Nerve Fibers in the Tumor Microenvironment Are Co-Localized with Lymphoid Aggregates in Pancreatic Cancer
Abstract
1. Introduction
2. Methods
2.1. Ethics Statement
2.1.1. Patient Cohort
2.1.2. Pathological Examination
2.2. Nerve Fiber Density (NFD)
2.3. Tumor Cellularity (TC)
2.4. Phenotyping of Immune Cells
2.5. Single Immunohistochemistry
2.6. Multiplex Immunofluorescence Assay and Analysis
2.7. Lymphoid Aggregate Count Using Machine Learning
2.8. Statistics
3. Results
3.1. High Nerve Fiber Density Is Associated with a Better Survival in Pancreatic Cancer
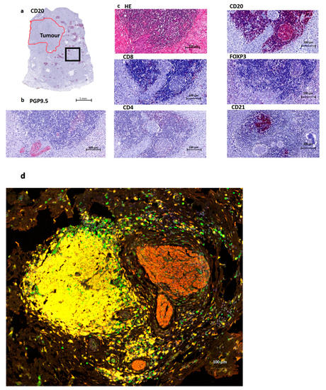
3.2. The Lymphozcyte Predominant Immunophenotype Mainly in a Low Cellular Tumor
3.3. Immune Cells Located at the Nerve Fibers Are Mainly B Cells
3.4. Machine Learning for Quantification of Lymphoid Aggregates
4. Discussion
Supplementary Materials
Author Contributions
Funding
Institutional Review Board Statement
Informed Consent Statement
Data Availability Statement
Code Availability
Conflicts of Interest
References
- Bray, F.; Ferlay, J.; Soerjomataram, I.; Siegel, R.L.; Torre, L.A.; Jemal, A. Global cancer statistics 2018: GLOBOCAN estimates of incidence and mortality worldwide for 36 cancers in 185 countries. CA Cancer J. Clin. 2018, 68, 394–424. [Google Scholar] [CrossRef] [PubMed]
- Chen, D.S.; Mellman, I. Elements of cancer immunity and the cancer–immune set point. Nature 2017, 541, 321–330. [Google Scholar] [CrossRef]
- Feig, C.; Jones, J.O.; Kraman, M.; Wells, R.J.B.; Deonarine, A.; Chan, D.S.; Connell, C.M.; Roberts, E.W.; Zhao, Q.; Caballero, O.L.; et al. Targeting CXCL12 from FAP-expressing carcinoma-associated fibroblasts synergizes with anti-PD-L1 immunotherapy in pancreatic cancer. Proc. Natl. Acad. Sci. USA 2013, 110, 20212–20217. [Google Scholar] [CrossRef]
- Petitprez, F.; De Reyniès, A.; Keung, E.Z.; Chen, T.W.-W.; Sun, C.-M.; Calderaro, J.; Jeng, Y.-M.; Hsiao, L.-P.; Lacroix, L.; Bougoüin, A.; et al. B cells are associated with survival and immunotherapy response in sarcoma. Nature 2020, 577, 556–560. [Google Scholar] [CrossRef]
- Helmink, B.A.; Reddy, S.M.; Gao, J.; Zhang, S.; Basar, R.; Thakur, R.; Yizhak, K.; Sade-Feldman, M.; Blando, J.; Han, G.; et al. B cells and tertiary lymphoid structures promote immunotherapy response. Nature 2020, 577, 549–555. [Google Scholar] [CrossRef]
- Cabrita, R.; Lauss, M.; Sanna, A.; Donia, M.; Larsen, M.S.; Mitra, S.; Johansson, I.; Phung, B.; Harbst, K.; Vallon-Christersson, J.; et al. Tertiary lymphoid structures improve immunotherapy and survival in melanoma. Nature 2020, 577, 561–565. [Google Scholar] [CrossRef]
- Yuen, G.J.; Demissie, E.; Pillai, S. B Lymphocytes and Cancer: A Love–Hate Relationship. Trends Cancer 2016, 2, 747–757. [Google Scholar] [CrossRef]
- Germain, C.; Gnjatic, S.; Dieu-Nosjean, M.-C. Tertiary Lymphoid Structure-Associated B Cells are Key Players in Anti-Tumor Immunity. Front. Immunol. 2015, 6, 67. [Google Scholar] [CrossRef] [PubMed]
