaluation
Abstract
:1. Introduction
2. Materials and Methods
2.1. Design
2.2. Procedure Characteristics
2.3. Statistical Analysis
3. Results
3.1. Baseline Characteristics
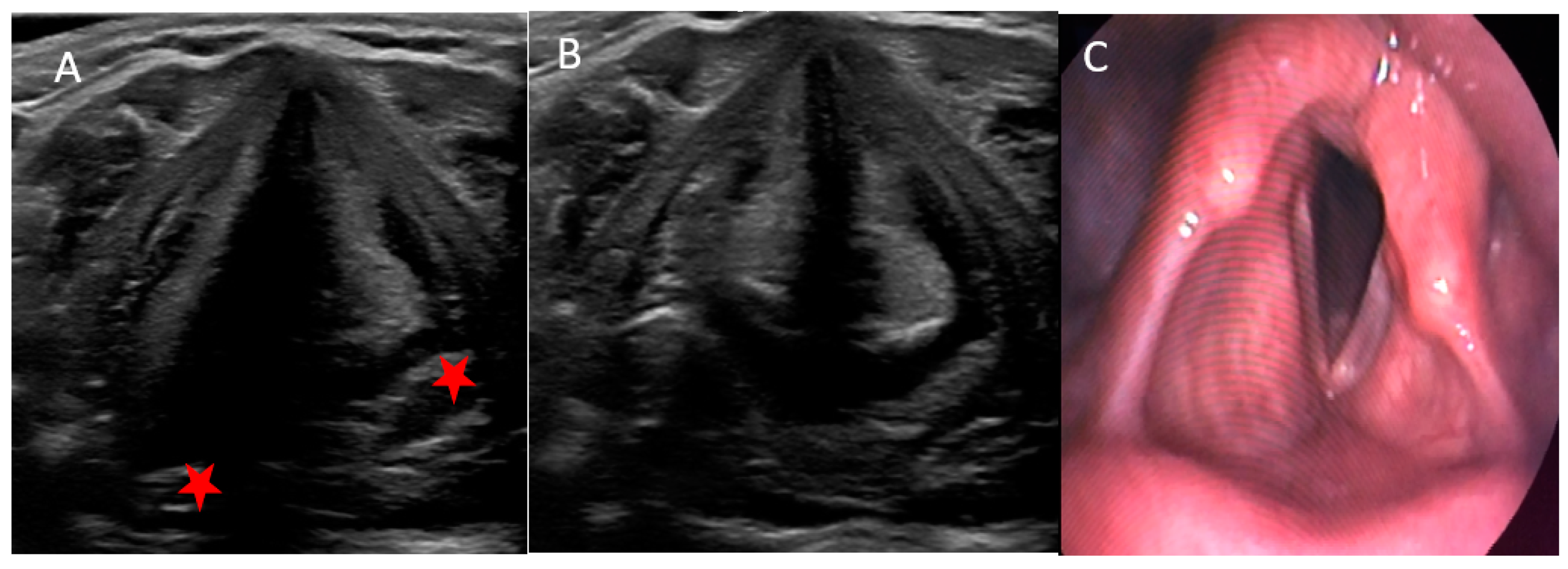
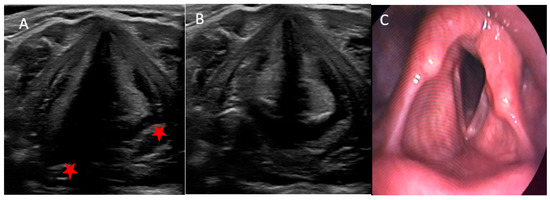
3.2. Ultrasonographic and Laryngoscopic Findings
3.3. Vocal Folds Displacement Velocity
3.4. TLUS and Laryngoscopy Results
3.5. Vocal Fold Detection
3.6. Recurrent Laryngeal Nerve Injuries
4. Discussion
5. Conclusions
Supplementary Materials
Author Contributions
Funding
Institutional Review Board Statement
Informed Consent Statement
Data Availability Statement
Conflicts of Interest
References
- Beltran, L.M.; Garcia-Casasola, G. Ultrasonography managed by internists: The stethoscope of 21st century? Rev. Clin. Esp. 2014, 214, 155–160. [Google Scholar] [CrossRef]
- Zakaria, H.M.; Al Awad, N.A.; Al Kreedes, A.S.; Al-Mulhim, A.M.A.; Al-Sharway, M.A.; Hadi, M.A.; Al Sayyah, A.A. Recurrent laryngeal nerve injury in thyroid surgery. Oman Med. J. 2011, 26, 34–38. [Google Scholar] [CrossRef]
- Joliat, G.R.; Guarnero, V.; Demartines, N.; Schweizer, V.; Matter, M. Recurrent laryngeal nerve injury after thyroid and parathyroid surgery: Incidence and postoperative evolution assessment. Medicine 2017, 96, e6674. [Google Scholar] [CrossRef]
- Lynch, J.; Parameswaran, R. Management of unilateral recurrent laryngeal nerve injury after thyroid surgery: A review. Head Neck 2017, 39, 1470–1478. [Google Scholar] [CrossRef]
- Kundra, P.; Kumar, V.; Srinivasan, K.; Gopalakrishnan, S.; Krishnappa, S. Laryngoscopic techniques to assess vocal cord mobility following thyroid surgery. ANZ J. Surg. 2010, 80, 817–821. [Google Scholar] [CrossRef]
- Bs, P.D.R.; Nguyen, S.A.; Deschler, D. Bronchoscopy, laryngoscopy, and esophagoscopy during the COVID-19 pandemic. Head Neck 2020, 42, 1634–1637. [Google Scholar] [CrossRef]
- Borel, F.; Delemazure, A.-S.; Espitalier, F.; Spiers, A.; Mirallié, E.; Blanchard, C. Transcutaneous Ultrasonography in Early Postoperative Diagnosis of Vocal Cord Palsy After Total Thyroidectomy. World J. Surg. 2016, 40, 665–671. [Google Scholar] [CrossRef]
- Knyazeva, P.; Makarin, V.; Seeliger, B.; Chernikov, R.; Sleptsov, I.; Semenov, A.; Walz, M.K.; Alesina, P.F. Transcutaneous laryngeal ultrasonography (TLUS) as an alternative to direct flexible laryngoscopy (DFL) in the perioperative evaluation of the vocal cord mobility in thyroid surgery. Langenbeck’s Arch. Surg. 2018, 403, 1015–1020. [Google Scholar] [CrossRef]
