Episodic Angioedema with Hypereosinophilia (Gleich’s Syndrome): A Case Report and Extensive Review of the Literature
Abstract
1. Introduction
2. Patients and Methods
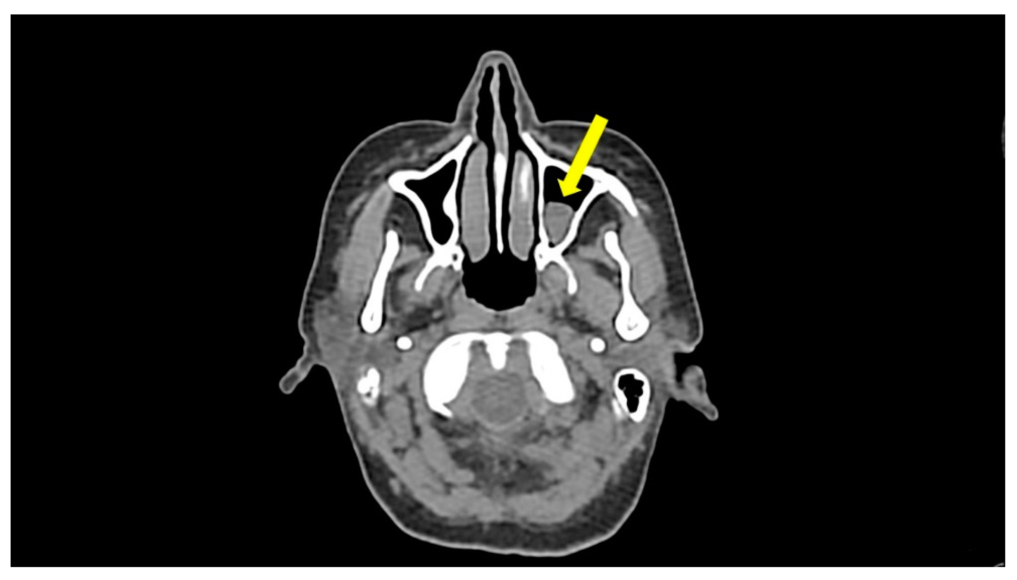
2.1. Case Report
2.2. Research Method
3. Episodic Angioedema with Hypereosinophilia Clinical and Laboratory Features
4. Differential Diagnosis
5. Treatment Strategies and Future Perspective
Author Contributions
Funding
Institutional Review Board Statement
Informed Consent Statement
Data Availability Statement
Acknowledgments
Conflicts of Interest
References
- Gleich, G.J.; Leiferman, K.M. The hypereosinophilic syndromes: Current concepts and treatments. Br. J. Haematol. 2009, 145, 271–285. [Google Scholar] [CrossRef]
- Gleich, G.J.; Schroeter, A.L.; Marcoux, J.P.; Sachs, M.I.; O’Connell, E.J.; Kohler, P.F. Episodic angioedema associated with eosinophilia. N. Engl. J. Med. 1984, 310, 1621–1626. [Google Scholar] [CrossRef]
- Khoury, P.; Herold, J.; Alpaugh, A.; Dinerman, E.; Holland-Thomas, N.; Stoddard, J.; Gurprasad, S.; Maric, I.; Simakova, O.; Schwartz, L.B.; et al. Episodic angioedema with eosinophilia (Gleich syndrome) is a multilineage cell cycling disorder. Haematologica 2015, 100, 300–307. [Google Scholar] [CrossRef]
- Scranton, S.E.; Wild, C.A.; England, R.W. Episodic angioedema with eosinophilia: Successful treatment with imatinib. Ann Allergy Asthma Immunol. 2008, 100, 172–174. [Google Scholar] [CrossRef]
- Bertrand, V.; Boccara, O.; Filhon, B.; Manca, F.; Lefevre, G.; Groh, M.; Kahn, J.E. Episodic angioedema with eosinophilia (Gleich syndrome) in children: A clinical review. Pediatr. Allergy Immunol. 2020, 31, 297–302. [Google Scholar] [CrossRef]
- Valent, P.; Klion, A.D.; Horny, H.P.; Roufosse, F.; Gotlib, J.; Weller, P.F.; Hellmann, A.; Metzgeroth, G.; Leiferman, K.M.; Arock, M.; et al. Contemporary consensus proposal on criteria and classification of eosinophilic disorders and related syndromes. J. Allergy Clin. Immunol. 2012, 130, 607–612.e9. [Google Scholar] [CrossRef]
- Butterfield, J.H.; Leiferman, K.M.; Abrams, J.; Silver, J.E.; Bower, J.; Gonchoroff, N.; Gleich, G.J. Elevated serum levels of interleukin-5 in patients with the syndrome of episodic angioedema and eosinophilia. Blood 1992, 79, 688–692. [Google Scholar] [CrossRef] [PubMed]
- Klion, A.D.; Bochner, B.S.; Gleich, G.J.; Nutman, T.B.; Rothenberg, M.E.; Simon, H.U.; Wechsler, M.E.; Weller, P.F.; The Hypereosinophilic Syndromes Working, G. Approaches to the treatment of hypereosinophilic syndromes: A workshop summary report. J. Allergy Clin. Immunol. 2006, 117, 1292–1302. [Google Scholar] [CrossRef]
