Endovascular Abdominal Aortic Aneurysm Repair: Overview of Current Guidance, Strategies, and New Technologies, Perspectives from the United Kingdom
Abstract
1. Introduction
2. EVAR vs. OSR in Unruptured Infrarenal AAA
3. Complex AAA Repair Strategies and New Technologies
3.1. Chimney EVAR (ChEVAR)
3.2. Fenestrated/Branched EVAR (FEVAR/BEVAR)
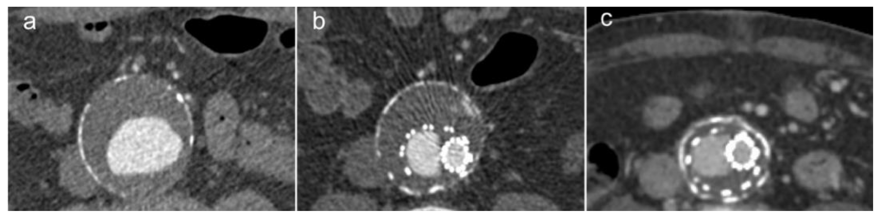
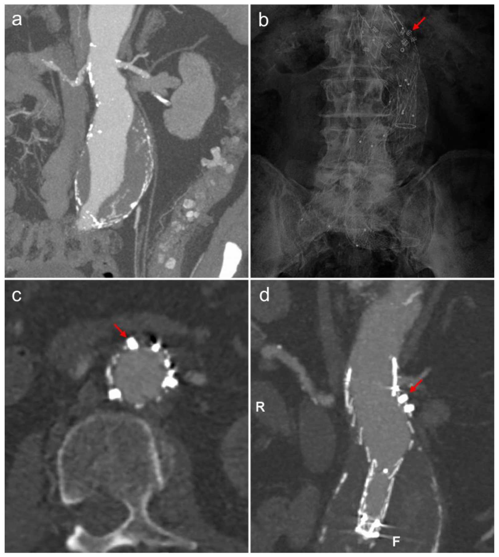
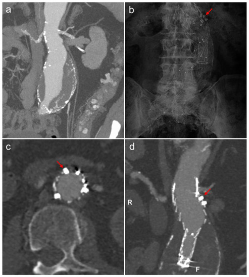
3.3. Endoanchors
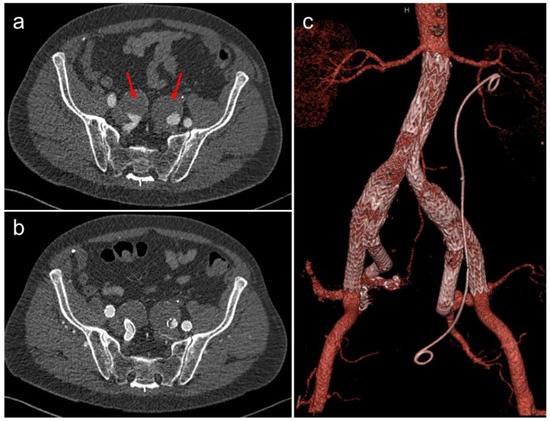
3.4. Endovascular Repair of Aortoiliac Aneurysms
4. Conclusions
Author Contributions
Funding
Institutional Review Board Statement
Informed Consent Statement
Data Availability Statement
Conflicts of Interest
References
- Public Health England. AAA Standards Report 2019 to 2020. Published 25 February 2021. Available online: https://www.gov.uk/government/statistics/abdominal-aortic-aneurysm-screening-standards-report-2019-to-2020/aaa-standards-report-2019-to-2020 (accessed on 6 August 2022).
