The Presence of ANCA in IgA Crescentic Nephropathy Does Not Lead to Worse Prognosis with Intensive Rescue Treatment
Abstract
1. Introduction
2. Materials and Methods
Statistical Analysis
3. Results
3.1. Clinical and Laboratory Characteristics
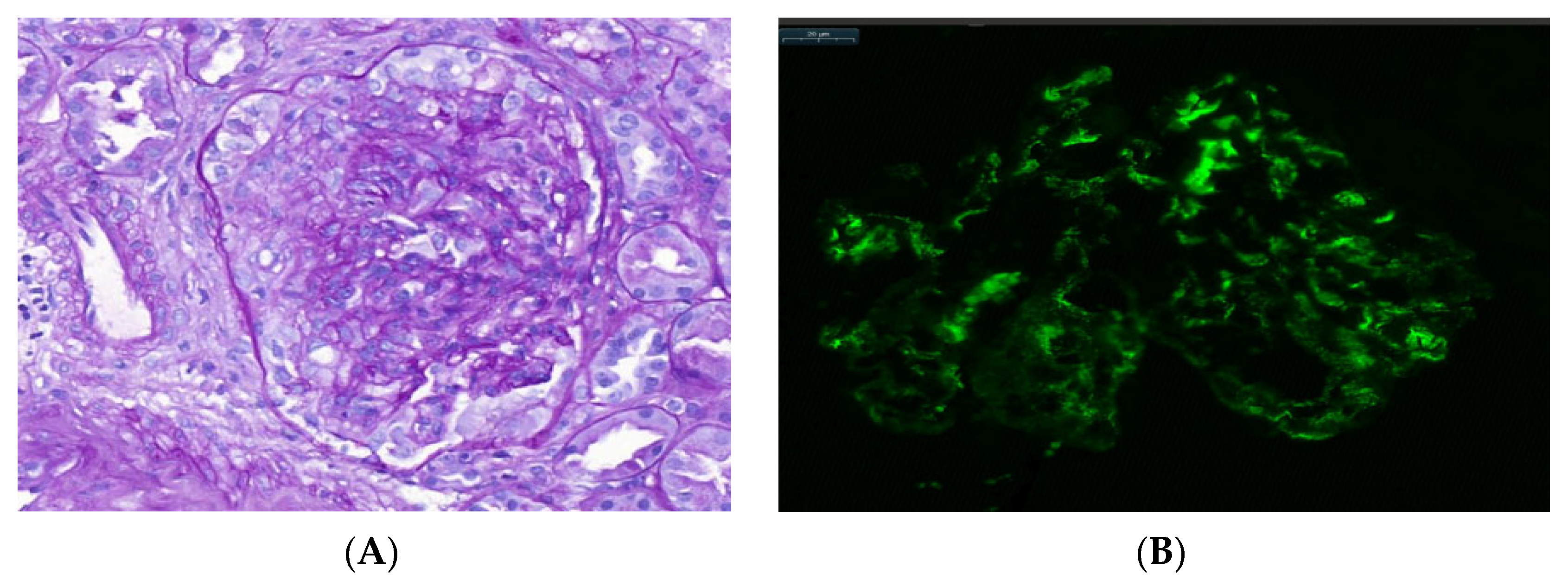
3.2. Histological Characteristics
3.3. Evolution and Response to Treatment
4. Discussion
Author Contributions
Funding
Informed Consent Statement
Conflicts of Interest
References
- D’Amico, G. The commonest glomerulonephritis in the world: IgA nephropathy. Q. J. Med. 1987, 64, 709–727. [Google Scholar] [PubMed]
- Koyama, A.; Igarashi, M.; Kobayashi, M. Natural history and risk factors for immunoglobulin a nephropathy in Japan. Am. J. Kidney Dis. 1997, 29, 526–532. [Google Scholar] [CrossRef] [PubMed]
- Allmaras, E.; Nowack, R.; Andrassy, K.; Waldherr, R.; van der Woude, F.; Ritz, E. Rapidly progressive IgA nephropathy with anti-myeloperoxidase antibodies benefits from immunosuppression. Clin. Nephrol. 1997, 48, 269–273. [Google Scholar] [PubMed]
- Ștefan, G.; Terinte-Balcan, G.; Stancu, S.; Zugravu, A.; Gherghiceanu, M.; Mircescu, G. IgA nephropathy with serum ANCA positivity: Case series and literature review. Rheumatol. Int. 2021, 41, 1347–1355. [Google Scholar] [CrossRef] [PubMed]
- Yang, Y.Z.; Shi, S.F.; Chen, Y.Q.; Chen, M.; Yang, Y.H.; Xie, X.F.; Zou, R.; Lv, J.; Liu, L.; Zhang, H. Clinical features of IgA nephropathy with serum ANCA positivity: A retrospective case-control study. Clin. Kidney J. 2015, 8, 482–488. [Google Scholar] [CrossRef] [PubMed]
- Ara, J.; Bonet, J.; Rodríguez, R.; Mirapeix, E.; Agraz, I.; Romero, R. IgA nephropathy with crescentic glomerulonephritis and ANCA positive. Nefrologia 2005, 25, 712–717. [Google Scholar] [PubMed]
- Ramirez, S.B.; Rosen, S.; Niles, J.; Somers, M.J.G. IgG antineutrophil cytoplasmic antibodies in IgA nephropathy: A clinical variant? Am. J. Kidney Dis. 1998, 31, 341–344. [Google Scholar] [CrossRef] [PubMed]
- Haas, M.; Jafri, J.; Bartosh, S.M.; Karp, S.L.; Adler, S.G.; Meehan, S.M. ANCA-associated crescentic glomerulonephritis with mesangial IgA deposits. Am. J. Kidney Dis. 2000, 36, 709–718. [Google Scholar] [CrossRef] [PubMed]
- Sinico, R.A.; Tadros, M.; Radice, A.; Pozzi, C.; Quarenghi, M.; Comotti, C.; Gregorini, G.; Castiglione, A.; Arrigo, G.; D’Amico, G. Lack of IgA Antineutrophil Cytoplasmic Antibodies in Henoch-Schönlein Purpura and IgA Nephropathy. Clin. Immunol. Immunopathol. 1994, 73, 19–26. [Google Scholar] [CrossRef] [PubMed]
