[18F]fluoro-ethylcholine-PET Plus 4D-CT (FEC-PET-CT): A Break-Through Tool to Localize the “Negative” Parathyroid Adenoma. One Year Follow Up Results Involving 170 Patients
Abstract
1. Introduction
2. Materials and Methods
2.1. Study Population
2.2. Preparation of [18F]Fluoro-Ethylcholine (FEC)
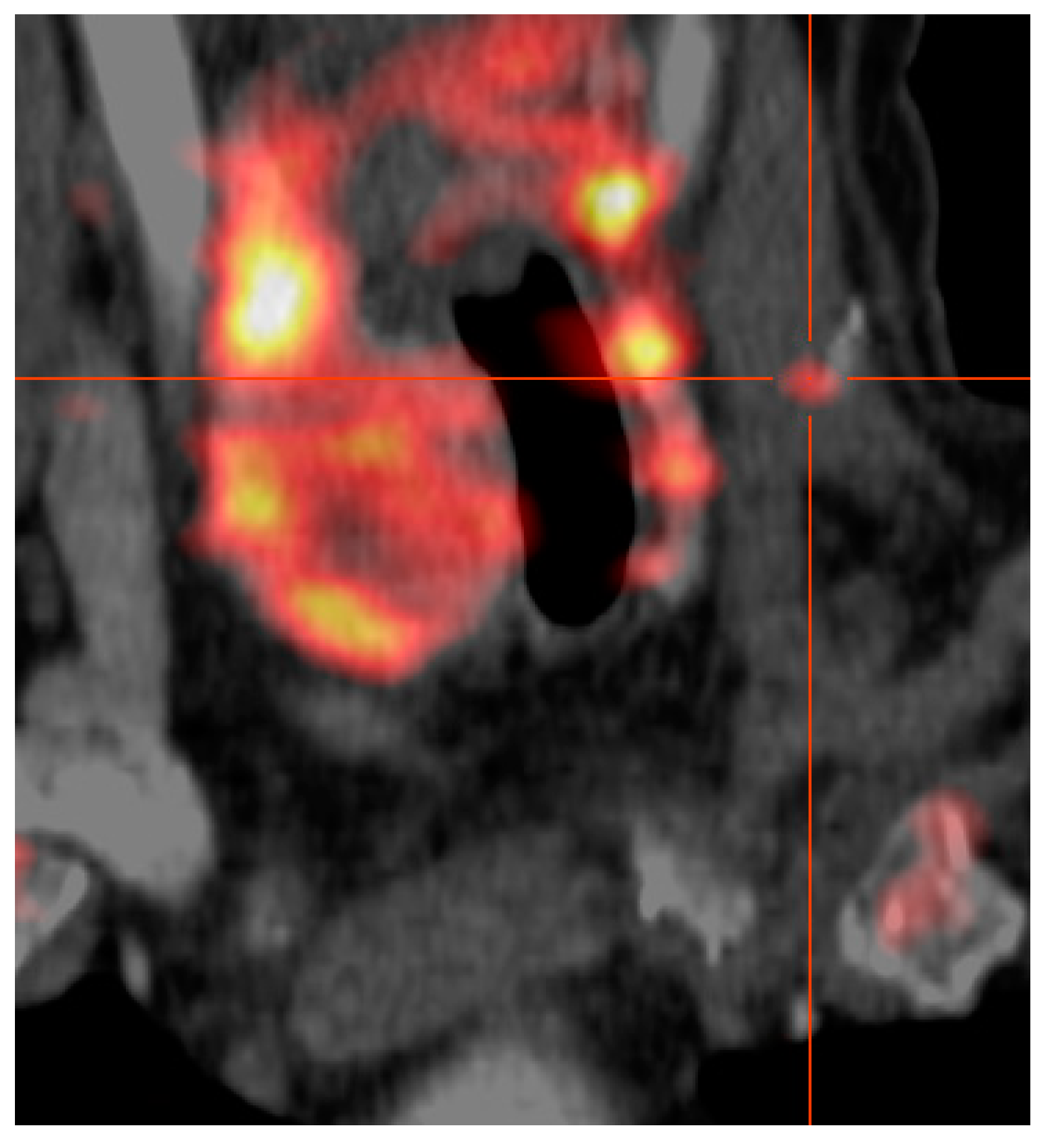
2.3. PET/CT Technique
2.4. Parathyroidectomy
2.5. Postsurgical Follow up Data
2.6. Handling of Data and Analysis; Definition of Diagnostic Accuracy
2.7. Ethics Approval and Consent to Participate
3. Results
3.1. Patient Characteristics
3.2. Localization of PA by Ultrasound, MIBI-Scintigraphy and FEC-PET-CT plus 4D-CT
3.3. Degree of Intraoperative Agreement and Postoperative Long-Term Results
4. Discussion
Author Contributions
Funding
Institutional Review Board Statement
Informed Consent Statement
Data Availability Statement
Conflicts of Interest
Abbreviations
| CT | computed tomography |
| FEC-PET-CT&4D-CT | [18F]fluoro-ethylcholine-PET-CT plus 4D-CT |
| IO-PTH | intraoperative monitoring of parathyroid hormone |
| MIP | minimally invasive parathyroidectomy |
| MRI | magnetic resonance imaging |
| MS | [99mTc]Tc-sestamibi scintigraphy |
| PA | parathyroid adenoma |
| PET | positron emission tomography |
| pHPT | primary hyperparathyroidism |
| POD | post-operative day |
| PTH | parathyroid hormone |
| StuDoQ | Thyroid surgery quality assurance registry of the German Association of Surgeons; StuDoQ|Thyroid |
| SUV | Standard Uptake Value |
| US | ultrasound |
| VC | vocal cord |
| VCP | vocal cord paresis |
References
- Fraser, W.D. Hyperparathyroidism. Lancet 2009, 374, 145–158. [Google Scholar] [CrossRef]
- Weber, T.; Eberle, J.; Messelhäuser, U.; Schiffmann, L.; Nies, C.; Schabram, J.; Zielke, A.; Holzer, K.; Rottler, E.; Henne-Bruns, D.; et al. Parathyroidectomy, elevated depression scores, and suicidal ideation in patients with primary hyperparathyroidism: Results of a prospective multicenter study. JAMA Surg. 2013, 148, 109–115. [Google Scholar] [CrossRef]