- Knyazeva, P.; Walz, M.K.; Alesina, P.F. A Simple Tool to Improve Visualization of the Vocal Cords on Translaryngeal Ultrasound in Male Patients. World J. Surg. 2021, 45, 1442–1445. [Google Scholar] [CrossRef]
- Berke, G.S.; Gerratt, B. Laryngeal biomechanics: An overview of mucosal wave mechanics. J. Voice 1993, 7, 123–128. [Google Scholar] [CrossRef]
- Dubey, M.; Mittal, A.K.; Jaipuria, J.; Arora, M.; Dewan, A.K.; Pahade, A. Functional analysis of vocal folds by transcutaneous laryngeal ultrasonography in patients undergoing thyroidectomy. Acta Anaesthesiol. Scand. 2019, 63, 178–186. [Google Scholar] [CrossRef]
- Gajda, S.; Galazka, A.; Dedecjus, M. Transcutaneous laryngeal ultrasonography in vocal folds assessment before and after thyroid surgery in the light of recent studies. Pol. J. Radiol. 2022, 2. [Google Scholar]
- Dralle, H.; Sekulla, C.; Haerting, J.; Timmermann, W.; Neumann, H.J.; Kruse, E.; Grond, S.; Mühlig, H.P.; Richter, C.; Voß, J.; et al. Risk factors of paralysis and functional outcome after recurrent laryngeal nerve monitoring in thyroid surgery. Surgery 2004, 136, 1310–1322. [Google Scholar] [CrossRef]
- Patel, A.; Spychalski, P.; Aszkiełowicz, A.; Mikaszewski, B.; Kobiela, J. Transcutaneous Laryngeal Ultrasound for Vocal Cord Paralysis Assessment in Patients Undergoing Thyroid and Parathyroid Surgery—A Systematic Review and Meta-Analysis. J. Clin. Med. 2021, 10, 5393. [Google Scholar] [CrossRef]
- Wong, K.-P.; Au, K.-P.; Lam, S.; Lang, B. Lessons Learned After 1000 Cases of Transcutaneous Laryngeal Ultrasound (TLUSG) with Laryngoscopic Validation: Is There a Role of TLUSG in Patients Indicated for Laryngoscopic Examination Before Thyroidectomy? Thyroid 2017, 27, 88–94. [Google Scholar] [CrossRef]
- Carneiro-Pla, D.; Miller, B.S.; Wilhelm, S.M.; Milas, M.; Gauger, P.G.; Cohen, M.S.; Hughes, D.T.; Solorzano, C.C. Feasibility of surgeon-performed transcutaneous vocal cord ultrasonography in identifying vocal cord mobility: A multi-institutional experience. Surgery 2014, 156, 1597–1602. [Google Scholar] [CrossRef]
- Salman, R.A.; Kinney, L.A. Calcified thyroid cartilage. Oral. Surg. Oral. Med. Oral. Pathol. 1990, 70, 806–807. [Google Scholar] [CrossRef]
- Iro, H.; Bozzato, A.; Zenk, J. Atlas of Head and Neck Ultrasound; Thieme: New York, NY, USA, 2013. [Google Scholar]
- Fung, M.M.H.; Lang, B.H.-H. A prospective study evaluating the feasibility and accuracy of very early postoperative translaryngeal ultrasonography in the assessment of vocal cord function after neck surgery. Surgery 2021, 169, 191–196. [Google Scholar] [CrossRef]
