Forearm Fracture Nonunion with and without Bone Loss: An Overview of Adult and Child Populations
Abstract
:1. Introduction
2. Evaluation
2.1. Risk Factors
2.2. History and Physical Examination
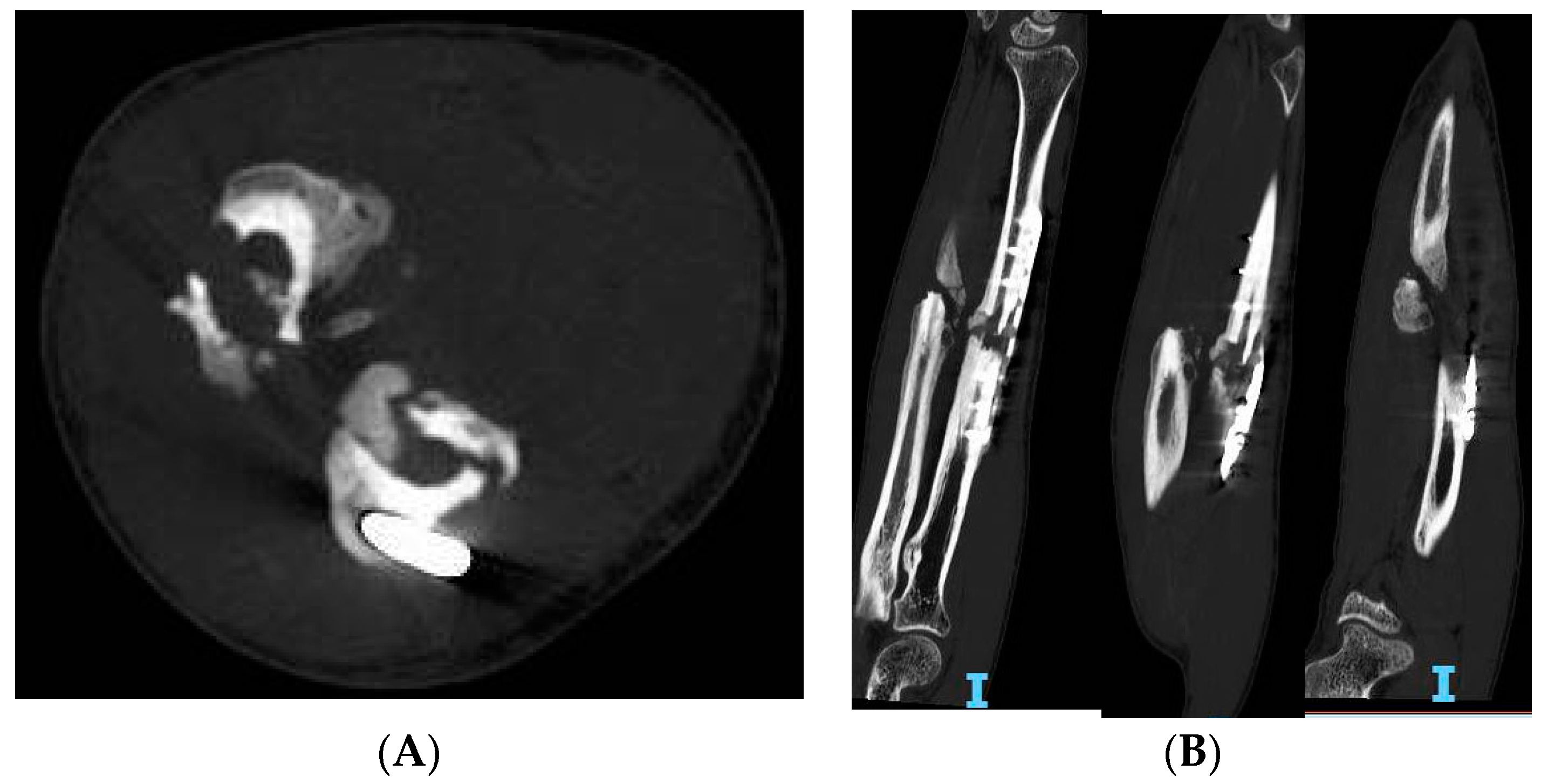
2.3. Imaging
2.4. Laboratory Analysis
2.5. Characterization
3. Pediatric Treatment
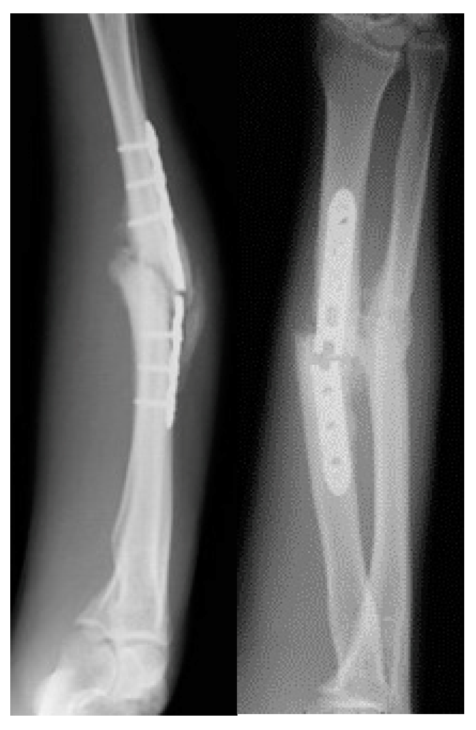
4. Adult Forearm Nonunion Surgical Treatment
4.1. Bone Grafting
4.2. Induced Membrane Technique
4.3. Ilizarov with Bone Transport
5. Conclusions
Author Contributions
Funding
Institutional Review Board Statement
Informed Consent Statement
Data Availability Statement
Conflicts of Interest
Abbreviations
References
- Bishop, J.A.; Palanca, A.A.; Bellino, M.J.; Lowenberg, D.W. Assessment of Compromised Fracture Healing. J. Am. Acad. Orthop. Surg. 2012, 20, 273–282. [Google Scholar] [CrossRef] [PubMed]
- Zura, R.; Braid-Forbes, M.J.; Jeray, K.; Mehta, S.; Einhorn, T.A.; Watson, J.T.; Della Rocca, G.J.; Forbes, K.; Steen, R.G. Bone Fracture Nonunion Rate Decreases with Increasing Age: A Prospective Inception Cohort Study. Bone 2017, 95, 26–32. [Google Scholar] [CrossRef] [PubMed] [Green Version]
- Caruso, G.; Caldari, E.; Sturla, F.D.; Caldaria, A.; Re, D.L.; Pagetti, P.; Palummieri, F.; Massari, L. Management of Pediatric Forearm Fractures: What Is the Best Therapeutic Choice? A Narrative Review of the Literature. Musculoskelet. Surg. 2021, 105, 225–234. [Google Scholar] [CrossRef]
- Schottel, P.C.; O’Connor, D.P.; Brinker, M.R. Time Trade-Off as a Measure of Health-Related Quality of Life: Long Bone Nonunions Have a Devastating Impact. J. Bone Jt. Surg. Am. Vol. 2015, 97, 1406–1410. [Google Scholar] [CrossRef]
- Rodriguez-Merchan, E.C.; Forriol, F. Nonunion: General Principles and Experimental Data. Clin. Orthop. 2004, 419, 4–12. [Google Scholar] [CrossRef]
- Panagiotis, M. Classification of Non-Union. Injury 2005, 36, S30–S37. [Google Scholar] [CrossRef]
- Rodriguez-Buitrago, A.F.; Mabrouk, A.; Jahangir, A. Tibia nonunion. In StatPearls; StatPearls Publishing: Treasure Island, FL, USA, 2022. [Google Scholar]
- Buckley, R.E.; Moran, C.G.; Apivatthakakul, T. (Eds.) AO Principles of Fracture Management. Volume 2: Specific Fractures, 3rd ed.; Thieme: Stuttgart, Germany, 2017; ISBN 978-3-13-242309-1. [Google Scholar]
- Zimmerli, W. Clinical Presentation and Treatment of Orthopaedic Implant-Associated Infection. J. Intern. Med. 2014, 276, 111–119. [Google Scholar] [CrossRef]
- Fischer, C. Diagnostik und Klassifikation von Pseudarthrosen. Unfallchirurg 2020, 123, 671–678. [Google Scholar] [CrossRef]