- Forsdahl, S.H.; Singh, K.; Solberg, S.; Jacobsen, B.K. Risk factors for abdominal aortic aneurysms: A 7-year prospective study: The Tromsø Study, 1994–2001. Circulation 2009, 119, 2202–2208. [Google Scholar] [CrossRef] [PubMed]
- Lederle, F.A.; Johnson, G.R.; Wilson, S.E.; Ballard, D.J.; Jordan, W.D., Jr.; Blebea, J.; Littooy, F.N.; Freischlag, J.A.; Bandyk, D.; Rapp, J.H.; et al. Rupture rate of large abdominal aortic aneurysms in patients refusing or unfit for elective repair. JAMA 2002, 287, 2968–2972. [Google Scholar] [CrossRef] [PubMed]
- Al-Balah, A.; Goodall, R.; Salciccioli, J.D.; Marshall, D.C.; Shalhoub, J. Mortality from abdominal aortic aneurysm: Trends in European Union 15+ countries from 1990 to 2017. Br. J. Surg. 2020, 107, 1459–1467. [Google Scholar] [CrossRef] [PubMed]
- Thompson, S.G.; Ashton, H.A.; Gao, L.; Buxton, M.J.; Scott, R.A.; Multicentre Aneurysm Screening Study (MASS) Group. Final follow-up of the Multicentre Aneurysm Screening Study (MASS) randomized trial of abdominal aortic aneurysm screening. Br. J. Surg. 2012, 99, 1649–1656. [Google Scholar] [CrossRef]
- Cao, P.; De Rango, P.; Verzini, F.; Parlani, G. Endoleak after endovascular aortic repair: Classification, diagnosis and management following endovascular thoracic and abdominal aortic repair. J. Cardiovasc. Surg. 2010, 51, 53–69. [Google Scholar]
- Candell, L.; Tucker, L.Y.; Goodney, P.; Walker, J.; Okuhn, S.; Hill, B.; Chang, R. Early and delayed rupture after endovascular abdominal aortic aneurysm repair in a 10-year multicenter registry. J. Vasc. Surg. 2014, 60, 1146–1153. [Google Scholar] [CrossRef]
- Langenberg, J.C.; Roijers, J.; Ho, G.H.; Veen, E.J.; Vos, D.; Buimer, T.; De Groot, H.G.; van der Laan, L. Post-EVAR aneurysm sac shrinkage is prognostically favorable, but does not justify withholding follow-up. J. Cardiovasc. Surg. 2020, 61, 317–322. [Google Scholar] [CrossRef]
- Dua, A.; Kuy, S.; Lee, C.J.; Upchurch, G.R., Jr.; Desai, S.S. Epidemiology of aortic aneurysm repair in the United States from 2000 to 2010. J. Vasc. Surg. 2014, 59, 1512–1517. [Google Scholar] [CrossRef]
- NICE. Abdominal Aortic Aneurysm: Diagnosis and Management; NICE Guideline [NG 156]; National Institute for Health and Care Excellence: London, UK, 2020. [Google Scholar]
- The UK Small Aneurysm Trial Participants. Mortality results for randomised controlled trial of early elective surgery or ultrasonographic surveillance for small abdominal aortic aneurysms. Lancet 1998, 352, 1649–1655. [Google Scholar] [CrossRef]
- Lederle, F.A.; Wilson, S.E.; Johnson, G.R.; Reinke, D.B.; Littooy, F.N.; Acher, C.W.; Ballard, D.J.; Messina, L.M.; Gordon, I.L.; Chute, E.P.; et al. Immediate repair compared with surveillance of small abdominal aortic aneurysms. N. Engl. J. Med. 2002, 346, 1437–1444. [Google Scholar] [CrossRef]
- Greenhalgh, R.M.; Brown, L.C.; Kwong, G.P.; Powell, J.T.; Thompson, S.G.; EVAR Trial Participants. Comparison of endovascular aneurysm repair with open repair in patients with abdominal aortic aneurysm (EVAR trial 1), 30-day operative mortality results: Randomised controlled trial. Lancet 2004, 364, 843–848. [Google Scholar] [CrossRef]
- Lederle, F.A.; Freischlag, J.A.; Kyriakides, T.C.; Padberg, F.T., Jr.; Matsumura, J.S.; Kohler, T.R.; Lin, P.H.; Jean-Claude, J.M.; Cikrit, D.F.; Swanson, K.M.; et al. Outcomes following endovascular vs open repair of abdominal aortic aneurysm: A randomized trial. JAMA 2009, 302, 1535–1542. [Google Scholar] [CrossRef] [PubMed]