- Kandil, E.; Deniwar, A.; Noureldine, S.I.; Hammad, A.Y.; Mohamed, H.; Al-Qurayshi, Z.; Tufano, R.P. Assessment of Vocal Fold Function Using Transcutaneous Laryngeal Ultrasonography and Flexible Laryngoscopy. JAMA Otolaryngol. Head Neck Surg. 2016, 142, 74–78. [Google Scholar] [CrossRef] [Green Version]
- Wong, K.-P.; Lang, B.H.-H.; Chang, Y.-K.; Wong, K.C.; Chow, F.C.-L. Assessing the Validity of Transcutaneous Laryngeal Ultrasonography (TLUSG) After Thyroidectomy: What Factors Matter? Ann. Surg. Oncol. 2015, 22, 1774–1780. [Google Scholar] [CrossRef]
- Dedecjus, M.; Adamczewski, Z.; Brzeziński, J.; Lewiński, A. Real-time, high-resolution ultrasonography of the vocal folds—A prospective pilot study in patients before and after thyroidectomy. Langenbeck’s Arch. Surg. 2010, 395, 859–864. [Google Scholar] [CrossRef] [Green Version]
- Sinha, C.; Kumar, A.; Kumar, A.; Singh, A.K.; Vardhan, H.; Bhavana, K.; Bhar, D. Assessment of functionality of vocal cords using ultrasound before and after thyroid surgery: An observational study. Indian J. Anaesth. 2018, 62, 599. [Google Scholar] [CrossRef]
- Lee, K.E.; Rao, J.; Youn, Y.K. Endoscopic thyroidectomy with the da Vinci robot system using the bilateral axillary breast approach (BABA) technique: Our initial experience. Surg. Laparosc. Endosc. Percutan. Tech. 2009, 19, e71–e75. [Google Scholar] [CrossRef]
- Chandrasekhar, S.S.; Randolph, G.W.; Seidman, M.D.; Rosenfeld, R.M.; Angelos, P.; Barkmeier-Kraemer, J.; Benninger, M.S.; Blumin, J.H.; Dennis, G.; Hanks, J. Clinical practice guideline: Improving voice outcomes after thyroid surgery. Otolaryngol. Head Neck Surg. 2013, 148 (Suppl. S6), S1–S37. [Google Scholar] [CrossRef]
- Barczyński, M.; Randolph, G.W.; Cernea, C.R.; Dralle, H.; Dionigi, G.; Alesina, P.F.; Mihai, R.; Finck, C.; Lombardi, D.; Hartl, D.M.; et al. External branch of the superior laryngeal nerve monitoring during thyroid and parathyroid surgery: International Neural Monitoring Study Group standards guideline statement. Laryngoscope 2013, 123, S1–S14. [Google Scholar] [CrossRef]
- Noel, J.E.; Orloff, L.A.; Sung, K. Laryngeal Evaluation during the COVID-19 Pandemic: Transcervical Laryngeal Ultrasonography. Otolaryngol. Neck Surg. 2020, 163, 51–53. [Google Scholar] [CrossRef]
- Sciancalepore, P.I.; Anzivino, R.; Petrone, P.; Petrone, D.; Quaranta, N. Transcutaneous laryngeal ultrasonography: A promising tool for otolaryngologists during COVID-19. Am. J. Otolaryngol. 2021, 42, 102772. [Google Scholar] [CrossRef]



| Variable | Level |
|---|---|
| Number of patients/surgeries | 219/230 |
| Sex, female, n (%) | 170 (77.6) |
| Age, years, mean ± SD (n = 218) | 48.31 ± 15.48 |