- Brinker, M.R.; O’Connor, D.P.; Monla, Y.T.; Earthman, T.P. Metabolic and Endocrine Abnormalities in Patients With Nonunions. J. Orthop. Trauma 2007, 21, 557–570. [Google Scholar] [CrossRef]
- Stucken, C.; Olszewski, D.C.; Creevy, W.R.; Murakami, A.M.; Tornetta, P. Preoperative Diagnosis of Infection in Patients with Nonunions. J. Bone Jt. Surg.-Am. Vol. 2013, 95, 1409–1412. [Google Scholar] [CrossRef]
- Rafi, B.M.; Tiwari, V. Forearm Fractures. In StatPearls; StatPearls Publishing: Treasure Island, FL, USA, 2022. [Google Scholar]
- Fernandez, F.F.; Eberhardt, O.; Langendörfer, M.; Wirth, T. Nonunion of Forearm Shaft Fractures in Children after Intramedullary Nailing. J. Pediatr. Orthop. B 2009, 18, 289–295. [Google Scholar] [CrossRef] [PubMed]
- Giebel, G.D.; Meyer, C.; Koebke, J.; Giebel, G. Arterial Supply of Forearm Bones and Its Importance for the Operative Treatment of Fractures. Surg. Radiol. Anat. 1997, 19, 149–153. [Google Scholar] [CrossRef] [PubMed]
- Wright, T.W.; Glowczewskie, F. Vascular Anatomy of the Ulna. J. Hand Surg. 1998, 23, 800–804. [Google Scholar] [CrossRef]
- Ogonda, L.; Wong-Chung, J.; Wray, R.; Canavan, B. Delayed Union and Non-Union of the Ulna Following Intramedullary Nailing in Children. J. Pediatr. Orthop. B. 2004, 13, 330–333. [Google Scholar] [CrossRef]
- Yaradılmış, Y.U.; Tecirli, A. Successful Results Obtained in the Treatment of Adolescent Forearm Fractures with Locked Intramedullary Nailing. Chin. J. Traumatol. 2021, 24, 295–300. [Google Scholar] [CrossRef]
- Zeybek, H.; Akti, S. Comparison of Three Different Surgical Fixation Techniques in Pediatric Forearm Double Fractures. Cureus 2021, 13, e16931. [Google Scholar] [CrossRef]
- Loose, O.; Fernandez, F.; Morrison, S.; Schneidmüller, D.; Schmittenbecher, P.; Eberhardt, O. Treatment of Nonunion after Forearm Fractures in Children: A Conservative Approach. Eur. J. Trauma Emerg. Surg. 2021, 47, 293–301. [Google Scholar] [CrossRef]
- Bose, D.; Kugan, R.; Stubbs, D.; McNally, M. Management of Infected Nonunion of the Long Bones by a Multidisciplinary Team. Bone Jt. J. 2015, 97, 814–817. [Google Scholar] [CrossRef]
- Amorosa, L.F.; Buirs, L.D.; Bexkens, R.; Wellman, D.S.; Kloen, P.; Lorich, D.G.; Helfet, D.L. A Single-Stage Treatment Protocol for Presumptive Aseptic Diaphyseal Nonunions: A Review of Outcomes. J. Orthop. Trauma 2013, 27, 582–586. [Google Scholar] [CrossRef]
