Swin Transformer Improves the IDH Mutation Status Prediction of Gliomas Free of MRI-Based Tumor Segmentation
Abstract
:1. Introduction
2. Materials and Methods
2.1. Patients
2.2. Study Design
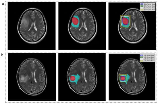
2.2.1. Tumor Delineation
2.2.2. Imaging Preprocessing and Augmentation
2.2.3. Image Inputs Definition
2.2.4. Network Development Using Different Network Architectures
- (1)
- The Swin Transformer network development
- (2)
- The CNN-based ResNet network development
2.2.5. Hybrid Model Development
2.3. Network Implementation
2.4. Statistical Analysis
3. Results
3.1. Patient Data
3.2. Performance of the Models with Different Architectures and Input Image Strategies
3.3. Performance of the Hybrid Model
4. Discussions
5. Limitations
6. Conclusions
Supplementary Materials
Author Contributions
Funding
Institutional Review Board Statement
Informed Consent Statement
Data Availability Statement
Conflicts of Interest
References
- Ostrom, Q.T.; Cioffi, G.; Waite, K.; Kruchko, C.; Barnholtz-Sloan, J.S. CBTRUS Statistical Report: Primary Brain and Other Central Nervous System Tumors Diagnosed in the United States in 2014–2018. Neuro-Oncology 2021, 23 (Suppl. S3), iii1–iii105. [Google Scholar] [CrossRef] [PubMed]
- Cote, D.J.; Ostrom, Q.T.; Gittleman, H.; Duncan, K.R.; CreveCoeur, T.S.; Kruchko, C.; Smith, T.R.; Stampfer, M.J.; Barnholtz-Sloan, J.S. Glioma incidence and survival variations by county-level socioeconomic measures. Cancer 2019, 125, 3390–3400. [Google Scholar] [CrossRef] [PubMed]
- Reifenberger, G.; Wirsching, H.G.; Knobbe-Thomsen, C.B.; Weller, M. Advances in the molecular genetics of gliomas—Implications for classification and therapy. Nat. Rev. Clin. Oncol. 2017, 14, 434–452. [Google Scholar] [CrossRef] [PubMed]
- Louis, D.N.; Perry, A.; Wesseling, P.; Brat, D.J.; Cree, I.A.; Figarella-Branger, D.; Hawkins, C.; Ng, H.K.; Pfister, S.M.; Reifenberger, G.; et al. The 2021 WHO Classification of Tumors of the Central Nervous System: A summary. Neuro-Oncology 2021, 23, 1231–1251. [Google Scholar] [CrossRef]
- Nobusawa, S.; Watanabe, T.; Kleihues, P.; Ohgaki, H. IDH1 Mutations as Molecular Signature and Predictive Factor of Secondary Glioblastomas. Clin. Cancer Res. 2009, 15, 6002–6007. [Google Scholar] [CrossRef] [Green Version]
- Chin, L.; Meyerson, M.; Aldape, K.; Bigner, D.; Mikkelsen, T.; VandenBerg, S.; Kahn, A.; Penny, R.; Ferguson, M.L.; Gerhard, D.S.; et al. Comprehensive genomic characterization defines human glioblastoma genes and core pathways. Nature 2008, 455, 1061–1068. [Google Scholar]
- Jain, R.; Johnson, D.R.; Patel, S.H.; Castillo, M.; Smits, M.; van den Bent, M.J.; Chi, A.S.; Cahill, D.P. "Real world" use of a highly reliable imaging sign: "T2-FLAIR mismatch" for identification of IDH mutant astrocytomas. Neuro-Oncology 2020, 22, 936–943. [Google Scholar] [CrossRef]
