Evaluation of Resection Margin after Image-Guided Dural Tail Resection in Convexity Meningiomas
Abstract
1. Introduction
2. Patients and Methods
2.1. Patient Data
2.2. Radiological Analysis
2.3. Statistics
3. Results
3.1. Patient Characteristics and Histological Analysis
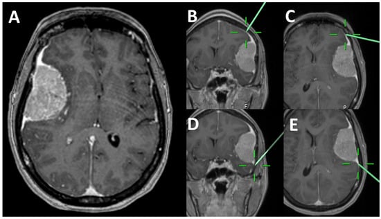
3.2. Radiological Analysis of the Dural Tail
4. Discussion
5. Conclusions
Supplementary Materials
Author Contributions
Funding
Institutional Review Board Statement
Informed Consent Statement
Data Availability Statement
Conflicts of Interest
References
- Marosi, C.; Hassler, M.; Roessler, K.; Reni, M.; Sant, M.; Mazza, E.; Vecht, C. Meningioma. Crit. Rev. Oncol. Hematol. 2008, 67, 153–171. [Google Scholar] [CrossRef] [PubMed]
- Ostrom, Q.T.; Cioffi, G.; Gittleman, H.; Patil, N.; Waite, K.; Kruchko, C.; Barnholtz-Sloan, J.S. CBTRUS Statistical Report: Primary Brain and Other Central Nervous System Tumors Diagnosed in the United States in 2012–2016. Neuro. Oncol. 2019, 21, v1–v100. [Google Scholar] [CrossRef] [PubMed]
- Wilms, G.; Lammens, M.; Marchal, G.; Van Calenbergh, F.; Plets, C.; Van Fraeyenhoven, L.; Baert, A.L. Thickening of Dura Surrounding Meningiomas. J. Comput. Assist. Tomogr. 1989, 13, 763–768. [Google Scholar] [CrossRef]
- Doddamani, R.S.; Meena, R.K.; Sawarkar, D. Ambiguity in the Dural Tail Sign on MRI. Surg. Neurol. Int. 2018, 9, 62. [Google Scholar] [CrossRef] [PubMed]
- Goldsher, D.; Litt, A.W.; Pinto, R.S.; Bannon, K.R.; Kricheff, I.I. Dural “tail” associated with meningiomas on Gd-DTPA-enhanced MR images: Characteristics, differential diagnostic value, and possible implications for treatment. Radiology 1990, 176, 447–450. [Google Scholar] [CrossRef]
- Guermazi, A.; Lafitte, F.; Miaux, Y.; Adem, C.; Bonneville, J.F.; Chiras, J. The dural tail sign—Beyond meningioma. Clin. Radiol. 2005, 60, 171–188. [Google Scholar] [CrossRef] [PubMed]
- Tokumaru, A.; O’Uchi, T.; Eguchi, T.; Kawamoto, S.; Kokubo, T.; Suzuki, M.; Kameda, T. Prominent meningeal enhancement adjacent to meningioma on Gd-DTPA-enhanced MR images: Histopathologic correlation. Radiology 1990, 175, 431–433. [Google Scholar] [CrossRef]
- Kawahara, Y.; Niiro, M.; Yokoyama, S.; Kuratsu, J. Dural congestion accompanying meningioma invasion into vessels: The dural tail sign. Neuroradiology 2001, 43, 462–465. [Google Scholar] [CrossRef]
- Rokni-Yazdi, H.; Ardalan, F.A.; Asadzandi, Z.; Sotoudeh, H.; Shakiba, M.; Adibi, A.; Ayatollahi, H.; Rahmani, M. Pathologic significance of the “dural tail sign”. Eur. J. Radiol. 2009, 70, 10–16. [Google Scholar] [CrossRef]
- Qi, S.-T.; Liu, Y.; Pan, J.; Chotai, S.; Fang, L.-X. A radiopathological classification of dural tail sign of meningiomas. J. Neurosurg. 2012, 117, 645–653. [Google Scholar] [CrossRef]
- You, B.; Cheng, Y.; Zhang, J.; Song, Q.; Dai, C.; Heng, X.; Fei, C. Application of contrast-enhanced T1-weighted MRI-based 3D reconstruction of the dural tail sign in meningioma resection. J. Neurosurg. 2016, 125, 46–52. [Google Scholar] [CrossRef]
- Slot, K.M.; Verbaan, D.; Uitdehaag, B.M.J.; Wesseling, P.; Sanchez, E.; Vandertop, W.P.; Peerdeman, S.M. Can Excision of Meningiomas Be Limited to Resection of Tumor and Radiologically Abnormal Dura Mater? Neuronavigation-Guided Biopsies of Dural Tail and Seemingly Normal Dura Mater, with a Review of the Literature. World Neurosurg. 2014, 82, e832–e836. [Google Scholar] [CrossRef]