- Prinssen, M.; Verhoeven, E.L.; Buth, J.; Cuypers, P.W.; van Sambeek, M.R.; Balm, R.; Buskens, E.; Grobbee, D.E.; Blankensteijn, J.D.; Dutch Randomized Endovascular Aneurysm Management (DREAM)Trial Group. A randomized trial comparing conventional and endovascular repair of abdominal aortic aneurysms. N. Engl. J. Med. 2004, 351, 1607–1618. [Google Scholar] [CrossRef] [PubMed]
- Becquemin, J.P.; Pillet, J.C.; Lescalie, F.; Sapoval, M.; Goueffic, Y.; Lermusiaux, P.; Steinmetz, E.; Marzelle, J.; ACE Trialists. A randomized controlled trial of endovascular aneurysm repair versus open surgery for abdominal aortic aneurysms in low- to moderate-risk patients. J. Vasc. Surg. 2011, 53, 1167–1173.e1. [Google Scholar] [CrossRef] [PubMed]
- United Kingdom EVAR Trial Investigators; Greenhalgh, R.M.; Brown, L.C.; Powell, J.T.; Thompson, S.G.; Epstein, D.; Sculpher, M.J. Endovascular versus open repair of abdominal aortic aneurysm. N. Engl. J. Med. 2010, 362, 1863–1871. [Google Scholar] [CrossRef]
- Patel, R.; Sweeting, M.J.; Powell, J.T.; Greenhalgh, R.M.; EVAR Trial Investigators. Endovascular versus open repair of abdominal aortic aneurysm in 15-years’ follow-up of the UK endovascular aneurysm repair trial 1 (EVAR trial 1): A randomised controlled trial. Lancet 2016, 388, 2366–2374. [Google Scholar] [CrossRef]
- EVAR Trial Participants. Endovascular aneurysm repair and outcome in patients unfit for open repair of abdominal aortic aneurysm (EVAR trial 2): Randomised controlled trial. Lancet 2005, 365, 2187–2192. [Google Scholar] [CrossRef]
- Waton, S.; Johal, A.; Birmpili, P.; Li, Q.; Cromwell, D.; O’Neill, R.; Williams, R.; Pherwani, A. National Vascular Registry: 2021 Annual Report; The Royal College of Surgeons of England: London, UK, 2021. [Google Scholar]
- Dansey, K.D.; de Guerre, L.E.V.M.; Swerdlow, N.J.; Li, C.; Lu, J.; Patel, P.B.; Scali, S.T.; Giles, K.A.; Schermerhorn, M.L. A comparison of administrative data and quality improvement registries for abdominal aortic aneurysm repair. J. Vasc. Surg. 2021, 73, 874–888. [Google Scholar] [CrossRef]
- Ultee, K.H.; Soden, P.A.; Zettervall, S.L.; Darling, J.; Verhagen, H.J.; Schermerhorn, M.L. Conversion from endovascular to open abdominal aortic aneurysm repair. J. Vasc. Surg. 2016, 64, 76–82. [Google Scholar] [CrossRef]
- Mehta, M.; Paty, P.; Comeau, J.; Bhaghtwar, H.; Jafree, K.; Chang, B.; Darling, R.; Feustel, P. Endovascular Chimney EVAR Versus Open Surgical Repair for Juxtarenal and Type IV Thoracoabdominal Aortic Aneurysms. Abstract from the 2015 Eastern Vascular Society Annual Meeting. J. Vasc. Surg. 2015, 62, 816. [Google Scholar] [CrossRef][Green Version]
- Menegolo, M.; Xodo, A.; Penzo, M.; Piazza, M.; Squizzato, F.; Colacchio, E.C.; Grego, F.; Antonello, M. Open repair versus EVAR with parallel grafts in patients with juxtarenal abdominal aortic aneurysm excluded from fenestrated endografting. J. Cardiovasc. Surg. 2021, 62, 483–495. [Google Scholar] [CrossRef] [PubMed]
- Donas, K.P.; Lee, J.T.; Lachat, M.; Torsello, G.; Veith, F.J.; PERICLES Investigators. Collected world experience about the performance of the snorkel/chimney endovascular technique in the treatment of complex aortic pathologies: The PERICLES registry. Ann. Surg. 2015, 262, 546–553. [Google Scholar] [CrossRef] [PubMed]
- Scali, S.T.; Beck, A.W.; Torsello, G.; Lachat, M.; Kubilis, P.; Veith, F.J.; Lee, J.T.; Donas, K.P.; PERICLES Investigators. Identification of optimal device combinations for the chimney endovascular aneurysm repair technique within the PERICLES registry. J. Vasc. Surg. 2018, 68, 24–35. [Google Scholar] [CrossRef]