- Gonzalez Delgado, P.; de la Sen Fernandez, M.L.; Soriano Gomis, V.; Perez Crespo, M.; Munoz Ruiz, C.; Hernandez Niveiro, E. Cyclical hypereosinophilia with skin manifestations and a clonal T cell population. J. Investig. Allergol. Clin. Immunol. 2008, 18, 401–403. [Google Scholar] [PubMed]
- Tillie-Leblond, I.; Gosset, P.; Janin, A.; Salez, F.; Prin, L.; Tonnel, A.B. Increased interleukin-6 production during the acute phase of the syndrome of episodic angioedema and hypereosinophilia. Clin. Exp. Allergy 1998, 28, 491–496. [Google Scholar] [CrossRef]
- Haber, R.; Chebl, J.A.; El Gemayel, M.; Salloum, A. Gleich syndrome: A systematic review. Int. J. Dermatol. 2020, 59, 1458–1465. [Google Scholar] [CrossRef]
- Abisror, N.; Mekinian, A.; Dechartres, A.; Groh, M.; Berezne, A.; Noel, N.; Morati, C.; Haroche, J.; Hunault-Berger, M.; Agard, C.; et al. Abnormal T-cell phenotype in episodic angioedema with hypereosinophilia (Gleich’s syndrome): Frequency, clinical implication and prognosis. J. Am. Acad. Dermatol. 2019. [Google Scholar] [CrossRef]
- Oktenli, C.; Bulucu, F.; Gurbuz, M.; Bozoglu, E.; Oguz, Y.; Koc, B. Observations on edema formation and resolution in Gleich syndrome: Essential role of the kidneys in effective arterial blood volume regulation. Am. J. Nephrol. 2001, 21, 154–161. [Google Scholar] [CrossRef]
- Take, C.; Kurasawa, T.; Ikeda, K.; Yamane, Y. Four Japanese cases of episodic angioedema with eosinophilia. Intern. Med. 1992, 31, 470–473. [Google Scholar] [CrossRef][Green Version]
- Matucci, A.; Liotta, F.; Vivarelli, E.; Dies, L.; Annunziato, F.; Piccinni, M.P.; Nencini, F.; Pratesi, S.; Maggi, E.; Vultaggio, A. Efficacy and Safety of Mepolizumab (Anti-Interleukin-5) Treatment in Gleich’s Syndrome. Front. Immunol. 2018, 9, 1198. [Google Scholar] [CrossRef] [PubMed]
- Kawano, M.; Muramoto, H.; Tsunoda, S.; Koni, I.; Mabuchi, H.; Yachie, A.; Miyawaki, T. Absence of CD69 expression on peripheral eosinophils in episodic angioedema and eosinophilia. Am. J. Hematol. 1996, 53, 43–45. [Google Scholar] [CrossRef]
- Orson, F.M. Intravenous immunoglobulin therapy suppresses manifestations of the angioedema with hypereosinophilia syndrome. Am. J. Med. Sci. 2003, 326, 94–97. [Google Scholar] [CrossRef] [PubMed]
- Rigopoulou, E.I.; Ioannou, M.; Papadamou, G.; Dalekos, G.N. Ascites in a patient with episodic angio-oedema and eosinophilia: Thinking outside the box. BMJ Case Rep. 2017, 2017. [Google Scholar] [CrossRef]
- Jaikar, S.K.B.; Divya, N.S. A Rare Case of Episodic Angioedema and Hypereosinophilia—Gleich Syndrome. IOSR J. Dent. Med. Sci. 2014, 13, 31–34. [Google Scholar] [CrossRef]
- Lassalle, P.; Gosset, P.; Gruart, V.; Prin, L.; Capron, M.; Lagrue, G.; Kusnierz, J.P.; Tonnel, A.B.; Capron, A. Presence of antibodies against endothelial cells in the sera of patients with episodic angioedema and hypereosinophilia. Clin. Exp. Immunol. 1990, 82, 38–43. [Google Scholar] [CrossRef]
