Two-Year Healing Success Rates after Endodontic Treatment Using 3D Cleaning Technique: A Prospective Multicenter Clinical Study
Abstract
1. Introduction
2. Materials and Methods
2.1. Study Cohort
2.2. Intervention
2.3. Preoperative Data Collection
2.4. Treatment Procedure
2.5. Intraoperative Data Collection
2.6. Postoperative Data Collection
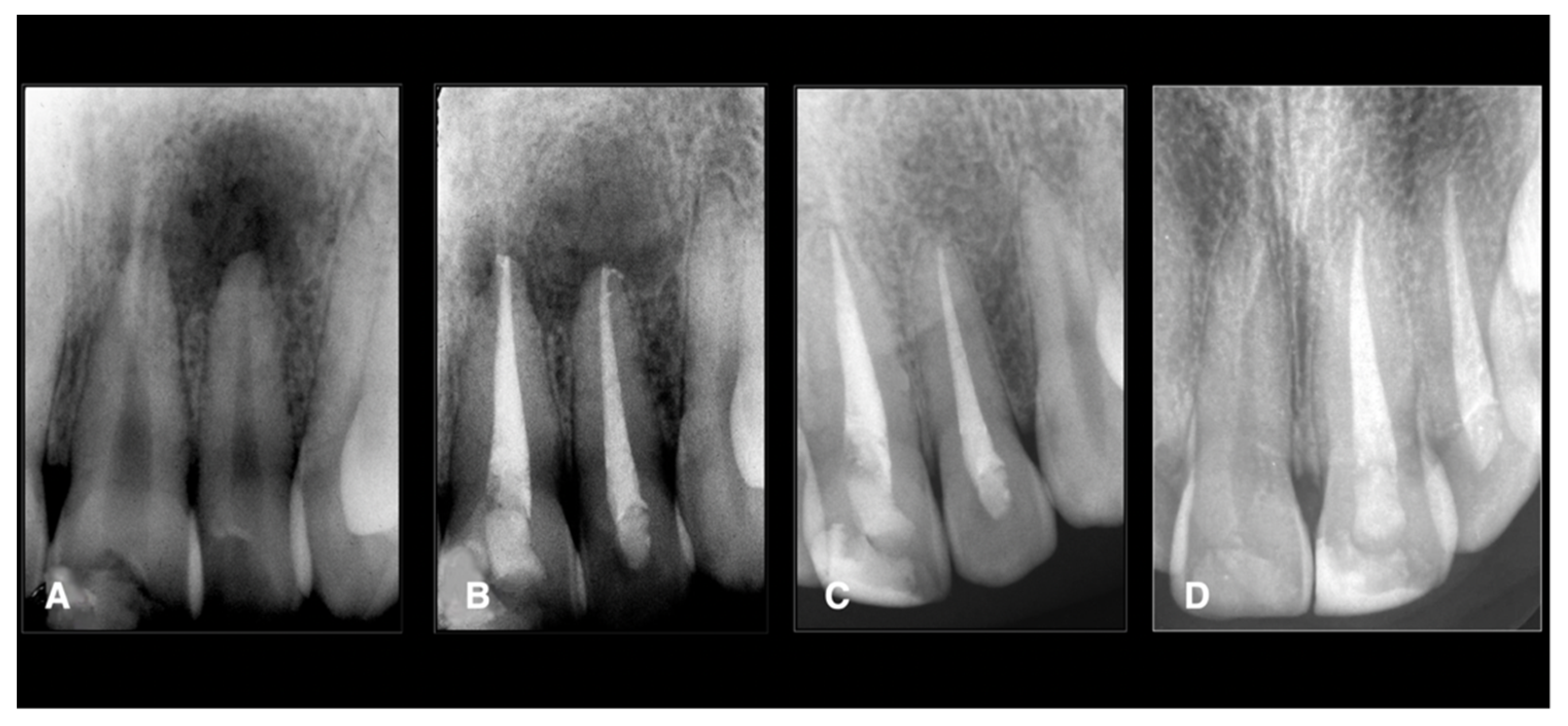
2.7. Outcome Measures and Criteria
- (a)
- Healed—clinical normalcy accompanied by radiographic PAI scores of 1 or 2.