- Gousias, K.; Schramm, J.; Simon, M. The Simpson grading revisited: Aggressive surgery and its place in modern meningioma management. J. Neurosurg. 2016, 125, 551–560. [Google Scholar] [CrossRef]
- Gallagher, M.J.; Jenkinson, M.D.; Brodbelt, A.R.; Mills, S.J.; Chavredakis, E. WHO grade 1 meningioma recurrence: Are location and Simpson grade still relevant? Clin. Neurol. Neurosurg. 2016, 141, 117–121. [Google Scholar] [CrossRef]
- Simpson, D. The recurrence of intracranial meningiomas after surgical treatment. J. Neurol. Neurosurg. Psychiatry 1957, 20, 22–39. [Google Scholar] [CrossRef]
- Kikinis, R.; Pieper, S.D.; Vosburgh, K.G. 3D Slicer: A Platform for Subject-Specific Image Analysis, Visualization, and Clinical Support. In Intraoperative Imaging and Image-Guided Therapy; Jolesz, F., Ed.; Springer: New York, NY, USA, 2014; pp. 277–289. [Google Scholar]
- Fedorov, A.; Beichel, R.; Kalpathy-Cramer, J.; Finet, J.; Fillion-Robin, J.-C.; Pujol, S.; Bauer, C.; Jennings, D.; Fennessy, F.; Sonka, M.; et al. 3D Slicer as an image computing platform for the Quantitative Imaging Network. Magn. Reson. Imaging 2012, 30, 1323–1341. [Google Scholar] [CrossRef]
- Van Griethuysen, J.J.; Fedorov, A.; Parmar, C.; Hosny, A.; Aucoin, N.; Narayan, V.; Beets-Tan, R.G.; Fillion-Robin, J.-C.; Pieper, S.; Aerts, H.J. Computational Radiomics System to Decode the Radiographic Phenotype. Cancer Res. 2017, 77, e104–e107. [Google Scholar] [CrossRef]
- Oya, S.; Kawai, K.; Nakatomi, H.; Saito, N. Significance of Simpson grading system in modern meningioma surgery: Integration of the grade with MIB-1 labeling index as a key to predict the recurrence of WHO Grade I meningiomas. J. Neurosurg. 2012, 117, 121–128. [Google Scholar] [CrossRef]
- Nanda, A.; Bir, S.C.; Maiti, T.K.; Konar, S.K.; Missios, S.; Guthikonda, B. Relevance of Simpson grading system and recurrence-free survival after surgery for World Health Organization Grade I meningioma. J. Neurosurg. 2017, 126, 201–211. [Google Scholar] [CrossRef] [PubMed]
- Wilms, G.; Lammens, M.; Marchal, G.; Demaerel, P.; Verplancke, J.; Van Calenbergh, F.; Goffin, J.; Plets, C.; Baert, A.L. Prominent dural enhancement adjacent to nonmeningiomatous malignant lesions on contrast-enhanced MR images. Am. J. Neuroradiol. 1991, 12, 761–764. [Google Scholar] [PubMed]
- Perry, A.; Lusis, E.A.; Gutmann, D.H. Meningothelial Hyperplasia: A Detailed Clinicopathologic, Immunohistochemical and Genetic Study of 11 Cases. Brain Pathol. 2005, 15, 109–115. [Google Scholar] [CrossRef]
- Tanaka, N.; Yamamoto, M.; Jimbo, M.; Ide, M.; Kubo, O. Meningioma Associated with Chronic Subdural Hematoma and Meningothelial Cell Cluster within the Hematoma Capsule—Case Report. Neurol. Med. Chir. 1994, 34, 176–179. [Google Scholar] [CrossRef]
- Morin, O.; Chen, W.C.; Nassiri, F.; Susko, M.; Magill, S.T.; Vasudevan, H.N.; Wu, A.; Vallières, M.; Gennatas, E.D.; Valdes, G.; et al. Integrated models incorporating radiologic and radiomic features predict meningioma grade, local failure, and overall survival. Neurooncol. Adv. 2019, 1. [Google Scholar] [CrossRef]
- Wei, J.; Li, L.; Han, Y.; Gu, D.; Chen, Q.; Wang, J.; Li, R.; Zhan, J.; Tian, J.; Zhou, D. Accurate Preoperative Distinction of Intracranial Hemangiopericytoma From Meningioma Using a Multihabitat and Multisequence-Based Radiomics Diagnostic Technique. Front. Oncol. 2020, 10. [Google Scholar] [CrossRef]
- Van Lindert, E.; Perneczky, A.; Fries, G.; Pierangeli, E. The Supraorbital Keyhole Approach to Supratentorial Aneurysms: Concept and Technique. Surg. Neurol. 1998, 49, 481–490. [Google Scholar] [CrossRef]