- Palazzo, F.F.; Delbridge, L.W. Minimal-access/minimally invasive parathyroidectomy for primary hyperparathyroidism. Surg. Clin. N. Am. 2004, 84, 717–734. [Google Scholar] [CrossRef]
- Prabhu, M.; Damle, N.A. Fluorocholine PET Imaging of Parathyroid Disease. Indian J. Endocrinol. Metab. 2018, 22, 535–541. [Google Scholar] [CrossRef]
- Hocevar, M.; Lezaic, L.; Rep, S.; Zaletel, K.; Kocjan, T.; Sever, M.J.; Zgajnar, J.; Peric, B. Focused parathyroidectomy without intraoperative parathormone testing is safe after pre-operative localization with (18)F-Fluorocholine PET/CT. Eur. J. Surg. Oncol. 2017, 43, 133–137. [Google Scholar] [CrossRef]
- Hara, T.; Kosaka, N.; Kishi, H. Development of (18F)-fluoroethylcholine for cancer imaging with PET: Synthesis, biochemistry, and prostate cancer imaging. J. Nucl. Med. 2002, 43, 187–199. [Google Scholar]
- Michaud, L.; Balogova, S.; Burgess, A.; Ohnona, J.; Huchet, V.; Kerrou, K.; Lefevre, M.; Tassart, M.; Montravers, F.; Perie, S.; et al. A Pilot Comparison of 18F-fluorocholine PET/CT, Ultrasonography and 123I/99mTc-sestaMIBI Dual-Phase Dual-Isotope Scintigraphy in the Preoperative Localization of Hyperfunctioning Parathyroid Glands in Primary or Secondary Hyperparathyroidism: Influence of Thyroid Anomalies. Medicine (Baltimore) 2015, 94, e1701. [Google Scholar] [CrossRef]
- Hoang, J.K.; Sung, W.K.; Bahl, M.; Phillips, C.D. How to perform parathyroid 4D CT: Tips and traps for technique and interpretation. Radiology 2014, 270, 15–24. [Google Scholar] [CrossRef] [PubMed]
- Wilhelm, S.M.; Wang, T.S.; Ruan, D.T.; Lee, J.A.; Asa, S.L.; Duh, Q.Y.; Doherty, G.M.; Herrera, M.F.; Pasieka, J.L.; Perrier, N.D.; et al. The American Association of Endocrine Surgeons Guidelines for Definitive Management of Primary Hyperparathyroidism. JAMA Surg. 2016, 151, 959–968. [Google Scholar] [CrossRef]
- CAEK. S2k-Leitlinie HPT: Chirurgisches Management des Primären und Renalen Hyperparathyreoidismus. AWMF (Currently under Revision). 2021. Available online: https://www.awmf.org/leitlinien/detail/ll/174-006.html (accessed on 30 March 2021).