- (b)
- Healing—clinical normalcy other than tenderness to percussion accompanied by a reduction in the size of peri-radicular lesion or reduction in PAI score.
- (c)
- Failed—the presence of clinical signs and symptoms accompanied by a radiographic PAI score of 3 or higher or an increase in the size of peri-radicular lesion or increase in PAI score.
2.8. Calibration of Evaluators
2.9. Evaluating Radiographs
2.10. Statistical Analysis
3. Results
Incidence of Pain
4. Discussion
5. Conclusions
Author Contributions
Funding
Institutional Review Board Statement
Informed Consent Statement
Data Availability Statement
Conflicts of Interest
Appendix A
| All data Male: 55 Female: 35 Age: all the patients were between 20 and 45 years. Oral hygiene: 65 patients had good hygiene. Tobacco use: 10 patients used it. Teeth: 20 maxillary molars, 40 mandibular molars, 30 maxillary premolars. Intraoperative data collection Twenty teeth had sealer extrusions. The working length was respected in all teeth. Postoperative data collection Post-treatment symptoms were assessed two days after the treatment using a visual analogue scale (VAS; 0 and 10) Thirteen maxillary molars: 2 Seven maxillary molars: 1 Five mandibular molars: 4 Eighteen mandibular molars: 3 Ten mandibular molars: 2 Seven mandibular molars: 1 Sixteen maxillary premolars: 2 Twelve maxillary premolars: 1 Two maxillary premolars: 3 Total number: 90 teeth Two patients (2 teeth) did not come for the follow-up. Of the 88 teeth, 84 (95%) were healed, and four (5%) failed. Four teeth failed: 2 maxillary premolars and two mandibular molars (these teeth did not have sealer extrusion). One maxillary premolar failed with vertical root fracture. |
References
- Amato, M.; Pantaleo, G.; Abdellatif, D.; Blasi, A.; Gagliani, M.I. An in vitro evaluation of the degree of pulp tissue dissolution through different root canal irrigation protocols. J. Conserv. Dent. 2018, 21, 175–179. [Google Scholar]
- Teja KV Sindhu Ramesh, B.G.; Vasundhara, K.A.; Jose, J.; Janani, K. The effect of various in-vitro and ex-vivo parameters on irrigant flow and apical pressure using manual syringe needle irrigation: Systematic review. Saudi. Dent. J. 2022, 34, 87–99. [Google Scholar] [CrossRef] [PubMed]
- Di Spirito, F.; Scelza, G.; Fornara, R.; Giordano, F.; Rosa, D.; Amato, A. Post-Operative Endodontic Pain Management: An Overview of Systematic Reviews on Post-Operatively Administered Oral Medications and Integrated Evidence-Based Clinical Recommendations. Healthcare 2022, 10, 760. [Google Scholar] [CrossRef] [PubMed]
- Iandolo, A.; Amato, M.; Dagna, A.; Poggio, C.; Abdellatif, D.; Franco, V.; Pantaleo, G. Intracanal heating of sodium hypochlorite: Scanning electron microscope evaluation of root canal walls. J. Conserv. Dent. 2018, 21, 569–573. [Google Scholar] [CrossRef]
- Teja, K.V.; Sindhu Ramesh, S. Is a filled lateral canal—A sign of superiority? J. Dent. Sci. 2020, 15, 562–563. [Google Scholar] [CrossRef] [PubMed]