- Wanhainen, A.; Verzini, F.; Van Herzeele, I.; Allaire, E.; Bown, M.; Cohnert, T.; Dick, F.; van Herwaarden, J.; Karkos, C.; Koelemay, M.; et al. Editor’s Choice—European Society for Vascular Surgery (ESVS) 2019 Clinical Practice Guidelines on the Management of Abdominal Aorto-iliac Artery Aneurysms. Eur. J. Vasc. Endovasc. Surg. 2019, 57, 8–93, Erratum in Eur. J. Vasc. Endovasc. Surg. 2020, 59, 494. [Google Scholar] [CrossRef]
- Suckow, B.D.; Goodney, P.P.; Columbo, J.A.; Kang, R.; Stone, D.H.; Sedrakyan, A.; Cronenwett, J.L.; Fillinger, M.F. National trends in open surgical, endovascular, and branched-fenestrated endovascular aortic aneurysm repair in Medicare patients. J. Vasc. Surg. 2018, 67, 1690–1697.e1. [Google Scholar] [CrossRef]
- Waton, S.; Johal, A.; Heikkila, K.; Cromwell, D.; Loftus, I. National Vascular Registry: 2015 Annual Report; The Royal College of Surgeons of England: London, UK, 2015. [Google Scholar]
- Sobocinski, J.; d’Utra, G.; O’Brien, N.; Midulla, M.; Maurel, B.; Guillou, M.; Azzaoui, R.; Roeder, B.; Resch, T.A.; Haulon, S. Off-the-shelf fenestrated endografts: A realistic option for more than 70% of patients with juxtarenal aneurysms. J. Endovasc. Ther. 2012, 19, 165–172. [Google Scholar] [CrossRef]
- Canonge, J.; Jayet, J.; Heim, F.; Chakfé, N.; Coggia, M.; Coscas, R.; Cochennec, F. Comprehensive Review of Physician Modified Aortic Stent Grafts: Technical and Clinical Outcomes. Eur. J. Vasc. Endovasc. Surg. 2021, 61, 560–569. [Google Scholar] [CrossRef]
- Belczak, S.Q.; Lanziotti, L.; Botelho, Y.; Aun, R.; Silva, E.S.; Puech-Leão, P.; Luccia, N.D. Open and endovascular repair of juxtarenal abdominal aortic aneurysms: A systematic review. Clinics 2014, 69, 641–646. [Google Scholar] [CrossRef]
- Nordon, I.M.; Hinchliffe, R.J.; Holt, P.J.; Loftus, I.M.; Thompson, M.M. Modern treatment of juxtarenal abdominal aortic aneurysms with fenestrated endografting and open repair--a systematic review. Eur. J. Vasc. Endovasc. Surg. 2009, 38, 35–41. [Google Scholar] [CrossRef]
- Rao, R.; Lane, T.R.; Franklin, I.J.; Davies, A.H. Open repair versus fenestrated endovascular aneurysm repair of juxtarenal aneurysms. J. Vasc. Surg. 2015, 61, 242–255. [Google Scholar] [CrossRef]
- Patel, S.R.; Ormesher, D.C.; Griffin, R.; Jackson, R.J.; Lip, G.Y.H.; Vallabhaneni, S.R.; UK-COMPASS Trial. Editor’s Choice—Comparison of Open, Standard, and Complex Endovascular Aortic Repair Treatments for Juxtarenal/Short Neck Aneurysms: A Systematic Review and Network Meta-Analysis. Eur. J. Vasc. Endovasc. Surg. 2022, 63, 696–706. [Google Scholar] [CrossRef] [PubMed]
- Oderich, G.S.; Greenberg, R.K.; Farber, M.; Lyden, S.; Sanchez, L.; Fairman, R.; Jia, F.; Bharadwaj, P.; Zenith Fenestrated Study Investigators. Results of the United States multicenter prospective study evaluating the Zenith fenestrated endovascular graft for treatment of juxtarenal abdominal aortic aneurysms. J. Vasc. Surg. 2014, 60, 1420–1428.e5. [Google Scholar] [CrossRef]
- Verhoeven, E.L.; Katsargyris, A.; Oikonomou, K.; Kouvelos, G.; Renner, H.; Ritter, W. Fenestrated Endovascular Aortic Aneurysm Repair as a First Line Treatment Option to Treat Short Necked, Juxtarenal, and Suprarenal Aneurysms. Eur. J. Vasc. Endovasc. Surg. 2016, 51, 775–781. [Google Scholar] [CrossRef]