- Ring, D.; Allende, C.; Jafarnia, K.; Allende, B.T.; Jupiter, J.B. Ununited Diaphyseal Forearm Fractures with Segmental Defects: Plate Fixation and Autogenous Cancellous Bone-Grafting. J. Bone Jt. Surg. Am. 2004, 86, 2440–2445. [Google Scholar] [CrossRef]
- Adani, R.; Delcroix, L.; Innocenti, M.; Marcoccio, I.; Tarallo, L.; Celli, A.; Ceruso, M. Reconstruction of Large Posttraumatic Skeletal Defects of the Forearm by Vascularized Free Fibular Graft. Microsurgery 2004, 24, 423–429. [Google Scholar] [CrossRef] [PubMed]
- Regan, D.K.; Crespo, A.M.; Konda, S.R.; Egol, K.A. Functional Outcomes of Compression Plating and Bone Grafting for Operative Treatment of Nonunions About the Forearm. J. Hand Surg. 2018, 43, 564.e1–564.e9. [Google Scholar] [CrossRef] [PubMed]
- Dawson, J.; Kiner, D.; Gardner, W.; Swafford, R.; Nowotarski, P.J. The Reamer–Irrigator–Aspirator as a Device for Harvesting Bone Graft Compared With Iliac Crest Bone Graft: Union Rates and Complications. J. Orthop. Trauma 2014, 28, 584–590. [Google Scholar] [CrossRef] [PubMed]
- Jupiter, J.B.; Gerhard, H.J.; Guerrero, J.; Nunley, J.A.; Levin, L.S. Treatment of Segmental Defects of the Radius with Use of the Vascularized Osteoseptocutaneous Fibular Autogenous Graft. J. Bone Jt. Surg. 1997, 79, 542–550. [Google Scholar] [CrossRef]
- Yajima, H.; Tamai, S.; Ono, H.; Kizaki, K.; Yamauchi, T. Free Vascularized Fibula Grafts in Surgery of the Upper Limb. J. Reconstr. Microsurg. 1999, 15, 515–521. [Google Scholar] [CrossRef]
- Gan, A.W.T.; Puhaindran, M.E.; Pho, R.W.H. The Reconstruction of Large Bone Defects in the Upper Limb. Injury 2013, 44, 313–317. [Google Scholar] [CrossRef]
- Ozkaya, U. Comparison between Locked Intramedullary Nailing and Plate Osteosynthesis in the Management of Adult Forearm Fractures. Acta Orthop. Traumatol. Turc. 2009, 43, 14–20. [Google Scholar] [CrossRef]
- Masquelet, A.C.; Fitoussi, F.; Begue, T.; Muller, G.P. Reconstruction of the long bones by the induced membrane and spongy autograft. Ann. Chir. Plast. Esthet. 2000, 45, 346–353. [Google Scholar]
- Ma, X.-Y.; Liu, B.; Yu, H.-L.; Zhang, X.; Xiang, L.-B.; Zhou, D.-P. Induced Membrane Technique for the Treatment of Infected Forearm Nonunion: A Retrospective Study. J. Hand Surg. 2022, 47, 583.e1–583.e9. [Google Scholar] [CrossRef]
- Walker, M.; Sharareh, B.; Mitchell, S.A. Masquelet Reconstruction for Posttraumatic Segmental Bone Defects in the Forearm. J. Hand Surg. 2019, 44, 342.e1–342.e8. [Google Scholar] [CrossRef]