- Coppo, R.; Cirina, P.; Amore, A.; Sinico, R.A.; Radice, A.; Rollino, C. Properties of circulating IgA molecules in Henoch-Schönlein purpura nephritis with focus on neutrophil cytoplasmic antigen IgA binding (IgA-ANCA): New insight into a debated issue. Italian Group of Renal Immunopathology Collaborative Study on Henoch-Schönlein purpura in adults and in children. Nephrol. Dial. Transplant. 1997, 12, 2269–2276. [Google Scholar] [PubMed]
- Haas, M.; Verhave, J.C.; Liu, Z.H.; Alpers, C.E.; Barratt, J.; Becker, J.U.; Cattran, D.; Cook, H.T.; Coppo, R.; Feehally, J.; et al. A Multicenter Study of the Predictive Value of Crescents in IgA Nephropathy the Oxford Classification for IgA nephropathy. J. Am. Soc. Nephrol. 2017, 28, 691–701. [Google Scholar] [CrossRef] [PubMed]
- Yu, G.; Zhang, Y.; Meng, B.; Xie, X.; Wang, Z.; Ying, W.; Lv, J.; Zhang, H. O-Glycoforms of Polymeric Immunoglobulin A1 in the Plasma of Patients with IgA Nephropathy Are Associated with Pathological Phenotypes. Nephrol. Dial. Transplant. 2021, 37, 33–41. [Google Scholar] [CrossRef] [PubMed]
- Bantis, C.; Stangou, M.; Schlaugat, C.; Alexopoulos, E.; Pantzaki, A.; Memmos, D.; Ivens, K.; Heering, P.J. Is Presence of ANCA in Crescentic IgA Nephropathy a Coincidence or Novel Clinical Entity? A Case Series. Am. J. Kidney Dis. 2010, 55, 259–268. [Google Scholar] [CrossRef] [PubMed]
- O’donoghue, D.J.; Darvill, A.; Ballardie, F.W. Mesangial Cell Autoantigens in Immunoglobulin A Nephropathy and Henoch-Schdnlein Purpura. J. Clin. Investig. 1991, 88, 1522–1530. [Google Scholar] [CrossRef] [PubMed]
- Roberts, I.S.D.; Cook, H.T.; Troyanov, S.; Alpers, C.E.; Amore, A.; Barratt, J.; Berthoux, F.; Bonsib, S.; Bruijn, J.A.; Cattran, D.C.; et al. The Oxford classification of IgA nephropathy: Pathology definitions, correlations, and reproducibility A Working Group of the International IgA Nephropathy Network and the Renal Pathology Society. Kidney Int. 2009, 76, 546–556. [Google Scholar] [CrossRef] [PubMed]
- Ma, Y.; Chen, L.; Xu, Y.; Han, Q.; Yu, B.; Zhao, J.; Hua, Z.; Yang, Y.; Chen, J.; Han, F. The Clinicopathologic Characteristics and Complement Activation of Antineutrophil Cytoplasmic Antibody-associated Vasculitides with Glomerular IgA Deposition. Appl. Immunohistochem. Mol. Morphol. 2020, 28, e87–e93. [Google Scholar] [CrossRef] [PubMed]
- Ring, T.; Pedersen, B.B.; Salkus, G.; Goodship, T.H.J. Use of eculizumab in crescentic IgA nephropathy: Proof of principle and conundrum? Clin. Kidney J. 2015, 8, 489–491. [Google Scholar] [CrossRef] [PubMed]
