Prenatal Diagnosis and Outcome of Scimitar Syndrome: A Case Series of Six Patients
Abstract
:1. Introduction
2. Materials and Methods
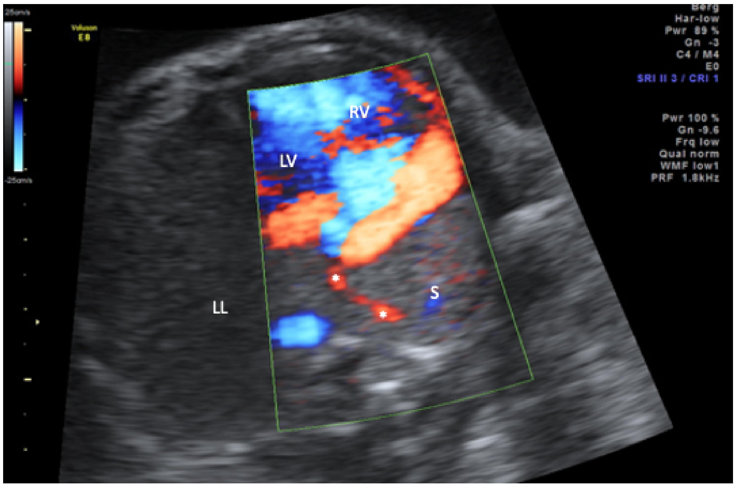
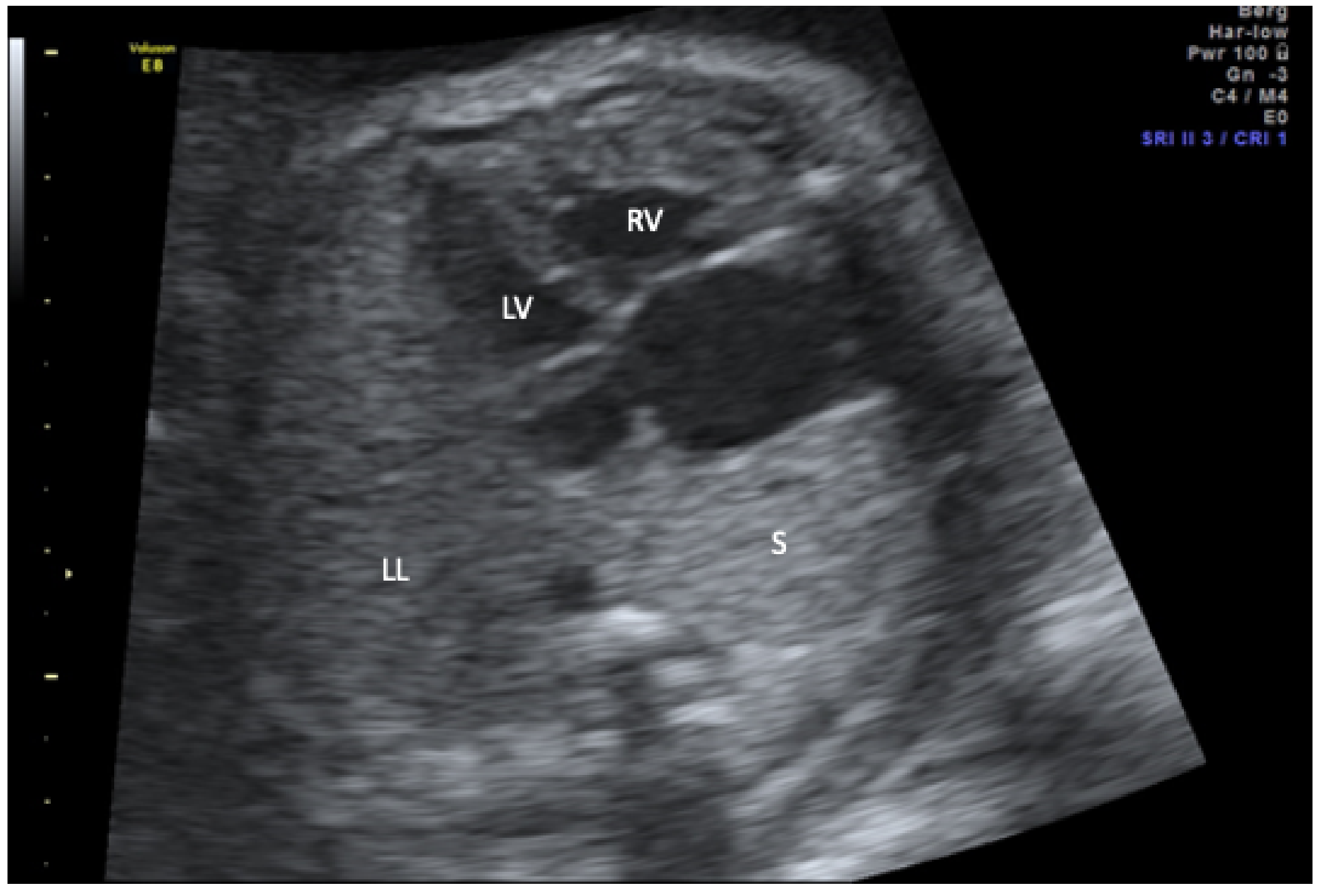
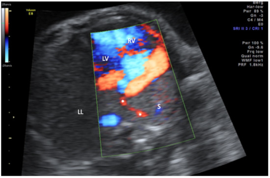
3. Results
4. Discussion
Author Contributions
Funding
Institutional Review Board Statement
Informed Consent Statement
Data Availability Statement
Conflicts of Interest
References
- Gudjonsson, U.; Brown, J.W. Scimitar Syndrome. Semin. Thorac. Cardiovasc. Surg. Pediatr. Card. Surg. Annu. 2006, 9, 56–62. [Google Scholar] [CrossRef] [PubMed]
- Chasinat, R. Observation d’anomalies Anatomiques: Remar-Quables Del’appareil Circulatoire, Avec Hepatocele Congenitale n’ayant Donne Lieu Pendant La Vie a Aucun Symptome Particulier. Arch. Gen. Med. Paris 1836, 11, 80. [Google Scholar]
- Cooper, G. Case of Malformation of the Thoracic Viscera Consisting of Imperfect Development of the Right Lung and Transposition of the Heart. Lond. Med. Gaz. 1836, 18, 600–601. [Google Scholar]
- Neill, C.A.; Ferencz, C.; Sabiston, D.C.; Sheldon, H. The Familial Occurrence of Hypoplastic Right Lung with Systemic Arterial Supply and Venous Drainage “Scimitar Syndrome”. Bull. Johns Hopkins Hosp. 1960, 107, 1–21. [Google Scholar] [PubMed]
- Johansen, M.; Veyckemans, F.; Engelhardt, T. Congenital Anomalies of the Large Intrathoracic Airways. Pediatr. Anesth. 2022, 32, 126–137. [Google Scholar] [CrossRef] [PubMed]
- Pryce, D.M. Lower Accessory Pulmonary Artery with Intralobar Sequestration of Lung; a Report of Seven Cases. J. Pathol. Bacteriol. 1946, 58, 457–467. [Google Scholar]
- Bhide, A.; Murphy, D.; Thilaganathan, B.; Carvalho, J.S. Prenatal Findings and Differential Diagnosis of Scimitar Syndrome and Pulmonary Sequestration. Ultrasound Obstet. Gynecol. 2010, 35, 398–404. [Google Scholar] [CrossRef]
- Clements, B.S.; Warner, J.O. Pulmonary Sequestration and Related Congenital Bronchopulmonary-Vascular Malformations: Nomenclature and Classification Based on Anatomical and Embryological Considerations. Thorax 1987, 42, 401–408. [Google Scholar] [CrossRef] [Green Version]
- Achiron, R.; Zalel, Y.; Lipitz, S.; Hegesh, J.; Mazkereth, R.; Kuint, J.; Jacobson, J.; Yagel, S. Fetal Lung Dysplasia: Clinical Outcome Based on a New Classification System. Ultrasound Obstet. Gynecol. Off. J. Int. Soc. Ultrasound Obstet. Gynecol. 2004, 24, 127–133. [Google Scholar] [CrossRef]
- Sebire, N.J. Fetal Lung Lesions: A New Classification of Fetal Lung Dysplasia: Correspondence. Ultrasound Obstet. Gynecol. 2004, 24, 590–591. [Google Scholar] [CrossRef]
- Bale, P.M. Congenital Cystic Malformation of the Lung. A Form of Congenital Bronchiolar (“adenomatoid”) Malformation. Am. J. Clin. Pathol. 1979, 71, 411–420. [Google Scholar] [CrossRef] [PubMed] [Green Version]