- Pachera, G.; Santolini, E.; Galuppi, A.; Dapelo, E.; Demontis, G.; Formica, M.; Santolini, F.; Briano, S. Forearm Segmental Bone Defect: Successful Management Using the Masquelet Technique with the Aid of 3D Printing Technology. Trauma Case Rep. 2021, 36, 100549. [Google Scholar] [CrossRef] [PubMed]
- Zhu, Y.; Pan, Z.; Cui, X.; Quan, C.; Wang, J.; Zhang, W.; Zhang, Z.; Zhang, Q. Effectiveness of ilizarov technology for infected forearm nonunion. Zhongguo Xiu Fu Chong Jian Wai Ke Za Zhi Zhongguo Xiufu Chongjian Waike Zazhi Chin. J. Reparative Reconstr. Surg. 2016, 30, 1457–1461. [Google Scholar] [CrossRef]
- Orzechowski, W.; Morasiewicz, L.; Dragan, S.; Krawczyk, A.; Kulej, M.; Mazur, T. Treatment of Non-Union of the Forearm Using Distraction-Compression Osteogenesis. Ortop. Traumatol. Rehabil. 2007, 9, 357–365. [Google Scholar] [PubMed]
- Liu, Y.; Yushan, M.; Liu, Z.; Liu, J.; Ma, C.; Yusufu, A. Treatment of Diaphyseal Forearm Defects Caused by Infection Using Ilizarov Segmental Bone Transport Technique. BMC Musculoskelet. Disord. 2021, 22, 36. [Google Scholar] [CrossRef] [PubMed]




| Mechanical Factors [5,6] |
|
|
| Biological Factors [5,6] |
|
| GENERAL RISK FACTORS |
| LOCAL RISK FACTORS |
Publisher’s Note: MDPI stays neutral with regard to jurisdictional claims in published maps and institutional affiliations. |
© 2022 by the authors. Licensee MDPI, Basel, Switzerland. This article is an open access article distributed under the terms and conditions of the Creative Commons Attribution (CC BY) license (https://creativecommons.org/licenses/by/4.0/).
Share and Cite
Dimartino, S.; Pavone, V.; Carnazza, M.; Cuffaro, E.R.; Sergi, F.; Testa, G. Forearm Fracture Nonunion with and without Bone Loss: An Overview of Adult and Child Populations. J. Clin. Med. 2022, 11, 4106. https://doi.org/10.3390/jcm11144106
Dimartino S, Pavone V, Carnazza M, Cuffaro ER, Sergi F, Testa G. Forearm Fracture Nonunion with and without Bone Loss: An Overview of Adult and Child Populations. Journal of Clinical Medicine. 2022; 11(14):4106. https://doi.org/10.3390/jcm11144106
Chicago/Turabian StyleDimartino, Sara, Vito Pavone, Michela Carnazza, Enrica Rosalia Cuffaro, Francesco Sergi, and Gianluca Testa. 2022. "Forearm Fracture Nonunion with and without Bone Loss: An Overview of Adult and Child Populations" Journal of Clinical Medicine 11, no. 14: 4106. https://doi.org/10.3390/jcm11144106
APA StyleDimartino, S., Pavone, V., Carnazza, M., Cuffaro, E. R., Sergi, F., & Testa, G. (2022). Forearm Fracture Nonunion with and without Bone Loss: An Overview of Adult and Child Populations. Journal of Clinical Medicine, 11(14), 4106. https://doi.org/10.3390/jcm11144106