| Height, m, mean ± SD | 1.67 ± 0.09 |
| Weight, kg, mean ± SD | 78.46 ± 19.37 |
| BMI, mean ± SD | 27.92 ± 6.21 |
| BMI level, n (%) | |
| Nonoverweight (BMI < 25.0 kg/m2) | 74 (33.8) |
| Overweight (BMI 25.0–29.9 kg/m2) | 74 (33.8) |
| Obese (BMI ≥ 30 kg/m2) | 71 (32.4) |
| Smoking, n (%) | 36 (16.4) |
| Asthma/COPD, n (%) | 8 (3.7) |
| Hypertension, n (%) | 64 (29.2) |
| Stroke/TIA, n (%) | - |
| DM/diabetes, n (%) | 27 (12.3) |
| Variable | N | Level |
|---|---|---|
| Number of surgeries | 230 | |
| Dysfunction, n (% of group)/% of all dysfunctions | 230 | 24 (10.4)/100.0 |
| Paresis | 8 (3.5)/33.3 | |
| Paralysis | 16 (7.0)/66.7 | |
| Reoperation, n (%) | 230 | 14 (6.1) |
| BACC category, n (%) | 192 | |
| 1 | 1 (0.5) | |
| 2 | 19 (9.9) | |
| 3 | 14 (7.3) | |
| 4 | 40 (20.8) | |
| 5 | 46 (24.0) | |
| 6 | 39 (20.3) | |
| 7—parathyroid | 17 (8.9) | |
| 8—local cancer recurrence or lymph node metastases | 16 (8.3) | |
| Cancerous indication, n (%) | 230 | |
| Yes | 196 (85.2) | |
| No | 34 (14.8) | |
| Surgery indication, n (%) | 230 | |
| Thyroid carcinoma suspicion | 196 (85.2) | |
| Benign thyroid disease | 18 (7.8) | |
| Parathyroid disease | 19 (8.3) | |
| Type of surgery, n (%) | 230 | |
| Thyroidectomy with central lymphadenectomy | 58 (25.2) | |
| Hemithyroidectomy with central lymphadenectomy | 124 (53.9) | |
| Thyroidectomy with lateral neck dissection | 15 (6.5) | |
| Lymph nodes metastases surgery | 12 (5.2) | |
| Surgery of recurrent disease in postoperative bed | 5 (2.2) | |
| Isthmectomy | 3 (1.3) | |
| Parathyroidectomy | 19 (8.3) | |
| Trachea release | 1 (0.4) | |
| Secondary surgery, n (%) | 230 | 17 (7.4) |
| Lesion location, n (%) | 215 | |
| Left | 72 (33.5) | |
| Right | 86 (40.0) | |
| Both | 16 (7.5) | |
| Parathyroid | 20 (9.3) | |
| Isthmus | 9 (4.2) | |
| Lymph node | 13 (6.0) | |
| Multifocal, n (%) | 230 | 26 (11.3) |
| Lymph nodes metastases, n (%) | 230 | 36 (15.7) |
| Lateral | 21 (9.1) | |
| Central | 15 (6.5) | |
| N, n (%) | 129 | |
| 0 | 129 | 93 (72.1) |
| 1a | 15 (11.6) | |
| 1b | 21 (16.3) | |
| Cancer/benign on hist-pat, n (%) | 230 | |
| Benign | 80 (34.8) | |
| Cancer | 150 (65.2) | |
| Type of cancer, n (%) | 168 | |
| Papillary | 102 (60.7) | |
| Folliculary | 11 (6.5) | |
| Medullary | 16 (9.5) | |
| Hurthle | 4 (2.4) | |
| Anaplastic | 1 (0.6) | |
| Other cancer | 4 (2.4) | |
| Parathyroid | 19 (11.3) | |
| Border-line tumors group 1 | 11 (6.5) | |
| Unpleasant USG, 0–10 scale, median (Q1; Q3) | 230 | 0.00 (0.00; 1.00) |
| Unpleasant laryngoscopy, 0–10 scale, median (Q1; Q3) | 230 | 2.00 (1.00; 5.00) |