- Zhang, B.Q.; Chang, K.; Ramkissoon, S.; Tanguturi, S.; Bi, W.L.; Reardon, D.A.; Ligon, K.L.; Alexander, B.M.; Wen, P.Y.; Huang, R.Y. Multimodal MRI features predict isocitrate dehydrogenase genotype in high-grade gliomas. Neuro-Oncology 2017, 19, 109–117. [Google Scholar] [CrossRef] [Green Version]
- Broen, M.P.G.; Smits, M.; Wijnenga, M.M.J.; Dubbink, H.J.; Anten, M.H.M.E.; Schijns, O.E.M.G.; Beckervordersandforth, J.; Postma, A.A.; van den Bent, M.J. The T2-FLAIR mismatch sign as an imaging marker for non-enhancing IDH-mutant, 1p/19q-intact lower-grade glioma: A validation study. Neuro-Oncology 2018, 20, 1393–1399. [Google Scholar] [CrossRef] [Green Version]
- Maynard, J.; Okuchi, S.; Wastling, S.; Busaidi, A.A.; Almossawi, O.; Mbatha, W.; Brandner, S.; Jaunmuktane, Z.; Koc, A.M.; Mancini, L.; et al. World Health Organization Grade II/III Glioma Molecular Status: Prediction by MRI Morphologic Features and Apparent Diffusion Coefficient. Radiology 2021, 298, E61. [Google Scholar] [CrossRef]
- Choi, Y.S.; Bae, S.; Chang, J.H.; Kang, S.G.; Kim, S.H.; Kim, J.; Rim, T.H.; Choi, S.H.; Jain, R.; Lee, S.K. Fully automated hybrid approach to predict the IDH mutation status of gliomas via deep learning and radiomics. Neuro-Oncology 2021, 23, 304–313. [Google Scholar] [CrossRef] [PubMed]
- Bangalore Yogananda, C.G.; Shah, B.R.; Vejdani-Jahromi, M.; Nalawade, S.S.; Murugesan, G.K.; Yu, F.F.; Pinho, M.C.; Wagner, B.C.; Mickey, B.; Patel, T.R.; et al. A novel fully automated MRI-based deep-learning method for classification of IDH mutation status in brain gliomas. Neuro-Oncology 2020, 22, 402–411. [Google Scholar] [PubMed]
- Cluceru, J.; Interian, Y.; Phillips, J.J.; Molinaro, A.M.; Luks, T.L.; Alcaide-Leon, P.; Olson, M.P.; Nair, D.; LaFontaine, M.; Shai, A.; et al. Improving the noninvasive classification of glioma genetic subtype with deep learning and diffusion-weighted imaging. Neuro-Oncology 2021, 24, 639–652. [Google Scholar] [CrossRef] [PubMed]
- Chang, P.; Grinband, J.; Weinberg, B.D.; Bardis, M.; Khy, M.; Cadena, G.; Su, M.Y.; Cha, S.; Filippi, C.G.; Bota, D.; et al. Deep-Learning Convolutional Neural Networks Accurately Classify Genetic Mutations in Gliomas. Am. J. Neuroradiol. 2018, 39, 1201–1207. [Google Scholar] [CrossRef] [Green Version]
- Chang, K.; Bai, H.X.; Zhou, H.; Su, C.; Bi, W.L.; Agbodza, E.; Kavouridis, V.K.; Senders, J.T.; Boaro, A.; Beers, A.; et al. Residual Convolutional Neural Network for the Determination of IDH Status in Low- and High-Grade Gliomas from MR Imaging. Clin. Cancer Res. 2018, 24, 1073–1081. [Google Scholar] [CrossRef] [Green Version]