- Lucendo, A.J.; Pascual-Turrion, J.M.; Navarro, M.; Comas, C.; Castillo, P.; Letran, A.; Caballero, M.T.; Larrauri, J. Endoscopic, bioptic, and manometric findings in eosinophilic esophagitis before and after steroid therapy: A case series. Endoscopy 2007, 39, 765–771. [Google Scholar] [CrossRef]
- Liu, F.; Hu, W.; Liu, H.; Zhang, M.; Sang, H. Episodic angioedema associated with eosinophilia. An. Bras. Dermatol. 2017, 92, 534–536. [Google Scholar] [CrossRef] [PubMed]
- Prasad, G.A.; Alexander, J.A.; Schleck, C.D.; Zinsmeister, A.R.; Smyrk, T.C.; Elias, R.M.; Locke, G.R., 3rd; Talley, N.J. Epidemiology of eosinophilic esophagitis over three decades in Olmsted County, Minnesota. Clin. Gastroenterol. Hepatol. 2009, 7, 1055–1061. [Google Scholar] [CrossRef]
- Morgan, S.J.; Prince, H.M.; Westerman, D.A.; McCormack, C.; Glaspole, I. Clonal T-helper lymphocytes and elevated IL-5 levels in episodic angioedema and eosinophilia (Gleich’s syndrome). Leuk. Lymphoma 2003, 44, 1623–1625. [Google Scholar] [CrossRef] [PubMed]
- Novembre, E.; Mori, F.; Arcangeli, F.; Cianferoni, A.; Bernardini, R.; Pucci, N.; Annunziato, F.; Parronchi, P.; De Martino, M.; Vierucci, A. High intracytoplasmatic levels of Il-4 and Il-5 in a patient with Gleichs syndrome: Case report. Int. J. Immunopathol. Pharmacol. 2006, 19, 935–938. [Google Scholar] [CrossRef] [PubMed]
- Cianferoni, A.; Spergel, J.M. Eosinophilic Esophagitis and Gastroenteritis. Curr. Allergy Asthma Rep. 2015, 15, 58. [Google Scholar] [CrossRef]
- Kuang, F.L.; Curtin, B.F.; Alao, H.; Piligian, B.; Berry, A.; Holland-Thomas, N.; Powers, A.; Quezado, M.; Lumbard, K.; Fay, M.P.; et al. Single-Organ and Multisystem Hypereosinophilic Syndrome Patients with Gastrointestinal Manifestations Share Common Characteristics. J. Allergy Clin. Immunol. Pract. 2020, 8, 2718–2726. [Google Scholar] [CrossRef]
- Collins, M.H. Histopathologic features of eosinophilic esophagitis. Gastrointest. Endosc. Clin. N. Am. 2008, 18, 59–71. [Google Scholar] [CrossRef]
- Saffari, H.; Peterson, K.A.; Fang, J.C.; Teman, C.; Gleich, G.J.; Pease, L.F., 3rd. Patchy eosinophil distributions in an esophagectomy specimen from a patient with eosinophilic esophagitis: Implications for endoscopic biopsy. J. Allergy Clin. Immunol. 2012, 130, 798–800. [Google Scholar] [CrossRef]
- Muller, S.; Puhl, S.; Vieth, M.; Stolte, M. Analysis of symptoms and endoscopic findings in 117 patients with histological diagnoses of eosinophilic esophagitis. Endoscopy 2007, 39, 339–344. [Google Scholar] [CrossRef] [PubMed]
- Cho, H.J.; Yoo, H.S.; Kim, M.A.; Shin, Y.S.; Ye, Y.M.; Nahm, D.H.; Kim, J.H.; Choi, J.H.; Park, S.Y.; Park, H.S. Clinical characteristics of angioedema with eosinophilia. Allergy Asthma Immunol. Res. 2014, 6, 362–365. [Google Scholar] [CrossRef] [PubMed]