- Levy, J.B.; Hammad, T.; Coulthart, A.; Dougan, T.; Pusey, C.D. Clinical features and outcome of patients with both ANCA and anti-GBM antibodies. Kidney Int. 2004, 66, 1535–1540. [Google Scholar] [CrossRef] [PubMed]


| Patients | N = 17 | ANCA-Positive N = 5 (3 IgA/2 IgG) | ANCA-Negative N = 12 | * p-Value |
|---|---|---|---|---|
| Age (y) | 48 (27–75) | 54.6 (29–72) | 46 (27–75) | 0.51 |
| Sex | ||||
| Women | 9 (53%) | 3 (60%) | 6 (50%) | 0.5 |
| Men | 8 (47%) | 2 (40%) | 6 (50%) | 0.5 |
| Clinical presentation | ||||
| Hypertension | 12 (15%) | 4 (67%) | 8 (67%) | 0.52 |
| Edemas | 7 (41%) | 2 (40%) | 5 (36%) | 0.60 |
| Skin lesions | 4 (24%) | 2 (40%) | 2 (17%) | 0.33 |
| Lung involvement | 1 (6%) | 0 | 1 (8%) | 0.71 |
| Oligoanuria/Anuria | 2 (12%) | 1 (20%) | 1 (8%) | 0.51 |
| Nephrotic syndrome | 6 (35%) | 2 (40%) | 4 (33%) | 0.6 |
| Renal replacement therapy at diagnosis | 1 (5%) | 0 | 1 (8.3%) | 0.7 |
| Follow-up | ||||
| Renal replacement therapy dependence | 4 (23.5%) | 1 (20%) | 3 (25%) | 0.24 |
| Mortality | 4 (23.5%) | 1 (20%) | 3 (25%) | 0.3 |
| Laboratory | N = 17 | ANCA-Positive N = 5 (3 IgA/2 IgG) | ANCA-Negative N = 12 | p-Value |
|---|---|---|---|---|
| Hemoglobin (mg/dL) (DS) | 11.7 (+/−1.58) | 11.9 (+/−1.2) | 12.1 (+/−1.26) | NS |
| Initial Creatinine (mg/dL) (DS) | 2.2 (+/−1.42) | 2.5 (+/−1.22) | 2.1 (+/−1.26) | NS |
| Initial Proteinuria (g/mgCr) (DS) | 3.17 (+/−3.5) | 3.56 (+/−4.97) | 3.2 (+/−3.04) | NS |
| Microscopic hematuria (HPF) * | 505 | 661 | 439 | NS |
| Creatinine (mg/dL) (DS) 6 months | 2.25 (+/−1.8) | 2.2 (+/−1.9) | 2.46 (+/−2.1) | NS |
| Creatinine (mg/dL) (DS) 12 months | 1.57 (+/−1) | 1.63 (+/−0.85) | 1.62 (+/−1.3) | NS |
| N = 17 | ANCA-Positive N = 5 (3 IgA/2 IgG) | ANCA-Negative N = 12 | p-Value | |
|---|---|---|---|---|
| Glomerular | ||||
| Global glomerulosclerosis (%) | 248 | 18.2 | 27.5 | NS |
| Segmental glomerulosclerosis (%) | 11 | 7.2 | 12.6 | NS |
| Mesangial hypercellularity (%) | 82 | 60 | 90 | NS |
| Nº of crescents | ||||
| Crescents 0–25% | 11 (64%) | 0 | 11 (91%) | 0.04 |
| Crescents 26–50% | 5 (29%) | 4 (80%) | 1 (8%) | NS |
| Crescents 51% o > | 1 (6%) | 1 (20%) | 0 | NS |
| Fibrinoid necrosis | 5 (30%) | 4 (80%) | 1 (8%) | 0.01 |
| Tubule-Interstice | ||||
| Interstitial fibrosis/tubular atrophy | ||||
| Mild (<25%) | 8 (47%) | 3 (60%) | 5 (40%) | 0.04 |
| Moderate (26–50%) | 6 (35%) | 1 (20%) | 5 (40%) | NS |
| Severe (>50%) | 3 (17.6%) | 1 (20%) | 2 (17%) | 0.07 |