- Mastracci, T.M.; Eagleton, M.J.; Kuramochi, Y.; Bathurst, S.; Wolski, K. Twelve-year results of fenestrated endografts for juxtarenal and group IV thoracoabdominal aneurysms. J. Vasc. Surg. 2015, 61, 355–364. [Google Scholar] [CrossRef]
- Yaoguo, Y.; Zhong, C.; Lei, K.; Yaowen, X. Treatment of complex aortic aneurysms with fenestrated endografts and chimney stent repair: Systematic review and meta-analysis. Vascular 2017, 25, 92–100. [Google Scholar] [CrossRef]
- Xodo, A.; D’Oria, M.; Mendes, B.; Bertoglio, L.; Mani, K.; Gargiulo, M.; Budtz-Lilly, J.; Antonello, M.; Veraldi, G.F.; Pilon, F.; et al. Peri-Operative Management of Patients Undergoing Fenestrated-Branched Endovascular Repair for Juxtarenal, Pararenal and Thoracoabdominal Aortic Aneurysms: Preventing, Recognizing and Treating Complications to Improve Clinical Outcomes. J. Pers. Med. 2022, 12, 1018. [Google Scholar] [CrossRef]
- Jordan, W.D., Jr.; Mehta, M.; Varnagy, D.; Moore, W.M., Jr.; Arko, F.R.; Joye, J.; Ouriel, K.; de Vries, J.P. Aneurysm Treatment using the Heli-FX Aortic Securement System Global Registry (ANCHOR) Workgroup Members. Results of the ANCHOR prospective, multicenter registry of EndoAnchors for type Ia endoleaks and endograft migration in patients with challenging anatomy. J. Vasc. Surg. 2014, 60, 885–892.e2. [Google Scholar] [CrossRef]
- Qamhawi, Z.; Barge, T.F.; Makris, G.C.; Patel, R.; Wigham, A.; Anthony, S.; Uberoi, R. Editor’s Choice—Systematic Review of the Use of Endoanchors in Endovascular Aortic Aneurysm Repair. Eur. J. Vasc. Endovasc. Surg. 2020, 59, 748–756. [Google Scholar] [CrossRef]
- Karaolanis, G.; Antonopoulos, C.N.; Koutsias, S.; Antoniou, G.A.; Beropoulis, E.; Torsello, G.; Taneva, G.T.; Donas, K.P. Outcomes of endosutured aneurysm repair with the Heli-FX EndoAnchor implants. Vascular 2020, 28, 568–576. [Google Scholar] [CrossRef]
- NICE. Endoanchoring Systems in Endovascular Aortic Aneurysm Repair; Interventional Procedures Guidance [IPG 725]; National Institute for Health and Care Excellence: London, UK, 2021. [Google Scholar]






Publisher’s Note: MDPI stays neutral with regard to jurisdictional claims in published maps and institutional affiliations. |
© 2022 by the authors. Licensee MDPI, Basel, Switzerland. This article is an open access article distributed under the terms and conditions of the Creative Commons Attribution (CC BY) license (https://creativecommons.org/licenses/by/4.0/).
Share and Cite
Bakewell, R.; Krokidis, M.; Winterbottom, A. Endovascular Abdominal Aortic Aneurysm Repair: Overview of Current Guidance, Strategies, and New Technologies, Perspectives from the United Kingdom. J. Clin. Med. 2022, 11, 5415. https://doi.org/10.3390/jcm11185415
Bakewell R, Krokidis M, Winterbottom A. Endovascular Abdominal Aortic Aneurysm Repair: Overview of Current Guidance, Strategies, and New Technologies, Perspectives from the United Kingdom. Journal of Clinical Medicine. 2022; 11(18):5415. https://doi.org/10.3390/jcm11185415
Chicago/Turabian StyleBakewell, Robert, Miltiadis Krokidis, and Andrew Winterbottom. 2022. "Endovascular Abdominal Aortic Aneurysm Repair: Overview of Current Guidance, Strategies, and New Technologies, Perspectives from the United Kingdom" Journal of Clinical Medicine 11, no. 18: 5415. https://doi.org/10.3390/jcm11185415
APA StyleBakewell, R., Krokidis, M., & Winterbottom, A. (2022). Endovascular Abdominal Aortic Aneurysm Repair: Overview of Current Guidance, Strategies, and New Technologies, Perspectives from the United Kingdom. Journal of Clinical Medicine, 11(18), 5415. https://doi.org/10.3390/jcm11185415