- van Haelst Pisani, C.; Kovach, J.S.; Kita, H.; Leiferman, K.M.; Gleich, G.J.; Silver, J.E.; Dennin, R.; Abrams, J.S. Administration of interleukin-2 (IL-2) results in increased plasma concentrations of IL-5 and eosinophilia in patients with cancer. Blood 1991, 78, 1538–1544. [Google Scholar] [CrossRef]
- Bova, M.; De Feo, G.; Parente, R.; De Pasquale, T.; Gravante, C.; Pucci, S.; Nettis, E.; Triggiani, M. Hereditary and Acquired Angioedema: Heterogeneity of Pathogenesis and Clinical Phenotypes. Int. Arch. Allergy Immunol. 2018, 175, 126–135. [Google Scholar] [CrossRef] [PubMed]
- Dar, N.R.; Mustafvi, S.; Khalique, K.; Sharif, A.; Majeed, S. Recurrent urticaria, blood eosinophilia and eosinophilic ascites—A new variant of Gleich’s syndrome. Pak. Armed. Forces Med. J. 2008, 58, 340–342. [Google Scholar]
- Butt, N.M.; Lambert, J.; Ali, S.; Beer, P.A.; Cross, N.C.; Duncombe, A.; Ewing, J.; Harrison, C.N.; Knapper, S.; McLornan, D.; et al. Guideline for the investigation and management of eosinophilia. Br. J. Haematol. 2017, 176, 553–572. [Google Scholar] [CrossRef]
- Roufosse, F.; Schandene, L.; Sibille, C.; Willard-Gallo, K.; Kennes, B.; Efira, A.; Goldman, M.; Cogan, E. Clonal Th2 lymphocytes in patients with the idiopathic hypereosinophilic syndrome. Br. J. Haematol. 2000, 109, 540–548. [Google Scholar] [CrossRef]
- Simon, H.U.; Plotz, S.G.; Simon, D.; Dummer, R.; Blaser, K. Clinical and immunological features of patients with interleukin-5-producing T cell clones and eosinophilia. Int. Arch. Allergy Immunol. 2001, 124, 242–245. [Google Scholar] [CrossRef]
- O’Connell, E.M.; Nutman, T.B. Eosinophilia in Infectious Diseases. Immunol. Allergy Clin. N. Am. 2015, 35, 493–522. [Google Scholar] [CrossRef]
- Kolkhir, P.; Balakirski, G.; Merk, H.F.; Olisova, O.; Maurer, M. Chronic spontaneous urticaria and internal parasites—A systematic review. Allergy 2016, 71, 308–322. [Google Scholar] [CrossRef]
- Lepczynska, M.; Chen, W.C.; Dzika, E. Mysterious chronic urticaria caused by Blastocystis spp.? Int. J. Dermatol. 2016, 55, 259–266; quiz 263–254, 266. [Google Scholar] [CrossRef]
- Nutman, T.B. Evaluation and differential diagnosis of marked, persistent eosinophilia. Immunol. Allergy Clin. N. Am. 2007, 27, 529–549. [Google Scholar] [CrossRef] [PubMed]
- Balint, A.; Doczi, I.; Bereczki, L.; Gyulai, R.; Szucs, M.; Farkas, K.; Urban, E.; Nagy, F.; Szepes, Z.; Wittmann, T.; et al. Do not forget the stool examination!-cutaneous and gastrointestinal manifestations of Blastocystis sp. infection. Parasitol. Res. 2014, 113, 1585–1590. [Google Scholar] [CrossRef] [PubMed]