- Lu, C.F.; Hsu, F.T.; Hsieh, K.L.C.; Kao, Y.C.J.; Cheng, S.J.; Hsu, J.B.K.; Tsai, P.H.; Chen, R.J.; Huang, C.C.; Yen, Y.; et al. Machine Learning-Based Radiomics for Molecular Subtyping of Gliomas. Clin. Cancer Res. 2018, 24, 4429–4436. [Google Scholar] [CrossRef] [Green Version]
- Pasquini, L.; Napolitano, A.; Tagliente, E.; Dellepiane, F.; Lucignani, M.; Vidiri, A.; Ranazzi, G.; Stoppacciaro, A.; Moltoni, G.; Nicolai, M.; et al. Deep Learning Can Differentiate IDH-Mutant from IDH-Wild GBM. J. Pers. Med. 2021, 11, 290. [Google Scholar] [CrossRef]
- Gutman, D.C.; Young, R.J. IDH glioma radiogenomics in the era of deep learning. Neuro-Oncology 2021, 23, 182–183. [Google Scholar] [CrossRef]
- Rudie, J.D.; Rauschecker, A.M.; Bryan, R.N.; Davatzikos, C.; Mohan, S. Emerging Applications of Artificial Intelligence in Neuro-Oncology. Radiology 2019, 290, 607–618. [Google Scholar] [CrossRef]
- Shaver, M.M.; Kohanteb, P.A.; Chiou, C.; Bardis, M.D.; Chantaduly, C.; Bota, D.; Filippi, C.G.; Weinberg, B.; Grinband, J.; Chow, D.S.; et al. Optimizing Neuro-Oncology Imaging: A Review of Deep Learning Approaches for Glioma Imaging. Cancers 2019, 11, 829. [Google Scholar] [CrossRef] [Green Version]
- Yogananda, C.G.B.; Shah, B.R.; Yu, F.F.; Pinho, M.C.; Nalawade, S.S.; Murugesan, G.K.; Wagner, B.C.; Mickey, B.; Patel, T.R.; Fei, B.; et al. A novel fully automated MRI-based deep-learning method for classification of 1p/19q co-deletion status in brain gliomas. Neuro-Oncol. Adv. 2020, 2, vdaa066. [Google Scholar] [CrossRef] [PubMed]
- Yan, J.; Zhang, S.H.; Sun, Q.C.; Wang, W.W.; Duan, W.C.; Wang, L.; Ding, T.Q.; Pei, D.L.; Sun, C.; Wang, W.Q.; et al. Predicting 1p/19q co-deletion status from magnetic resonance imaging using deep learning in adult-type diffuse lower-grade gliomas: A discovery and validation study. Lab. Investig. 2022, 102, 154–159. [Google Scholar] [CrossRef]
- Korfiatis, P.; Kline, T.L.; Lachance, D.H.; Parney, I.F.; Buckner, J.C.; Erickson, B.J. Residual Deep Convolutional Neural Network Predicts MGMT Methylation Status. J. Digit. Imaging 2017, 30, 622–628. [Google Scholar] [CrossRef] [PubMed]
- Yogananda, C.G.B.; Shah, B.R.; Nalawade, S.S.; Murugesan, G.K.; Yu, F.F.; Pinho, M.C.; Wagner, B.C.; Mickey, B.; Patel, T.R.; Fei, B.; et al. MRI-Based Deep-Learning Method for Determining Glioma MGMT Promoter Methylation Status. Am. J. Neuroradiol. 2021, 42, 845–852. [Google Scholar] [CrossRef] [PubMed]
- Beig, N.; Khorrami, M.; Alilou, M.; Prasanna, P.; Braman, N.; Orooji, M.; Rakshit, S.; Bera, K.; Rajiah, P.; Ginsberg, J.; et al. Perinodular and Intranodular Radiomic Features on Lung CT Images Distinguish Adenocarcinomas from Granulomas. Radiology 2019, 290, 783–792. [Google Scholar] [CrossRef] [PubMed]