- Pettersson-Segerlind, J.; Orrego, A.; Lönn, S.; Mathiesen, T. Long-Term 25-Year Follow-up of Surgically Treated Parasagittal Meningiomas. World Neurosurg. 2011, 76, 564–571. [Google Scholar] [CrossRef]
- Rogers, L.; Barani, I.; Chamberlain, M.; Kaley, T.J.; McDermott, M.; Raizer, J.; Schiff, D.; Weber, D.C.; Wen, P.Y.; Vogelbaum, M.A. Meningiomas: Knowledge base, treatment outcomes, and uncertainties. A RANO review. J. Neurosurg. 2015, 122, 4–23. [Google Scholar] [CrossRef]



| Patient ID | Gender | Age | Simpson Grade | Histology | Dural Tail Infiltration | Follow Up (Months) | Follow-Up Status |
|---|---|---|---|---|---|---|---|
| 1 | w | 45 | 1 | transitional | No | 45.54 | no tumor |
| 2 | w | 52 | 1 | transitional | No | 18.60 | no tumor |
| 3 | m | 68 | 2 | angiomatous | 2 of 3 * | 1.81 | dead |
| 4 | w | 62 | 1 | atypical | Possible 1 of 4 | 34.00 | no tumor |
| 5 | w | 54 | 1 | secretory | No | 10.15 | |
| 6 | w | 36 | 1 | fibrous | No | 28.88 | no tumor |
| 7 | w | 44 | 1 | transitional | No | 30.52 | no tumor |
| 8 | w | 85 | 2 | fibrous | No * | 38.87 | deceased |
| 9 | w | 62 | 1 | transitional | No | 37.65 | no tumor |
| 10 | w | 60 | 1 | secretory | Possible 1 of 4 | 27.14 | no tumor |
| 11 | w | 47 | 1 | transitional | Possible 1 of 4 | no tumor | |
| 12 | w | 58 | 1 | atypical | 1 of 4 | 17.91 | no tumor |
| 13 | w | 70 | 1 | meningothelial | 1 of 4 | 23.16 | no tumor |
| 14 | w | 65 | 1 | psammomatous | No | 42.61 | no tumor |
| 15 | w | 48 | 1 | atypical | Possible 1 of 4 | 50.00 | no tumor |
| 16 | w | 30 | 1 | transitional | No | 21.59 | |
| 17 | w | 51 | 1 | transitional | Possible 1 of 4 | ||
| 18 | w | 55 | 1 | psammomatous | No | 28.91 | |
| 19 | m | 31 | 1 | atypical | No | 6.77 | no tumor |
| 20 | w | 39 | 1 | atypical | No | 31.01 | no tumor |
| 21 | w | 56 | 1 | transitional | No | 45.54 | no tumor |
| 22 | w | 74 | 1 | atypical | No | 18.60 | no tumor |
Publisher’s Note: MDPI stays neutral with regard to jurisdictional claims in published maps and institutional affiliations. |
© 2021 by the authors. Licensee MDPI, Basel, Switzerland. This article is an open access article distributed under the terms and conditions of the Creative Commons Attribution (CC BY) license (http://creativecommons.org/licenses/by/4.0/).
Share and Cite
Kalasauskas, D.; Tanyildizi, Y.; Renovanz, M.; Brockmann, M.A.; Sommer, C.J.; Ringel, F.; Keric, N. Evaluation of Resection Margin after Image-Guided Dural Tail Resection in Convexity Meningiomas. J. Clin. Med. 2021, 10, 1177. https://doi.org/10.3390/jcm10061177
Kalasauskas D, Tanyildizi Y, Renovanz M, Brockmann MA, Sommer CJ, Ringel F, Keric N. Evaluation of Resection Margin after Image-Guided Dural Tail Resection in Convexity Meningiomas. Journal of Clinical Medicine. 2021; 10(6):1177. https://doi.org/10.3390/jcm10061177
Chicago/Turabian StyleKalasauskas, Darius, Yasemin Tanyildizi, Mirjam Renovanz, Marc A. Brockmann, Clemens J. Sommer, Florian Ringel, and Naureen Keric. 2021. "Evaluation of Resection Margin after Image-Guided Dural Tail Resection in Convexity Meningiomas" Journal of Clinical Medicine 10, no. 6: 1177. https://doi.org/10.3390/jcm10061177
APA StyleKalasauskas, D., Tanyildizi, Y., Renovanz, M., Brockmann, M. A., Sommer, C. J., Ringel, F., & Keric, N. (2021). Evaluation of Resection Margin after Image-Guided Dural Tail Resection in Convexity Meningiomas. Journal of Clinical Medicine, 10(6), 1177. https://doi.org/10.3390/jcm10061177