| USG vs. laryngoscopy 1st assessment, n (%) | 230 | |
| More unpleasant laryngoscopy | 150 (65.2) | |
| More unpleasant USG | 10 (4.3) | |
| Both the same | 70 (30.4) |
| Variable | Before Surgery | 1–3 Days after Surgery | 1 Month after Surgery | 3 Months after Surgery | 4 Months after Surgery | 6 Months after Surgery |
|---|---|---|---|---|---|---|
| N | 230 | 230 | 128 | 13 | 8 | 8 |
| Visible vocal folds | 216 (94.3) | 215 (93.5) | 125 (97.7) | 13 (100.0) | 8 (100.0) | 8 (100.0) |
| Normal vocal fold movement * | 212 (98.1) | 195 (90.7) | 103 (83.7) | 8 (61.5) | 5 (62.5) | 4 (50.0) |
| USG vocal fold symmetry still * | 204 (94.4) | 194 (90.2) | 102 (83.6) | 8 (61.5) | 5 (62.5) | 4 (50.0) |
| Symmetry during phonation * | 204 (94.4) | 194 (90.2) | 102 (83.6) | 8 (61.5) | 5 (62.5) | 4 (50.0) |
| Arytenoid symmetry * | 203 (94.0) | 194 (90.2) | 103 (84.4) | 8 (61.5) | 5 (62.5) | 4 (50.0) |
| Crescendo–decresceno wave * | No data | 4 (1.9) | 4 (3.2) | 2 (15.4) | 1 (12.5) | No data |
| Impaired vocal fold on USG | ||||||
| Paralysis | 15 (7.0) | 15 (6.6) | 4 (30.8) | 2 (25.0) | 2 (25.0) | |
| Paresis | 5 (2.3) | 5 (2.2) | 1 (7.7) | 1 (12.5) | 2 (25.0) | |
| Proper function | 194 (90.7) | 194 (84.7) | 8 (61.5) | 5 (62.5) | 4 (50.0) | |
| Dysfunction seen in VFDV decrease | - | - | - | - | - | |
| Invisible | - | 15 (6.6) | - | - | - | |
| Total angle | 32.71 ± 4.29 | 32.47 ± 4.45 | 33.67 ± 5.71 | 31.54 ± 3.38 | 35.00 ± 6.14 | 32.50 ± 4.24 |
| Laryngoscopy R mobility | ||||||
| Normal | 230 (100.0) | 218 (95.2) | 48 (81.4) | 9 (69.2) | 7 (87.5) | 6 (75.0) |
| Paresis | - | 5 (2.2) | 6 (10.2) | 1 (7.7) | - | 1 (12.5) |
| Paralysis | - | 6 (2.6) | 5 (8.5) | 3 (23.1) | 1 (12.5) | 1 (12.5) |
| Laryngoscopy L mobility | ||||||
| Normal | 230 (100.0) | 217 (94.3) | 49 (84.5) | 11 (91.7) | 6 (75.0) | 6 (75.0) |
| Paresis | - | 3 (1.3) | 6 (10.3) | - | 1 (12.5) | - |
| Paralysis | - | 10 (4.3) | 3 (5.2) | 1 (8.3) | 1 (12.5) | 2 (25.0) |
| Rima glottis width laryngoscope | 7.22 ± 0.77 | 6.92 ± 0.96 | 6.88 ± 1.12 | 7.54 ± 2.76 | 7.00 ± 1.07 | 6.88 ± 0.64 |
| Vocal folds angle laryngosope | 26.56 ± 3.87 | 25.44 ± 4.57 | 24.62 ± 6.11 | 24.00 ± 7.56 | 24.75 ± 4.77 | 20.75 ± 5.39 |
| Hoarseness | 57 (25.0) | 18 (14.5) | 3 (25.0) | 2 (25.0) | 1 (12.5) | |
| Problems with high pitch | 37 (16.2) | 19 (17.3) | 5 (41.7) | 3 (37.5) | 2 (25.0) | |
| Dysphagia | 4 (1.8) | 2 (1.9) |
| Dysfunction (cm/s) | Healthy (cm/s) | MD (95% CI) | p | |
|---|---|---|---|---|
| Before surgery | ||||
| VFDV right a | 137.19 ± 23.40 | 140.58 ± 24.86 | −3.39 (−14.03; 7.24) | 0.518 |