- Cheon, H.; Kim, H.J.; Kim, T.H.; Ryeom, H.K.; Lee, J.; Kim, G.C.; Yuk, J.S.; Kim, W.H. Invasive Breast Cancer: Prognostic Value of Peritumoral Edema Identified at Preoperative MR Imaging. Radiology 2018, 287, 68–75. [Google Scholar] [CrossRef] [Green Version]
- Shin, H.J.; Park, J.Y.; Shin, K.C.; Kim, H.H.; Cha, J.H.; Chae, E.Y.; Choi, W.J. Characterization of tumor and adjacent peritumoral stroma in patients with breast cancer using high-resolution diffusion-weighted imaging: Correlation with pathologic biomarkers. Eur. J. Radiol. 2016, 85, 1004–1011. [Google Scholar] [CrossRef]
- Zhou, J.J.; Zhang, Y.; Chang, K.T.; Lee, K.E.; Wang, O.C.; Li, J.; Lin, Y.Z.; Pan, Z.F.; Chang, P.; Chow, D.; et al. Diagnosis of Benign and Malignant Breast Lesions on DCE-MRI by Using Radiomics and Deep Learning With Consideration of Peritumor Tissue. J. Magn. Reson. Imaging 2020, 51, 798–809. [Google Scholar] [CrossRef]
- Dosovitskiy, A.; Beyer, L.; Kolesnikov, A.; Weissenborn, D.; Houlsby, N. An Image is Worth 16x16 Words: Transformers for Image Recognition at Scale. arXiv 2020, arXiv:2010.11929. [Google Scholar]
- Wu, J.; Hu, R.; Xiao, Z.; Chen, J.; Liu, J. Vision Transformer-based recognition of diabetic retinopathy grade. Med. Phys. 2021, 48, 7850–7863. [Google Scholar] [CrossRef]
- He, S.; Grant, P.E.; Ou, Y. Global-Local Transformer for Brain Age Estimation. IEEE Trans. Med. Imaging 2022, 41, 213–224. [Google Scholar] [CrossRef] [PubMed]
- Cheng, J.; Liu, J.; Kuang, H.; Wang, J. A Fully Automated Multimodal MRI-based Multi-task Learning for Glioma Segmentation and IDH Genotyping. IEEE Trans. Med. Imaging 2022, 41, 1520–1532. [Google Scholar] [CrossRef]
- Qi, S.; Yu, L.; Li, H.; Ou, Y.; Qiu, X.; Ding, Y.; Han, H.; Zhang, X. Isocitrate dehydrogenase mutation is associated with tumor location and magnetic resonance imaging characteristics in astrocytic neoplasms. Oncol. Lett. 2014, 7, 1895–1902. [Google Scholar] [CrossRef] [PubMed] [Green Version]
- Chen, L.; Voronovich, Z.; Clark, K.; Hands, I.; Mannas, J.; Walsh, M.; Nikiforova, M.N.; Durbin, E.B.; Weiss, H.; Horbinski, C. Predicting the likelihood of an isocitrate dehydrogenase 1 or 2 mutation in diagnoses of infiltrative glioma. Neuro-Oncology 2014, 16, 1478–1483. [Google Scholar] [CrossRef] [PubMed] [Green Version]
- Liu, Z.; Lin, Y.; Cao, Y.; Hu, H.; Wei, Y.; Zhang, Z.; Lin, S.; Guo, B. Swin Transformer: Hierarchical Vision Transformer using Shifted Windows. In Proceedings of the 2021 IEEE/CVF International Conference on Computer Vision (ICCV), Montreal, BC, Canada, 10–17 October 2021. [Google Scholar]
- He, K.M.; Zhang, X.Y.; Ren, S.Q.; Sun, J. Deep Residual Learning for Image Recognition. In Proceedings of the 2016 IEEE Conference on Computer Vision and Pattern Recognition (CVPR), Las Vegas, NV, USA, 26 June 2016–1 July 2016; pp. 770–778. [Google Scholar]