- Stocker, J.T.; Kagan-Hallet, K. Extralobar Pulmonary Sequestration: Analysis of 15 Cases. Am. J. Clin. Pathol. 1979, 72, 917–925. [Google Scholar] [CrossRef] [PubMed] [Green Version]
- Valsangiacomo, E.R.; Hornberger, L.K.; Barrea, C.; Smallhorn, J.F.; Yoo, S.-J. Partial and Total Anomalous Pulmonary Venous Connection in the Fetus: Two-Dimensional and Doppler Echocardiographic Findings. Ultrasound Obstet. Gynecol. Off. J. Int. Soc. Ultrasound Obstet. Gynecol. 2003, 22, 257–263. [Google Scholar] [CrossRef] [PubMed]
- Grisaru, D.; Achiron, R.; Lipitz, S.; Yahav, J.; Hegesh, J.; Rotstein, Z. Antenatal Sonographic Findings Associated with Scimitar Syndrome. Ultrasound Obstet. Gynecol. Off. J. Int. Soc. Ultrasound Obstet. Gynecol. 1996, 8, 131–133. [Google Scholar] [CrossRef]
- Michailidis, G.D.; Simpson, J.M.; Tulloh, R.M.; Economides, D.L. Retrospective Prenatal Diagnosis of Scimitar Syndrome Aided by Three-Dimensional Power Doppler Imaging. Ultrasound Obstet. Gynecol. Off. J. Int. Soc. Ultrasound Obstet. Gynecol. 2001, 17, 449–452. [Google Scholar] [CrossRef]
- Gao, Y.A.; Burrows, P.E.; Benson, L.N.; Rabinovitch, M.; Freedom, R.M. Scimitar Syndrome in Infancy. J. Am. Coll. Cardiol. 1993, 22, 873–882. [Google Scholar] [CrossRef]
- Vida, V.L.; Guariento, A.; Milanesi, O.; Gregori, D.; Stellin, G.; Scimitar Syndrome Study Group. The Natural History and Surgical Outcome of Patients with Scimitar Syndrome: A Multi-Centre European Study. Eur. Heart J. 2018, 39, 1002–1011. [Google Scholar] [CrossRef] [Green Version]
- Chowdhury, U.K.; Anderson, R.H.; Sankhyan, L.K.; George, N.; Pandey, N.N.; Chauhan, A.S.; Arora, Y.; Goja, S. Surgical Management of the Scimitar Syndrome. J. Card. Surg. 2021, 36, 3770–3795. [Google Scholar] [CrossRef]
- Fritz, C.J.; Reutter, H.M.; Herberg, U. Scimitar Syndrome in a Case with VACTERL Association. Cardiol. Young 2015, 25, 606–609. [Google Scholar] [CrossRef]
- Erdogan, F.; Belloso, J.M.; Gabau, E.; Ajbro, K.D.; Guitart, M.; Ropers, H.H.; Tommerup, N.; Ullmann, R.; Tümer, Z.; Larsen, L.A. Fine Mapping of a de Novo Interstitial 10q22-Q23 Duplication in a Patient with Congenital Heart Disease and Microcephaly. Eur. J. Med. Genet. 2008, 51, 81–86. [Google Scholar] [CrossRef]
- Grech, V.; Xuereb, R.; Xuereb, M.; Manche, A.; Schembri, K.; Degiovanni, J. Late Presentation and Successful Treatment of Classical Scimitar Syndrome. Images Paediatr. Cardiol. 2003, 5, 49–62. [Google Scholar] [PubMed]
- Russell, B.C.; Whitecar, P.; Nitsche, J.F. Isolated Unilateral Pulmonary Agenesis and Other Fetal Thoracic Anomalies. Obstet. Gynecol. Surv. 2014, 69, 335–345. [Google Scholar] [CrossRef] [PubMed]