- Iandolo, A.; Abdellatif, D.; Amato, M.; Pantaleo, G.; Blasi, A.; Franco, V.; Neelakantan, P. Dentinal tubule penetration and root canal cleanliness following ultrasonic activation of intracanal-heated sodium hypochlorite. Aust. Endod. J. 2020, 46, 204–209. [Google Scholar] [CrossRef]
- Tay, F.R.; Gu, L.S.; Schoeffel, G.J.; Wimmer, C.; Susin, L.; Zhang, K.; Arun, S.N.; Kim, J.; Looney, S.W.; Pashley, D.H. Effect of vapor lock on root canal debridement by using a side-vented needle for positive-pressure irrigant delivery. J. Endod. 2010, 36, 745–750. [Google Scholar] [CrossRef]
- Munoz, H.R.; Camacho-Cuadra, K. In Vivo efficacy of three different endodontic irrigation systems for irrigant delivery to working length of mesial canals of mandibular molars. J. Endod. 2012, 38, 445–448. [Google Scholar] [CrossRef] [PubMed]
- Di Spirito, F.; Pisano, M.; Caggiano, M.; Bhasin, P.; Lo Giudice, R.; Abdellatif, D. Root Canal Cleaning after Different Irrigation Techniques: An Ex Vivo Analysis. Medicina 2022, 58, 193. [Google Scholar] [CrossRef] [PubMed]
- Sigurdsson, A.; Garland, R.W.; Le, K.T.; Woo, S.M. 12-month Healing Rates after Endodontic Therapy Using the Novel GentleWave System: A Prospective Multicenter Clinical Study. J. Endod. 2016, 42, 1040–1048. [Google Scholar] [CrossRef]
- European Society of Endodontology. Quality guidelines for endodontic treatment: Consensus report of the European Society of Endodontology. Int. Endod. J. 2006, 39, 921–930. [Google Scholar] [CrossRef] [PubMed]
- Kakehashi, S.; Stanley, H.R.; Fitzgerald, R.J. The effects of surgical exposures of dental pulps in germ-free and conventional laboratory rats. Oral Surg. Oral Med. Oral Pathol. 1965, 20, 340–349. [Google Scholar] [CrossRef]
- Narayanan, L.L.; Vaishnavi, C. Endodontic microbiology. J. Conserv. Dent. 2010, 13, 233–239. [Google Scholar] [CrossRef]
- Cunningham, W.T.; Balekjian, A.Y. Effect of temperature on collagen-dissolving ability of sodium hypochlorite endodontic irrigant. Oral Surg. Oral Med. Oral Pathol. 1980, 49, 175–177. [Google Scholar] [CrossRef]
- Iandolo, A.; Simeone, M.; Orefice, S.; Rengo, S. 3D cleaning, a perfected technique: Thermal profile assessment of heated NaOCl. G. Ital. Di Endod. 2017, 31, 58–61. [Google Scholar] [CrossRef]
- Woodmansey, K.F. Intracanal heating of sodium hypochlorite solution: An improbe endodontic irrigation technique. Dent. Today 2005, 24, 114–116. [Google Scholar] [PubMed]
- Iandolo, A.; Abdellatif, D.; Pantaleo, G.; Sammartino, P.; Amato, A. Conservative shaping combined with three-dimensional cleaning can be a powerful tool: Case series. J. Conserv. Dent. 2020, 23, 648–652. [Google Scholar] [CrossRef] [PubMed]
- Tang, W.; Wu, Y.; Smales, R.J. Identifying and reducing risks for potential fractures in endodontically treated teeth. J. Endod. 2010, 36, 609–617. [Google Scholar] [CrossRef]