- Sarvaria, A.; Madrigal, J.A.; Saudemont, A. B cell regulation in cancer and anti-tumor immunity. Cell. Mol. Immunol. 2017, 14, 662–674. [Google Scholar] [CrossRef] [PubMed]
- Tsou, P.; Katayama, H.; Ostrin, E.J.; Hanash, S.M. The Emerging Role of B Cells in Tumor Immunity. Cancer Res. 2016, 76, 5597–5601. [Google Scholar] [CrossRef] [PubMed]
- Chen, P.-L.; Roh, W.; Reuben, A.; Cooper, Z.A.; Spencer, C.N.; Prieto, P.A.; Miller, J.P.; Bassett, R.L.; Gopalakrishnan, V.; Wani, K.; et al. Analysis of Immune Signatures in Longitudinal Tumor Samples Yields Insight into Biomarkers of Response and Mechanisms of Resistance to Immune Checkpoint Blockade. Cancer Discov. 2016, 6, 827–837. [Google Scholar] [CrossRef] [PubMed]
- Pylayeva-Gupta, Y.; Das, S.; Handler, J.S.; Hajdu, C.H.; Coffre, M.; Koralov, S.B.; Bar-Sagi, D. IL35-Producing B Cells Promote the Development of Pancreatic Neoplasia. Cancer Discov. 2016, 6, 247–255. [Google Scholar] [CrossRef] [PubMed]
- Carragher, D.M.; Rangel-Moreno, J.; Randall, T.D. Ectopic lymphoid tissues and local immunity. Semin. Immunol. 2008, 20, 26–42. [Google Scholar] [CrossRef] [PubMed]
- Colbeck, E.J.; Ager, A.; Gallimore, A.; Jones, G.W. Tertiary Lymphoid Structures in Cancer: Drivers of Antitumor Immunity, Immunosuppression, or Bystander Sentinels in Disease? Front. Immunol. 2017, 8, 1830. [Google Scholar] [CrossRef] [PubMed]
- Sautès-Fridman, C.; Petitprez, F.; Calderaro, J.; Fridman, W.H. Tertiary lymphoid structures in the era of cancer immunotherapy. Nat. Rev. Cancer 2019, 19, 307–325. [Google Scholar] [CrossRef] [PubMed]
- Dieu-Nosjean, M.-C.; Goc, J.; Giraldo, N.A.; Sautès-Fridman, C.; Fridman, W.H. Tertiary lymphoid structures in cancer and beyond. Trends Immunol. 2014, 35, 571–580. [Google Scholar] [CrossRef] [PubMed]
- Siliņa, K.; Soltermann, A.; Attar, F.M.; Casanova, R.; Uckeley, Z.M.; Thut, H.; Wandres, M.; Isajevs, S.; Cheng, P.F.; Curioni-Fontecedro, A.; et al. Germinal Centers Determine the Prognostic Relevance of Tertiary Lymphoid Structures and Are Impaired by Corticosteroids in Lung Squamous Cell Carcinoma. Cancer Res. 2018, 78, 1308–1320. [Google Scholar] [CrossRef]
- Hiraoka, N.; Ino, Y.; Yamazaki-Itoh, R.; Kanai, Y.; Kosuge, T.; Shimada, K. Intratumoral tertiary lymphoid organ is a favourable prognosticator in patients with pancreatic cancer. Br. J. Cancer 2015, 112, 1782–1790. [Google Scholar] [CrossRef]
- Fukunaga, A.; Miyamoto, M.; Cho, Y.; Murakami, S.; Kawarada, Y.; Oshikiri, T.; Kato, K.; Kurokawa, T.; Suzuoki, M.; Nakakubo, Y.; et al. CD8+ Tumor-Infiltrating Lymphocytes Together with CD4+ Tumor-Infiltrating Lymphocytes and Dendritic Cells Improve the Prognosis of Patients with Pancreatic Adenocarcinoma. Pancreas 2004, 28, e26–e31. [Google Scholar] [CrossRef]