- DGAV. Thyroid Surgery Quality Assurance Registry of the German Association of Surgeons (DGAV); StuDoQ|Thyroid. Available online: http://www.dgav.de/studoq.html (accessed on 30 March 2021).
- Guerin, C.; Paladino, N.C.; Lowery, A.; Castinetti, F.; Taieb, D.; Sebag, F. Persistent and recurrent hyperparathyroidism. Updates Surg. 2017, 69, 161–169. [Google Scholar] [CrossRef] [PubMed]
- Clark, O.H.; Way, L.W.; Hunt, T.K. Recurrent hyperparathyroidism. Ann. Surg. 1976, 184, 391–402. [Google Scholar] [CrossRef]
- Karakas, E.; Zielke, A.; Dietz, C.; Rothmund, M. Reoperation for primary hyperparathyroidism. Chirurg 2005, 76, 207–216. [Google Scholar] [CrossRef]
- Mundschenk, J.; Klose, S.; Lorenz, K.; Dralle, H.; Lehnert, H. Diagnostic strategies and surgical procedures in persistent or recurrent primary hyperparathyroidism. Exp. Clin. Endocrinol. Diabetes 1999, 107, 331–336. [Google Scholar] [CrossRef] [PubMed]
- Allemeyer, E.H.; Kossow, M.S.; Riemann, B.; Hoffmann, M.W. Risk Factors for Permanent Postoperative Hypoparathyreoidism. Zentralbl. Chir. 2020, 145, 168–175. [Google Scholar] [CrossRef]
- Al-Dhahri, S.F.; Mubasher, M.; Mufarji, K.; Allam, O.S.; Terkawi, A.S. Factors predicting post-thyroidectomy hypoparathyroidism recovery. World J. Surg. 2014, 38, 2304–2310. [Google Scholar] [CrossRef]
- Sackett, W.R.; Barraclough, B.; Reeve, T.S.; Delbridge, L.W. Worldwide trends in the surgical treatment of primary hyperparathyroidism in the era of minimally invasive parathyroidectomy. Arch. Surg. 2002, 137, 1055–1059. [Google Scholar] [CrossRef] [PubMed]
- Irvin, G.L., 3rd; Carneiro, D.M.; Solorzano, C.C. Progress in the operative management of sporadic primary hyperparathyroidism over 34 years. Ann. Surg. 2004, 239, 704–708, discussion 708–711. [Google Scholar] [CrossRef]
- [NG132], N.g. Hyperparathyroidism (Primary): Diagnosis, Assessment and Initial Management. Available online: https://www.nice.org.uk/guidance/ng132/chapter/Recommendations (accessed on 30 March 2021).
- Dillenberger, S.; Bartsch, D.K.; Maurer, E.; Kann, P.H. Single Centre Experience in Patients with Primary Hyperparathyroidism: Sporadic, Lithium-associated and in Multiple Endocrine Neoplasia. Exp. Clin. Endocrinol. Diabetes 2020, 128, 693–698. [Google Scholar] [CrossRef]
- Cheung, K.; Wang, T.S.; Farrokhyar, F.; Roman, S.A.; Sosa, J.A. A meta-analysis of preoperative localization techniques for patients with primary hyperparathyroidism. Ann. Surg. Oncol. 2012, 19, 577–583. [Google Scholar] [CrossRef]
- Lubitz, C.C.; Stephen, A.E.; Hodin, R.A.; Pandharipande, P. Preoperative localization strategies for primary hyperparathyroidism: An economic analysis. Ann. Surg. Oncol. 2012, 19, 4202–4209. [Google Scholar] [CrossRef]
- Giovanella, L.; Bacigalupo, L.; Treglia, G.; Piccardo, A. Will (18)F-fluorocholine PET/CT replace other methods of preoperative parathyroid imaging? Endocrine 2020, 71, 285–297. [Google Scholar] [CrossRef]