| VFDV left a | 138.98 ± 27.19 | 141.67 ± 22.41 | −2.69 (−14.81; 9.43) | 0.652 |
| VFDV right e | 151.74 ± 25.22 | 146.66 ± 23.21 | 5.08 (−6.24; 16.41) | 0.365 |
| VFDV left e | 147.67 ± 27.36 | 147.34 ± 22.91 | 0.33 (−11.87; 12.54) | 0.955 |
| VFDV right i | 151.39 ± 23.35 | 149.46 ± 23.95 | 1.93 (−8.65; 12.51) | 0.711 |
| VFDV left i | 153.14 ± 26.05 | 150.85 ± 22.10 | 2.29 (−9.34; 13.93) | 0.689 |
| 1–3 days after surgery | ||||
| VFDV right a | 120.40 ± 39.57 | 138.70 ± 23.16 | −18.30 (−35.68; −0.92) | 0.040 |
| VFDV left a | 130.48 ± 33.42 | 141.70 ± 21.32 | −11.23 (−25.95; 3.50) | 0.129 |
| VFDV right e | 126.86 ± 37.14 | 145.48 ± 26.72 | −18.61 (−35.06; −2.17) | 0.028 |
| VFDV left e | 138.63 ± 32.71 | 147.44 ± 23.71 | −8.80 (−23.29; 5.69) | 0.222 |
| VFDV right i | 126.94 ± 33.45 | 146.73 ± 25.61 | −19.79 (−34.64; −4.93) | 0.011 |
| VFDV left i | 141.17 ± 27.18 | 151.46 ± 21.75 | −10.28 (−22.38; 1.81) | 0.092 |
| 3–5 weeks after surgery | ||||
| VFDV right a | 135.48 ± 26.14 | 149.25 ± 21.63 | −13.78 (−25.75; −1.80) | 0.026 |
| VFDV left a | 142.17 ± 32.84 | 150.49 ± 19.23 | −8.32 (−22.94; 6.31) | 0.253 |
| VFDV right e | 146.09 ± 24.28 | 152.83 ± 25.45 | −6.75 (−18.24; 4.75) | 0.241 |
| VFDV left e | 145.20 ± 35.35 | 152.59 ± 18.88 | −7.39 (−23.06; 8.27) | 0.340 |
| VFDV right i | 157.09 ± 20.97 | 158.85 ± 20.78 | −1.77 (−11.60; 8.07) | 0.717 |
| VFDV left i | 146.29 ± 33.29 | 161.37 ± 19.01 | −15.08 (−29.88; −0.28) | 0.046 |
| Change (1–3 days vs. baseline) | ||||
| VFDV right a | −16.79 ± 36.05 | −1.93 ± 27.09 | −14.85 (−30.85; 1.14) | 0.067 |
| VFDV left a | −8.50 ± 40.48 | −0.63 ± 26.18 | −7.87 (−25.71; 9.98) | 0.372 |
| VFDV right e | −24.88 ± 33.50 | −1.66 ± 30.11 | −23.21 (−38.24; 8.19) | 0.004 |
| VFDV left e | −9.04 ± 35.00 | −0.60 ± 28.47 | −8.44 (−24.04; 7.16) | 0.276 |
| VFDV right i | −24.45 ± 40.71 | −3.39 ± 27.47 | −21.06 (−39.03; −3.08) | 0.024 |
| VFDV left i | −11.97 ± 25.96 | 0.04 ± 24.84 | −12.01 (−23.71; −0.31) | 0.045 |
| Change (3–5 weeks vs. baseline) | ||||
| VFDV right a | −1.71 ± 27.10 | 6.59 ± 29.69 | −8.30 (−21.24; 4.64) | 0.202 |
| VFDV left a | 3.20 ± 41.68 | 5.74 ± 27.40 | −2.55 (−21.25; 16.16) | 0.782 |
| VFDV right e | −5.65 ± 30.44 | 3.95 ± 30.97 | −9.60 (−23.95; 4.75) | 0.183 |
| VFDV left e | −2.48 ± 46.88 | 2.45 ± 26.43 | −4.93 (−25.76; 15.91) | 0.631 |
| VFDV right i | 5.70 ± 30.97 | 7.28 ± 29.13 | −1.58 (−16.01; 12.85) | 0.825 |
| VFDV left i | −6.85 ± 43.03 | 7.92 ± 26.82 | −14.77 (−34.01; 4.47) | 0.127 |
| Result | Sensitivity (95% CI) | Specifity (95% CI) | PPV (95% CI) | NPV (95% CI) | Accuracy (95% CI) | ||||