- Zhang, Z.; Yu, L.; Liang, X.; Zhao, W.; Xing, L. TransCT: Dual-Path Transformer for Low Dose Computed Tomography; Springer: Cham, Switzerland, 2021. [Google Scholar]
- Wang, Z.; Zhang, Y.; Luo, L.; Wang, N. TransCD: Scene change detection via transformer-based architecture. Opt. Express 2021, 29, 41409–41427. [Google Scholar] [CrossRef]
- Zhao, W.; Chen, W.; Li, G.; Lei, D.; Yang, J.; Chen, Y.; Jiang, Y.; Wu, J.; Ni, B.; Sun, Y.; et al. GMILT: A Novel Transformer Network That Can Noninvasively Predict EGFR Mutation Status. IEEE Trans. Neural Netw. Learn. Syst. 2022, 1–15. [Google Scholar] [CrossRef]
- Park, K.B.; Lee, J.Y. SwinE-Net: Hybrid deep learning approach to novel polyp segmentation using convolutional neural network and Swin Transformer. J. Comput. Des. Eng. 2022, 9, 616–632. [Google Scholar] [CrossRef]
- Patel, S.H.; Bansal, A.G.; Young, E.B.; Batchala, P.P.; Patrie, J.T.; Lopes, M.B.; Jain, R.; Fadul, C.E.; Schiff, D. Extent of Surgical Resection in Lower-Grade Gliomas: Differential Impact Based on Molecular Subtype. Am. J. Neuroradiol. 2019, 40, 1149–1155. [Google Scholar] [CrossRef]
- Alves, A.F.F.; Miranda, J.R.D.; Reis, F.; de Souza, S.A.S.; Alves, L.L.R.; Feitoza, L.D.; de Castro, J.T.D.; de Pina, D.R. Inflammatory lesions and brain tumors: Is it possible to differentiate them based on texture features in magnetic resonance imaging? J. Venom. Anim. Toxins Incl. Trop. Dis. 2020, 26, e20200011. [Google Scholar] [CrossRef]






| Image Inputs | Description | |
|---|---|---|
| i | Tumor slice | the whole slices contained the tumor mask |
| ii | Tumor mask | the tumor region alone by setting all outside tumor pixels as zero |
| iii | Tumor mask + Edema | The joint region that contained both tumor region and the edema region by setting all outside pixels as zero |
| iv | 0.8× Tumor Bbox | downscaled the bounding box of tumor mask by 0.8 |
| v | 1.0× Tumor Bbox | bounding box of tumor mask |
| vi | 1.2× Tumor Bbox | enlarged the bounding box of tumor mask by 1.2 times |
| vii | 1.5× Tumor Bbox | enlarged the bounding box of tumor mask by 1.5 times |
| TCIA (N = 259) | TCIA p-Value (IDHm vs. IDHw) | AHXZ (N = 234) | AHXZ p-Value (IDHm vs. IDHw) | p-Value (TCIA vs. AHXZ) | |||
|---|---|---|---|---|---|---|---|
| IDHstatus | IDH-mutant | IDH-wild | - | IDH-mutant | IDH-wild | - | 0.053 |
| 112(43.2%) | 147(56.8%) | 81(34.6%) | 153(65.4%) | ||||
| gender | 0.208 | >0.999 | 0.277 | ||||
| female | 58 | 63 | 34 | 64 | |||
| male | 54 | 83 | 47 | 89 | |||
| age | 51.5 ± 15.7 | <0.05 | 52.2 ± 13.1 | <0.05 | 0.678 | ||
| 42.4 ± 13.8 | 58.5 ± 13.3 | 47.22 ± 11.7 | 54.79 ± 13.1 | ||||
| locationfeatures | <0.05 | 0.002 | <0.05 | ||||
| frontal | 53 | 33 | 36 | 31 | |||
| temporal | 18 | 42 | 9 | 16 | |||
| occipital | 1 | 4 | 1 | ||||