- Haldar, P.; Brightling, C.E.; Hargadon, B.; Gupta, S.; Monteiro, W.; Sousa, A.; Marshall, R.P.; Bradding, P.; Green, R.H.; Wardlaw, A.J.; et al. Mepolizumab and exacerbations of refractory eosinophilic asthma. N. Engl. J. Med. 2009, 360, 973–984. [Google Scholar] [CrossRef] [PubMed]
- Wechsler, M.E.; Akuthota, P.; Jayne, D.; Khoury, P.; Klion, A.; Langford, C.A.; Merkel, P.A.; Moosig, F.; Specks, U.; Cid, M.C.; et al. Mepolizumab or Placebo for Eosinophilic Granulomatosis with Polyangiitis. N. Engl. J. Med. 2017, 376, 1921–1932. [Google Scholar] [CrossRef]
- Mizukawa, Y.; Shiohara, T. The cytokine profile in a transient variant of angioedema with eosinophilia. Br. J. Dermatol. 2001, 144, 169–174. [Google Scholar] [CrossRef]




| Patient’s Data | Normal Range | |
|---|---|---|
| Gender | Female | - |
| Age of onset (years) | 30 | - |
| Age at diagnosis (years) | 32 | - |
| Symptoms | Angioedema Urticaria Pruritus Periodic weight gain Gastrointestinal symptoms Splenomegaly Lymphadenopathy | - |
| AEC (g/L) | 9.617 | 0–0.45 |
| ANC (g/L) | 9.009 | 1.8–7 |
| Serum total IgM (g/L) | 2.080 | 0.40–2.30 |
| Serum total IgG (g/L) | 9.410 | 7.37–16.07 |
| Serum total IgA (g/L) | 1.320 | 0.70–4.00 |
| Serum total IgE (KU/L) | 30.90 | <100 |
| Aberrant T-cell population | No | - |
| ESR(mm/Ih)/CRP(mg/dL) | 10/ < 0.33 | 0–15/0–0.50 |
| ANA (Index) | 0.11 | 0–1 |
| ANCA-MPO(UI/mL) | 0 | <10 |
| PR3-ANCA(UI/mL) | 0 | <10 |
| C3 (g/L) | 1.28 | 0.9–1.8 |
| C4 (g/L) | 0.27 | 0.1–0.4 |
| C1-inhibitor (g/L) | 0.292 | 0.21–0.39 |
| C1q (mg/dL) | 19 | 10–25 |
| Maxillofacial CT | Unilateral maxillary sinusitis | - |
| Upper GI endoscopy | Mild esophagitis | - |
| GI histology | No eosinophilic infiltrate | |
| Treatment | Prednisone | - |
| Outcome | Remission | - |
| Symptoms | Number of Patients (%) Number of Studied Patients = 57 | References |
|---|---|---|
| Angioedema | 57 (100%) | [2,3,4,5,7,12,13,14,15,16,17,18,19,20,21] |
| Weight gain | 27 (47.3%) | [2,3,5,7,12,13,14,15,16,17,18,19,20,21] |
| Urticaria | 23 (40.3%) | [2,3,5,12,19,20] |
| Gastrointestinal symptoms | 15 (26.3%) | [5,7,12,18] |
| Pruritus | 14 (24.5%) | [12,14,17,20] |
| Arthralgia | 10 (17.5%) | [12,17,22,23] |
| Splenomegaly | 9 (15.7%) | [2,12,20] |
| Fever | 9 (15.7%) | [2,4,7,14,15,17,19] |
| Lymphadenopathy | 8 (14%) | [12,16] |
| Eosinophilic myocarditis | 2 (3.5%) | [12] |
| Asthenia | 1 (1.7%) | [20] |
| Oliguria | 1 (1.7%) | [15] |
| Myalgias | 1 (1.7%) | [15] |
| Ascites | 1 (1.7%) | [18] |
| Arterial hypotension | 1 (1.7%) | [20] |
| Sore throat | 1 (1.7%) | [17] |
| Dyspnea on exertion | 1 (1.7%) | [7] |
| Range Value [Number of Patients (%)] Number of Studied Patients = 57 | References | |
|---|---|---|
| AEC(g/L) 1 | 0.88–95 [57 (100%)] | [2,3,4,5,7,12,13,14,15,16,17,18,19,20,22] |