|---|---|---|---|---|---|---|---|---|---|
| TP | TN | FP | FN | ||||||
| 1–3 Days | |||||||||
| Total group | 206 | 20 | 0 | 4 | 98.1 (95.2–99.5) | 100.0 (83.2–100.0) | 100.0 | 83.3 (65.5–92.7) | 98.3 (95.6–99.5) |
| Female | 163 | 15 | 0 | 3 | 98.2 (94.8–99.6) | 100.0 (78.2–100.0) | 100.0 | 83.3 (61.9–93.9) | 98.3 (95.2–99.7) |
| Male | 43 | 5 | 0 | 1 | 97.7 (87.9–99.9) | 100.0 (47.8–100.0) | 100.0 | 83.3 (41.9–97.2) | 97.9 (89.2–99.9) |
| BMI < median (27.7) | 105 | 9 | 0 | 1 | 99.1 (94.9–99.9) | 100.0 (66.4–100.0) | 100.0 | 90.0 (56.1–98.4) | 99.1 (95.3–99.9) |
| BMI ≥ median (27.7) | 101 | 11 | 0 | 3 | 97.1 (91.8–99.4) | 100.0 (71.5–100.0) | 100.0 | 78.6 (54.6–91.8) | 97.4 (92.6–99.5) |
| Nonoverweight | 72 | 5 | 0 | 1 | 98.6 (92.6–99.9) | 100.0 (47.8–100.0) | 100.0 | 83.3 (41.7–97.2) | 98.7 (93.1–99.9) |
| Overweight | 68 | 7 | 0 | 1 | 98.6 (92.2–99.9) | 100.0 (59.0–100.0) | 100.0 | 87.5 (50.0–98.0) | 98.7 (92.9–99.9) |
| Obese | 66 | 8 | 0 | 2 | 97.1 (89.8–99.6) | 100.0 (63.1–100.0) | 100.0 | 80.0 (50.5–94.0) | 97.4 (90.8–99.7) |
| Age < median (46) | 99 | 10 | 0 | 3 | 97.1 (91.6–99.4) | 100.0 (69.2–100.0) | 100.0 | 76.9 (52.2–91.0) | 97.3 (92.4–99.4) |
| Age ≥ median (46) | 106 | 10 | 0 | 1 | 99.1 (94.9–99.9) | 100.0 (69.2–100.0) | 100.0 | 90.9 (58.7–98.6) | 99.2 (95.3–99.9) |
| Variable | Not Visible Vocal Folds | Visible Vocal Folds | RR/MD (95% CI) | p |
|---|---|---|---|---|
| Number of patients/surgeries | 13/13 | 205/216 | ||
| Sex, female, n (%) | 1 (7.7) | 168 (82.0) | 0.09 (0.01; 0.62) | <0.001 |
| BMI, mean ± SD | 32.34 ± 6.36 | 27.65 ± 6.10 | 4.69 (0.79; 8.60) | 0.022 |
| Smoking, n (%) | 6 (46.2) | 30 (14.6) | 3.15 (1.61; 6.19) | 0.003 |
| Hemithyroidectomy | 3 (23.1) | 120 (55.6) | 0.42 (0.04; 0.97) | 0.041 |
| Secondary surgery, n (%) | 3 (23.1) | 14 (6.5) | 3.56 (1.17; 10.85) | 0.027 |
| Lateral lymph nodes, n (%) | 2 (15.4) | 2 (0.9) | 16.60 (2.54; 108.71) | 0.017 |
| Bilateral RLN at risk | ||||
| T, n (%) | ||||
| 1a | 3 (37.5) | 55 (43.3) | - | 0.014 |
| 1b | 0 (0.0) | 38 (29.9) | ||
| 2 | 4 (50.0) | 16 (12.6) | ||
| 3a | 0 (0.0) | 15 (11.8) | ||
| 3b | 1 (12.5) | 2 (1.6) | ||
| 4a | 0 (0.0) | 1 (0.8) | ||
| Multifocal, n (%) | 4 (30.8) | 22 (10.2) | 3.02 (1.22; 7.48) | 0.046 |
| Left lobe volume, cm3, median (Q1; Q3) | 10.60 (7.89; 15.89) | 6.10 (3.91; 10.10) | 4.50 (0.30; 8.46) | 0.034 |
| Lateral approach when anterior impossible, n (%) | 5 (38.5) | 16 (7.5) | 5.14 (2.24; 11.84) | 0.003 |
| Visible true vocal folds, n (%) | 0 (0.0) | 53 (24.5) | - | 0.043 |
| fT3 | 3.69 (3.55, 4.02) | 3.24 (2.96, 3.58) | 0.46 (0.27; 0.75) | <0.001 |