- Zhao, Q.; Yang, Y.; Liang, X.; Du, G.; Liu, L.; Lu, L.; Dong, J.; Han, H.; Zhang, G. The clinicopathological significance of neurogenesis in breast cancer. BMC Cancer 2014, 14, 484. [Google Scholar] [CrossRef]
- Lin, D.Y.; Wei, L.J.; Ying, Z. Checking the Cox Model with Cumulative Sums of Martingale-Based Residuals. Biometrika 1993, 80, 557–572. [Google Scholar] [CrossRef]
- De Santiago, I.; Yau, C.; Heij, L.; Middleton, M.R.; Markowetz, F.; Grabsch, H.I.; Dustin, M.L.; Sivakumar, S. Immunophenotypes of pancreatic ductal adenocarcinoma: Meta-analysis of transcriptional subtypes. Int. J. Cancer 2019, 145, 1125–1137. [Google Scholar] [CrossRef] [PubMed]
- Faulkner, S.; Jobling, P.; March, B.; Jiang, C.C.; Hondermarck, H. Tumor Neurobiology and the War of Nerves in Cancer. Cancer Discov. 2019, 9, 702–710. [Google Scholar] [CrossRef] [PubMed]
- Renz, B.W.; Tanaka, T.; Sunagawa, M.; Takahashi, R.; Jiang, Z.; Macchini, M.; Dantes, Z.; Valenti, G.; White, R.A.; Middelhoff, M.A.; et al. Cholinergic Signaling via Muscarinic Receptors Directly and Indirectly Suppresses Pancreatic Tumorigenesis and Cancer Stemness. Cancer Discov. 2018, 8, 1458–1473. [Google Scholar] [CrossRef]
- Dantzer, R. Neuroimmune Interactions: From the Brain to the Immune System and Vice Versa. Physiol. Rev. 2018, 98, 477–504. [Google Scholar] [CrossRef]
- Balachandran, V.P.; Łuksza, M.; Zhao, J.N.; Makarov, V.; Moral, J.A.; Remark, R.; Herbst, B.; Askan, G.; Bhanot, U.; Senbabaoglu, Y.; et al. Identification of unique neoantigen qualities in long-term survivors of pancreatic cancer. Nature 2017, 551, 512–516. [Google Scholar] [CrossRef]
- Karamitopoulou, E. Tumour microenvironment of pancreatic cancer: Immune landscape is dictated by molecular and histopathological features. Br. J. Cancer 2019, 121, 5–14. [Google Scholar] [CrossRef]
- Roghanian, A.; Fraser, C.; Kleyman, M.; Chen, J. B Cells Promote Pancreatic Tumorigenesis. Cancer Discov. 2016, 6, 230–232. [Google Scholar] [CrossRef]



| Univariate Analyses (Adjusted for Age, Gender, BMI) | Multivariate Analysis (Adjusted for Age, Gender, BMI) | ||||
|---|---|---|---|---|---|
| Variable | Mean (SD) or Frequency (%) | Hazard Ratio [95%-C] | p-Value | Hazard Ratio [95%-CI] | p-Value |
| Age | 66 (10) | 1.024 [1.002, 1.047] | 0.0356 | ||
| Gender female | 80 (48.19) | 1.173 [0.789, 1.745] | 0.4297 | ||
| male | 86 (51.81) | ||||
| BMI | 25.7 (4.3) | 0.996 [0.954, 1.040] | 0.8547 | ||
| ASA <3 | 62 (37.35) | 0.909 [0.607, 1.362] | 0.6449 | ||
| ≥3 | 104 (62.65) | ||||
| Tumour grade G2 | 94 (56.63) | 1.954 [1.342, 2.844] | 0.0005 | ||
| G3 | 72 (56.63) | ||||
| Extent of tumour T1/T2 | 26 (15.66) | 2.116 [1.015, 4.410] | 0.0455 | ||
| T3/T4 | 140 (84.34) | ||||
| Perineural invasion Absent | 28 (16.87) | 2.239 [1.265, 3.961] | 0.0056 | 2.409 [1.337, 4.340] | 0.0034 |
| Present | 138 (83.13) | ||||
| Lymph node metastasis Absent | 39 (23.49) | 2.322 [1.407, 3.834] | 0.0010 | ||