- Najm, H.K.; Williams, W.G.; Coles, J.G.; Rebeyka, I.M.; Freedom, R.M. Scimitar Syndrome: Twenty Years’ Experience and Results of Repair. J. Thorac. Cardiovasc. Surg. 1996, 112, 1161–1168; discussion 1168–1169. [Google Scholar] [CrossRef] [Green Version]
- Biyyam, D.R.; Chapman, T.; Ferguson, M.R.; Deutsch, G.; Dighe, M.K. Congenital Lung Abnormalities: Embryologic Features, Prenatal Diagnosis, and Postnatal Radiologic-Pathologic Correlation. RadioGraphics 2010, 30, 1721–1738. [Google Scholar] [CrossRef]
- Paladini, D.; Pistorio, A.; Wu, L.H.; Meccariello, G.; Lei, T.; Tuo, G.; Donarini, G.; Marasini, M.; Xie, H.-N. Prenatal Diagnosis of Total and Partial Anomalous Pulmonary Venous Connection: Multicenter Cohort Study and Meta-Analysis. Ultrasound Obstet. Gynecol. Off. J. Int. Soc. Ultrasound Obstet. Gynecol. 2018, 52, 24–34. [Google Scholar] [CrossRef]



| Case | GA Diagnosis | Prenatal Findings | Delivery | Additional Postnatal Findings | Follow Up |
|---|---|---|---|---|---|
| 1 | 34 + 1 | mediastinal shift; dextroposition of the heart, right pulmonary hypoplasia, partial anomalous pulmonary drainage (scimitar vein) | 39 + 1 | Feeding vessel from coeliac trunk, secundum atrial septal defect | Coil occlusion of feeding vessel, pulmonary hemorrhage with respiratory deterioration, intracranial hemorrhage, diabetes insipidus centralis, exitus at 1 month |
| 2 | 38 + 0 | mediastinal shift; dextroposition of the heart, right pulmonary hypoplasia, partial, anomalous pulmonary drainage (scimitar vein), right sided diaphragmatic hernia; coarctation; duplication 10q22.1–10q23.2 | 39 + 2 | Feeding vessel from abdominal aorta, pulmonary hypertension | Coil occlusion of feeding vessel, intractable pulmonary hypertension, exitus at 6 months |
| 3 | 20 + 2 | mediastinal shift; dextroposition of the heart, right pulmonary hypoplasia, partial anomalous pulmonary drainage (scimitar vein) | 35 + 5 | Feeding vessel from abdominal aorta, hypoplastic aortic arch; secundum atrial septal defect; anomalous supracardiac pulmonary drainage of left pulmonary veins in brachiocephalic vein | Plug occlusion of feeding vessel, reinsertion of left pulmonary veins, patch reconstruction of aortic arch, postoperative hydrocephalus; hypoplastic corpus callosum; ventilation malfunction hypoxic crisis with bradyasystole, exitus at 6 months, |
| 4 | 31 + 1 | mediastinal shift; dextroposition of the heart, right pulmonary hypoplasia, anal atresia, diaphragmatic hernia, hemivertebrae, single umbilical artery, renal dysplasia | 33 + 6 | partial anomalous pulmonary drainage (scimitar vein), Feeding vessels from thoracic aorta, hypoplastic aortic arch, secundum atrial septal defect, VACTERL association | Plug occlusion of feeding vessel and 2 MAPCAs in neonatal period, multiple bronchial stent placements, 4 years old |