| Variable | Dysfunction | Healthy | RR/MD (95% CI) | p |
|---|---|---|---|---|
| Number of patients/surgeries | 23/24 | 196/206 | ||
| TLUS data Visible vocal folds | 23 (95.8) | 192 (93.2) | 1.03 (0.94; 1.13) | >0.999 |
| Normal vocal fold movement | 3 (13.0) | 192 (100.0) | - | <0.001 |
| USG vocal fold symmetry still | 3 (13.0) | 191 (99.5) | 0.13 (0.05; 0.38) | <0.001 |
| Symmetry during cough | 3 (13.0) | 191 (99.5) | 0.13 (0.05; 0.38) | <0.001 |
| Symmetry during phonation | 3 (13.0) | 191 (99.5) | 0.13 (0.05; 0.38) | <0.001 |
| Symmetry during swallowing | 3 (13.0) | 191 (99.5) | 0.13 (0.05; 0.38) | <0.001 |
| Arytenoid symetry | 3 (13.0) | 191 (99.5) | 0.13 (0.05; 0.38) | <0.001 |
| Crescendo–decresceno wave Clinical findings | 4 (17.4) | 0 (0.0) | - | <0.001 |
| Hoarseness | 21 (87.5) | 36 (17.6) | 4.96 (3.55, 6.92) | <0.001 |
| Problems with high pitch | 17 (70.8) | 20 (9.8) | 7.23 (4.43, 11.78) | <0.001 |
| Dysphagia | 2 (8.3) | 2 (1.0) | 8.50 (1.25, 57.62) | 0.056 |
Publisher’s Note: MDPI stays neutral with regard to jurisdictional claims in published maps and institutional affiliations. |
© 2022 by the authors. Licensee MDPI, Basel, Switzerland. This article is an open access article distributed under the terms and conditions of the Creative Commons Attribution (CC BY) license (https://creativecommons.org/licenses/by/4.0/).
Share and Cite
Wolff, S.; Gałązka, A.; Borkowski, R.; Gorzelnik, A.; Dedecjus, M. Application of Translaryngeal Ultrasound (TLUS) in Patients with Neck Surgery—A Single-Centre, Prospective Cohort Study on Technique Evaluation. J. Clin. Med. 2022, 11, 1691. https://doi.org/10.3390/jcm11061691
Wolff S, Gałązka A, Borkowski R, Gorzelnik A, Dedecjus M. Application of Translaryngeal Ultrasound (TLUS) in Patients with Neck Surgery—A Single-Centre, Prospective Cohort Study on Technique Evaluation. Journal of Clinical Medicine. 2022; 11(6):1691. https://doi.org/10.3390/jcm11061691
Chicago/Turabian StyleWolff, Sylwia, Adam Gałązka, Rafał Borkowski, Anna Gorzelnik, and Marek Dedecjus. 2022. "Application of Translaryngeal Ultrasound (TLUS) in Patients with Neck Surgery—A Single-Centre, Prospective Cohort Study on Technique Evaluation" Journal of Clinical Medicine 11, no. 6: 1691. https://doi.org/10.3390/jcm11061691
APA StyleWolff, S., Gałązka, A., Borkowski, R., Gorzelnik, A., & Dedecjus, M. (2022). Application of Translaryngeal Ultrasound (TLUS) in Patients with Neck Surgery—A Single-Centre, Prospective Cohort Study on Technique Evaluation. Journal of Clinical Medicine, 11(6), 1691. https://doi.org/10.3390/jcm11061691