| Present | 127 (76.51) | ||||
| Lymphatic invasion Absent | 114 (68.67) | 2.080 [0.418, 3.050] | 0.0002 | 1.763 [1.173, 2.651] | 0.0064 |
| Present | 52 (31.33) | ||||
| Venous invasion Absent | 136 (81.93) | 1.452 [0.923, 2.284] | 0.1068 | ||
| Present | 30 (81.93) | ||||
| Surgical margin status Negative | 106 (63.86) | 1.962 [1.342, 2.868] | 0.0005 | ||
| Positive | 60 (36.14) | ||||
| Nerve fiber density High | 72 (43.37) | 1.597 [1.093, 2.336] | 0.0155 | 1.676 [1.126, 2.495] | 0.0109 |
| Low | 94 (56.63) | ||||
| Lymphoid Aggregates <5 | 95 (57.23) | 1.084 [0.745, 1.577] | 0.6723 | ||
| ≥5 | 71 (42.77) | ||||
| Tumor cellularity | 0.36 (0.20) | 5.280 [1.952, 14.282] | 0.0010 | 4.287 [1.460, 12.589] | 0.0081 |
| Interaction between Lymph node metastasis and surgical margin status | 0.0053 | ||||
| lymph node metastasis present at surgical margin status positive | 0.587 [0.272, 1.266] | ||||
| lymph node metastasis present at surgical margin status negative | 2.618 [1.260, 5.437] | ||||
Publisher’s Note: MDPI stays neutral with regard to jurisdictional claims in published maps and institutional affiliations. |
© 2021 by the authors. Licensee MDPI, Basel, Switzerland. This article is an open access article distributed under the terms and conditions of the Creative Commons Attribution (CC BY) license (http://creativecommons.org/licenses/by/4.0/).
Share and Cite
Heij, L.R.; Tan, X.; Kather, J.N.; Niehues, J.M.; Sivakumar, S.; Heussen, N.; van der Kroft, G.; Damink, S.W.M.O.; Lang, S.; Aberle, M.R.; et al. Nerve Fibers in the Tumor Microenvironment Are Co-Localized with Lymphoid Aggregates in Pancreatic Cancer. J. Clin. Med. 2021, 10, 490. https://doi.org/10.3390/jcm10030490
Heij LR, Tan X, Kather JN, Niehues JM, Sivakumar S, Heussen N, van der Kroft G, Damink SWMO, Lang S, Aberle MR, et al. Nerve Fibers in the Tumor Microenvironment Are Co-Localized with Lymphoid Aggregates in Pancreatic Cancer. Journal of Clinical Medicine. 2021; 10(3):490. https://doi.org/10.3390/jcm10030490
Chicago/Turabian StyleHeij, Lara R., Xiuxiang Tan, Jakob N. Kather, Jan M. Niehues, Shivan Sivakumar, Nicole Heussen, Gregory van der Kroft, Steven W. M. Olde Damink, Sven Lang, Merel R. Aberle, and et al. 2021. "Nerve Fibers in the Tumor Microenvironment Are Co-Localized with Lymphoid Aggregates in Pancreatic Cancer" Journal of Clinical Medicine 10, no. 3: 490. https://doi.org/10.3390/jcm10030490
APA StyleHeij, L. R., Tan, X., Kather, J. N., Niehues, J. M., Sivakumar, S., Heussen, N., van der Kroft, G., Damink, S. W. M. O., Lang, S., Aberle, M. R., Luedde, T., Gaisa, N. T., Bednarsch, J., Liu, D. H. W., Cleutjens, J. P. M., Modest, D. P., Neumann, U. P., & Wiltberger, G. J. (2021). Nerve Fibers in the Tumor Microenvironment Are Co-Localized with Lymphoid Aggregates in Pancreatic Cancer. Journal of Clinical Medicine, 10(3), 490. https://doi.org/10.3390/jcm10030490