| parietal | 13 | 24 | 1 | 10 | |||
| Lociothers # | 6 | 3 | 5 | 13 | |||
| Multiplelobes | 21 | 41 | 30 | 82 | |||
| hemispheredistribution | 0.924 | 0.097 | 0.01 | ||||
| left | 53 | 73 | 44 | 61 | |||
| right | 53 | 67 | 28 | 64 | |||
| bothsides | 6 | 7 | 9 | 23 | |||
| hemisphereothers ## | 5 | ||||||
| WHOgrade | <0.05 | <0.05 | 0.059 | ||||
| 2 | 62 | 6 | 40 | 23 | |||
| 3 | 44 | 23 | 24 | 17 | |||
| 4 | 6 | 118 | 17 | 113 | |||
| TCIA Internal Test Set | AHXZ External Test Set | |||
|---|---|---|---|---|
| AUC | ACC | AUC | ACC | |
| ResNet | ||||
| Tumor Slice | 0.933 | 88.5% | 0.763 | 66.5% |
| Tumor Mask | 0.936 | 90.4% | 0.818 | 73.0% |
| Tumor + Edema | 0.911 | 84.6% | 0.823 | 76.8% |
| 0.8× Tumor Bbox | 0.897 | 92.3% | 0.818 | 76.0% |
| 1.0× Tumor Bbox | 0.938 | 92.3% | 0.831 | 77.3% |
| 1.2× Tumor Bbox | 0.924 | 90.4% | 0.802 | 77.7% |
| 1.5× Tumor Bbox | 0.915 | 86.5% | 0.783 | 77.3% |
| average | 0.922 | 89.3% | 0.805 | 74.9% |
| Swin Transformer | ||||
| Tumor Slice | 0.955 | 90.4% | 0.804 | 70.8% |
| Tumor Mask | 0.975 | 90.4% | 0.849 | 73.4% |
| Tumor + Edema | 0.946 | 92.3% | 0.862 | 78.5% |
| 0.8× Tumor Bbox | 0.953 | 88.5% | 0.858 | 77.7% |
| 1.0× Tumor Bbox | 0.975 | 96.2% | 0.868 | 80.7% |
| 1.2× Tumor Bbox | 0.965 | 92.3% | 0.827 | 76.4% |
| 1.5× Tumor Bbox | 0.984 | 96.2% | 0.829 | 79.0% |
| average | 0.965 | 92.3% | 0.842 | 76.6% |
Publisher’s Note: MDPI stays neutral with regard to jurisdictional claims in published maps and institutional affiliations. |
© 2022 by the authors. Licensee MDPI, Basel, Switzerland. This article is an open access article distributed under the terms and conditions of the Creative Commons Attribution (CC BY) license (https://creativecommons.org/licenses/by/4.0/).
Share and Cite
Wu, J.; Xu, Q.; Shen, Y.; Chen, W.; Xu, K.; Qi, X.-R. Swin Transformer Improves the IDH Mutation Status Prediction of Gliomas Free of MRI-Based Tumor Segmentation. J. Clin. Med. 2022, 11, 4625. https://doi.org/10.3390/jcm11154625
Wu J, Xu Q, Shen Y, Chen W, Xu K, Qi X-R. Swin Transformer Improves the IDH Mutation Status Prediction of Gliomas Free of MRI-Based Tumor Segmentation. Journal of Clinical Medicine. 2022; 11(15):4625. https://doi.org/10.3390/jcm11154625
Chicago/Turabian StyleWu, Jiangfen, Qian Xu, Yiqing Shen, Weidao Chen, Kai Xu, and Xian-Rong Qi. 2022. "Swin Transformer Improves the IDH Mutation Status Prediction of Gliomas Free of MRI-Based Tumor Segmentation" Journal of Clinical Medicine 11, no. 15: 4625. https://doi.org/10.3390/jcm11154625
APA StyleWu, J., Xu, Q., Shen, Y., Chen, W., Xu, K., & Qi, X.-R. (2022). Swin Transformer Improves the IDH Mutation Status Prediction of Gliomas Free of MRI-Based Tumor Segmentation. Journal of Clinical Medicine, 11(15), 4625. https://doi.org/10.3390/jcm11154625