- Yuan, K.; Niu, C.; Xie, Q.; Jiang, W.; Gao, L.; Huang, Z.; Ma, R. Comparative evaluation of the impact of minimally invasive preparation vs. conventional straight-line preparation on tooth biomechanics: A finite element analysis. Eur. J. Oral Sci. 2016, 124, 591–596. [Google Scholar] [CrossRef] [PubMed]
- Liu, R.; Hou, B.X.; Wesselink, P.R.; Wu, M.-K.; Shemesh, H. The incidence of root microcracks caused by 3 different single-file systems versus the ProTaper system. J. Endod. 2013, 39, 1054–1056. [Google Scholar] [CrossRef]
- Barreto, M.S.; Moraes, R.D.A.; da Rosa, R.A.; Moreira, C.; Só, M.V.R.; Bier, C.A.S. Vertical root fractures and dentin defects: Effects of root canal preparation, filling, and mechanical cycling. J. Endod. 2012, 38, 1135–1139. [Google Scholar] [CrossRef] [PubMed]
- Devi, T.P.; Kaur, A.; Priyadarshini, S.; Deepak, B.S.; Banerjee, S.; Sanjeeta, N. Microscopic Assessment of Dentinal Defects Induced by ProTaper Universal, ProTaper Gold, and Hyflex Electric Discharge Machining Rotary File Systems-An in vitro Study. Contemp. Clin. Dent. 2021, 12, 230–234. [Google Scholar] [CrossRef] [PubMed]
- Iandolo, A.; Simeone, M.; Riccitiello, F. The preparation of coronal isthmus is a fundamental step for long term success. G. Ital. Di Endod. 2012, 26, 150–154. [Google Scholar] [CrossRef]


| Inclusion Criteria | Exclusion Criteria |
|---|---|
| Age of the patient between 18 and 70 | Subject tooth having previous or attempted pulpotomy, pulpectomy, or root canal therapy |
| The tooth needs root canal treatment | Immunocompromised patients (i.e., corticosteroid usage) |
| Signed informed consent form | Any known infectious diseases (e.g., HIV, hepatitis B, hepatitis C, tuberculosis, BCE, or prion disease) |
| History of cancer within the oral-maxillofacial region | |
| History of cancer within the past two years | |
| History of head and/or neck radiation therapy | |
| Subject tooth with mobility score ≥ 2 | |
| Subject tooth with periodontal pocket depth ≥ 6 mm | |
| Subject tooth with vertical fracture or horizontal fracture extending below the cemento-enamel junction (CEJ) of the tooth | |
| Non-odontogenic facial pain |
| PAI Score | |||||||
| 1 (n; %) | 2 (n; %) | 3 (n; %) | ≤3 (n; %) | 4 (n; %) | 5 (n; %) | >3 (n; %) | |
| Baseline n = 90 | 0 | 31; 34.4 | 36; 40.0 | 67; 74.4 | 22; 24.4 | 1 | 23; 25.6 |
| Follow-up n = 88 | 84; 95.4 | 0; 0.0 | 0; 0.0 | 84 95.4 | 4; 4.6 | 0; 0.0 | 4; 4.6 |
| Factor | p-Value | |
|---|---|---|
| 1 | Age | 0.072 |
| 2 | Gender | 0.063 |
| 3 | Oral hygiene | 0.058 |
| 4 | Diabetic history | 0.853 |
| 5 | Tobacco use | 0.085 |
| 6 | Maxillary molars | 0.745 |
| 7 | Right molars | 0.854 |
| 8 | Clinical symptoms | 0.042 |
| 9 | Bleeding on probing | 0.207 |
| 10 | Probing depth baseline | 0.634 |
| 11 | Sinus tract baseline | 0.046 |
| 12 | Fistula baseline | 0.893 |
| 13 | Periradicular diagnosis baseline | 0.696 |
| 14 | Pulp diagnosis | 0.802 |
| 15 | PAI score baseline | 0.846 |
| 16 | Number of visits | NA |
| 17 | Number of roots | 0.849 |
| 18 | Operator | 0.568 |
| 19 | Final apical diameter | 0.890 |