| IgA staining (%) | ||||
| + | 41.1 | 40 | 41.6 | NA |
| ++ | 13.8 | 40 | 16.6 | |
| +++ | 35.3 | 20 | 41.6 |
| N = 17 | ANCA-Positive N = 5 (3 IgA/2 IgG) | ANCA-Negative N = 12 | |
|---|---|---|---|
| Acute rescue treatment | |||
| Corticosteroids | 15 (88%) | 5 (100%) | 10 (83%) |
| Cyclophosphamide | 13 (76%) | 4 (80%) | 9 (75%) |
| MMF | 2 (12%) | 0 | 2 (15%) |
| Rituximab | 1 (6%) | 1 (33%) | 0 |
| Maintenance treatment | |||
| Corticosteroids | 15 (88%) | 5 (100%) | 10 (83%) |
| MMF | 15 (88%) | 4 (80%) | 11 (92%) |
| Budesonide | 1 (6%) | 0 | 1 (7%) |
| Rituximab | 1 (6%) | 0 | 1 (7%) |
| Azathioprine | 1 (6%) | 1 (33%) | 0 |
Publisher’s Note: MDPI stays neutral with regard to jurisdictional claims in published maps and institutional affiliations. |
© 2022 by the authors. Licensee MDPI, Basel, Switzerland. This article is an open access article distributed under the terms and conditions of the Creative Commons Attribution (CC BY) license (https://creativecommons.org/licenses/by/4.0/).
Share and Cite
Agraz, I.; Castañeda, Z.; Sanz-Martínez, M.T.; Gabaldón, A.; Bermejo, S.; Viñas Gimenez, L.; Bury, R.; Bolufer, M.; López-Martínez, M.; Ramos, N.; et al. The Presence of ANCA in IgA Crescentic Nephropathy Does Not Lead to Worse Prognosis with Intensive Rescue Treatment. J. Clin. Med. 2022, 11, 7122. https://doi.org/10.3390/jcm11237122
Agraz I, Castañeda Z, Sanz-Martínez MT, Gabaldón A, Bermejo S, Viñas Gimenez L, Bury R, Bolufer M, López-Martínez M, Ramos N, et al. The Presence of ANCA in IgA Crescentic Nephropathy Does Not Lead to Worse Prognosis with Intensive Rescue Treatment. Journal of Clinical Medicine. 2022; 11(23):7122. https://doi.org/10.3390/jcm11237122
Chicago/Turabian StyleAgraz, Irene, Zaira Castañeda, María Teresa Sanz-Martínez, Alejandra Gabaldón, Sheila Bermejo, Laura Viñas Gimenez, Roxana Bury, Mónica Bolufer, Marina López-Martínez, Natalia Ramos, and et al. 2022. "The Presence of ANCA in IgA Crescentic Nephropathy Does Not Lead to Worse Prognosis with Intensive Rescue Treatment" Journal of Clinical Medicine 11, no. 23: 7122. https://doi.org/10.3390/jcm11237122
APA StyleAgraz, I., Castañeda, Z., Sanz-Martínez, M. T., Gabaldón, A., Bermejo, S., Viñas Gimenez, L., Bury, R., Bolufer, M., López-Martínez, M., Ramos, N., Bestard, O., & Soler, M. J. (2022). The Presence of ANCA in IgA Crescentic Nephropathy Does Not Lead to Worse Prognosis with Intensive Rescue Treatment. Journal of Clinical Medicine, 11(23), 7122. https://doi.org/10.3390/jcm11237122