- Cuderman, A.; Senica, K.; Rep, S.; Hocevar, M.; Kocjan, T.; Sever, M.J.; Zaletel, K.; Lezaic, L. (18)F-Fluorocholine PET/CT in Primary Hyperparathyroidism: Superior Diagnostic Performance to Conventional Scintigraphic Imaging for Localization of Hyperfunctioning Parathyroid Glands. J. Nucl. Med. 2020, 61, 577–583. [Google Scholar] [CrossRef]
- Broos, W.A.M.; Wondergem, M.; Knol, R.J.J.; van der Zant, F.M. Parathyroid imaging with (18)F-fluorocholine PET/CT as a first-line imaging modality in primary hyperparathyroidism: A retrospective cohort study. EJNMMI Res. 2019, 9, 72. [Google Scholar] [CrossRef] [PubMed]
- Rep, S.; Hocevar, M.; Vaupotic, J.; Zdesar, U.; Zaletel, K.; Lezaic, L. (18)F-choline PET/CT for parathyroid scintigraphy: Significantly lower radiation exposure of patients in comparison to conventional nuclear medicine imaging approaches. J. Radiol. Prot. 2018, 38, 343–356. [Google Scholar] [CrossRef] [PubMed]
- Quak, E.; Lasne Cardon, A.; Ciappuccini, R.; Lasnon, C.; Bastit, V.; Le Henaff, V.; Lireux, B.; Foucras, G.; Jaudet, C.; Berchi, C.; et al. Upfront F18-choline PET/CT versus Tc99m-sestaMIBI SPECT/CT guided surgery in primary hyperparathyroidism: The randomized phase III diagnostic trial APACH2. BMC Endocr. Disord. 2021, 21, 3. [Google Scholar] [CrossRef] [PubMed]


| Patient Characteristics | |||
|---|---|---|---|
| All | Prev. Thyroid Proc. | Prev. Parathyroid Proc. | |
| Number (%) | 171 (100%) | 27 (15.8%) | 17 (10.0%) |
| Sex | |||
| Male | 34 (19.9%) | 4 (14.8%) | 4 (23.5%) |
| Female | 137 (80.1%) | 23 (85.2%) | 13 (76.5%) |
| Age (years) | 61.5 ± 12.8 (59.5–63.4) | 66.1 ± 9.6 (62.5–69.8) | 57.0 ± 15.2 (49.7–64.2) |
| Biochemistry | |||
| Calcium | 2.78 ± 0.17 (2.76–2.81) | 2.77 ± 0.15 (2.71–2.82) | 2.88 ± 0.22 (2.77–2.98) Ɨ |
| PTH | 124.6 ± 66.9 (114.6–134.6) | 129.4 ± 56.3 (108.1–150.6) | 180.1 ± 115.3 (125.2–234.9) * |
| Results of Preoperative Ultrasound (US) and Mibi-Scan (MS) Localization | |||
|---|---|---|---|
| All | Prev. Thyroid pProc. | Prev. Parathyroid Proc. | |
| n | 171 | 27 | 17 |
| US negative | 109 (63.7%) | 16 (59.3%) | 11 (64.7%) |
| and MS negative | 74 (43.3%) | 9 (33.3%) | 9 (52.9%) |
| and MS positive | 26 (15.2%) | 7 (26.0%) | 2 (11.8%) |
| and MS not done | 9 (5.3%) | - | - |
| FEC-Pet-CT&4D-CT pos | 94(86.2%) | 16 (100%) | 10 (90.9%) |
| US positive | 62 (26.3%) | 11 (40.7%) | 6 (35.3%) |
| and MS negative | 57 (33.3%) | 9 (33.3%) | 4 (23.5%) |
| and MS positive | 3 (1.8%) | 1 (3.7%) | 2 (11.8%) |
| and MS not done | 2 (1.2%) | 1 (3.7%) | - |
| FEC-Pet-CT&4D-CT pos | 61 (98.4%) | 11 (100%) | 6 (100%) |
| Degree of Intraoperative Agreement and Postoperative Results | |||
|---|---|---|---|
| All Operated Patients | Prev. Thyroid Proc. | Prev. Parathyroid Proc. | |
| 147 | 25 | 14 | |
| Female | 119 (81.0%) | 22 (88%) | 11 (78.6%) |
| Age (y) | 60.8 ± 8.1 (56.8–65.0) | 65.4 ± 9.6 (61.6–69.2) | 56.9 ± 15.6 (48.7–65.0) |
| BMI | 26.8 ± 3.8 (23.5–30.1) | 27.0 ± 5.1 (24.9–29.2) | 27.3 ± 3.5 (25.1–29.4) |
| preop biochemistry | |||
| Calcium (total, mmol/L) | 2.79 ± 0.13 (2.72–2.85) | 2.78 ± 0.15 (2.72–2.84) | 2.92 ± 0.19 (2.82–3.02) |
| PTH (ng/L) | 129.0 ± 58.1 (99.6–158.4) | 131.0 ± 58.3 (108.1–153.8) | 199.9 ± 117.7 (138.2–231.5) |