| 20 | Calcification | 0.854 |
| 21 | Obturation type | 0.443 |
| 22 | Root filling length | 0.287 |
| 24 | Sealer extrusion | 0.391 |
| 25 | Coronal seal | 0.085 |
| 26 | Post | 0.605 |
| 27 | Restoration | 0.560 |
| 28 | Clinical symptoms | 0.822 |
| 29 | Crown and bite related issues | 0.763 |
| 30 | Probing depth follow-up | 0.225 |
| 31 | Sinus tract follow-up | NA |
| 32 | Fistula follow-up | NA |
| 33 | Periradicular diagnosis follow-up | 0.361 |
| 34 | PAI scores follow-up | 0.376 |
| Tooth Position | n | Postoperative Symptoms (VAS); n (%) | Follow-Up; n (%) | Preoperative PAI > 3; n (%) | Follow-Up PAI > 3; n (%) | Failed; n (%) | |||
|---|---|---|---|---|---|---|---|---|---|
| 1 | 2 | 3 | 4 | ||||||
| Maxillary molars | 20 | 7 (35.0) | 13 (65.0) | 0 (0.0) | 0 (0.0) | 19 (95.0) | 6 (30.0) | 0 (0.0) | 0 (0.0) |
| Maxillary premolars | 30 | 12 (40.0) | 16 (53.3) | 2 (6.7) | 0 (0.0) | 29 (96.7) | 7 (23.3) | 2 (6.9) | 2 (6.9) |
| Mandibular molars | 40 | 7 (17.5) | 10 (25.0) | 18 (45.0) | 5 (12.5) | 40 (100.0) | 10 (25.0) | 2 (5.0) | 2 (5.0) |
| OVERALL | 90 | 26 (28.8) | 39 (43.3) | 20 (22.2) | 5 (5.7) | 88 (97.8) | 23 (25.6) | 4 (4.6) | 4 (4.6) |
Publisher’s Note: MDPI stays neutral with regard to jurisdictional claims in published maps and institutional affiliations. |
© 2022 by the authors. Licensee MDPI, Basel, Switzerland. This article is an open access article distributed under the terms and conditions of the Creative Commons Attribution (CC BY) license (https://creativecommons.org/licenses/by/4.0/).
Share and Cite
Pantaleo, G.; Amato, A.; Iandolo, A.; Abdellatif, D.; Di Spirito, F.; Caggiano, M.; Pisano, M.; Blasi, A.; Fornara, R.; Amato, M. Two-Year Healing Success Rates after Endodontic Treatment Using 3D Cleaning Technique: A Prospective Multicenter Clinical Study. J. Clin. Med. 2022, 11, 6213. https://doi.org/10.3390/jcm11206213
Pantaleo G, Amato A, Iandolo A, Abdellatif D, Di Spirito F, Caggiano M, Pisano M, Blasi A, Fornara R, Amato M. Two-Year Healing Success Rates after Endodontic Treatment Using 3D Cleaning Technique: A Prospective Multicenter Clinical Study. Journal of Clinical Medicine. 2022; 11(20):6213. https://doi.org/10.3390/jcm11206213
Chicago/Turabian StylePantaleo, Giuseppe, Alessandra Amato, Alfredo Iandolo, Dina Abdellatif, Federica Di Spirito, Mario Caggiano, Massimo Pisano, Andrea Blasi, Roberto Fornara, and Massimo Amato. 2022. "Two-Year Healing Success Rates after Endodontic Treatment Using 3D Cleaning Technique: A Prospective Multicenter Clinical Study" Journal of Clinical Medicine 11, no. 20: 6213. https://doi.org/10.3390/jcm11206213
APA StylePantaleo, G., Amato, A., Iandolo, A., Abdellatif, D., Di Spirito, F., Caggiano, M., Pisano, M., Blasi, A., Fornara, R., & Amato, M. (2022). Two-Year Healing Success Rates after Endodontic Treatment Using 3D Cleaning Technique: A Prospective Multicenter Clinical Study. Journal of Clinical Medicine, 11(20), 6213. https://doi.org/10.3390/jcm11206213