| ANC (g/L) 2 | 1.4–15.6 [11 (19.2%)] | [1,3,4] |
| NR [46 (80.7%)] | ||
| IgM levels | normal [17 (29.8%)] | [2,3,4,5,7,12,13,14,15,16,17,18,19,20,22] |
| high [38 (66.6%)] | ||
| NR [2 (3.5%)] | ||
| IgE levels | normal [28 (49.1%)] | [2,3,4,5,12,13,14,15,16,19,20,22] |
| high [26 (45.6%)] | ||
| NR [3 (17.1%)] | ||
| T cell populations | normal [21 (36.8%)] | |
| aberrant [18 (31.5%)] | [3,5,7,12,15,20] | |
| NR [18 (31.5%)] |
|
|
|
|
|
|
|
| Treatment | Number of patients (%) Number of Studied Patients = 57 | References |
|---|---|---|
| Corticosteroids | 52 (91.2%) | [2,3,4,5,12,13,14,15,16,17,18,19,20,22] |
| Azathioprine | 1 (1.7%) | [15] |
| Methotrexate | 4 (7%) | [12] |
| Cyclosporin A | 6 (10.5%) | [12,15] |
| Interferon α | 9 (15.7%) | [5,12] |
| Danazol | 1 (1.7%) | [12] |
| Hydroxycarbamide | 2 (3.5%) | [12] |
| Intravenous immunoglobulin | 1 (1.7%) | [17] |
| Imatinib | 2 (3.5%) | [4,12] |
| Omalizumab | 1 (1.7%) | [13] |
| Mepolizumab | 1 (1.7%) | [15] |
Publisher’s Note: MDPI stays neutral with regard to jurisdictional claims in published maps and institutional affiliations. |
© 2021 by the authors. Licensee MDPI, Basel, Switzerland. This article is an open access article distributed under the terms and conditions of the Creative Commons Attribution (CC BY) license (https://creativecommons.org/licenses/by/4.0/).
Share and Cite
Mormile, I.; Petraroli, A.; Loffredo, S.; Rossi, F.W.; Mormile, M.; Del Mastro, A.; Spadaro, G.; de Paulis, A.; Bova, M. Episodic Angioedema with Hypereosinophilia (Gleich’s Syndrome): A Case Report and Extensive Review of the Literature. J. Clin. Med. 2021, 10, 1442. https://doi.org/10.3390/jcm10071442
Mormile I, Petraroli A, Loffredo S, Rossi FW, Mormile M, Del Mastro A, Spadaro G, de Paulis A, Bova M. Episodic Angioedema with Hypereosinophilia (Gleich’s Syndrome): A Case Report and Extensive Review of the Literature. Journal of Clinical Medicine. 2021; 10(7):1442. https://doi.org/10.3390/jcm10071442
Chicago/Turabian StyleMormile, Ilaria, Angelica Petraroli, Stefania Loffredo, Francesca Wanda Rossi, Mauro Mormile, Andrea Del Mastro, Giuseppe Spadaro, Amato de Paulis, and Maria Bova. 2021. "Episodic Angioedema with Hypereosinophilia (Gleich’s Syndrome): A Case Report and Extensive Review of the Literature" Journal of Clinical Medicine 10, no. 7: 1442. https://doi.org/10.3390/jcm10071442
APA StyleMormile, I., Petraroli, A., Loffredo, S., Rossi, F. W., Mormile, M., Del Mastro, A., Spadaro, G., de Paulis, A., & Bova, M. (2021). Episodic Angioedema with Hypereosinophilia (Gleich’s Syndrome): A Case Report and Extensive Review of the Literature. Journal of Clinical Medicine, 10(7), 1442. https://doi.org/10.3390/jcm10071442