| FEC-PET CT | |||
| pos for PA | 140 (95.2%) | 25 (100%) | 14 (100%) |
| neg for PA | 7 (4.8%) | - | - |
| size of the PA (mm) | 11.0 ± 5.8 (8.1–13.9) | 10.8 ± 4.2 (9.1–12.4) | 13.7 ± 10.4 (8.3–19.1) |
| SUV | 5.3 ± 1.9 (4.4–6.3) | 5.5 ± 2.3 (4.6–6.4) | 5.5 ± 2.7 (4.1–6.9) |
| Histology | |||
| single adenoma | 136 (92.5%) | 23 (92.0%) | 11 (78.6%) |
| double adenoma | 5 (3.4%) | 2 (8.0%) | 1 (7.1%) |
| hyperplasia | 3 (2.0%) | - | - |
| parathyreomatosis | 2 (1.4%) | - | 2 (14.3%) |
| normal parathyroid gland | 1 (0.7%) | - | - |
| postoperative data | |||
| PTH (ng/L) | 26.2 ± 15.1 (18.6–33.9) | 24.6 ± 12.9 (19.2–30.0) | 31.4 ± 26.9 (16.8–46.1) |
| Paresis of vocal cord * | 2 (1.4%) | 1 (4.0%) | - |
| Postoperative bleeding ** | 2 (1.4%) | - | 1 (7.1%) |
| One Year Follow Up Results | |||
|---|---|---|---|
| 12 Months Follow Up Data | All Operated Patients | Double Neg. * | Prev. Neck Surgery |
| 117 | 50 | 27 | |
| PTH (ng/L) | 44.3 ± 18.4 (40.6–48.0) | 44.5 ± 17.9 (38.9–50.0) | 48.9 ± 18.0 (39.5–58.3) |
| Ca (total, mmol/L) | 2.37 ± 0.13 (2.35–2.39) | 2.37 ± 0.13 (2.33–2.41) | 2.36 ± 0.15 (2.24–2.44) |
| Paresis of vocal cord | - | - | - |
| Cure rate (at least) | 115 (98.3%) | 49 (98%) | 26 (96.3%) |
Publisher’s Note: MDPI stays neutral with regard to jurisdictional claims in published maps and institutional affiliations. |
© 2021 by the authors. Licensee MDPI, Basel, Switzerland. This article is an open access article distributed under the terms and conditions of the Creative Commons Attribution (CC BY) license (https://creativecommons.org/licenses/by/4.0/).
Share and Cite
Smaxwil, C.; Aschoff, P.; Reischl, G.; Busch, M.; Wagner, J.; Altmeier, J.; Ploner, O.; Zielke, A. [18F]fluoro-ethylcholine-PET Plus 4D-CT (FEC-PET-CT): A Break-Through Tool to Localize the “Negative” Parathyroid Adenoma. One Year Follow Up Results Involving 170 Patients. J. Clin. Med. 2021, 10, 1648. https://doi.org/10.3390/jcm10081648
Smaxwil C, Aschoff P, Reischl G, Busch M, Wagner J, Altmeier J, Ploner O, Zielke A. [18F]fluoro-ethylcholine-PET Plus 4D-CT (FEC-PET-CT): A Break-Through Tool to Localize the “Negative” Parathyroid Adenoma. One Year Follow Up Results Involving 170 Patients. Journal of Clinical Medicine. 2021; 10(8):1648. https://doi.org/10.3390/jcm10081648
Chicago/Turabian StyleSmaxwil, Constantin, Philip Aschoff, Gerald Reischl, Mirjam Busch, Joachim Wagner, Julia Altmeier, Oswald Ploner, and Andreas Zielke. 2021. "[18F]fluoro-ethylcholine-PET Plus 4D-CT (FEC-PET-CT): A Break-Through Tool to Localize the “Negative” Parathyroid Adenoma. One Year Follow Up Results Involving 170 Patients" Journal of Clinical Medicine 10, no. 8: 1648. https://doi.org/10.3390/jcm10081648
APA StyleSmaxwil, C., Aschoff, P., Reischl, G., Busch, M., Wagner, J., Altmeier, J., Ploner, O., & Zielke, A. (2021). [18F]fluoro-ethylcholine-PET Plus 4D-CT (FEC-PET-CT): A Break-Through Tool to Localize the “Negative” Parathyroid Adenoma. One Year Follow Up Results Involving 170 Patients. Journal of Clinical Medicine, 10(8), 1648. https://doi.org/10.3390/jcm10081648