| 5 | 22 + 2 | mediastinal shift; dextroposition of the heart, right pulmonary hypoplasia, partial anomalous pulmonary drainage (scimitar vein) | 31 + 0 | Feeding vessel from coeliac trunk, secundum atrial septal defect, mild coarctation | Plug occlusion of feeding vessels in neonatal period, thriving with mild pulmonary hypertension, 7 years old |
| 6 | 17 + 2 | mediastinal shift; dextroposition of the heart, right pulmonary hypoplasia, partial anomalous pulmonary drainage (scimitar vein), single umbilical artery, left persistent superior caval vein | 40 + 0 | 2 Feeding vessels from thoracic aorta, anomalous drainage of right sided pulmonary veins in left atrium, secundum atrial septal defect | Plug occlusion of feeding vessels in neonatal period and at age of one year. Correction of right pulmonary veinous drainage with intra-atrial tunnel and ligation of persisting ductus arteriosus at age of 2 years, infantile cerebral palsy; tracheostoma; Percutaneous endoscopic gastrostomy(PEG) placement, 10 years old |
Publisher’s Note: MDPI stays neutral with regard to jurisdictional claims in published maps and institutional affiliations. |
© 2022 by the authors. Licensee MDPI, Basel, Switzerland. This article is an open access article distributed under the terms and conditions of the Creative Commons Attribution (CC BY) license (https://creativecommons.org/licenses/by/4.0/).
Share and Cite
Recker, F.; Weber, E.C.; Strizek, B.; Herberg, U.; Brockmaier, K.; Gottschalk, I.; Geipel, A.; Gembruch, U.; Berg, C. Prenatal Diagnosis and Outcome of Scimitar Syndrome: A Case Series of Six Patients. J. Clin. Med. 2022, 11, 1696. https://doi.org/10.3390/jcm11061696
Recker F, Weber EC, Strizek B, Herberg U, Brockmaier K, Gottschalk I, Geipel A, Gembruch U, Berg C. Prenatal Diagnosis and Outcome of Scimitar Syndrome: A Case Series of Six Patients. Journal of Clinical Medicine. 2022; 11(6):1696. https://doi.org/10.3390/jcm11061696
Chicago/Turabian StyleRecker, Florian, Eva Christin Weber, Brigitte Strizek, Ulrike Herberg, Konrad Brockmaier, Ingo Gottschalk, Annegret Geipel, Ulrich Gembruch, and Christoph Berg. 2022. "Prenatal Diagnosis and Outcome of Scimitar Syndrome: A Case Series of Six Patients" Journal of Clinical Medicine 11, no. 6: 1696. https://doi.org/10.3390/jcm11061696
APA StyleRecker, F., Weber, E. C., Strizek, B., Herberg, U., Brockmaier, K., Gottschalk, I., Geipel, A., Gembruch, U., & Berg, C. (2022). Prenatal Diagnosis and Outcome of Scimitar Syndrome: A Case Series of Six Patients. Journal of Clinical Medicine, 11(6), 1696. https://doi.org/10.3390/jcm11061696

